Purification and Functional Characterization of a Soluble Trehalase in Lissorhoptrus oryzophilus (Coleoptera: Curculionidae)
Abstract
:Simple Summary
Abstract
1. Introduction
2. Materials and Methods
2.1. Insect Culture and Tissue Collection
2.2. Total RNA Extraction and cDNA Synthesis
2.3. Identification of the LoTRE1 Gene and Bioinformatics Analysis
2.4. Quantitative Real-Time PCR
2.5. Protein Expression and Purification
2.6. Western Blot Analysis
2.7. Enzyme Activity Assay In Vitro
2.8. dsRNA Synthesis and Feeding
2.9. Determination of Trehalase Activity and Sugar Content In Vivo
2.10. Statistical Analysis
3. Results
3.1. Sequence Analysis of LoTRE1
3.2. Spatial Expression Patterns of LoTRE1
3.3. Molecular Docking and Key Binding Sites of LoTRE1
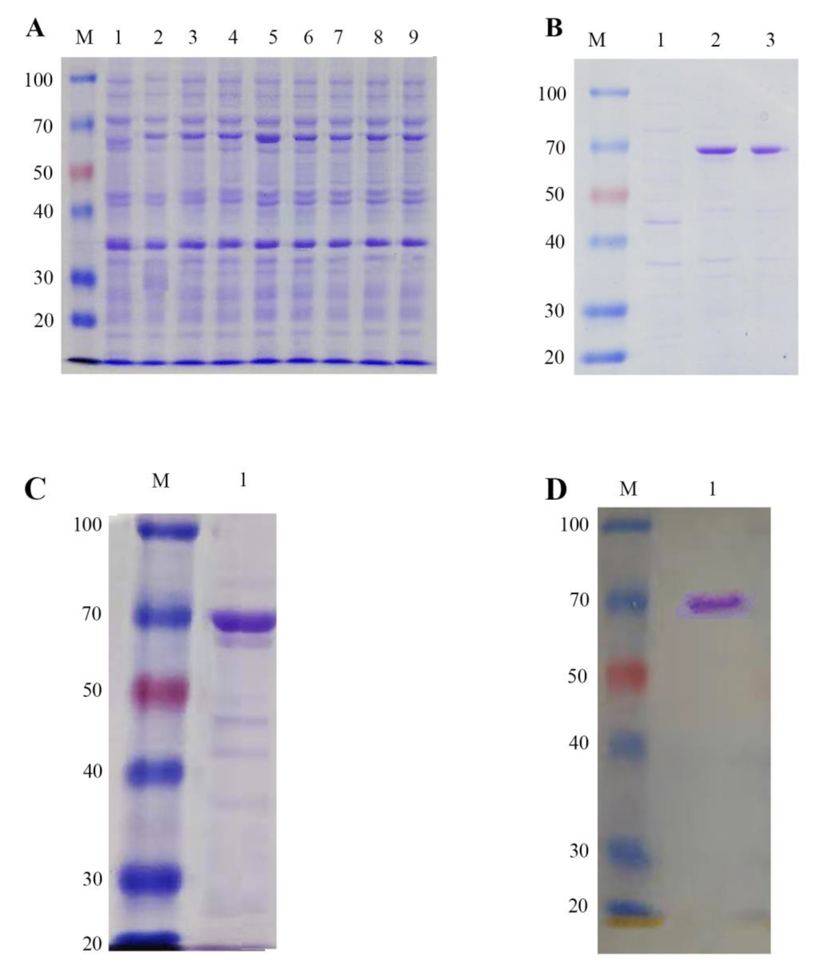
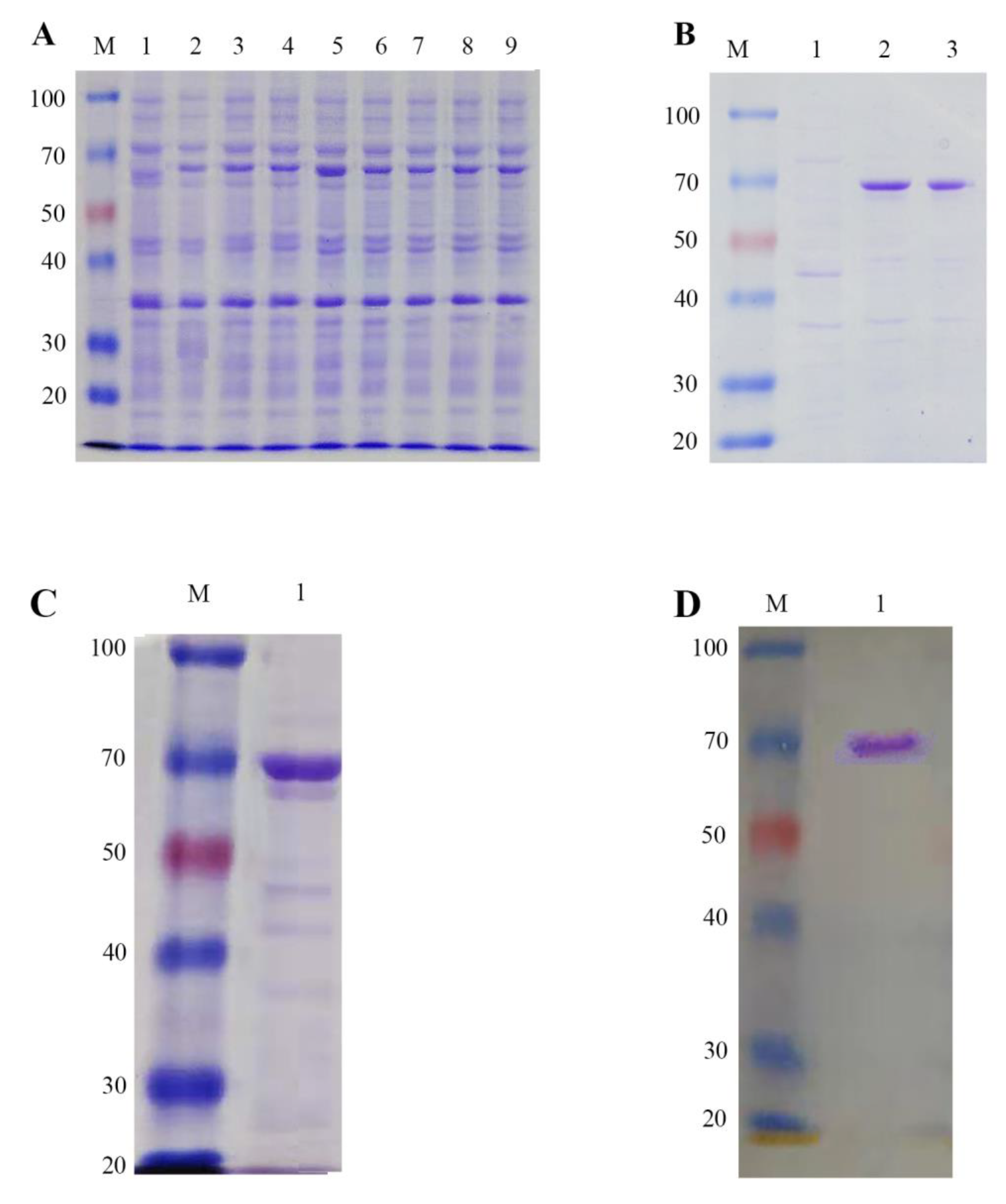
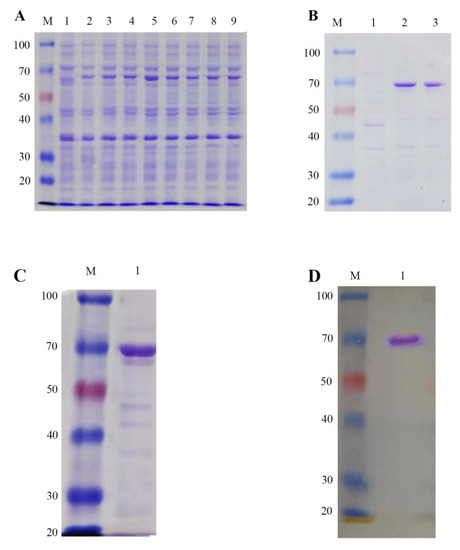
3.4. Protein Expression and Purification
3.5. Enzymatic Assays of LoTRE1 In Vitro
3.6. Silencing of LoTRE1 by RNAi
3.7. The Effect of LoTRE1 Silencing on Trehalose Metabolism
4. Discussion
Author Contributions
Funding
Informed Consent Statement
Data Availability Statement
Conflicts of Interest
References
- Elbein, A.D.; Pan, Y.T.; Pastuszak, I.; Carroll, D. New insights on trehalose: A multifunctional molecule. Glycobiology 2003, 13, 17R–27R. [Google Scholar] [CrossRef]
- Sakaguchi, M. Diverse and common features of trehalases and their contributions to microbial trehalose metabolism. Appl. Microbiol. Biotechnol. 2020, 104, 1837–1847. [Google Scholar] [CrossRef] [PubMed]
- Liu, X.-M.; Wu, X.-l.; Gao, W.; Qu, J.-B.; Chen, Q.; Huang, C.-Y.; Zhang, J.-X. Protective roles of trehalose in Pleurotus pulmonarius during heat stress response. J. Integr. Agric. 2019, 18, 428–437. [Google Scholar] [CrossRef]
- Shukla, E.; Thorat, L.; Bendre, A.D.; Jadhav, S.; Pal, J.K.; Nath, B.B.; Gaikwad, S.M. Cloning and characterization of trehalase: A conserved glycosidase from oriental midge, Chironomus ramosus. 3 Biotech 2018, 8, 7. [Google Scholar] [CrossRef]
- Tamang, A.M.; Kalra, B.; Parkash, R. Cold and desiccation stress induced changes in the accumulation and utilization of proline and trehalose in seasonal populations of Drosophila immigrans. Comp. Biochem. Physiol. Part A 2017, 203, 304–313. [Google Scholar] [CrossRef]
