Molecular Characterization of Native Entomopathogenic Fungi from Ambrosia Beetles in Hazelnut Orchards of Turkey and Evaluation of Their In Vitro Efficacy
Abstract
:Simple Summary
Abstract
1. Introduction
2. Materials and Methods
2.1. Beetles Collection
2.2. Isolation of Entomopathogenic Fungi from Ambrosia Beetles
2.3. DNA Extraction of Fungal Isolates
2.4. ITS Sequencing and Phylogenetic Analysis
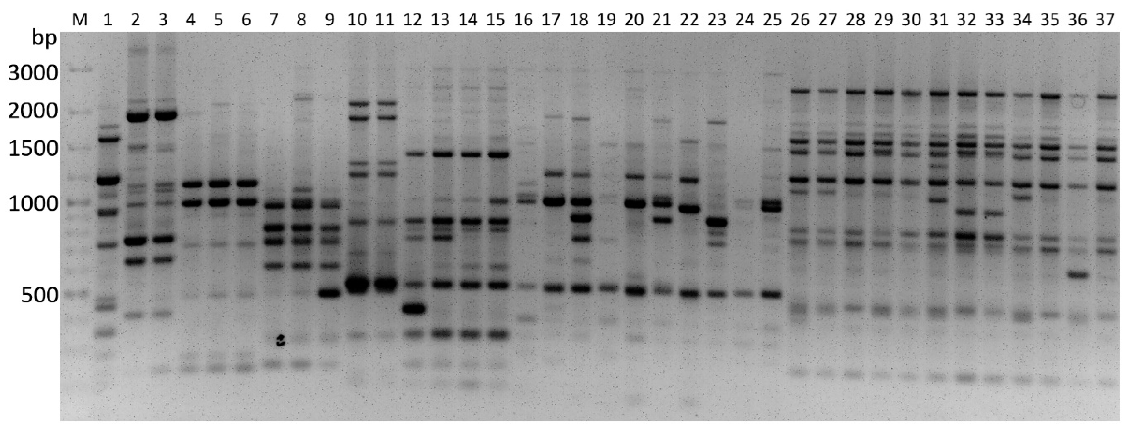
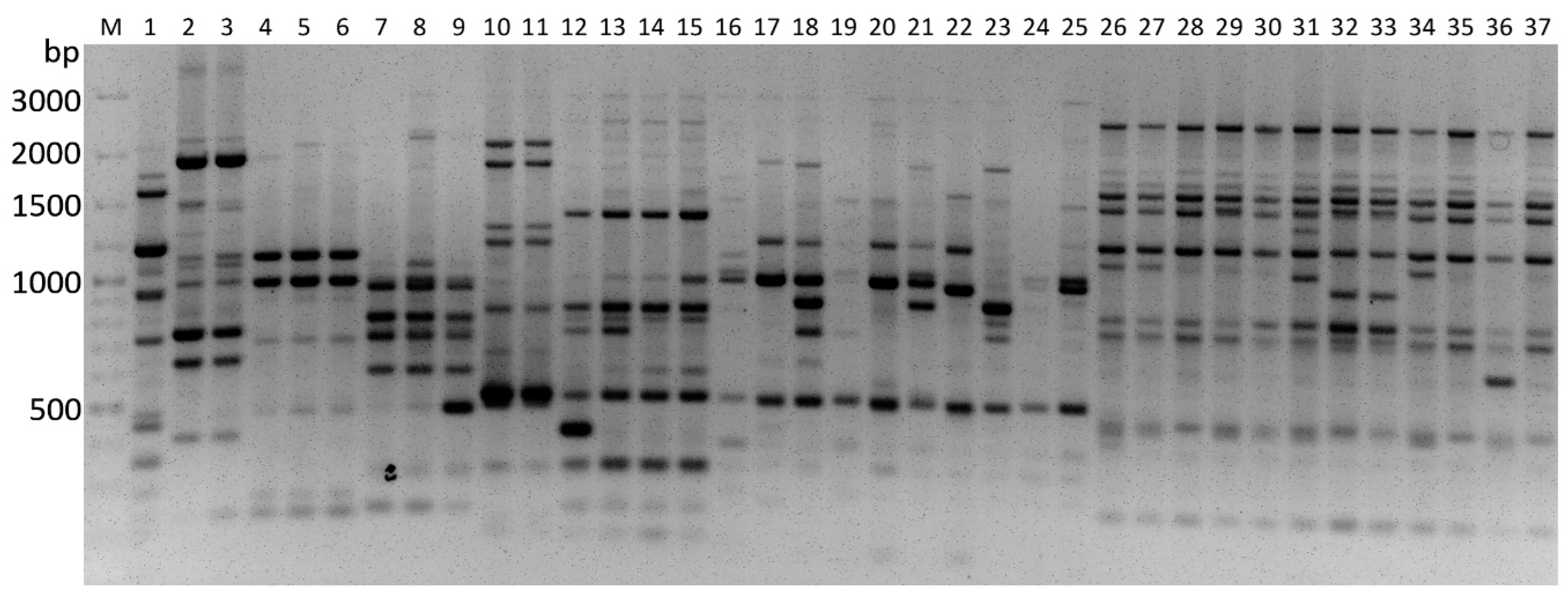
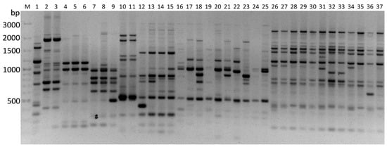
2.5. iPBS Profiling Analysis
2.6. Collection of Healthy Beetles
2.7. Bioassays
2.8. Statistical Analyses
3. Results
3.1. Identification of Isolates
3.2. iPBS Profiling Analysis
3.3. Bioassay Studies
The Efficacy of the Entomopathogenic Fungi against Ambrosia Beetles
4. Discussion
5. Conclusions
Supplementary Materials
Author Contributions
Funding
Institutional Review Board Statement
Data Availability Statement
Acknowledgments
Conflicts of Interest
References
- INC. Nuts & Dried Fruits Statistical Yearbook 2020/2021. 2021. Available online: https://www.nutfruit.org/files/tech/1621253983_INC_Statistical_Yearbook_2020-2021.pdf (accessed on 1 July 2022).
- Calıskan, K.; Balta, F.; Yılmaz, M.; Karakaya, O. Organik olarak yetiştirilen palaz fındık çeşidinde ocaktaki gövde sayısına bağlı olarak verim ve meyve özelliklerindeki değişim. Akad. Ziraat Derg. 2019, 8, 49–60. [Google Scholar] [CrossRef]
- Tuncer, C.; Ecevit, O. Current status of hazelnut orchards. Acta Hortic. 1997, 445, 545–552. [Google Scholar] [CrossRef]
- Hulcr, J.; Dunn, R.R. The sudden emergence of pathogenicity in insect–fungus symbioses threatens naive forest ecosystems. Proc. R. Soc. Lond. B Biol. Sci. 2011, 278, 2866–2873. [Google Scholar] [CrossRef]
- Tuncer, C.; Knizek, M.; Hulcr, J. Scolytinae in hazelnut orchards of turkey: Clarification of species and identification key (Coleoptera, curculionidae). ZooKeys 2017, 710, 65. [Google Scholar] [CrossRef] [PubMed]
- Norris, D.M. The mutualistic fungi of the Xyleborini beetles. In Insect-Fungus Symbiosis: Nutrition, Mutualism, and Commensalism; Batra, L.R., Ed.; Wiley: Hoboken, NY, USA, 1979; pp. 53–63. [Google Scholar]
- Harrington, T.C. Ecology and evolution of mycophagous bark beetles and their fungal partners. In Insect-Fungal Associations: Ecology and Evolution; Vega, F.E., Blackwell, M., Eds.; Oxford University Press: New York, NY, USA, 2005; pp. 257–291. [Google Scholar]
