Intrauterine Zika Virus Infection: An Overview of the Current Findings
Abstract
1. Introduction
2. Etiology
3. Epidemiology
3.1. Vectorial Transmission
3.2. Sexual Transmission
3.3. Vertical Transmission
3.4. Other Transmission Forms
4. Physiopathology
5. Fetal Malformations
6. Diagnosis
6.1. Maternal Diagnosis
6.2. Intrauterine Diagnosis
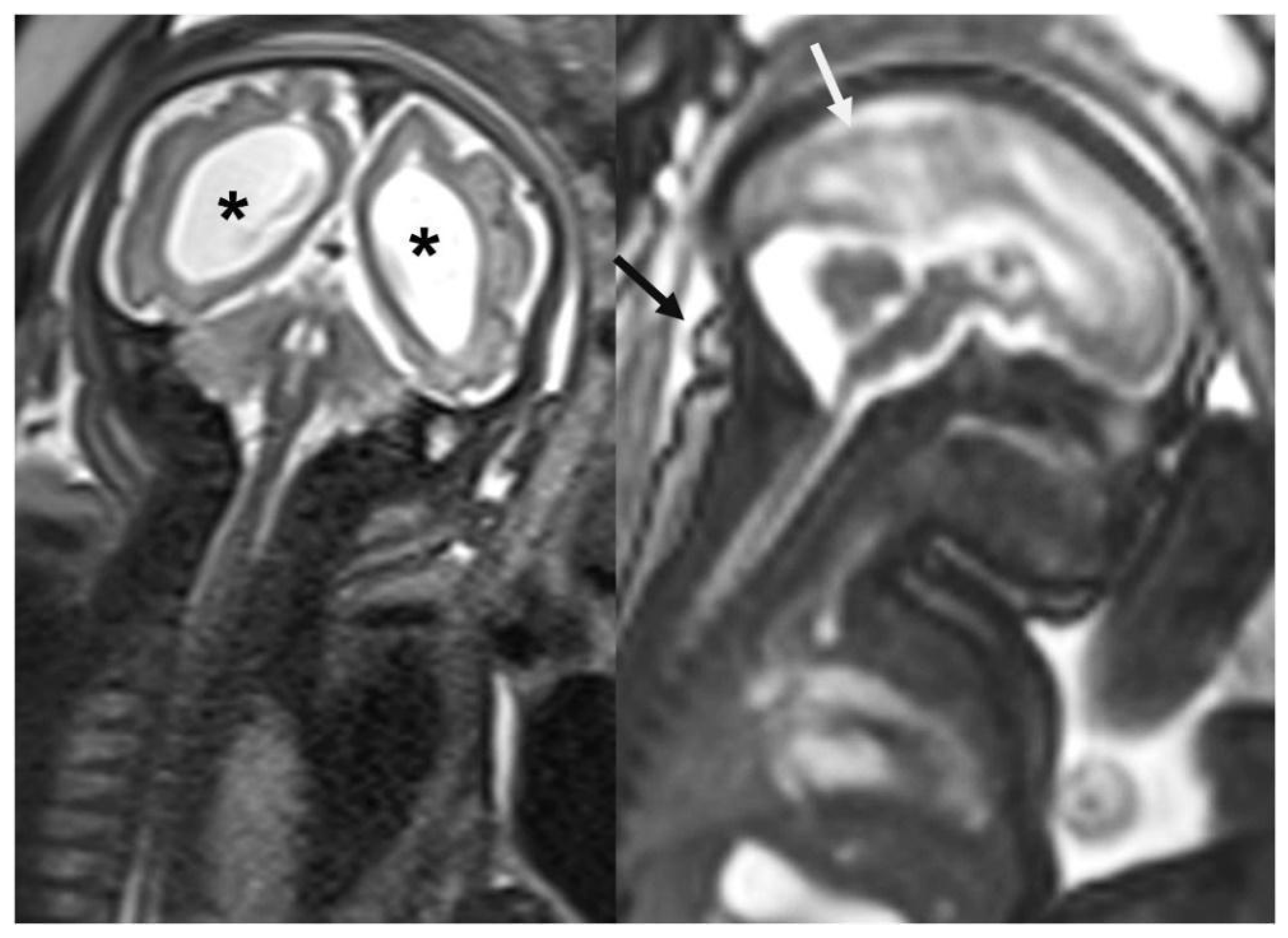
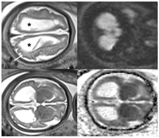
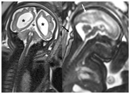
6.3. Imaging Diagnostic Methods
7. Intrauterine Transmission
8. Differential Diagnosis
9. Postnatal Findings
10. Prognosis
11. Short- and Long-Term Follow-Up
12. Conclusions
Author Contributions
Funding
Institutional Review Board Statement
Informed Consent Statement
Data Availability Statement
Conflicts of Interest
References
- Baud, D.; Gubler, D.J.; Schaub, B.; Lanteri, M.C.; Musso, D. An update on Zika virus infection. Lancet 2017, 390, 2099–2109. [Google Scholar] [CrossRef] [PubMed]
- Petersen, L.R.; Jamieson, D.J.; Powers, A.M.; Honein, M.A. Zika Virus. N. Engl. J. Med. 2016, 374, 1552–1563. [Google Scholar] [CrossRef] [PubMed]
- Gregory, C.J.; Oduyebo, T.; Brault, A.C.; Brooks, J.T.; Chung, K.W.; Hills, S.; Kuehnert, M.J.; Mead, P.; Meaney-Delman, D.; Rabe, I.; et al. Modes of Transmission of Zika Virus. J. Infect. Dis. 2017, 216 (Suppl. S10), S875–S883. [Google Scholar] [CrossRef] [PubMed] [PubMed Central]
- Werner, H.; Sodré, D.; Hygino, C.; Guedes, B.; Fazecas, T.; Nogueira, R.; Daltro, P.; Tonni, G.; Lopes, J.; Araujo Júnior, E. First-trimester intrauterine Zika virus infection and brain pathology: Prenatal and postnatal neuroimaging findings. Prenat. Diagn. 2016, 36, 785–789. [Google Scholar] [CrossRef] [PubMed]
- Marbán-Castro, E.; Goncé, A.; Fumadó, V.; Romero-Acevedo, L.; Bardají, A. Zika virus infection in pregnant women and their children: A review. Eur. J. Obstet. Gynecol. Reprod. Biol. 2021, 265, 162–168. [Google Scholar] [CrossRef] [PubMed]
- Landry, M.L.; St George, K. Laboratory Diagnosis of Zika Virus Infection. Arch. Pathol. Lab. Med. 2017, 141, 60–67. [Google Scholar] [CrossRef] [PubMed]
- Peters, R.; Stevenson, M. Zika virus diagnosis: Challenges and solutions. Clin. Microbiol. Infect. 2019, 25, 142–146. [Google Scholar] [CrossRef] [PubMed]
- Gazeta, R.E.; Bertozzi, A.P.A.P.; Dezena, R.C.A.B.; Silva, A.C.B.; Fajardo, T.C.G.; Catalan, D.T.; Rizzo, M.F.V.; Moron, A.F.; Soriano-Arandes, A.; Clemente, N.S.; et al. Three-Year Clinical Follow-Up of Children Intrauterine Exposed to Zika Virus. Viruses 2021, 13, 523. [Google Scholar] [CrossRef] [PubMed] [PubMed Central]
- Giraldo, M.I.; Gonzalez-Orozco, M.; Rajsbaum, R. Pathogenesis of Zika virus infection. Annu. Rev. Pathol. Mech. Dis. 2023, 18, 181–203. [Google Scholar] [CrossRef] [PubMed] [PubMed Central]
- Pielnaa, P.; Al-Saadawe, M.; Saro, A.; Dama, M.F.; Zhou, M.; Huang, Y.; Huang, J.; Xia, Z. Zika virus-spread, epidemiology, genome, transmission cycle, clinical manifestation, associated challenges, vaccine and antiviral drug development. Virology 2020, 543, 34–42. [Google Scholar] [CrossRef] [PubMed]
- Lanciotti, R.S.; Kosoy, O.L.; Laven, J.J.; Velez, J.O.; Lambert, A.J.; Johnson, A.J.; Stanfield, S.M.; Duffy, M.R. Genetic and serologic properties of Zika virus associated with an epidemic, Yap State, Micronesia, 2007. Emerg. Infect. Dis. 2008, 14, 1232–1239. [Google Scholar] [CrossRef] [PubMed] [PubMed Central]
- Leier, H.C.; Messer, W.B.; Tafesse, F.G. Lipids and pathogenic flaviviruses: An intimate union. PLoS Pathog. 2018, 14, e1006952. [Google Scholar] [CrossRef] [PubMed] [PubMed Central]
- Scaramozzino, N.; Crance, J.M.; Jouan, A.; DeBriel, D.A.; Stoll, F.; Garin, D. Comparison of flavivirus universal primer pairs and development of a rapid, highly sensitive heminested reverse transcription-PCR assay for detection of flaviviruses targeted to a conserved region of the NS5 gene sequences. J. Clin. Microbiol. 2001, 39, 1922–1927. [Google Scholar] [CrossRef] [PubMed] [PubMed Central]
- Wikan, N.; Smith, D.R. Zika virus: History of a newly emerging arbovirus. Lancet Infect. Dis. 2016, 16, e119–e126. [Google Scholar] [CrossRef] [PubMed]
- Cox, B.D.; Stanton, R.A.; Schinazi, R.F. Predicting Zika virus structural biology: Challenges and opportunities for intervention. Antivir. Chem. Chemother. 2015, 24, 118–126. [Google Scholar] [CrossRef] [PubMed] [PubMed Central]
- Sharma, V.; Sharma, M.; Dhull, D.; Sharma, Y.; Kaushik, S.; Kaushik, S. Zika virus: An emerging challenge to public health worldwide. Can. J. Microbiol. 2020, 66, 87–98. [Google Scholar] [CrossRef] [PubMed]
- Bhardwaj, U.; Pandey, N.; Rastogi, M.; Singh, S.K. Gist of Zika Virus pathogenesis. Virology 2021, 560, 86–95. [Google Scholar] [CrossRef] [PubMed]
- Sirohi, D.; Chen, Z.; Sun, L.; Klose, T.; Pierson, T.C.; Rossmann, M.G.; Kuhn, R.J. The 3.8 Å resolution cryo-EM structure of Zika virus. Science 2016, 352, 467–470. [Google Scholar] [CrossRef] [PubMed] [PubMed Central]
- Hasan, S.S.; Sevvana, M.; Kuhn, R.J.; Rossmann, M.G. Structural biology of Zika virus and other flaviviruses. Nat. Struct. Mol. Biol. 2018, 25, 13–20. [Google Scholar] [CrossRef] [PubMed]
- Bos, S.; Viranaicken, W.; Turpin, J.; El-Kalamouni, C.; Roche, M.; Krejbich-Trotot, P.; Desprès, P.; Gadea, G. The structural proteins of epidemic and historical strains of Zika virus differ in their ability to initiate viral infection in human host cells. Virology 2018, 516, 265–273, Erratum in Virology 2019, 526, 233. https://doi.org/10.1016/j.virol.2018.11.006. [Google Scholar] [CrossRef] [PubMed]
