Infections in Inborn Errors of STATs
Abstract
1. Introduction
2. STAT1
2.1. Infection Susceptibility
2.2. Infection Prevention
3. STAT2
3.1. Infection Susceptibility
3.2. Infection Prevention
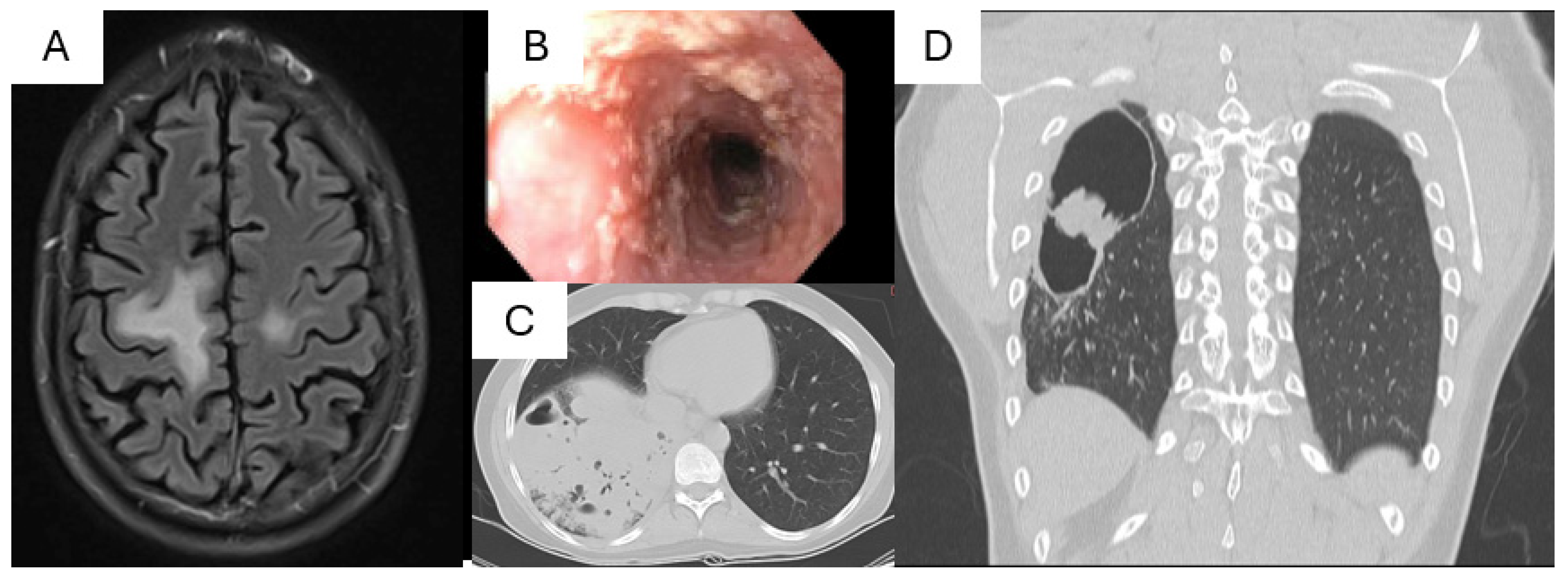
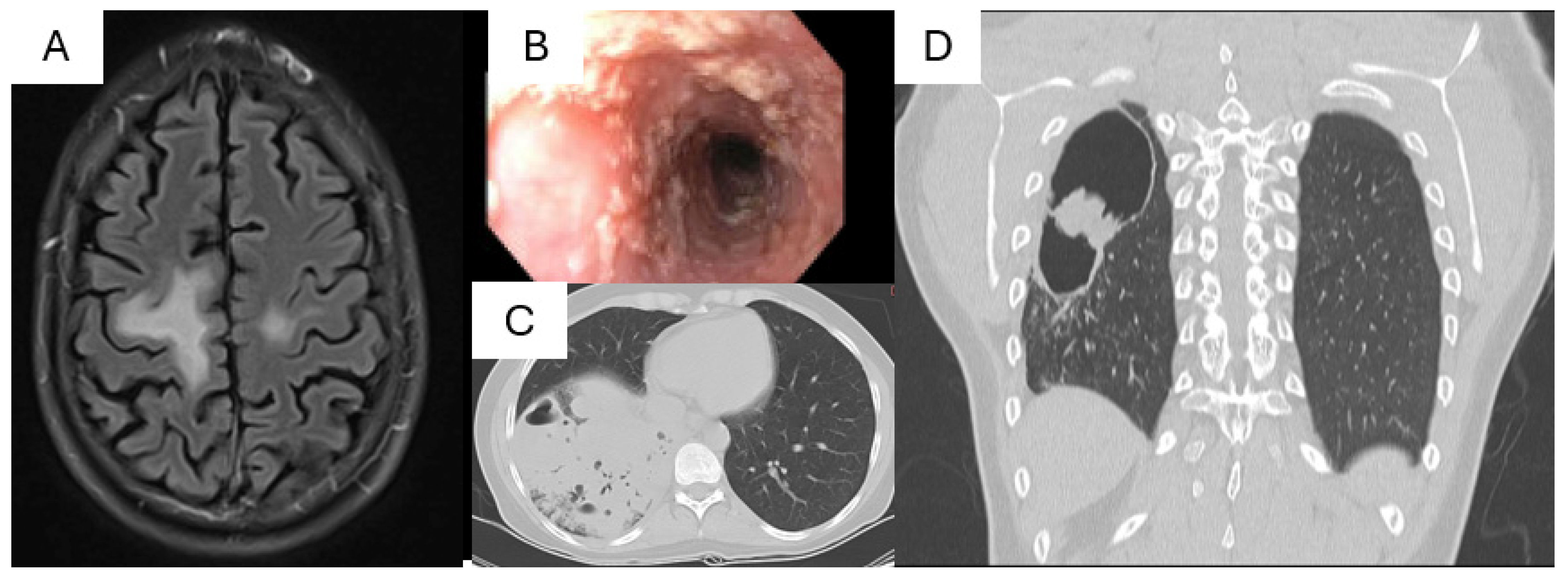
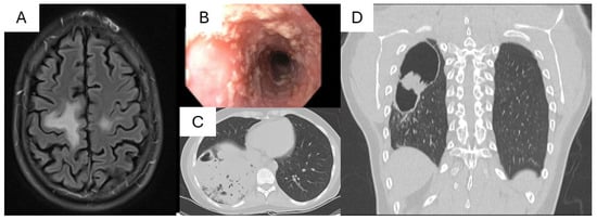
4. STAT3
4.1. Infection Susceptibility
4.2. Infection Prevention
5. STAT4
5.1. Infection Susceptibility
5.2. Infection Prevention
6. STAT5B
6.1. Infection Susceptibility
6.2. Infection Prevention
7. STAT6
7.1. Infection Susceptibility
7.2. Infection Prevention
8. Conclusions
Author Contributions
Funding
Data Availability Statement
Acknowledgments
Conflicts of Interest
Clinical Trial Registration
References
- Philips, R.L.; Wang, Y.; Cheon, H.; Kanno, Y.; Gadina, M.; Sartorelli, V.; Horvath, C.M.; Darnell, J.E.; Stark, G.R.; O’Shea, J.J. The JAK-STAT Pathway at 30: Much Learned, Much More to Do. Cell 2022, 185, 3857–3876. [Google Scholar] [CrossRef] [PubMed]
- Hu, X.; Li, J.; Fu, M.; Zhao, X.; Wang, W. The JAK/STAT Signaling Pathway: From Bench to Clinic. Signal Transduct. Target. Ther. 2021, 6, 402. [Google Scholar] [CrossRef] [PubMed]
- Ott, N.; Faletti, L.; Heeg, M.; Andreani, V.; Grimbacher, B. JAKs and STATs from a Clinical Perspective: Loss-of-Function Mutations, Gain-of-Function Mutations, and Their Multidimensional Consequences. J. Clin. Immunol. 2023, 43, 1326–1359. [Google Scholar] [CrossRef] [PubMed]
- Tolomeo, M.; Cavalli, A.; Cascio, A. STAT1 and Its Crucial Role in the Control of Viral Infections. Int. J. Mol. Sci. 2022, 23, 4095. [Google Scholar] [CrossRef] [PubMed]
- Dupuis, S.; Jouanguy, E.; Al-Hajjar, S.; Fieschi, C.; Al-Mohsen, I.Z.; Al-Jumaah, S.; Yang, K.; Chapgier, A.; Eidenschenk, C.; Eid, P.; et al. Impaired Response to Interferon-Alpha/Beta and Lethal Viral Disease in Human STAT1 Deficiency. Nat. Genet. 2003, 33, 388–391. [Google Scholar] [CrossRef]
- Chapgier, A.; Wynn, R.F.; Jouanguy, E.; Filipe-Santos, O.; Zhang, S.; Feinberg, J.; Hawkins, K.; Casanova, J.-L.; Arkwright, P.D. Human Complete Stat-1 Deficiency Is Associated with Defective Type I and II IFN Responses in Vitro but Immunity to Some Low Virulence Viruses in Vivo. J. Immunol. 2006, 176, 5078–5083. [Google Scholar] [CrossRef]
- Chapgier, A.; Kong, X.-F.; Boisson-Dupuis, S.; Jouanguy, E.; Averbuch, D.; Feinberg, J.; Zhang, S.-Y.; Bustamante, J.; Vogt, G.; Lejeune, J.; et al. A Partial Form of Recessive STAT1 Deficiency in Humans. J. Clin. Investig. 2009, 119, 1502–1514. [Google Scholar] [CrossRef]
- Le Voyer, T.; Sakata, S.; Tsumura, M.; Khan, T.; Esteve-Sole, A.; Al-Saud, B.K.; Gungor, H.E.; Taur, P.; Jeanne-Julien, V.; Christiansen, M.; et al. Genetic, Immunological, and Clinical Features of 32 Patients with Autosomal Recessive STAT1 Deficiency. J. Immunol. 2021, 207, 133–152. [Google Scholar] [CrossRef]
- Dupuis, S.; Dargemont, C.; Fieschi, C.; Thomassin, N.; Rosenzweig, S.; Harris, J.; Holland, S.M.; Schreiber, R.D.; Casanova, J.L. Impairment of Mycobacterial but Not Viral Immunity by a Germline Human STAT1 Mutation. Science 2001, 293, 300–303. [Google Scholar] [CrossRef]
- Chapgier, A.; Boisson-Dupuis, S.; Jouanguy, E.; Vogt, G.; Feinberg, J.; Prochnicka-Chalufour, A.; Casrouge, A.; Yang, K.; Soudais, C.; Fieschi, C.; et al. Novel STAT1 Alleles in Otherwise Healthy Patients with Mycobacterial Disease. PLoS Genet. 2006, 2, e131. [Google Scholar] [CrossRef]
- Boisson-Dupuis, S.; Kong, X.-F.; Okada, S.; Cypowyj, S.; Puel, A.; Abel, L.; Casanova, J.-L. Inborn Errors of Human STAT1: Allelic Heterogeneity Governs the Diversity of Immunological and Infectious Phenotypes. Curr. Opin. Immunol. 2012, 24, 364–378. [Google Scholar] [CrossRef] [PubMed]
- Liu, L.; Okada, S.; Kong, X.-F.; Kreins, A.Y.; Cypowyj, S.; Abhyankar, A.; Toubiana, J.; Itan, Y.; Audry, M.; Nitschke, P.; et al. Gain-of-Function Human STAT1 Mutations Impair IL-17 Immunity and Underlie Chronic Mucocutaneous Candidiasis. J. Exp. Med. 2011, 208, 1635–1648. [Google Scholar] [CrossRef] [PubMed]