- Oliver, J.B.; Mannion, C.M. Ambrosia beetle (Coleoptera: Scolytidae) species attacking chestnut and captured in ethanol-baited traps in Middle Tennessee. Environ. Entomol. 2001, 30, 909–918. [Google Scholar] [CrossRef]
- Hall, F.; Ellis, M.; Ferree, D. Influence of fire blight and ambrosia beetle on several apple cultivars on m9 and m9 interstems. Ohio State Univ. Res. Circ. 1982, 272, 20–24. [Google Scholar]
- Kessler, K.J., Jr. An apparent symbiosis between Fusarium fungi and ambrosia beetles causes canker on black walnut stems. Plant Dis. Rep. 1974, 58, 1044–1047. [Google Scholar]
- Tuncer, C.; Kushiyev, R.; Erper, I.; Ozdemir, I.O.; Saruhan, I. Efficacy of native isolates of Metarhizium anisopliae and Beauveria bassiana against the invasive ambrosia beetle, Xylosandrus germanus blandford (Coleoptera: Curculionidae: Scolytinae). Egypt. J. Biol. Pest Control 2019, 29, 28. [Google Scholar] [CrossRef]
- Arthurs, S.; Bruck, D. Microbial control of nursery ornamental and landscape plant pests. In Microbial Control of Insect and Mite Pests; Elsevier: Amsterdam, The Netherlands, 2017; pp. 355–366. [Google Scholar] [CrossRef]
- Zimmermann, G. Review on safety of the entomopathogenic fungi Beauveria bassiana and Beauveria brongniartii. Biocontrol Sci. Technol. 2007, 17, 553–596. [Google Scholar] [CrossRef]
- Zimmermann, G. Review on safety of the entomopathogenic fungus Metarhizium anisopliae. Biocontrol Sci. Technol. 2007, 17, 879–920. [Google Scholar] [CrossRef]
- Zimmermann, G. The entomopathogenic fungi Isaria farinosa (formerly Paecilomyces farinosus) and the Isaria fumosorosea species complex (formerly Paecilomyces fumosoroseus): Biology, ecology and use in biological control. Biocontrol Sci. Technol. 2008, 18, 865–901. [Google Scholar] [CrossRef]
- Pražak, R. Studies on indirect infection of Trypodendron lineatum Oliv. with Beauveria bassiana (bals.) vuill. J. Appl. Entomol. 1991, 111, 431–441. [Google Scholar] [CrossRef]
- Pražak, R. Laboratory evaluation of Beauveria bassiana (bals.) vuill. (Deuteromycotina: Hyphomycetes) against Trypodendron lineatum Oliv. (Coleoptera: Scolytidae)/laborversuche mit Beauveria bassiana (bals.) vuill. (Deuteromycotina: Hyphomycetes) gegen Trypodendron lineatum Oliv. (Coleoptera: Scolytidae). J. Plant Dis. Prot. 1997, 104, 459–465. [Google Scholar]
