Survival of Hemophagocytic Syndrome Secondary to Fungal and Bacterial Infection in a Pediatric Patient with HIV: A Case Report
Abstract
1. Introduction
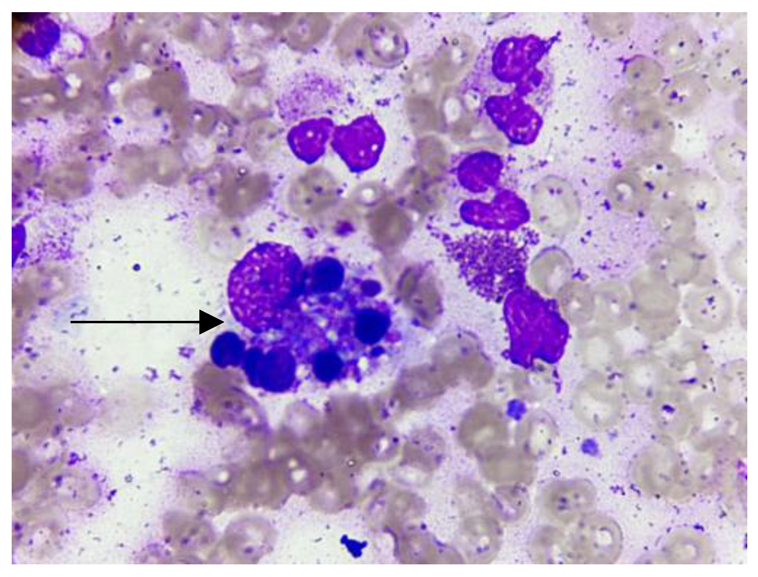
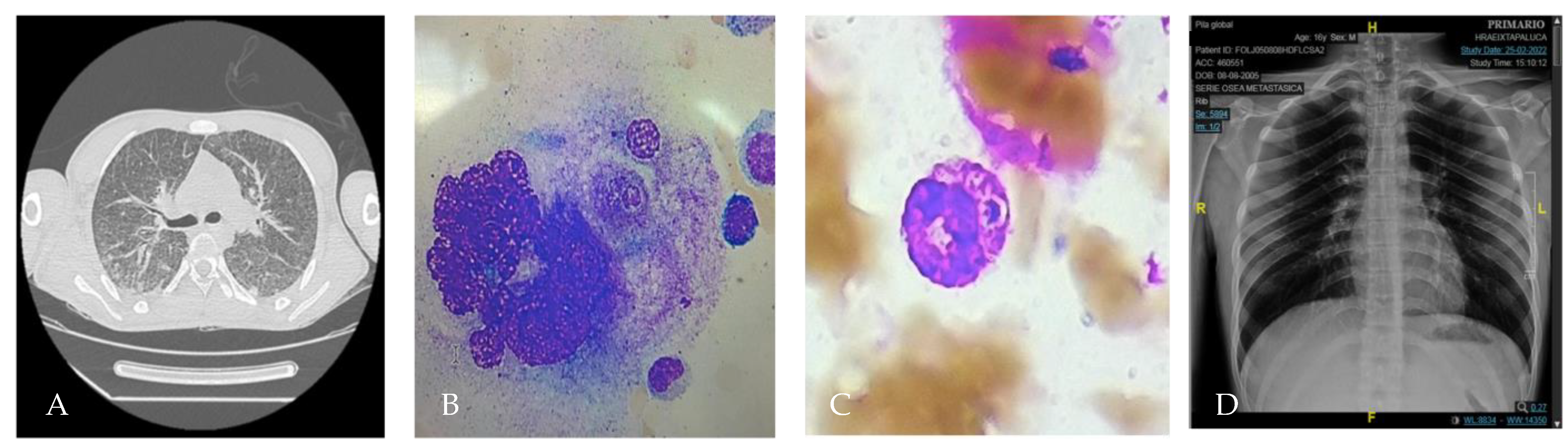
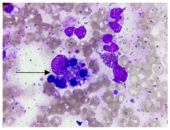
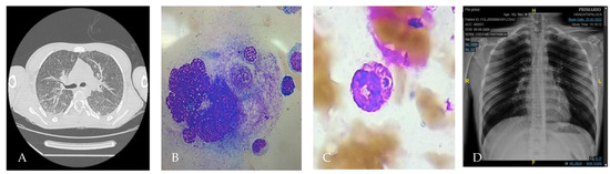
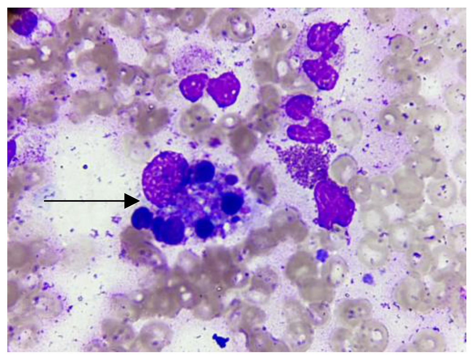
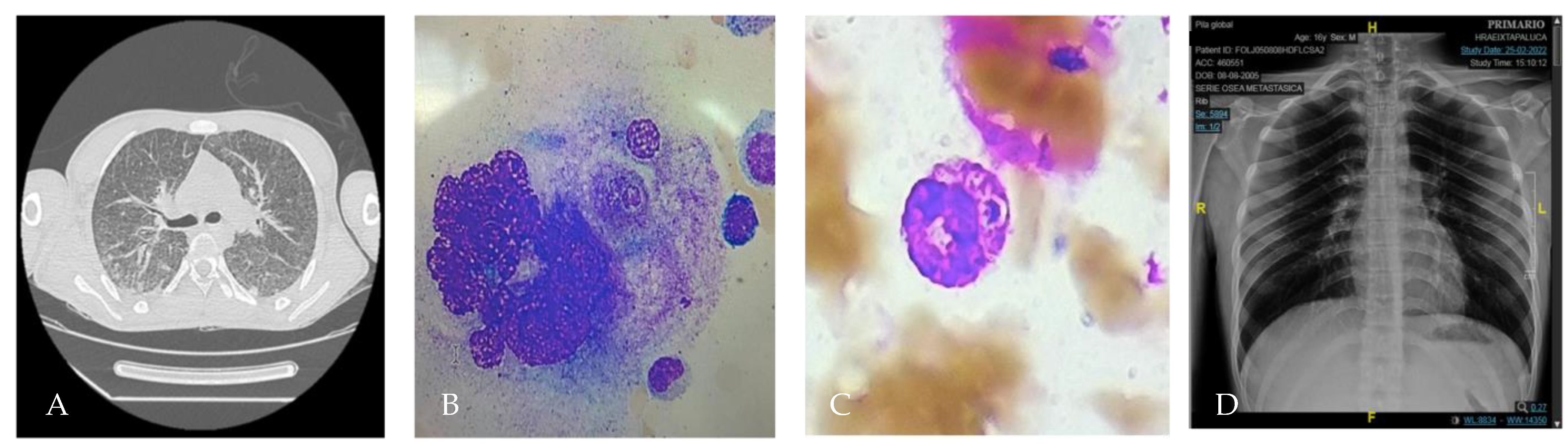
2. Case Presentation
3. Discussion
4. Conclusions
Author Contributions
Funding
Institutional Review Board Statement
Informed Consent Statement
Data Availability Statement
Acknowledgments
Conflicts of Interest
References
- Freire, M.; Carvalho, V.; Spener, R.; da Silva, C.R.; da Silva Neto, J.R.; Carlos Ferreira, L.; Afonso Nogueira, P. Hemophagocytic Syndrome in a Patient with HIV and Histoplasmosis: A not so Rare Correlation. Clin. Pathol. 2022, 15, 2632010X2211180. [Google Scholar] [CrossRef] [PubMed]
- Chiperi, L.E.; Ionescu, A.D.; Marcu, C.T.; Itu-Muresan, C.; Pantelemon, C. Hemophagocytic lymphohistiocytosis in a child with human immunodeficiency virus infection-a case report. Rom. J. Morphol. Embryol. 2021, 62, 279–282. [Google Scholar] [CrossRef] [PubMed]
- Yan, H.; Mo, Y.; Liu, S.; Luo, X.; Liu, L.; Zhou, L.; Zhang, X.; Chen, Y.; Cao, K. Case report: Hemophagocytic lymphohistiocytosis in a child with primary immunodeficiency infected with Talaromyces marneffei. Front. Immunol. 2022, 13, 1038354. [Google Scholar] [CrossRef] [PubMed]
- Tabaja, H.; Kanj, A.; El Zein, S.; Comba, I.Y.; Chehab, O.; Mahmood, M. A review of hemophagocytic lymphohistiocytosis in patients with HIV. Open Forum. Infect. Dis. 2022, 9, ofac071. [Google Scholar] [CrossRef] [PubMed]
- Miyahara, H.; Korematsu, S.; Nagakura, T.; Iwata, A.; Suenobu, S.; Izumi, T. Hemophagocytic lymphohistiocytosis in a human immunodeficiency virus-positive homosexual high school student. Pediatr. Int. 2007, 49, 997–999. [Google Scholar] [CrossRef] [PubMed]
- Gupta, N.; Jain, P.; Singh, K.; Bhattacharya, S. Super-refractory status epilepticus with hemophagocytic syndrome in a child with HIV infection. J. Trop. Pediatr. 2017, 63, 414–416. [Google Scholar] [CrossRef] [PubMed]
