Solid-State Welding of the Nanostructured Ferritic Alloy 14YWT Using a Capacitive Discharge Resistance Welding Technique
Abstract
1. Introduction
2. Materials and Methods
3. Results
3.1. Macro Characteristics
3.2. Weld Lines and Texture
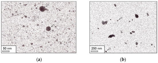
3.3. Dispersoids
3.4. Nanohardness
4. Discussion
5. Conclusions
- Microstructural evolution in the welded components was limited to ~200 um thick TMAZs; lacked obvious recrystallization, coarsening, or agglomeration of grains or dispersoids reported for other joining methods (conventional and SSW); and suggests a relatively low energy dissipation; and
- Softening was measured during the nanoindentation of the TMAZs despite this apparent lack of microstructural change, was minor compared to past joining studies, and left sufficient hardness to be comparable with or stronger than other advanced cladding materials.
Author Contributions
Funding
Institutional Review Board Statement
Informed Consent Statement
Data Availability Statement
Acknowledgments
Conflicts of Interest
Abbreviations
| CD | Compression direction |
| CDRW | Capacitive discharge resistance welding |
| CEA | French Alternative Energies and Atomic Energy Commission |
| EBSD | Electron backscatter diffraction |
| EDM | Electrical discharge machining |
| EDS | Energy dispersive X-ray spectroscopy |
| EWI | Edison Welding Institute |
| FCRD | Fuel Cycle Research and Development |
| FIB | Focused ion beam |
| FRW | Friction welding |
| FSW | Friction stir welding |
| HAADF | High-angle annular dark field |
| HAZ | Heat-affected zone |
| NFA | Nanostructured ferritic alloy |
| ODS | Oxide-dispersion-strengthened |
| PRW | Pressure resistance welding |
| RD | Radial direction |
| SAXS | Small-angle X-ray scattering |
| SEM | Scanning electron microscopy |
| SP | Spark plasma |
| SSW | Solid-state welding |
| STEM | Scanning transmission electron microscopy |
| TD | Transverse direction |
| TEM | Transmission electron microscopy |
| TKD | Transmission Kikuchi diffraction |
| TMAZ | Thermo-mechanically affected zone |
References
- Zinkle, S.J.; Busby, J. Structural materials for fission & fusion energy. Mater. Today 2009, 12, 12–19. [Google Scholar] [CrossRef]
- Zinkle, S.J.; Was, G.S. Materials challenges in nuclear energy. Acta Mater. 2013, 61, 735–758. [Google Scholar] [CrossRef]
- Benjamin, J.S. Mechanical Alloying. Sci. Am. 1976, 234, 40–49. [Google Scholar] [CrossRef]
- Wilson, F.G.; Knott, B.R.; Desforges, C.D. Preparation and properties of some ODS Fe-Cr-Al alloys. Met. Mater. Trans. A 1978, 9, 275–282. [Google Scholar] [CrossRef]
- Gilman, P.S.; Benjamin, J.S. Mechanical Alloying. Ann. Rev. Mater. Sci. 1983, 13, 279–300. [Google Scholar] [CrossRef]
- Hack, G.A.J. Developments in The Production of Oxide Dispersion Strengthened Superalloys. Powder Met. 1984, 27, 73–79. [Google Scholar] [CrossRef]
- Czyrska-Filemonowicz, A.; Dubiel, B. Mechanically alloyed, ferritic oxide dispersion strengthened alloys: Structure and properties. J. Mater. Process. Technol. 1997, 64, 53–64. [Google Scholar] [CrossRef]
- Ukai, S.; Fujiwara, M. Perspective of ODS alloys application in nuclear environments. J. Nucl. Mater. 2002, 307–311, 749–757. [Google Scholar] [CrossRef]
- Hoelzer, D.T.; Bentley, J.; Sokolov, M.A.; Miller, M.K.; Odette, G.R.; Alinger, M.J. Influence of particle dispersions on the high-temperature strength of ferritic alloys. J. Nucl. Mater. 2007, 367–370, 166–172. [Google Scholar] [CrossRef]