- Van de Veerdonk, F.L.; Plantinga, T.S.; Hoischen, A.; Smeekens, S.P.; Joosten, L.A.B.; Gilissen, C.; Arts, P.; Rosentul, D.C.; Carmichael, A.J.; Smits-van der Graaf, C.A.A.; et al. STAT1 Mutations in Autosomal Dominant Chronic Mucocutaneous Candidiasis. N. Engl. J. Med. 2011, 365, 54–61. [Google Scholar] [CrossRef] [PubMed]
- Toubiana, J.; Okada, S.; Hiller, J.; Oleastro, M.; Lagos Gomez, M.; Aldave Becerra, J.C.; Ouachée-Chardin, M.; Fouyssac, F.; Girisha, K.M.; Etzioni, A.; et al. Heterozygous STAT1 Gain-of-Function Mutations Underlie an Unexpectedly Broad Clinical Phenotype. Blood 2016, 127, 3154–3164. [Google Scholar] [CrossRef] [PubMed]
- Sampaio, E.P.; Hsu, A.P.; Pechacek, J.; Bax, H.I.; Dias, D.L.; Paulson, M.L.; Chandrasekaran, P.; Rosen, L.B.; Carvalho, D.S.; Ding, L.; et al. Signal Transducer and Activator of Transcription 1 (STAT1) Gain-of-Function Mutations and Disseminated Coccidioidomycosis and Histoplasmosis. J. Allergy Clin. Immunol. 2013, 131, 1624–1634. [Google Scholar] [CrossRef]
- Romberg, N.; Morbach, H.; Lawrence, M.G.; Kim, S.; Kang, I.; Holland, S.M.; Milner, J.D.; Meffre, E. Gain-of-Function STAT1 Mutations Are Associated with PD-L1 Overexpression and a Defect in B-Cell Survival. J. Allergy Clin. Immunol. 2013, 131, 1691–1693. [Google Scholar] [CrossRef]
- Zerbe, C.S.; Marciano, B.E.; Katial, R.K.; Santos, C.B.; Adamo, N.; Hsu, A.P.; Hanks, M.E.; Darnell, D.N.; Quezado, M.M.; Frein, C.; et al. Progressive Multifocal Leukoencephalopathy in Primary Immune Deficiencies: Stat1 Gain of Function and Review of the Literature. Clin. Infect. Dis. 2016, 62, 986–994. [Google Scholar] [CrossRef]
- Meyts, I.; Bucciol, G.; Quinti, I.; Neven, B.; Fischer, A.; Seoane, E.; Lopez-Granados, E.; Gianelli, C.; Robles-Marhuenda, A.; Jeandel, P.-Y.; et al. Coronavirus Disease 2019 in Patients with Inborn Errors of Immunity: An International Study. J. Allergy Clin. Immunol. 2021, 147, 520–531. [Google Scholar] [CrossRef]
- Staines-Boone, A.T.; Vignesh, P.; Tsumura, M.; de la Garza Fernández, G.; Tyagi, R.; Rawat, A.; Das, J.; Tomomasa, D.; Asano, T.; Hijikata, A.; et al. Fatal COVID-19 Infection in Two Children with STAT1 Gain-of-Function. J. Clin. Immunol. 2023, 44, 20. [Google Scholar] [CrossRef]
- Bloomfield, M.; Kanderová, V.; Paračková, Z.; Vrabcová, P.; Svatoň, M.; Froňková, E.; Fejtková, M.; Zachová, R.; Rataj, M.; Zentsová, I.; et al. Utility of Ruxolitinib in a Child with Chronic Mucocutaneous Candidiasis Caused by a Novel STAT1 Gain-of-Function Mutation. J. Clin. Immunol. 2018, 38, 589–601. [Google Scholar] [CrossRef]
- Fischer, M.; Olbrich, P.; Hadjadj, J.; Aumann, V.; Bakhtiar, S.; Barlogis, V.; von Bismarck, P.; Bloomfield, M.; Booth, C.; Buddingh, E.P.; et al. JAK Inhibitor Treatment for Inborn Errors of JAK/STAT Signaling: An ESID/EBMT-IEWP Retrospective Study. J. Allergy Clin. Immunol. 2024, 153, 275–286.e18. [Google Scholar] [CrossRef] [PubMed]
- Break, T.J.; Oikonomou, V.; Dutzan, N.; Desai, J.V.; Swidergall, M.; Freiwald, T.; Chauss, D.; Harrison, O.J.; Alejo, J.; Williams, D.W.; et al. Aberrant Type 1 Immunity Drives Susceptibility to Mucosal Fungal Infections. Science 2021, 371, eaay5731. [Google Scholar] [CrossRef] [PubMed]
- Zimmerman, O.; Rösler, B.; Zerbe, C.S.; Rosen, L.B.; Hsu, A.P.; Uzel, G.; Freeman, A.F.; Sampaio, E.P.; Rosenzweig, S.D.; Kuehn, H.S.; et al. Risks of Ruxolitinib in STAT1 Gain-of-Function-Associated Severe Fungal Disease. Open Forum Infect. Dis. 2017, 4, ofx202. [Google Scholar] [CrossRef] [PubMed]
- Forbes, L.R.; Vogel, T.P.; Cooper, M.A.; Castro-Wagner, J.; Schussler, E.; Weinacht, K.G.; Plant, A.S.; Su, H.C.; Allenspach, E.J.; Slatter, M.; et al. Jakinibs for the Treatment of Immune Dysregulation in Patients with Gain-of-Function Signal Transducer and Activator of Transcription 1 (STAT1) or STAT3 Mutations. J. Allergy Clin. Immunol. 2018, 142, 1665–1669. [Google Scholar] [CrossRef] [PubMed]
