Parasites, Bacteria, and Associated Pathological Changes in the Digestive System of Diurnal and Nocturnal Raptors in Central Italy
Abstract
1. Introduction
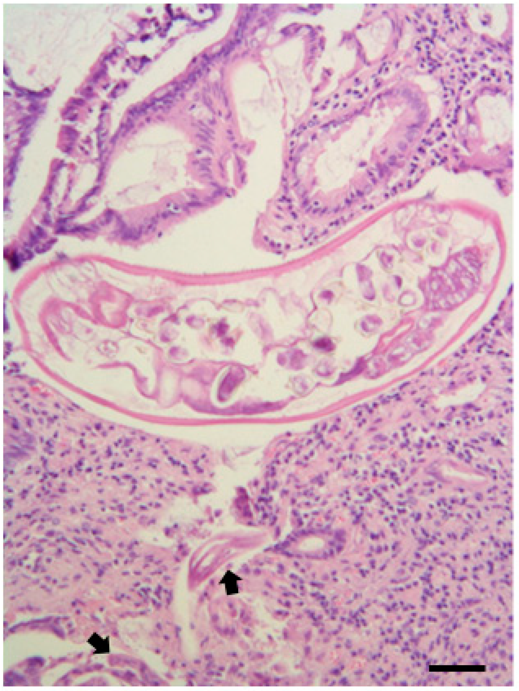
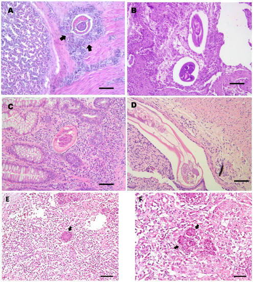
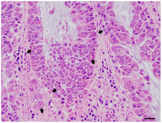
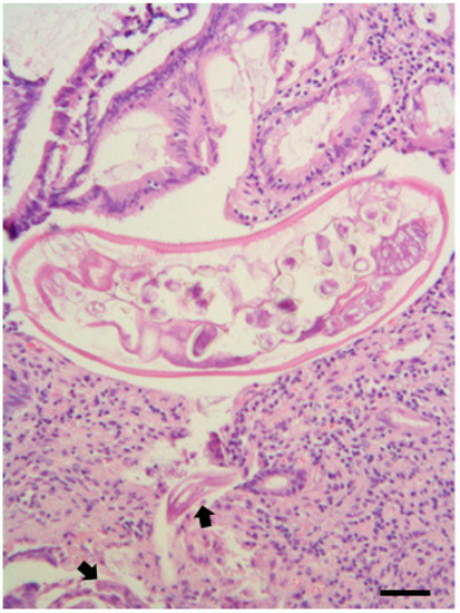
2. Results and Discussion
3. Materials and Methods
3.1. Animals
3.2. Necropsy
3.3. Bacteriological Analysis
3.4. Parasitological Analysis
3.5. Histopathological Analysis
4. Conclusions
Author Contributions
Funding
Institutional Review Board Statement
Informed Consent Statement
Data Availability Statement
Acknowledgments
Conflicts of Interest
References
- Molina-Lopez, R.A.; Casal, J.; Darwich, L. Causes of Morbidity in Wild Raptor Populations Admitted at a Wildlife Rehabilitation Centre in Spain from 1995-2007: A Long Term Retrospective Study. PLoS ONE 2011, 6, e24603. [Google Scholar] [CrossRef]
- Gargiulo, A.; Fioretti, A.; Russo, T.P.; Varriale, L.; Rampa, L.; Paone, S.; De Luca Bossa, L.M.; Raia, P.; Dipineto, L. Occurrence of enteropathogenic bacteria in birds of prey in Italy. Lett. Appl. Microbiol. 2018, 66, 202–206. [Google Scholar] [CrossRef] [PubMed]
- González-Rubio, S.; Ballesteros-Gómez, A.; Asimakopoulos, A.G.; Jaspers, V.L.B. A review on contaminants of emerging concern in European raptors (2002−2020). Sci. Total Environ. 2021, 760, 143337. [Google Scholar] [CrossRef]
- Donázar, J.A.; Cortés-Avizanda, A.; Fargallo, J.A.; Margalida, A.; Moleón, M.; Morales-Reyes, Z.; Moreno-Opo, R.; Pérez-García, J.M.; Sánchez-Zapata, J.A.; Zuberogoitia, I.; et al. Roles of Raptors in a Changing World: From Flagships to Providers of Key Ecosystem Services. Ardeola 2016, 63, 181–234. [Google Scholar] [CrossRef]
- Italian Law n. 157/1992. Legge 11 Febbraio 1992, n. 157. Norme per la Protezione della Fauna Selvatica Omeoterma e per il Prelievo Venatorio. Gazzetta Ufficiale della Repubblica Italiana Serie Generale n.46 del 25-02-1992-Suppl. Ordinario n. 41. Available online: https://www.gazzettaufficiale.it/eli/id/1992/02/25/092G0211/sg (accessed on 21 June 2021).
- International Union for Conservation of Nature (IUCN). Available online: https://www.iucn.org/ (accessed on 21 June 2021).