- Castrillo, L.A.; Griggs, M.H.; Ranger, C.M.; Reding, M.E.; Vandenberg, J.D. Virulence of commercial strains of Beauveria bassiana and Metarhizium brunneum (Ascomycota: Hypocreales) against adult Xylosandrus germanus (Coleoptera: Curculionidae) and impact on brood. Biol. Control 2011, 58, 121–126. [Google Scholar] [CrossRef]
- Castrillo, L.A.; Griggs, M.H.; Vandenberg, J.D. Granulate ambrosia beetle, Xylosandrus crassiusculus (Coleoptera: Curculionidae), survival and brood production following exposure to entomopathogenic and mycoparasitic fungi. Biol. Control 2013, 67, 220–226. [Google Scholar] [CrossRef]
- Carrillo, D.; Dunlap, C.; Avery, P.; Navarrete, J.; Duncan, R.; Jackson, M.; Behle, R.; Cave, R.; Crane, J.; Rooney, A. Entomopathogenic fungi as biological control agents for the vector of the laurel wilt disease, the red bay ambrosia beetle, Xyleborus glabratus (Coleoptera: Curculionidae). Biol. Control 2015, 81, 44v50. [Google Scholar] [CrossRef]
- Kushiyev, R.; Tuncer, C.; Erper, I.; Ozdemir, I.O.; Saruhan, I. Efficacy of native entomopathogenic fungus, Isaria fumosorosea, against bark and ambrosia beetles, Anisandrus dispar Fabricius and Xylosandrus germanus Blandford (Coleoptera: Curculionidae: Scolytinae). Egypt. J. Biol. Pest Control 2018, 28, 55. [Google Scholar] [CrossRef]
- Sevim, A.; Demir, I.; Höfte, M.; Humber, R.A.; Demirbag, Z. Isolation and characterization of entomopathogenic fungi from hazelnut-growing region of Turkey. Biocontrol 2010, 55, 279–297. [Google Scholar] [CrossRef]
- Gugliuzzo, A.; Biedermann, P.H.; Carrillo, D.; Castrillo, L.A.; Egonyu, J.P.; Gallego, D.; Biondi, A. Recent advances toward the sustainable management of invasive Xylosandrus ambrosia beetles. J. Pest Sci. 2021, 94, 615–637. [Google Scholar] [CrossRef]
- Sevim, A.; Demir, I.; Sonmez, E.; Kocacevik, S.; Demirbag, Z. Evaluation of entomopathogenic fungi against the sycamore lace bug, Corythucha ciliata (Say) (Hemiptera: Tingidae). Turk. J. Agric. J. 2013, 37, 595–603. [Google Scholar] [CrossRef]
- Quesada-Moraga, E.; Navas-Cortés, J.A.; Maranhao, E.A.; Ortiz-Urquiza, A.; Santiago-Alvarez, C. Factors affecting the occurrence and distribution of entomopathogenic fungi in natural and cultivated soils. Mycol. Res. 2007, 111, 947–966. [Google Scholar] [CrossRef] [PubMed]
- Ozdemir, I.O.; Tuncer, C.; Ozer, G. Molecular characterisation and efficacy of entomopathogenic fungi against the Green shield bug Palomena prasina (L.) (Hemiptera: Pentatomidae) under laboratory conditions. Biocontrol Sci. Technol. 2021, 31, 1298–1313. [Google Scholar] [CrossRef]
