Preoperative Chest Computed Tomography Screening Reduces the Perioperative Stroke Rate in Patients at Risk of Aortic Calcification
Abstract
1. Introduction
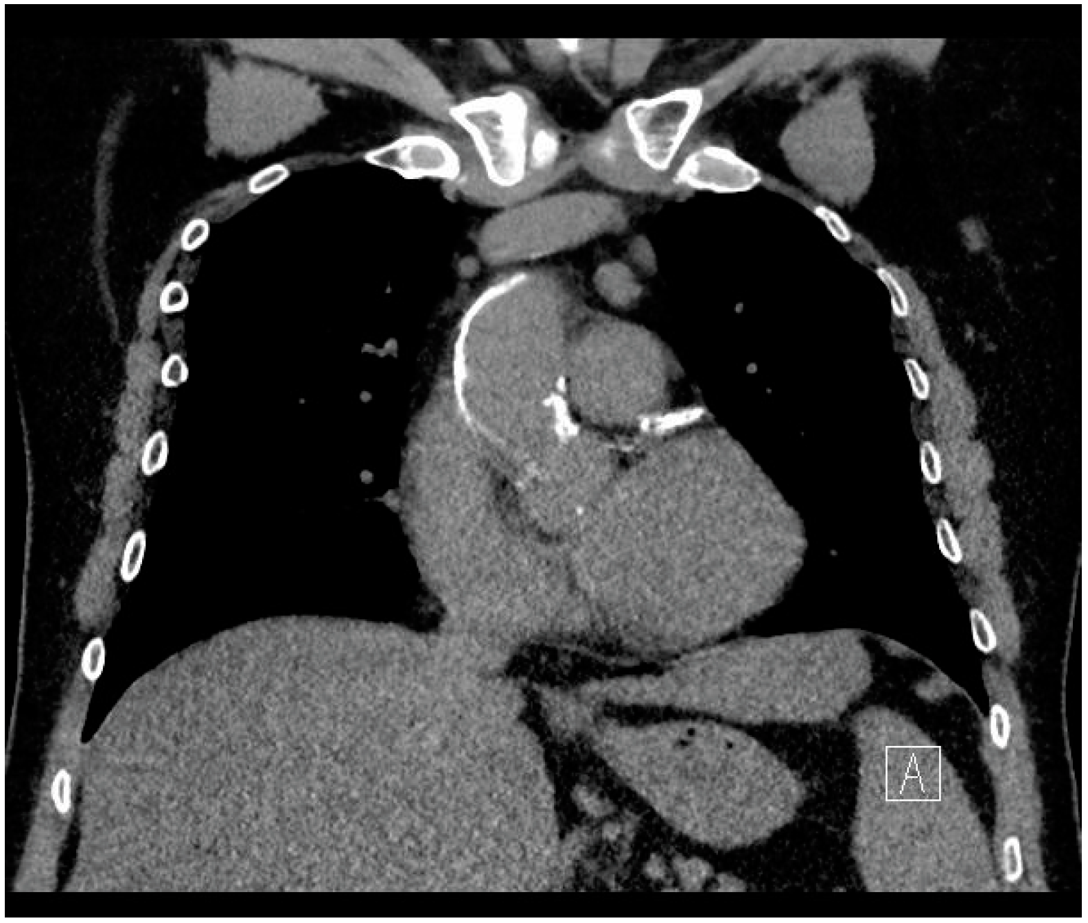
2. Materials and Methods
- -
- Age over 18 years
- -
- Undergoing open heart surgery with aortic cross-clamping
- -
- Having at least one of the following criteria
- ○
- Age over 75 years
- ○
- Peripheral vascular disease
- ○
- Carotid artery stenosis > 50%
- ○
- Aortic calcification on chest radiography (X-ray)
- ○
- Chronic dialysis
- -
- Undergoing preoperative non-contract CT imaging of the chest.