- King, J.C.; Dubay, S.A.; Huspeni, T.C.; VanLanen, A.R.; Gerhold, R.W. Parasite infections in nestling red-shouldered hawks (Buteo lineatus) in northeast Wisconsin. J. Parasitol. 2010, 96, 535–540. [Google Scholar] [CrossRef]
- Papazahariadou, M.; Diakou, A.; Papadopoulos, E.; Georgopoulou, I.; Komnenou, A.; Antoniadou-Sotiriadou, K. Parasites of the digestive tract in free-ranging birds in Greece. J. Nat. Hist. 2008, 42, 381–398. [Google Scholar] [CrossRef]
- Oro, D.; Genovart, M.; Tavecchia, G.; Fowler, M.S.; Martınez-Abraın, A. Ecological and evolutionary implications of food subsidies from humans. Ecol. Lett. 2013, 16, 1501–1514. [Google Scholar] [CrossRef]
- Movalli, P.; Krone, O.; Osborn, D.; Pain, D. Monitoring contaminants, emerging infectious diseases and environmental change with raptors, and links to human health. Bird Study 2018, 65 (Suppl. S1), S96–S109. [Google Scholar] [CrossRef]
- Blanco, G.; Díaz de Tuesta, J.A. Seasonal and spatial occurrence of zoonotic Salmonella serotypes in griffon vultures at farmland environments: Implications in pathogen pollution and ecosystem services and disservices. Sci. Total Environ. 2021, 758, 143681. [Google Scholar] [CrossRef]
- Espín, S.; García-Fernández, A.J.; Herzke, D.; Shore, R.F.; van Hattum, B.; Martínez-López, E.; Coeurdassier, M.; Eulaers, I.; Fritsch, C.; Gómez-Ramírez, P.; et al. Tracking pan-continental trends in environmental contamination using sentinel raptors-what types of samples should we use? Ecotoxicology 2016, 25, 777–801. [Google Scholar] [CrossRef] [PubMed]
- Macaluso, A. Aiutiamo i rapaci di casa nostra. Sci. Vet. Biol. Anim. 1985, 4, 37–41. [Google Scholar]
- Perry-Jones, J. Understanding Owls: Biology, Management, Breeding, Training; David & Charles: Devon, UK, 1998. [Google Scholar]
- Cerasoli, M.; Penteriani, V. Primi risultati dell’indagine sui centri di recupero rapaci in Italia. In Proceedings of the Quinto Convegno Italiano di Ornitologia, Bracciano, Italy, 4–8 October 1989; SROPU (Stazione Romana Osservazione e Protezione Uccelli), Ed.; Istituto Nazionale di Biologia della Selvaggina: Bologna, Italy, 1991; pp. 299–307. [Google Scholar]
- Marrow, J.; Whittington, J.K.; Mitchell, M.; Hoyer, L.L.; Maddox, C. Prevalence and antibiotic-resistance characteristics of Enterococcus spp. isolated from free-living and captive raptors in Central Illinois. J. Wildl. Dis. 2009, 45, 302–313. [Google Scholar] [CrossRef] [PubMed]
- Benskin, C.M.; Wilson, K.; Jones, K.; Hartley, I.R. Bacterial pathogens in wild birds: A review of the frequency and effects of infection. Biol. Rev. Camb. Philos Soc. 2009, 84, 349–373. [Google Scholar] [CrossRef] [PubMed]
- Vidal, A.; Baldomà, L.; Molina-López, R.A.; Martin, M.; Darwich, L. Microbiological diagnosis and antimicrobial sensitivity profiles in diseased free-living raptors. Avian Pathol. 2017, 46, 442–450. [Google Scholar] [CrossRef] [PubMed]
- Lacina, D.; Bird, D.M. Endoparasites of raptors—A review and an update. In Raptor Biomedicine III; Lumeij, J.T., Remple, J.D., Redig, P.T., Lierz, M., Cooper, J.E., Eds.; Zoological Education Network, Inc.: Lake Worth, FL, USA, 2000; pp. 65–78. [Google Scholar]
- Krone, O.; Cooper, J.E. Parasitic Diseases chapter 7. In Birds of Prey Birds of Prey: Health & Disease, 3rd ed.; Cooper, J.E., Ed.; Blackwell Science Ltd.: Oxford, UK, 2002. [Google Scholar] [CrossRef]
- Tarello, W. Leucocytozoon toddi in falcons from Kuwait: Epidemiology, clinical signs and response to melarsomine. Parasite 2006, 13, 179. [Google Scholar]
- Tarello, W. Clinical signs and response to primaquine in falcons with Haemoproteus tinnunculi infection. Vet. Rec. 2007, 161, 204–205. [Google Scholar] [CrossRef]
- Illescas Gomez, M.P.; Rodriguez Osorio, M.; Aranda Maza, F. Parasitation of falconiform, strigiform and passeriform (Corvidae) birds by helminths in Spain. Res. Rev. Parasitol. 1993, 53, 129–135. [Google Scholar]