- Banaroudj, N.; Lee, D.H.; Goldberg, A.L. Trehalose accumulation during cellular stress protects cells and cellular proteins from damage by oxygen radicals. J. Biol. Chem. 2001, 276, 24261–24267. [Google Scholar] [CrossRef] [PubMed]
- Becker, A.; Schloder, P.; Steele, J.E.; Wegener, G. The regulation of trehalose metabolism in insects. Experientia 1996, 52, 433–439. [Google Scholar] [CrossRef]
- Thompson, S.N. Trehalose—The insect ‘blood’ sugar. In Advances in Insect Physiology; Simpson, S.J., Ed.; Advances in Insect Physiology; Academic Press Ltd-Elsevier Science Ltd.: London, UK, 2003; Volume 31, pp. 205–285. [Google Scholar]
- Neyman, V.; Francis, F.; Matagne, A.; Dieu, M.; Michaux, C.; Perpète, E.A. Purification and characterization of trehalase from Acyrthosiphon pisum, a target for pest control. Protein J. 2022, 41, 189–200. [Google Scholar] [CrossRef] [PubMed]
- Mitsumasu, K.; Azuma, M.; Niimi, T.; Yamashita, O.; Yaginuma, T. Membrane-penetrating trehalase from silkworm Bombyx mori. Molecular cloning and localization in larval midgut. Insect Mol. Biol. 2005, 14, 501–508. [Google Scholar] [CrossRef] [PubMed]
- Ai, D.; Cheng, S.H.; Chang, H.T.; Yang, T.; Wang, G.R.; Yu, C.H. Gene Cloning, Prokaryotic Expression, and Biochemical Characterization of a Soluble Trehalase in Helicoverpa armigera Hubner (Lepidoptera: Noctuidae). J. Insect Sci. 2018, 18, 8. [Google Scholar] [CrossRef] [PubMed]
- Li, Y.; Chen, X.; Wang, S.S.; Pan, B.Y.; Wang, S.G.; Wang, S.; Tang, B. Evaluation of the Expression and Function of the TRE2-like and TRE2 Genes in Ecdysis of Harmonia axyridis. Front. Physiol. 2019, 10, 11. [Google Scholar] [CrossRef]
- Tang, B.; Chen, X.F.; Liu, Y.; Tian, H.G.; Liu, J.; Hu, J.; Xu, W.H.; Zhang, W.Q. Characterization and expression patterns of a membrane-bound trehalase from Spodoptera exigua. BMC Mol. Biol. 2008, 9, 12. [Google Scholar] [CrossRef]
- Gibson, R.P.; Gloster, T.M.; Roberts, S.; Warren, R.A.J.; Storchde Gracia, I.; García, Á.; Chiara, J.L.; Davies, G.J. Molecular Basis for Trehalase Inhibition Revealed by the Structure of Trehalase in Complex with Potent Inhibitors. Angew. Chem. 2007, 119, 4193–4197. [Google Scholar] [CrossRef]
- Silva, M.C.; Terra, W.R.; Ferreira, C. The catalytic and other residues essential for the activity of the midgut trehalase from Spodoptera frugiperda. Insect Biochem. Mol. Biol 2010, 40, 733–741. [Google Scholar] [CrossRef]