Statistical Analysis
3. Results
3.1. Patient Cohorts and Preoperative Data
3.2. Intraoperative Data
3.3. Postoperative Data
3.3.1. Study Endpoints
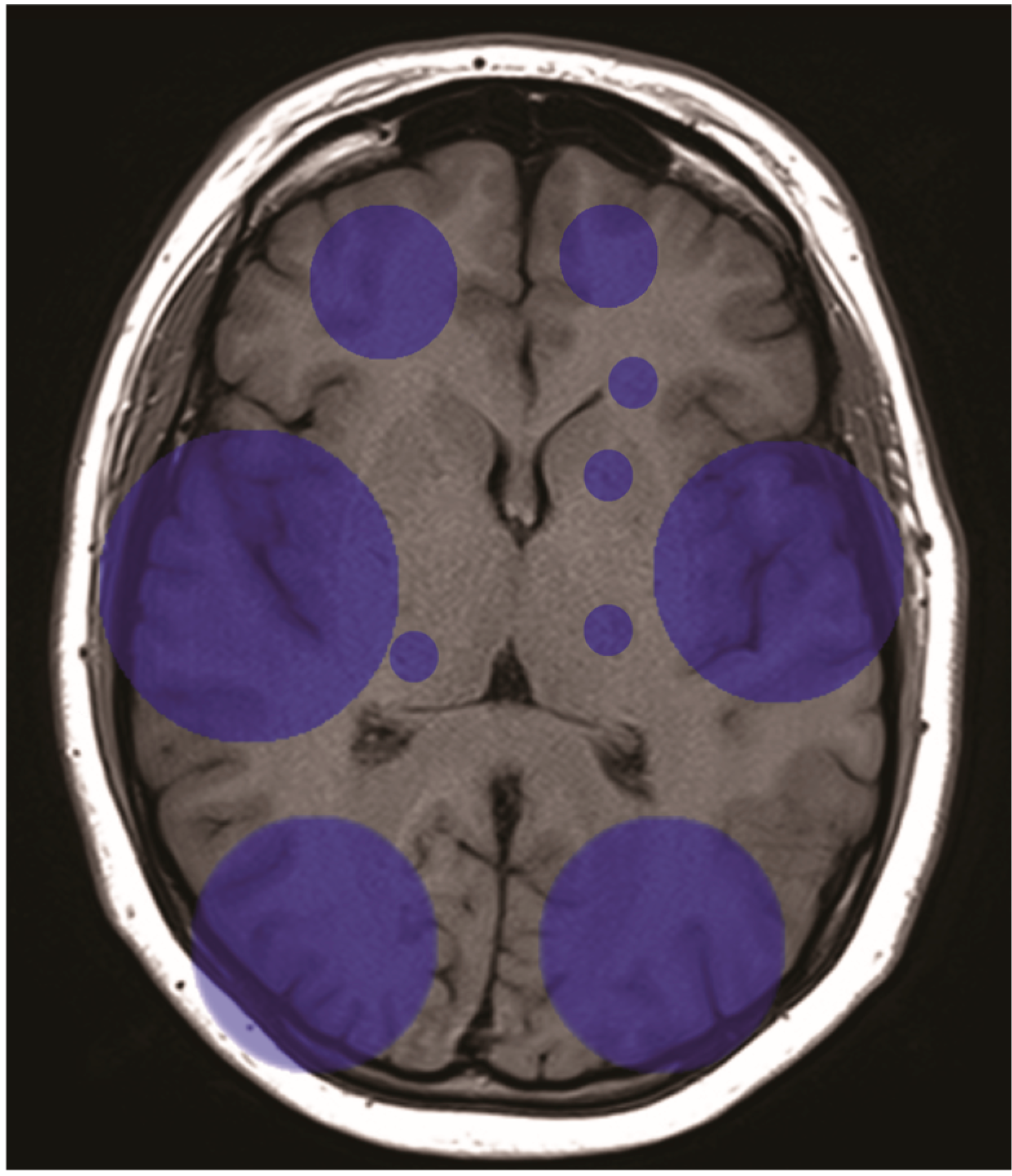
3.3.2. Postoperative Stroke Data Analysis
3.3.3. Univariate Analysis of Risk Factors Affecting Postoperative Stroke
3.3.4. Multivariate Analysis of Risk Factors Affecting Postoperative Stroke
4. Discussion
5. Conclusions
Author Contributions
Funding
Institutional Review Board Statement
Informed Consent Statement
Data Availability Statement
Conflicts of Interest
References
- Bucerius, J.; Gummert, J.F.; Borger, M.A.; Walther, T.; Doll, N.; Onnasch, J.F.; Metz, S.; Falk, V.; Mohr, F.W. Stroke after Cardiac Surgery: A Risk Factor Analysis of 16,184 Consecutive Adult Patients. Ann. Thorac. Surg. 2003, 75, 472–478. [Google Scholar] [CrossRef]
- Messé, S.R.; Acker, M.A.; Kasner, S.E.; Fanning, M.; Giovannetti, T.; Ratcliffe, S.J.; Bilello, M.; Szeto, W.Y.; Bavaria, J.E.; Hargrove, W.C.; et al. Stroke after Aortic Valve Surgery: Results from a Prospective Cohort. Circulation 2014, 129, 2253–2261. [Google Scholar] [CrossRef]
- Gegeneva, T.; Vollema, E.M.; Abou, R.; Goedemans, L.; van Rosendael, A.; van der Kley, F.; de Weger, A.; Ajmone Marsan, N.; Bax, J.J.; Delgado, V. Prognostic Value of Thoracic Aorta Calcification Burden in Patients Treated With TAVR. JACC Cardiovasc. Imaging 2019, 12, 216–217. [Google Scholar] [CrossRef]
- Moss, E.; Puskas, J.D.; Thourani, V.H.; Kilgo, P.; Chen, E.P.; Leshnower, B.G.; Lattouf, O.M.; Guyton, R.A.; Glas, K.E.; Halkos, M.E. Avoiding Aortic Clamping during Coronary Artery Bypass Grafting Reduces Postoperative Stroke. J. Thorac. Cardiovasc. Surg. 2015, 149, 175–180. [Google Scholar] [CrossRef]
- Pawliszak, W.; Kowalewski, M.; Raffa, G.M.; Malvindi, P.G.; Kowalkowska, M.E.; Szwed, K.A.; Borkowska, A.; Kowalewski, J.; Anisimowicz, L. Cerebrovascular Events after No-Touch off-Pump Coronary Artery Bypass Grafting, Conventional Side-Clamp off-Pump Coronary Artery Bypass, and Proximal Anastomotic Devices: A Meta-Analysis. J. Am. Heart Assoc. 2016, 5, e002802. [Google Scholar] [CrossRef]
- Lev-Ran, O.; Braunstein, R.; Sharony, R.; Kramer, A.; Paz, Y.; Mohr, R.; Uretzky, G. No-Touch Aorta off-Pump Coronary Surgery: The Effect on Stroke. J. Thorac. Cardiovasc. Surg. 2005, 129, 307–313. [Google Scholar] [CrossRef]
