You are currently viewing a new version of our website. To view the old version click .
Insects
  • Article
  • Open Access

15 November 2024

V-ATPase C Acts as a Receptor for Bacillus thuringiensis Cry2Ab and Enhances Cry2Ab Toxicity to Helicoverpa armigera

,
,
,
,
,
,
and
1
Henan International Laboratory for Green Pest Control, College of Plant Protection, Henan Agricultural University, Zhengzhou 450046, China
2
Department of Entomology and BIO5 Institute, University of Arizona, Tucson, AZ 85721, USA
*
Author to whom correspondence should be addressed.
These authors contributed equally to this work.
This article belongs to the Section Insect Molecular Biology and Genomics

Simple Summary

Currently, identified receptors do not fully elucidate the mechanism of action for Cry2Ab. Here, the results showed that Cry2Ab decreased HaV-ATPase C expression, and there was a confirmed interaction between them. The knockdown of HaV-ATPase C reduces Cry2Ab cytotoxicity, while its overexpression enhances it. Additionally, enhanced effects against H. armigera result from the combination of Cry2Ab and V-ATPase C. These findings demonstrate that V-ATPase C acts as a functional receptor for Cry2Ab in Helicoverpa armigera, and the synergistic interaction between them offers a promising strategy to enhance Cry2Ab toxicity.

Abstract

Cry2Ab is a significant alternative Bacillus thuringiensis (Bt) protein utilized for managing insect resistance to Cry1 toxins and broadening the insecticidal spectrum of crops containing two or more Bt genes. Unfortunately, the identified receptors fail to fully elucidate the mechanism of action underlying Cry2Ab. Previous studies have demonstrated the involvement of vacuolar H+-ATPase subunits A, B, and E (V-ATPase A, B, and E) in Bt insecticidal activities. The present study aims to investigate the contribution of V-ATPase C to the toxicities of Cry2Ab against Helicoverpa armigera. The feeding of Cry2Ab in H. armigera larvae resulted in a significant decrease in the expression of V-ATPase C. Further investigations confirmed the interaction between V-ATPase C and activated Cry2Ab protein according to Ligand blot and homologous and heterologous competition assays. Expressing endogenous HaV-ATPase C in Sf9 cells resulted in an increase in Cry2Ab cytotoxicity, while the knockdown of V-ATPase C by double-stranded RNAs (dsRNA) in midgut cells decreased Cry2Ab cytotoxicity. Importantly, a higher toxicity of the mixture containing Cry2Ab and V-ATPase C against insects was also observed. These findings demonstrate that V-ATPase C acts as a binding receptor for Cry2Ab and is involved in its toxicity to H. armigera. Furthermore, the synergy between V-ATPase C protein and Cry2Ab protoxins provides a potential strategy for enhancing Cry2Ab toxicity or managing insect resistance.

1. Introduction

Insecticidal proteins from Bacillus thuringiensis (Bt) produced in transgenic crops are used to control some important pests and has become one of the most successful biotechnology products. The genes encoding members of the Cry1A family were initially employed in transgenic crops, followed by the subsequent utilization of two or more distinct Bt proteins that exhibit toxicity towards each specific target pest [1,2]. Cry2Ab is a significant alternative Bt protein utilized for managing insect resistance to Cry1 toxins and broadening the insecticidal spectrum of crops containing two or more Bt genes. In fact, the successful cultivation of Bt cotton pyramids, which incorporate the Cry1Ac and Cry2Ab toxins, has been implemented in the United States, Australia, and India to effectively impede the emergence of resistance [3].
Although Cry2Ab (70 kDa) and Cry1Ac (130 kDa) proteins exhibit different molecular weights [4], they both belong to the three-domain (3d) Cry toxin family. The mechanism of action of 3d-Cry toxins involves their ability to form pores in the midgut cells of insects, resulting in insect death [5]. In general, Cry proteins are activated by target insect midgut proteases; subsequently, the activated Cry proteins interact with midgut receptors. Subsequent to this interaction, toxins aggregate to form pre-pore oligomeric structures and ultimately insert into the cell membrane, leading to pore formation and subsequent insect death [5]. Specifically, Cry2Ab has been reported to possess trypsin cleavage sites, and major activated fragments of the Cry2Ab protein with a molecular weight of 50 kDa have been documented [6]. The reported midgut-binding receptors include APN5 in Plutella xylostella [7], ABCC1 and V-ATPase E in Helicoverpa armigera [8,9], and the most important receptor, ABC transporter gene (ABCA2) [10,11,12,13]. The helices α4-α5 within Domain I have been implicated by Xu et al. [14], as well as the specific residues N151, T152, F157, L183, L185, and I188 have been implicated by Pan et al. [15] as being involved in the oligomerization process of Cry2Ab, which is closely associated with its insecticidal activity and pore-forming ability.
The interaction between Bt Cry toxins and functional receptors in the midgut represents a pivotal stage in the toxicological mechanism of Bt toxins [16]. However, despite the identification of some candidate receptors, they do not fully elucidate the mechanism underlying Cry2Ab toxicity and certain instances of cross-resistance. For instance, there is an asymmetrical cross-resistance between Cry1Ac and Cry2Ab observed in pink bollworm [17], as well as cross-resistance between Cry1Ac and Cry2Ab in H. armigera [18]. Therefore, it is necessary to identify additional Cry2Ab receptors to better understand the mechanism underlying its action and the occurrence of cross-resistance with Cry1Ac. Recently, several genes related to ATP hydrolysis known as vacuolar H+-ATPases (V-ATPases) subunit genes have been found to interact with Bt toxins. In Spodoptera exigua, V-ATPase B was shown to bind to Cry2Aa and contributed to its toxicity [19]. Similarly, V-ATPase E was reported to bind with Cry2Ab and played a role in its toxicity in H. armigera [8]. In P. xylostella, V-ATPase B was found to interact with Cry1Ac and might be associated with resistance development against this toxin [20]. Bayyareddy et al. demonstrated an interaction between Cry4Ba and V-ATPase in Aedes aegypti [21]. Tanaka et al. discovered that there was binding activity between Cry2Aa and V-ATP synthase A in Bombyx mori [22]. Similar findings were reported for V-ATPase synthase acting as a binding protein for Cry1Ac in both Heliothis virescens [23] and H. armigera [24].
In addition, Cry toxins have been documented to disrupt the functions of V-ATPase, including depolarization of the midgut cell apical membrane potential established by V-ATPase [25,26,27], as well as interference with H+/K+ antiport [28,29]. Importantly, knocking down V-ATPase C in the midgut through RNAi techniques shows its importance in insect pest management as a target [30]. Considering the impact of Cry toxins on V-ATPase function [25,26,27], the binding capacity of Cry toxins and/or the role of multiple V-ATPase subunits in Cry toxin toxicity [8,19,20,24,31,32], as well as the crucial functions of V-ATPase C in insects [30], we propose that V-ATPase subunit C may function as a potential receptor for mediating the binding and toxicity of Cry2Ab in H. armigera. Furthermore, it is noteworthy that Cry2Ab and Vip toxins are likely to interact with distinct receptors, as evidenced by the absence of significant positive cross-resistance between Vip3 toxins and Cry2Ab [33,34], as well as prior studies suggesting that the receptors for Vip3Aa differ from those for Cry toxins [8,35,36]. Consequently, we opted for Vip3Aa protoxins as a negative control to experimentally validate our hypothesis regarding the binding affinity of HaV-ATPase C towards Cry2Ab and its contribution to the toxicity of Cry2Ab.

