Novel Synthetic Peptide Agelaia-12 Has Improved Activity Against Mycobacterium abscessus Complex
Abstract
1. Introduction
2. Materials and Methods
2.1. In Silico Structural Analysis of the Antimicrobial Peptide Agelaia-12
2.2. In Vitro Antimicrobial Activity Assessmentv
2.3. Analysis of the Effect of Agelaia-12 Peptide on M. abscessus by Scanning Electron Microscopy
2.4. Analysis of the Effect of Agelaia-12 Peptide on the Surface of M. abscessus by Congo Red Staining
2.5. Hemolysis Assay
2.6. Animals
2.7. Culture of Peritoneal Macrophages
2.8. Determination of Mycobacterial Load in the Lungs of IFN-y KO Mice Infected with M. abscessus or M. massiliense
2.9. Histopathological Analysis
2.10. Statistical Analysis
3. Results
3.1. Bioinformatic Studies of Agelaia-12 Structural Characteristics
3.2. Agelaia-12 Inhibits M. abscessus spp. Growth
3.3. Treatment with Agelaia-12 Impairs the Morphological Characteristics of M. abscessus
3.4. Absence of Red Blood Cell Toxicity of Agelaia-12
3.5. Agelaia-12 Controls the Intracellular Bacterial Growth of Infected Macrophages
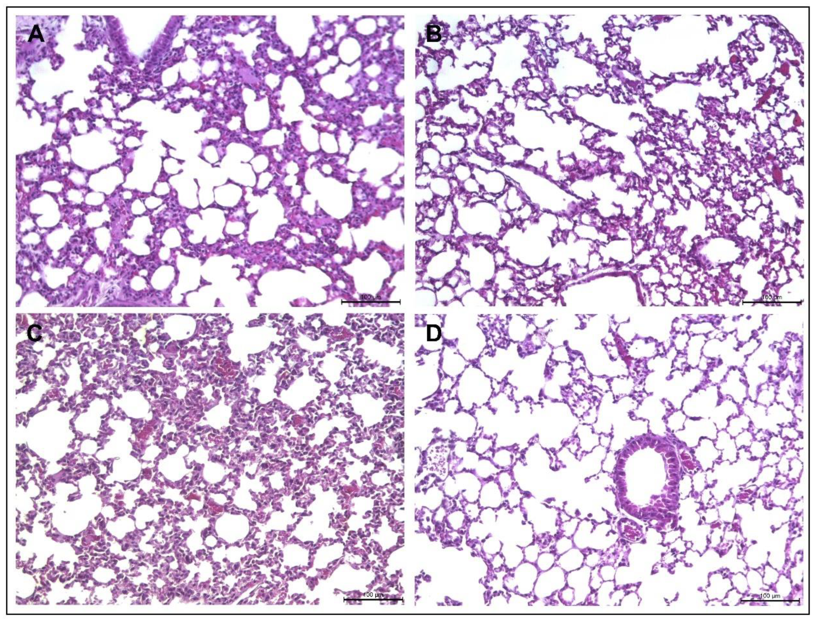
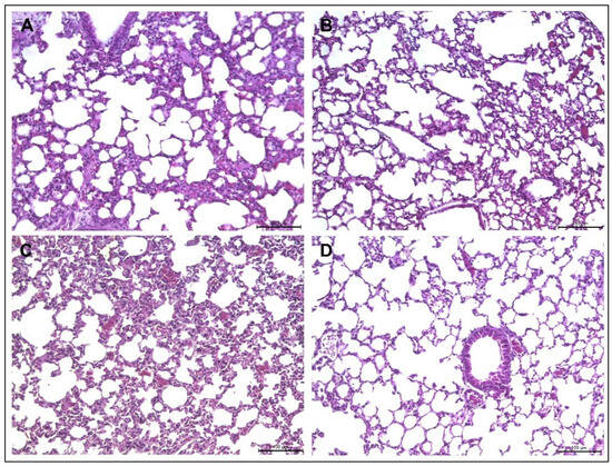
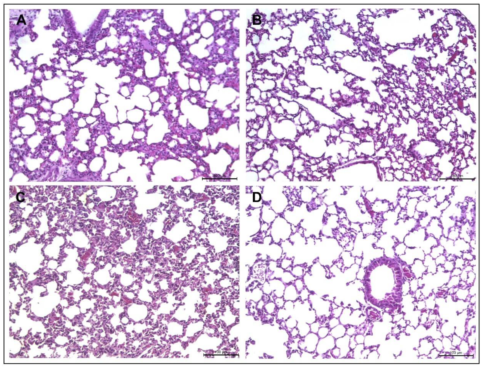
3.6. Treatment of M. abscessus- or M. massiliense-Infected Mice with Agelaia-12 Reduces the Lung Bacterial Load and Lung Inflammation
4. Discussion
5. Conclusions
6. Patents
Author Contributions
Funding
Institutional Review Board Statement
Informed Consent Statement
Data Availability Statement
Acknowledgments
Conflicts of Interest
References
- Luthra, S.; Rominski, A.; Sander, P. The role of antibiotic-target-modifying and antibiotic-modifying enzymes in Mycobacterium abscessus drug resistance. Front. Microbiol. 2018, 9, 2179. [Google Scholar] [CrossRef]
- Tarashi, S.; Siadat, S.D.; Fateh, A. Nontuberculous mycobacterial resistance to antibiotics and disinfectants: Challenges still ahead. Biomed. Res. Int. 2022, 26, 8168750. [Google Scholar] [CrossRef] [PubMed]
- Tortoli, E.; Kohl, T.A.; Brown-Elliott, B.A.; Trovato, A.; Leão, S.C.; Garcia, M.J.; Vasireddy, S.; Turenne, C.Y.; Griffith, D.E.; Philley, J.V.; et al. Emended description of Mycobacterium abscessus, Mycobacterium abscessus subsp. abscessus and Mycobacterium abscessus subsp. bolletii and designation of Mycobacterium abscessus subsp. massiliense comb. nov. Int. J. Syst. Evol. Microbiol. 2016, 66, 4471–4479. [Google Scholar] [CrossRef] [PubMed]
- Johansen, M.D.; Herrmann, J.L.; Kremer, L. Non-tuberculous mycobacteria and the rise of Mycobacterium abscessus. Nat. Rev. Microbiol. 2020, 18, 392–407. [Google Scholar] [CrossRef] [PubMed]
- To, K.; Cao, R.; Yegiazaryan, A.; Owens, J.; Venketaraman, V. General overview of nontuberculous mycobacteria opportunistic pathogens: Mycobacterium avium and Mycobacterium abscessus. J. Clin. Med. 2020, 9, 2541. [Google Scholar] [CrossRef]
