In Situ Fixation and Intertrochanteric Osteotomy for Severe Slipped Capital Femoral Epiphysis Following Femoral Neck Fracture: A Case Report with Application of Virtual Surgical Planning and 3D-Printed Patient-Specific Instruments
Abstract
1. Introduction
2. Case Presentation
2.1. Virtual Surgical Planning and Design of 3D-Printed Cutting Guide
2.2. Surgical Procedure
2.3. Postoperative Protocol
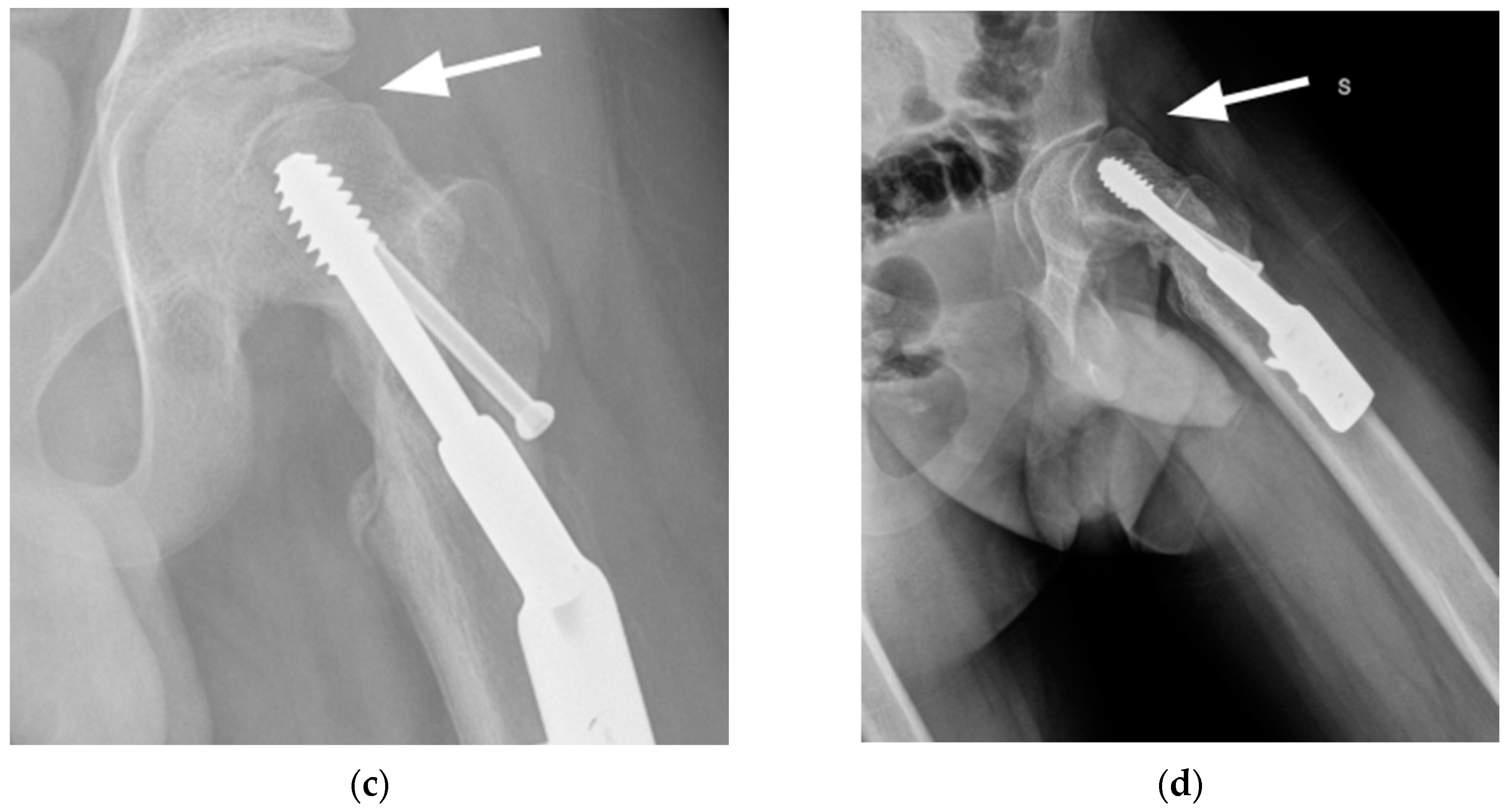
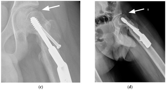
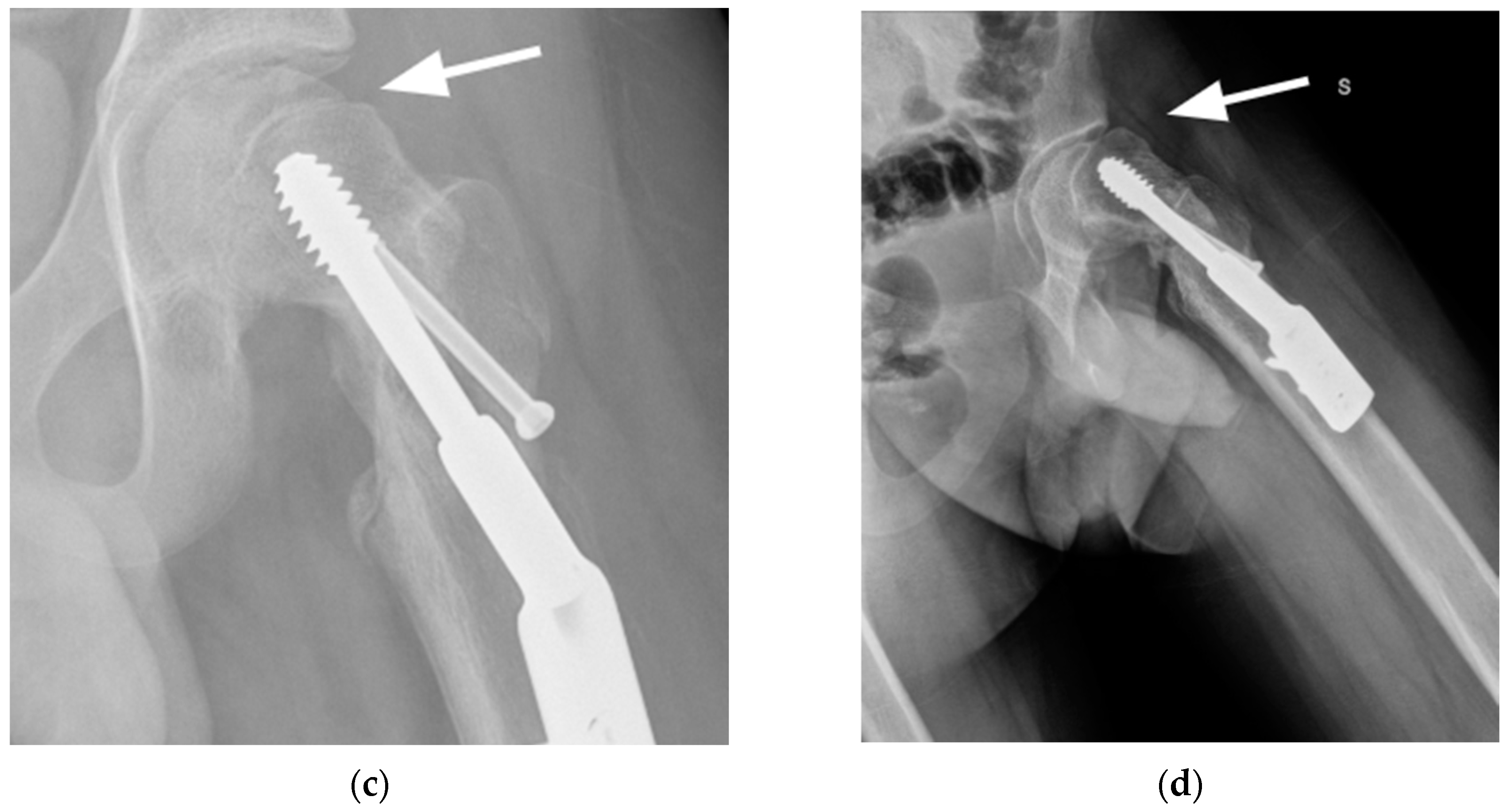
2.4. Results
3. Discussion
4. Conclusions
Author Contributions
Funding
Institutional Review Board Statement
Informed Consent Statement
Data Availability Statement
Conflicts of Interest
References
- Barreto Rocha, D.F.; Horwitz, D.S.; Sintenie, J.B. Femoral Neck Fractures in Children: Issues, Challenges, and Solutions. J. Orthop. Trauma 2019, 33 (Suppl. S8), S27–S32. [Google Scholar] [CrossRef] [PubMed]
- Dial, B.L.; Lark, R.K. Pediatric Proximal Femur Fractures. J. Orthop. 2018, 15, 529. [Google Scholar] [CrossRef] [PubMed]
- Spence, D.; Di Mauro, J.P.; Miller, P.E.; Glotzbecker, M.P.; Hedequist, D.J.; Shore, B.J. Osteonecrosis After Femoral Neck Fractures in Children and Adolescents: Analysis of Risk Factors. J. Pediatr. Orthop. 2016, 36, 111–116. [Google Scholar] [CrossRef] [PubMed]
- Loder, R.T.; Richards, B.S.; Shapiro, P.S.; Reznick, L.R.; Aronson, D.D. Acute Slipped Capital Femoral Epiphysis: The Importance of Physeal Stability. J. Bone Jt. Surg. Am. 1993, 75, 1134–1140. [Google Scholar] [CrossRef]
- Karagüven, D.; Demir, P.; Yüksel, S.; Ömeroğlu, H. A Delphi Consensus Study on the Treatment of Slipped Capital Femoral Epiphysis: Considerable Consensus in Mild and Moderate Slips and Limited Consensus in Severe Slips. J. Child. Orthop. 2023, 17, 299. [Google Scholar] [CrossRef] [PubMed]
- Haider, S.; Podeszwa, D.A.; Morris, W.Z. The Etiology and Management of Slipped Capital Femoral Epiphysis. J. Pediatr. Orthop. Soc. N. Am. 2022, 4, 589. [Google Scholar] [CrossRef]
- Sikora-Klak, J.; Bomar, J.D.; Paik, C.N.; Wenger, D.R.; Upasani, V. Comparison of Surgical Outcomes Between a Triplane Proximal Femoral Osteotomy and the Modified Dunn Procedure for Stable, Moderate to Severe Slipped Capital Femoral Epiphysis. J. Pediatr. Orthop. 2019, 39, 339–346. [Google Scholar] [CrossRef]