- Odette, G.; Alinger, M.; Wirth, B. Recent Developments in Irradiation-Resistant Steels. Annu. Rev. Mater. Res. 2008, 38, 471–503. [Google Scholar] [CrossRef]
- Ukai, S. Oxide Dispersion Strengthened Steels. Compr. Nucl. Mater. 2012, 4, 241–271. [Google Scholar] [CrossRef]
- Odette, G.R. On the status and prospects for nanostructured ferritic alloys for nuclear fission and fusion application with emphasis on the underlying science. Scr. Mater. 2018, 143, 142–148. [Google Scholar] [CrossRef]
- Hoelzer, D.; Massey, C.; Zinkle, S.; Crawford, D.; Terrani, K. Modern nanostructured ferritic alloys: A compelling and viable choice for sodium fast reactor fuel cladding applications. J. Nucl. Mater. 2020, 529, 151928. [Google Scholar] [CrossRef]
- Miller, M.K.; Hoelzer, D.T.; Kenik, E.A.; Russell, K.F. Stability of ferritic MA/ODS alloys at high temperatures. Intermetallics 2005, 13, 387–392. [Google Scholar] [CrossRef]
- Hayashi, T.; Sarosi, P.M.; Schneibel, J.H.; Mills, M.J. Creep response and deformation processes in nanocluster-strengthened ferritic steels. Acta Mater. 2008, 56, 1407–1416. [Google Scholar] [CrossRef]
- Yamamoto, T.; Odette, G.R.; Miao, P.; Edwards, D.J.; Kurtz, R.J. Helium effects on microstructural evolution in tempered martensitic steels: In situ helium implanter studies in HFIR. J. Nucl. Mater. 2009, 386–388, 338–341. [Google Scholar] [CrossRef]
- Odette, G.R.; Hoelzer, D.T. Irradiation-tolerant nanostructured ferritic alloys: Transforming helium from a liability to an asset. JOM 2010, 62, 84–92. [Google Scholar] [CrossRef]
- Odette, G.R.; Miao, P.; Edwards, D.J.; Yamamoto, T.; Kurtz, R.J.; Tanigawa, H. Helium transport, fate and management in nanostructured ferritic alloys: In situ helium implanter studies. J. Nucl. Mater. 2011, 417, 1001–1004. [Google Scholar] [CrossRef]
- Dai, Y.; Odette, G.R.; Yamamoto, T. The Effects of Helium in Irradiated Structural Alloys. Compr. Nucl. Mater. 2012, 1, 141–193. [Google Scholar] [CrossRef]
- Odette, G.R. Recent progress in developing and qualifying nanostructured ferritic alloys for advanced fission and fusion applications. JOM 2014, 66, 2427–2441. [Google Scholar] [CrossRef]
- Toloczko, M.B.; Garner, F.A.; Voyevodin, V.N.; Bryk, V.V.; Borodin, O.V.; Mel’nychenko, V.V.; Kalchenko, A.S. Ion-induced swelling of ODS ferritic alloy MA957 tubing to 500 dpa. J. Nucl. Mater. 2014, 453, 323–333. [Google Scholar] [CrossRef]
- Toualbi, L.; Cayron, C.; Olier, P.; Malaplate, J.; Praud, M.; Mathon, M.H.; Bossu, D.; Rouesne, E.; Montani, A.; Logé, R.; et al. Assessment of a new fabrication route for Fe–9Cr–1W ODS cladding tubes. J. Nucl. Mater. 2012, 428, 47–53. [Google Scholar] [CrossRef]
- Zhong, S.Y.; Ribis, J.; Klosek, V.; de Carlan, Y.; Lochet, N.; Ji, V.; Mathon, M.H. Study of the thermal stability of nanoparticle distributions in an oxide dispersion strengthened (ODS) ferritic alloys. J. Nucl. Mater. 2012, 428, 154–159. [Google Scholar] [CrossRef]
- Miao, P.; Odette, G.R.; Yamamoto, T.; Alinger, M.J.; Klingensmith, D. Thermal stability of nano-structured ferritic alloy. J. Nucl. Mater. 2008, 377, 59–64. [Google Scholar] [CrossRef]
- Pareige, P.; Miller, M.K.; Stoller, R.E.; Hoelzer, D.T.; Cadel, E.; Radiguet, B. Stability of nanometer-sized oxide clusters in mechanically-alloyed steel under ion-induced displacement cascade damage conditions. J. Nucl. Mater. 2007, 360, 136–142. [Google Scholar] [CrossRef]
