Influence of CDFW Process Parameters on Microstructure and Mechanical Properties of U75V Rail Steel Welded Joint
Abstract
:1. Introduction
2. Material and Experimental Methods
3. Results
3.1. Macro-Profile Inspection
3.2. Microstructure Observation
3.3. Hardness Measurement
3.4. Tensile Test
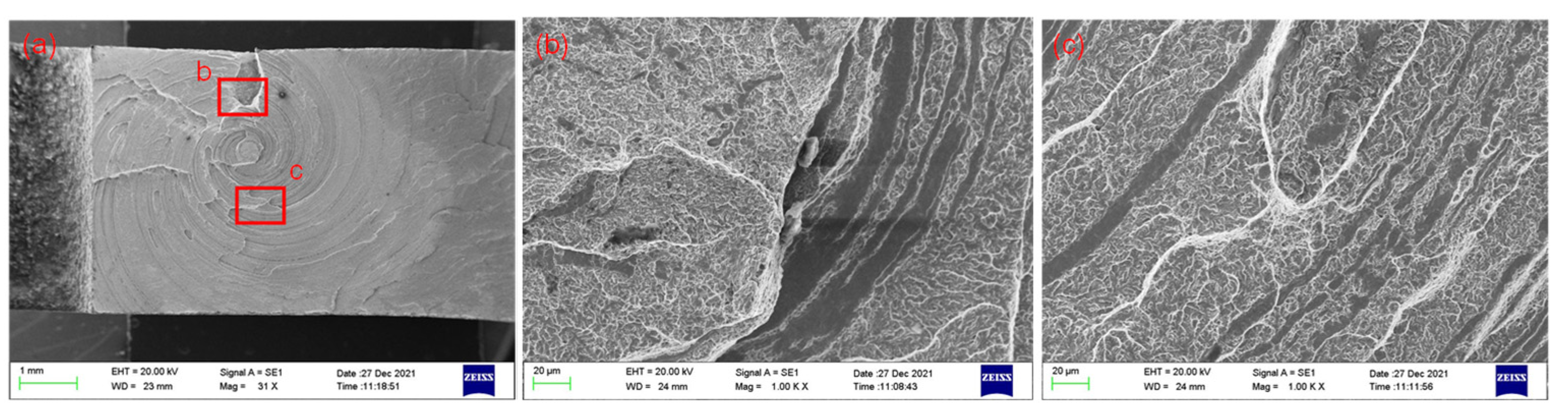
3.5. Impact Toughness Test
4. Discussion
5. Conclusions
- CDFW is an effective method to realize reliable welding of U75V rail steel, as sound metallurgical bonding without welding defects (e.g., voids, cracks, or slag inclusions) is formed in each weldment. The welding process only takes a few seconds, and the axial shortening length is only about 5 mm. These are much shorter than those in the FBW method (with a welding period of more than 1 min and an axial burning length of more than dozens of millimeters).
- Microscopic observation and EBSD analyses show that BM comprises lamellar pearlite; the HAZ consists of lamellar pearlite with reduced ferrite lamellar spacing; martensite and residual austenite microstructures appeared in the TMAZ and CWZ. From TMAZ to CWZ, the content of martensite and residual austenite microstructures increased while the content of pearlite with reduced ferrite lamellar spacing microstructures decreased.
- Process parameters determine the microstructure and mechanical properties of the as-welded joints by affecting heat generation, maximum temperature, metal plasticizing, and flash extrusion. The small set values of Ss (1800 rpm) and Fp (75 MPa) as well as the large set value of Up (175 MPa) were the preferred process parameters group (Group 1). In this group, the value of Rm was 94.3% of that of the BM, and the value of A was 3.5 times that specified in the TB. Furthermore, the values of KU2 (3.56 J), MVH (476 HV0.5), and WZW (1.01 mm) were the largest, lowest, and narrowest ones among all experimental groups, respectively.
- The tensile properties of the CDFW joint met the corresponding demands for that of the FBW joint specified in TB. However, the value of impact toughness decreased significantly compared with that of the BM, nor failed to meet the expected value of KU2 specified in TB (54.8% of the demanded value) for the FBW joint. The fracture mechanism of the tensile and impact specimens was quasi-cleavage fracture. The presence of the brittle and hard martensite microstructures led to these phenomena. These microstructures also increase the microhardness of the weld zone, especially the joining interface, while it is satisfactory that the softening zone generally appeared in the FBW joints was not detected.