- Gómez-Espejo, S.M.; Olalla-Sierra, J.; Marí-Jiménez, P.; Pereda-Salguero, T.; Pérez-Stachowski, J.; de-la-Torre-Lima, J.; Del Arco Jiménez, A.; Prada-Pardal, J.L. Reconstitution Inflammatory Syndrome Like Reactive Hemophagocytic Syndrome Associated with Disseminated Histoplasmosis in a HIV Patient. Mycopathologia 2017, 182, 767–770. [Google Scholar] [CrossRef] [PubMed]
- Telles, J.P.; de Andrade Perez, M.; Marcusso, R.; Correa, K.; Azevedo, T.; Tobias, W.M. Hemophagocytic syndrome in patients living with HIV: A retrospective study. Ann. Hematol. 2019, 98, 67–72. [Google Scholar] [CrossRef] [PubMed]
- Paddock, C.D.; Folk, S.M.; Shore, G.M.; Machado, L.J.; Huycke, M.M.; Slater, L.N.; Liddell, A.M.; Buller, R.S.; Storch, G.A.; Monson, T.P.; et al. Infections with Ehrlichia chaffeensis and Ehrlichia ewingii in Persons Coinfected with Human Immunodeficiency Virus. Clin. Infect. Dis. 2001, 33, 1586–1594. [Google Scholar] [CrossRef] [PubMed]
- Tolia, J.; Smith, L.G. Fever of unknown origin: Historical and physical clues to making diagnosis. Infect. Dis. Clin. N. Am. 2007, 21, 917–936. [Google Scholar] [CrossRef] [PubMed]
- Carreto-Binaghi, L.E.; Morales-Villarreal, F.R.; García-de la Torre, G.; Vite-Garín, T.; Ramirez, J.A.; Aliouat, E.M.; Martínez-Orozco, J.A.; Taylor, M.L. Histoplasma capsulatum and Pneumocystis jirovecii coinfection in hospitalized HIV and non-HIV patients from a tertiary care hospital in Mexico. Int. J. Infect. Dis. 2019, 86, 65–72. [Google Scholar] [CrossRef] [PubMed]
- Naqash, A.R.; Yogarajah, M.; Vallangeon, B.D.; Hafiz, M.; Patel, D.; Kolychev, E. Hemophagocytic lymphohistiocytosis (HLH) secondary to Ehrlichia chaffeensis with bone marrow involvement. Ann. Hematol. 2017, 96, 1755–1758. [Google Scholar] [CrossRef] [PubMed]
- Hamada, Y.; Getahun, H.; Tadesse, B.T.; Ford, N. HIV-associated tuberculosis. Int. J. STD AIDS 2021, 32, 780–790. [Google Scholar] [CrossRef] [PubMed]