2. Materials and Methods

2.1. Insects, Cell Lines and Bt Toxins

The larvae were raised on an artificial diet in a controlled environment with a temperature of 27 °C, a relative humidity of 75%, and a photoperiod of 16:8 h light/dark [8].
The Sf9 cells of Spodoptera frugiperda ovary and the midgut (MG) cells of Helicoverpa zea were, respectively, cultured in Sf-900TMII SFM (Thermo Fisher, Shanghai, China) and Ex-cell®420 culture medium (SAFC Bioscience, Lenexa, KS, USA) at 28 °C [37].
Cry2Ab and Vip3Aa protoxins and activated Cry2Ab toxin were generously supplied by Insect-Resistant Biotechnology Laboratory, Institute of Plant Protection, Chinese Academy of Agricultural Sciences. The activated Cry2Ab toxin and Vip3Aa protoxin were reconstituted in either Sf-900 II SFM or EXCELL 420 insect serum-free medium for cytotoxicity testing, following the methodology outlined in our previous study [8].

2.2. Sample Preparation and cDNA Synthesis

To investigate the impact of Cry2Ab on the expression of HaV-ATPase C in newly hatched larvae and fifth-instar larvae, sublethal concentrations (resulting in 30% mortality of newly hatched larvae) were chosen [8]. The concentrations of Bt toxins, sample preparation, and cDNA synthesis procedures followed the methodology described by Zhao et al. [8]. In brief, the newly hatched larvae of equivalent size were subjected to a treatment with Cry2Ab, or equal amounts of Na2CO3 (solvent of Bt toxins), and subsequently, a sample comprising 35 larvae was collected at intervals of 3, 6, 12, 24, and 36 h, respectively. A sample comprising eight midgut tissues of fifth-instar larvae corresponding to each treatment were collected at different time points as mentioned above. The experimental design involved the execution of three biology replicates for each treatment. Then, the total RNA was extracted using RNAiso Plus (Takara Biomedical Technology (Beijing) Co., Ltd., Beijing, China). The reverse transcription kit HiScript®III RT SuperMix for qPCR (+gDNA wiper) (Vazyme, Nanjing, China) was employed for cDNA synthesis, following the provided instructions.

2.3. Real-Time Quantitative PCR Analyses

The real-time quantitative PCR (RT-qPCR) reaction system and process, as well as the calculation methods, were performed following the methodology outlined by Zhao et al. [8]. All the relative primers are listed in Table S1. The reference genes used in this study were EF-1α (GenBank: U20129.1) and β-actin (GenBank: HM629442.1) of H. armigera.

2.4. Construction of HaV-ATPase C Expression Plasmids

The coding sequence (CDS) of the HaV-ATPase C gene (GenBank: XM_021342589.1) was amplified from midgut cDNA samples using V-ATPase C-CDS-F/R primers (Table S1). Subsequently, PCR products were recovered following the instructions provided by the FastPure® Gel DNA Extraction Mini Kit (Vazyme, Nanjing, China). The full-length CDS of HaV-ATPase C was then cloned into the ZT4 vector. Then, the CDS of the HaV-ATPase C gene was cloned into the pIEx-RFP vector, while the pIEx-RFP carrier with a His tag was provided by Professor Zhao Xiaofan from Shandong University. The cloning process involved using Bgl II and Sac I enzyme sites for insertion into the pIEx-RFP vector (a scheme of vector construction of HaV-ATPase C -pIEx-RFP plasmid is shown in Figure S1). EcoR I and Xho I enzyme sites were used to insert CDS into the pGEx-6P-1 vector. Subsequently, these plasmids were carried out by the Clon Express II One Step Cloning Kit (Vazyme, Nanjing, China) and transfected to DH5α cells. Recombinant plasmids were then extracted for subsequent use.

2.5. Heterologous Protein Production, Purification, and LIGAND Blotting of HaV-ATPase C

The HaV-ATPase C protein was produced using the aforementioned HaV-ATPase C-pGEX-6P-1 expression plasmid in the E. coli expression strain Rosetta (DE3). The production and purification of HaV-ATPase C were carried out by Hangzhou HuaAn Biotechnology Co., Ltd. (Hangzhou, China). The heterologous protein production and purification process described in Zhao et al. was employed [8]. The Elabscience® Biotin Labeling Kit (purchased from Elirit Biotechnology Co., Ltd., Wuhan, China) was utilized to biotinylate the activated Cry2Ab and Vip3Aa protoxin, and their successful biotinylation was confirmed by Western blot analysis, as reported in [8]. To assess the interaction between activated Cry2Ab (or Vip3Aa protoxin) and expressed HaV-ATPase C protein, 20 μL of HaV-ATPase C protein along with an equivalent amount of BSA (as a negative control) and 5 μL Marker (Thermo Scientific, Waltham, MA, USA) were resolved on an SDS-PAGE gel, transferred onto a PVDF membrane, and subsequently incubated overnight with blocking buffer (5% BSA in PBST solution). Subsequently, biotinylated activated Cry2Ab toxin and biotinylated Vip3Aa protoxin were introduced into the blocking buffer at a final concentration of 5 μg/mL and incubated for 4 h, respectively. The PVDF membrane was subjected to five consecutive washes with PBST for 5 min each time, followed by incubation with HRP-Streptavidin antibody (diluted 1:10,000 in 5% BSA, purchased from Abbkine, Wuhan, China) for 1 h. After another round of washing with PBST five times for 5 min each, the membrane was subsequently exposed on the Tanon-4600 photographic system.