Author Contributions
Funding
Institutional Review Board Statement
Informed Consent Statement
Data Availability Statement
Acknowledgments
Conflicts of Interest
References
- Zhu, M.; Xu, G.; Zhou, M.; Yuan, Q.; Tian, J.; Hu, H. Effects of tempering on the microstructure and properties of a high-strength bainite rail steel with good toughness. Metals 2018, 8, 484. [Google Scholar] [CrossRef] [Green Version]
- Bauri, L.F.; Alves, L.H.D.; Pereira, H.B.; Tschiptschin, A.P.; Goldenstein, H. The role of welding parameters on the control of the microstructure and mechanical properties of rails welded using FBW. J. Mater. Res. Technol. 2020, 9, 8058–8073. [Google Scholar] [CrossRef]
- Zhou, Q.; Zhang, Y.; Liu, F.; Tian, C.; Chen, Z.; Li, C. Review of the development history of high-speed railway rail technology. China Railw. 2018, 3, 1–8. [Google Scholar]
- Godefroid, L.B.; Souza, A.T.; Pinto, M.A. Fracture toughness, fatigue crack resistance and wear resistance of two railroad steels. J. Mater. Res. Technol. 2020, 9, 9588–9597. [Google Scholar] [CrossRef]
- Zhao, X.; Fan, Y.; Liu, Y.; Wang, H.; Dong, P. Evaluation of fatigue fracture mechanism in a flash butt welding joint of a U75V type steel for railroad applications. Eng. Fail. Anal. 2015, 55, 26–38. [Google Scholar] [CrossRef] [Green Version]
- Gao, W. Comparisons of welding process and quality of rails in intermediate altitude areas. Electr. Weld. Mach. 2017, 47, 109–112. [Google Scholar]
- Khan, A.R.; Yu, S.; Wang, H.; Jiang, Y. Effect of cooling rate on microstructure and mechanical properties in the CGHAZ of electroslag welded pearlitic rail steel. Metals 2019, 9, 742. [Google Scholar] [CrossRef] [Green Version]
- Weingrill, L.; Nasiri, M.B.; Enzinger, N. Thermo-metallurgically coupled numerical simulation and validation of multi-layer gas metal arc welding of high strength pearlitic rails. Weld. World 2019, 63, 63–73. [Google Scholar] [CrossRef]
- Fu, P.; Zhu, Z. Influence of heterogeneous mechanical properties on the performance of forward static bending test of rail welded joint. J. Mech. Sci. Technol. 2018, 32, 4325–4333. [Google Scholar] [CrossRef]
- Porcaro, R.R.; Faria, G.L.; Godefroid, L.B.; Apolonio, G.R.; Candido, L.C.; Pinto, E.S. Microstructure and mechanical properties of a flash butt welded pearlitic rail. J. Mater. Process. Technol. 2019, 270, 20–27. [Google Scholar] [CrossRef]
- Baptista, R.; Santos, T.; Marques, J.; Guedes, M.; Infante, V. Fatigue behavior and microstructural characterization of a high strength steel for welded railway rails. Int. J. Fatigue. 2018, 117, 1–8. [Google Scholar] [CrossRef]
- Sarikavak, Y.; Turkbas, O.S.; Cogun, C. Inuence of welding on microstructure and strength of rail steel. Constr. Build. Mater. 2020, 243, 118220. [Google Scholar] [CrossRef]
- Yu, X.; Feng, L.; Qin, S.; Zhang, Y.; He, Y. Fracture analysis of U71Mn rail flash-butt welding joint. Eng. Fail. Anal. 2015, 4, 20–25. [Google Scholar] [CrossRef] [Green Version]
- Guan, R.; Ji, C.; Chen, T.; Zhu, M.; Li, H. Formation mechanism of abnormal martensite in the welded joint of the bainitic rail. Metall. Mater. Trans. B 2021, 52, 3220–3234. [Google Scholar] [CrossRef]
- Hajizad, O.; Kumar, A.; Li, Z.; Petrov, R.H.; Dollevoet, R. Influence of microstructure on mechanical properties of bainitic steels in railway applications. Metals 2019, 9, 778. [Google Scholar] [CrossRef] [Green Version]
- Akinlabi, E.T.; Mahamood, R.M. Chapter 2 Friction Welding. In Solid-State Welding: Friction and Friction Stir Welding Processes; Kulacki, F.A., Ed.; Springer: Cham, Switzerland, 2020; pp. 13–38. [Google Scholar]