- Borgsteede, F.H.M.; Okulewicz, A.; Zoun, P.E.F.; Okulewicz, J. The helminth fauna of birds of prey (Accipitriformes, Falconiformes and Strigiformes) in the Netherlands. Acta Parasitol. 2003, 48, 200–207. [Google Scholar]
- Krone, O. Endoparasites. In Raptor Research and Management Techniques; Bird, D.M., Bildstein, K.L., Eds.; Hancock House Publishers: Washington, DC, USA, 2007; pp. 318–328. [Google Scholar]
- Battisti, A.; Di Guardo, G.; Agrimi, U.; Bozzano, A.I. Embryonic and neonatal mortality from salmonellosis in captive bred raptors. J. Wildl. Dis. 1998, 34, 64–72. [Google Scholar] [CrossRef][Green Version]
- Smith, O.M.; Snyder, W.E.; Owen, J.P. Are we overestimating risk of enteric pathogen spillover from wild birds to humans? Biol. Rev. Camb. Philos Soc. 2020, 95, 652–679. [Google Scholar] [CrossRef]
- Tizard, I. Salmonellosis in wild birds. Semin. Avian Exot. Pet. 2004, 13, 50–66. [Google Scholar] [CrossRef]
- Thomas, N.J.; Bunikis, J.; Barbour, A.G.; Wolcott, M.J. Fatal spirochetosis due to a relapsing fever-like Borrelia sp. in a northern spotted owl. J. Wildl. Dis. 2002, 38, 187–193. [Google Scholar] [CrossRef]
- Santoro, M.; Tripepi, M.; Kinsella, J.M.; Panebianco, A.; Mattiucci, S. Helminth infestation in birds of prey (Accipitriformes and Falconiformes) in Southern Italy. Vet. J. 2010, 186, 119–122. [Google Scholar] [CrossRef]
- Krone, O. Endoparasites in free-ranging birds of prey in Germany. In Raptor Biomedicine III; Lumeij, J.T., Remple, J.D., Redig, P.T., Lierz, M., Cooper, J.E., Eds.; Zoological Education Network, Inc.: Lake Worth, FL, USA, 2000; pp. 101–116. [Google Scholar]
- Childs-Sanford, S.; Lejeune, M.; Abdu, A.; Buckles, E.; Renshaw, R.; Ford, D.; Bunting, E. Oral Capillariosis Due to Eucoleus dispar in Migrating Sharp-shinned Hawks (Accipiter striatus) in New York, USA, 2016–2018. J. Wildl. Dis. 2019, 55, 928–934. [Google Scholar] [CrossRef]
- Santoro, M.; D’Alessio, N.; Di Prisco, F.; Kinsella, J.M.; Barca, L.; Degli Uberti, B.; Restucci, B.; Martano, M.; Troisi, S.; Galiero, G.; et al. The occurrence and pathogenicity of Serratospiculum tendo (Nematoda: Diplotriaenoidea) in birds of prey from southern Italy. J. Helminthol. 2016, 90, 294–297. [Google Scholar] [CrossRef]
- Sanmartin, M.L.; Alvarez, F.; Barreiro, G.; Leiro, J. Helminth fauna of Falconiform and Strigiform birds of prey in Galicia, Northwest Spain. Parasitol. Res. 2004, 92, 255–263. [Google Scholar] [CrossRef]
- Komorová, P.; Špakulová, M.; Hurníková, Z.; Uhrín, M. Acanthocephalans of the genus Centrorhynchus (Palaeacanthocephala: Centrorhynchidae) of birds of prey (Falconiformes) and owls (Strigiformes) in Slovakia. Parasitol. Res. 2015, 114, 2273–2278. [Google Scholar] [CrossRef]
- Dipineto, L.; Borelli, L.; Pepe, P.; Fioretti, A.; Caputo, V.; Cringoli, G.; Rinaldi, L. Synanthropic birds and parasites. Avian Dis. 2013, 57, 756–758. [Google Scholar] [CrossRef]
- Santoro, M.; Kinsella, J.M.; Galiero, G.; degli Uberti, B.; Aznar, F.J. Helminth community structure in birds of prey (Accipitriformes and Falconiformes) in southern Italy. J. Parasitol. 2012, 98, 22–29. [Google Scholar] [CrossRef]
- Santoro, M.; Mattiucci, S.; Nascetti, G.; Kinsella, J.M.; Di Prisco, F.; Troisi, S.; D’Alessio, N.; Veneziano, V.; Aznar, F.J. Helminth communities of owls (strigiformes) indicate strong biological and ecological differences from birds of prey (Accipitriformes and Falconiformes) in southern Italy. PLoS ONE 2012, 7, e53375. [Google Scholar] [CrossRef][Green Version]
- Kinsella, M.J.; Cole, R.A.; Forrester, D.J.; Roderick, C.L. Helminth Parasites of the Osprey, Pandion haliaetus, in North America. J. Helminthol. Soc. Wash. 1996, 63, 262–265. [Google Scholar]
- Ebmer, D.; Wiedermann, S.; Sattmann, H. Morphological identifications of gastrointestinal nematodes and acanthocephalans of raptors and owls from Austria. Ann. Naturhist. Mus. Wien B 2020, 122, 169–174. [Google Scholar]
