Virulence Properties of GI-23 Infectious Bronchitis Virus Isolated in Poland and Efficacy of Different Vaccination strategies
Abstract
1. Introduction
2. Results
2.1. Pathogenicity Study in SPF Chickens
2.1.1. Clinical Findings
2.1.2. Pathological Findings
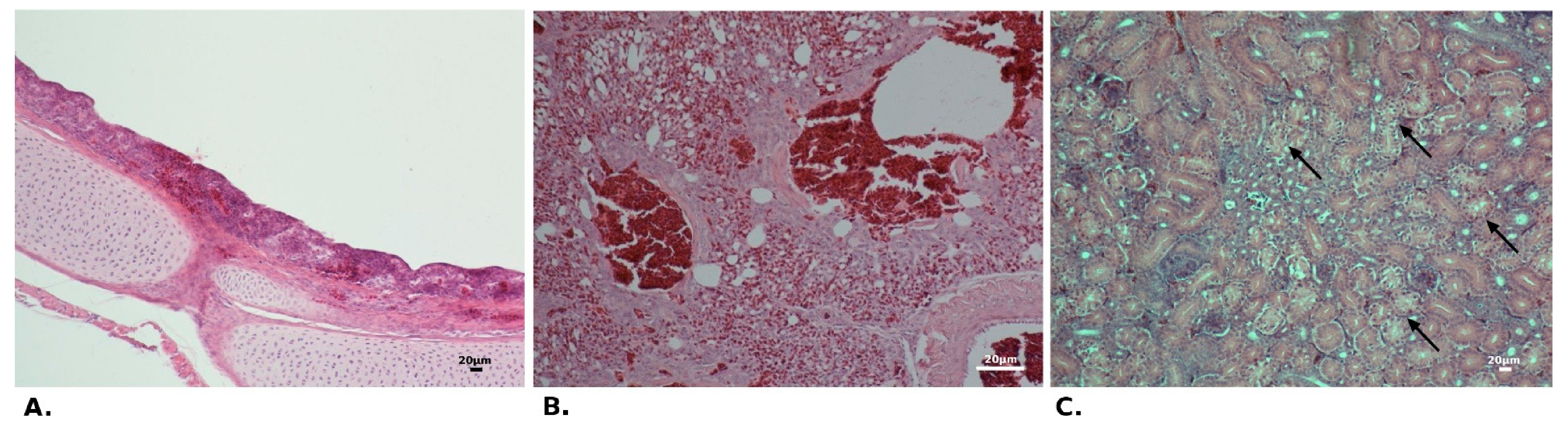
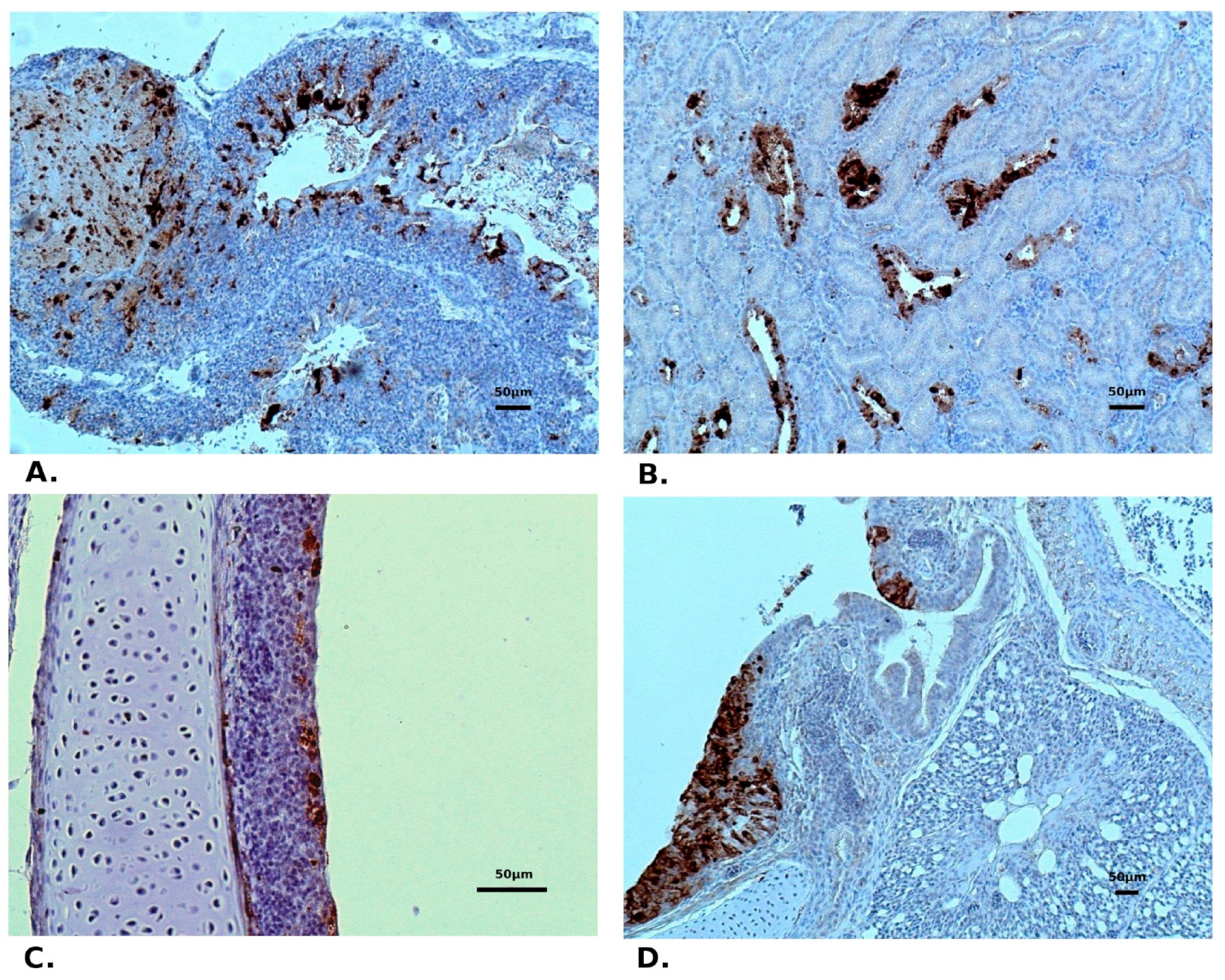
2.1.3. Histopathological and Immunohistochemistry Findings
2.1.4. Viral Shedding
2.1.5. Evaluation of Cross-Protection of Different Vaccination Strategies against IBV gammacov/Ck/Poland/G052/2016 Infection
3. Discussion
4. Materials and Methods
4.1. Ethical Statement
4.2. Viral Strain
4.3. Pathogenicity Study in SPF Chickens
4.4. Histopathology and Immunohistochemistry (IHC)
4.5. Viral RNA Load by Real-Time RT-qPCR
4.6. Evaluation of Cross-Protection of Different Vaccination Strategies against IBV Var2 Infection
4.7. Ciliary Activity Inhibition
4.8. Statistical Analysis
Author Contributions
Funding
Institutional Review Board Statement
Informed Consent Statement
Data Availability Statement
Acknowledgments
Conflicts of Interest
References
- Schalk, A.F.; Hawn, M.C. An apparent new respiratory disease of baby chicks. J. Am. Vet. Med. Assoc. 1931, 78, 413–423. [Google Scholar]
- Beach, J.R.; Schalm, O.W. A Filterable Virus, Distinct from that of Laryngotracheitis, the Cause of a Respiratory Disease of Chicks. Poult. Sci. 1936, 15, 199–206. [Google Scholar] [CrossRef]
- de Wit, J.J.; Cook, J.K.A.; van der Heijden, H.M.J.F. Infectious bronchitis virus variants: A review of the history, current situation and control measures. Avian Pathol. 2011, 40, 223–235. [Google Scholar] [CrossRef] [PubMed]
- Jackwood, M.W.; Hall, D.; Handel, A. Molecular evolution and emergence of avian gammacoronaviruses. Infect. Genet. Evol. 2012, 12, 1305–1311. [Google Scholar] [CrossRef]
- Valastro, V.; Holmes, E.C.; Britton, P.; Fusaro, A.; Jackwood, M.W.; Cattoli, G.; Monne, I. S1 gene-based phylogeny of infectious bronchitis virus: An attempt to harmonize virus classification. Infect. Genet. Evol. 2016, 39, 349–364. [Google Scholar] [CrossRef]
- de Groot, R.J.; Baker, S.C.; Baric, R. Coronaviridae; EC 51; International Committee on the Taxonomy of Viruses: Berlin, Germany, 2019. [Google Scholar]
- Domanska-Blicharz, K.; Sajewicz-Krukowska, J.; Lisowska, A. New PA/1220/98-like variant of infectious bronchitis virus in Poland. Avian Pathol. 2020, 49, 380–388. [Google Scholar] [CrossRef]
