Toxoplasma gondii and Alternaria sp.: An Original Association in an Immunosuppressed Dog with Persistent Skin Lesions
Abstract
1. Introduction
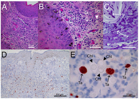
2. Case Report
3. Discussion
4. Conclusions
Author Contributions
Funding
Institutional Review Board Statement
Informed Consent Statement
Data Availability Statement
Acknowledgments
Conflicts of Interest
References
- Viviano, K.R. Glucocorticoids, Cyclosporine, Azathioprine, Chlorambucil, and Mycophenolate in Dogs and Cats: Clinical Uses, Pharmacology, and Side Effects. Vet. Clin. N. Am. Small Anim Pract. 2022, 52, 797–817. [Google Scholar] [CrossRef] [PubMed]
- Dubey, J.P. Toxoplasmosis of Animals and Humans, 2nd ed.; CRC Press Taylor and Francis Group: Boca Raton, FL, USA, 2010. [Google Scholar]
- Wang, Z.-D.; Liu, H.-H.; Ma, Z.-X.; Ma, H.-Y.; Li, Z.-Y.; Yang, Z.-B.; Zhu, X.-Q.; Xu, B.; Wei, F.; Liu, Q. Toxoplasma gondii Infection in Immunocompromised Patients: A Systematic Review and Meta-Analysis. Front. Microbiol. 2017, 8, 389. [Google Scholar] [CrossRef] [PubMed]
- Pepper, A.; Mansfield, C.; Stent, A.; Johnstone, T. Toxoplasmosis as a cause of life-threatening respiratory distress in a dog receiving immunosuppressive therapy. Clin. Case Rep. 2019, 7, 942–948. [Google Scholar] [CrossRef]
- Webb, J.A.; Keller, S.L.; Southorn, E.P.; Armstrong, J.; Allen, D.G.; Peregrine, A.S.; Dubey, J.P. Cutaneous manifestations of disseminated toxoplasmosis in an immunosuppressed dog. J. Am. Anim. Hosp. Assoc. 2005, 41, 198–202. [Google Scholar] [CrossRef] [PubMed]
- Calero-Bernal, R.; Gennari, S.M. Clinical Toxoplasmosis in Dogs and Cats: An Update. Front. Vet. Sci. 2019, 26, 6–54. [Google Scholar] [CrossRef]
- Lee, S.A.; Diwan, A.H.; Cohn, M.; Champlin, R.; Safdar, A. Cutaneous toxoplasmosis: A case of confounding diagnosis. Bone Marrow Transplant. 2005, 36, 465–466. [Google Scholar] [CrossRef] [PubMed]
- Chowdhary, A.; Perfect, J.; de Hoog, G.S. Black Molds and Melanized Yeasts Pathogenic to Humans. Cold Spring Harb. Perspect. Med. 2015, 5, a019570. [Google Scholar] [CrossRef]
- Dedola, C.; Sturat, A.P.; Ridyard, A.E. Cutaneous Alternaria infectoria infection in a dog in association with therapeutic immunosuppression for the management of immune-mediated haemolytic anaemia. Vet. Dermatol. 2010, 21, 626–634. [Google Scholar] [CrossRef]
- Subapriya, S.; Senthil, N.R.; Vairamuthu, S.; Nagarajan, B.; Jayanthi, C.; Thirunavukkarasu, P.S. Opportunistic fungi as etiologic agents of dermatitis-a case of Alternaria fungal infestation in canines. Int. J. Livest. Res. 2015, 5, 24–28. [Google Scholar] [CrossRef]
- Singh, V.K.; Kumar, A.; Pandey, R.P.; Yadav, S.K. Diagnosis and successful management of a rare case of phaeohyphomycosis in a Doberman pinscher dog. Iran. J. Vet. Res. 2018, 19, 321–324. [Google Scholar]
- Pastor, F.J.; Guarro, J. Alternaria infections: Laboratory diagnosis and relevant clinical features. Clin. Microbiol. Infect. 2008, 14, 734–746. [Google Scholar] [CrossRef] [PubMed]
- Andreopoulou, M.; Schares, G.; Koethe, M.; Chaligiannis, I.; Maksimov, P.; Joeres, M.; Cardron, G.; Goroll, T.; Sotiraki, S.; Daugschies, A.; et al. Prevalence and molecular characterization of Toxoplasma gondii in different types of poultry in Greece, associated risk factors and co-existence with Eimeria spp. Parasitol. Res. 2023, 122, 97–111. [Google Scholar] [CrossRef] [PubMed]
- Legnani, S.; Pantchev, N.; Forlani, A.; Zini, E.; Schares, G.; Balzer, J.; Roccabianca, P.; Ferri, F.; Zanna, G. Emergence of cutaneous neosporosis in a dog receiving immunosuppressive therapy: Molecular identification and management. Vet. Dermatol. 2016, 27, 49-e14. [Google Scholar] [CrossRef]
- Talabani, H.; Asseraf, M.; Year, H.; Delair, E.; Ancelle, T.; Thulliez, P.; Brezin, A.P.; Dupouy-Camet, J. Contributions of immunoblotting, real-time PCR, and the Goldmann-Witmer coefficient to diagnosis of atypical toxoplasmic retinochoroiditis. J. Clin. Microbiol. 2009, 47, 2131–2135. [Google Scholar] [CrossRef]