- Chen, R.; Mu, H.; Chen, X.; Tsumura, M.; Zhou, L.; Jiang, X.; Zhang, Z.; Tang, X.; Chen, Y.; Jia, Y.; et al. Qualitative Immunoglobulin Deficiency Causes Bacterial Infections in Patients with STAT1 Gain-of-Function Mutations. J. Clin. Immunol. 2024, 44, 124. [Google Scholar] [CrossRef]
- Leiding, J.W.; Okada, S.; Hagin, D.; Abinun, M.; Shcherbina, A.; Balashov, D.N.; Kim, V.H.D.; Ovadia, A.; Guthery, S.L.; Pulsipher, M.; et al. Hematopoietic Stem Cell Transplantation in Patients with Gain-of-Function Signal Transducer and Activator of Transcription 1 Mutations. J. Allergy Clin. Immunol. 2018, 141, 704–717.e5. [Google Scholar] [CrossRef]
- Kayaoglu, B.; Kasap, N.; Yilmaz, N.S.; Charbonnier, L.M.; Geckin, B.; Akcay, A.; Eltan, S.B.; Ozturk, G.; Ozen, A.; Karakoc-Aydiner, E.; et al. Stepwise Reversal of Immune Dysregulation Due to STAT1 Gain-of-Function Mutation Following Ruxolitinib Bridge Therapy and Transplantation. J. Clin. Immunol. 2021, 41, 769–779. [Google Scholar] [CrossRef]
- Kunvarjee, B.; Bidgoli, A.; Madan, R.P.; Vidal, E.; McAvoy, D.; Hosszu, K.K.; Scaradavou, A.; Spitzer, B.G.; Curran, K.J.; Cancio, M.; et al. Emapalumab as Bridge to Hematopoietic Cell Transplant for STAT1 Gain-of-Function Mutations. J. Allergy Clin. Immunol. 2023, 152, 815–817. [Google Scholar] [CrossRef]
- Chowdhury, F.Z.; Farrar, J.D. STAT2: A Shape-Shifting Anti-Viral Super STAT. JAKSTAT 2013, 2, e23633. [Google Scholar] [CrossRef]
- Arimoto, K.-I.; Löchte, S.; Stoner, S.A.; Burkart, C.; Zhang, Y.; Miyauchi, S.; Wilmes, S.; Fan, J.-B.; Heinisch, J.J.; Li, Z.; et al. STAT2 Is an Essential Adaptor in USP18-Mediated Suppression of Type I Interferon Signaling. Nat. Struct. Mol. Biol. 2017, 24, 279–289. [Google Scholar] [CrossRef]
- Hambleton, S.; Goodbourn, S.; Young, D.F.; Dickinson, P.; Mohamad, S.M.B.; Valappil, M.; McGovern, N.; Cant, A.J.; Hackett, S.J.; Ghazal, P.; et al. STAT2 Deficiency and Susceptibility to Viral Illness in Humans. Proc. Natl. Acad. Sci. USA 2013, 110, 3053–3058. [Google Scholar] [CrossRef] [PubMed]
- Shahni, R.; Cale, C.M.; Anderson, G.; Osellame, L.D.; Hambleton, S.; Jacques, T.S.; Wedatilake, Y.; Taanman, J.-W.; Chan, E.; Qasim, W.; et al. Signal Transducer and Activator of Transcription 2 Deficiency Is a Novel Disorder of Mitochondrial Fission. Brain 2015, 138, 2834–2846. [Google Scholar] [CrossRef] [PubMed]
- Moens, L.; Van Eyck, L.; Jochmans, D.; Mitera, T.; Frans, G.; Bossuyt, X.; Matthys, P.; Neyts, J.; Ciancanelli, M.; Zhang, S.-Y.; et al. A Novel Kindred with Inherited STAT2 Deficiency and Severe Viral Illness. J. Allergy Clin. Immunol. 2017, 139, 1995–1997.e9. [Google Scholar] [CrossRef] [PubMed]
- Alosaimi, M.F.; Maciag, M.C.; Platt, C.D.; Geha, R.S.; Chou, J.; Bartnikas, L.M. A Novel Variant in STAT2 Presenting with Hemophagocytic Lymphohistiocytosis. J. Allergy Clin. Immunol. 2019, 144, 611–613.e3. [Google Scholar] [CrossRef] [PubMed]
- Freij, B.J.; Hanrath, A.T.; Chen, R.; Hambleton, S.; Duncan, C.J.A. Life-Threatening Influenza, Hemophagocytic Lymphohistiocytosis and Probable Vaccine-Strain Varicella in a Novel Case of Homozygous STAT2 Deficiency. Front. Immunol. 2020, 11, 624415. [Google Scholar] [CrossRef]
- Bucciol, G.; Moens, L.; Ogishi, M.; Rinchai, D.; Matuozzo, D.; Momenilandi, M.; Kerrouche, N.; Cale, C.M.; Treffeisen, E.R.; Al Salamah, M.; et al. Human Inherited Complete STAT2 Deficiency Underlies Inflammatory Viral Diseases. J. Clin. Investig. 2023, 133, e168321. [Google Scholar] [CrossRef]
- Duncan, C.J.A.; Hambleton, S. Human Disease Phenotypes Associated with Loss and Gain of Function Mutations in STAT2: Viral Susceptibility and Type I Interferonopathy. J. Clin. Immunol. 2021, 41, 1446–1456. [Google Scholar] [CrossRef]