- Lisowska, A.; Sajewicz-Krukowska, J.; Fusaro, A.; Pikula, A.; Domanska-Blicharz, K. First characterization of a Middle-East GI-23 lineage (Var2-like) of infectious bronchitis virus in Europe. Virus Res. 2017, 242, 43–48. [Google Scholar] [CrossRef]
- Franzo, G.; Tucciarone, C.M.; Drigo, M.; Cecchinato, M.; Enache, M.; Bejan, V. Infectious bronchitis virus in Romanian broiler farms. Vet. Rec. 2017, 180. [Google Scholar] [CrossRef]
- Fischer, S.; Klosterhalfen, D.; Kump, F.W.S.; Casteel, M. Research Note: First evidence of infectious bronchitis virus Middle-East GI-23 lineage (Var2-like) in Germany. Poult. Sci. 2020, 99, 797–800. [Google Scholar] [CrossRef]
- Domanska-Blicharz, K.; Lisowska, A.; Sajewicz-Krukowska, J. Molecular epidemiology of infectious bronchitis virus in Poland from 1980 to 2017. Infect. Genet. Evol. 2020, 80, 104177. [Google Scholar] [CrossRef]
- European Pharmacopeia. Monograph 0442: Avian Infectious Bronchitis Vaccine (Live); European Directorate for the Quality of Medicines & Healthcare: Strasbourg, France, 2017; pp. 1008–1010. [Google Scholar]
- de Wit, J.J.; Cook, J.K.A. Spotlight on avian pathology: Infectious bronchitis virus. Avian Pathol. 2019, 48, 393–395. [Google Scholar] [CrossRef]
- Zanaty, A.; Arafa, A.S.; Hagag, N.; El-Kady, M. Genotyping and pathotyping of diversified strains of infectious bronchitis viruses circulating in Egypt. World J. Virol. 2016, 5, 125–134. [Google Scholar] [CrossRef]
- Awad, F.; Chhabra, R.; Forrester, A.; Chantrey, J.; Baylis, M.; Lemiere, S.; Hussein, H.A.; Ganapathy, K. Experimental infection of IS/885/00-like infectious bronchitis virus in specific pathogen free and commercial broiler chicks. Res. Vet. Sci. 2016, 105, 15–22. [Google Scholar] [CrossRef]
- Winterfield, R.W.; Albassam, M.A. Nephropathogenicity of infectious bronchitis virus. Poult. Sci. 1984, 63, 2358–2363. [Google Scholar] [CrossRef]
- Khanh, N.P.; Tan, S.W.; Yeap, S.K.; Lee, H.J.; Choi, K.S.; Hair-Bejo, M.; Bich, T.N.; Omar, A.R. Comparative Pathogenicity of Malaysian QX-like and Variant Infectious Bronchitis Virus Strains in Chickens at Different Age of Exposure to the Viruses. J. Comp. Pathol. 2018, 161, 43–54. [Google Scholar] [CrossRef]
- Raj, G.D.; Jones, R.C. Infectious bronchitis virus: Immunopathogenesis of infection in the chicken. Avian Pathol. 1997, 26, 677–706. [Google Scholar] [CrossRef] [PubMed]