- Shi, Y.; Gao, G.F. Structural Biology of the Zika Virus. Trends Biochem. Sci. 2017, 42, 443–456. [Google Scholar] [CrossRef] [PubMed]
- Rasmussen, S.A.; Jamieson, D.J.; Honein, M.A.; Petersen, L.R. Zika Virus and Birth Defects—Reviewing the Evidence for Causality. N. Engl. J. Med. 2016, 374, 1981–1987. [Google Scholar] [CrossRef] [PubMed]
- Lei, J.; Hansen, G.; Nitsche, C.; Klein, C.D.; Zhang, L.; Hilgenfeld, R. Crystal structure of Zika virus NS2B-NS3 protease in complex with a boronate inhibitor. Science 2016, 353, 503–505. [Google Scholar] [CrossRef] [PubMed]
- Wang, A.; Thurmond, S.; Islas, L.; Hui, K.; Hai, R. Zika virus genome biology and molecular pathogenesis. Emerg. Microbes Infect. 2017, 6, e13. [Google Scholar] [CrossRef] [PubMed] [PubMed Central]
- Pierson, T.C.; Diamond, M.S. Degrees of maturity: The complex structure and biology of flaviviruses. Curr. Opin. Virol. 2012, 2, 168–175. [Google Scholar] [CrossRef] [PubMed] [PubMed Central]
- Yu, I.M.; Zhang, W.; Holdaway, H.A.; Li, L.; Kostyuchenko, V.A.; Chipman, P.R.; Kuhn, R.J.; Rossmann, M.G.; Chen, J. Structure of the immature dengue virus at low pH primes proteolytic maturation. Science 2008, 319, 1834–1837. [Google Scholar] [CrossRef] [PubMed]
- Rastogi, M.; Sharma, N.; Singh, S.K. Flavivirus NS1: A multifaceted enigmatic viral protein. Virol. J. 2016, 13, 131. [Google Scholar] [CrossRef] [PubMed] [PubMed Central]
- Muller, D.A.; Young, P.R. The flavivirus NS1 protein: Molecular and structural biology, immunology, role in pathogenesis and application as a diagnostic biomarker. Antivir. Res. 2013, 98, 192–208. [Google Scholar] [CrossRef] [PubMed]
- Xia, H.; Luo, H.; Shan, C.; Muruato, A.E.; Nunes, B.T.D.; Medeiros, D.B.A.; Zou, J.; Xie, X.; Giraldo, M.I.; Vasconcelos, P.F.C.; et al. An evolutionary NS1 mutation enhances Zika virus evasion of host interferon induction. Nat. Commun. 2018, 9, 414. [Google Scholar] [CrossRef] [PubMed] [PubMed Central]
- Puerta-Guardo, H.; Glasner, D.R.; Espinosa, D.A.; Biering, S.B.; Patana, M.; Ratnasiri, K.; Wang, C.; Beatty, P.R.; Harris, E. Flavivirus NS1 Triggers Tissue-Specific Vascular Endothelial Dysfunction Reflecting Disease Tropism. Cell Rep. 2019, 26, 1598–1613.e8. [Google Scholar] [CrossRef] [PubMed] [PubMed Central]
- Zhang, X.; Xie, X.; Zou, J.; Xia, H.; Shan, C.; Chen, X.; Shi, P.Y. Genetic and biochemical characterizations of Zika virus NS2A protein. Emerg. Microbes Infect. 2019, 8, 585–602. [Google Scholar] [CrossRef] [PubMed] [PubMed Central]
- Xu, S.; Ci, Y.; Wang, L.; Yang, Y.; Zhang, L.; Xu, C.; Qin, C.; Shi, L. Zika virus NS3 is a canonical RNA helicase stimulated by NS5 RNA polymerase. Nucleic Acids Res. 2019, 47, 8693–8707. [Google Scholar] [CrossRef] [PubMed] [PubMed Central]
- Liang, Q.; Luo, Z.; Zeng, J.; Chen, W.; Foo, S.S.; Lee, S.A.; Ge, J.; Wang, S.; Goldman, S.A.; Zlokovic, B.V.; et al. Zika Virus NS4A and NS4B Proteins Deregulate Akt-mTOR Signaling in Human Fetal Neural Stem Cells to Inhibit Neurogenesis and Induce Autophagy. Cell Stem Cell 2016, 19, 663–671. [Google Scholar] [CrossRef] [PubMed] [PubMed Central]
- de Paula Freitas, B.; Ventura, C.V.; Maia, M.; Belfort, R., Jr. Zika virus and the eye. Curr. Opin. Ophthalmol. 2017, 28, 595–599. [Google Scholar] [CrossRef] [PubMed]
- Medin, C.L.; Rothman, A.L. Zika Virus: The Agent and Its Biology, With Relevance to Pathology. Arch. Pathol. Lab. Med. 2017, 141, 33–42. [Google Scholar] [CrossRef] [PubMed]
- Imperato, P.J. The Convergence of a Virus, Mosquitoes, and Human Travel in Globalizing the Zika Epidemic. J. Community Health 2016, 41, 674–679. [Google Scholar] [CrossRef] [PubMed]
- Duffy, M.R.; Chen, T.H.; Hancock, W.T.; Powers, A.M.; Kool, J.L.; Lanciotti, R.S.; Pretrick, M.; Marfel, M.; Holzbauer, S.; Dubray, C.; et al. Zika virus outbreak on Yap Island, Federated States of Micronesia. N. Engl. J. Med. 2009, 360, 2536–2543. [Google Scholar] [CrossRef] [PubMed]
- Plourde, A.R.; Bloch, E.M. A literature review of Zika virus. Emerg. Infect. Dis. 2016, 22, 1185–1192. [Google Scholar] [CrossRef]
- Sampathkumar, P.; Sanchez, J.L. Zika Virus in the Americas: A Review for Clinicians. Mayo Clin. Proc. 2016, 91, 514–521. [Google Scholar] [CrossRef] [PubMed]
- Weaver, S.C.; Costa, F.; Garcia-Blanco, M.A.; Ko, A.I.; Ribeiro, G.S.; Saade, G.; Shi, P.Y.; Vasilakis, N. Zika virus: History, emergence, biology, and prospects for control. Antivir. Res. 2016, 130, 69–80. [Google Scholar] [CrossRef] [PubMed] [PubMed Central]
- Dick, G.W. Zika virus. II. Pathogenicity and physical properties. Trans. R. Soc. Trop. Med. Hyg. 1952, 46, 521–534. [Google Scholar] [CrossRef] [PubMed]
- Sakkas, H.; Economou, V.; Papadopoulou, C. Zika virus infection: Past and present of another emerging vector-borne disease. J. Vector Borne Dis. 2016, 53, 305–311. [Google Scholar] [CrossRef] [PubMed]
- de Oliveira Dias, J.R.; Ventura, C.V.; de Paula Freitas, B.; Prazeres, J.; Ventura, L.O.; Bravo-Filho, V.; Aleman, T.; Ko, A.I.; Zin, A.; Belfort, R., Jr.; et al. Zika and the Eye: Pieces of a Puzzle. Prog. Retin. Eye Res. 2018, 66, 85–106. [Google Scholar] [CrossRef] [PubMed]
- MacNamara, F.N. Zika virus: A report on three cases of human infection during an epidemic of jaundice in Nigeria. Trans. R. Soc. Trop. Med. Hyg. 1954, 48, 139–145. [Google Scholar] [CrossRef] [PubMed]