- Monazzam, S.; Krishnamoorthy, V.; Bittersohl, B.; Bomar, J.D.; Hosalkar, H.S. Is the Acetabulum Retroverted in Slipped Capital Femoral Epiphysis? Clin. Orthop. Relat. Res. 2013, 471, 2145–2150. [Google Scholar] [CrossRef]
- Li, H.; Zhao, L.; Huang, L.; Kuo, K.N. Delayed Slipped Capital Femoral Epiphysis After Treatment of Femoral Neck Fracture in Children. Clin. Orthop. Relat. Res. 2014, 473, 2712. [Google Scholar] [CrossRef] [PubMed][Green Version]
- Chinoy, M.A.; Pal, S.; Khan, M.A. Slipped Capital Femoral Epiphysis after Treatment of Femoral Neck Fracture. Pak. J. Med. Sci. 2020, 36, S94–S97. [Google Scholar] [CrossRef] [PubMed]
- Calderone, D.; Cesarelli, G.; Ricciardi, C.; Amato, F.; Clemente, F. 3D Printing Application for Orthopedic Pediatric Surgery—A Systematic Review. Rapid Prototyp. J. 2024, 30, 275–287. [Google Scholar] [CrossRef]
- Aman, Z.S.; DePhillipo, N.N.; Peebles, L.A.; Familiari, F.; LaPrade, R.F.; Dekker, T.J. Improved Accuracy of Coronal Alignment Can Be Attained Using 3D-Printed Patient-Specific Instrumentation for Knee Osteotomies: A Systematic Review of Level III and IV Studies. Arthrosc.-J. Arthrosc. Relat. Surg. 2022, 38, 2741–2758. [Google Scholar] [CrossRef] [PubMed]
- He, Y.; Zhou, P.; He, C. Clinical Efficacy and Safety of Surgery Combined with 3D Printing for Tibial Plateau Fractures: Systematic Review and Meta-Analysis. Ann. Transl. Med. 2022, 10, 403. [Google Scholar] [CrossRef]
- Ballard, D.H.; Mills, P.; Duszak, R.; Weisman, J.A.; Rybicki, F.J.; Woodard, P.K. Medical 3D Printing Cost-Savings in Orthopedic and Maxillofacial Surgery: Cost Analysis of Operating Room Time Saved with 3D Printed Anatomic Models and Surgical Guides. Acad. Radiol. 2020, 27, 1103–1113. [Google Scholar] [CrossRef]
- Frizziero, L.; Santi, G.M.; Liverani, A.; Napolitano, F.; Papaleo, P.; Maredi, E.; Di Gennaro, G.L.; Zarantonello, P.; Stallone, S.; Stilli, S.; et al. Computer-Aided Surgical Simulation for Correcting Complex Limb Deformities in Children. Appl. Sci. 2020, 10, 5181. [Google Scholar] [CrossRef]
- Ogden, J.A.; Gossling, H.R.; Southwick, W.O. Slipped Capital Femoral Epiphysis Following Ipsilateral Femoral Fracture. Clin. Orthop. Relat. Res. 1975, 110, 167–170. [Google Scholar] [CrossRef]
- Manukaran, M.N.; Abdul Hamid, A.K. Slipped Capital Femoral Epiphysis Caused by an Implant—A Case Report. Singap. Med. J. 1989, 30, 406–407. [Google Scholar]