- Guo, N.; Sitko, J.; Chen, H.X.; Li, L. Morphological and genetic characterization of Porrocaecum angusticolle (Molin, 1860) (Nematoda: Ascaridomorpha) from the common buzzard Buteo buteo (Linnaeus) (Accipitriformes: Accipitridae) in Czech Republic. Parasitol Int. 2021, 83, 102365. [Google Scholar] [CrossRef]
- Honisch, M.; Krone, O. Phylogenetic relationships of Spiruromorpha from birds of prey based on 18S rDNA. J. Helminthol. 2008, 82, 129–133. [Google Scholar] [CrossRef] [PubMed]
- Komorová, P.; Sitko, J.; Špakulová, M.; Hurníková, Z. Intestinal and liver flukes of birds of prey (Accipitriformes, Falconiformes, Strigiformes) from Slovakia: Uniform or diverse compound? Parasitol. Res. 2016, 115, 2837–2844. [Google Scholar] [CrossRef]
- Tezel, M.; Girisgin, A.M.; Birlik, S.; Yildirimhan, H.S.; Senlik, B. Helminths of the digestive tract in Buteo buteo (Falconiformes: Falconidae) in Bursa Province of Northwest Turkey. Turk. J. Zool. 2015, 39, 323–327. [Google Scholar] [CrossRef]
- Arrona-Rivera, A.E.; Sánchez-Godoy, F.D.; Hernández-Velasco, X. Proventricular parasitosis by Procyrnea sp. (Spiruroidea: Habronematidae) in a roadside hawk (Rupornis magnirostris) from the state of Veracruz, Mexico: A case report. Acta Zool. Mex 2016, 32, 225–229. [Google Scholar]
- Morishita, T.Y.; Aye, P.P.; Brooks, D.L. A Survey of Diseases of Raptorial Birds. J. Avian Med. Surg. 1997, 11, 77–92. [Google Scholar]
- Clausen, B.; Gudmundsson, F. Causes of mortality among free-ranging gyrfalcons in Iceland. J. Wildl. Dis. 1981, 17, 105–109. [Google Scholar] [CrossRef] [PubMed]
- Deem, S.L. Infectious and Parasitic Diseases of Raptors. Compend. Cont. Educ. Pract. Vet. 1999, 21, 329–338. [Google Scholar]
- Henderson, S.C.; Bounous, D.I.; Lee, M.D. Early events in the pathogenesis of avian salmonellosis. Infect. Immun. 1999, 67, 3580–3586. [Google Scholar] [CrossRef]
- Wernery, U.; Wernery, R.; Zachariah, R.; Kinne, J. Salmonellosis in relation to chlamydiosis and pox and Salmonella infections in captive falcons in the United Arab Emirates. Zentralbl. Veterinarmed. B 1998, 45, 577–583. [Google Scholar] [CrossRef]
- Reche, M.P.; Jimenez, P.A.; Alvarez, F.; Garcia de los Rios, J.E.; Rojas, A.M.; De Pedro, P. Incidence of salmonellosis in captive and free-living raptorial birds in central Spain. J. Med. B Infect. Dis. Vet. Public Health 2003, 50, 42–44. [Google Scholar] [CrossRef]
- Tardone, R.; Rivera, D.; Dueñas, F.; Sallaberry-Pincheira, N.; Hamilton-West, C.; Adell, A.D.; Moreno-Switt, A.I. Salmonella in Raptors and Aquatic Wild Birds in Chile. J. Wildl. Dis. 2020, 56, 707–712. [Google Scholar] [CrossRef]
- Bangert, R.L.; Ward, A.C.S.; Stauber, E.H.; Cho, B.R.; Widders, P.R. A Survey of the Aerobic Bacteria in the Feces of Captive Raptors. Avian Dis. 1988, 32, 53–62. [Google Scholar] [CrossRef]
- Kirkpatrick, C.E.; Colvin, B.A. Salmonella spp. in nestling common barn owls (Tyto alba) from southwestern New Jersey. J. Wildl. Dis. 1986, 22, 340–343. [Google Scholar] [CrossRef]
- Kirkpatrick, C.E.; Trexler-Myren, V.P. A survey of free-living falconiform birds for Salmonella. J. Am. Vet. Med. Assoc. 1986, 189, 997–998. [Google Scholar] [PubMed]
- Winsor, D.K.; Bloebaum, A.P.; Mathewson, J.J. Gram-negative, aerobic, enteric pathogens among intestinal microflora of wild turkey vultures (Cathartes aura) in west central Texas. Appl. Environ. Microbiol. 1981, 42, 1123–1124. [Google Scholar] [CrossRef]
- Millán, J.; Aduriz, G.; Moreno, B.; Juste, R.A.; Barral, M. Salmonella isolates from wild birds and mammals in the Basque Country (Spain). Rev. Sci. Tech. 2004, 23, 905–911. [Google Scholar] [CrossRef]
- Gabrisch, K.; Zwart, P. Medicina e Chirurgia dei Nuovi Animali da Compagnia. Uccelli, 1st ed.; UTET: Torino, Italy, 2001; p. 428.
