An Envenoming Syndrome from Massive Vespa Stings Induces Multiple Organ Failure
Abstract
1. Introduction
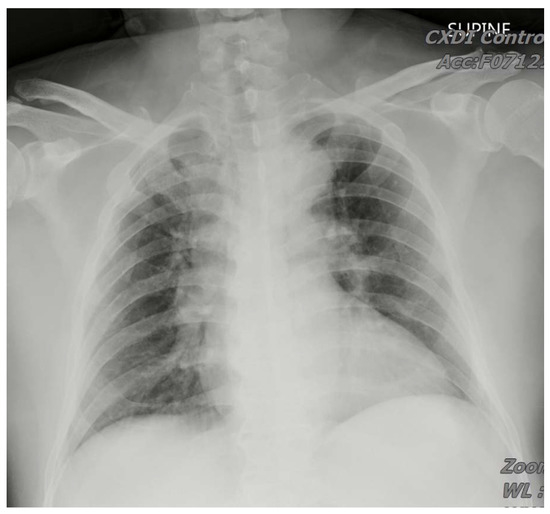
2. Case Presentation
3. Discussion
4. Conclusions
Author Contributions
Funding
Conflicts of Interest
References
- Stack, K.; Pryor, L. Significant Traumatic Intracranial Hemorrhage in the Setting of Massive Bee Venom-Induced Coagulopathy: A Case Report. Wilderness Environ. Med. 2016, 27, 405–408. [Google Scholar] [CrossRef] [PubMed]
- Vikrant, S.; Parashar, A. Two Cases of Acute Kidney Injury Due to Multiple Wasp Stings. Wilderness Environ. Med. 2017, 28, 249–252. [Google Scholar] [CrossRef] [PubMed]
- Oropeza, A.R.; Mikkelsen, S.; Bindslev-Jensen, C.; Mortz, C.G. Pre-Hospital Treatment of Bee and Wasp Induced Anaphylactic Reactions: A Retrospective Study. Scand. J. Trauma Resusc. Emerg. Med. 2017, 25, 4. [Google Scholar] [CrossRef] [PubMed]
- Chen, J.; Guan, S.M.; Sun, W.; Fu, H. Melittin, the Major Pain-Producing Substance of Bee Venom. Neurosci. Bull. 2016, 32, 265–272. [Google Scholar] [CrossRef] [PubMed]
- Du Toit-Prinsloo, L.; Morris, N.K.; Meyer, P.; Saayman, G. Deaths from bee stings: A report of three cases from Pretoria, South Africa. Forensic. Sci. Med. Pathol. 2016, 12, 81–85. [Google Scholar] [CrossRef] [PubMed][Green Version]
- Fitzgerald, K.T.; Flood, A.A. Hymenoptera stings. Clin. Tech. Small Anim. Pract. 2006, 21, 194–204. [Google Scholar] [CrossRef] [PubMed]
- Sampson, H.A. Anaphylaxis and Emergency Treatment. Pediatrics 2003, 111, 1601–1608. [Google Scholar] [PubMed]
- Xuan, B.H.; Mai, H.L.; Thi, T.X.; Thi, M.T.; Nguyen, H.N.; Rabenou, R.A. Swarming hornet attacks: Shock and acute kidney injury–a large case series from Vietnam. Nephrol. Dial. Transpl. 2010, 25, 1146–1150. [Google Scholar] [CrossRef] [PubMed]
- Tahura, S. Acute Kidney Injury in Children Following Multiple Wasp Stings and its Immediate Outcome. Adv. Clin. Toxicol. 2018, 3. [Google Scholar] [CrossRef]
- Toledo, L.F.M.; Moore, D.; Caixeta, D.; Salu, M.D.S.; Farias, C.V.B.; Azevedo, Z.M.A. Multiple bee stings, multiple organs involved: A case report. Rev. Soc. Bras. Med. Trop. 2018, 51, 560–562. [Google Scholar] [CrossRef] [PubMed]
- Sharmila, R.R.; Chetan, G.; Narayanan, P.; Srinivasan, S. Multiple organ dysfunction syndrome following single wasp sting. Indian J. Pediatr. 2008, 74, 1111–1112. [Google Scholar] [CrossRef] [PubMed]
- Yanagawa, Y.; Morita, K.; Sugiura, T.; Okada, Y. Cutaneous hemorrhage or necrosis findings after Vespa mandarinia (wasp) stings may predict the occurrence of multiple organ injury: A case report and review of literature. Clin. Toxicol. 2007, 45, 803–807. [Google Scholar] [CrossRef] [PubMed]
- Dhami, S.; Zaman, H.; Varga, E.M.; Sturm, G.J.; Muraro, A.; Akdis, C.A.; Antolin-Amerigo, D.; Bilo, M.B.; Bokanovic, D.; Calderon, M.A.; et al. Allergen immunotherapy for insect venom allergy: A systematic review and meta-analysis. Allergy 2017, 72, 342–365. [Google Scholar] [CrossRef] [PubMed]
- Adib-Tezer, H.; Bayerl, C. Honeybee and wasp venom allergy: Sensitization and immunotherapy. J. Dtsch. Dermatol. Ges. 2018, 16, 1228–1247. [Google Scholar] [CrossRef] [PubMed]
- Sturm, G.J.; Varga, E.M.; Roberts, G.; Mosbech, H.; Bilo, M.B.; Akdis, C.A.; Antolin-Amerigo, D.; Cichocka-Jarosz, E.; Gawlik, R.; Jakob, T.; et al. EAACI guidelines on allergen immunotherapy: Hymenoptera venom allergy. Allergy 2018, 73, 744–764. [Google Scholar] [CrossRef] [PubMed]