- Adachi, E.; Koibuchi, T.; Imai, K.; Kikuchi, T.; Shimizu, S.; Koga, M.; Nakamura, H.; Iwamoto, A.; Fujii, T. Hemophagocytic syndrome in an acute human immunodeficiency virus infection. Intern. Med. 2013, 52, 629–632. [Google Scholar] [CrossRef] [PubMed]
- Sproat, L.O.; Pantanowitz, L.; Lu, C.M.; Dezube, B.J. Human immunodeficiency virus-associated hemophagocytosis with iron-deficiency anemia and massive splenomegaly. Clin. Infect. Dis. 2003, 37, e170–e173. [Google Scholar] [CrossRef] [PubMed][Green Version]
- Bindra, B.S.; García de Jesus, K.; Cisneros, O.; Jorge, V.M.; Kaur, H. Hemophagocytic Lymphohistiocytosis: Management and special consideration in human immunodeficiency virus positive patients with immune reconstitution syndrome. Cureus 2019, 11, e5402. [Google Scholar] [CrossRef] [PubMed]




| Diagnosis | Diagnostic Methods | Treatment | Date of Diagnosis |
|---|---|---|---|
| AIDS | ELISA for positive HIV Positive Western blot CD4+ 31 cells μL/3% Viral load 379,000 copies/mL HIV-1 genotype without resistance | Efavirenz 600 mg Tenofovir 245 mg Emtricitabine 200 mg Prophylaxis for severe immunosuppression with acyclovir and azithromycin | 19 May 2021 20 May 2021 26 May 2021 8 June 2021 |
| Ehrlichiosis | Thick drop test Negative blood cultures | Doxycycline 100 mg oral every 12 h | 19 May 2021 |
| Pneumocystosis | Chest CAT scan BAL pathology report | TMP-SMX 20 mg/kg/day Dexamethasone 10 mg/m2SC day | 28 May 2021 |
| Disseminated histoplasmosis | Pathology report of BAL Findings of blastoconidia in bone marrow aspirate Positive serum galactomannan Histoplasma capsulatum positive culture | Amphotericin B Itraconazole | 28 May 2021 29 May 2021 6 June 2021 6 June 2021 |
| Pulmonary tuberculosis | Positive PCR in BAL Positive auramine stain in BAL Indeterminate Quantiferon Negative bacilloscopy | Isoniazid 75 mg oral every 24 h Rifampicin 150 mg oral every 24 h Pyrazinamide 300 mg oral every 24 h Ethambutol 400 mg oral every 24 h | 29 May 2021 4 June 2021 |