- Joseph, B.; Mulpuri, K. Delayed Separation of the Capital Femoral Epiphysis after an Ipsilateral Transcervical Fracture of the Femoral Neck. J. Orthop. Trauma 2000, 14, 446–448. [Google Scholar] [CrossRef] [PubMed]
- Gopinathan, N.R.; Chouhan, D.; Akkina, N.; Behera, P. Case Report: Bilateral Femoral Neck Fractures in a Child and a Rare Complication of Slipped Capital Epiphysis after Internal Fixation. Clin. Orthop. Relat. Res. 2012, 470, 2941–2945. [Google Scholar] [CrossRef]
- Jung, S.T.; Park, G.H. Slipped Capital Femoral Epiphysis Following Fracture of the Femoral Neck: A Case Report. J. Pediatr. Orthop. B 2012, 21, 579–582. [Google Scholar] [CrossRef] [PubMed]
- Elbaseet, H.M.; Abdelzaher, M.A. Management of Slipped Capital Femoral Epiphysis (SCFE) on Top of Fixed Fracture Neck of Femur (Case Report). Arch. Bone Jt. Surg. 2023, 11, 473–475. [Google Scholar] [CrossRef] [PubMed]
- Finnegan, M.A. CORR Insights®: Delayed Slipped Capital Femoral Epiphysis After Treatment of Femoral Neck Fracture in Children. Clin. Orthop. Relat. Res. 2015, 473, 2718–2720. [Google Scholar] [CrossRef] [PubMed][Green Version]
- Loder, R.T.; Skopelja, E.N.; Lee, C.-H.; Mathoulin, C.; Song, K.S.; Yuan, H. The Epidemiology and Demographics of Slipped Capital Femoral Epiphysis. ISRN Orthop. 2011, 2011, 486512. [Google Scholar] [CrossRef] [PubMed]
- Obana, K.K.; Siddiqui, A.A.; Broom, A.M.; Barrett, K.; Andras, L.M.; Millis, M.B.; Goldstein, R.Y. Slipped Capital Femoral Epiphysis in Children without Obesity. J. Pediatr. 2020, 218, 192–197.e1. [Google Scholar] [CrossRef]
- Waters, P.M. Rockwood and Wilkins’ Fractures in Children, 9th ed.; Lippincott Williams & Wilkins: Philadelphia, PA, USA, 2019. [Google Scholar]
- Ebert, N.; Rupprecht, M.; Stuecker, R.; Breyer, S.; Stiel, N.; Priemel, M.H.; Spiro, A.S. Outcome of the Modified Dunn Procedure in Severe Chronic or Acute on Chronic Slipped Capital Femoral Epiphysis. J. Orthop. Surg. Res. 2019, 14, 349. [Google Scholar] [CrossRef]
- Chau, M.M.; Osborne, L.; Mayfield, L.M.; Jo, C.H.; Morris, W.Z.; Podeszwa, D.A.; Sucato, D.J. Outcomes of the Modified Dunn Procedure Versus Delayed Imhauser Osteotomy for Moderate to Severe Stable Slipped Capital Femoral Epiphysis. J. Pediatr. Orthop. 2024, 44, 530–538. [Google Scholar] [CrossRef] [PubMed]
- Trisolino, G.; Stilli, S.; Gallone, G.; Santos Leite, P.; Pignatti, G. Comparison between Modified Dunn Procedure and in Situ Fixation for Severe Stable Slipped Capital Femoral Epiphysis: A Retrospective Study of 29 Hips Followed for 2–7 Years. Acta Orthop. 2018, 89, 211–216. [Google Scholar] [CrossRef]