| Variables | Normal Range | Patient Data | ||||||
|---|---|---|---|---|---|---|---|---|
| Day 1 | Day 2 | Day 3 | Day 4 | Day 7 | Day 8 | Day 10 | ||
| White cell count | 3.9–10.6 (× 103/µL) | 17.42 | 23.07 | 21.02 | --- | 20.45 | --- | 18.54 |
| Hemoglobin | 13.5–17.5 g/dL | 17.0 | 15.8 | 12.0 | --- | 9.0 | --- | 7.7 |
| Platelet counts | 150–400 (× 103/µL) | 299 | 241 | 132 | --- | 104 | --- | 190 |
| Band | 0–3% | 0.0 | 10.0 | 5.0 | --- | 5.0 | --- | 0.0 |
| Monocyte | 2–10% | 5.0 | 7.0 | 3.0 | --- | 9.0 | --- | 7.0 |
| Neutrophile | 40–75% | 54.0 | 73.0 | 87.0 | --- | 80.0 | --- | 80.0 |
| Lymphocyte | 20–45% | 39.0 | 9.0 | 4.0 | --- | 4.0 | --- | 8.0 |
| Eosinophile | 1–6% | 0.0 | 0.0 | 0.0 | --- | 0.0 | --- | 2.0 |
| PT | 8–12 sec | 127.2 | 14.8 | 12.3 | --- | --- | --- | --- |
| APTT | 23.9–35.5 sec | 58.1 | 67.6 | 35.4 | --- | --- | --- | --- |
| INR | ---- | 14.51 | 1.48 | 1.22 | --- | --- | --- | --- |
| FDP-D-dimer | 0–500 µg/L | 857.92 | --- | --- | --- | --- | --- | --- |
| Fibrinogen | 200-400 mg/dL | 218.9 | --- | --- | --- | --- | --- | --- |
| Creatinine | 0.7–1.3 mg/dL | 1.2 | 3.3 | 5.3 | 5.9 | 9.2 | --- | 8.3 |
| Sodium | 136–145 mmole/L | 135 | 131 | 131 | 136 | 136 | --- | 141 |
| Potassium | 3.5–5.1 mmole/L | 3.7 | 4.8 | 4.4 | 4.5 | 5.4 | --- | 4.1 |
| LDH | 85-227 IU/L | 2318 | --- | --- | --- | --- | --- | --- |
| Glucose | 3.9–5.6 mmole/L | 158 | --- | --- | --- | --- | --- | --- |
| ALT | 16–63 U/L | 531 | 1541 | 917 | 542 | 221 | --- | 110 |
| AST | 15–37 U/L | 1782 | --- | 2034 | 374 | 49 | --- | 25 |
| Creatine kinase | 39–308 IU/L | 324 | 15,439 | 12,210 | 6218 | 619 | --- | 179 |
| CKMB | 7–25 IU/L | 149 | 313 | --- | --- | --- | --- | --- |
| Total bilirubin | 0.0–1.0 mg/dL | 5.48 | 9.15 | 2.67 | 1.70 | 0.79 | --- | 1.01 |
| Direct bilirubin | 0.0–0.3 mg/dL | 0.24 | --- | 0.88 | --- | --- | --- | --- |
| Myoglobin | 17.4–105.7 ng/mL | ---- | >3893 | >3893 | --- | --- | --- | --- |
| pH | 7.35–7.45 | ---- | ---- | ---- | --- | --- | 7.49 | --- |
| pCO2 | 35–45 mmHg | ---- | ---- | ---- | --- | --- | 29.3 | --- |
| pO2 | 80–100 mmHg | ---- | ---- | ---- | --- | --- | 218.9 | --- |
| HCO3 | 22–26 mmole/L | ---- | --- | ---- | --- | --- | 22.0 | --- |
© 2020 by the authors. Licensee MDPI, Basel, Switzerland. This article is an open access article distributed under the terms and conditions of the Creative Commons Attribution (CC BY) license (http://creativecommons.org/licenses/by/4.0/).
Share and Cite
Chen, T.-H.; Liao, W.-T.; Chen, C.-S.; Lin, P.-C.; Wu, M.-Y. An Envenoming Syndrome from Massive Vespa Stings Induces Multiple Organ Failure. Insects 2020, 11, 219. https://doi.org/10.3390/insects11040219
Chen T-H, Liao W-T, Chen C-S, Lin P-C, Wu M-Y. An Envenoming Syndrome from Massive Vespa Stings Induces Multiple Organ Failure. Insects. 2020; 11(4):219. https://doi.org/10.3390/insects11040219
Chicago/Turabian StyleChen, Tse-Hao, Wan-Ting Liao, Chien-Sheng Chen, Po-Chen Lin, and Meng-Yu Wu. 2020. "An Envenoming Syndrome from Massive Vespa Stings Induces Multiple Organ Failure" Insects 11, no. 4: 219. https://doi.org/10.3390/insects11040219
APA StyleChen, T.-H., Liao, W.-T., Chen, C.-S., Lin, P.-C., & Wu, M.-Y. (2020). An Envenoming Syndrome from Massive Vespa Stings Induces Multiple Organ Failure. Insects, 11(4), 219. https://doi.org/10.3390/insects11040219