- Jackwood, M.W.; de Wit, S. Infectious bronchitis. In Diseases of Poultry, 14th ed.; Swayne, D.E., Boulianne, M., Logue, C.M., McDougald, L.R., Nair, V., Suarez, D.L., de Wit, S., Grimes, T., Johnson, D., Kromm, M., et al., Eds.; John Whiley & Sons: Hoboken, NJ, USA, 2020; pp. 167–188. [Google Scholar]
- Meir, R.; Rosenblut, E.; Perl, S.; Kass, N.; Ayali, G.; Hemsani, E.; Perk, S. Identification of a novel nephropathogenic infectious bronchitis virus in Israel. Avian Dis. 2004, 48, 635–641. [Google Scholar] [CrossRef]
- Abdel-Moneim, A.S.; El-Kady, M.F.; Ladman, B.S.; Gelb, J., Jr. S1 gene sequence analysis of a nephropathogenic strain of avian infectious bronchitis virus in Egypt. Virol. J. 2006, 3, 78. [Google Scholar] [CrossRef]
- Cook, J.K.A.; Orbell, S.J.; Woods, M.A.; Huggins, M.B. Breadth of protection of the respiratory tract provided by different live-attenuated infectious bronchitis vaccines against challenge with infectious bronchitis viruses of heterologous serotypes. Avian Pathol. 1999, 28, 477–485. [Google Scholar] [CrossRef]
- Jackwood, M.W.; Clark, R.; Cheng, S.; Jordan, B.J. Protection following simultaneous vaccination with three or four different attenuated live vaccine types against infectious bronchitis virus. Avian Pathol. 2020, 49, 335–341. [Google Scholar] [CrossRef]
- Bru, T.; Vila, R.; Cabana, M.; Geerligs, H.J. Protection of chickens vaccinated with combinations of commercial live infectious bronchitis vaccines containing Massachusetts, Dutch and QX-like serotypes against challenge with virulent infectious bronchitis viruses 793B and IS/1494/06 Israel variant 2. Avian Pathol. 2017, 46, 52–58. [Google Scholar] [CrossRef] [PubMed]
- Sultan, H.A.; Ali, A.; El Feil, W.K.; Bazid, A.H.I.; Zain El-Abideen, M.A.; Kilany, W.H. Protective Efficacy of Different Live Attenuated Infectious Bronchitis Virus Vaccination Regimes Against Challenge With IBV Variant-2 Circulating in the Middle East. Front. Vet. Sci. 2019, 6, 341. [Google Scholar] [CrossRef] [PubMed]
- Reed, L.J.; Muench, H. A simple method of estimating fifty per cent endpoints. Am. J. Epidemiol. 1938, 27, 493–497. [Google Scholar] [CrossRef]
- Callison, S.A.; Hilt, D.A.; Boynton, T.O.; Sample, B.F.; Robison, R.; Swayne, D.E.; Jackwood, M.W. Development and evaluation of a real-time Taqman RT-PCR assay for the detection of infectious bronchitis virus from infected chickens. J. Virol. Methods 2006, 138, 60–65. [Google Scholar] [CrossRef]