- Trisolino, G.; Pagliazzi, G.; Di Gennaro, G.L.; Stilli, S. Long-Term Results of Combined Epiphysiodesis and Imhauser Intertrochanteric Osteotomy in SCFE: A Retrospective Study on 53 Hips. J. Pediatr. Orthop. 2017, 37, 409–415. [Google Scholar] [CrossRef]
- Maussen, J.P.; Rozing, P.M.; Obermann, W.R. Intertrochanteric Corrective Osteotomy in Slipped Capital Femoral Epiphysis. A Long-Term Follow-up Study of 26 Patients. Clin. Orthop. Relat. Res. 1990, 259, 100–110. [Google Scholar] [CrossRef]
- Schai, P.A.; Exner, G.U.; Hansen, O. Prevention of Secondary Coxarthrosis in Slipped Capital Femoral Epiphysis: A Long-Term Follow-Up Study After Corrective Intertrochanteric Osteotomy. J. Pediatr. Orthop. B 1996, 5, 135–143. [Google Scholar] [CrossRef] [PubMed]
- Parsch, K.; Zehender, H.; Bühl, T.; Weller, S. Intertrochanteric Corrective Osteotomy for Moderate and Severe Chronic Slipped Capital Femoral Epiphysis. J. Pediatr. Orthop. Part B 1999, 8, 223–230. [Google Scholar] [CrossRef] [PubMed]
- Kartenbender, K.; Cordier, W.; Katthagen, B.D. Long-Term Follow-up Study after Corrective Imhäuser Osteotomy for Severe Slipped Capital Femoral Epiphysis. J. Pediatr. Orthop. 2000, 20, 749–756. [Google Scholar] [CrossRef] [PubMed]
- Witbreuk, M.M.E.H.; Bolkenbaas, M.; Mullender, M.G.; Sierevelt, I.N.; Besselaar, P.P. The Results of Downgrading Moderate and Severe Slipped Capital Femoral Epiphysis by an Early Imhauser Femur Osteotomy. J. Child. Orthop. 2009, 3, 405–410. [Google Scholar] [CrossRef] [PubMed]
- Saisu, T.; Kamegaya, M.; Segawa, Y.; Kakizaki, J.; Takahashi, K. Postoperative Improvement of Femoroacetabular Impingement after Intertrochanteric Flexion Osteotomy for SCFE. Clin. Orthop. Relat. Res. 2013, 471, 2183–2191. [Google Scholar] [CrossRef] [PubMed]
- Bali, N.S.; Harrison, J.O.; Bache, C.E. A Modified Imhäuser Osteotomy: An Assessment of the Addition of an Open Femoral Neck Osteoplasty. Bone Jt. J. 2014, 96, 1119–1123. [Google Scholar] [CrossRef] [PubMed]
- Erickson, J.B.; Samora, W.P.; Klingele, K.E. Treatment of Chronic, Stable Slipped Capital Femoral Epiphysis via Surgical Hip Dislocation with Combined Osteochondroplasty and Imhauser Osteotomy. J. Child. Orthop. 2017, 11, 284–288. [Google Scholar] [CrossRef]