2.6. Saturation and Competition Binding Assays

The saturation and competition experiments were conducted using the aforementioned Ligand blotting assay with some modifications. For the saturation binding experiments, 5 µg of HaV-ATPase C protein was immobilized onto a PVDF membrane and incubated with 5 mL of the blocking buffer (5% BSA in PBST solution) overnight. Then, 10, 20, 30, or 40 µg biotinylated Cry2Ab, for a final concentration of 2, 4, 6, and 8 µg/mL, were added to the blocking buffer and incubated for 4 h, respectively. Lastly, this was incubated with 1:10,000 diluted HRP-Streptavidin antibody (Abbkine, Wuhan, China) and 5% BSA for 1 h, washed 5 times for 5 min each with PBST, and then the membrane was subsequently exposed on the Tanon-4600 photographic system. The saturation experiment was conducted in triplicate, and upon reaching a mass of 30 µg, the binding of biotinylated Cry2Ab to HaV-ATPase C exhibited saturation. For the competition assays, 4 pieces excised from each PVDF membrane blot (3 replicates) were separately incubated with 5 mL of the blocking buffer (5% BSA in PBST solution) overnight. Then, they were incubated with 30 µg of biotinylated Cry2Ab toxin protein and 150 µg (5-fold) of unlabeled Cry2Ab toxin protein or unlabeled Vip3Aa toxin protein in 5 mL of the blocking buffer (5% BSA in PBST solution) and incubated for 4 h, respectively. Later, the results were detected as part of the methods of the above saturation experiment. The saturation and competition experimental process described in Zhao et al. was employed [8].

2.7. Production of dsRNAs

The T7 RNAi Transcription Kit (Vazyme, Nanjing, China) was employed for the synthesis of double-stranded RNA (dsRNA) targeting EGFP and HaV-ATPase C. The protocol for generating 586 bp EGFP and 423 bp HaV-ATPase C dsRNA has been previously described in Zhao et al. [8].

2.8. Cell Toxicity Assays

Relevant studies have been referenced for the execution of cell transfection experiments [8,34]. The Sf9 cell line was employed for transfection with HaV-ATPase C -pIEx-RFP or the empty pIEx-RFP vector control, aiming to investigate the gain functions of HaV-ATPase C. Conversely, MG cells were transfected with HaV-ATPase C dsRNA or the EGFP control dsRNA to explore the loss functional of HaV-ATPase C. The transfection agent used in these experiments was Cellfectin (Promega (Beijing) Biotech Co., Ltd.). After 24 h of transfection, Sf9 cells transfected with the two plasmids (pIEx-RFP or HaV-ATPase C-pIEx-RFP) were observed and imaged using a fluorescent microscope (Leica, Wetzlar, Germany) to confirm successful transfection (resulting in red fluorescence). After 48 h, the transfected cells were reseeded in 96-well cell culture plates (10,000 cells) and incubated for approximately 2 h to allow cell attachment. Subsequently, the cytotoxicity of the treated cells was assessed using Cry2Ab and Vip3Aa toxins at concentrations of 200 μg/mL for expressing HaV-ATPase C and 150 μg/mL for knockdown of HaV-ATPase C over a duration of 2 h. Finally, cell mortalities were determined under an inverted microscope (Leica, Wetzlar, Germany), following the calculation method described by Zhao et al. [8]. The remaining treated cells from each independent transfection were collected using previously established protocols for subsequent RNA or protein analysis via Western blot with a His antibody to confirm successful transfection efficiency [8,38].

2.9. Larvae Bioassays

The susceptibilities of H. armigera neonates to PBS buffer (the buffer used to dissolve HaV-ATPase C, PBS), Na2CO3 (used to dilute Bt), Na2CO3 + PBS (buffer control), Cry2Ab, the mixtures of Cry2Ab and V-ATPase C proteins, Vip3Aa, the mixtures of Vip3Aa and V-ATPase C proteins were conducted by diet overlay bioassays using artificial diet. In the mixtures’ treatments, 0.03 μg/cm2 Cry2Ab (or 0.03 μg/cm2 Vip3Aa) was mixed with 0.03 μg/cm2 (1×), 0.15 μg/cm2 (5×), 0.45 μg/cm2 (15×) or 1.5 μg/cm2 (50×) V-ATPase C, respectively. Each treatment used 72 larvae (divided into three repetitions). The implementation of bioassays has been previously described in Zhao et al. [8].

2.10. Statistical Analysis

The significant differences in relative expression levels of V-ATPase C, cell mortalities, larval weights, and larval mortalities under the different treatments were compared using the LSD test (DPSSOFT: DPS9.01). The binding abilities of HaV-ATPase C with Cry2Ab were compared for significant differences using Student’s t-test. (DPSSOFT: DPS9.01).

3. Results

3.1. The Expression Level of HaV-ATPase C Following Treatment with Cry2Ab

Through RT-qPCR, we observed the ubiquitous expression of the HaV-ATPase C gene across all instars, with significantly higher levels detected in the fifth-instar midgut (p = 0.0001) (Figure S2). Compared to the neonates fed on the Na2CO3 diet, those fed on the Cry2Ab protoxin exhibited significantly decreased expression of HaV-ATPase C at 3 h (p = 0.0018), 6 h (p = 0.0117), 12 h (p = 0.0002), 24 h (p = 0.0001), and 36 h (p = 0.0040) (Figure 1A). HaV-ATPase C expression level decreased from 2.02 to 0.92, reaching the most significant decrease in the Cry2Ab-treated larvae was observed at 24 h (Figure 1A). Similarly, Cry2Ab treatment significantly suppressed the expression of HaV-ATPase C in the fifth-instar larvae at 3 h (p = 0.0034), 6 h (p = 0.0001), 12 h (p = 0.0178), 24 h (p = 0.0324), and 36 h (p = 0.0001). HaV-ATPase C expression level decreased from 2.15 to 0.90 at 36 h, reaching the most pronounced decrease (Figure 1B).
Figure 1. HaV-ATPase C expression in newly hatched (A) and fifth-instar (B) larvae following sublethal Cry2Ab exposure. The standard error of the average from three biological replicates is represented by each error bar. Bars represent the mean (±SD) of three biological replicates. Significant differences at each time point are denoted with asterisks based on Student’s t-test (* p < 0.05, ** p < 0.01, *** p < 0.001, DPSSOFT: DPS9.01).