| Group No. | Vaccination Schedule | Challenge with GI-23 Strainat Day 28 | Ciliostasis Score 1 | % Protection 2 | |
|---|---|---|---|---|---|
| Day 0 | Day 14 | ||||
| 1 | Nobilis IB Ma5 (GI-1) | none | Yes | 6.6 | 30 |
| 2 | Cevac IBird (GI-13) | none | Yes | 2.8 | 60 |
| 3 | Nobilis Primo QX (GI-19) | none | Yes | 4.7 | 50 |
| 4 | Tabic IB Var206 (GI-23) | none | Yes | 0 | 100 |
| 5 | Nobilis IB Ma5 (GI-1) | Cevac IBird (GI-13) | Yes | 2.3 | 70 |
| 6 | Nobilis IB Ma5 (GI-1) | Nobilis Primo QX (GI-19) | Yes | 3.2 | 60 |
| 7 | Nobilis IB Ma5 (GI-1) | Cevac IBird (GI-13) + Nobilis Primo QX (GI-19) | Yes | 0 | 100 |
| 8 | none | none | Yes | 7.4 | 10 |
| 9 | none | none | No | 0 | - |
Publisher’s Note: MDPI stays neutral with regard to jurisdictional claims in published maps and institutional affiliations. |
© 2021 by the authors. Licensee MDPI, Basel, Switzerland. This article is an open access article distributed under the terms and conditions of the Creative Commons Attribution (CC BY) license (https://creativecommons.org/licenses/by/4.0/).
Share and Cite
Lisowska, A.; Pikuła, A.; Opolska, J.; Jasik, A.; Kycko, A.; Domańska-Blicharz, K. Virulence Properties of GI-23 Infectious Bronchitis Virus Isolated in Poland and Efficacy of Different Vaccination strategies. Pathogens 2021, 10, 522. https://doi.org/10.3390/pathogens10050522
Lisowska A, Pikuła A, Opolska J, Jasik A, Kycko A, Domańska-Blicharz K. Virulence Properties of GI-23 Infectious Bronchitis Virus Isolated in Poland and Efficacy of Different Vaccination strategies. Pathogens. 2021; 10(5):522. https://doi.org/10.3390/pathogens10050522
Chicago/Turabian StyleLisowska, Anna, Anna Pikuła, Justyna Opolska, Agnieszka Jasik, Anna Kycko, and Katarzyna Domańska-Blicharz. 2021. "Virulence Properties of GI-23 Infectious Bronchitis Virus Isolated in Poland and Efficacy of Different Vaccination strategies" Pathogens 10, no. 5: 522. https://doi.org/10.3390/pathogens10050522
APA StyleLisowska, A., Pikuła, A., Opolska, J., Jasik, A., Kycko, A., & Domańska-Blicharz, K. (2021). Virulence Properties of GI-23 Infectious Bronchitis Virus Isolated in Poland and Efficacy of Different Vaccination strategies. Pathogens, 10(5), 522. https://doi.org/10.3390/pathogens10050522