- Olias, P.; Olias, L.; Lierz, M.; Mehlhorn, H.; Gruber, A.D. Sarcocystis calchasi is distinct to Sarcocystis columbae sp. nov. from the wood pigeon (Columba palumbus) and Sarcocystis sp. from the sparrowhawk (Accipiter nisus). Vet. Parasitol. 2010, 171, 7–14. [Google Scholar] [CrossRef] [PubMed]
- Naldo, J.L.; Samour, J.H. Causes of Morbidity and Mortality in Falcons in Saudi Arabia. J. Avian Med. Surg. 2004, 18, 229–241. Available online: https://www.jstor.org/stable/27823389. [CrossRef]
- Muller, M.G.; Mannil, T.M.; George, A.R. Study on the most common bacterial infections in falcons in the United Arab Emirates. In Proceedings of the 27th Annual AAV Conference, San Antonio, TX, USA, 6–10 August 2006; pp. 311–318. [Google Scholar]
- Timbermont, L.; Haesebrouck, F.; Ducatelle, R.; Van Immerseel, F. Necrotic enteritis in broilers: An updated review on the pathogenesis. Avian Pathol. 2011, 40, 341–347. [Google Scholar] [CrossRef] [PubMed]
- McReynolds, J.L.; Byrd, J.A.; Anderson, R.C.; Moore, R.W.; Edrington, T.S.; Genovese, K.J.; Poole, T.L.; Kubena, L.F.; Nisbet, D.J. Evaluation of immunosuppressants and dietary mechanisms in an experimental disease model for necrotic enteritis. Poult. Sci. 2004, 83, 1948–1952. [Google Scholar] [CrossRef] [PubMed]
- Williams, R.B.; Marshall, R.N.; La Ragione, R.M.; Catchpole, J. A new method for the experimental production of necrotic enteritis and its use for studies on the relationships between necrotic enteritis, coccidiosis and anticoccidial vaccination of chickens. Parasitol. Res. 2003, 90, 19–26. [Google Scholar] [CrossRef]
- Hubálek, Z.; Rudolf, I. Vertebrates as Hosts and Reservoirs of Zoonotic Microbial Agents. Microb. Zoonoses Sapronoses 2010, 10, 83–128. [Google Scholar] [CrossRef]
- Niskanen, T.; Waldenström, J.; Fredriksson-Ahomaa, M.; Olsen, B.; Korkeala, H. virF-positive Yersinia pseudotuberculosis and Yersinia enterocolitica found in migratory birds in Sweden. Appl. Environ. Microbiol. 2003, 69, 4670–4675. [Google Scholar] [CrossRef] [PubMed]
- Shayegani, M.; Stone, W.B.; DeForge, I.; Root, T.; Parsons, L.M.; Maupin, P. Yersinia enterocolitica and related species isolated from wildlife in New York State. Appl. Environ. Microbiol. 1986, 52, 420–424. [Google Scholar] [CrossRef] [PubMed]
- Novotny, M.; Feckova, M.; Janiga, M.; Lukan, M.; Novotna, M.; Kovalcikova, Z. High Incidence of Yersinia enterocolitica (Enterobacteriaceae) in Alpine Accentors Prunella collaris of the Tatra Mountains. Acta Ornithol. 2007, 42, 137–143. [Google Scholar] [CrossRef][Green Version]
- Mantle, M.; Thakore, E.; Hardin, J.; Gall, D.G. Effect of Yersinia enterocolitica on intestinal mucin secretion. Am. J. Physiol. Gastrointest. Liver Physiol. 1989, 256, G319–G327. [Google Scholar] [CrossRef] [PubMed]
- Morishita, T.Y.; Lowenstine, L.J.; Hirsh, D.C.; Brooks, D.L. Pasteurella multocida in raptors: Prevalence and characterization. Avian Dis. 1996, 40, 908–918. [Google Scholar] [CrossRef]
- Chou, S.; Izawa, N.; Ike, K.; Tokiwa, T. Detection of Eumonospora henryae (Apicomplexa: Sarcocystidae) from Falco columbarius (Falconiformes: Aves): Comparison of host-parasite phylogram and comments on the family Sarcocystidae Poche, 1913. Int. J. Parasitol. Parasites Wildl. 2021, 14, 75–83. [Google Scholar] [CrossRef] [PubMed]
- Carter, G.R.; Cole, J.R. Diagnostic Procedures in Veterinary Bacteriology and Mycology; Holt, J.G., Krieg, N.R., Sneath, P.H.A., Staley, J.T., Williams, S.T., Eds.; Academic Press Inc.: San Diego, CA, USA, 1990; pp. 529–561. [Google Scholar]
- Anderson, R.C.; Chabaud, A.G.; Willmont, S. Keys to the Nematode Parasites of Vertebrates; Anderson, R.C., Chabaud, A.G., Willmott, S., Eds.; Commonwealth Agricoltural Bureaux, Farnham Royal Bucks: London, UK, 1984. [Google Scholar]
- Skrjabin, K.I. Key to the Trematodes of Animals and Man; University of Illinois Press: Urbana, IL, USA, 1964; p. 351. [Google Scholar]
- Skrjabin, K.I. Key to Parasitic Nematode Vol. I, Spirurata and Filariata; Skrjabin, K.I., Ed.; Israel Program for Scientific Translations; Academy of Sciences of the URSS: Moscow, Russia, 1969; p. 479. [Google Scholar]
- Skrjabin, K.I.; Shikhobalova, N.P.; Orlov, I.V. Trichocephalidae and Capillaridae of Animals and Man and Diseases Caused by Them; Academy of sciences of the URSS: Moscow, Russia, 1970. [Google Scholar]
- Yamaguti, S. Systema Helminthum, Volumes I–V; Interscience Publisher: New York, NY, USA, 1963. [Google Scholar]