3.2. The Special Binding of HaV-ATPase C with Activated Cry2Ab

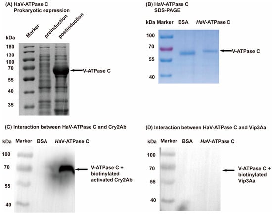
The protein production of HaV-ATPase C was confirmed by SDS-PAGE gels (Figure 2A), and the purified HaV-ATPase C protein exhibited the expected molecular weight of 70 kDa (Figure 2B). The Ligand blot analysis revealed that HaV-ATPase C protein exhibited binding affinity towards Cry2Ab (Figure 2C), while no interaction was observed with Vip3Aa (Figure 2D). At a fixed load of 5 µg HaV-ATPase C, the binding curve plateaued at approximately 30 µg biotinylated activated Cry2Ab (Figure 3A). Importantly, the HaV-ATPase C specific interaction with labeled Cry2Ab protein can be completed by unlabeled Cry2Ab but not by Vip3Aa (Figure 3B,C).
Figure 2. SDS-PAGE analysis of the HaV-ATPase C protein and Ligand blotting analysis of the interaction between HaV-ATPase C and Bt toxin. (A) The prokaryotic expression of HaV-ATPase C protein was confirmed. (B) SDS-PAGE analysis of the purified HaV-ATPase C protein. (C) The interaction between HaV-ATPase C protein and activated Cry2Ab toxin. (D) The interaction between HaV-ATPase C protein and Vip3Aa protoxin.
Figure 3. Special binding of HaV-ATPase C to activated Cry2Ab. (A) Saturation binding assays between HaV-ATPase C and activated Cry2Ab. The quantitative determination of the relative intensity of three replicates was conducted using Image J 1.8.0, followed by normalization with the result under the treatment of 30 μg biotinylated Cry2Ab. Bars labeled with different capital letters indicate significant differences (p < 0.01) based the LSD test conducted using DPSSOFT: DPS9.01. (B) Homologous competition between labeled Cry2Ab with unlabeled Cry2Ab to HaV-ATPase C protein. (C) Heterologous competition between labeled Cry2Ab with unlabeled Vip3Aa protoxin to HaV-ATPase C protein. Bars represent the mean (±SD) of three biological replicates. The bars with *** (p < 0.001) exhibit significant differences and ns shows no significant differences, based on Student’s t-test (DPSSOFT: DPS9.01).

3.3. Overexpressing HaV-ATPase C Increased Sf9 Susceptibility to Activated Cry2Ab

The successful expression of HaV-ATPase C-pIEx-RFP in Sf9 cells was confirmed through the detection of red fluorescence and Western blot analysis (Figure 4A–C). No significant difference in cell mortality (<15%) was observed among the transfected cells without the toxin treatment (Figure 4D). Similarly, there were no notable differences in the cell mortalities when treated with 200 μg/mL Vip3Aa protoxin (approximately 40%) (Figure 4E). However, the treatment with activated Cry2Ab at a concentration of 200 μg/mL enormously increased the cell mortality by 39.20% compared to that of the cells transfected with the pIEx-RFP recombinant plasmid, indicating that the overexpression of HaV-ATPase C enhanced the susceptibility to activated Cry2Ab (p = 0.0001; Figure 4F).
Figure 4. Impact of expression of HaV-ATPase C in Sf9 cells on the cytotoxicity exerted by Cry2Ab and Vip3Aa. (A) Sf9 cells were transfected with RFP-pIEx plasmid (empty vector, control) 24 h. (B) Sf9 cells were transfected with HaV-ATPase C -pIEx-RFP plasmid 24 h. (C) Expression of HaV-ATPase C protein in Sf9 was analyzed by Western blot. (D) The cell mortalities of transfected cells in toxin-free treatment. (E) Cell mortalities were observed upon exposure to 200 μg/mL Vip3Aa protoxin. (F) Cell mortalities were observed upon exposure to 200 μg/mL activated Cry2Ab. Bars represent the mean (±SD) of three biological replicates. The bars with different capital letters (p < 0.01) or lowercase letters (p < 0.05) exhibit significant differences, as determined by the least significant difference (LSD) test using DPSSOFT: DPS9.01.

3.4. Knocking Down HzV-ATPase C Decreased MG Susceptibility to Activated Cry2Ab

In line with our inference based on the high similarity between HaV-ATPase C and HzV-ATPase C (99.22%), the RT-qPCR analysis demonstrated significant and effective suppression of HzV-ATPase C expression in H. zea MG cells upon treatment with HaV-ATPase C dsRNA (p = 0.0001; Figure 5A,B). The mortalities of the transfected cells were not significantly different without the toxin treatment (<15%) (Figure 5C). Similarly, there was no significant difference in the mortalities with Vip3Aa protoxin treatment (approximately 40%) (Figure 5D). However, knockdown of HzV-ATPase C markedly reduced the susceptibility of the MG cells to activated Cry2Ab (Figure 5E). Specifically, the cell mortality induced by 150 μg/mL of activated Cry2Ab decreased by 39.88% compared to EGFP dsRNA, 43.15% compared to DEPC water, or 39.74 compared to control medium, respectively (p =0.0001; Figure 5E).
Figure 5. Effects of HzV-ATPase C silencing on the toxicity of activated Cry2Ab and Vip3Aa towards MG cells. (A) The positioning of the dsRNA fragment within the HaV-ATPase C gene. (B) The expression levels of HzV-ATPase C under different treatments. (C) The cell mortalities of different treatments without toxins treated. (D) Cell mortalities were observed upon exposure to 150 μg/mL Vip3Aa protoxin. (E) Cell mortalities were observed upon exposure to 150 μg/mL activated Cry2Ab. Bars represent the mean (±SD) of three biological replicates. The bars with different capital letters (p < 0.01) or lowercase letters (p < 0.05) exhibit significant differences, as determined by the least significant difference (LSD) test using DPSSOFT: DPS9.01.

3.5. The HaV-ATPase C Protein Enhanced the Toxicity of Cry2Ab Protoxin Against Cotton Bollworm

H. armigera neonates were fed with Cry2Ab protoxin or Vip3Aa protoxin alone, or in combination with purified HaV-ATPase C protein at four different ratios (Vip3Aa protein or Cry2Ab protein/HaV-ATPase C protein = 1:1, 1:5, 1:15, or 1:50) for a duration of 7 days. The results demonstrated that the administration of purified HaV-ATPase C protein alone did not yield any significant effects on the larval mortality rates and weight (p = 0.4769; Figure 6A) (Figure 6A–C). However, the addition of varying amounts of purified HaV-ATPase C protein significantly enhanced the corrected mortality of Cry2Ab but not that of Vip3Aa (this increased the mortalities by40.28% at a ratio of 1:1 and at a ratio 1:5, and increased the mortalities by 48.61% at a ratio of 1:15 and at a ratio of 1:50; p = 0.0001; Figure 6B,C), suggesting that the HaV-ATPase C protein enhanced the toxicity of Cry2Ab protoxin against cotton bollworm.
Figure 6. Effect of HaV-ATPase C protein on the larvae weight (A): the toxicity of Cry2Ab (B) and Vip3Aa (C). (A) The effects of HaV-ATPase C protein on larval weight after 7 days of exposure. (B) The impact of incorporating HaV-ATPase C on the toxicity of Cry2Ab towards larvae. (C) The impact of incorporating HaV-ATPase C on the toxicity of Vip3Aa towards larvae. HaV-ATPase C dissolved in PBS, and Bt toxins dissolved in Na2CO3. The values 1×, 5×, 15×, and 50× represent the concentrations of V-ATPase C at 1 time, 5 times, 15 times, and 50 times that of Bt toxins. The mortality values were expressed as mean ± SD. The ns indicated no significant difference among the effects of HaV-ATPase C protein on larval weight after 7 days exposure. Bars represent the mean (±SD) of three biological replicates. Bars labeled with different capital letters indicate significant differences (p < 0.01) based the LSD test conducted using DPSSOFT: DPS9.01.