- Smithburn, K.C.; Kerr, J.A.; Gatne, P.B. Neutralizing antibodies against certain viruses in the sera of residents of India. J. Immunol. 1954, 72, 248–257. [Google Scholar] [CrossRef] [PubMed]
- Smithburn, K.C. Neutralizing antibodies against arthropod-borne viruses in the sera of long-time residents of Malaya and Borneo. Am. J. Hyg. 1954, 59, 157–163. [Google Scholar] [CrossRef] [PubMed]
- Hammon, W.M.; Schrack, W.D., Jr.; Sather, G.E. Serological survey for a arthropod-borne virus infections in the Philippines. Am. J. Trop. Med. Hyg. 1958, 7, 323–328. [Google Scholar] [CrossRef] [PubMed]
- Pond, W.L. Arthropod-borne virus antibodies in sera from residents of south-east asia. Trans. R. Soc. Trop. Med. Hyg. 1963, 57, 364–371. [Google Scholar] [CrossRef] [PubMed]
- Darwish, M.A.; Hoogstraal, H.; Roberts, T.J.; Ahmed, I.P.; Omar, F. A sero-epidemiological survey for certain arboviruses (Togaviridae) in Pakistan. Trans. R. Soc. Trop. Med. Hyg. 1983, 77, 442–445. [Google Scholar] [CrossRef] [PubMed]
- European Centre for Disease Prevention and Control (ECDC). Zika Virus Infection Outbreak, French Polynesia [Online]. 2014. Available online: http://www.ecdc.europa.eu/sites/portal/files/media/en/publications/Publications/Zika-virus-French-Polynesia-rapid-risk-assessment.pdf (accessed on 17 December 2024).
- Musso, D.; Gubler, D.J. Zika Virus. Clin. Microbiol. Rev. 2016, 29, 487–524. [Google Scholar] [CrossRef] [PubMed] [PubMed Central]
- Dupont-Rouzeyrol, M.; O’Connor, O.; Calvez, E.; Daurès, M.; John, M.; Grangeon, J.P.; Gourinat, A.C. Co-infection with Zika and dengue viruses in 2 patients, New Caledonia, 2014. Emerg. Infect. Dis. 2015, 21, 381–382. [Google Scholar] [CrossRef] [PubMed] [PubMed Central]
- Musso, D.; Nilles, E.J.; Cao-Lormeau, V.M. Rapid spread of emerging Zika virus in the Pacific area. Clin. Microbiol. Infect. 2014, 20, O595–O596. [Google Scholar] [CrossRef] [PubMed]
- Roth, A.; Mercier, A.; Lepers, C.; Hoy, D.; Duituturaga, S.; Benyon, E.; Guillaumot, L.; Souares, Y. Concurrent outbreaks of dengue, chikungunya and Zika virus infections—An unprecedented epidemic wave of mosquito-borne viruses in the Pacific 2012–2014. Eurosurveillance 2014, 19, 20929. [Google Scholar] [CrossRef] [PubMed]
- Tognarelli, J.; Ulloa, S.; Villagra, E.; Lagos, J.; Aguayo, C.; Fasce, R.; Parra, B.; Mora, J.; Becerra, N.; Lagos, N.; et al. A report on the outbreak of Zika virus on Easter Island, South Pacific, 2014. Arch. Virol. 2016, 161, 665–668. [Google Scholar] [CrossRef] [PubMed]
- Zanluca, C.; Melo, V.C.; Mosimann, A.L.; Santos, G.I.; Santos, C.N.; Luz, K. First report of autochthonous transmission of Zika virus in Brazil. Mem. Inst. Oswaldo Cruz. 2015, 110, 569–572. [Google Scholar] [CrossRef] [PubMed] [PubMed Central]
- Gyawali, N.; Bradbury, R.S.; Taylor-Robinson, A.W. The global spread of Zika virus: Is public and media concern justified in regions currently unaffected? Infect. Dis. Poverty 2016, 5, 37. [Google Scholar] [CrossRef] [PubMed] [PubMed Central]
- Krauer, F.; Riesen, M.; Reveiz, L.; Oladapo, O.T.; Martínez-Vega, R.; Porgo, T.V.; Haefliger, A.; Broutet, N.J.; Low, N.; WHO Zika Causality Working Group. Zika Virus Infection as a Cause of Congenital Brain Abnormalities and Guillain-Barré Syndrome: Systematic Review. PLoS Med. 2017, 14, e1002203. [Google Scholar] [CrossRef] [PubMed] [PubMed Central]
- Hennessey, M.; Fischer, M.; Staples, J.E. Zika Virus Spreads to New Areas—Region of the Americas, May 2015–January 2016. MMWR Morb. Mortal. Wkly Rep. 2016, 65, 55–58. [Google Scholar] [CrossRef] [PubMed]
- Oladapo, O.T.; Souza, J.P.; De Mucio, B.; de León, R.G.; Perea, W.; Gülmezoglu, A.M.; WHO Guideline Development Group. WHO interim guidance on pregnancy management in the context of Zika virus infection. Lancet Glob. Health 2016, 4, e510–e511. [Google Scholar] [CrossRef] [PubMed]
- Adebayo, G.; Neumark, Y.; Gesser-Edelsburg, A.; Abu Ahmad, W.; Levine, H. Zika pandemic online trends, incidence and health risk communication: A time trend study. BMJ Glob. Health 2017, 2, e000296. [Google Scholar] [CrossRef] [PubMed] [PubMed Central]
- O’Reilly, K.M.; Lowe, R.; Edmunds, W.J.; Mayaud, P.; Kucharski, A.; Eggo, R.M.; Funk, S.; Bhatia, D.; Khan, K.; Kraemer, M.U.G.; et al. Projecting the end of the Zika virus epidemic in Latin America: A modelling analysis. BMC Med. 2018, 16, 180. [Google Scholar] [CrossRef] [PubMed] [PubMed Central]
- Ledermann, J.P.; Guillaumot, L.; Yug, L.; Saweyog, S.C.; Tided, M.; Machieng, P.; Pretrick, M.; Marfel, M.; Griggs, A.; Bel, M.; et al. Aedes hensilli as a potential vector of Chikungunya and Zika viruses. PLoS Negl. Trop. Dis. 2014, 8, e3188. [Google Scholar] [CrossRef] [PubMed] [PubMed Central]
- Ferreira-de-Brito, A.; Ribeiro, I.P.; Miranda, R.M.; Fernandes, R.S.; Campos, S.S.; Silva, K.A.; Castro, M.G.; Bonaldo, M.C.; Brasil, P.; Lourenço-de-Oliveira, R. First detection of natural infection of Aedes aegypti with Zika virus in Brazil and throughout South America. Mem. Inst. Oswaldo Cruz. 2016, 111, 655–658. [Google Scholar] [CrossRef] [PubMed] [PubMed Central]
- Calvez, E.; Mousson, L.; Vazeille, M.; O’Connor, O.; Cao-Lormeau, V.M.; Mathieu-Daudé, F.; Pocquet, N.; Failloux, A.B.; Dupont-Rouzeyrol, M. Zika virus outbreak in the Pacific: Vector competence of regional vectors. PLoS Negl. Trop. Dis. 2018, 12, e0006637. [Google Scholar] [CrossRef] [PubMed] [PubMed Central]
