Making a Comeback: Syphilitic Hepatitis in a Patient with Late Latent Syphilis—Case Report and Review of the Literature
Abstract
1. Introduction
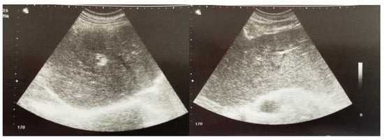
2. Case Presentation
3. Discussions
4. Conclusions
Author Contributions
Funding
Institutional Review Board Statement
Informed Consent Statement
Data Availability Statement
Conflicts of Interest
References
- Hussain, N.; Igbinedion, S.O.; Diaz, R.; Alexander, J.S.; Boktor, M.; Knowles, K. Liver Cholestasis Secondary to Syphilis in an Immunocompetent Patient. Case Rep. Hepatol. 2018, 2018, 8645068. [Google Scholar] [CrossRef] [PubMed]
- Mandache, C.; Coca, C.; Caro-Sampara, F.; Haberstezer, F.; Coumaros, D.; Blicklé, F.; Andrès, E. A forgotten aetiology of acute hepatitis in immunocompetent patient: Syphilitic infection. J. Intern. Med. 2006, 259, 214–215. [Google Scholar] [CrossRef] [PubMed]
- Rubio-Tapia, A.; Hujoel, I.A.; Smyrk, T.C.; Poterucha, J.J. Emerging secondary syphilis presenting as syphilitic hepatitis. Hepatology 2017, 65, 2113–2115. [Google Scholar] [CrossRef] [PubMed]
- Huang, J.; Lin, S.; Wan, B.; Zhu, Y. A Systematic Literature Review of Syphilitic Hepatitis in Adults. J. Clin. Transl. Hepatol. 2018, 6, 306–309. [Google Scholar] [CrossRef] [PubMed]
- Rowley, J.; Vander Hoorn, S.; Korenromp, E.; Low, N.; Unemo, M.; Abu-Raddad, L.J.; Chico, R.M.; Smolak, A.; Newman, L.; Gottlieb, S.; et al. Chlamydia, gonorrhoea, trichomoniasis and syphilis: Global prevalence and incidence estimates, 2016. Bull. World Health Organ. 2019, 97, 548–562. [Google Scholar] [CrossRef] [PubMed]
- Ghanem, K.G.; Ram, S.; Rice, P.A. The Modern Epidemic of Syphilis. N. Engl. J. Med. 2020, 382, 845–854. [Google Scholar] [CrossRef] [PubMed]
- Hunter, M.; Brine, P. An atypical presentation of a re-emerging disease. J. Community Hosp. Intern. Med. Perspect. 2017, 7, 49–52. [Google Scholar] [CrossRef] [PubMed]
- Tiecco, G.; Degli Antoni, M.; Storti, S.; Marchese, V.; Focà, E.; Torti, C.; Castelli, F.; Quiros-Roldan, E. A 2021 Update on Syphilis: Taking Stock from Pathogenesis to Vaccines. Pathogens 2021, 10, 1364. [Google Scholar] [CrossRef] [PubMed]
- Shah, J.; Lingiah, V.; Niazi, M.; Olivo-Salcedo, R.; Pyrsopoulos, N.; Galan, M.; Shahidullah, A. Acute Liver Injury as a Manifestation of Secondary Syphilis. ACG Case Rep. J. 2021, 8, e00668. [Google Scholar] [CrossRef] [PubMed]
- Alemam, A.; Ata, S.; Shaikh, D.; Leuzzi, B.; Makker, J. Syphilitic Hepatitis: A Rare Cause of Acute Liver Injury. Cureus 2021, 13, e14800. [Google Scholar] [CrossRef] [PubMed]
- Mullick, C.J.; Liappis, A.P.; Benator, D.A.; Roberts, A.D.; Parenti, D.M.; Simon, G.L. Syphilitic hepatitis in HIV-infected patients: A report of 7 cases and review of the literature. Clin. Infect. Dis. 2004, 39, e100–e105. [Google Scholar] [CrossRef] [PubMed]
- Subedi, A.; Hoilat, G.; Kumar, V.C.S.; Bhutta, A.; Subedi, A.S.; Gupta, A. Syphilitic hepatitis as a manifestation of secondary syphilis. In Baylor University Medical Center Proceedings; Taylor & Francis: Oxfordshire, UK, 2021; Volume 34, pp. 696–697. [Google Scholar]
- Huang, J.; Lin, S.; Wang, M.; Wan, B.; Zhu, Y. Syphilitic hepatitis: A case report and review of the literature. BMC Gastroenterol. 2019, 19, 191–199. [Google Scholar] [CrossRef] [PubMed]
- Pereira, F.G.; Leal, M.S.; Meireles, D.; Cavadas, S. Syphilitic hepatitis; a rare manifestation of a common disease. Gastroenterol. Hepatol. Bed Bench 2021, 14, 77–80. [Google Scholar] [PubMed]
- Marcos, P.; Eliseu, L.; Henrique, M.; Vasconcelos, H. Syphilitic hepatitis: Case report of an overlooked condition. Clin. Case Rep. 2019, 8, 123–126. [Google Scholar] [CrossRef] [PubMed]
- Luo, Y.; Xie, Y.; Xiao, Y. Laboratory Diagnostic Tools for Syphilis: Current Status and Future Prospects. Front. Cell Infect. Microbiol. 2021, 10, 574806. [Google Scholar] [CrossRef] [PubMed]
- Clement, M.E.; Okeke, N.L.; Hicks, C.B. Treatment of syphilis: A systematic review. JAMA 2014, 312, 1905–1917. [Google Scholar] [CrossRef] [PubMed]
- Centers for Disease Control and Prevention. Sexually Transmitted Disease Surveillance 2018; Department of Health and Human Services: Atlanta, GA, USA, 2019; pp. 24–31. Available online: https://www.cdc.gov/std/stats18/Syphilis.htm (accessed on 1 September 2022).


Publisher’s Note: MDPI stays neutral with regard to jurisdictional claims in published maps and institutional affiliations. |
© 2022 by the authors. Licensee MDPI, Basel, Switzerland. This article is an open access article distributed under the terms and conditions of the Creative Commons Attribution (CC BY) license (https://creativecommons.org/licenses/by/4.0/).
Share and Cite
Plesa, A.; Gheorghe, L.; Hincu, C.E.; Clim, A.; Nemteanu, R. Making a Comeback: Syphilitic Hepatitis in a Patient with Late Latent Syphilis—Case Report and Review of the Literature. Pathogens 2022, 11, 1151. https://doi.org/10.3390/pathogens11101151
Plesa A, Gheorghe L, Hincu CE, Clim A, Nemteanu R. Making a Comeback: Syphilitic Hepatitis in a Patient with Late Latent Syphilis—Case Report and Review of the Literature. Pathogens. 2022; 11(10):1151. https://doi.org/10.3390/pathogens11101151
Chicago/Turabian StylePlesa, Alina, Liliana Gheorghe, Corina Elena Hincu, Andreea Clim, and Roxana Nemteanu. 2022. "Making a Comeback: Syphilitic Hepatitis in a Patient with Late Latent Syphilis—Case Report and Review of the Literature" Pathogens 11, no. 10: 1151. https://doi.org/10.3390/pathogens11101151
APA StylePlesa, A., Gheorghe, L., Hincu, C. E., Clim, A., & Nemteanu, R. (2022). Making a Comeback: Syphilitic Hepatitis in a Patient with Late Latent Syphilis—Case Report and Review of the Literature. Pathogens, 11(10), 1151. https://doi.org/10.3390/pathogens11101151