- Jin, P.; Dai, J.; Guo, Y.; Wang, X.; Lu, J.; Zhu, Y.; Yu, F. Genomic analysis of Mycobacterium abscessus complex isolates from patients with pulmonary infection in China. Microbiol. Spectr. 2022, 10, e00118-22. [Google Scholar] [CrossRef] [PubMed]
- Cardoso, A.M.; Sousa, E.M.; Viana-Niero, C.; Bortoli, F.B.; das Neves, Z.C.P.; Leão, S.C.; Junqueira-Kipnis, A.P.; Kipnis, A. Emergence of nosocomial Mycobacterium massiliense infection in Goiás, Brazil. Microbes Infect. 2008, 10, 1552–1557. [Google Scholar] [CrossRef]
- Duarte, R.S.; Lourenço, M.C.S.; Fonseca, L.S.F.; Leão, S.C.; Amorim, E.L.T.; Rocha, I.L.; Coelho, F.S.; Viana-Niero, C.; Gomes, K.M.; da Silva, M.G.; et al. Epidemic of postsurgical infections caused by Mycobacterium massiliense. J. Clin. Microbiol. 2009, 47, 2149–2155. [Google Scholar] [CrossRef]
- Ferrell, K.C.; Johansen, M.D.; Triccas, J.A.; Counoupas, C. Virulence mechanisms of Mycobacterium abscessus: Current knowledge and implications for vaccine design. Front. Microbiol. 2022, 13, 842017. [Google Scholar] [CrossRef]
- Lee, M.R.; Sheng, W.H.; Hung, C.C.; Yu, C.J.; Lee, L.N.; Hsueh, P.R. Mycobacterium abscessus complex infections in humans. Emerg. Infect. Dis. 2015, 21, 1638–1646. [Google Scholar] [CrossRef]
- Griffith, D.E.; Aksamit, T.; Brown-Elliott, B.A.; Catanzaro, A.; Daley, C.; Gordin, F.; Holland, S.M.; Horsburgh, R.; Huitt, G.; Iademarco, M.F.; et al. An official ATS/IDSA statement: Diagnosis, treatment, and prevention of nontuberculous mycobacterial diseases. Am. J. Respir. Crit. Care Med. 2007, 175, 367–416. [Google Scholar] [CrossRef]
- Daley, C.L.; Iaccarino, J.M.; Lange, C.; Cambau, E.; Wallace, R.J.; Andrejak, C.; Erik, C.; Böttger, E.C.; Brozek, J.; Griffith, D.E.; et al. Treatment of nontuberculous mycobacterial pulmonary disease: An official ATS/ERS/ESCMID/IDSA clinical practice guideline. Eur. Respir. J. 2020, 56, 2000535. [Google Scholar] [CrossRef]
- Nessar, R.; Cambau, E.; Reyrat, J.M.; Murray, A.; Gicquel, B. Mycobacterium abscessus: A new antibiotic nightmare. JAC 2012, 67, 810–818. [Google Scholar] [CrossRef]
- Abdelaal, H.F.M.; Chan, E.D.; Young, L.; Baldwin, S.L.; Coler, R.N. Mycobacterium abscessus: It’s complex. Microorganisms 2022, 10, 1454. [Google Scholar] [CrossRef]
- Rindi, L. Efflux pump inhibitors against nontuberculous mycobacteria. Int. J. Mol. Sci. 2020, 21, 4191. [Google Scholar] [CrossRef] [PubMed]
- Guo, Q.; Chen, J.; Zhang, S.; Zou, Y.; Zhang, Y.; Huang, D.; Zhang, Z.; Li, B.; Chu, H. Efflux pumps contribute to intrinsic clarithromycin resistance in clinical, Mycobacterium abscessus isolates. Infect. Drug Resist. 2020, 12, 447–454. [Google Scholar] [CrossRef] [PubMed]
- Broncano-Lavado, A.; Senhaji-Kacha, A.; Santamaría-Corral, G.; Esteban, J.; García-Quintanilla, M. Alternatives to antibiotics against Mycobacterium abscessus. Antibiotics 2022, 11, 1322. [Google Scholar] [CrossRef] [PubMed]