- Duncan, C.J.A.; Thompson, B.J.; Chen, R.; Rice, G.I.; Gothe, F.; Young, D.F.; Lovell, S.C.; Shuttleworth, V.G.; Brocklebank, V.; Corner, B.; et al. Severe Type I Interferonopathy and Unrestrained Interferon Signaling Due to a Homozygous Germline Mutation in STAT2. Sci. Immunol. 2019, 4, eaav7501. [Google Scholar] [CrossRef]
- Gruber, C.; Martin-Fernandez, M.; Ailal, F.; Qiu, X.; Taft, J.; Altman, J.; Rosain, J.; Buta, S.; Bousfiha, A.; Casanova, J.-L.; et al. Homozygous STAT2 Gain-of-Function Mutation by Loss of USP18 Activity in a Patient with Type I Interferonopathy. J. Exp. Med. 2020, 217, e20192319. [Google Scholar] [CrossRef] [PubMed]
- Duncan, C.J.A.; Randall, R.E.; Hambleton, S. Genetic Lesions of Type I Interferon Signalling in Human Antiviral Immunity. Trends Genet. 2021, 37, 46–58. [Google Scholar] [CrossRef]
- Doroudchi, M.-A.; Thauland, T.J.; Patel, B.A.; Butte, M.J. Anifrolumab to Treat a Monogenic Interferonopathy. J. Allergy Clin. Immunol. Pract. 2024, 12, 1374–1376.e1. [Google Scholar] [CrossRef] [PubMed]
- Morand, E.F.; Furie, R.; Tanaka, Y.; Bruce, I.N.; Askanase, A.D.; Richez, C.; Bae, S.C.; Brohawn, P.Z.; Pineda, L.; Berglind, A.; et al. Trial of Anifrolumab in Active Systemic Lupus Erythematosus. N. Engl. J. Med. 2020, 382, 211–221. [Google Scholar] [CrossRef] [PubMed]
- Minegishi, Y.; Saito, M.; Tsuchiya, S.; Tsuge, I.; Takada, H.; Hara, T.; Kawamura, N.; Ariga, T.; Pasic, S.; Stojkovic, O.; et al. Dominant-Negative Mutations in the DNA-Binding Domain of STAT3 Cause Hyper-IgE Syndrome. Nature 2007, 448, 1058–1062. [Google Scholar] [CrossRef] [PubMed]
- Holland, S.M.; DeLeo, F.R.; Elloumi, H.Z.; Hsu, A.P.; Uzel, G.; Brodsky, N.; Freeman, A.F.; Demidowich, A.; Davis, J.; Turner, M.L.; et al. STAT3 Mutations in the Hyper-IgE Syndrome. N. Engl. J. Med. 2007, 357, 1608–1619. [Google Scholar] [CrossRef] [PubMed]
- Flanagan, S.E.; Haapaniemi, E.; Russell, M.A.; Caswell, R.; Allen, H.L.; De Franco, E.; McDonald, T.J.; Rajala, H.; Ramelius, A.; Barton, J.; et al. Activating Germline Mutations in STAT3 Cause Early-Onset Multi-Organ Autoimmune Disease. Nat. Genet. 2014, 46, 812–814. [Google Scholar] [CrossRef]
- Milner, J.D.; Vogel, T.P.; Forbes, L.; Ma, C.A.; Stray-Pedersen, A.; Niemela, J.E.; Lyons, J.J.; Engelhardt, K.R.; Zhang, Y.; Topcagic, N.; et al. Early-Onset Lymphoproliferation and Autoimmunity Caused by Germline STAT3 Gain-of-Function Mutations. Blood 2015, 125, 591–599. [Google Scholar] [CrossRef]
- Tsilifis, C.; Freeman, A.F.; Gennery, A.R. STAT3 Hyper-IgE Syndrome-an Update and Unanswered Questions. J. Clin. Immunol. 2021, 41, 864–880. [Google Scholar] [CrossRef]
- Grimbacher, B.; Holland, S.M.; Gallin, J.I.; Greenberg, F.; Hill, S.C.; Malech, H.L.; Miller, J.A.; O’Connell, A.C.; Puck, J.M. Hyper-IgE Syndrome with Recurrent Infections--an Autosomal Dominant Multisystem Disorder. N. Engl. J. Med. 1999, 340, 692–702. [Google Scholar] [CrossRef]
- Gernez, Y.; Freeman, A.F.; Holland, S.M.; Garabedian, E.; Patel, N.C.; Puck, J.M.; Sullivan, K.E.; Akhter, J.; Secord, E.; Chen, K.; et al. Autosomal Dominant Hyper-IgE Syndrome in the USIDNET Registry. J. Allergy Clin. Immunol. Pract. 2018, 6, 996–1001. [Google Scholar] [CrossRef]
- Freeman, A.F.; Olivier, K.N. Hyper-IgE Syndromes and the Lung. Clin. Chest Med. 2016, 37, 557–567. [Google Scholar] [CrossRef]
- Chandesris, M.-O.; Melki, I.; Natividad, A.; Puel, A.; Fieschi, C.; Yun, L.; Thumerelle, C.; Oksenhendler, E.; Boutboul, D.; Thomas, C.; et al. Autosomal Dominant STAT3 Deficiency and Hyper-IgE Syndrome: Molecular, Cellular, and Clinical Features from a French National Survey. Medicine 2012, 91, e1–e19. [Google Scholar] [CrossRef] [PubMed]
- Duréault, A.; Tcherakian, C.; Poiree, S.; Catherinot, E.; Danion, F.; Jouvion, G.; Bougnoux, M.E.; Mahlaoui, N.; Givel, C.; Castelle, M.; et al. Spectrum of Pulmonary Aspergillosis in Hyper-IgE Syndrome with Autosomal-Dominant STAT3 Deficiency. J. Allergy Clin. Immunol. Pract. 2019, 7, 1986–1995.e3. [Google Scholar] [CrossRef] [PubMed]