- Kalendar, R.; Antonius, K.; Smýkal, P.; Schulman, A.H. iPBS: A universal method for DNA fingerprinting and retrotransposon isolation. Theor. Appl. Genet. 2010, 121, 1419–1430. [Google Scholar] [CrossRef] [PubMed]
- Özer, G.; Bayraktar, H.; Baloch, F.S. iPBS retrotransposons’ A Universal Retrotransposons’ now in molecular phylogeny of fungal pathogens. Biochem. Syst. Ecol. 2016, 68, 142–147. [Google Scholar] [CrossRef]
- Aydın, F.; Özer, G.; Alkan, M.; Çakır, İ. The utility of iPBS retrotransposons markers to analyse genetic variation in yeast. Int. J. Food Microbiol. 2020, 325, 108647. [Google Scholar] [CrossRef]
- White, T.J.; Bruns, T.; Lee, S.; Taylor, J. Amplification and direct sequencing of fungal ribosomal RNA genes for phylogenetics. In PCR Protocols: A Guide to Methods and Applications; Innis, M.A., Gelfand, D.H., Sninsky, J.J., White, T.J., Eds.; Academic Press: San Diego, CA, USA, 1990; pp. 315–322. [Google Scholar] [CrossRef]
- Kumar, S.; Stecher, G.; Li, M.; Knyaz, C.; Tamura, K. MEGA X: Molecular evolutionary genetics analysis across computing platforms. Mol. Biol. Evol. 2018, 35, 1547. [Google Scholar] [CrossRef]
- Thompson, J.D.; Higgins, D.G.; Gibson, T.J.; Clustal, W. Improving the sensitivity of progressive multiple sequence alignment through sequence weighting, position-specific gap penalties and weight matrix choice. Nucleic Acids Res. 1994, 22, 4673–4680. [Google Scholar] [CrossRef]
- Kumar, S.; Stecher, G.; Tamura, K. MEGA7: Molecular evolutionary genetics analysis version 7.0 for bigger datasets. Mol. Biol. Evol. 2016, 33, 1870–1874. [Google Scholar] [CrossRef]
- Roldán-Ruiz, I.; Dendauw, J.; Van Bockstaele, E.; Depicker, A.; De Loose, M. AFLP markers reveal high polymorphic rates in ryegrasses (Lolium spp.). Mol. Breed. 2000, 6, 125–134. [Google Scholar] [CrossRef]
- Prevost, A.; Wilkinson, M.J. A new system of comparing PCR primers applied to ISSR fingerprinting of potato cultivars. Theor. Appl. Genet. 1999, 98, 107–112. [Google Scholar] [CrossRef]
- Peakall, R.; Smouse, P.E. GenAlEx 6.5: Genetic analysis in Excel. Population genetic software for teaching and research-an update. Bioinformatics 2012, 28, 2537–2539. [Google Scholar] [CrossRef] [Green Version]
- R-Team. The R Project for Statistical Computing. Available online: https://www.r-project.org/ (accessed on 1 July 2022).