- Kumar, K.; Daley, C.L.; Griffith, D.E.; Michael, R.; Loebinger, M.R. Management of Mycobacterium avium complex and Mycobacterium abscessus pulmonary disease: Therapeutic advances and emerging treatments. Eur. Respir. Rev. 2022, 31, 210212. [Google Scholar] [CrossRef]
- Monego, F.; Duarte, R.S.; Biondo, A.W. gyrA and gyrB gene mutation in ciprofloxacin-resistant Mycobacterium massiliense clinical isolates from southern Brazil. MDR 2012, 18, 1–6. [Google Scholar] [CrossRef] [PubMed]
- Nash, K.A.; Brown-Elliott, B.A.; Wallace, R.J., Jr. A novel gene, erm(41), confers inducible macrolide resistance to clinical isolates of Mycobacterium abscessus but is absent from Mycobacterium chelonae. Antimicrob. Agents Chemother. 2009, 53, 1367–1376. [Google Scholar] [CrossRef]
- Wallace, R.J.; Meier, A.; Brown, B.A.; Zhang, Y.; Sander, P.; Onyi, G.O.; Böttger, E.C. Genetic basis for clarithromycin resistance among isolates of Mycobacterium chelonae and Mycobacterium abscessus. Antimicrob. Agents Chemother. 1996, 40, 1676–1681. [Google Scholar] [CrossRef]
- Gopalaswamy, R.; Shanmugam, S.; Mondal, R.; Subbian, S. Of tuberculosis and non-tuberculous mycobacterial infections—A comparative analysis of epidemiology, diagnosis and treatment. J. Biomed. Sci. 2020, 27, 74. [Google Scholar] [CrossRef]
- Meir, M.; Barkan, D. Alternative and experimental therapies of Mycobacterium abscessus infections. Int. J. Mol. Sci. 2020, 21, 6793. [Google Scholar] [CrossRef] [PubMed]
- Egessa, R. Antimicrobial peptides from freshwater invertebrate species: Potential for future applications. Mol. Biol. Rep. 2022, 49, 9797–9811. [Google Scholar] [CrossRef] [PubMed]
- Rungsa, P.; Peigneur, S.; Jangpromma, N.; Klaynongsruang, S.; Tytgat, J.; Daduang, S. In silico and in vitro structure–activity relationship of mastoparan and its analogs. Molecules 2022, 27, 561. [Google Scholar] [CrossRef]
- Fontana, R.; Mendes, M.A.; de Souza, B.M.; Konno, K.; César, L.M.; Malaspina, O.; Palma, M.S. Jelleines: A family of antimicrobial peptides from the Royal Jelly of honeybees (Apis mellifera). Peptides 2004, 25, 919–928. [Google Scholar] [CrossRef]
- Monincová, L.; Budesínský, M.; Slaninová, J.; Hovorka, O.; Cvacka, J.; Voburka, Z.; Fucík, V.; Borovicková, L.; Bednárová, L.; Straka, J.; et al. Novel antimicrobial peptides from the venom of the eusocial bee Halictus sexcinctus (Hymenoptera: Halictidae) and their analogs. Amino Acids. 2010, 39, 763–775. [Google Scholar] [CrossRef] [PubMed]
- Du, Q.; Hou, X.; Wang, L.; Zhang, Y.; Xi, X.; Wang, H.; Zhou, M.; Duan, J.; Wei, M.; Chen, T.; et al. AaeAP1 and AaeAP2: Novel antimicrobial peptides from the venom of the scorpion, Androctonus aeneas: Structural characterisation, molecular cloning of biosynthetic precursor-encoding cDNAs and engineering of analogues with enhanced antimicrobial and anticancer activities. Toxins 2015, 7, 219–237. [Google Scholar] [CrossRef]