- van der Linden, J.; Hadjinikolaou, L.; Bergman, P.; Lindblom, D. Postoperative Stroke in Cardiac Surgery Is Related to the Location and Extent of Atherosclerotic Disease in the Ascending Aorta. J. Am. Coll. Cardiol. 2001, 38, 131–135. [Google Scholar] [CrossRef]
- Lee, Y.L.; Lee, J.D.; Weng, H.H.; Wang, A.N.; Tsai, Y.H. Association of Aortic Arch Calcification with Acute Ischemic Stroke Subtypes and Endovascular Thrombectomy Outcomes. J. Vasc. Interv. Radiol. 2023, 34, 865–870. [Google Scholar] [CrossRef]
- Qureshi, A.I.; Rahman, H.A.; Adil, M.M.; Hassan, A.E.; Miley, J.T. Aortic Arch Calcification, Procedural Times, and Outcomes of Endovascular Treatment in Patients with Acute Ischemic Stroke. J. Vasc. Interv. Neurol. 2014, 7, 1–6. [Google Scholar]
- Cai, X.; Geng, Y.; Zhang, S. The Relationship Between Aortic Arch Calcification and Recurrent Stroke in Patients with Embolic Stroke of Undetermined Source—A Case-Control Study. Front. Neurol. 2022, 13, 863450. [Google Scholar] [CrossRef] [PubMed]
- Iancu, A.; Tudor, R.; Chita, D.S.; Juratu, C.; Tudor, A.; Buleu, F.; Popa, D.; Brad, S. Personalized Medicine Mechanical Thrombectomy via Transbrachial Approach in the Emergency Management of Acute Ischemic Stroke Patients with Aortic Pathologies: Our Experience and Literature Review. J. Pers. Med 2024, 14, 216. [Google Scholar] [CrossRef] [PubMed]
- Lee, R.; Matsutani, N.; Polimenakos, A.C.; Levers, L.C.; Lee, M.; Johnson, R.G. Preoperative Noncontrast Chest Computed Tomography Identifies Potential Aortic Emboli. Ann. Thorac. Surg. 2007, 84, 38–42. [Google Scholar] [CrossRef] [PubMed]
- Mack, M.J.; Leon, M.B.; Thourani, V.H.; Makkar, R.; Kodali, S.K.; Russo, M.; Kapadia, S.R.; Malaisrie, S.C.; Cohen, D.J.; Pibarot, P.; et al. Transcatheter Aortic-Valve Replacement with a Balloon-Expandable Valve in Low-Risk Patients. N. Engl. J. Med. 2019, 380, 1695–1705. [Google Scholar] [CrossRef] [PubMed]
- Leon, M.B.; Smith, C.R.; Mack, M.; Miller, D.C.; Moses, J.W.; Svensson, L.G.; Tuzcu, E.M.; Webb, J.G.; Fontana, G.P.; Makkar, R.R.; et al. Transcatheter Aortic-Valve Implantation for Aortic Stenosis in Patients Who Cannot Undergo Surgery. N. Engl. J. Med. 2010, 363, 1597–1607. [Google Scholar] [CrossRef]