- Lierz, A.; Göbel, T.; Schuster, R. Review and investigation on parasites in birds of prey and owls found injured or debilitated. Berl. Münch. Tierärzl. Wschr. 2002, 115, 43–52. [Google Scholar]
- Imai, S.; Ikeda, S.; Ishii, T.; Uematsu, K. Diplotriaena falconis (Connal, 1912) (Filariidae, Nematoda) from a red-legged falconet, Microhierax caerulescens. Jpn. J. Vet. Sci. 1989, 51, 209–212. [Google Scholar] [CrossRef] [PubMed][Green Version]
- Ali, S.M. Habronema spp. from Indian birds. J. Helminthol. 1961, 35, 1–48. [Google Scholar] [CrossRef]
- Ali, S.M. On some new species of Physaloptera from Indian birds. J. Helminthol. 1961, 35, 49–60. [Google Scholar] [CrossRef]
- Sitko, J. Trematodes of birds of prey (Falconiformes) in Czech Republic. Helminthologia 1998, 35, 131–146. [Google Scholar]
- Sitko, J. Trematodes of owls (Aves: Strigiformes) in the Czech Republic. Acta Soc. Zool. Bohem. 2001, 65, 45–56. [Google Scholar]
- Bray, R.A.; Gibson, D.I.; Jones, A. Keys to the Trematoda; CABI Publishing: Wallingford, UK; The Natural History Museum: London, UK, 2008; Volume 3, p. 824. [Google Scholar]












| Common Name and Identification Number | Species | Sex | Age (Young/Adult) | Necropsy (post-mortem Gross Examination) | |
|---|---|---|---|---|---|
| Diurnal Raptors | |||||
| 1 | Osprey 1 | Pandion haliaetus | Male | Young | Reduced muscle mass and enteritis |
| 2 | Common buzzard 1 | Buteo buteo | Female | Adult | Left ulna fracture due to a gunshot and cranial hematoma |
| 3 | Common buzzard 2 | B. buteo | Female | Adult | Dehydration and reduced muscle mass; cloaca, left oviduct, and right ventricle enlarged; congestion of the gastric and small intestine mucosa |
| 4 | Common buzzard 3 | B. buteo | Male | Young | Severe anemia; reduced and pale muscle masses; head trauma; hypertrophic heart; the presence of mucus in the esophagus |
| 5 | Common buzzard 4 | B. buteo | Male | Young | Gunshot wound with an open fracture of the right humerus; reduced muscle mass; necrotic esophageal fistulous lesions; thickened thoracic air sacs and pneumonia |
| 6 | Honey buzzard 1 | Pernis apivorus | Male | Young | Reduced muscle mass; necrotic esophageal lesions |
| 7 | Honey buzzard 2 | P. apivorus | Male | Young | Severe weight loss and dehydration; mild catarrhal enteritis; hepatomegaly and nephromegaly |
| 8 | Sparrowhawk 1 | Accipiter nisus | Male | Young | Severe cachexia and catarrhal enteritis |
| 9 | Sparrowhawk 2 | A. nisus | Female | Adult | Fracture of the left humerus for a gunshot; necrotic enteritis; and the presence of digested blood in the stomach and in the intestine |
| 10 | Sparrowhawk 3 | A. nisus | Female | Adult | Right paw dermatitis; old fracture of the humerus; hemorrhagic gastroenteritis and fibrin deposits in the air sacs; liver dark red in color |
| 11 | Common kestrel 1 | Falco tinnunculus | Female | Adult | Fracture of the right tarsometatarsal joint; serous collection in the thoracoabdominal cavity and catarrhal-hemorrhagic enteritis |
| 12 | Common kestrel 2 | F. tinnunculus | Female | Adult | Reduced muscle mass |
| Nocturnal Raptors | |||||
| 13 | Barn owl 1 | Tyto alba | - | Adult | Enteritis |
| 14 | Barn owl 2 | T. alba | Male | Adult | Cachexia and hemorrhagic and catarrhal enteritis |
| 15 | Little owl 1 | Athene noctua | Female | Adult | Congested kidneys |
| 16 | Little owl 2 | A. noctua | Female | Young | Reduced muscle mass |
| 17 | Little owl 3 | A. noctua | Male | Young | Very young subject, still not fully able to fly |
| 18 | Little owl 4 | A. noctua | Male | Young | Very young subject, still not fully able to fly |
| 19 | Little owl 5 | A. noctua | Male | Young | Very young subject, still not fully able to fly; reduced muscle mass |
| 20 | Little owl 6 | A. noctua | Male | Young | Mild congestion of the mucous membrane of the first intestinal tract, cloacal obstruction |
| 21 | Little owl 7 | A. noctua | Female | Young | Very young subject, still not fully able to fly |
| 22 | Little owl 8 | A. noctua | Male | Young | Very young subject, still not fully able to fly |
| 23 | Little owl 9 | A. noctua | Male | Young | Cachexia. |
| 24 | Little owl 10 | A. noctua | Male | Young | Very young subject, still not fully able to fly |
| 25 | Little owl 11 | A. noctua | Female | Adult | Spinal cord hematoma |