- Singh, H.; Singh, O.P.; Akhtar, N.; Sharma, G.; Sindhania, A.; Gupta, N.; Valecha, N. First report on the transmission of Zika virus by Aedes (Stegomyia) aegypti (L.) (Diptera: Culicidae) during the 2018 Zika outbreak in India. Acta Trop. 2019, 199, 105114. [Google Scholar] [CrossRef] [PubMed]
- Boccolini, D.; Toma, L.; Di Luca, M.; Severini, F.; Romi, R.; Remoli, M.E.; Sabbatucci, M.; Venturi, G.; Rezza, G.; Fortuna, C. Experimental investigation of the susceptibility of Italian Culex pipiens mosquitoes to Zika virus infection. Eurosurveillance 2016, 21, 30328. [Google Scholar] [CrossRef] [PubMed] [PubMed Central]
- Herrera, B.B.; Chang, C.A.; Hamel, D.J.; Mboup, S.; Ndiaye, D.; Imade, G.; Okpokwu, J.; Agbaji, O.; Bei, A.K.; Kanki, P.J. Continued Transmission of Zika Virus in Humans in West Africa, 1992–2016. J. Infect. Dis. 2017, 215, 1546–1550. [Google Scholar] [CrossRef] [PubMed] [PubMed Central]
- Roiz, D.; Wilson, A.L.; Scott, T.W.; Fonseca, D.M.; Jourdain, F.; Müller, P.; Velayudhan, R.; Corbel, V. Integrated Aedes management for the control of Aedes-borne diseases. PLoS Negl. Trop. Dis. 2018, 12, e0006845, Erratum in PLoS Negl. Trop. Dis. 2022, 16, e0010310. https://doi.org/10.1371/journal.pntd.0010310. [Google Scholar] [CrossRef] [PubMed] [PubMed Central]
- Yun, S.I.; Song, B.H.; Frank, J.C.; Julander, J.G.; Polejaeva, I.A.; Davies, C.J.; White, K.L.; Lee, Y.M. Complete Genome Sequences of Three Historically Important, Spatiotemporally Distinct, and Genetically Divergent Strains of Zika Virus: MR-766, P6-740, and PRVABC-59. Genome Announc. 2016, 4, e00800–e00816. [Google Scholar] [CrossRef] [PubMed] [PubMed Central]
- Fauci, A.S.; Morens, D.M. Zika Virus in the Americas—Yet Another Arbovirus Threat. N. Engl. J. Med. 2016, 374, 601–604. [Google Scholar] [CrossRef] [PubMed]
- Foy, B.D.; Kobylinski, K.C.; Chilson Foy, J.L.; Blitvich, B.J.; Travassos da Rosa, A.; Haddow, A.D.; Lanciotti, R.S.; Tesh, R.B. Probable non-vector-borne transmission of Zika virus, Colorado, USA. Emerg. Infect. Dis. 2011, 17, 880–882. [Google Scholar] [CrossRef] [PubMed] [PubMed Central]
- Musso, D.; Roche, C.; Robin, E.; Nhan, T.; Teissier, A.; Cao-Lormeau, V.M. Potential sexual transmission of Zika virus. Emerg. Infect. Dis. 2015, 21, 359–361, Erratum in Emerg. Infect. Dis. 2015, 21, 552. [Google Scholar] [CrossRef] [PubMed] [PubMed Central]
- Bujan, L.; Mansuy, J.M.; Hamdi, S.; Pasquier, C.; Joguet, G. 1 year after acute Zika virus infection in men. Lancet Infect. Dis. 2020, 20, 25–26. [Google Scholar] [CrossRef] [PubMed]
- Clancy, C.S.; Van Wettere, A.J.; Siddharthan, V.; Morrey, J.D.; Julander, J.G. Comparative Histopathologic Lesions of the Male Reproductive Tract. during Acute Infection of Zika Virus in AG129 and Ifnar−/− Mice. Am. J. Pathol. 2018, 188, 904–915. [Google Scholar] [CrossRef] [PubMed] [PubMed Central]
- Prow, N.A.; Liu, L.; Nakayama, E.; Cooper, T.H.; Yan, K.; Eldi, P.; Hazlewood, J.E.; Tang, B.; Le, T.T.; Setoh, Y.X.; et al. A vaccinia-based single vector construct multi-pathogen vaccine protects against both Zika and chikungunya viruses. Nat. Commun. 2018, 9, 1230. [Google Scholar] [CrossRef] [PubMed] [PubMed Central]
- Deckard, D.T.; Chung, W.M.; Brooks, J.T.; Smith, J.C.; Woldai, S.; Hennessey, M.; Kwit, N.; Mead, P. Male-to-Male Sexual Transmission of Zika Virus—Texas, January 2016. MMWR Morb. Mortal. Wkly Rep. 2016, 65, 372–374. [Google Scholar] [CrossRef] [PubMed]
- Teixeira, F.M.E.; Pietrobon, A.J.; Oliveira, L.M.; Oliveira, L.M.D.S.; Sato, M.N. Maternal-Fetal Interplay in Zika Virus Infection and Adverse Perinatal Outcomes. Front. Immunol. 2020, 11, 175. [Google Scholar] [CrossRef] [PubMed] [PubMed Central]
- King, N.J.C.; Teixeira, M.M.; Mahalingam, S. Zika Virus: Mechanisms of Infection During Pregnancy. Trends Microbiol. 2017, 25, 701–702. [Google Scholar] [CrossRef] [PubMed]
- Schumacher, A.; Brachwitz, N.; Sohr, S.; Engeland, K.; Langwisch, S.; Dolaptchieva, M.; Alexander, T.; Taran, A.; Malfertheiner, S.F.; Costa, S.D.; et al. Human chorionic gonadotropin attracts regulatory T cells into the fetal-maternal interface during early human pregnancy. J. Immunol. 2009, 182, 5488–5497. [Google Scholar] [CrossRef] [PubMed]
- Jurado, K.A.; Simoni, M.K.; Tang, Z.; Uraki, R.; Hwang, J.; Householder, S.; Wu, M.; Lindenbach, B.D.; Abrahams, V.M.; Guller, S.; et al. Zika virus productively infects primary human placenta-specific macrophages. JCI Insight 2016, 1, e88461. [Google Scholar] [CrossRef] [PubMed] [PubMed Central]
- Yockey, L.J.; Varela, L.; Rakib, T.; Khoury-Hanold, W.; Fink, S.L.; Stutz, B.; Szigeti-Buck, K.; Van den Pol, A.; Lindenbach, B.D.; Horvath, T.L.; et al. Vaginal Exposure to Zika Virus during Pregnancy Leads to Fetal Brain Infection. Cell 2016, 166, 1247–1256.e4. [Google Scholar] [CrossRef] [PubMed] [PubMed Central]
- Weisblum, Y.; Oiknine-Djian, E.; Vorontsov, O.M.; Haimov-Kochman, R.; Zakay-Rones, Z.; Meir, K.; Shveiky, D.; Elgavish, S.; Nevo, Y.; Roseman, M.; et al. Zika virus infects early- and midgestation human maternal decidual tissues, inducing distinct innate tissue responses in the maternal-fetal interface. J. Virol. 2017, 91, e01905–e01916. [Google Scholar] [CrossRef]
- Simoni, M.K.; Jurado, K.A.; Abrahams, V.M.; Fikrig, E.; Guller, S. Zika virus infection of Hofbauer cells. Am. J. Reprod. Immunol. 2017, 77, e12613. [Google Scholar] [CrossRef] [PubMed] [PubMed Central]
