The Role of QuantiFERON-TB Gold Plus in Mycobacterium Tuberculosis Detection in a Severe HIV Immunocompromised Patient—Case Report
Abstract
:1. Introduction
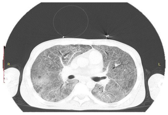
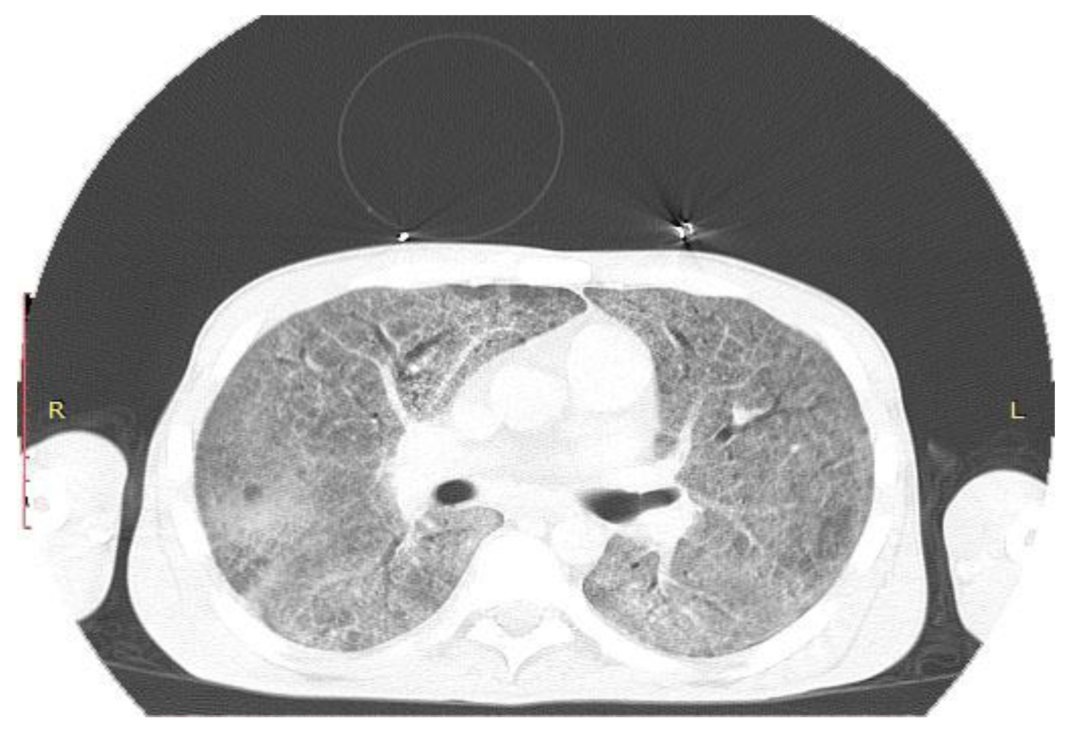
2. Case Report
Evolution and Treatment
3. Discussion
4. Conclusions
Author Contributions
Funding
Institutional Review Board Statement
Informed Consent Statement
Conflicts of Interest
References
- Global Tuberculosis Report. Available online: https://www.who.int/teams/global-tuberculosis-programme/tb-reports (accessed on 3 September 2021).
- Çavuşoğlu, C.; Yaşar-Duman, M.; Taşbakan, M.S.; Işıkgöz-Taşbakan, M.; Orman, M.N. Evaluation of the Performance of QuantiFERON®-TB Gold plus Test in Active Tuberculosis Patients. J. Clin. Tuberc. Mycobact. Dis. 2021, 23, 100223. [Google Scholar] [CrossRef] [PubMed]
- Ramos, J.M.; Robledano, C.; Masiá, M.; Belda, S.; Padilla, S.; Rodríguez, J.C.; Gutierrez, F. Contribution of Interferon Gamma Release Assays Testing to the Diagnosis of Latent Tuberculosis Infection in HIV-Infected Patients: A Comparison of QuantiFERON-TB Gold In Tube, T-SPOT.TB and Tuberculin Skin Test. BMC Infect. Dis. 2012, 12, 169. [Google Scholar] [CrossRef] [PubMed] [Green Version]
- Akolo, C.; Adetifa, I.; Shepperd, S.; Volmink, J. Treatment of Latent Tuberculosis Infection in HIV Infected Persons. Cochrane Database Syst. Rev. 2010, 2010, CD000171. [Google Scholar] [CrossRef] [PubMed]
- World Health Organization. Global Tuberculosis Report 2014. World Health Organization, 2014. Available online: https://apps.who.int/iris/handle/10665/137094 (accessed on 3 September 2021).