- Certain, A.; Kuchibhatla, S.; Shutthanandan, V.; Hoelzer, D.T.; Allen, T.R. Radiation stability of nanoclusters in nano-structured oxide dispersion strengthened (ODS) steels. J. Nucl. Mater. 2013, 434, 311–321. [Google Scholar] [CrossRef]
- He, J.; Wan, F.; Sridharan, K.; Allen, T.R.; Certain, A.; Shutthanandan, V.; Wu, Y.Q. Stability of nanoclusters in 14YWT oxide dispersion strengthened steel under heavy ion-irradiation by atom probe tomography. J. Nucl. Mater. 2014, 455, 41–45. [Google Scholar] [CrossRef]
- He, J.; Wan, F.; Sridharan, K.; Allen, T.R.; Certain, A.; Wu, Y.Q. Response of 9Cr-ODS steel to proton irradiation at 400 °C. J. Nucl. Mater. 2014, 452, 87–94. [Google Scholar] [CrossRef]
- Ribis, J.; Lozano-Perez, S. Nano-cluster stability following neutron irradiation in MA957 oxide dispersion strengthened material. J. Nucl. Mater. 2014, 444, 314–322. [Google Scholar] [CrossRef]
- Chen, T.; Aydogan, E.; Gigax, J.G.; Chen, D.; Wang, J.; Wang, X.; Ukai, S.; Garner, F.A.; Shao, L. Microstructural changes and void swelling of a 12Cr ODS ferritic-martensitic alloy after high-dpa self-ion irradiation. J. Nucl. Mater. 2015, 467, 42–49. [Google Scholar] [CrossRef]
- Chen, T.; Gigax, J.G.; Price, L.; Chen, D.; Ukai, S.; Aydogan, E.; Maloy, S.A.; Garner, F.A.; Shao, L. Temperature dependent dispersoid stability in ion-irradiated ferritic-martensitic dual-phase oxide-dispersion-strengthened alloy: Coherent interfaces vs. incoherent interfaces. Acta Mater. 2016, 116, 29–42. [Google Scholar] [CrossRef]
- Aydogan, E.; Almirall, N.; Odette, G.R.; Maloy, S.A.; Anderoglu, O.; Shao, L.; Gigax, J.G.; Price, L.; Chen, D.; Chen, T.; et al. Stability of nanosized oxides in ferrite under extremely high dose self ion irradiations. J. Nucl. Mater. 2017, 486, 86–95. [Google Scholar] [CrossRef]
- Lear, C.R.; Song, M.; Wang, M.; Was, G.S. Dual ion irradiation of commercial and advanced alloys: Evaluating microstructural resistance for high dose core internals. J. Nucl. Mater. 2019, 516, 125–134. [Google Scholar] [CrossRef]
- Eftink, B.P.; Quintana, M.E.; Romero, T.J.; Xu, C.; Hoelzer, D.T.; Saleh, T.A.; Maloy, S.A. Shear punch testing of neutron-irradiated HT-9 and 14YWT. JOM 2020, 72, 1703–1709. [Google Scholar] [CrossRef]
- Holko, K.H.; Moore, T.J.; Gyorgak, C.A. State-of-technology for joining TD-NiCr sheet. In Proceedings of the Second International Symposium on Superalloys, Seven Springs, PA, USA, 18–20 September 1972. [Google Scholar]
- Molian, P.A.; Yang, Y.M.; Patnaik, P.C. Laser welding of oxide dispersion-strengthened alloy MA754. J. Mater. Sci. 1992, 27, 2687–2694. [Google Scholar] [CrossRef]
- O’Donnell, D. Joining of Oxide-Dispersion-Strengthened Materials. In ASM Handbook; Olson, D.L., Siewert, T.A., Liu, S., Edwards, G.R., Eds.; ASM International: Metals Park, OH, USA, 1993; Volume 6, pp. 1037–1040. [Google Scholar] [CrossRef]
- McKimpson, M.G.; O’Donnell, D. Joining ODS materials for high-temperature applications. JOM 1994, 46, 49–51. [Google Scholar] [CrossRef]
- Tabakin, E.M.; Kuz’min, S.V.; Ivanovich, Y.V.; Ukai, S.; Kaito, T.; Seki, M. Investigation of the Y2O3 distribution in the weld joints of dispersion-hardened steel cladding of fast-reactor fuel elements. Atom. Energy 2007, 102, 430–435. [Google Scholar] [CrossRef]