- Baraka, M.M.; Hefny, H.M.; Thakeb, M.F.; Fayyad, T.A.; Abdelazim, H.; Hefny, M.H.; Mahran, M.A. Combined Imhauser Osteotomy and Osteochondroplasty in Slipped Capital Femoral Epiphysis through Surgical Hip Dislocation Approach. J. Child. Orthop. 2020, 14, 190–200. [Google Scholar] [CrossRef]
- Raza, M.; Murphy, D.; Gelfer, Y. The Effect of Three-Dimensional (3D) Printing on Quantitative and Qualitative Outcomes in Paediatric Orthopaedic Osteotomies: A Systematic Review. EFORT Open Rev. 2021, 6, 130–138. [Google Scholar] [CrossRef]
- Zheng, P.; Yao, Q.; Xu, P.; Wang, L. Application of Computer-Aided Design and 3D-Printed Navigation Template in Locking Compression Pediatric Hip PlateΤΜ Placement for Pediatric Hip Disease. Int. J. Comput. Assist. Radiol. Surg. 2017, 12, 865–871. [Google Scholar] [CrossRef]
- Shi, Q.; Sun, D. Efficacy and Safety of a Novel Personalized Navigation Template in Proximal Femoral Corrective Osteotomy for the Treatment of DDH. J. Orthop. Surg. Res. 2020, 15, 317. [Google Scholar] [CrossRef] [PubMed]
- Trisolino, G.; Depaoli, A.; Menozzi, G.C.; Lerma, L.; Di Gennaro, M.; Quinto, C.; Vivarelli, L.; Dallari, D.; Rocca, G. Virtual Surgical Planning and Patient-Specific Instruments for Correcting Lower Limb Deformities in Pediatric Patients: Preliminary Results from the In-Office 3D Printing Point of Care. J. Pers. Med. 2023, 13, 1664. [Google Scholar] [CrossRef] [PubMed]
- Cherkasskiy, L.; Caffrey, J.P.; Szewczyk, A.F.; Cory, E.; Bomar, J.D.; Farnsworth, C.L.; Jeffords, M.; Wenger, D.R.; Sah, R.L.; Upasani, V. V Patient-Specific 3D Models Aid Planning for Triplane Proximal Femoral Osteotomy in Slipped Capital Femoral Epiphysis. J. Child. Orthop. 2017, 11, 147–153. [Google Scholar] [CrossRef] [PubMed]
- Lagerburg, V.; van den Boorn, M.; Vorrink, S.; Amajjar, I.; Witbreuk, M.M.E.H. The Clinical Value of Preoperative 3D Planning and 3D Surgical Guides for Imhäuser Osteotomy in Slipped Capital Femoral Epipysis: A Retrospective Study. 3D Print. Med. 2024, 10, 8. [Google Scholar] [CrossRef] [PubMed]
- Frizziero, L.; Santi, G.M.; Leon-Cardenas, C.; Donnici, G.; Liverani, A.; Papaleo, P.; Napolitano, F.; Pagliari, C.; Di Gennaro, G.L.; Stallone, S.; et al. In-House, Fast FDM Prototyping of a Custom Cutting Guide for a Lower-Risk Pediatric Femoral Osteotomy. Bioengineering 2021, 8, 71. [Google Scholar] [CrossRef]