- Kwan, C.K.; Ernst, J.D. HIV and Tuberculosis: A Deadly Human Syndemic. Clin. Microbiol. Rev. 2011, 24, 351–376. [Google Scholar] [CrossRef] [PubMed] [Green Version]
- Badri, M.; Wilson, D.; Wood, R. Effect of Highly Active Antiretroviral Therapy on Incidence of Tuberculosis in South Africa: A Cohort Study. Lancet 2002, 359, 2059–2064. [Google Scholar] [CrossRef]
- Lawn, S.D.; Badri, M.; Wood, R. Tuberculosis among HIV-Infected Patients Receiving HAART: Long Term Incidence and Risk Factors in a South African Cohort. Aids 2005, 19, 2109–2116. [Google Scholar] [CrossRef] [PubMed] [Green Version]
- Girardi, E.; Sabin, C.A.; Monforte, A.A.; Hogg, B.; Phillips, A.N.; Gill, M.J.; Dabis, F.; Reiss, P.; Kirk, O.; Bernasconi, E.; et al. Incidence of Tuberculosis among HIV-Infected Patients Receiving Highly Active Antiretroviral Therapy in Europe and North America. Clin. Infect. Dis. 2005, 41, 1772–1782. [Google Scholar]
- Updated Guidelines for Using Interferon Gamma Release Assays to Detect Mycobacterium Tuberculosis Infection—United States. 2010. Available online: https://www.cdc.gov/mmwr/preview/mmwrhtml/rr5905a1.htm (accessed on 3 September 2021).
- Danel, C.; Kabran, M.; Inwoley, A.; Badje, A.; Herrmann, J.L.; Moh, R.; Lecarrou, J.; Gabillard, D.; Ntakpe, J.B.; Deschamps, N.; et al. Quantiferon-TB Gold: Performance for Ruling out Active Tuberculosis in HIV-Infected Adults with High CD4 Count in Côte d’Ivoire, West Africa. PLoS ONE 2014, 9, e107245. [Google Scholar] [CrossRef]
- Pai, M.; Denkinger, C.M.; Kik, S.V.; Rangaka, M.X.; Zwerling, A.; Oxlade, O.; Metcalfe, J.Z.; Cattamanchi, A.; Dowdy, D.W.; Dheda, K. Gamma Interferon Release Assays for Detection of Mycobacterium Tuberculosis Infection. Clin. Microbiol. Rev. 2014, 27, 3–20. [Google Scholar] [CrossRef] [PubMed] [Green Version]
- Teixeira, H.C.; Abramo, C.; Munk, M.E. Immunological Diagnosis of Tuberculosis: Problems and Strategies for Success. J. Bras. Pneumol. 2007, 33, 323–334. [Google Scholar] [CrossRef] [PubMed] [Green Version]
- Sension, M.; Hoffmann, M. Clinical experience with QuantiFERON®-TB Gold. 2016. Available online: http://www.quantiferon.com/wp-content/uploads/2017/04/PROM-9009-001_1099403_-Bro_QFTPlus_HIVClinGuide_ROW.pdf (accessed on 3 September 2021).
- Jones, S.; de Gijsel, D.; Wallach, F.R.; Gurtman, A.C.; Shi, Q.; Sacks, H. Utility of QuantiFERON-TB Gold in-Tube Testing for Latent TB Infection in HIV-Infected Individuals. Int. J. Tuberc. Lung Dis. Off. J. Int. Union Tuberc. Lung Dis. 2007, 11, 1190–1195. [Google Scholar]
- Soborg, C.; Ruhwald, M.; Andersen, P.H.; Ravn, P. 6-Year Follow-up of 522 HIV-Positive Individuals Screened for Mycobacterium Tuberculosis Infection in Denmark. Eur. Respir. J. 2014, 44, 540–543. [Google Scholar] [CrossRef] [PubMed] [Green Version]
- Santin, M.; Casas, S.; Saumoy, M.; Andreu, A.; Moure, R.; Alcaide, F.; Ferrer, E.; Podzamczer, D. Detection of Latent Tuberculosis by the Tuberculin Skin Test and a Whole-Blood Interferon-γ Release Assay, and the Development of Active Tuberculosis in HIV-Seropositive Persons. Diagn. Microbiol. Infect. Dis. 2011, 69, 59–65. [Google Scholar] [CrossRef] [PubMed]
- Kabeer, B.S.A.; Sikhamani, R.; Swaminathan, S.; Perumal, V.; Paramasivam, P.; Raja, A. Role of Interferon Gamma Release Assay in Active TB Diagnosis among HIV Infected Individuals. PLoS ONE 2009, 4, e5718. [Google Scholar]

| Laboratory Test Report | Normal Range | at Admission | after 5 Days | after 10 Days | after 15 Days | after One Month |
|---|---|---|---|---|---|---|
| White blood cells | 4.0–10.0 × 103/mm3 | 6.4 | 9.0 | 15.9 | 6.9 | 4.0 |