- Rabelo, K.; de Souza, L.J.; Salomão, N.G.; Machado, L.N.; Pereira, P.G.; Portari, E.A.; Basílio-de-Oliveira, R.; Dos Santos, F.B.; Neves, L.D.; Morgade, L.F.; et al. Zika Induces Human Placental Damage and Inflammation. Front. Immunol. 2020, 11, 2146. [Google Scholar] [CrossRef] [PubMed] [PubMed Central]
- Hamel, R.; Dejarnac, O.; Wichit, S.; Ekchariyawat, P.; Neyret, A.; Luplertlop, N.; Perera-Lecoin, M.; Surasombatpattana, P.; Talignani, L.; Thomas, F.; et al. Biology of Zika Virus Infection in Human Skin Cells. J. Virol. 2015, 89, 8880–8896. [Google Scholar] [CrossRef] [PubMed] [PubMed Central]
- Besnard, M.; Lastere, S.; Teissier, A.; Cao-Lormeau, V.; Musso, D. Evidence of perinatal transmission of Zika virus, French Polynesia, December 2013 and February 2014. Eurosurveillance 2014, 19, 20751. [Google Scholar] [CrossRef] [PubMed]
- Song, B.H.; Yun, S.I.; Woolley, M.; Lee, Y.M. Zika virus: History, epidemiology, transmission, and clinical presentation. J. Neuroimmunol. 2017, 308, 50–64. [Google Scholar] [CrossRef] [PubMed]
- Colt, S.; Garcia-Casal, M.N.; Peña-Rosas, J.P.; Finkelstein, J.L.; Rayco-Solon, P.; Weise Prinzo, Z.C.; Mehta, S. Transmission of Zika virus through breast milk and other breastfeeding-related bodily-fluids: A systematic review. PLoS Negl. Trop. Dis. 2017, 11, e0005528. [Google Scholar] [CrossRef] [PubMed] [PubMed Central]
- Blohm, G.M.; Lednicky, J.A.; Márquez, M.; White, S.K.; Loeb, J.C.; Pacheco, C.A.; Nolan, D.J.; Paisie, T.; Salemi, M.; Rodríguez-Morales, A.J.; et al. Evidence for Mother-to-Child Transmission of Zika Virus Through Breast Milk. Clin. Infect. Dis. 2018, 66, 1120–1121. [Google Scholar] [CrossRef] [PubMed] [PubMed Central]
- Cavalcanti, M.G.; Cabral-Castro, M.J.; Gonçalves, J.L.S.; Santana, L.S.; Pimenta, E.S.; Peralta, J.M. Zika virus shedding in human milk during lactation: An unlikely source of infection? Int. J. Infect. Dis. 2017, 57, 70–72. [Google Scholar] [CrossRef] [PubMed]
- Francese, R.; Civra, A.; Donalisio, M.; Volpi, N.; Capitani, F.; Sottemano, S.; Tonetto, P.; Coscia, A.; Maiocco, G.; Moro, G.E.; et al. Anti-Zika virus and anti-Usutu virus activity of human milk and its components. PLoS Negl. Trop. Dis. 2020, 14, e0008713. [Google Scholar] [CrossRef] [PubMed] [PubMed Central]
- Gourinat, A.C.; O’Connor, O.; Calvez, E.; Goarant, C.; Dupont-Rouzeyrol, M. Detection of Zika virus in urine. Emerg. Infect. Dis. 2015, 21, 84–86. [Google Scholar] [CrossRef] [PubMed] [PubMed Central]
- Calvet, G.A.; Kara, E.O.; Giozza, S.P.; Bôtto-Menezes, C.H.A.; Gaillard, P.; de Oliveira Franca, R.F.; de Lacerda, M.V.G.; da Costa Castilho, M.; Brasil, P.; de Sequeira, P.C.; et al. Study on the persistence of Zika virus (ZIKV) in body fluids of patients with ZIKV infection in Brazil. BMC Infect. Dis. 2018, 18, 49. [Google Scholar] [CrossRef] [PubMed] [PubMed Central]
- Malhotra, B.; Gupta, V.; Sharma, P.; Singh, R.; Sharma, H.; Vyas, M.; Mathur, R.P.; Mathur, V.K.; Meena, D.; Malhotra, H.; et al. Clinico-epidemiological and genomic profile of first Zika Virus outbreak in India at Jaipur city of Rajasthan state. J. Infect. Public Health 2020, 13, 1920–1926. [Google Scholar] [CrossRef] [PubMed]
- Bonaldo, M.C.; Ribeiro, I.P.; Lima, N.S.; Dos Santos, A.A.; Menezes, L.S.; da Cruz, S.O.; de Mello, I.S.; Furtado, N.D.; de Moura, E.E.; Damasceno, L.; et al. Isolation of Infective Zika Virus from Urine and Saliva of Patients in Brazil. PLoS Negl. Trop. Dis. 2016, 10, e0004816. [Google Scholar] [CrossRef] [PubMed] [PubMed Central]
- Du, S.; Liu, Y.; Liu, J.; Zhao, J.; Champagne, C.; Tong, L.; Zhang, R.; Zhang, F.; Qin, C.F.; Ma, P.; et al. Aedes mosquitoes acquire and transmit Zika virus by breeding in contaminated aquatic environments. Nat. Commun. 2019, 10, 1324. [Google Scholar] [CrossRef] [PubMed] [PubMed Central]
- Barjas-Castro, M.L.; Angerami, R.N.; Cunha, M.S.; Suzuki, A.; Nogueira, J.S.; Rocco, I.M.; Maeda, A.Y.; Vasami, F.G.; Katz, G.; Boin, I.F.; et al. Probable transfusion-transmitted Zika virus in Brazil. Transfusion 2016, 56, 1684–1688. [Google Scholar] [CrossRef] [PubMed]
- Magnus, M.M.; Espósito, D.L.A.; Costa, V.A.D.; Melo, P.S.; Costa-Lima, C.; Fonseca, B.A.L.D.; Addas-Carvalho, M. Risk of Zika virus transmission by blood donations in Brazil. Hematol. Transfus. Cell Ther. 2018, 40, 250–254. [Google Scholar] [CrossRef] [PubMed] [PubMed Central]
- Lustig, Y.; Mendelson, E. Detection of Zika virus RNA in whole blood of imported Zika virus disease cases up to 2 months after symptom onset, Israel, December 2015 to April 2016. Eurosurveillance 2016, 21, 30269. [Google Scholar] [CrossRef]
- Heinz, F.X.; Stiasny, K. The antigenic structure of Zika virus and its relation to other flaviviruses: Implications for infection and immunoprophylaxis. Microbiol. Mol. Biol. Rev. 2017, 81, e00055-16. [Google Scholar] [CrossRef]
- Cortese, M.; Goellner, S.; Acosta, E.G.; Neufeldt, C.J.; Oleksiuk, O.; Lampe, M.; Haselmann, U.; Funaya, C.; Schieber, N.; Ronchi, P.; et al. Ultrastructural Characterization of Zika Virus Replication Factories. Cell Rep. 2017, 18, 2113–2123. [Google Scholar] [CrossRef] [PubMed] [PubMed Central]
- Pardy, R.D.; Valbon, S.F.; Richer, M.J. Running interference: Interplay between Zika virus and the host interferon response. Cytokine 2019, 119, 7–15. [Google Scholar] [CrossRef] [PubMed]