- Harrison, P.L.; Abdel-Rahman, M.A.; Strong, P.N.; Tawfik, M.M.; Miller, K. Characterisation of three alpha-helical antimicrobial peptides from the venom of Scorpio maurus palmatus. Toxicon 2016, 117, 30–36. [Google Scholar] [CrossRef]
- Jiménez-Vargas, J.M.; Ramírez-Carreto, S.; Corzo, G.; Possani, L.D.; Becerril, B.; Ortiz, E. Structural and functional characterization of NDBP-4 family antimicrobial peptides from the scorpion Mesomexovis variegatus. Peptides 2021, 141, 170553. [Google Scholar] [CrossRef]
- Dos Santos Cabrera, M.P.; de Souza, B.M.; Fontana, R.; Konno, K.; Palma, M.S.; de Azevedo, W.F., Jr.; Neto, J.R. Conformation and lytic activity of eumenine mastoparan: A new antimicrobial peptide from wasp venom. J. Pept. Res. 2004, 64, 95–103. [Google Scholar] [CrossRef]
- Chen, W.; Yang, X.; Yang, X.; Zhai, L.; Lu, Z.; Liu, J.; Yu, H. Antimicrobial peptides from the venoms of Vespa bicolor Fabricius. Peptides 2008, 29, 1887–1892. [Google Scholar] [CrossRef] [PubMed]
- Dos Santos Cabrera, M.P.; Rangel, M.; Ruggiero Neto, J.; Konno, K. Chemical and Biological Characteristics of antimicrobial α-helical peptides found in solitary wasp venoms and their interactions with model membranes. Toxins 2019, 11, 559. [Google Scholar] [CrossRef] [PubMed]
- Portell-Buj, E.; Vergara, A.; Alejo, I.; López-Gavín, A.; Monté, M.R.; San Nicolás, L.; González-Martín, J.; Tudó, G. In vitro activity of 12 antimicrobial peptides against Mycobacterium tuberculosis and Mycobacterium avium clinical isolates. J. Med. Microbiol. 2019, 68, 211–215. [Google Scholar] [CrossRef]
- Pag, U.; Oedenkoven, M.; Sass, V.; Shai, Y.; Shamova, O.; Antcheva, N.; Tossi, A.; Sahl, H.G. Analysis of in vitro activities and modes of action of synthetic antimicrobial peptides derived from an alpha-helical ‘sequence template’. J. Antimicrob. Chemother. 2008, 61, 341–352. [Google Scholar] [CrossRef]
- Muller, J.A.I.; Lawrence, N.; Chan, L.Y.; Harvey, P.J.; Elliott, A.G.; Blaskovich, M.A.T.; Gonçalves, J.C.; Galante, P.; Mortari, M.R.; Toffoli-Kadri, M.C.; et al. Antimicrobial and anticancer properties of synthetic peptides derived from the wasp Parachartergus fraternus. ChemBioChem 2021, 22, 1415–1423. [Google Scholar] [CrossRef] [PubMed]
- Trentini, M.M.; das Neves, R.C.; Santos, B.P.O.; da Silva, R.A.; de Souza, A.C.B.; Mortari, M.R.; Schwartz, E.F.; Kipnis, A.; Junqueira-Kipnis, A.P. Non-disulfide-bridge peptide 5.5 from the scorpion Hadrurus gertschi inhibits the growth of Mycobacterium abscessus subsp. massiliense. Front. Microbiol. 2017, 8, 273. [Google Scholar] [CrossRef]