- Serruys, P.W.; Morice, M.-C.; Kappetein, A.P.; Colombo, A.; Holmes, D.R.; Mack, M.J.; Ståhle, E.; Feldman, T.E.; van den Brand, M.; Bass, E.J.; et al. Percutaneous Coronary Intervention versus Coronary-Artery Bypass Grafting for Severe Coronary Artery Disease. N. Engl. J. Med. 2009, 360, 961–972. [Google Scholar] [CrossRef]
- Head, S.J.; Milojevic, M.; Taggart, D.P.; Puskas, J.D. Current Practice of State-of-the-Art Surgical Coronary Revascularization. Circulation 2017, 136, 1331–1345. [Google Scholar] [CrossRef]
- Taggart, D.P.; Thuijs, D.J.F.M.; di Giammarco, G.; Puskas, J.D.; Wendt, D.; Trachiotis, G.D.; Kieser, T.M.; Kappetein, A.P.; Head, S.J. Intraoperative Transit-Time Flow Measurement and High-Frequency Ultrasound Assessment in Coronary Artery Bypass Grafting. J. Thorac. Cardiovasc. Surg. 2020, 159, 1283–1292. [Google Scholar] [CrossRef] [PubMed]
- Neumann, F.J.; Sousa-Uva, M.; Ahlsson, A.; Alfonso, F.; Banning, A.P.; Benedetto, U.; Byrne, R.A.; Collet, J.P.; Falk, V.; Head, S.J.; et al. 2018 ESC/EACTS Guidelines on Myocardial Revascularization. Eur. Heart J. 2019, 40, 87–165. [Google Scholar] [CrossRef]
- Erbel, R.; Aboyans, V.; Boileau, C.; Bossone, E.; di Bartolomeo, R.; Eggebrecht, H.; Evangelista, A.; Falk, V.; Frank, H.; Gaemperli, O.; et al. 2014 ESC Guidelines on the Diagnosis and Treatment of Aortic Diseases. Eur. Heart J. 2014, 35, 2873–2926. [Google Scholar] [CrossRef]
- Günalp, M.; Gülünay, B.; Polat, O.; Demirkan, A.; Gürler, S.; Akkaş, M.; Aksu, N.M. Ionising Radiation Awareness among Resident Doctors, Interns, and Radiographers in a University Hospital Emergency Department. Radiol. Medica 2014, 119, 440–447. [Google Scholar] [CrossRef]
- Rosati, F.; Baudo, M.; D’Ancona, G.; Tomasi, C.; Zanin, F.; Cuko, B.; Di Bacco, L.; Borghesi, A.; Zoppetti, M.; Muneretto, C.; et al. Every Cloud Has a Silver Lining: COVID-19 Chest-CT Screening Prevents Unnecessary Cardiac Surgery. J. Cardiovasc. Surg. 2022, 63, 606–613. [Google Scholar] [CrossRef]
- Davenport, M.S.; Perazella, M.A.; Yee, J.; Dillman, J.R.; Fine, D.; McDonald, R.J.; Rodby, R.A.; Wang, C.L.; Weinreb, J.C. Use of Intravenous Iodinated Contrast Media in Patients with Kidney Disease: Consensus Statements from the American College of Radiology and the National Kidney Foundation. Radiology 2020, 294, 660–668. [Google Scholar] [CrossRef]