- Melia, E.; Freeman, A.F.; Shea, Y.R.; Hsu, A.P.; Holland, S.M.; Olivier, K.N. Pulmonary Nontuberculous Mycobacterial Infections in Hyper-IgE Syndrome. J. Allergy Clin. Immunol. 2009, 124, 617–618. [Google Scholar] [CrossRef] [PubMed]
- Abusleme, L.; Diaz, P.I.; Freeman, A.F.; Greenwell-Wild, T.; Brenchley, L.; Desai, J.V.; Ng, W.-I.; Holland, S.M.; Lionakis, M.S.; Segre, J.A.; et al. Human Defects in STAT3 Promote Oral Mucosal Fungal and Bacterial Dysbiosis. JCI Insight 2018, 3, e122061. [Google Scholar] [CrossRef] [PubMed]
- Freeman, A.F.; Davis, J.; Anderson, V.L.; Barson, W.; Darnell, D.N.; Puck, J.M.; Holland, S.M. Pneumocystis Jiroveci Infection in Patients with Hyper-Immunoglobulin E Syndrome. Pediatrics 2006, 118, e1271–e1275. [Google Scholar] [CrossRef]
- Abbara, S.; Freeman, A.F.; Cohen, J.F.; Leclerc-Mercier, S.; Sanchez, L.; Schlatter, J.; Cisternino, S.; Parker, R.; Cowen, E.W.; Rouzaud, C.; et al. Primary Invasive Cutaneous Fusariosis in Patients with STAT3 Hyper-IgE Syndrome. J. Clin. Immunol. 2023, 43, 647–652. [Google Scholar] [CrossRef]
- Odio, C.D.; Milligan, K.L.; McGowan, K.; Rudman Spergel, A.K.; Bishop, R.; Boris, L.; Urban, A.; Welch, P.; Heller, T.; Kleiner, D.; et al. Endemic Mycoses in Patients with STAT3-Mutated Hyper-IgE (Job) Syndrome. J. Allergy Clin. Immunol. 2015, 136, 1411–1413.e2. [Google Scholar] [CrossRef]
- Siegel, A.M.; Heimall, J.; Freeman, A.F.; Hsu, A.P.; Brittain, E.; Brenchley, J.M.; Douek, D.C.; Fahle, G.H.; Cohen, J.I.; Holland, S.M.; et al. A Critical Role for STAT3 Transcription Factor Signaling in the Development and Maintenance of Human T Cell Memory. Immunity 2011, 35, 806–818. [Google Scholar] [CrossRef]
- Natarajan, M.; Hsu, A.P.; Weinreich, M.A.; Zhang, Y.; Niemela, J.E.; Butman, J.A.; Pittaluga, S.; Sugui, J.; Collar, A.L.; Lim, J.K.; et al. Aspergillosis, Eosinophilic Esophagitis, and Allergic Rhinitis in Signal Transducer and Activator of Transcription 3 Haploinsufficiency. J. Allergy Clin. Immunol. 2018, 142, 993–997.e3. [Google Scholar] [CrossRef]
- Hsu, A.P.; Korzeniowska, A.; Aguilar, C.C.; Gu, J.; Karlins, E.; Oler, A.J.; Chen, G.; Reynoso, G.V.; Davis, J.; Chaput, A.; et al. Immunogenetics Associated with Severe Coccidioidomycosis. JCI Insight 2022, 7, e159491. [Google Scholar] [CrossRef]
- Leiding, J.W.; Vogel, T.P.; Santarlas, V.G.J.; Mhaskar, R.; Smith, M.R.; Carisey, A.; Vargas-Hernández, A.; Silva-Carmona, M.; Heeg, M.; Rensing-Ehl, A.; et al. Monogenic Early-Onset Lymphoproliferation and Autoimmunity: Natural History of STAT3 Gain-of-Function Syndrome. J. Allergy Clin. Immunol. 2023, 151, 1081–1095. [Google Scholar] [CrossRef] [PubMed]
- Nihal, A.; Comstock, J.R.; Holland, K.E.; Singh, A.M.; Seroogy, C.M.; Arkin, L.M. Clearance of Atypical Cutaneous Manifestations of Hyper-IgE Syndrome with Dupilumab. Pediatr. Dermatol. 2022, 39, 940–942. [Google Scholar] [CrossRef] [PubMed]
- Matucci-Cerinic, C.; Viglizzo, G.; Pastorino, C.; Corcione, A.; Prigione, I.; Bocca, P.; Bustaffa, M.; Cecconi, M.; Gattorno, M.; Volpi, S. Remission of Eczema and Recovery of Th1 Polarization Following Treatment with Dupilumab in STAT3 Hyper IgE Syndrome. Pediatr. Allergy Immunol. 2022, 33, e13770. [Google Scholar] [CrossRef]
- Li, W.; Qi, Q.; Wang, W.; Li, D. The Treatment Efficacy of Dupilumab in Autosomal Dominant Hyper-Immunoglobulin E Syndrome with Severe Atopic Dermatitis. Asia Pac. Allergy 2024, 14, 39–41. [Google Scholar] [CrossRef] [PubMed]
- Olbrich, P.; Freeman, A.F. STAT1 and STAT3 Mutations: Important Lessons for Clinical Immunologists. Expert. Rev. Clin. Immunol. 2018, 14, 1029–1041. [Google Scholar] [CrossRef] [PubMed]
- Cowen, E.W.; Nguyen, J.C.; Miller, D.D.; McShane, D.; Arron, S.T.; Prose, N.S.; Turner, M.L.; Fox, L.P. Chronic Phototoxicity and Aggressive Squamous Cell Carcinoma of the Skin in Children and Adults during Treatment with Voriconazole. J. Am. Acad. Dermatol. 2010, 62, 31–37. [Google Scholar] [CrossRef] [PubMed]