- Marques-Neto, L.M.; Trentini, M.M.; das Neves, R.C.; Resende, D.P.; Procopio, V.O.; da Costa, A.C.; Kipnis, A.; Mortari, M.R.; Schwartz, E.F.; Junqueira-Kipnis, A.P. Antimicrobial and chemotactic activity of scorpion-derived peptide, ToAP2, against Mycobacterium massiliensis. Toxins 2018, 10, 219. [Google Scholar] [CrossRef]
- Das Neves, R.C.; Trentini, M.M.; Silva, J.C.; Simon, K.S.; Bocca, A.L.; Silva, L.P.; Mortari, M.R.; Kipnis, K.; Junqueira-Kipnis, A.P. Antimycobacterial activity of a new peptide Polydim-I isolated from neotropical social wasp Polybia dimorpha. PLoS ONE 2016, 11, e0149729. [Google Scholar] [CrossRef]
- Silva, J.C.; Marques-Neto, L.M.; Neves, R.C.; Gonçalves, J.C.; Trentini, M.M.; Mucury-Filho, R.; Smidt, K.S.; Fensterseifer, I.C.; Silva, O.N.; Lima, L.D.; et al. Evaluation of the antimicrobial activity of the mastoparan Polybia-MPII isolated from venom of the social wasp Pseudopolybia vespiceps Testacea (Vespidae, Hymenoptera). Int. J. Antimicrob. Agents 2017, 49, 167–175. [Google Scholar] [CrossRef]
- Luo, L.; Kamau, P.M.; Lai, R. Bioactive peptides and proteins from wasp venoms. Biomolecules 2022, 12, 527. [Google Scholar] [CrossRef] [PubMed]
- Duque, H.M.; dos Santos, C.; Brango-Vanegas, J.; Díaz-Martín, R.D.; Dias, S.D.; Franco, O.L. Unwrapping the structural and functional features of antimicrobial peptides from wasp venoms. Pharmacol. Res. 2024, 200, 107069. [Google Scholar] [CrossRef] [PubMed]
- Rádis-Baptista, G. Cell-penetrating peptides derived from animal venoms and toxins. Toxins 2021, 13, 147. [Google Scholar] [CrossRef]
- Xuan, J.; Feng, W.; Wang, J.; Wang, R.; Zhang, B.; Bo, L.; Chen, Z.S.; Yang, H.; Sun, L. Antimicrobial peptides for combating drug-resistant bacterial infections. Drug Resist. Updat. 2023, 68, 100954. [Google Scholar] [CrossRef] [PubMed]
- Junqueira-Kipnis, A.P.; Kipnis, A.; Mortari, M.M.; das Neves, R.C.; Carvalho, A.C.O. Antimicrobial Peptide Agelaia-KK Derived from the Venom of the Social Wasp (Parachertergus fraternus) and Its Use as a Bacterial Adhesion Inhibitor. INPI BR1020200225260A2, 11 April 2020. [Google Scholar]
- Yang, J.; Zhang, Y. “I-TASSER Server: New development for protein structure and function predictions. Nucleic Acids Res. 2015, 43, W174–W181. [Google Scholar] [CrossRef]
- Guerin, T.F.; Mondido, M.; McClenn, B.; Peasley, B. Application of resazurin for estimating abundance of contaminant-degrading micro-organisms. Lett. Appl. Microbiol. 2001, 32, 340–345. [Google Scholar] [CrossRef]
- Etienne, G.; Villeneuve, C.; Billman-Jacobe, H.; Astarie-Dequeker, C.; Dupont, M.A.; Daffé, M. The impact of the absence of glycopeptidolipids on the ultrastructure, cell surface and cell wall properties, and phagocytosis of Mycobacterium smegmatis. Microbiology 2002, 148 Pt 10, 3089–3100. [Google Scholar] [CrossRef]