| 26 | Little owl 12 | A. noctua | Female | Adult | Gunshot wound in the pectoral muscles and on the right side of the neck; enteritis, lungs congested and hemorrhagic |
| 27 | Little owl 13 | A. noctua | Female | Adult | Cachexia, nephritis, and pulmonary congestion |
| 28 | Scops owl 1 | Otus scops | Male | Adult | Gunshot wound to the right wing; reduced muscle mass and pyoderma in the sternal region |
| 29 | Scops owl 2 | O. scops | Male | Young | Enlarged stomach with catarrhal-hemorrhagic gastroenteritis and necrotic areas in the liver |
| Animal | Infected Organs | Nematodes | Cestodes | Trematodes | Acanthocephala | Protozoa |
|---|---|---|---|---|---|---|
| Osprey 1 | Gizzard, Proventriculus, Intestine | Procyrnea leptoptera (Nematoda: Habronematidae) 3 * | - | - | Andracantha mergi (Acanthocephala: Polymorphidae) 2 * | - |
| Common buzzard 1 | Gizzard, Proventriculus, Intestine | Physaloptera alata 1 * (Nematoda: Physalopteridae) Porrocaecum angusticolle (Nematoda: Ascarididae) 1 * Baruscacapillaria falconis (Nematoda: Capillariidae) 3 * Procyrnea mansioni (Nematoda: Habronematidae) 7 * | - | - | Centrorhynchus globocaudatus (Acanthocephala: Centrorhynchidae) 80 * | - |
| Common buzzard 2 | Gizzard, Proventriculus, Intestine | Procyrnea mansioni (Nematoda: Habronematidae) 1 * Porrocaecum angusticolle (Nematoda: Ascarididae) 1 * Baruscacapillaria falconis (Nematoda: Capillariidae) 2 * Spirocerca spp. encysted larvae (Nematoda: Thelaziidae) 4 * | - | Neodiplostomum attenuatum (Platyhel-minthes: Diplostomatidae) 2 * | Centrorhynchus globocaudatus (Acanthocephala: Centrorhynchidae) 2 * | - |
| Common buzzard 3 | Esophagous, Gizzard, Proventriculus, Intestine | Eucoleus dispar (Nematoda: Capillariidae) 4 * Porrocaecum angusticolle (Nematoda: Ascarididae) 6 * Baruscacapillaria falconis (Nematoda: Capillariidae) 13 * Procyrnea mansioni (Nematoda: Habronematidae) 50 * | - | Neodiplostomum attenuatum (Platyhel-minthes: Diplostomatidae) 50 * | Centrorhynchus aluconis (Acanthocephala: Centrorhynchidae) 9 * | - |
| Common buzzard 4 | Esophagous, Gizzard, Proventriculus, Intestine | Eucoleus dispar (Nematoda: Capillariidae) 5 * Porrocaecum angusticolle (Nematoda: Ascarididae) 1 * Baruscacapillaria falconis (Nematoda: Capillariidae) 3 * Procyrnea mansioni (Nematoda: Habronematidae) 2 * | Cladotaenia globifera (Platyhelminthes: Paruterinidae) 9 * | - | Centrorhynchus aluconis (Acanthocephala: Centrorhynchidae) 20 * | - |
| Honey buzzard 1 | Esophagous, Gizzard, Intestine | Eucoleus dispar (Nematoda: Capillariidae) 1 * Physaloptera apivori (Nematoda: Physalopteridae) 4 * | Raillietina apivori (Platyhelminthes: Davaineidae) 1 * | - | - | - |
| Honey buzzard 2 | Esophagous, Gizzard, Proventriculus, Intestine | Eucoleus dispar (Nematoda: Capillariidae) 4 * Procyrnea leptoptera (Nematoda: Habronematidae) 7 * Baruscacapillaria falconis (Nematoda: Capillariidae) 2 * | - | - | - | - |
| Sparrowhawk 1 | Gizzard, Proventriculus, Intestine | Procyrnea leptoptera (Nematoda: Habronematidae) 7 * Physaloptera alata (Nematoda: Physalopteridae) 1 * Synhimantus laticeps (Nematoda: Acuariidae) 2 * Baruscacapillaria falconis (Nematoda: Capillariidae) 7 * | - | - | - | - |
| Sparrowhawk 2 | Gizzard, Proventriculus, Intestine | Baruscacapillaria falconis (Nematoda: Capillariidae) 3 * Procyrnea leptoptera (Nematoda: Habronematidae) 2 * Spirocerca spp. encysted larvae (Nematoda: Thelaziidae) 3 * | - | - | - | Sarcocystis columbae (Apicomplexa: Sarcocystidae) heavy infections |
| Sparrowhawk 3 | Intestine | Baruscacapillaria falconis (Nematoda: Capillariidae) 9 * Porrocaecum angusticolle (Nematoda: Ascarididae) 3 * | - | - | - | - |
| Common kestrel 1 | Intestine | Spirocerca spp. (Nematoda: Thelaziidae) 2 * Diplotriaena falconis (Nematoda, Diplotriaenidae) 6 * | - | Neodiplostomum spathoides (Platyhel-minthes: Diplostomatidae) 1 * | - | - |
| Common kestrel 2 | Intestine, Gizzard, Body Cavity | Synhimantus laticeps (Nematoda: Acuariidae) 50 * | - | - | Centrorhynchus falconis (Acanthocephala: Centrorhynchidae) 1 * | - |
| Barn owl 1 | Intestine | Sarcocystis dispersa (Apicomplexa: Sarcocystidae) | ||||
| Barn owl 2 | Intestine | Spirocerca spp. (Nematoda: Thelaziidae) 18 * | - | - | - | - |
| Little owl 2 | Gizzard, Proventriculus, Intestine | Procyrnea leptoptera (Nematoda: Habronematidae) 1 * Capillaria tenuissima (Nematoda: Capillariidae) 10 * | - | - | - | - |