- Ostaș, D.; Almășan, O.; Ileșan, R.R.; Andrei, V.; Thieringer, F.M.; Hedeșiu, M.; Rotar, H. Point-of-Care Virtual Surgical Planning and 3D Printing in Oral and Cranio-Maxillofacial Surgery: A Narrative Review. J. Clin. Med. 2022, 11, 6625. [Google Scholar] [CrossRef]
- Sears, V.A.; Morris, J.M. Establishing a Point-of-Care Virtual Planning and 3D Printing Program. Semin. Plast. Surg. 2022, 36, 133–148. [Google Scholar] [CrossRef]
- Frizziero, L.; Santi, G.M.; Liverani, A.; Giuseppetti, V.; Trisolino, G.; Maredi, E.; Stilli, S. Paediatric Orthopaedic Surgery with 3D Printing: Improvements and Cost Reduction. Symmetry 2019, 11, 1317. [Google Scholar] [CrossRef]
- Ziebarth, K.; Leunig, M.; Slongo, T.; Kim, Y.-J.; Ganz, R.; Ziebarth, K.; Slongo, T.; Ganz, R.; Leunig, M.; Kim, Y.-J. Slipped Capital Femoral Epiphysis: Relevant Pathophysiological Findings with Open Surgery. Clin. Orthop. Relat. Res. 2013, 471, 2156. [Google Scholar] [CrossRef]
- Rebello, G.; Spencer, S.; Millis, M.B.; Kim, Y.J. Surgical Dislocation in the Management of Pediatric and Adolescent Hip Deformity. Clin. Orthop. Relat. Res. 2009, 467, 724–731. [Google Scholar] [CrossRef] [PubMed]
- Abdelaziz, T.H.; Elbeshry, S.S.; Goda, A.H.; Fayyad, T.A.; Aly, A.S.; Mahmoud, S.A. Intertrochanteric Imhäuser Osteotomy Combined with Osteochondroplasty in Treatment of Moderate-Severe Stable Slipped Capital Femoral Epiphysis: A Case Series Study. J. Pediatr. Orthop. B 2020, 29, 283–291. [Google Scholar] [CrossRef]













| Author and Year | Age (Years) | Sex | Delbet Type | Treatment for Fracture | Fracture to SCFE (Months) | SCFE Severity | Treatment for SCFE |
|---|---|---|---|---|---|---|---|
| Ogden et al., 1975 [16] | 11 | M | II | CR + cast | 15 | Mild | None |
| Manukaran et al., 1989 [17] | 9 | M | III | CR + screws | 14 | Mild | ISF |
| Joseph and Mulpuri, 2000 [18] | 3.8 | M | II | CR + screws | 1 | Moderate | CR + pins + VO |
| Gopinathan et al., 2012 [19] | 10 | M | II | CR + screws + cast | 4 | Mild | CR + screw + cast |
| Jung and Park, 2012 [20] | 11 | M | III | OR + screws + splint | 15 | Mild | ISF + VFO + cast |
| Li et al., 2013 [9] | 12 | F | III | CR + screws + cast | 5 | Moderate | CR + pins |
| Li et al., 2013 [9] | 6 | F | II | CR + plate | 9 | Mild | ISF + VO |
| Chinoy et al., 2020 [10] | 5 | F | III | CR + cast | 7 | Moderate | ISF |
| Elbaseet et al., 2023 [21] | 9 | F | III | OR + screws | 3 | Moderate | ISF + VO |
| Current study, 2024 | 15 | M | III | CR + plate | 1 | Severe | ISF + VFO + OChP |