| Neutrophils | 45–70% | 85.2 | 94 | 94.8 | 97.3 | 94.2 |
| Hemoglobin | 13.11–17.2 g/dL | 10.9 | 10.1 | 12.8 | 11.5 | 10.1 |
| Hematocrit | 40–50% | 32,1 | 30.4 | 38.6 | 33.9 | 29.6 |
| Mean corpuscular volume (MCV) | 81–101 fL | 84.8 | 85.2 | 87.2 | 87.9 | 87.2 |
| Mean corpuscular hemoglobin (MCH) | 27–35 pg | 28.8 | 28.2 | 28.9 | 29.7 | 29.7 |
| Platelets | 150–450 × 103/mm3 | 241 | 251 | 283 | 173 | 90 |
| Erythrocyte sedimentation rate (ESR) | 2–12 mm/h | 70 | 50 | 30 | 50 | 25 |
| Fibrinogen | 200–450 mg/dL | 577.3 | 374.2 | 529.4 | 521.1 | 163 |
| C-Reactive Protein | 0–5 mg/L | 182.5 | 29.23 | 72.86 | 13.45 | 44.78 |
| Transaminases (GPT, GOT) | 0–50 U/L | GPT = 33 GOT = 72 | GPT = 33 GOT = 54 | GPT = 52 GOT = 40 | GPT = 87 GOT = 79 | GPT = 163 GOT = 103 |
| Gamma GT | 0–55 U/L | 94 | 66 | 86 | 97 | 123 |
| Serum creatinine | 0.67–1.17 mg/dL | 0.6 | 0.2 | 0.4 | 0.4 | 0.4 |
| Serum ferritin | 20–250 μg/L | 694.81 | 734.84 | 709.04 | 1409.31 | 2591.31 |
| Albumin | 3.5–5.2 g/dL | 2.1 | 2.30 | 2.75 | 2.8 | 2.37 |
| Serum total protein | 6.6–8.3 g/dL | 5.8 | 5.4 | 6 | 5.5 | 4.4 |
| Lactate dehydrogenase (LDH) | 0–248 U/L | 867 | 700 | 639 | 1092 | 1064 |
| Laboratory Test Report | Normal Range | at Admission(“Victor Babeş” Clinical Hospital) | after 5 Days | at Discharge |
|---|---|---|---|---|
| White blood cells | 4.0–9.0 × 103/mm3 | 9.3 | 5.5 | 7.9 |
| Neutrophils | 34–71% | 85 | 84.5 | 81.1 |
| Hemoglobin | 12.5–16 g/dL | 12.1 | 9.7 | 9.7 |
| Hematocrit | 37–50% | 36.8 | 29.1 | 29.9 |
| Mean corpuscular volume (MCV) | 75–95 μm3 | 93 | 92 | 93 |
| Mean corpuscular hemoglobin (MCH) | 26–32 pg | 30.4 | 30.9 | 30 |
| Platelets | 150–450 ×103/mm3 | 119 | 119 | 148 |
| Erythrocyte sedimentation rate (ESR | 1–12 mm/1 h 4–25 mm/2 h | 35 mm/1 h 60 mm/2 h | 25 mm/1 h 47 mm/2 h | |
| Transaminases (GPT, GOT) | GPT = 10–35 U/L GOT = 0–32 U/L | GPT = 100 GOT = 73 | GPT = 42 GOT = 48 | GPT = 81 GOT = 67 |
| Na+ | 136–145 mmol/L | 132 | 128 | 128 |
| K+ | 3.30–5.10 mmol/L | 3.6 | 3.5 | 4.5 |
Publisher’s Note: MDPI stays neutral with regard to jurisdictional claims in published maps and institutional affiliations. |
© 2021 by the authors. Licensee MDPI, Basel, Switzerland. This article is an open access article distributed under the terms and conditions of the Creative Commons Attribution (CC BY) license (https://creativecommons.org/licenses/by/4.0/).
Share and Cite
Dumitrescu, F.; Pisoschi, C.-G.; Pădureanu, V.; Stoian, A.C.; Dragonu, L.; Giubelan, L. The Role of QuantiFERON-TB Gold Plus in Mycobacterium Tuberculosis Detection in a Severe HIV Immunocompromised Patient—Case Report. Pathogens 2021, 10, 1523. https://doi.org/10.3390/pathogens10111523
Dumitrescu F, Pisoschi C-G, Pădureanu V, Stoian AC, Dragonu L, Giubelan L. The Role of QuantiFERON-TB Gold Plus in Mycobacterium Tuberculosis Detection in a Severe HIV Immunocompromised Patient—Case Report. Pathogens. 2021; 10(11):1523. https://doi.org/10.3390/pathogens10111523
Chicago/Turabian StyleDumitrescu, Florentina, Cătălina-Gabriela Pisoschi, Vlad Pădureanu, Andreea Cristina Stoian, Livia Dragonu, and Lucian Giubelan. 2021. "The Role of QuantiFERON-TB Gold Plus in Mycobacterium Tuberculosis Detection in a Severe HIV Immunocompromised Patient—Case Report" Pathogens 10, no. 11: 1523. https://doi.org/10.3390/pathogens10111523
APA StyleDumitrescu, F., Pisoschi, C.-G., Pădureanu, V., Stoian, A. C., Dragonu, L., & Giubelan, L. (2021). The Role of QuantiFERON-TB Gold Plus in Mycobacterium Tuberculosis Detection in a Severe HIV Immunocompromised Patient—Case Report. Pathogens, 10(11), 1523. https://doi.org/10.3390/pathogens10111523