- Wright, I.G.; Tatlock, G.; Al-Badairy, H.; Chen, C.-L. Summary of Prior Work on Joining of Oxide Dispersion-Strengthened Alloys; ORNL/TM-2009/138; Department of Energy Office of Fossil Energy, Oak Ridge National Laboratory: Oak Ridge, TN, USA, 2009. [Google Scholar] [CrossRef][Green Version]
- Kang, C.Y.; North, T.H.; Perovic, D.D. Microstructural features of friction welded MA956 superalloy material. Metall. Mater. Trans. A 1996, 27, 4019–4029. [Google Scholar] [CrossRef]
- Shinozaki, K.; Kang, C.Y.; Kim, Y.C.; Aritoshi, M.; North, T.H.; Nakao, Y. The metallurgical and mechanical properties of ODS alloy MA956 friction welds. Weld. J. 1997, 76, 289–299. [Google Scholar]
- Ates, H.; Turker, M.; Kurt, A. Effect of friction pressure on the properties of friction welded MA956 iron-based superalloy. Mater. Des. 2007, 28, 948–953. [Google Scholar] [CrossRef]
- Miao, P.; Odette, G.R.; Gould, J.E.; Bernath, J.; Miller, R.; Alinger, M.J.; Zanis, C. The microstructure and strength properties of MA957 nanostructured ferritic alloy joints produced by friction stir and electro-spark deposition welding. J. Nucl. Mater. 2007, 367–370, 1197–1202. [Google Scholar] [CrossRef]
- Legendre, F.; Poissonnet, S.; Bonnaillie, P.; Boulanger, L.; Forest, L. Some microstructural characterisations in a friction stir welded oxide dispersion strengthened ferritic steel alloy. J. Nucl. Mater. 2009, 386–388, 537–539. [Google Scholar] [CrossRef]
- Chen, C.-L.; Tatlock, G.J.; Jones, A.R. Microstructural evolution in friction stir welding of nanostructured ODS alloys. J. Alloys Compd. 2010, 504S, S460–S466. [Google Scholar] [CrossRef]
- Etienne, A.; Cunningham, N.J.; Wu, Y.; Odette, G.R. Effects of friction stir welding and post-weld annealing on nanostructured ferritic alloy. Mater. Sci. Techol. 2011, 27, 724–728. [Google Scholar] [CrossRef]
- Odette, G.R.; Cunningham, N.J.; Wu, Y.; Etienne, A.; Stergar, E.; Yamamoto, T. Establishing a Scientific Basis for Optimizing Compositions, Process Paths and Fabrication Methods for Nanostructured Ferritic Alloys for Use in Advanced Fission Energy Systems; DOE/07ID14825; Department of Energy Office of Nuclear Energy, University of California, Santa Barbara: Santa Barbara, CA, USA, 2012. [Google Scholar] [CrossRef]
- Wang, J.; Yuan, W.; Mishra, R.S.; Charit, I. Microstructure and mechanical properties of friction stir welded oxide dispersion strengthened alloy. J. Nucl. Mater. 2013, 432, 274–280. [Google Scholar] [CrossRef]
- Yu, X.; Mazumder, B.; Miller, M.K.; David, S.A.; Feng, Z. Stability of Y–Ti–O precipitates in friction stir welded nanostructured ferritic alloys. Sci. Technol. Weld. Join. 2015, 20, 236–241. [Google Scholar] [CrossRef]
- Mazumder, B.; Yu, X.; Edmondson, P.D.; Parish, C.M.; Miller, M.K.; Meyer, H.M.I.; Feng, Z. Effect of friction stir welding and post-weld heat treatment on a nanostructured ferritic alloy. J. Nucl. Mater. 2016, 469, 200–208. [Google Scholar] [CrossRef]
- Gould, J.E. Fundamentals of Solid-State Resistance Welding. In ASM Handbook; Lienert, T., Siewert, T.A., Babu, S., Acoff, V., Eds.; ASM International: Materials Park, OH, USA, 2011; Volume 6A, pp. 209–216. [Google Scholar] [CrossRef]
- Peterson, W. Projection Welding. In ASM Handbook; Lienert, T., Siewert, T.A., Babu, S., Acoff, V., Eds.; ASM International: Materials Park, OH, USA, 2011; Volume 6A, pp. 423–437. [Google Scholar] [CrossRef]
