Cutaneous Granulomatosis Revealing Whipple’s Disease: Value of Tropheryma whipplei Polymerase Chain Reaction Assay for the Diagnosis
Abstract
1. Introduction
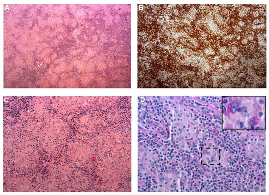
2. Observation
3. Discussion
4. Conclusions
Author Contributions
Funding
Institutional Review Board Statement
Informed Consent Statement
Data Availability Statement
Conflicts of Interest
References
- Antunes, C.; Singhal, M. Whipple Disease. In StatPearls; StatPearls Publishing: Treasure Island, FL, USA, 2021. Available online: http://www.ncbi.nlm.nih.gov/books/NBK441937/ (accessed on 9 July 2021).
- Marth, T.; Moos, V.; Müller, C.; Biagi, F.; Schneider, T. Tropheryma whipplei infection and Whipple’s disease. Lancet Infect. Dis. 2016, 16, 13–22. [Google Scholar] [CrossRef]
- Boumaza, A.F.; Arrindell, J.; Ben Azzouz, E.; Desnues, B. Phenotypic diversity of Tropheryma whipplei clinical isolates. Microb. Pathog. 2021, 158, 105074. [Google Scholar] [CrossRef] [PubMed]
- Dolmans, R.A.V.; Boel, C.H.E.; Lacle, M.M.; Kusters, J.G. Clinical Manifestations, Treatment, and Diagnosis of Tropheryma whipplei Infections. Clin. Microbiol. Rev. 2017, 30, 529–555. [Google Scholar] [CrossRef] [PubMed]
- Krusche, M.; Boro, D.; Bertolini, J.; Kötter, I. Rare erosive arthritis and dermatitis syndrome in Whipple’s disease. Z. Rheumatol. 2019, 78, 180–182. [Google Scholar] [CrossRef] [PubMed]
- Guérin, A.; Kerner, G.; Marr, N.; Markle, J.G.; Fenollar, F.; Wong, N.; Boughorbel, S.; Avery, D.T.; Ma, C.S.; Bougarn, S.; et al. IRF4 haploinsufficiency in a family with Whipple’s disease. eLife 2018, 7, e32340. [Google Scholar] [CrossRef] [PubMed]
- Borretta, L.; Walsh, N.M.; Bakowsky, V.; Arnason, T.; Croul, S.; Pasternak, S. A Case of Whipple Disease With Cutaneous Manifestations. Am. J. Dermatopathol. 2021, 43, e104–e106. [Google Scholar] [CrossRef] [PubMed]
- Canal, L.; de la Fuente, D.; Rodriguez-Moreno, J.; Penin, R.M.; Marcoval, J. Specific cutaneous involvement in Whipple disease. Am. J. Dermatopathol. 2014, 36, 344–346. [Google Scholar] [CrossRef] [PubMed]
- Friedmann, A.C.; Perera, G.K.; Jayaprakasam, A.; Forgacs, I.; Salisbury, J.R.; Creamer, D. Whipple’s disease presenting with symmetrical panniculitis. Br. J. Dermatol. 2004, 151, 907–911. [Google Scholar] [CrossRef]
- Frenk, E.; Merot, Y.; Perez, I.; Chamot, A.M.; Gerster, J.C. Whipple’s disease with sarcoidosis-like cutaneous manifestations. Ann. Dermatol. Venereol. 1991, 118, 115–118. [Google Scholar] [PubMed]
- Cho, C.; Linscheer, W.G.; Hirschkorn, M.A.; Ashutosh, K. Sarcoidlike granulomas as an early manifestation of Whipple’s disease. Gastroenterology 1984, 87, 941–947. [Google Scholar] [CrossRef]
- Sanchez, A.; Del Giudice, P.; Mantion, C.; Mazellier, S.; Boukari, F.; Roger, P.-M.; Courjon, J. Erythematous skin nodules during treatment of Whipple’s disease. Infect. Dis. Now 2021, 51, 397–399. [Google Scholar] [CrossRef] [PubMed]
- Schaller, J.; Carlson, J.A. Erythema nodosum-like lesions in treated Whipple’s disease: Signs of immune reconstitution inflammatory syndrome. J. Am. Acad. Dermatol. 2009, 60, 277–288. [Google Scholar] [CrossRef] [PubMed]
- Totschnig, D.; Seitz, T.; Zoufaly, A.; Hagenauer-Drektraan, S.; Wenisch, C. Whipple’s disease diagnosed in a patient with suspected sarcoidosis. Int. J. Infect. Dis. IJID Off. Publ. Int. Soc. Infect. Dis. 2021, 106, 41–42. [Google Scholar] [CrossRef]