- Lenaerts, A.J.M.; Gruppo, V.; Brooks, J.V.; Ian, M.; Orme, I.M. Rapid in vivo screening of experimental drugs for tuberculosis using gamma interferon gene-disrupted mice. Antimicrob. Agents Chemother. 2003, 47, 783–785. [Google Scholar] [CrossRef]
- Dos Anjos, L.R.B.; Costa, V.A.F.; Neves, B.J.; Junqueira-Kipnis, A.P.; Kipnis, A. Repurposing miconazole and tamoxifen for the treatment of Mycobacterium abscessus complex infections through in silico chemogenomics approach. World J. Microbiol. Biotechnol. 2023, 39, 273. [Google Scholar] [CrossRef]
- Yan, R.; Xu, D.; Yang, J.; Walker, S.; Zhang, Y. A comparative assessment and analysis of 20 representative sequence alignment methods for protein structure prediction. Sci. Rep. 2013, 3, 2619. [Google Scholar] [CrossRef]
- Zhang, T.; Du, J.; Dong, L.; Wang, F.; Zhao, L.; Jia, J.; Wang, C.; Cheng, M.; Yu, X.; Huang, H. In vitro antimicrobial activities of tigecycline, eravacycline, omadacycline, and sarecycline against rapidly growing mycobacteria. Microbiol. Spectr. 2023, 11, e03238-22. [Google Scholar] [CrossRef]
- Luo, Y.; Song, Y. Mechanism of antimicrobial peptides: Antimicrobial, anti-inflammatory and antibiofilm activities. Int. J. Mol. Sci. 2021, 22, 11401. [Google Scholar] [CrossRef] [PubMed]
- Sun, S.; See, M.; Nim, H.T.; Strumila, K.; Ng, E.S.; Hidalgo, A.; Ramialison, M.; Sutton, P.; Elefanty, A.G.; Sarkar, S.; et al. Human pluripotent stem cell-derived macrophages host Mycobacterium abscessus infection. Stem Cell Rep. 2022, 17, 2156–2166. [Google Scholar] [CrossRef] [PubMed]
- Abd El-Wahed, A.; Yosri, N.; Sakr, H.H.; Du, M.; Algethami, A.F.M.; Zhao, C.; Abdelazeem, A.H.; Tahir, H.E.; Masry, S.H.D.; Abdel-Daim, M.M.; et al. Wasp Venom Biochemical components and their potential in biological applications and nanotechnological interventions. Toxins 2021, 13, 206. [Google Scholar] [CrossRef] [PubMed]
- Sebák, F.; Horváth, L.B.; Kovács, D.; Szolomájer, J.; Tóth, G.K.; Babiczky, A.; Bősze, S.; Bodor, A. Novel lysine-rich delivery peptides of plant origin ERD and human S100: The effect of carboxyfluorescein conjugation, influence of aromatic and proline residues, cellular internalization, and penetration ability. ACS Omega 2021, 6, 34470–34484. [Google Scholar] [CrossRef]
- Bin Hafeez, A.; Jiang, X.; Bergen, P.J.; Zhu, Y. Antimicrobial peptides: An update on classifications and databases. Int. J. Mol. Sci. 2021, 22, 11691. [Google Scholar] [CrossRef]
- Mhlongo, J.T.; Waddad, A.Y.; Albericio, F.; de La Torre, B.G. Antimicrobial peptide synergies for fighting infectious diseases. Adv. Sci. 2023, 10, 2300472. [Google Scholar] [CrossRef] [PubMed]
- Das Neves, R.C.; Mortari, M.R.; Schwartz, E.F.; Kipnis, A.; Junqueira-Kipnis, A.P. Antimicrobial and antibiofilm effects of peptides from venom of social wasp and scorpion on multidrug-resistant Acinetobacter baumannii. Toxins 2019, 11, 216. [Google Scholar] [CrossRef]