- Robertson, J.L.; Russell, R.M.; Preisler, H.K.; Savin, N. Bioassays with Arthropod; CRC Press: Boca Raton, FL, USA, 2007. [Google Scholar] [CrossRef]
- Abbott, W.S. A method of computing the effectiveness of an insecticide. J. Econ. Entomol. 1925, 18, 265–267. [Google Scholar] [CrossRef]
- Alkan, M.; Göre, M.E.; Bayraktar, H.; Özer, G. Genetic variation of Fusarium spp. isolates associated with root and crown rot of winter wheat using retrotransposon-based iPBS assays. Int. J. Agric. Wildl. Sci. 2019, 5, 250–259. [Google Scholar] [CrossRef]
- Turzhanova, A.; Khapilina, O.N.; Tumenbayeva, A.; Shevtsov, V.; Raiser, O.; Kalendar, R. Genetic diversity of Alternaria species associated with black point in wheat grains. PeerJ 2020, 8, e9097. [Google Scholar] [CrossRef] [PubMed]
- Kushiyev, R. Fındıkta Önemli Yazıcı Böcek Türlerindeki Fungusların Belirlenmesi. Available online: http://libra.omu.edu.tr/tezler/84733.pdf (accessed on 1 July 2022).
- Esmer, E. Dendroctonus Micans’tan Entomopatojen Fungusların Izolasyonu, Karakterizasyonu ve Mikrobiyal Mücadele Potansiyelinin Araştırılması. Available online: https://acikerisim.ktu.edu.tr/jspui/bitstream/123456789/3630/1/275495.pdf (accessed on 1 July 2022).
- Draganova, S.; Takov, D.; Doychev, D. Naturally occurred entomopathogenic fungi on three bark beetle species (Coleoptera: Curculionidae) in Bulgaria. J. Pestic. Phytomed. 2010, 25, 59–63. [Google Scholar] [CrossRef]
- Cheng, Y.; Liu, T.; Zhao, Y.; Geng, W.; Chen, L.; Liu, J. Evaluation of pathogenicity of the fungi Metarhizium anisopliae and Beauveria bassiana in hazelnut weevil (Curculio nucum L., Coleoptera, Curculionidae) larvae. Indian J. Microbiol. 2016, 56, 405–410. [Google Scholar] [CrossRef] [PubMed]
- De La Rosa, W.; Alatorre, R.; Trujillo, J.; Barrera, F. Virulence of Beauveria bassiana (Deuteromycetes) strains against the coffee berry borer (Coleoptera: Scolytidae). J. Econ. Entomol. 1997, 90, 1534–1538. [Google Scholar] [CrossRef]
- Samuels, R.I.; Pereira, R.C.; Gava, C.A.T. Infection of the coffee berry borer Hypothenemus hampei (Coleoptera: Scolytidae) by Brazilian isolates of the entomopathogenic fungi Beauveria bassiana and Metarhizium anisopliae (Deuteromycotina: Hyphomycetes). Biocontrol Sci Technol. 2002, 12, 631–635. [Google Scholar] [CrossRef]
- Kreutz, J.; Vaupel, O.; Zimmermann, G. Efficacy of Beauveria bassiana (Bals.) Vuill. against the spruce bark beetle, Ips typographus L. in the laboratory under various conditions. J. Appl. Entomol. 2004, 128, 384–389. [Google Scholar] [CrossRef]
- Draganova, S.; Takov, D.; Doychev, D. Bioassay with isolates of Beauveria bassiana (Bals.) Vuill. and Paecilomyces farinosus (Holm.) Brown, Smith against Ips sexdentatus Boerner and Ips acuminatus Gyll. (Coleoptera: Scolytidae). Plant Sci. 2006, 44, 24–28. [Google Scholar]
- Kocacevik, S.; Sevim, A.; Eroglu, M.; Demirbag, Z.; Demir, I. Molecular characterisation, virulence and horizontal transmission of Beauveria pseudobassiana from Dendroctonus micans (Kug.) (Coleoptera: Curculionidae). J. Appl. Entomol. 2015, 139, 381–389. [Google Scholar] [CrossRef]