4. Discussion

The expression of HaV-ATPase C was found to be higher in the first- and fifth-instar larvae (Figure S2), while sublethal exposure to Cry2Ab resulted in a decrease in the expression level of HaV-ATPase C in larvae of both instars (Figure 1). This finding is consistent with previously reported expression patterns of Bt receptors after being exposed to Bt toxins, such as ALP, ABCC2, ATP synthase subunit α, V-ATPase E, and so on [8,32,38,39,40,41,42,43,44], suggesting the potential involvement of HaV-ATPase C in Cry2Ab toxicity. The expression patterns of ATP-related genes consistently exhibited differential responses following induction with Bt toxins. Specifically, certain genes demonstrated decreased expression levels in both Bt-resistant strains and Bt-fed larvae [32,37,45], whereas others displayed upregulation exclusively in Cry1Ac-resistant strains [46,47]. Remarkably, the downregulated genes positively correlated with the Cry toxicity [8,19,32,38], while the upregulated genes may have exhibited a negative correlation with Cry toxicity [31,46], thereby implying their distinct roles in defense against toxic effects. The downregulated V-ATPase genes may function as receptors for Bt toxins, and the reduction in receptor expression could potentially represent an adaptive strategy to mitigate toxicity [8,19,32,38]. Conversely, the upregulated expression may indicate an enhanced energy-driven defense mechanism in the intestinal tissue, thereby facilitating resistance [38,47], as energy plays a pivotal role in eliciting defense mechanisms against adverse conditions. Insects exhibit precise regulation of the expression of diverse ATPase genes to maintain an equilibrium between energy supply and tolerance against Bt toxins. Investigating the binding properties and functional roles of these ATP-related genes in Bt toxin toxicity could yield valuable insights into the mechanisms underlying insect energy homeostasis and resistance against Bt toxins.
Previous studies have documented the interaction between V-ATPase subunits and Cry toxins in various insect species, including S. exigua [19], P. xylostella [20], A. aegypti [21], Anthonomus grandis [48], and H. armigera [8,32]. Moreover, HaV-ATP C along with HaV-ATP E and HaV-ATP G constitute the three peripheral stalks of V-ATPases, which are all subunit proteins [49]. Our earlier findings indicated that V-ATPase E bound to Cry2Ab and contributed to its toxicity in H. armigera [8]. Consistent with these predictions, a Ligand blot analysis and homologous and heterologous competition experiments demonstrated the interaction between HaV-ATP C and Cry2Ab toxin, but not Vip3Aa (Figure 2 and Figure 3). Functionally, the in vitro gain- and loss-of-function analyses of HaV-ATPase C provided valuable insights into its role in Cry2Ab cytotoxicity, but not in Vip3Aa toxicity (Figure 4 and Figure 5). These findings suggested that HaV-ATPase C may act as a specific Cry2Ab receptor. While the exact mechanisms of action remain unclear, HaV-ATPase C, an essential subunit of V-ATPase, may exhibit characteristics similar to those of ABC transporters, such as ABCA2, which acts as a receptor for Cry2Ab. Both types of proteins utilize ATP-driven proton pumps to facilitate the active transport of substrates to the cell membrane. Additionally, HaV-ATPase C may affect the concentration of toxins around V-ATPase through interactions with Cry2Ab, as our findings suggest that HaV-ATPase C is capable of binding to Cry2Ab. This interaction could potentially strengthen the binding affinity between the toxin and V-ATPase, resulting in disruptions to H+/K+ transport and/or inhibition of (Na+, K+)-ATPase activity [28,29,50], ultimately leading to insect mortality. However, further comprehensive functional investigations are warranted to fully elucidate the role of HaV-ATPase C in the mode of action exerted by Cry2Ab.
Furthermore, HaV-ATPase C synergistically potentiated the toxicity of Cry2Ab protoxins against H. armigera larvae, as demonstrated in this study (Figure 6). This finding is in accordance with previous reports indicating that ALP fragments, ATPs-α fragments, HaV-ATPase E, toxin-binding polycalin fragments, and cadherin fragments enhance the efficacy of Cry toxins against diverse insect species [8,38,51,52,53]. However, the precise mechanisms remain elusive. One plausible explanation could be that the abundance of Cry2Ab molecules (dose) exceeds the available in vivo target molecules on the midgut membrane, leading to the molecules remaining unbound. Upon the addition of a complementary receptor, binding could occur, leading to an increase in larval mortality. Alternatively, the presence of additional HaV-ATPase C mentioned above could affect toxin aggregation, facilitating the interactions between toxins and V-ATPase as well as the subsequent disruption of H+/K+ transport and/or inhibition of (Na+, K+)-ATPase [28,29,50], ultimately leading to insect mortality. More research is warranted to unravel the underlying synergistic mechanisms.
In this study, we also ruled out HaV-ATPase C as a possible receptor for Vip3Aa, consistent with our previous findings from our earlier study [8]. Additionally, HaV-ATPase E is also not a receptor for Vip3Aa, suggesting that V-ATPase may not be the target for Vip3Aa [8]. This conclusion is supported by the findings of the nonsignificant resistance interactions between Cry proteins and Vip3Aa [33,34], which indicates that they likely engage with distinct targets. Furthermore, recent studies have identified that Scavenger receptor-C [35] and a chitin synthase protein [36] may be receptors for Vip3Aa, revealing a significant divergence from typical Bt receptors. In summary, this study presents the novel finding of HaV-ATP C’s interaction with Cry2Ab toxins and its role in Cry2Ab toxicity towards H. armigera. Furthermore, the synergy of HaV-ATPase C fragment protein and Cry2Ab protoxin offer a promising avenue for enhancing Cry2Ab toxicity or managing insect resistance.

Supplementary Materials

The following supporting information can be downloaded at: https://www.mdpi.com/article/10.3390/insects15110895/s1, Figure S1: A scheme of vector construction of HaV-ATPase C -pIEx-RFP plasmid; Figure S2: HaV-ATPase C higher expressed in first and fifth instar larvae; Figure S3: Impact of expression of HaV-ATPase C in Sf9 cells on the cytotoxicity exerted by Cry2Ab and Vip3Aa; Figure S4: Effects of HzV-ATPase C silencing on the toxicity of activated Cry2Ab and Vip3Aa towards MG cells; Table S1: The primer sequence designed in this experiment.

Author Contributions

Conceptualization, J.W.; methodology, P.L., Y.Z., N.Z., X.Y., J.W.; vaidation, J.W.; formal analysis, P.L. and Y.Z.; investigation, P.L., Y.Z., N.Z., X.Y.; data curation, J.W.; writing-original draft preparation, J.W.; writing-review and editing, X.L., M.D., J.W., S.A.; project administration, J.W.; funding acquisition, J.W. All authors have read and agreed to the published version of the manuscript.