- Dijksteel, G.S.; Ulrich, M.M.W.; Middelkoop, E.; Boekema, B.K.H.L. Review: Lessons learned from clinical trials using antimicrobial peptides (AMPs). Front. Microbiol. 2021, 12, 616979. [Google Scholar] [CrossRef]
- Maturana, P.; Martinez, M.; Noguera, E.; Santos, N.; Disalvo, E.; Semoril, L.; Máfia, P.; Hollmann, A. Lipid selectivity in novel antimicrobial peptides: Implication on antimicrobial and hemolytic activity. Colloids Surfaces B Biointerfaces 2017, 153, 152–159. [Google Scholar] [CrossRef]
- Li, B.; Zhang, Y.; Guo, Q.; He, S.; Fan, J.; Xu, L.; Zhang, Z.; Wu, W.; Chu, H. Antibacterial peptide RP557 increases the antibiotic sensitivity of Mycobacterium abscessus by inhibiting biofilm formation. Sci. Total Environ. 2022, 807, 151855. [Google Scholar] [CrossRef]
- Trimble, M.J.; Mlynárčik, P.; Kolář, M.; Hancock, R.E. Polymyxin: Alternative mechanisms of action and resistance. Cold Spring Harb. Perspect. Med. 2016, 6, a025288. [Google Scholar] [CrossRef] [PubMed]
- Berglund, N.A.; Piggot, T.J.; Jefferies, D.; Sessions, R.B.; Bond, P.J.; Khalid, S. Interaction of the antimicrobial peptide polymyxin B1 with both membranes of E. coli: A molecular dynamics study. PLoS Comput. Biol. 2015, 11, e1004180. [Google Scholar] [CrossRef] [PubMed]
- Zhang, R.; Xu, L.; Dong, C. Antimicrobial peptides: An overview of their structure, function and mechanism of action. PPL 2022, 29, 641–650. [Google Scholar] [CrossRef] [PubMed]
- Ye, X.; Zhang, H.; Luo, X.; Huang, F.; Sun, F.; Zhou, L.; Qin, Q.; Ding, L.; Zhou, H.; Liu, X.; et al. Characterization of the hemolytic activity of mastoparan family peptides from wasp venoms. Toxins 2023, 15, 591. [Google Scholar] [CrossRef]
- Mendes, M.A.; Souza, B.M.; Marques, M.R.; Palma, M.S. Structural and biological characterization of two novel peptides from the venom of the neotropical social wasp Agelaia pallipes pallipes. Toxicon 2004, 44, 67–74. [Google Scholar] [CrossRef]
- Chen, Y.; Guarnieri, M.T.; Vasil, A.I.; Vasil, M.L.; Mant, C.T.; Hodges, R.S. Role of peptide hydrophobicity in the mechanism of action of alpha-helical antimicrobial peptides. Antimicrob. Agents Chemother. 2007, 51, 1398–1406. [Google Scholar] [CrossRef] [PubMed]
- El-Etr, S.H.; Cirillo, J.D. Entry mechanisms of mycobacteria. Front. Biosci. 2001, 6, D737–D747. [Google Scholar] [CrossRef]
- Pethe, K.; Bifani, P.; Jang, J.; Kang, S.; Park, S.; Ahn, S.; Jiricek, J.; Jung, J.; Jeon, H.K.; Cechetto, J.; et al. Discovery of Q203, a potent clinical candidate for the treatment of tuberculosis. Nat. Med. 2013, 19, 1157–1160. [Google Scholar] [CrossRef]
- Adams, K.N.; Takaki, K.; Connolly, L.E.; Wiedenhoft, H.; Winglee, K.; Humbert, O.; Edelstein, P.H.; Cosma, C.L.; Ramakrishnan, L. Drug tolerance in replicating mycobacteria mediated by a macrophage-induced efflux mechanism. Cell 2011, 145, 39–53. [Google Scholar] [CrossRef]