| Little owl 4 | Intestine | Capillaria tenuissima (Nematoda: Capillariidae) 3 * | - | - | - | - |
| Little owl 5 | Intestine | Capillaria tenuissima (Nematoda: Capillariidae) 4 * | - | - | - | - |
| Little owl 6 | Intestine | Capillaria tenuissima (Nematoda: Capillariidae) 5 * | - | - | - | - |
| Little owl 8 | Gizzard, Proventriculus | Procyrnea leptoptera (Nematoda: Habronematidae) 1 * | - | - | - | - |
| Little owl 12 | Intestine | Capillaria tenuissima (Nematoda: Capillariidae) 4 * | - | Neodiplostomum attenuatum (Platyhel-minthes: Diplostomatidae) 10 * | - | Eumonosporamochogalegoi/Eumonospora henryae (Apicomplexa: Sarcocystidae) |
| Little owl 13 | Intestine | Capillaria tenuissima (Nematoda: Capillariidae) 2 * Spirocerca spp. (Nematoda: Thelaziidae) 3 * | Unidentified cestode eggs | - | - | - |
| Raptor Species | Esophagus | Proventriculus | Gizzard | Duodenum | Jejunum/Ileum | Colon |
|---|---|---|---|---|---|---|
| Common buzzard (B. buteo) 1 | ns | 0 | D2 +++ | 0 | 0 | D +++ |
| Common buzzard (B. buteo) 2 | ns | D1 +++ | G + | 0 | E ++; | D ++; F + |
| Common buzzard (B. buteo) 3 | ns | D1++ | D2 + | C+++ | E ++; F +++ | E +; F ++; |
| Common buzzard (B. buteo) 4 | C ++ | A +++, D1 + | B+, D++ | A+++ | A +, F +, G++ | 0 |
| European honey buzzard (P. apivorus) 1 | F + | G + | 0 | 0 | F + | E ++; F +++ |
| European honey buzzard (P. apivorus) 2 | D+ | D1 ++ | D2++ | C+++ | B; C + | C++ |
| Eurasian sparrowhawk (A. nisus) 1 | ns | ns | ns | B ++ | A+ | 0 |
| Eurasian sparrowhawk (A. nisus) 2 | ns | D1 ++ | D + | C3 +++; F+ | C2++; C3+ | C2+++; C4 ++ |
| Eurasian sparrowhawk (A. nisus) 3 | ns | 0 | 0 | C3++; F + | F + | 0 |
| Common kestrel (F. tinnunculus) 1 | 0 | G + | 0 | 0 | D ++; F + | C2+++; C4 ++ |
| Common kestrel (F. tinnunculus) 2 | ns | 0 | 0 | 0 | 0 | 0 |
| Barn owl (T. alba) 2 | ns | 0 | D +++ | 0 | D + | 0 |
| Little owl (A. noctua) 2 | ns | 0 | 0 | 0 | A+ | 0 |
| Little owl (A. noctua) 4 | ns | C + | 0 | 0 | C++ | 0 |
| Little owl (A. noctua) 5 | ns | 0 | 0 | C+ | C+ | 0 |
| Little owl (A. noctua) 6 | ns | D + | 0 | 0 | E + | 0 |
| Little owl (A. noctua) 12 | ns | D + | 0 | 0 | C++; C3 +++ | A +++ |
| Little owl (A. noctua) 13 | ns | C +++ | C + | C1 +++ | C1 ++ | C ++ |
| Animal | Organ | Bacteria |
|---|---|---|
| Common buzzard 2 | Liver and intestine (and lungs) | Salmonella typhimurium (4,5, 12: i: 1,2) Gr O: 4 (B) |
| Common buzzard 3 | Liver and intestine | Salmonella enterica subspecies diarizonae IIIb (50: r: 1, 5.7) Gr O: 50 (Z) |
| Honey buzzard 1 | Intestine | Salmonella typhimurium (4,5, 12: i: 1,2) Gr O: 4 (B) |
| Honey buzzard 2 | Liver (and brain) | Escherichia coli |
| Sparrowhawk 2 | Intestine | Clostridium perfringens |
| Common kestrel 1 | Intestine (and brain) | Yersinia enterocolitica Pasteurella multocida |
| Little owl 6 | Liver | Escherichia coli |
| Little owl 13 | Liver (and brain) | Pasteurella multocida |
Publisher’s Note: MDPI stays neutral with regard to jurisdictional claims in published maps and institutional affiliations. |
© 2021 by the authors. Licensee MDPI, Basel, Switzerland. This article is an open access article distributed under the terms and conditions of the Creative Commons Attribution (CC BY) license (https://creativecommons.org/licenses/by/4.0/).
Share and Cite
Rossi, G.; Terracciano, G.; Gherardi, R.; Galosi, L.; Perrucci, S. Parasites, Bacteria, and Associated Pathological Changes in the Digestive System of Diurnal and Nocturnal Raptors in Central Italy. Pathogens 2021, 10, 1567. https://doi.org/10.3390/pathogens10121567
Rossi G, Terracciano G, Gherardi R, Galosi L, Perrucci S. Parasites, Bacteria, and Associated Pathological Changes in the Digestive System of Diurnal and Nocturnal Raptors in Central Italy. Pathogens. 2021; 10(12):1567. https://doi.org/10.3390/pathogens10121567
Chicago/Turabian StyleRossi, Giacomo, Giuliana Terracciano, Riccardo Gherardi, Livio Galosi, and Stefania Perrucci. 2021. "Parasites, Bacteria, and Associated Pathological Changes in the Digestive System of Diurnal and Nocturnal Raptors in Central Italy" Pathogens 10, no. 12: 1567. https://doi.org/10.3390/pathogens10121567
APA StyleRossi, G., Terracciano, G., Gherardi, R., Galosi, L., & Perrucci, S. (2021). Parasites, Bacteria, and Associated Pathological Changes in the Digestive System of Diurnal and Nocturnal Raptors in Central Italy. Pathogens, 10(12), 1567. https://doi.org/10.3390/pathogens10121567