- Shukla, E.; Thorat, L.; Bhavnani, V.; Bendre, A.D.; Pal, J.K.; Nath, B.B.; Gaikwad, S.M. Molecular cloning and in silico studies of physiologically significant trehalase from Drosophila melanogaster. Int. J. Biol. Macromol. 2016, 92, 282–292. [Google Scholar] [CrossRef]
- Forcella, M.; Mozzi, A.; Bigi, A.; Parenti, P.; Fusi, P. Molecular cloning of soluble trehalase from Chironomus riparius larvae, its heterologous expression in escherichia coli and bioinformatic analysis. Arch. Insect Biochem. Physiol. 2012, 81, 77–89. [Google Scholar] [CrossRef]
- Guo, Q.; Hao, Y.J.; Li, Y.; Zhang, Y.J.; Ren, S.; Si, F.L.; Chen, B. Gene cloning, characterization and expression and enzymatic activities related to trehalose metabolism during diapause of the onion maggot Delia antiqua (Diptera: Anthomyiidae). Gene 2015, 565, 106–115. [Google Scholar] [CrossRef]
- Tatun, N.; Singtripop, T.; Tungjitwitayakul, J.; Sakurai, S. Regulation of soluble and membrane-bound trehalase activity and expression of the enzyme in the larval midgut of the bamboo borer Omphisa fuscidentalis. Insect Biochem. Mol. Biol. 2008, 38, 788–795. [Google Scholar] [CrossRef]
- Aghaee, M.-A.; Godfrey, L.D. A Century of Rice Water Weevil (Coleoptera: Curculionidae): A History of Research and Management with an Emphasis on the United States. J. Integr. Pest. Manag. 2014, 5, D1–D14. [Google Scholar] [CrossRef]
- Reay-Jones, F.P.F.; Way, M.O.; Tarpley, L. Nitrogen fertilization at the rice panicle differentiation stage to compensate for rice water weevil (Coleoptera: Curculionidae) injury. Crop. Prot. 2008, 27, 84–89. [Google Scholar] [CrossRef]
- Saito, T.; Hirai, K.; Way, M.O. The rice water weevil, Lissorhoptrus oryzophilus Kuschel (Coleoptera: Curculionidae). Appl. Entomol. Zoolog. 2005, 40, 31–39. [Google Scholar] [CrossRef]
- Lupi, D.; Giudici, M.L.; Cenghialta, C.; Rocco, A.; Jucker, C.; Colombo, M. Japonica cultivars’ susceptibility to the rice water weevil Lissorhoptrus oryzophilus (Coleoptera: Curculionoidea: Brachyceridae). J. Appl. Entomol. 2013, 137, 355–364. [Google Scholar] [CrossRef]
- Gao, Y.L.; Reitz, S.R. Emerging Themes in Our Understanding of Species Displacements. Annu Rev Entomol. 2017, 62, 165–183. [Google Scholar] [CrossRef] [PubMed]
- Gasteiger, E.; Gattiker, A.; Hoogland, C.; Ivanyi, I.; Appel, R.D.; Bairoch, A. ExPASy: The proteomics server for in-depth protein knowledge and analysis. Nucleic Acids Res. 2003, 31, 3784–3788. [Google Scholar] [CrossRef]