- Iribarren, C.; Sidney, S.; Sternfeld, B.; Browner, W.S. Calcification of the Aortic Arch: Risk Factors and Association with Coronary Heart Disease, Stroke, and Peripheral Vascular Disease. J. Am. Med. Assoc. 2000, 283, 2810–2815. [Google Scholar] [CrossRef] [PubMed]
- Youssef, G.; Guo, M.; Mcclelland, R.L.; Shavelle, D.M.; Nasir, K.; Rivera, J.; Carr, J.J.; Wong, N.D.; Budoff, M.J. Risk Factors for the Development and Progression of Thoracic Aorta Calcification: The Multi-Ethnic Study of Atherosclerosis. Acad. Radiol. 2015, 22, 1536–1545. [Google Scholar] [CrossRef]
- Demer, L.L.; Tintut, Y. Vascular Calcification: Pathobiology of a Multifaceted Disease. Circulation 2008, 117, 2938–2948. [Google Scholar] [CrossRef] [PubMed]
- Lee, S.J.; Lee, I.K.; Jeon, J.H. Vascular Calcification—New Insights into Its Mechanism. Int. J. Mol. Sci. 2020, 21, 2685. [Google Scholar] [CrossRef] [PubMed]
- McNeely, C.; Markwell, S.; Vassileva, C. Trends in Patient Characteristics and Outcomes of Coronary Artery Bypass Grafting in the 2000 to 2012 Medicare Population. Ann. Thorac. Surg. 2016, 102, 132–138. [Google Scholar] [CrossRef]
- Raffa, G.M.; Agnello, F.; Occhipinti, G.; Miraglia, R.; Lo Re, V.; Marrone, G.; Tuzzolino, F.; Arcadipane, A.; Pilato, M.; Luca, A. Neurological Complications after Cardiac Surgery: A Retrospective Case-Control Study of Risk Factors and Outcome. J. Cardiothorac. Surg. 2019, 14, 23. [Google Scholar] [CrossRef]
- Anyanwu, A.C.; Filsoufi, F.; Salzberg, S.P.; Bronster, D.J.; Adams, D.H. Epidemiology of Stroke after Cardiac Surgery in the Current Era. J. Thorac. Cardiovasc. Surg. 2007, 134, 1121. [Google Scholar] [CrossRef]


| CT Group n = 129 | Control Group n = 261 | p-Value | |
|---|---|---|---|
| Age | 75.2 ± 6.8 | 76.6 ± 7.0 | 0.061 |
| Diabetes | 29.5% | 39.8% | 0.057 |
| Arterial hypertension | 84.5% | 90.1% | 0.093 |
| Pulmonary hypertension | 14.7% | 15.7% | 0.882 |
| NYHA III & IV | 79.1% | 71.6% | 0.174 |
| Redo procedure | 7.0% | 8.8% | 0.695 |
| Recent infarction | 3.1% | 0.4% | 0.043 |
| Cardiogenic shock | 0.8% | 0.0% | 0.383 |
| Recent resuscitation | 0.8% | 0.0% | 0.282 |
| Atrial fibrillation | 20.2% | 16.7% | 0.729 |
| LVEF | 55.1 ± 11.1 | 51.9 ± 14.4 | 0.023 |
| Coronary artery disease | 82.2% | 85.7% | 0.374 |
| Peripheral vascular disease | 22.5% | 19.2% | 0.451 |