- Kosmidis, C.; Mackenzie, A.; Harris, C.; Hashad, R.; Lynch, F.; Denning, D.W. The Incidence of Cutaneous Squamous Cell Carcinoma in Patients Receiving Voriconazole Therapy for Chronic Pulmonary Aspergillosis. Naunyn Schmiedebergs Arch. Pharmacol. 2020, 393, 2233–2237. [Google Scholar] [CrossRef]
- Ashmeik, W.; Schirò, S.; Joseph, G.B.; Link, T.M. Associations of Cumulative Voriconazole Dose, Treatment Duration, and Alkaline Phosphatase with Voriconazole-Induced Periostitis. Skeletal Radiol. 2024. [Google Scholar] [CrossRef]
- Piñones, M.; Vizcaya, C.; Pérez-Mateluna, G.; Hoyos-Bachiloglu, R.; Borzutzky, A. Severe Necrotic Reaction to 23-Valent Polysaccharide Pneumococcal Vaccine in a Patient with STAT3 Deficiency. J. Allergy Clin. Immunol. Pract. 2019, 7, 1631–1632. [Google Scholar] [CrossRef]
- Harrison, S.C.; Tsilifis, C.; Slatter, M.A.; Nademi, Z.; Worth, A.; Veys, P.; Ponsford, M.J.; Jolles, S.; Al-Herz, W.; Flood, T.; et al. Hematopoietic Stem Cell Transplantation Resolves the Immune Deficit Associated with STAT3-Dominant-Negative Hyper-IgE Syndrome. J. Clin. Immunol. 2021, 41, 934–943. [Google Scholar] [CrossRef]
- Nishio, H.; Matsui, K.; Tsuji, H.; Tamura, A.; Suzuki, K. Immunolocalisation of the Janus Kinases (JAK)--Signal Transducers and Activators of Transcription (STAT) Pathway in Human Epidermis. J. Anat. 2001, 198, 581–589. [Google Scholar] [CrossRef] [PubMed]
- Tolomeo, M.; Cascio, A. STAT4 and STAT6, Their Role in Cellular and Humoral Immunity and in Diverse Human Diseases. Int. Rev. Immunol. 2024, 43, 394–418. [Google Scholar] [CrossRef] [PubMed]
- Baghdassarian, H.; Blackstone, S.A.; Clay, O.S.; Philips, R.; Matthiasardottir, B.; Nehrebecky, M.; Hua, V.K.; McVicar, R.; Liu, Y.; Tucker, S.M.; et al. Variant STAT4 and Response to Ruxolitinib in an Autoinflammatory Syndrome. N. Engl. J. Med. 2023, 388, 2241–2252. [Google Scholar] [CrossRef] [PubMed]
- Pastore, S.; De Martino, E.; Taddio, A. Variant STAT4 and Treatment of an Autoinflammatory Syndrome. N. Engl. J. Med. 2023, 389, 1151. [Google Scholar] [CrossRef] [PubMed]
- Smith, M.R.; Satter, L.R.F.; Vargas-Hernández, A. STAT5b: A Master Regulator of Key Biological Pathways. Front. Immunol. 2022, 13, 1025373. [Google Scholar] [CrossRef]
- Scaglia, P.A.; Martínez, A.S.; Feigerlová, E.; Bezrodnik, L.; Gaillard, M.I.; Di Giovanni, D.; Ballerini, M.G.; Jasper, H.G.; Heinrich, J.J.; Fang, P.; et al. A Novel Missense Mutation in the SH2 Domain of the STAT5B Gene Results in a Transcriptionally Inactive STAT5b Associated with Severe IGF-I Deficiency, Immune Dysfunction, and Lack of Pulmonary Disease. J. Clin. Endocrinol. Metab. 2012, 97, E830–E839. [Google Scholar] [CrossRef]
- Pugliese-Pires, P.N.; Tonelli, C.A.; Dora, J.M.; Silva, P.C.A.; Czepielewski, M.; Simoni, G.; Arnhold, I.J.P.; Jorge, A.A.L. A Novel STAT5B Mutation Causing GH Insensitivity Syndrome Associated with Hyperprolactinemia and Immune Dysfunction in Two Male Siblings. Eur. J. Endocrinol. 2010, 163, 349–355. [Google Scholar] [CrossRef]
- Catli, G.; Gao, W.; Foley, C.; Özyilmaz, B.; Edeer, N.; Diniz, G.; Losekoot, M.; van Doorn, J.; Dauber, A.; Dundar, B.N.; et al. Atypical STAT5B Deficiency, Severe Short Stature and Mild Immunodeficiency Associated with a Novel Homozygous STAT5B Variant. Mol. Cell Endocrinol. 2023, 559, 111799. [Google Scholar] [CrossRef]
- Bernasconi, A.; Marino, R.; Ribas, A.; Rossi, J.; Ciaccio, M.; Oleastro, M.; Ornani, A.; Paz, R.; Rivarola, M.A.; Zelazko, M.; et al. Characterization of Immunodeficiency in a Patient with Growth Hormone Insensitivity Secondary to a Novel STAT5b Gene Mutation. Pediatrics 2006, 118, e1584–e1592. [Google Scholar] [CrossRef]
- Vidarsdottir, S.; Walenkamp, M.J.E.; Pereira, A.M.; Karperien, M.; van Doorn, J.; van Duyvenvoorde, H.A.; White, S.; Breuning, M.H.; Roelfsema, F.; Kruithof, M.F.; et al. Clinical and Biochemical Characteristics of a Male Patient with a Novel Homozygous STAT5b Mutation. J. Clin. Endocrinol. Metab. 2006, 91, 3482–3485. [Google Scholar] [CrossRef]