- Schoggins, J.W. Interferon-stimulated genes: What do they all do? Annu. Rev. Virol. 2019, 6, 567–584. [Google Scholar] [CrossRef] [PubMed]
- Matsumoto, M.; Seya, T. TLR3: Interferon induction by double-stranded RNA including poly(I:C). Adv. Drug Deliv. Rev. 2008, 60, 805–812. [Google Scholar] [CrossRef]
- Webb, L.G.; Fernandez-Sema, A. RNA viruses and the cGAS-STING pathway: Reframing our understanding of innate immune sensing. Curr. Opin. Virol. 2022, 53, 101206. [Google Scholar] [CrossRef]
- Bohm, E.K.; Vangorder-Braid, J.T.; Jaeger, A.S.; Moriarty, R.V.; Baczenas, J.J.; Bennett, N.C.; O’Connor, S.L.; Fritsch, M.K.; Fuhler, N.A.; Noguchi, K.K.; et al. Zika Virus Infection of Pregnant Ifnar1−/− Mice Triggers Strain-Specific Differences in Fetal Outcomes. J. Virol. 2021, 95, e0081821. [Google Scholar] [CrossRef] [PubMed] [PubMed Central]
- Yockey, L.J.; Jurado, K.A.; Arora, N.; Millet, A.; Rakib, T.; Milano, K.M.; Hastings, A.K.; Fikrig, E.; Kong, Y.; Horvath, T.L.; et al. Type I interferons instigate fetal demise after Zika virus infection. Sci. Immunol. 2018, 3, eaao1680. [Google Scholar] [CrossRef] [PubMed] [PubMed Central]
- Han, X.; Wang, J.; Yang, Y.; Qu, S.; Wan, F.; Zhang, Z.; Wang, R.; Li, G.; Cong, H. Zika virus infection induced apoptosis by modulating the recruitment and activation of pro-apoptotic protein Bax. J. Virol. 2021, 95, e01445-20. [Google Scholar] [CrossRef] [PubMed] [PubMed Central]
- Kleber de Oliveira, W.; Cortez-Escalante, J.; De Oliveira, W.T.; do Carmo, G.M.; Henriques, C.M.; Coelho, G.E.; Araújo de França, G.V. Increase in Reported Prevalence of Microcephaly in Infants Born to Women Living in Areas with Confirmed Zika Virus Transmission During the First Trimester of Pregnancy—Brazil, 2015. MMWR Morb. Mortal. Wkly Rep. 2016, 65, 242–247. [Google Scholar] [CrossRef] [PubMed]
- Bhagat, R.; Prajapati, B.; Narwal, S.; Agnihotri, N.; Adlakha, Y.K.; Sen, J.; Mani, S.; Seth, P. Zika virus E protein alters the properties of human fetal neural stem cells by modulating microRNA circuitry. Cell Death Differ. 2018, 25, 1837–1854. [Google Scholar] [CrossRef] [PubMed] [PubMed Central]
- Garcez, P.P.; Loiola, E.C.; Madeiro da Costa, R.; Higa, L.M.; Trindade, P.; Delvecchio, R.; Nascimento, J.M.; Brindeiro, R.; Tanuri, A.; Rehen, S.K. Zika virus impairs growth in human neurospheres and brain organoids. Science 2016, 352, 816–818. [Google Scholar] [CrossRef] [PubMed]
- Tang, H.; Hammack, C.; Ogden, S.C.; Wen, Z.; Qian, X.; Li, Y.; Yao, B.; Shin, J.; Zhang, F.; Lee, E.M.; et al. Zika Virus Infects Human Cortical Neural Progenitors and Attenuates Their Growth. Cell Stem Cell 2016, 18, 587–590. [Google Scholar] [CrossRef] [PubMed] [PubMed Central]
- Xu, P.; Gao, J.; Shan, C.; Dunn, T.J.; Xie, X.; Xia, H.; Zou, J.; Thames, B.H.; Sajja, A.; Yu, Y.; et al. Inhibition of innate immune response ameliorates Zika virus-induced neurogenesis deficit in human neural stem cells. PLoS Negl. Trop. Dis. 2021, 15, e0009183. [Google Scholar] [CrossRef] [PubMed] [PubMed Central]
- Santos, G.P.G.; Gouveia, M.T.O.; Costa, R.M.P.G.; Santos, A.M.R.D.; Avelino, F.V.S.D. Effects in the development of children exposed to zika virus in the fetal period: An integrative review. Rev. Bras. Enferm. 2020, 73 (Suppl. S4), e20190883. [Google Scholar] [CrossRef] [PubMed]
- Martins, M.M.; Alves da Cunha, A.J.L.; Robaina, J.R.; Raymundo, C.E.; Barbosa, A.P.; Medronho, R.A. Fetal, neonatal, and infant outcomes associated with maternal Zika virus infection during pregnancy: A systematic review and meta-analysis. PLoS ONE 2021, 16, e0246643. [Google Scholar] [CrossRef] [PubMed] [PubMed Central]
- Lockwood, C.J.; Ros, S.T.; Nielsen-Saines, K. Zika Virus Infection: Evaluation and Management of Pregnant Patients. UpToDate. Available online: https://www.uptodate.com/contents/zika-virus-infection-evaluation-and-management-of-pregnant-patients#H3911871333 (accessed on 17 December 2024).
- Freitas, D.A.; Souza-Santos, R.; Carvalho, L.M.A.; Barros, W.B.; Neves, L.M.; Brasil, P.; Wakimoto, M.D. Congenital Zika syndrome: A systematic review. PLoS ONE 2020, 15, e0242367. [Google Scholar] [CrossRef] [PubMed] [PubMed Central]
- Marbán-Castro, E.; Vazquez Guillamet, L.J.; Pantoja, P.E.; Casellas, A.; Maxwell, L.; Mulkey, S.B.; Menéndez, C.; Bardají, A. Neurodevelopment in Normocephalic Children Exposed to Zika Virus in Utero with No Observable Defects at Birth: A Systematic Review with Meta-Analysis. Int. J. Environ. Res. Public Health 2022, 19, 7319. [Google Scholar] [CrossRef] [PubMed] [PubMed Central]
- Antoniou, E.; Andronikidi, P.E.; Eskitzis, P.; Iliadou, M.; Palaska, E.; Tzitiridou-Chatzopoulou, M.; Rigas, N.; Orovou, E. Congenital Zika Syndrome and Disabilities of Feeding and Breastfeeding in Early Childhood: A Systematic Review. Viruses 2023, 15, 601. [Google Scholar] [CrossRef] [PubMed] [PubMed Central]
- Ribeiro, B.N.d.F.; Muniz, B.C.; Gasparetto, E.L.; Ventura, N.; Marchiori, E. Congenital Zika syndrome and neuroimaging findings: What do we know so far? Radiol. Bras. 2017, 50, 314–322. [Google Scholar] [CrossRef] [PubMed] [PubMed Central]
- Sousa, S.S.S.; Cruz, A.C.R.; Oliveira, R.S.; Pinheiro, V.C.S. Clinical and epidemiological characteristics of epidemic arboviruses in Brazil: Dengue, Chikungunya and Zika. Acervo Saude 2023, 15, 1–14. Available online: https://acervomais.com.br/index.php/saude/article/view/13518/7757 (accessed on 17 December 2024).