| Carotid stenosis | 18.6% | 28.0% | 0.047 |
| Aortic aneurysm | 4.7% | 6.5% | 0.648 |
| Creatinine level | 1.10 ± 0.40 | 1.18 ± 0.50 | 0.083 |
| Chronic dialysis | 1.6% | 0.8% | 0.362 |
| COPD, % | 16.3 | 14.2 | 0.822 |
| History of CVI, % | 14.0 | 17.9 | 0.616 |
| Variable | Group 1 | Group 2 | p-Value |
|---|---|---|---|
| Urgent surgery | 37.8% | 44.8% | 0.277 |
| Operative time (min) | 268 ± 84 | 248 ± 95 | 0.046 |
| CPB time | 121 ± 67 | 107 ± 58 | 0.032 |
| Aortic cross-clamp time | 80 ± 49 | 75 ± 39 | 0.244 |
| Circulatory arrest time | 31 ± 21 | 37 ± 25 | 0.744 |
| Median Sternotomy | 82.2% | 87.1% | 0.305 |
| Partial upper mini-sternotomy | 3.9% | 2.3% | 0.305 |
| Anterolateral thoracotomy | 10.1% | 6.8% | 0.305 |
| Other (e.g., inferior mini-sternotomy) | 3.8% | 3.8% | 0.305 |
| Mitral valve surgery | 22.5% | 17.8% | 0.392 |
| Aortic valve surgery | 26.4% | 24.5% | 0.710 |
| Tricuspid valve surgery | 9.3% | 6.6 | 0.413 |
| Aortic surgery | 6.2% | 5.0% | 0.639 |
| Coronary surgery | 72.9% | 76.7% | 0.452 |
| Minimally invasive surgery | 16.3% | 10.1% | 0.098 |
| Closure of left atrial appendage | 10.1% | 10.4% | 1.000 |
| Carotid endarterectomy | 1.6% | 6.2% | 0.042 |
| Atrial ablation | 9.3% | 8.9% | 1.000 |
| Other procedures | 7.8% | 4.7% | 0.247 |
| Combined procedures | 36.4% | 34.1% | 0.653 |
| Outcome | Group 1 | Group 2 | p-Value |
|---|---|---|---|
| Postoperative stroke | 3.1% | 8.4% | 0.047 |
| Postoperative delirium | 24.0% | 20.2% | 0.651 |
| Reintubation | 0.8% | 2.3% | 0.296 |
| Hospital stay (days) | 15 ± 14 | 15 ± 18 | 0.440 |
| Low cardiac output | 0.8% | 0.0% | 0.329 |
| Rethoracotomy | 7.0% | 8.7% | 0.548 |
| Pacemaker implantation | 3.9% | 2.3% | 0.369 |
| Renal replacement therapy | 5.4% | 5.7% | 0.197 |
| 30-day mortality | 4.7% | 4.9% | 0.899 |
| Variable | Significance |
|---|---|
| CT screening | 0.035 |
| Age | 0.028 |
| Aortic valve surgery | 0.017 |
| Aortic surgery | 0.009 |
| Rethoracotomy | 0.013 |
| Regression Coefficient | Standard Error | Wald | df | Sig. | Exp | |
|---|---|---|---|---|---|---|
| Age | 0.087 | 0.042 | 4.289 | 1 | 0.038 | 1.091 |
| Male sex | −0.409 | 0.508 | 0.650 | 1 | 0.420 | 0.664 |
| BMI | −0.040 | 0.055 | 0.518 | 1 | 0.472 | 0.961 |
| CT screening | 1.408 | 0.657 | 4.591 | 1 | 0.032 | 4.089 |