- Zirker, L.R.; Bottcher, J.H.; Shikakura, S.; Tsai, C.L.; Hamilton, M.L. Fabrication of oxide dispersion strengthened ferritic clad fuel pins. In Proceedings of the International Conference on Fast Reactors and Related Fuel Cycles, Kyoto, Japan, 28–31 October 1991. [Google Scholar]
- Bottcher, J.; Ukai, S.; Inoue, M. ODS steel clad MOX fuel-pin fabrication and irradiation performance in EBR-II. Nucl. Technol. 2002, 138, 238–245. [Google Scholar] [CrossRef]
- Seki, M.; Hirako, K.; Kono, S.; Kihara, Y.; Kaito, T.; Ukai, S. Pressurized resistance welding technology development in 9Cr-ODS martensitic steels. J. Nucl. Mater. 2004, 329–333, 1534–1538. [Google Scholar] [CrossRef]
- Gan, J.; Jerred, N.D.; Perez, E.; Haggard, D.C. Laser and pressure resistance weld of thin-wall cladding for LWR accident-tolerant fuels. JOM 2018, 70, 192–197. [Google Scholar] [CrossRef]
- Jerred, N.D.; Charit, I.; Zirker, L.R.; Cole, J.I. Pressure resistance welding of MA-957 to HT-9 for advanced reactor applications. J. Nucl. Mater. 2018, 508, 265–277. [Google Scholar] [CrossRef]
- Doyen, O.; Le Gloannec, B.; Deschamps, A.; De Geuser, F.; Pouvreau, C.; Poulon-Quintin, A. Ferritic and martensitic ODS steel resistance upset welding of fuel claddings: Weldability assessment and metallurgical effects. J. Nucl. Mater. 2019, 518, 326–333. [Google Scholar] [CrossRef]
- Wu, Y.; Ciston, J.; Kräemer, S.; Bailey, N.; Odette, G.R.; Hosemann, P. The crystal structure, orientation relationships and interfaces of the nanoscale oxides in nanostructured ferritic alloys. Acta Mater. 2016, 111, 108–115. [Google Scholar] [CrossRef]
- Hoelzer, D.T.; Unocic, K.A.; Sokolov, M.A.; Byun, T.S. Influence of processing on the microstructure and mechanical properties of 14YWT. J. Nucl. Mater. 2016, 471, 251–265. [Google Scholar] [CrossRef]
- Bentley, J.; Hoelzer, D.T. TEM characterization of tensile-tested 14YWT nanostructured ferritic alloys. Microsc. Microanal. 2008, 14, 1416–1417. [Google Scholar] [CrossRef]
- Lienert, T.J.; Lear, C.R.; Steckley, T.E.; Lindamood, L.; Gould, J.E.; Maloy, S.A.; Eftink, B.P. Comparison of projection-capacitor discharge resistance welding of 430 stainless steel and 14YWT. J. Manuf. Process. 2021; submitted. [Google Scholar]
- Maloy, S.A.; Aydogan, E.; Anderoglu, O.; Lavender, C.; Anderson, I.; Rieken, J.; Lewandowski, J.; Hoelzer, D.; Odette, G.R. Characterization of Tubing from Advanced ODS Alloy (FCRD-NFA1); LA-UR-15-27372; Department of Energy Office of Nuclear Energy, Los Alamos National Laboratory: Los Alamos, NM, USA, 2015. [Google Scholar] [CrossRef]
- Pal, S.; Alam, M.E.; Odette, G.R.; Maloy, S.A.; Hoelzer, D.T.; Lewandowski, J.J. Microstructure, Texture and Mechanical Properties of the 14YWT Nanostructured Ferritic Alloy NFA-1. In Mechanical and Creep Behavior of Advanced Materials; Charit, I., Zhu, Y.T., Maloy, S.A., Liaw, P.K., Eds.; Springer: Cham, Switzerland, 2017; pp. 43–54. [Google Scholar] [CrossRef]
- Harvey, C.; El Atwani, O.; Kim, H.; Lavender, C.; McCoy, M.; Sornin, D.; Lewandowski, J.; Maloy, S.A.; Pathak, S. Microstructural and micro-mechanical analysis of 14YWT nanostructured Ferritic alloy after varying thermo-mechanical processing paths into tubing. Mater. Charact. 2021, 171, 110744. [Google Scholar] [CrossRef]
- Center for Integrated Nanotechnologies. Available online: https://cint.lanl.gov/ (accessed on 1 March 2021).