- Nicholas, E.D. Friction processing technologies. Weld. World 2003, 47, 2–9. [Google Scholar] [CrossRef]
- Li, W.; Vairis, A.; Preuss, M.; Ma, T. Linear and rotary friction welding review. Int. Mater. Rev. 2016, 61, 71–100. [Google Scholar] [CrossRef]
- Maalekian, M. Friction welding—Critical assessment of literature. Sci. Technol. Weld. Join. 2007, 12, 738–759. [Google Scholar] [CrossRef]
- Wang, G.; Li, J.; Wang, W.; Xiong, J.; Zhang, F. Study on the effect of energy-input on the joint mechanical properties of rotary friction-welding. Metals 2018, 8, 908. [Google Scholar] [CrossRef] [Green Version]
- Ma, H.; Qin, G.; Geng, P.; Li, F.; Fu, B.; Meng, X. Microstructure characterization and properties of carbon steel to stainless steel dissimilar metal joint made by friction welding. Mater. Design 2015, 86, 587–597. [Google Scholar] [CrossRef]
- Li, X.; Li, J.; Jin, F.; Xiong, J.; Zhang, F. Effect of rotation speed on friction behavior of rotary friction welding of AA6061-T6 aluminum alloy. Weld. World 2018, 62, 923–930. [Google Scholar] [CrossRef]
- Nu, M.; Thi, H.; Minh, L.P.; Loc, N.H. A study on rotary friction welding of titanium alloy (Ti6Al4V). Adv. Mater. Sci. Eng. 2019, 2019, 4728213. [Google Scholar]
- Jin, F.; Xiong, J.; Shi, J.; Guo, D.; Li, J. Flash formation mechanism during rotary friction welding of GH4169 superalloy. Mater. Rep. 2020, 34, 10144–10149. [Google Scholar]
- Li, W.; Wang, F. Modeling of continuous drive friction welding of mild steel. Mat. Sci. Eng. A Struct. 2011, 528, 5921–5926. [Google Scholar] [CrossRef]
- Udayakumar, T.; Raja, K.; Abhijit, A.T.; Sathiya, P. Experimental investigation on mechanical and metallurgical properties of super duplex stainless steel joints using friction welding process. J. Manuf. Process. 2013, 15, 558–571. [Google Scholar] [CrossRef]
- Khidhir, G.I.; Baban, S.A. Efficiency of dissimilar friction welded 1045 medium carbon steel and 316L austenitic stainless steel joints. J. Mater. Res. Technol. 2019, 8, 1926–1932. [Google Scholar] [CrossRef]
- Lei, B.; Shi, Q.; Yang, L.; Liu, C.; Pan, J.; Chen, G. Evolution of interfacial contact during low pressure rotary friction welding: A finite element analysis. J. Manuf. Process. 2020, 56, 643–655. [Google Scholar] [CrossRef]
- Su, Y.; Li, W.; Wang, X.; Ma, T.; Ma, L.; Dou, X. The sensitivity analysis of microstructure and mechanical properties to welding parameters for linear friction welded rail steel joints. Mat. Sci. Eng. A Struct. 2019, 764, 138251. [Google Scholar] [CrossRef]
- Zheng, X.; Tan, K.; Dai, H. Investigation on microstructure and mechanical properties of U20Mn rail steel linear friction welded joint. Electr. Weld. Mach. 2020, 50, 64–70. [Google Scholar]
- Pfeiler, J. Method for Joining Rails by Friction Welding. U.S. Patent 7,959,056B2, 14 June 2011. [Google Scholar]
- Tan, K.; Tan, K.; Yang, F.; Duan, L.; Tan, K. A Third-Body Friction Welding Method for Rail. CN 110,052,697, 15 May 2019. [Google Scholar]
- Cheniti, B.; Miroud, D.; Badji, R.; Hvizdos, P.; Fides, M.; Csanadi, T.; Belkessa, B.; Tata, M. Microstructure and mechanical behavior of dissimilar AISI 304L/WC-Co cermet rotary friction welds. Mat. Sci. Eng. A Struct. 2019, 758, 36–46. [Google Scholar] [CrossRef]
- Ryde, L. Application of EBSD to analysis of microstructures in commercial steels. Mater. Sci. Technol. 2006, 22, 1297–1306. [Google Scholar] [CrossRef]
- Hidalgo, J.; Findley, K.O.; Santofimia, M.J. Thermal and mechanical stability of retained austenite surrounded by martensite with different degrees of tempering. Mat. Sci. Eng. A Struct. 2017, 690, 337–347. [Google Scholar] [CrossRef]