- Kocacevik, S.; Sevim, A.; Eroğlu, M.; Demirbağ, Z.; Demir, I. Virulence and horizontal transmission of Beauveria pseudobassiana S.A. Rehner, Humber in Ips sexdentatus and Ips typographus (Coleoptera: Curculionidae). Turk. J. Agric. For. 2016, 40, 241–248. [Google Scholar] [CrossRef]
- Wegensteiner, R. Pathogens in bark beetles. In Bark and Wood Boring Insects in Living Trees in Europe, a Synthesis; Lieutier, F., Day, K.R., Battisti, A., Grégoire, J.C., Evans, H.F., Eds.; Springer: Dordrecht, UK, 2007; pp. 291–314. [Google Scholar]
- Tuncer, C.; Kushiyev, R.; Erper, I. Determination of fungal flora on Anisandrus dispar Fabricius and Xylosandrus germanus Blandford (Coleoptera: Curculionidae: Scolytinae). Acta Hortic. 2018, 1226, 391–398. [Google Scholar] [CrossRef]
- Pava-Ripoll, M.; Posada, F.J.; Momen, B.; Wang, C.S.; St. Leger, R.S. Increased pathogenicity against coffee berry borer, Hypothenemus hampei (Coleoptera: Curculionidae) by Metarhizium anisopliae expressing the scorpion toxin (AaIT) gene. J. Invertebr. Pathol. 2008, 99, 220–226. [Google Scholar] [CrossRef] [PubMed]
- Mudrončeková, S.; Mazáň, M.; Nemčovič, M.; Šalamon, I. Entomopathogenic fungus species Beauveria bassiana (Bals.) and Metarhizium anisopliae (Metsch.) used as mycoinsecticide effective in biological control of Ips typographus. J. Microbiol. Biotechnol. Food Sci. 2013, 2, 2469–2472. [Google Scholar]
- Luangsa-Ard, J.; Houbraken, J.; van Doorn, T.; Hong, S.B.; Borman, A.M.; Hywel-Jones, N.L.; Samson, R.A. Purpureocillium, a new genus for the medically important Paecilomyces lilacinus. FEMS Microbiol. Lett. 2011, 321, 141–149. [Google Scholar] [CrossRef]
- Toledo, A.V.; Virla, E.; Humber, R.A.; Paradell, S.L.; Lastra, C.L. First record of Clonostachys rosea (Ascomycota: Hypocreales) as an entomopathogenic fungus of Oncometopia tucumana and Sonesimia grossa (Hemiptera: Cicadellidae) in Argentina. J. Invertebr. Pathol. 2006, 92, 7–10. [Google Scholar] [CrossRef]
- Goettel, M.S.; Eilenberg, J.; Glare, T. Entomopathogenic fungi and their role inregulation of insect populations. In Comprehensive Molecular Insect Science; Gilbert, L.I., Iatrou, K., Gill, S.S., Eds.; Academic Press Elsevier: London, UK, 2005; pp. 361–405. [Google Scholar]



| No. | Isolate Code | Species | Isolated Beetle | Collected Location/Province | GenBank Accession Nos |
|---|---|---|---|---|---|
| 1 | TR-55-034 | B. bassiana | X. germanus | Ondokuz Mayıs/Samsun | MN588126 |
| 2 | TR-55-006 | B. bassiana | A. dispar | Terme/Samsun | MN588120 |
| 3 | TR-52-002 | B. bassiana | A. dispar | Fatsa/Ordu | MN588119 |
| 4 | TR-52-003 | B. bassiana | A. dispar | Ünye/Ordu | MN588125 |
| 5 | TR-52-004 | B. bassiana | X. germanus | Fatsa/Ordu | MN588122 |
| 6 | TR-54-002 | B. bassiana | A. dispar | Akyazı/Sakarya | MN588117 |
| 7 | TR-54-004 | B. bassiana | A. dispar | Akyazı/Sakarya | MN588121 |
| 8 | TR-28-012 | B. bassiana | X. germanus | Piraziz/Giresun | MN588118 |