- Hwa, V.; Camacho-Hübner, C.; Little, B.M.; David, A.; Metherell, L.A.; El-Khatib, N.; Savage, M.O.; Rosenfeld, R.G. Growth Hormone Insensitivity and Severe Short Stature in Siblings: A Novel Mutation at the Exon 13-Intron 13 Junction of the STAT5b Gene. Horm. Res. 2007, 68, 218–224. [Google Scholar] [CrossRef] [PubMed]
- Kofoed, E.M.; Hwa, V.; Little, B.; Woods, K.A.; Buckway, C.K.; Tsubaki, J.; Pratt, K.L.; Bezrodnik, L.; Jasper, H.; Tepper, A.; et al. Growth Hormone Insensitivity Associated with a STAT5b Mutation. N. Engl. J. Med. 2003, 349, 1139–1147. [Google Scholar] [CrossRef] [PubMed]
- Hwa, V. Human Growth Disorders Associated with Impaired GH Action: Defects in STAT5B and JAK2. Mol. Cell Endocrinol. 2021, 519, 111063. [Google Scholar] [CrossRef] [PubMed]
- Muthuvel, G.; Al Remeithi, S.S.; Foley, C.; Dauber, A.; Hwa, V.; Backeljauw, P. Recombinant Human Insulin-Like Growth Factor-1 Treatment of Severe Growth Failure in Three Siblings with STAT5B Deficiency. Horm. Res. Paediatr. 2024, 97, 195–202. [Google Scholar] [CrossRef] [PubMed]
- Hwa, V.; Little, B.; Adiyaman, P.; Kofoed, E.M.; Pratt, K.L.; Ocal, G.; Berberoglu, M.; Rosenfeld, R.G. Severe Growth Hormone Insensitivity Resulting from Total Absence of Signal Transducer and Activator of Transcription 5b. J. Clin. Endocrinol. Metab. 2005, 90, 4260–4266. [Google Scholar] [CrossRef]
- Acres, M.J.; Gothe, F.; Grainger, A.; Skelton, A.J.; Swan, D.J.; Willet, J.D.P.; Leech, S.; Galcheva, S.; Iotova, V.; Hambleton, S.; et al. Signal Transducer and Activator of Transcription 5B Deficiency Due to a Novel Missense Mutation in the Coiled-Coil Domain. J. Allergy Clin. Immunol. 2019, 143, 413–416.e4. [Google Scholar] [CrossRef]
- Klammt, J.; Neumann, D.; Gevers, E.F.; Andrew, S.F.; Schwartz, I.D.; Rockstroh, D.; Colombo, R.; Sanchez, M.A.; Vokurkova, D.; Kowalczyk, J.; et al. Dominant-Negative STAT5B Mutations Cause Growth Hormone Insensitivity with Short Stature and Mild Immune Dysregulation. Nat. Commun. 2018, 9, 2105. [Google Scholar] [CrossRef]
- Ramírez, L.; Sanguineti, N.; Scaglia, P.; Keselman, A.; Ballerini, M.G.; Karabatas, L.; Landi, E.; Castro, J.; Domené, S.; Pennisi, P.; et al. A Novel Heterozygous STAT5B Variant in a Patient with Short Stature and Partial Growth Hormone Insensitivity (GHI). Growth Horm. IGF Res. 2020, 50, 61–70. [Google Scholar] [CrossRef]
- Kontro, M.; Kuusanmäki, H.; Eldfors, S.; Burmeister, T.; Andersson, E.I.; Bruserud, O.; Brümmendorf, T.H.; Edgren, H.; Gjertsen, B.T.; Itälä-Remes, M.; et al. Novel Activating STAT5B Mutations as Putative Drivers of T-Cell Acute Lymphoblastic Leukemia. Leukemia 2014, 28, 1738–1742. [Google Scholar] [CrossRef]
- Rajala, H.L.M.; Eldfors, S.; Kuusanmäki, H.; van Adrichem, A.J.; Olson, T.; Lagström, S.; Andersson, E.I.; Jerez, A.; Clemente, M.J.; Yan, Y.; et al. Discovery of Somatic STAT5b Mutations in Large Granular Lymphocytic Leukemia. Blood 2013, 121, 4541–4550. [Google Scholar] [CrossRef]
- Ma, C.A.; Xi, L.; Cauff, B.; DeZure, A.; Freeman, A.F.; Hambleton, S.; Kleiner, G.; Leahy, T.R.; O’Sullivan, M.; Makiya, M.; et al. Somatic STAT5b Gain-of-Function Mutations in Early Onset Nonclonal Eosinophilia, Urticaria, Dermatitis, and Diarrhea. Blood 2017, 129, 650–653. [Google Scholar] [CrossRef] [PubMed]
- Vargas-Hernández, A.; Witalisz-Siepracka, A.; Prchal-Murphy, M.; Klein, K.; Mahapatra, S.; Al-Herz, W.; Mace, E.M.; Carisey, A.F.; Orange, J.S.; Sexl, V.; et al. Human Signal Transducer and Activator of Transcription 5b (STAT5b) Mutation Causes Dysregulated Human Natural Killer Cell Maturation and Impaired Lytic Function. J. Allergy Clin. Immunol. 2020, 145, 345–357.e9. [Google Scholar] [CrossRef] [PubMed]
- Goenka, S.; Kaplan, M.H. Transcriptional Regulation by STAT6. Immunol. Res. 2011, 50, 87–96. [Google Scholar] [CrossRef] [PubMed]