| Aortic valve surgery | 0.964 | 0.471 | 4.184 | 1 | 0.041 | 2.621 |
| Aortic surgery | 2.987 | 0.822 | 13.188 | 1 | <0.001 | 19.817 |
| Coronary surgery | 0.895 | 0.604 | 2.192 | 1 | 0.139 | 2.447 |
| Rethoracotomy | −1.257 | 0.581 | 4.686 | 1 | 0.030 | 0.284 |
| Aortic aneurysm | 2.090 | 1.289 | 2.629 | 1 | 0.105 | 8.082 |
| Constant | −11.488 | 4.120 | 7.773 | 1 | 0.005 | 0.000 |
Disclaimer/Publisher’s Note: The statements, opinions and data contained in all publications are solely those of the individual author(s) and contributor(s) and not of MDPI and/or the editor(s). MDPI and/or the editor(s) disclaim responsibility for any injury to people or property resulting from any ideas, methods, instructions or products referred to in the content. |
© 2024 by the authors. Licensee MDPI, Basel, Switzerland. This article is an open access article distributed under the terms and conditions of the Creative Commons Attribution (CC BY) license (https://creativecommons.org/licenses/by/4.0/).
Share and Cite
Ghazy, T.; Vondran, M.; Irqsusi, M.; Moscoso-Ludueña, M.; Lackner, H.K.; Mahlmann, A.; Rastan, A.J. Preoperative Chest Computed Tomography Screening Reduces the Perioperative Stroke Rate in Patients at Risk of Aortic Calcification. J. Pers. Med. 2024, 14, 1005. https://doi.org/10.3390/jpm14091005
Ghazy T, Vondran M, Irqsusi M, Moscoso-Ludueña M, Lackner HK, Mahlmann A, Rastan AJ. Preoperative Chest Computed Tomography Screening Reduces the Perioperative Stroke Rate in Patients at Risk of Aortic Calcification. Journal of Personalized Medicine. 2024; 14(9):1005. https://doi.org/10.3390/jpm14091005
Chicago/Turabian StyleGhazy, Tamer, Maximillian Vondran, Marc Irqsusi, Martin Moscoso-Ludueña, Helmut Karl Lackner, Adrian Mahlmann, and Ardawan J. Rastan. 2024. "Preoperative Chest Computed Tomography Screening Reduces the Perioperative Stroke Rate in Patients at Risk of Aortic Calcification" Journal of Personalized Medicine 14, no. 9: 1005. https://doi.org/10.3390/jpm14091005
APA StyleGhazy, T., Vondran, M., Irqsusi, M., Moscoso-Ludueña, M., Lackner, H. K., Mahlmann, A., & Rastan, A. J. (2024). Preoperative Chest Computed Tomography Screening Reduces the Perioperative Stroke Rate in Patients at Risk of Aortic Calcification. Journal of Personalized Medicine, 14(9), 1005. https://doi.org/10.3390/jpm14091005