Funding

This study was supported by the National Natural Science Foundation of China (32172401), Technology Innovation Talents in Universities of Henan Province (24HASTIT051), Henan Agricultural Research System (HARS-22-09-G3).

Data Availability Statement

All the data are in the manuscript and Supplemental Document.

Conflicts of Interest

The authors declare no conflicts of interest.

References

  1. Carrière, Y.; Crickmore, N.; Tabashnik, B.E. Optimizing pyramided transgenic Bt crops for sustainable pest management. Nat. Biotechnol. 2015, 33, 161–168. [Google Scholar] [CrossRef] [PubMed]
  2. Carrière, Y.; Fabrick, J.A.; Tabashnik, B.E. Can pyramids and seed mixtures delay resistance to Bt crops? Trends Biotechnol. 2016, 34, 291–302. [Google Scholar] [CrossRef] [PubMed]
  3. Tabashnik, B.E.; Brévault, T.; Carrière, Y. Insect resistance to Bt crops: Lessons from the first billion acres. Nat. Biotechnol. 2013, 31, 510–521. [Google Scholar] [CrossRef] [PubMed]
  4. De Maagd, R.A.; Bravo, A.; Crickmore, N. How Bacillus thuringiensis has evolved specific toxins to colonize the insect world. Trends Genet. 2001, 17, 193–199. [Google Scholar] [CrossRef] [PubMed]
  5. Pardo-López, L.; Soberón, M.; Bravo, A. Bacillus thuringiensis insecticidal three-domain Cry toxins: Mode of action, insect resistance and consequences for crop protection. FEMS Microbiol. Rev. 2013, 37, 3–22. [Google Scholar] [CrossRef]
  6. Liu, S.Y.; Wang, S.; Wu, S.W.; Wu, Y.D.; Yang, Y.H. Proteolysis activation of Cry1Ac and Cry2Ab protoxins by larval midgut juice proteases from Helicoverpa armigera. PLoS ONE 2020, 15, e0228159. [Google Scholar] [CrossRef]
  7. Xu, L.; Gao, H.J.; Pan, Z.Z.; Zhu, Y.J.; Chen, Q.X.; Liu, B. Cloning, prokaryotic expression and homology modeling analysis of midgut aminopeptidase gene PxAPN5 in Plutella xylostella (Lepidoptera: Plutellidae). Acta Entomol. Sin. 2014, 57, 1272–1280. [Google Scholar]
  8. Zhao, Y.G.; Li, P.; Yao, X.; Li, Y.P.; Tian, Y.; Xie, G.Y.; Deng, Z.Y.; Xu, S.X.; Wei, J.Z.; Li, X.C.; et al. V-ATPase E mediates Cry2Ab binding and toxicity in Helicoverpa armigera. Pestic. Biochem. Physiol. 2024, 198, 105744. [Google Scholar] [CrossRef]
  9. Chen, L.; Wei, J.Z.; Liu, C.; Zhang, W.N.; Wang, B.J.; Niu, L.L.; Liang, G.M. Specific binding protein ABCC1 is associated with Cry2Ab toxicity in Helicoverpa armigera. Front. Physiol. 2018, 9, 745. [Google Scholar] [CrossRef]
  10. Tay, W.T.; Mahon, R.J.; Heckel, D.G.; Walsh, T.K.; Downes, S.; James, W.J.; Lee, S.F.; Reineke, A.; Williams, A.K.; Gordon, K.H. Insect resistance to Bacillus thuringiensis toxin Cry2Ab is conferred by mutations in an ABC transporter subfamily A protein. PLoS Genet. 2015, 11, e1005534. [Google Scholar] [CrossRef]
  11. Wang, J.; Wang, H.D.; Liu, S.Y.; Liu, L.P.; Tay, W.T.; Walsh, T.K.; Yang, Y.H.; Wu, Y.D. CRISPR/Cas9 mediated genome editing of Helicoverpa armigera with mutations of an ABC transporter gene HaABCA2 confers resistance to Bacillus thuringiensis Cry2A toxins. Insect Biochem. Mol. Biol. 2017, 87, 147–153. [Google Scholar] [CrossRef] [PubMed]
  12. Yang, X.W.; Chen, W.B.; Song, X.Z.; Ma, X.L.; Cotto-Rivera, R.O.; Kain, W.; Chu, Y.R.; Fei, Z.J.; Wang, P. Mutation of ABC transporter ABCA2 confers resistance to Bt toxin Cry2Ab in Trichoplusia ni. Insect Biochem. Molec. 2019, 112, 103209. [Google Scholar] [CrossRef] [PubMed]
  13. Fabrick, J.A.; LeRoy, D.M.; Mathew, L.G.; Wu, Y.D.; Unnithan, G.C.; Yelich, A.J.; Carrière, Y.; Li, X.C.; Tabashnik, B.E. CRISPR-mediated mutations in the ABC transporter gene ABCA2 confer pink bollworm resistance to Bt toxin Cry2Ab. Sci. Rep. 2021, 11, 10377. [Google Scholar] [CrossRef] [PubMed]
  14. Xu, L.; Pan, Z.Z.; Zhang, J.; Niu, L.Y.; Li, J.; Chen, Z.; Liu, B.; Zhu, Y.J.; Chen, Q.X. Exposure of helices α4 and α5 is required for insecticidal activity of Cry2Ab by promoting assembly of a prepore oligomeric structure. Cell Microbiol. 2018, 20, e12827. [Google Scholar] [CrossRef]
  15. Pan, Z.Z.; Xu, L.; Liu, B.; Chen, Q.X.; Zhu, Y.J. Key residues of Bacillus thuringiensis Cry2Ab for oligomerization and pore-formation activity. AMB Express. 2021, 11, 112. [Google Scholar] [CrossRef]
  16. De Bortoli, C.P.; Jurat-Fuentes, J.L. Mechanisms of resistance to commercially relevant entomopathogenic bacteria. Curr. Opin. Insect Sci. 2019, 33, 56–62. [Google Scholar] [CrossRef]
  17. Tabashnik, B.E.; Unnithan, G.C.; Masson, L.; Crowder, D.W.; Li, X.C.; Carrière, Y. Asymmetrical cross-resistance between Bacillus thuringiensis toxins Cry1Ac and Cry2Ab in pink bollworm. Proc. Natl. Acad. Sci. USA 2009, 106, 11889–11894. [Google Scholar] [CrossRef]
  18. Wei, J.Z.; Guo, Y.Y.; Liang, G.M.; Wu, K.M.; Zhang, J.; Tabashnik, B.E.; Li, X.C. Cross-resistance and interactions between Bt toxins Cry1Ac and Cry2Ab against the cotton bollworm. Sci. Rep. 2015, 5, 7714. [Google Scholar] [CrossRef]