| 9 | TR-28-003 | B. bassiana | X. germanus | Merkez/Giresun | MN588124 |
| 10 | TR-28-004 | B. bassiana | X. saxesenii | Merkez/Giresun | MN588127 |
| 11 | TR-52-009 | B. bassiana | X. germanus | Ünye/Ordu | MN588123 |
| 12 | TR-55-001 | B. pseudobassiana | X. germanus | Çarşamba/Samsun | MN588111 |
| 13 | TR-55-003 | B. pseudobassiana | A. dispar | Çarşamba/Samsun | MN588112 |
| 14 | TR-55-004 | B. pseudobassiana | X. saxesenii | Ondokuz Mayıs/Samsun | MN588113 |
| 15 | TR-55-024 | B. pseudobassiana | X. germanus | Ondokuz Mayıs/Samsun | MN588116 |
| 16 | TR-55-030 | B. pseudobassiana | X. germanus | Terme/ Samsun | MN588109 |
| 17 | TR-52-001 | B. pseudobassiana | X. germanus | Fatsa/ Ordu | MN588110 |
| 18 | TR-28-001 | B. pseudobassiana | A. dispar | Merkez/Giresun | MN588114 |
| 19 | TR-28-002 | B. pseudobassiana | A. dispar | Buluncak/Giresun | MN588115 |
| 20 | TR-55-002 | C. fumosorosea | X. germanus | Ondokuz Mayıs/ Samsun | MN588101 |
| 21 | TR-55-015 | C. fumosorosea | A. dispar | Çarşamba/Samsun | MN588099 |
| 22 | TR-55-016 | C. fumosorosea | X. germanus | Terme/ Samsun | MN588098 |
| 23 | TR-55-018 | C. fumosorosea | X. saxesenii | Terme/ Samsun | MN588103 |
| 24 | TR-28-010 | C. fumosorosea | A. dispar | Piraziz/ Giresun | MN588102 |
| 25 | TR-54-007 | C. fumosorosea | A. dispar | Hendek/ Sakarya | MN588100 |
| 26 | TR-52-014 | C. farinosa | A. dispar | Ünye/ Ordu | MN588141 |
| 27 | TR-55-020 | A. lecanii | A. dispar | Terme/ Samsun | MN588133 |
| 28 | TR-55-033 | A. lecanii | X. saxesenii | Çarşamba/ Samsun | MN588132 |
| 29 | TR-54-001 | A. lecanii | A. dispar | Akyazı/ Sakarya | MN588140 |
| 30 | TR-81-001 | A. lecanii | A. dispar | Gülyaka | MN588129 |
| 31 | TR-81-002 | A. lecanii | A. dispar | Cumayeri/Düzce | MN588130 |
| 32 | TR-81-003 | A. lecanii | X. germanus | Cumayeri/Düzce | MN588128 |
| 33 | TR-81-004 | A. lecanii | A. dispar | Gülyaka/Düzce | MN588131 |
| 34 | TR-81-005 | A. lecanii | A. dispar | Gülyaka/Düzce | MN588137 |
| 35 | TR-54-003 | A. lecanii | A. dispar | Hendek/Sakarya | MN588135 |
| 36 | TR-54-008 | A. lecanii | X. germanus | Hendek/Sakarya | MN588138 |
| 37 | TR-52-006 | A. lecanii | X. germanus | Merkez/Ordu | MN588139 |
| 38 | TR-28-007 | A. lecanii | X. germanus | Bulancak/Giresun | MN588136 |
| 39 | TR-28-008 | A. lecanii | X. saxesenii | Bulancak/Giresun | MN588134 |
| 40 | TR-52-007 | P. lilacinum | X. germanus | Ünye/Ordu | MN588106 |
| 41 | TR-52-010 | P. lilacinum | A. dispar | Gülyalı/Giresun | MN588105 |
| 42 | TR-28-005 | P. lilacinum | A. dispar | Keşap/Giresun | MN588104 |
| 43 | TR-55-010 | C. rosea | X. germanus | Ondokuz Mayıs/Samsun | MN588107 |
| 44 | TR-28-006 | C. rosea | A. dispar | Bulancak/Giresun | MN588108 |
| 45 | TR-55-019 | M. anisopliae | X. germanus | Ondokuz Mayıs/Samsun | MN588143 |
| 46 | TR-54-005 | M. anisopliae | A. dispar | Hendek/Sakarya | MN588144 |
| 47 | TR-54-006 | M. anisopliae | X. germanus | Hendek/Sakarya | MN588142 |
| Primer ID | Sequences (5′ to 3′) | Ta (°C) | GC (%) | TB | PB | PPB (%) | PIC | RP |