- Duarte, G.; Miranda, A.E.; Bermúdez, X.P.D.; Saraceni, V.; Martínez-Espinosa, F.E. Brazilian Protocol for Sexually Transmitted Infections 2020: Zika virus infection. Epidemiol. Serv. Saúde 2021, 30 (Suppl. S1), e2020609. [Google Scholar] [CrossRef] [PubMed]
- Salge, A.K.M.; Castral, T.C.; Sousa, M.C.; Souza, R.R.G.; Minamisava, R.; Souza, S.M.B. Zika virus infection during pregnancy and microcephaly in newborns: An integrative literature review. Rev. Eletr. Enf. 2016, 18, e1137. [Google Scholar] [CrossRef][Green Version]
- Souza, A.S.R.; Cordeiro, M.T.; Meneses, J.d.A.; Honorato, E.; Araujo, E.; Castanha, P.M.D.S.; Caiado, B.V.R.; Faquini, S.d.L.L.; Santos, O.G.; Schettini, J.A.D.C.; et al. Clinical and laboratory diagnosis of congenital Zika virus syndrome and diaphragmatic unilateral palsy: Case report. Rev. Bras. Saude Mater. Infant. 2016, 16, 467–473. [Google Scholar] [CrossRef][Green Version]
- Schuler-Faccini, L.; Ribeiro, E.M.; Feitosa, I.M.; Horovitz, D.D.; Cavalcanti, D.P.; Pessoa, A.; Doriqui, M.J.; Neri, J.I.; Neto, J.M.; Wanderley, H.Y.; et al. Possible Association Between Zika Virus Infection and Microcephaly—Brazil, 2015. MMWR Morb. Mortal. Wkly Rep. 2016, 65, 59–62. [Google Scholar] [CrossRef] [PubMed]
- Bosaipo, D.S.; Lamy, Z.C.; Oliveira, P.S.; Gomes, C.M.R.P.; Assis, M.R.M.; Ribeiro, M.R.C.; Alves, M.T.S.S.B.E. Itinerário terapêutico de crianças com microcefalia pelo vírus Zika [Therapeutic itinerary of children with microcephaly due to the Zika virus]. Cien Saude Colet. 2021, 26, 2271–2280. [Google Scholar] [CrossRef] [PubMed]
- Azamor, T.; Cunha, D.P.; Nobre Pires, K.S.; Lira Tanabe, E.L.; Melgaço, J.G.; Vieira da Silva, A.M.; Ribeiro-Alves, M.; Calvo, T.L.; Tubarão, L.N.; da Silva, J. Decidual production of interferon lambda in response to ZIKV persistence: Clinical evidence and in vitro modelling. Heliyon 2024, 10, e30613. [Google Scholar] [CrossRef] [PubMed] [PubMed Central]
- Arora, N.; Sadovsky, Y.; Dermody, T.S.; Coyne, C.B. Microbial Vertical Transmission during Human Pregnancy. Cell Host Microbe 2017, 21, 561–567. [Google Scholar] [CrossRef] [PubMed] [PubMed Central]
- da Silva, A.F. Differential diagnosis of pathological intracranial calcifications in patients with microcephaly related to congenital Zika virus infection. Radiol. Bras. 2018, 51, 270–271. [Google Scholar] [CrossRef] [PubMed] [PubMed Central]
- Codaccioni, C.; Picone, O.; Lambert, V.; Maurice, P.; Pomar, L.; Winer, N.; Guibaud, L.; Lavergne, R.A.; Saliou, A.H.; Quinio, D.; et al. Ultrasound features of fetal toxoplasmosis: A contemporary multicenter survey in 88 fetuses. Prenat. Diagn. 2020, 40, 1741–1752. [Google Scholar] [CrossRef] [PubMed]
- Pontes, K.F.M.; Nardozza, L.M.M.; Peixoto, A.B.; Werner, H.; Tonni, G.; Granese, R.; Araujo Júnior, E. Cytomegalovirus and Pregnancy: A Narrative Review. J. Clin. Med. 2024, 13, 640. [Google Scholar] [CrossRef] [PubMed] [PubMed Central]
- Araujo Júnior, E.; Carvalho, F.H.; Tonni, G.; Werner, H. Prenatal imaging findings in fetal Zika virus infection. Curr. Opin. Obstet. Gynecol. 2017, 29, 95–105. [Google Scholar] [CrossRef] [PubMed]
- Blackmon, K.; Evans, R.; Fernandes, M.; Landon, B.; Noel, T.; Macpherson, C.; Cudjoe, N.; Burgen, K.S.; Punch, B.; Krystosik, A.; et al. Neurodevelopment in normocephalic children with and without prenatal Zika virus exposure. Arch. Dis. Child. 2022, 107, 244–250. [Google Scholar] [CrossRef] [PubMed] [PubMed Central]
- Souza, A.S.R.; Souza, A.I.; Faquin, S.L.L.; Santos Neto, O.G.; Honorato, E.; Matos, A.G.L.; Holanda, S.C.; Figueiroa, J.N.; Schettini, J. Altered intrauterine ultrasound, fetal head circumference growth and neonatal outcomes among suspected cases of congenital Zika syndrome in Brazil. Rev. Bras. Saúde Mater. Infant. 2016, 16 (Suppl. S1), S7–S15. [Google Scholar] [CrossRef][Green Version]
- Paquet, C.; Yudin, M.H.; Society of Obstetricians and Gynaecologists of Canada. Toxoplasmosis in pregnancy: Prevention, screening, and treatment. J. Obstet. Gynaecol. Can. 2013, 35, 78–81. [Google Scholar] [CrossRef] [PubMed]
- Al Beloushi, M.; Kalache, K.; Ahmed, B.; Konje, J.C. Ultrasound diagnosis of infections in pregnancy. Eur. J. Obstet. Gynecol. Reprod. Biol. 2021, 262, 188–197. [Google Scholar] [CrossRef] [PubMed]
- Marrs, C.; Olson, G.; Saade, G.; Hankins, G.; Wen, T.; Patel, J.; Weaver, S. Zika Virus and Pregnancy: A Review of the Literature and Clinical Considerations. Am. J. Perinatol. 2016, 33, 625–639. [Google Scholar] [CrossRef] [PubMed] [PubMed Central]
- Marques, F.J.P.; Tran, L.; Kousa, Y.A.; Leyser, M. Long-term developmental outcomes of children with congenital Zika syndrome. Pediatr. Res. 2024; online ahead of print. [Google Scholar] [CrossRef] [PubMed]
- Grant, R.; Flechelles, O.; Elenga, N.; Tressières, B.; Gaete, S.; Hebert, J.C.; Schaub, B.; Djossou, F.; Mallard, A.; Delver, L.; et al. Consequences of In Utero Zika Virus Exposure and Adverse Pregnancy and Early Childhood Outcomes: A Prospective Cohort Study. Viruses 2022, 14, 2755. [Google Scholar] [CrossRef] [PubMed] [PubMed Central]
- Peixoto, L.F.A.A.; Abtibol-Bernardino, M.R.; Guerra, C.V.C.; de Oliveira, G.A.; Chaves, B.C.S.; de Souza Rodrigues, C.; de Andrade, A.B.C.A.; de Fátima Redivo, E.; Fernandes, S.S.A.; Otani, R.H.; et al. Growth Velocity and Nutritional Status in Children Exposed to Zika Virus during Pregnancy from Amazonas Cohort, Brazil. Viruses 2023, 15, 662. [Google Scholar] [CrossRef] [PubMed] [PubMed Central]
- Marques, F.J.P.; Amarante, C.; Elias, M.A.C.; Klein, R.; Nascimento, O.J.M.; Leyser, M. Neurodevelopmental outcomes in a cohort of children with congenital Zika syndrome at 12 and 24 months of age. Child. Care Health Dev. 2023, 49, 304–310. [Google Scholar] [CrossRef] [PubMed]
- Barbosa, I.C.Q.; de Paula Gomes, L.; de Almeida Feitosa, I.N.; Botelho, L.F.B.; Barbosa, B.R.C.; Barbosa, A.; Araújo, A.T.V.; Melo, M.D.T.; Melo, A.S.O.; Salemi, V.M.C. Morphological and functional cardiac alterations in children with congenital Zika syndrome and severe neurological deficits. PLoS Negl. Trop. Dis. 2023, 17, e0011762. [Google Scholar] [CrossRef] [PubMed] [PubMed Central]