  19. Qiu, L.; Zhang, B.Y.; Liu, L.; Ma, W.H.; Wang, X.P.; Lei, C.L.; Chen, L.Z. Proteomic analysis of Cry2Aa-binding proteins and their receptor function in Spodoptera exigua. Sci. Rep. 2017, 7, 40222. [Google Scholar] [CrossRef]
  20. Xia, J.X.; Guo, Z.J.; Yang, Z.Z.; Zhu, X.; Kang, S.; Yang, X.; Yang, F.S.; Wu, Q.J.; Wang, S.L.; Xie, W.; et al. Proteomics-based identification of midgut proteins correlated with Cry1Ac resistance in Plutella xylostella (L.). Pestic. Biochem. Physiol. 2016, 132, 108–117. [Google Scholar] [CrossRef]
  21. Bayyareddy, K.; Andacht, T.M.; Abdullah, M.A.; Adang, M.J. Proteomic identification of Bacillus thuringiensis subsp. israelensis toxin Cry4Ba binding proteins in midgut membranes from Aedes (Stegomyia) aegypti Linnaeus (Diptera, Culicidae) larvae. Insect Biochem. Mol. Biol. 2009, 39, 279–286. [Google Scholar] [CrossRef] [PubMed]
  22. Tanaka, M.; Iwamoto, Y.; Kouya, T.; Moriyama, K.; Tomimoto, K.; Shitomi, Y.; Shitomi, Y.; Hayakawa, T.; Hossain, D.M.; Asano, S.; et al. Bacillus thuringiensis Cry2Aa toxins bind to V-ATP synthase subunit A located on the midgut brush border membrane of Bombyx mori. J. Agr. Res. Pestic. Biofer. 2021, 2, 1–13. [Google Scholar]
  23. Krishnamoorthy, M.; Jurat-Fuentes, J.L.; McNall, R.J.; Andacht, T.; Adang, M.J. Identification of novel Cry1Ac binding proteins in midgut membranes from Heliothis virescens using proteomic analyses. Insect Biochem. Mol. Biol. 2007, 37, 189–201. [Google Scholar] [CrossRef] [PubMed]
  24. Chen, L.Z.; Liang, G.M.; Zhang, J.; Wu, K.M.; Guo, Y.Y.; Rector, B.G. Proteomic analysis of novel Cry1Ac binding proteins in Helicoverpa armigera (Hübner). Arch Insect Biochem. Physiol. 2010, 73, 61–73. [Google Scholar] [CrossRef] [PubMed]
  25. Peyronnet, O.; Vachon, V.; Brousseau, R.; Baines, D.; Schwartz, J.L.; Laprade, R. Effect of Bacillus thuringiensis toxins on the membrane potential of lepidopteran insect midgut cells. Appl. Environ. Microbiol. 1997, 6, 1679–1684. [Google Scholar] [CrossRef]
  26. Fortier, M.; Vachon, V.; Kirouac, M.; Schwartz, J.L.; Laprade, R. Differential effects of ionic strength, divalent cations and pH on the pore-forming activity of bacillus thuringiensis insecticidal toxins. J. Membr. Biol. 2005, 208, 77–87. [Google Scholar] [CrossRef]
  27. Wang, S. Identification of the cleavage Sites in two Cry2A protoxins and analyses of Protease activities in the midgut of Helicoverpa armigera (Hübner). Marster’s Thesis, Nanjing Agricultural University, Nanjing, China, 2015. [Google Scholar]
  28. English, L.H.; Cantley, L.C. Delta endotoxin inhibits Rb+ uptake, lowers cytoplasmic pH and inhibits a K+-ATPase in Manduca sexta CHE cells. J. Membr. Biol. 1985, 85, 199–204. [Google Scholar] [CrossRef]
  29. Knowles, B.H. Mechanism of action of Bacillus thuringiensis insecticidal dendotoxins. Adv. Insect Physiol. 1994, 24, 275–308. [Google Scholar]
  30. Mohammed, A.M. RNAi-based silencing of genes encoding the vacuolar-ATPase subunits a and c in pink bollworm (Pectinophora gossypiella). Afr. J. Biotechnol. 2016, 15, 2547–2557. [Google Scholar]
  31. Cancino-Rodezno, A.; Lozano, L.; Oppert, C.; Castro, J.I.; Lanz-Mendoza, H.; Encarnación, S.; Evans, A.E.; Gill, S.S.; Soberón, M.; Jurat-Fuentes, J.L.; et al. Comparative proteomic analysis of Aedes aegypti larval midgut after intoxication with Cry11Aa toxin from Bacillus thuringiensis. PLoS ONE 2012, 7, e37034. [Google Scholar] [CrossRef]
  32. Duan, Y.P.; Yao, X.; Li, P.; Wang, M.H.; Hu, S.Y.; Hu, E.J.; Liu, Y.G.; Yang, S.F.; Wei, J.Z. V-ATPase subunit B is a functional receptor of Cry1Ac in Helicoverpa armigera (Lepidoptera: Noctuidae). Biol. Control. 2022, 38, 1094–1102. [Google Scholar]
  33. Tabashnik, B.E.; Carrière, Y. Evaluating cross-resistance between Vip and Cry toxins of Bacillus thuringiensis. J. Econ. Entomol. 2020, 113, 553–561. [Google Scholar] [CrossRef] [PubMed]
  34. Walsh, T.K.; Downes, S.J.; Gascoyne, J.; James, W.; Parker, T.; Armstrong, J.; Mahon, R.J. Dual Cry2Ab and Vip3A resistant strains of Helicoverpa armigera and Helicoverpa punctigera (Lepidoptera: Noctuidae); Testing linkage between loci and monitoring of allele frequencies. J. Econ. Entomol. 2014, 107, 1610–1617. [Google Scholar] [CrossRef] [PubMed]
  35. Jiang, K.; Hou, X.Y.; Tan, T.T.; Cao, Z.L.; Mei, S.Q.; Yan, B.; Chang, J.; Han, L.; Zhao, D.; Cai, J. Scavenger receptor-C acts as a receptor for Bacillus thuringiensis vegetative insecticidal protein Vip3Aa and mediates the internalization of Vip3Aa via endocytosis. PLoS Pathog. 2018, 14, e1007347. [Google Scholar] [CrossRef] [PubMed]
  36. Liu, Z.X.; Liao, C.Y.; Zou, L.M.; Jin, M.H.; Shan, Y.X.; Quan, Y.D.; Yao, H.; Zhang, L.; Wang, P.; Liu, Z.Z.; et al. Retrotransposon-mediated variation of a chitin synthase gene confers insect resistance to Bacillus thuringiensisVip3Aa toxin. PLoS Biol. 2024, 22, e3002704. [Google Scholar] [CrossRef] [PubMed]