- Walters, S.; Valliani, T.; Przemioslo, R.; Rooney, N. Whipple’s disease: An unexpected finding in a peripheral lymph node biopsy. Lancet Lond. Engl. 2014, 383, 2268. [Google Scholar] [CrossRef]
- Geissdörfer, W.; Moos, V.; Moter, A.; Loddenkemper, C.; Jansen, A.; Tandler, R.; Morguet, A.J.; Fenollar, F.; Raoult, D.; Bogdan, C.; et al. High frequency of Tropheryma whipplei in culture-negative endocarditis. J. Clin. Microbiol. 2012, 50, 216–222. [Google Scholar] [CrossRef] [PubMed]
- Edouard, S.; Fenollar, F.; Raoult, D. The rise of Tropheryma whipplei: A 12-year retrospective study of PCR diagnoses in our reference center. J. Clin. Microbiol. 2012, 50, 3917–3920. [Google Scholar] [CrossRef] [PubMed][Green Version]
- Günther, U.; Moos, V.; Offenmüller, G.; Oelkers, G.; Heise, W.; Moter, A.; Loddenkemper, C.; Schneider, T. Gastrointestinal diagnosis of classical Whipple disease: Clinical, endoscopic, and histopathologic features in 191 patients. Medicine 2015, 94, e714. [Google Scholar] [CrossRef] [PubMed]
- Lepidi, H.; Fenollar, F.; Gerolami, R.; Mege, J.-L.; Bonzi, M.-F.; Chappuis, M.; Sahel, J.; Raoult, D. Whipple’s disease: Immunospecific and quantitative immunohistochemical study of intestinal biopsy specimens. Hum. Pathol. 2003, 34, 589–596. [Google Scholar] [CrossRef]
- Baisden, B.L.; Lepidi, H.; Raoult, D.; Argani, P.; Yardley, J.H.; Dumler, J.S. Diagnosis of Wihipple disease by immunohistochemical analysis: A sensitive and specific method for the detection of Tropheryma whipplei (the Whipple bacillus) in paraffin-embedded tissue. Am. J. Clin. Pathol. 2002, 118, 742–748. [Google Scholar] [CrossRef] [PubMed]
- Kutlu, O.; Şengiz, E.S.; Gökden, Y.; Kandemir, Ö.; Tükek, T. Whipple′s Disease: A Case Report. Med. Princ. Pract. 2020, 29, 90–93. [Google Scholar] [CrossRef] [PubMed]


Publisher’s Note: MDPI stays neutral with regard to jurisdictional claims in published maps and institutional affiliations. |
© 2021 by the authors. Licensee MDPI, Basel, Switzerland. This article is an open access article distributed under the terms and conditions of the Creative Commons Attribution (CC BY) license (https://creativecommons.org/licenses/by/4.0/).
Share and Cite
Zayet, S.; Isnard, P.; Bustamante, J.; Boutboul, D.; Abroug, S.; Belfeki, N. Cutaneous Granulomatosis Revealing Whipple’s Disease: Value of Tropheryma whipplei Polymerase Chain Reaction Assay for the Diagnosis. Pathogens 2021, 10, 1438. https://doi.org/10.3390/pathogens10111438
Zayet S, Isnard P, Bustamante J, Boutboul D, Abroug S, Belfeki N. Cutaneous Granulomatosis Revealing Whipple’s Disease: Value of Tropheryma whipplei Polymerase Chain Reaction Assay for the Diagnosis. Pathogens. 2021; 10(11):1438. https://doi.org/10.3390/pathogens10111438
Chicago/Turabian StyleZayet, Souheil, Pierre Isnard, Jacinta Bustamante, David Boutboul, Sarra Abroug, and Nabil Belfeki. 2021. "Cutaneous Granulomatosis Revealing Whipple’s Disease: Value of Tropheryma whipplei Polymerase Chain Reaction Assay for the Diagnosis" Pathogens 10, no. 11: 1438. https://doi.org/10.3390/pathogens10111438
APA StyleZayet, S., Isnard, P., Bustamante, J., Boutboul, D., Abroug, S., & Belfeki, N. (2021). Cutaneous Granulomatosis Revealing Whipple’s Disease: Value of Tropheryma whipplei Polymerase Chain Reaction Assay for the Diagnosis. Pathogens, 10(11), 1438. https://doi.org/10.3390/pathogens10111438