- STAT6 Gain-of-Function International Consortium Human Germline Gain-of-Function in STAT6: From Severe Allergic Disease to Lymphoma and Beyond. Trends Immunol. 2024, 45, 138–153. [CrossRef] [PubMed]
- Sharma, M.; Leung, D.; Momenilandi, M.; Jones, L.C.W.; Pacillo, L.; James, A.E.; Murrell, J.R.; Delafontaine, S.; Maimaris, J.; Vaseghi-Shanjani, M.; et al. Human Germline Heterozygous Gain-of-Function STAT6 Variants Cause Severe Allergic Disease. J. Exp. Med. 2023, 220, e20221755. [Google Scholar] [CrossRef] [PubMed]
- Suratannon, N.; Ittiwut, C.; Dik, W.A.; Ittiwut, R.; Meesilpavikkai, K.; Israsena, N.; Ingrungruanglert, P.; Dalm, V.A.S.H.; van Daele, P.L.A.; Sanpavat, A.; et al. A Germline STAT6 Gain-of-Function Variant Is Associated with Early-Onset Allergies. J. Allergy Clin. Immunol. 2023, 151, 565–571.e9. [Google Scholar] [CrossRef]
- Baris, S.; Benamar, M.; Chen, Q.; Catak, M.C.; Martínez-Blanco, M.; Wang, M.; Fong, J.; Massaad, M.J.; Sefer, A.P.; Kara, A.; et al. Severe Allergic Dysregulation Due to a Gain of Function Mutation in the Transcription Factor STAT6. J. Allergy Clin. Immunol. 2023, 152, 182–194.e7. [Google Scholar] [CrossRef]
- Takeuchi, I.; Yanagi, K.; Takada, S.; Uchiyama, T.; Igarashi, A.; Motomura, K.; Hayashi, Y.; Nagano, N.; Matsuoka, R.; Sugiyama, H.; et al. STAT6 Gain-of-Function Variant Exacerbates Multiple Allergic Symptoms. J. Allergy Clin. Immunol. 2023, 151, 1402–1409.e6. [Google Scholar] [CrossRef]
- Minskaia, E.; Maimaris, J.; Jenkins, P.; Albuquerque, A.S.; Hong, Y.; Eleftheriou, D.; Gilmour, K.C.; Grace, R.; Moreira, F.; Grimbacher, B.; et al. Autosomal Dominant STAT6 Gain of Function Causes Severe Atopy Associated with Lymphoma. J. Clin. Immunol. 2023, 43, 1611–1622. [Google Scholar] [CrossRef]
- Faguer, S.; Delabesse, E.; Paul, C.; Pasquet, M. IL-4Rα Inhibition for Severe “Eosinophilic Gastroenteritis, Allergy, and Anaphylaxis” Syndrome Due to a Gain-of-Function Variant in STAT6. J. Clin. Immunol. 2023, 44, 29. [Google Scholar] [CrossRef]


| Defects 1 | Bacteria: S. aureus | Bacteria: Pyogenic | Mycobacteria | Herpes Viruses | Respiratory Viruses | Vaccine Acquired Virus | Candida | Molds | Endemic Fungi |
|---|---|---|---|---|---|---|---|---|---|
| AR STAT1 LOF | + 5 | + | +++ | ++ | ++ | ++ | + | + | - |
| AD STAT1 LOF | - | - | +++ | - | - | - | - | - | - |
| STAT1 GOF | + | ++ | + | ++ | + | + | +++ | + | ++ |
| STAT2 LOF | - | - | - | ++ | ++ | +++ | - | - | - |
| STAT3 DN | +++ | ++ | + | + | - | - | +++ | ++ | ++ |
| STAT3 GOF 2 | + | ++ | + | + | + | - | - | + | - |
| STAT4 GOF 3 | + | + | - | - | - | - | - | - | - |
| STAT5B LOF | + | + | - | ++ | + | - | - | - | - |
| STAT6 GOF 4 | ++ | + | - | + | - | - | + | - | - |
Disclaimer/Publisher’s Note: The statements, opinions and data contained in all publications are solely those of the individual author(s) and contributor(s) and not of MDPI and/or the editor(s). MDPI and/or the editor(s) disclaim responsibility for any injury to people or property resulting from any ideas, methods, instructions or products referred to in the content. |
© 2024 by the authors. Licensee MDPI, Basel, Switzerland. This article is an open access article distributed under the terms and conditions of the Creative Commons Attribution (CC BY) license (https://creativecommons.org/licenses/by/4.0/).
Share and Cite
Wang, C.; Freeman, A.F. Infections in Inborn Errors of STATs. Pathogens 2024, 13, 955. https://doi.org/10.3390/pathogens13110955
Wang C, Freeman AF. Infections in Inborn Errors of STATs. Pathogens. 2024; 13(11):955. https://doi.org/10.3390/pathogens13110955
Chicago/Turabian StyleWang, Chen, and Alexandra F. Freeman. 2024. "Infections in Inborn Errors of STATs" Pathogens 13, no. 11: 955. https://doi.org/10.3390/pathogens13110955
APA StyleWang, C., & Freeman, A. F. (2024). Infections in Inborn Errors of STATs. Pathogens, 13(11), 955. https://doi.org/10.3390/pathogens13110955