- Oliver, W.C.; Pharr, G.M. Measurement of hardness and elastic modulus by instrumented indentation: Advances in understanding and refinements to methodology. J. Mater. Res. 2004, 19, 3–20. [Google Scholar] [CrossRef]
- Baczynski, J.; Jonas, J.J. Texture development during the torsion testing of -iron and two IF steels. Acta Mater. 1996, 44, 4273–4288. [Google Scholar] [CrossRef]
- Aydogan, E.; Maloy, S.A.; Anderoglu, O.; Sun, C.; Gigax, J.G.; Shao, L.; Garner, F.A.; Anderson, I.E.; Lewandowski, J.J. Effect of tube processing methods on microstructure, mechanical properties and irradiation response of 14YWT nanostructured ferritic alloys. Acta Mater. 2017, 134, 116–127. [Google Scholar] [CrossRef]
- Stan, T.; Wu, Y.; Ciston, J.; Yamamoto, T.; Odette, G.R. Characterization of polyhedral nano-oxides and helium bubbles in an annealed nanostructured ferritic alloy. Acta Mater. 2020, 183, 484–492. [Google Scholar] [CrossRef]
- Corpace, F.; Monnier, A.; Grall, J.; Manaud, J.-P.; Lahaye, M.; Poulon-Quintin, A. Resistance upset welding of ODS steel fuel claddings—Evaluation of a process parameter range based on metallurgical observations. Metals 2017, 7, 333. [Google Scholar] [CrossRef]
- Hoelzer, D.T.; Unocic, K.A.; Sokolov, M.A.; Feng, Z. Joining of 14YWT and F82H by friction stir welding. J. Nucl. Mater. 2013, 442, S529–S534. [Google Scholar] [CrossRef]
- Radhakrishnan, M.; Torresani, E.; Olevshy, E.; McCabe, R.; Maloy, S.A.; Anderoglu, O. Joining of nanostructured ferritic 14YWT alloys by spark plasma technique. J. Mater. Eng. Perform. 2021, 30, 5736–5741. [Google Scholar] [CrossRef]









| Element | Fe | Cr | Y | W | Ti | O | C | Mn | Al | Cu | Ni |
|---|---|---|---|---|---|---|---|---|---|---|---|
| Concentration (wt%) | Bal | 13.6 | 0.25 | 3.12 | 0.40 | 0.097 | 0.008 | 0.020 | 0.012 | 0.037 | 0.041 |
| Weld Condition | Force (kN) | Peak Current (kA) | Rise Time (ms) | Energy (J) | Power (kW) |
|---|---|---|---|---|---|
| 1 | 4.0 | 25 | 2.2 | 360 | 82 |
| 2 | 3.1 | 16 | 5.6 | 580 | 51 |
| 3 | 3.1 | 32 | 2.2 | 580 | 130 |
Publisher’s Note: MDPI stays neutral with regard to jurisdictional claims in published maps and institutional affiliations. |
© 2021 by the authors. Licensee MDPI, Basel, Switzerland. This article is an open access article distributed under the terms and conditions of the Creative Commons Attribution (CC BY) license (https://creativecommons.org/licenses/by/4.0/).
Share and Cite
Lear, C.R.; Gigax, J.G.; Schneider, M.M.; Steckley, T.E.; Lienert, T.J.; Maloy, S.A.; Eftink, B.P. Solid-State Welding of the Nanostructured Ferritic Alloy 14YWT Using a Capacitive Discharge Resistance Welding Technique. Metals 2022, 12, 23. https://doi.org/10.3390/met12010023
Lear CR, Gigax JG, Schneider MM, Steckley TE, Lienert TJ, Maloy SA, Eftink BP. Solid-State Welding of the Nanostructured Ferritic Alloy 14YWT Using a Capacitive Discharge Resistance Welding Technique. Metals. 2022; 12(1):23. https://doi.org/10.3390/met12010023
Chicago/Turabian StyleLear, Calvin Robert, Jonathan Gregory Gigax, Matthew M. Schneider, Todd Edward Steckley, Thomas J. Lienert, Stuart Andrew Maloy, and Benjamin Paul Eftink. 2022. "Solid-State Welding of the Nanostructured Ferritic Alloy 14YWT Using a Capacitive Discharge Resistance Welding Technique" Metals 12, no. 1: 23. https://doi.org/10.3390/met12010023
APA StyleLear, C. R., Gigax, J. G., Schneider, M. M., Steckley, T. E., Lienert, T. J., Maloy, S. A., & Eftink, B. P. (2022). Solid-State Welding of the Nanostructured Ferritic Alloy 14YWT Using a Capacitive Discharge Resistance Welding Technique. Metals, 12(1), 23. https://doi.org/10.3390/met12010023