- Jia, Q.; Guo, W.; Wan, Z.; Peng, Y.; Zou, G.; Tian, Z.; Zhou, Y.N. Microstructure and mechanical properties of laser welded dissimilar joints between QP and boron alloyed martensitic steels. J. Mater. Process. Technol. 2018, 259, 58–67. [Google Scholar] [CrossRef]
- Calcagnotto, M.; Ponge, D.; Demir, E.; Raabe, D. Orientation gradients and geometrically necessary dislocations in ultrafine grained dual-phase steels studied by 2D and 3D EBSD. Mat. Sci. Eng. A Struct. 2010, 527, 2738–2746. [Google Scholar] [CrossRef]
- Ray, K.K.; Mondal, D. The effect of interlamellar spacing on strength of pearlite in annealed eutectoid and hypoeutectoid plain carbon steels. Acta Metall. Mater. 1991, 39, 2201–2208. [Google Scholar] [CrossRef]
- Yang, X.; Zhang, X.; Zhang, J.; Lv, Q. Grain growth model of U75V rail steel and its application in welding. Electr. Weld. Mach. 2019, 49, 26–32. [Google Scholar]
- Shi, H.; Wan, J.; Cheng, J. Experimental study on the impact specimen size to the impact energy. China Spec. Equip. Saf. 2019, 28, 3–4. [Google Scholar]












| Chemical Composition (wt.%) | Mechanical Properties | |||||||
|---|---|---|---|---|---|---|---|---|
| C | Mn | Si | V | P | S | Tensile Strength | Elongation after Fracture | Hardness |
| 0.71~0.80 | 0.95~1.05 | 0.50~0.80 | 0.04~0.12 | ≤0.025 | ≤0.025 | Rm ≥ 980 MPa | A ≥ 10% | 280~320 HB |
| Group | Spindle Speed | Friction Pressure | Upsetting Pressure |
|---|---|---|---|
| 1 | 1800 rpm | 75 MPa | 175 MPa |
| 2 | 100 MPa | 125 MPa | |
| 3 | 125 MPa | 150 MPa | |
| 4 | 2000 rpm | 75 MPa | 125 MPa |
| 5 | 100 MPa | 150 MPa | |
| 6 | 125 MPa | 175 MPa | |
| 7 | 2200 rpm | 75 MPa | 150 MPa |
| 8 | 100 MPa | 175 MPa | |
| 9 | 125 MPa | 125 MPa |
| Group | Rm/MPa | vs. TB * | A/% | vs. TB * | KU2/J | vs. TB * |
|---|---|---|---|---|---|---|
| 1 | 1001 | 114% | 21 | 356% | 3.56 | 55% |
| 2 | 935 | 106% | 19 | 322% | 2.00 | 31% |
| 3 | 905 | 103% | 20 | 328% | 2.39 | 37% |
| 4 | 937 | 106% | 21 | 344% | 2.29 | 35% |
| 5 | 870 | 99% | 18 | 300% | 1.91 | 29% |
| 6 | 871 | 99% | 17 | 289% | 2.57 | 40% |
| 7 | 884 | 100% | 18 | 300% | 2.11 | 32% |
| 8 | 899 | 102% | 19 | 322% | 3.08 | 47% |
| 9 | 908 | 103% | 18 | 300% | 3.37 | 52% |
Publisher’s Note: MDPI stays neutral with regard to jurisdictional claims in published maps and institutional affiliations. |
© 2022 by the authors. Licensee MDPI, Basel, Switzerland. This article is an open access article distributed under the terms and conditions of the Creative Commons Attribution (CC BY) license (https://creativecommons.org/licenses/by/4.0/).
Share and Cite
Zhang, H.; Li, C.; Zhu, Z. Influence of CDFW Process Parameters on Microstructure and Mechanical Properties of U75V Rail Steel Welded Joint. Metals 2022, 12, 711. https://doi.org/10.3390/met12050711
Zhang H, Li C, Zhu Z. Influence of CDFW Process Parameters on Microstructure and Mechanical Properties of U75V Rail Steel Welded Joint. Metals. 2022; 12(5):711. https://doi.org/10.3390/met12050711
Chicago/Turabian StyleZhang, Han, Chang’an Li, and Zhiming Zhu. 2022. "Influence of CDFW Process Parameters on Microstructure and Mechanical Properties of U75V Rail Steel Welded Joint" Metals 12, no. 5: 711. https://doi.org/10.3390/met12050711
APA StyleZhang, H., Li, C., & Zhu, Z. (2022). Influence of CDFW Process Parameters on Microstructure and Mechanical Properties of U75V Rail Steel Welded Joint. Metals, 12(5), 711. https://doi.org/10.3390/met12050711