| Hemophagocytic lymphohistiocytosis | Fever Splenomegaly Ferritin > 15,000 μg/L Triglycerides 415 mg/dL Hemophagocytosis on bone marrow (bone marrow biopsy) | Gamma globulin 1 g/kg/day Dexamethasone Etoposide Cyclosporine A | 29 May 2021 |
Disclaimer/Publisher’s Note: The statements, opinions and data contained in all publications are solely those of the individual author(s) and contributor(s) and not of MDPI and/or the editor(s). MDPI and/or the editor(s) disclaim responsibility for any injury to people or property resulting from any ideas, methods, instructions or products referred to in the content. |
© 2023 by the authors. Licensee MDPI, Basel, Switzerland. This article is an open access article distributed under the terms and conditions of the Creative Commons Attribution (CC BY) license (https://creativecommons.org/licenses/by/4.0/).
Share and Cite
Reina-Bautista, E.; Valencia-Ledezma, O.E.; Frías-De-León, M.G.; Acosta-Altamirano, G.; Castro-Fuentes, C.A. Survival of Hemophagocytic Syndrome Secondary to Fungal and Bacterial Infection in a Pediatric Patient with HIV: A Case Report. Pathogens 2023, 12, 1021. https://doi.org/10.3390/pathogens12081021
Reina-Bautista E, Valencia-Ledezma OE, Frías-De-León MG, Acosta-Altamirano G, Castro-Fuentes CA. Survival of Hemophagocytic Syndrome Secondary to Fungal and Bacterial Infection in a Pediatric Patient with HIV: A Case Report. Pathogens. 2023; 12(8):1021. https://doi.org/10.3390/pathogens12081021
Chicago/Turabian StyleReina-Bautista, Erika, Omar Esteban Valencia-Ledezma, María Guadalupe Frías-De-León, Gustavo Acosta-Altamirano, and Carlos Alberto Castro-Fuentes. 2023. "Survival of Hemophagocytic Syndrome Secondary to Fungal and Bacterial Infection in a Pediatric Patient with HIV: A Case Report" Pathogens 12, no. 8: 1021. https://doi.org/10.3390/pathogens12081021
APA StyleReina-Bautista, E., Valencia-Ledezma, O. E., Frías-De-León, M. G., Acosta-Altamirano, G., & Castro-Fuentes, C. A. (2023). Survival of Hemophagocytic Syndrome Secondary to Fungal and Bacterial Infection in a Pediatric Patient with HIV: A Case Report. Pathogens, 12(8), 1021. https://doi.org/10.3390/pathogens12081021