- Constantin, E.M.; Schares, G.; Grossmann, E.; Sauter, K.; Romig, T.; Hartmann, S. Studies on the role of the red fox (Vulpes vulpes) as a potential definitive host of Neospora caninum. Berl. Munch. Tierarztl. Wochenschr. 2001, 124, 148–153. (In German) [Google Scholar] [CrossRef]
- Sandhu, G.S.; Kline, B.C.; Stockman, L.; Roberts, G.D. Molecular probes for diagnosis of fungal infections. J. Clin. Microbiol. 1995, 33, 2913–2919. [Google Scholar] [CrossRef] [PubMed]
- Su, C.; Zhang, X.; Dubey, J.P. Genotyping of Toxoplasma gondii by multilocus PCR-RFLP markers: A high resolution and simple method for identification of parasites. Int. J. Parasitol. 2006, 36, 841–848. [Google Scholar] [CrossRef] [PubMed]
- Dubey, J.P.; Hemphill, A.; Calero-Bernal, R.; Schares, G. Neosporosis in Animals; CRC Press Taylor and Francis Group: Boca Raton, FL, USA, 2017. [Google Scholar]
- Fernández-Escobar, M.; Schares, G.; Maksimov, P.; Joeres, M.; Ortega-Mora, L.M. Toxoplasma gondii genotyping: A closer look into Europe. Front. Cell. Infect. Microbiol. 2022, 12, 305. [Google Scholar] [CrossRef]
- Robert-Gangneux, F.; Darde, M.L. Epidemiology of and diagnostic strategies for toxoplasmosis. Clin. Microbiol. Rev. 2012, 25, 264–296. [Google Scholar] [CrossRef]
- Villard, O.; Cimon, B.; L’Ollivier, C.; Fricker-Hidalgo, H.; Godineau, N.; Houze, S.; Paris, L.; Pelloux, H.; Villena, I.; Candolfi, E. Serological diagnosis of Toxoplasma gondii infection Recommendations from the French National Reference Center for Toxoplasmosis Diagn. Microbiol. Infect. Dis. 2016, 84, 22–33. [Google Scholar] [CrossRef] [PubMed]
- McAtee, B.B.; Cummings, K.J.; Cook, A.K.; Lidbury, J.A.; Heseltine, J.C.; Willard, M.D. Opportunistic Invasive Cutaneous Fungal Infections Associated with Administration of Cyclosporine to Dogs with Immune-mediated Disease. J. Vet. Intern. Med. 2017, 31, 1724–1729. [Google Scholar] [CrossRef] [PubMed]


Disclaimer/Publisher’s Note: The statements, opinions and data contained in all publications are solely those of the individual author(s) and contributor(s) and not of MDPI and/or the editor(s). MDPI and/or the editor(s) disclaim responsibility for any injury to people or property resulting from any ideas, methods, instructions or products referred to in the content. |
© 2023 by the authors. Licensee MDPI, Basel, Switzerland. This article is an open access article distributed under the terms and conditions of the Creative Commons Attribution (CC BY) license (https://creativecommons.org/licenses/by/4.0/).
Share and Cite
Blaga, R.; Fabres, V.; Leynaud, V.; Fontaine, J.-J.; Reyes-Gomez, E.; Briand, A.; Crosaz, O.; Lagrange, I.; Blaizot, A.; Roux, D.L.; et al. Toxoplasma gondii and Alternaria sp.: An Original Association in an Immunosuppressed Dog with Persistent Skin Lesions. Pathogens 2023, 12, 114. https://doi.org/10.3390/pathogens12010114
Blaga R, Fabres V, Leynaud V, Fontaine J-J, Reyes-Gomez E, Briand A, Crosaz O, Lagrange I, Blaizot A, Roux DL, et al. Toxoplasma gondii and Alternaria sp.: An Original Association in an Immunosuppressed Dog with Persistent Skin Lesions. Pathogens. 2023; 12(1):114. https://doi.org/10.3390/pathogens12010114
Chicago/Turabian StyleBlaga, Radu, Virginie Fabres, Vincent Leynaud, Jean-Jacques Fontaine, Edouard Reyes-Gomez, Amaury Briand, Odile Crosaz, Isabelle Lagrange, Amandine Blaizot, Delphine Le Roux, and et al. 2023. "Toxoplasma gondii and Alternaria sp.: An Original Association in an Immunosuppressed Dog with Persistent Skin Lesions" Pathogens 12, no. 1: 114. https://doi.org/10.3390/pathogens12010114
APA StyleBlaga, R., Fabres, V., Leynaud, V., Fontaine, J.-J., Reyes-Gomez, E., Briand, A., Crosaz, O., Lagrange, I., Blaizot, A., Roux, D. L., Castillo, V. R., Maksimov, P., Guillot, J., Teifke, J. P., & Schares, G. (2023). Toxoplasma gondii and Alternaria sp.: An Original Association in an Immunosuppressed Dog with Persistent Skin Lesions. Pathogens, 12(1), 114. https://doi.org/10.3390/pathogens12010114