- Pfaffl, M.W. A new mathematical model for relative quantification in real-time RT-PCR. Nucleic Acids Res. 2001, 29, 6. [Google Scholar] [CrossRef]
- Lindsay, H. A colorimetric estimation of reducing sugars in potatoes with 3,5-dinitrosalicylic acid. Potato Res. 1973, 16, 176–179. [Google Scholar] [CrossRef]
- Chen, J.Y.; Zhang, S.S.; Wang, Y.J.; Ding, L.N.; Zhao, S.G.; Tang, B. Molecular characterization of soluble trehalase and expression of dsRNA in Nilaparvata lugens. J. Hangzhou Norm. Univ. 2017, 16, 260–267. [Google Scholar]
- Tang, B.; Xiao, Z.J.; Zeng, B.P. Characteristics analysis of TRE gene and RNAi suppression expression effect of Tribolium castaneum. J. Environ. Entomol. 2019, 41, 1311–1320. [Google Scholar]
- Zou, Q.; Wei, P.; Xu, Q.; Zheng , H.Z.; Tang, B.; Wang, S.G. cDNA cloning and characterization of two trehalases from Spodoptera litura (Lepidoptera; Noctuidade). Genet. Mol. Res. 2013, 12, 901–915. [Google Scholar] [CrossRef]
- Silva, M.C.P.; Ribeiro, A.F.; Terra, W.R.; Ferreira, C. Sequencing of Spodoptera frugiperda midgut trehalases and demonstration of secretion of soluble trehalase by midgut columnar cells. Insect Mol. Biol. 2009, 18, 769–784. [Google Scholar] [CrossRef]
- Yu, H.Z.; Huang, Y.L.; Lu, Z.J.; Zhang, Q.; Su, H.N.; Du, Y.M.; Yi, L.; Zhong, B.L.; Chen, C.X. Inhibition of trehalase affects the trehalose and chitin metabolism pathways in Diaphorina citri (Hemiptera: Psyllidae). Insect Sci. 2021, 28, 718–734. [Google Scholar] [CrossRef] [PubMed]
- Ma, L.; Dai, W.; Li, X.C.; Zhang, Y.L.; Zhang, C.N. Molecular cloning and expression analysis of soluble and membrane-bound trehalase genes in the cotton bollworm, Helicaverpa armigera. J. Asia-Pac. Entomol. 2015, 18, 187–195. [Google Scholar] [CrossRef]
- Tang, B.; Xu, Q.; Zou, Q.; Fang, Q.; Wang, S.G.; Ye, G.Y. Sequencing and characterization of glycogen synthase and glycogen phosphorylase genes from Spodoptera exigua and analysis of their function in starvation and excessive sugar intake. Arch. Insect Biochem. Physiol. 2012, 80, 42–62. [Google Scholar] [CrossRef] [PubMed]
- Inagaki, K.; Ueno, N.; Tamura, T.; Tanaka, H. Purification and characterization of an acid trehalase from Acidobacterium capsulatum. J. Biosci. Bioeng. 2001, 91, 141–146. [Google Scholar] [CrossRef]