Disclaimer/Publisher’s Note: The statements, opinions and data contained in all publications are solely those of the individual author(s) and contributor(s) and not of MDPI and/or the editor(s). MDPI and/or the editor(s) disclaim responsibility for any injury to people or property resulting from any ideas, methods, instructions or products referred to in the content. |
© 2025 by the authors. Licensee MDPI, Basel, Switzerland. This article is an open access article distributed under the terms and conditions of the Creative Commons Attribution (CC BY) license (https://creativecommons.org/licenses/by/4.0/).
Share and Cite
Trisolino, G.; Menozzi, G.C.; Depaoli, A.; Schmidt, O.S.; Ramella, M.; Viotto, M.; Todisco, M.; Mosca, M.; Rocca, G. In Situ Fixation and Intertrochanteric Osteotomy for Severe Slipped Capital Femoral Epiphysis Following Femoral Neck Fracture: A Case Report with Application of Virtual Surgical Planning and 3D-Printed Patient-Specific Instruments. J. Pers. Med. 2025, 15, 13. https://doi.org/10.3390/jpm15010013
Trisolino G, Menozzi GC, Depaoli A, Schmidt OS, Ramella M, Viotto M, Todisco M, Mosca M, Rocca G. In Situ Fixation and Intertrochanteric Osteotomy for Severe Slipped Capital Femoral Epiphysis Following Femoral Neck Fracture: A Case Report with Application of Virtual Surgical Planning and 3D-Printed Patient-Specific Instruments. Journal of Personalized Medicine. 2025; 15(1):13. https://doi.org/10.3390/jpm15010013
Chicago/Turabian StyleTrisolino, Giovanni, Grazia Chiara Menozzi, Alessandro Depaoli, Olaf Stefan Schmidt, Marco Ramella, Marianna Viotto, Marco Todisco, Massimiliano Mosca, and Gino Rocca. 2025. "In Situ Fixation and Intertrochanteric Osteotomy for Severe Slipped Capital Femoral Epiphysis Following Femoral Neck Fracture: A Case Report with Application of Virtual Surgical Planning and 3D-Printed Patient-Specific Instruments" Journal of Personalized Medicine 15, no. 1: 13. https://doi.org/10.3390/jpm15010013
APA StyleTrisolino, G., Menozzi, G. C., Depaoli, A., Schmidt, O. S., Ramella, M., Viotto, M., Todisco, M., Mosca, M., & Rocca, G. (2025). In Situ Fixation and Intertrochanteric Osteotomy for Severe Slipped Capital Femoral Epiphysis Following Femoral Neck Fracture: A Case Report with Application of Virtual Surgical Planning and 3D-Printed Patient-Specific Instruments. Journal of Personalized Medicine, 15(1), 13. https://doi.org/10.3390/jpm15010013