- Antoniou, E.; Orovou, E.; Sarella, A.; Iliadou, M.; Rigas, N.; Palaska, E.; Iatrakis, G.; Dagla, M. Zika Virus and the Risk of Developing Microcephaly in Infants: A Systematic Review. Int. J. Environ. Res. Public Health 2020, 17, 3806. [Google Scholar] [CrossRef] [PubMed] [PubMed Central]





| Findings | Computed Tomography | Magnetic Resonance Imaging |
|---|---|---|
| Microcephaly | Reduced skull diameter and brain volume | Reduced skull diameter and brain volume |
| Cerebellar hypoplasia | It can be observed | It can be observed |
| Cortical abnormalities | Can identify volumetric reduction in the brain parenchyma | Best examination to identify cortical abnormalities, usually diffuse and predominantly in the frontal lobes |
| Prominence of the occipital bone | Detected | Detected |
| Intracranial calcifications | Sensitive to calcifications, especially in the subcortical junction, basal ganglia, thalamus, and brainstem | Detects calcifications but with less sensitivity compared to computed tomography |
| Ventriculomegaly and colpocephaly | Frequent | Can be identified |
| Enlargement of the extra-axial cerebrospinal fluid space | Possible to identify | Best test to identify enlargement, due to impaired reabsorption of cerebrospinal fluid caused by decreased brain volume |
| Changes to the skullcap | Everted sutures and prominent occipital bones | More detailed for changes such as the “collapsed” appearance of the skull |
| Zika Virus | Rubella | Cytomegalovirus | Toxoplasmosis | |
|---|---|---|---|---|
| Gestational age period with higher risk of congenital infection | First trimester (between 7 and 13 weeks) [2] | First trimester (mainly in the 10th week) [2] | Mainly in the first trimester, but the risk remains in the second and third trimester [2] | Third quarter (especially in the last month of pregnancy) [132] |
| Adverse perinatal outcomes | Microcephaly and eye changes [3] | Sensorineural hearing loss, cataracts, cardiac anomalies, and neurological alterations such as microcephaly [2] | Sensorineural hearing loss, chorioretinitis, microcephaly, cerebral palsy, and intellectual disability [2] | Intracranial calcifications (50–80%), hydrocephalus, and chorioretinitis [132] |
| Brain calcifications | Predominantly in the subcortical region [131] | Periventricular and basal ganglia [131] | Periventricular [131] | - |
| Other ultrasound findings | Cerebral: ventriculomegaly, microcephaly; [133] Abdomen: no changes; Placenta: no changes; AFI: polyhydramnios; Limbs: arthrogryposis; Heart: no changes; FGR: yes [134] | Cerebral: meningocele, encephalocele, encephalitis, microcephaly; Abdomen: hepatosplenomegaly, intestinal hyperechogenicity; Heart: patent ductus arteriosus, pulmonary artery stenosis; Facial: micrognathia; Bone: bone radiolucency; FGR: yes [135] | Cerebral: ventriculomegaly, microcephaly; Abdomen: ascites, hepatic calcifications, hyperechogenic intestine, hepatosplenomegaly; Heart: pericardial effusion; Placenta: small or placentomegaly/placentitis; FGR: yes [136] | Cerebral: ventriculomegaly; Abdomen: hepatomegaly and hepatic calcifications; Placenta: thickened with normal echogenicity; Heart: pericardial effusion; FGR: yes [137] |
| Postnatal Findings | Signs/Symptoms |
|---|---|
| Central nervous system | Seizures Restless movements Hypertonia or hypotonia Irritability Hyperreflexia |
| Vision | Anterior and posterior segment alteration Microcornea Microphthalmia Circumscribed chorioretinal atrophy Retinal dysplasia Abnormalities in extrinsic motility Focal pigment spots Glaucoma Hypoplasia and excavation of the optic nerve Nystagmus |
| Hearing | Sensorineural hearing loss |
| Motricity | Arthrogryposis clubfoot Gross (cerebral palsy) and fine motor deficits |
| Oropharynx | Difficulty sucking Insufficiency of the orofacial muscles Dysphagia Reflux |
| Sleep–wake cycle | Poor sleep quality Night wakings |
| Cardiac | Septal defects (atrial and ventricular) Persistent cardiomyopathy Hyperechogenicity of the aortic and mitral valve |
| Pulmonary | Hydrothorax Diaphragmatic paralysis |
| Urinary tract | Reduced bladder capacity Bladder overactivity Increased bladder pressure in the filling phase Increased residual volume Recurrent urinary tract infections |
Disclaimer/Publisher’s Note: The statements, opinions and data contained in all publications are solely those of the individual author(s) and contributor(s) and not of MDPI and/or the editor(s). MDPI and/or the editor(s) disclaim responsibility for any injury to people or property resulting from any ideas, methods, instructions or products referred to in the content. |
© 2025 by the authors. Licensee MDPI, Basel, Switzerland. This article is an open access article distributed under the terms and conditions of the Creative Commons Attribution (CC BY) license (https://creativecommons.org/licenses/by/4.0/).
Share and Cite
dos Santos, A.L.S.; Rosolen, B.B.; Ferreira, F.C.; Chiancone, I.S.; Pereira, S.S.; Pontes, K.F.M.; Traina, E.; Werner, H.; Granese, R.; Araujo Júnior, E. Intrauterine Zika Virus Infection: An Overview of the Current Findings. J. Pers. Med. 2025, 15, 98. https://doi.org/10.3390/jpm15030098
dos Santos ALS, Rosolen BB, Ferreira FC, Chiancone IS, Pereira SS, Pontes KFM, Traina E, Werner H, Granese R, Araujo Júnior E. Intrauterine Zika Virus Infection: An Overview of the Current Findings. Journal of Personalized Medicine. 2025; 15(3):98. https://doi.org/10.3390/jpm15030098
Chicago/Turabian Styledos Santos, Ana Luiza Soares, Beatriz Bussi Rosolen, Fernanda Curvelo Ferreira, Isabella Samões Chiancone, Stefany Silva Pereira, Karina Felippe Monezi Pontes, Evelyn Traina, Heron Werner, Roberta Granese, and Edward Araujo Júnior. 2025. "Intrauterine Zika Virus Infection: An Overview of the Current Findings" Journal of Personalized Medicine 15, no. 3: 98. https://doi.org/10.3390/jpm15030098
APA Styledos Santos, A. L. S., Rosolen, B. B., Ferreira, F. C., Chiancone, I. S., Pereira, S. S., Pontes, K. F. M., Traina, E., Werner, H., Granese, R., & Araujo Júnior, E. (2025). Intrauterine Zika Virus Infection: An Overview of the Current Findings. Journal of Personalized Medicine, 15(3), 98. https://doi.org/10.3390/jpm15030098