- Esther, C.R.; Esserman, D.A.; Gilligan, P.; Kerr, A.; Noone, P.G. Chronic Mycobacterium abscessus infection and lung function decline in cystic fibrosis. JCF 2010, 9, 117–123. [Google Scholar] [CrossRef] [PubMed]
- Baldwin, S.L.; Larsen, S.E.; Ordway, D.; Cassell, G.; Coler, R.N. The complexities and challenges of preventing and treating nontuberculous mycobacterial diseases. PLoS Negl. Trop. Dis. 2019, 13, e0007083. [Google Scholar] [CrossRef] [PubMed]
- De Vries, R.; Andrade, C.A.; Bakuzis, A.F.; Mandal, S.M.; Franco, O.L. Next-generation nanoantibacterial tools developed from peptides. Nanomedicine 2015, 10, 1643–1661. [Google Scholar] [CrossRef]
- Wang, C.; Hong, T.; Cui, P.; Wang, J.; Xia, J. Antimicrobial peptides towards clinical application: Delivery and formulation. Adv. Drug Deliv. Rev. 2021, 175, 113818. [Google Scholar] [CrossRef]







| Characteristics | |
|---|---|
| Molecular formula | C71H123N17O15 |
| Molecular mass | 1454.86 |
| Net charge | +3 |
| Isoelectric point | 10.00 |
| Extinction coefficient | 5500 M−1 × cm−1 |
| Hydrophobicity | +15.94 Kcal × mol−1 |
Disclaimer/Publisher’s Note: The statements, opinions and data contained in all publications are solely those of the individual author(s) and contributor(s) and not of MDPI and/or the editor(s). MDPI and/or the editor(s) disclaim responsibility for any injury to people or property resulting from any ideas, methods, instructions or products referred to in the content. |
© 2024 by the authors. Licensee MDPI, Basel, Switzerland. This article is an open access article distributed under the terms and conditions of the Creative Commons Attribution (CC BY) license (https://creativecommons.org/licenses/by/4.0/).
Share and Cite
Coelho, A.A.; Barbosa, L.C.d.S.; da Costa, A.C.; Kipnis, A.; Junqueira-Kipnis, A.P. Novel Synthetic Peptide Agelaia-12 Has Improved Activity Against Mycobacterium abscessus Complex. Pathogens 2024, 13, 994. https://doi.org/10.3390/pathogens13110994
Coelho AA, Barbosa LCdS, da Costa AC, Kipnis A, Junqueira-Kipnis AP. Novel Synthetic Peptide Agelaia-12 Has Improved Activity Against Mycobacterium abscessus Complex. Pathogens. 2024; 13(11):994. https://doi.org/10.3390/pathogens13110994
Chicago/Turabian StyleCoelho, Arthur Alves, Lília Cristina de Souza Barbosa, Adeliane Castro da Costa, André Kipnis, and Ana Paula Junqueira-Kipnis. 2024. "Novel Synthetic Peptide Agelaia-12 Has Improved Activity Against Mycobacterium abscessus Complex" Pathogens 13, no. 11: 994. https://doi.org/10.3390/pathogens13110994
APA StyleCoelho, A. A., Barbosa, L. C. d. S., da Costa, A. C., Kipnis, A., & Junqueira-Kipnis, A. P. (2024). Novel Synthetic Peptide Agelaia-12 Has Improved Activity Against Mycobacterium abscessus Complex. Pathogens, 13(11), 994. https://doi.org/10.3390/pathogens13110994