|---|---|---|---|---|---|---|---|---|
| 2395 | TCCCCAGCGGAGTCGCCA | 62 | 72.2 | 26 | 25 | 96.15 | 0.20 | 6.30 |
| 2386 | CTGATCAACCCA | 50 | 50.0 | 23 | 22 | 95.65 | 0.25 | 7.79 |
| 2415 | CATCGTAGGTGGGCGCCA | 60 | 66.7 | 25 | 23 | 92.00 | 0.24 | 8.13 |
| 2242 | GCCCCATGGTGGGCGCCA | 62 | 77.8 | 19 | 18 | 94.74 | 0.24 | 5.64 |
| 2080 | CAGACGGCGCCA | 55 | 75.0 | 18 | 17 | 94.44 | 0.22 | 4.64 |
| 2221 | ACCTAGCTCACGATGCCA | 58 | 55.6 | 27 | 25 | 92.59 | 0.26 | 9.06 |
| 2381 | GTCCATCTTCCA | 50 | 50.0 | 18 | 17 | 94.44 | 0.21 | 4.77 |
| 2239 | ACCTAGGCTCGGATGCCA | 60 | 61.1 | 29 | 28 | 96.55 | 0.25 | 8.89 |
| 2219 | GAACTTATGCCGATACCA | 55 | 44.4 | 22 | 21 | 95.45 | 0.25 | 7.15 |
| 2390 | GCAACAACCCCA | 50 | 58.3 | 30 | 29 | 96.67 | 0.24 | 9.02 |
| Total | 237 | 225 | ||||||
| Average/primer | 23.70 | 22.50 | 94.87 | 0.24 | 7.14 |
| A. le | B. ba | B. ps | C. fa | C. fu | C. ro | M. an | |
|---|---|---|---|---|---|---|---|
| Beauveria bassiana | 0.143 | ||||||
| Beauveria pseudobassiana | 0.311 | 0.282 | |||||
| Cordyceps farinosa | 0.072 | 0.132 | 0.274 | ||||
| Cordyceps fumosorosea | 0.183 | 0.200 | 0.362 | 0.150 | |||
| Clonotachys rosea | 0.193 | 0.212 | 0.361 | 0.162 | 0.223 | ||
| Metarhizium anisopliae | 0.196 | 0.220 | 0.369 | 0.155 | 0.230 | 0.136 | |
| Purpureocillium lilacinum | 0.144 | 0.166 | 0.308 | 0.116 | 0.163 | 0.162 | 0.185 |
Publisher’s Note: MDPI stays neutral with regard to jurisdictional claims in published maps and institutional affiliations. |
© 2022 by the authors. Licensee MDPI, Basel, Switzerland. This article is an open access article distributed under the terms and conditions of the Creative Commons Attribution (CC BY) license (https://creativecommons.org/licenses/by/4.0/).
Share and Cite
Kushiyev, R.; Tunçer, C.; Özdemir, İ.O.; Erper, İ.; Kalendar, R.; Alkan, M.; Özer, G. Molecular Characterization of Native Entomopathogenic Fungi from Ambrosia Beetles in Hazelnut Orchards of Turkey and Evaluation of Their In Vitro Efficacy. Insects 2022, 13, 824. https://doi.org/10.3390/insects13090824
Kushiyev R, Tunçer C, Özdemir İO, Erper İ, Kalendar R, Alkan M, Özer G. Molecular Characterization of Native Entomopathogenic Fungi from Ambrosia Beetles in Hazelnut Orchards of Turkey and Evaluation of Their In Vitro Efficacy. Insects. 2022; 13(9):824. https://doi.org/10.3390/insects13090824
Chicago/Turabian StyleKushiyev, Rahman, Celal Tunçer, İsmail Oğuz Özdemir, İsmail Erper, Ruslan Kalendar, Mehtap Alkan, and Göksel Özer. 2022. "Molecular Characterization of Native Entomopathogenic Fungi from Ambrosia Beetles in Hazelnut Orchards of Turkey and Evaluation of Their In Vitro Efficacy" Insects 13, no. 9: 824. https://doi.org/10.3390/insects13090824
APA StyleKushiyev, R., Tunçer, C., Özdemir, İ. O., Erper, İ., Kalendar, R., Alkan, M., & Özer, G. (2022). Molecular Characterization of Native Entomopathogenic Fungi from Ambrosia Beetles in Hazelnut Orchards of Turkey and Evaluation of Their In Vitro Efficacy. Insects, 13(9), 824. https://doi.org/10.3390/insects13090824