- Lee, J.H.; Tsuji, M.; Nakamura, M.; Nishimoto, M.; Okuyama, M.; Mori, H.; Kimura, A.; Matsui, H.; Chiba, S. Purification and identification of the essential ionizable groups of honeybee, Apis mellifera L., trehalase. Biosci. Biotechnol. Biochem. 2001, 65, 2657–2665. [Google Scholar] [CrossRef]
- Gu, J.; Ying, S.; Zhang, C.; Liu, Z.; Zhang, Y. Characterization of putative soluble and membrane-bound trehalases in a hemipteran insect, Nilaparvata lugens. J. Insect Physiol. 2009, 55, 997–1002. [Google Scholar] [CrossRef]
- Vogel, E.; Santos, D.; Mingels, L.; Verdonckt, T.W.; Broeck, J.V. RNA Interference in Insects: Protecting Beneficials and Controlling Pests. Front. Physiol. 2018, 9, 1912. [Google Scholar] [CrossRef]
- Tian, L.; Zeng, Y.; Xie, W.; Wu, Q.; Wang, S.; Zhou, X.; Zhang, Y. Genome-wide identification and analysis of genes associated with RNA interference in Bemisia tabaci. Pest Manag. Sci. 2019, 75, 3005–3014. [Google Scholar] [CrossRef]
- Jain, R.G.; Robinson, K.E.; Fletcher, S.J.; Mitter, N. RNAi-Based Functional Genomics in Hemiptera. Insects 2020, 11, 557. [Google Scholar] [CrossRef]
- Zhao, L.N.; Yang, M.M.; Shen, Q.D.; Liu, X.J.; Shi, Z.K.; Wang, S.G.; Tang, B. Functional characterization of three trehalase genes regulating the chitin metabolism pathway in rice brown planthopper using RNA interference. Sci. Rep. 2016, 6, 14. [Google Scholar] [CrossRef]
- Chen, J.; Tang, B.; Chen, H.X.; Yao, Q.; Huang, X.F.; Chen, J.; Zhang, D.W.; Zhang, W.Q. Different Functions of the Insect Soluble and Membrane-Bound Trehalase Genes in Chitin Biosynthesis Revealed by RNA Interference. PLoS ONE 2010, 5, 13. [Google Scholar] [CrossRef] [PubMed]
- Zhang, B.; Zhang, Y.H.; Guan, R.B.; Du, M.F.; Yin, X.M.; Zhao, W.L.; An, S.H. Trehalase is required for sex pheromone biosynthesis in Helicoverpa armigera. Insect Mol. Biol. 2022, 31, 334–345. [Google Scholar] [CrossRef] [PubMed]
- Santos, R.; Alves-Bezerra, M.; Rosas-Oliveira, R.; Majerowicz, D.; Meyer-Fernandes, J.R.; Gondim, K.C.; Meyer-Fernandes, J.R.; Gondim, K.C. Gene identification and enzymatic properties of a membrane-bound trehalase from the ovary of rhodnius prolixus. Arch. Insect Biochem. Physiol. 2012, 81, 199–213. [Google Scholar] [CrossRef]
- Shao, Z.M.; Ding, J.H.; Jiang, D.L.; Liu, Z.X.; Li, Y.J.C.; Wang, J.; Wang, J.; Sheng, S.; Wu, F.A. Characterization and Functional Analysis of trehalase Related to Chitin Metabolism in Glyphodes pyloalis Walker (Lepidoptera: Pyralidae). Insects 2021, 12, 370. [Google Scholar] [CrossRef]