  37. Goodman, C.L.; Wang, A.A.; Nabli, H.; Mcintosh, A.H.; Wittmeyer, J.L.; Grasela, J.J. Development and partial characterization of Heliothine cell lines from embryonic and differentiated tissues. Vitr. Cell Dev. Biol. Anim. 2004, 40, 89–94. [Google Scholar] [CrossRef]
  38. Yao, X.; Duan, Y.P.; Deng, Z.Y.; Zhao, W.L.; Wei, J.Z.; Li, X.C.; An, S.H. ATP synthase subunit α from Helicoverpa armigera acts as a receptor of Bacillus thuringiensis Cry1Ac and synergizes Cry1Ac toxicity. J. Agric. Food Chem. 2023, 71, 6155–6163. [Google Scholar] [CrossRef]
  39. Li, X.C.; Schuler, M.A.; Berenbaum, M.R. Molecular mechanisms of metabolic resistance to synthetic and natural xenobiotics. Annu. Rev. Entomol. 2007, 52, 231–253. [Google Scholar] [CrossRef]
  40. Nanoth Vellichirammal, N.; Wang, H.C.; Eyun, S.I.; Moriyama, E.N.; Coates, B.S.; Miller, N.J.; Siegfried, B.D. Transcriptional analysis of susceptible and resistant European corn borer strains and their response to Cry1F protoxin. BMC Genom. 2015, 16, 558. [Google Scholar] [CrossRef]
  41. Guo, Z.J.; Kang, S.; Zhu, X.; Wu, Q.J.; Wang, S.L.; Xie, W.; Zhang, Y.J. The midgut cadherin-like gene is not associated with resistance to Bacillus thuringiensis toxin Cry1Ac in Plutella xylostella (L.). Toxins 2015, 126, 21–30. [Google Scholar] [CrossRef]
  42. Zhang, Y.K.; Zhao, D.; Yan, X.P.; Guo, W.; Bao, Y.J.; Wang, W.; Wang, X.Y. Identification and characterization of Hyphantria cunea aminopeptidase N as a binding protein of Bacillus thuringiensis Cry1Ab35 toxin. Int. J. Mol. Sci. 2017, 18, 2575. [Google Scholar] [CrossRef] [PubMed]
  43. Abd El-Moneim Ibrahim, K.; Mohamed Abdelrahman, S.; KA Elhakim, H.; Ali Ragab, E. Single or combined exposure to chlorpyrifos and cypermethrin provoke oxidative stress and downregulation in monoamine oxidase and acetylcholinesterase gene expression of the rat’s brain. Environ. Sci. Pollut. Res. Int. 2020, 27, 12692–12703. [Google Scholar] [CrossRef] [PubMed]
  44. Chauhan, V.K.; Dhania, N.K.; Lokya, V.; Bhuvanachandra, B.; Padmasree, K.; Dutta-Gupta, A. Midgut aminopeptidase N expression profile in castor semilooper (Achaea janata) during sublethal Cry toxin exposure. J. Biosci. 2021, 46, 29. [Google Scholar] [CrossRef]
  45. Zhong, F.; Wang, Y.A.; Xie, B.T.; Zhang, W.N.; Liang, G.M.; Guo, Y.Y. Cloning and expression analysis of V-ATPase subunit A gene in the cotton bollworm Helicoverpa armigera (Hübner). Acta Phytophy. Sin. 2016, 43, 705–712. [Google Scholar]
  46. Xie, C.; Xiong, L.; Ye, M.; Shen, L.L.; Li, J.G.; Zhang, Z.; You, M.S.; You, S.J. Genome-wide analysis of V-ATPase genes in Plutella xylostella (L.) and the potential role of PxVHA-G1 in resistance to Bacillus thuringiensis Cry1Ac toxin. Int. J. Biol. Macromol. 2022, 194, 74–83. [Google Scholar] [CrossRef]
  47. Candas, M.; Loseva, O.; Oppert, B.; Kosaraju, P.; Bulla, L.A. Insect resistance to Bacillus thuringiensis: Alterations in the Indian meal moth larval gut proteome. Mol. Cell Proteom. 2003, 2, 19–28. [Google Scholar] [CrossRef]
  48. Nakasu, E.Y.; Firmino, A.A.; Dias, S.C.; Rocha, T.L.; Ramos, H.B.; Oliveira, G.R.; Lucena, W.; Carlini, C.R.; Grossi-de-Sá, M.F. Analysis of Cry8Ka5-binding proteins from Anthonomus grandis (Coleoptera: Curculionidae) midgut. J. Invertebr. Pathol. 2010, 104, 227–230. [Google Scholar] [CrossRef]
  49. Toei, M.; Saum, R.; Forgac, M. Regulation and isoform function of the V-ATPases. Biochemistry 2010, 49, 4715–4723. [Google Scholar] [CrossRef]
  50. English, L.H.; Cantley, L.C. Delta endotoxin is a potent inhibitor of the (Na, K)-ATPase. J. Biol. Chem. 1986, 261, 1170–1173. [Google Scholar] [CrossRef]
  51. Chen, W.B.; Liu, C.X.; Xiao, Y.T.; Zhang, D.D.; Zhang, Y.D.; Li, X.C.; Tabashnik, B.E.; Wu, K.M. A toxin-binding alkaline phosphatase fragment synergizes Bt toxin Cry1Ac against susceptible and resistant Helicoverpa armigera. PLoS ONE 2015, 10, e0126288. [Google Scholar] [CrossRef]
  52. Gao, M.J.; Dong, S.; Hu, X.D.; Zhang, X.; Liu, Y.; Zhong, J.F.; Lu, L.N.; Wang, Y.; Chen, L.M.; Liu, X.J. Roles of midgut cadherin from two moths in different Bacillus thuringiensis action mechanisms: Correlation among toxin binding, cellular toxicity, and synergism. J. Agric. Food Chem. 2019, 67, 13237–13246. [Google Scholar] [CrossRef] [PubMed]
  53. Zhu, Q.; Gao, M.J.; Lu, L.; Liu, X.J. Synergism of Bacillus thuringiensis toxin Cry1Ac by a fragment of toxin-binding polycalin from Plutella xylostella. J. Agric. Food Chem. 2021, 69, 11816–11824. [Google Scholar] [CrossRef] [PubMed]
Disclaimer/Publisher’s Note: The statements, opinions and data contained in all publications are solely those of the individual author(s) and contributor(s) and not of MDPI and/or the editor(s). MDPI and/or the editor(s) disclaim responsibility for any injury to people or property resulting from any ideas, methods, instructions or products referred to in the content.

Article Metrics

Citations

Article Access Statistics

Multiple requests from the same IP address are counted as one view.