- Shi, Z.K.; Liu, X.J.; Xu, Q.Y.; Qin, Z.; Wang, S.; Zhang, F.; Wang, S.G.; Tang, B. Two novel soluble trehalase genes cloned from Harmonia axyridis and regulation of the enzyme in a rapid changing temperature. Comp. Biochem. Physiol. B-Biochem. Mol. Biol. 2016, 198, 10–18. [Google Scholar] [CrossRef]











| Primer Name | Primer Sequence (5′-3′) | Purpose |
|---|---|---|
| TRE1 | F: CGCGGATCCATGATGAAGAATATTTATGTAACGA R: CCGCTCGAGTCACCCTATAAATCCTGCTGATAAG | Prokaryotic expression |
| dsRNA-TRE | F: TAATACACTCACTATAGGGGTGGGCTAAGAAGCTCAACG R: TAATACACTCACTATAGGGCCGAATACGATTCCGGTCTA | RNAi |
| dsRNA-GFP | F: TAATACGACTCACTATAGGGGACGTAAACGGCCACAAGTT R: TAATACGACTCACTATAGGGTGTTCTGCTGGTAGTGGTCG | RNAi |
| TRE1-q | F: AAAATTACACTTTGGCCCTCTA R: GTCCCAACCGGATTCAGC | RT–qPCR |
| GADPH | F: ACCACTGTCCACGCAACT R: ACTCTGAAGGCCATACCG | RT–qPCR |
Publisher’s Note: MDPI stays neutral with regard to jurisdictional claims in published maps and institutional affiliations. |
© 2022 by the authors. Licensee MDPI, Basel, Switzerland. This article is an open access article distributed under the terms and conditions of the Creative Commons Attribution (CC BY) license (https://creativecommons.org/licenses/by/4.0/).
Share and Cite
Wang, Q.; Fang, K.; Qi, L.; Wang, X.; Pan, Y.; Li, Y.; Xi, J.; Zhang, J. Purification and Functional Characterization of a Soluble Trehalase in Lissorhoptrus oryzophilus (Coleoptera: Curculionidae). Insects 2022, 13, 867. https://doi.org/10.3390/insects13100867
Wang Q, Fang K, Qi L, Wang X, Pan Y, Li Y, Xi J, Zhang J. Purification and Functional Characterization of a Soluble Trehalase in Lissorhoptrus oryzophilus (Coleoptera: Curculionidae). Insects. 2022; 13(10):867. https://doi.org/10.3390/insects13100867
Chicago/Turabian StyleWang, Qingtai, Kui Fang, Lizhong Qi, Xiao Wang, Yu Pan, Yunshuo Li, Jinghui Xi, and Juhong Zhang. 2022. "Purification and Functional Characterization of a Soluble Trehalase in Lissorhoptrus oryzophilus (Coleoptera: Curculionidae)" Insects 13, no. 10: 867. https://doi.org/10.3390/insects13100867
APA StyleWang, Q., Fang, K., Qi, L., Wang, X., Pan, Y., Li, Y., Xi, J., & Zhang, J. (2022). Purification and Functional Characterization of a Soluble Trehalase in Lissorhoptrus oryzophilus (Coleoptera: Curculionidae). Insects, 13(10), 867. https://doi.org/10.3390/insects13100867

