Unveiling the Hidden Links: Anatomical and Radiological Insights into Primary Hip Osteoarthritis
Abstract
1. Introduction
2. Materials and Methods
2.1. Study Design and Participants
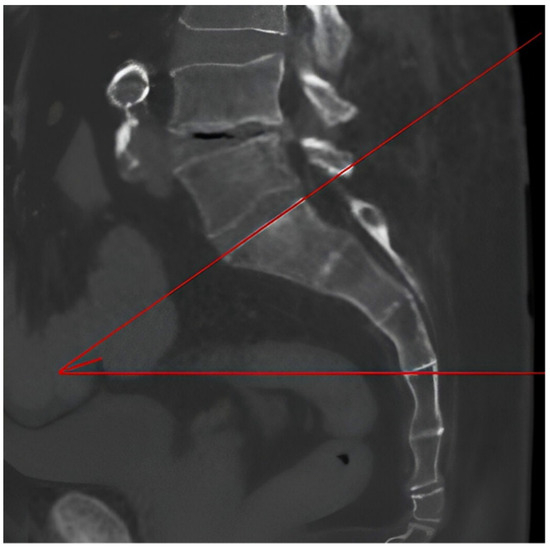
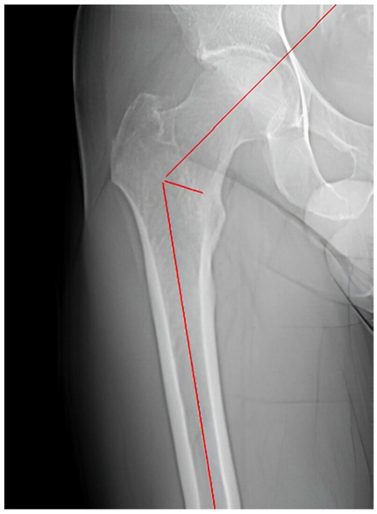
2.2. Measurements
2.3. Statistical Analysis
3. Results
3.1. Differences in Femoral Parameters between Group A (Hip OA) and Group B (Absence of Hip OA)
3.2. Differences in Acetabular Parameters between Group A and Group B
3.3. Differences in Spino-Pelvic Parameters between Group A and Group B
4. Discussion
5. Conclusions
Author Contributions
Funding
Institutional Review Board Statement
Informed Consent Statement
Data Availability Statement
Conflicts of Interest
References
- Long, H.; Liu, Q.; Yin, H.; Wang, K.; Diao, N.; Zhang, Y.; Lin, J.; Guo, A. Prevalence Trends of Site-Specific Osteoarthritis From 1990 to 2019: Findings from the Global Burden of Disease Study 2019. Arthritis Rheumatol. 2022, 74, 1172–1183. [Google Scholar] [CrossRef] [PubMed]
- Eitner, A.; Sparing, S.; Kohler, F.C.; Müller, S.; Hofmann, G.O.; Kamradt, T.; Schaible, H.-G.; Aurich, M. Osteoarthritis-Induced Metabolic Alterations of Human Hip Chondrocytes. Biomedicines 2022, 10, 1349. [Google Scholar] [CrossRef] [PubMed]
- Holik, H.; Krečak, I.; Lucijanić, M.; Samardžić, I.; Pilipac, D.; Ljubičić, I.V.; Coha, B.; Pipić, A.K.; Miškić, B.; Zupančić-Šalek, S. Hip and Knee Osteoarthritis in Patients with Chronic Myeloproliferative Neoplasms: A Cross-Sectional Study. Life 2023, 13, 1388. [Google Scholar] [CrossRef] [PubMed]
- Radu, A.-F.; Bungau, S.G.; Tit, D.M.; Behl, T.; Uivaraseanu, B.; Marcu, M.F. Highlighting the Benefits of Rehabilitation Treatments in Hip Osteoarthritis. Medicina 2022, 58, 494. [Google Scholar] [CrossRef] [PubMed]
- Wainwright, T.W.; Burgess, L.C.; Immins, T.; Middleton, R.G. Self-Management of Hip Osteoarthritis Five Years After a Cycling and Education Treatment Pathway. Healthcare 2020, 8, 37. [Google Scholar] [CrossRef]
- Chen, A.; Gupte, C.; Akhtar, K.; Smith, P.; Cobb, J. The Global Economic Cost of Osteoarthritis: How the UK Compares. Arthritis 2012, 2012, 698709. [Google Scholar] [CrossRef]
- Furelos, L.A.M.; Carrasco, A.D.C.; Lamas, S.C.; Sierra, F.B.S.; Caeiro-Rey, J.R. Rapidly Progressive Osteoarthritis of the Hip: A Prospective Study. J. Clin. Med. 2024, 13, 2467. [Google Scholar] [CrossRef]
- Lespasio, M.J.; Sultan, A.A.; Piuzzi, N.S.; Khlopas, A.; Husni, M.E.; Muschler, G.F.; Mont, M.A. Hip Osteoarthritis: A Primer. Perm. J. 2018, 22, 17–084. [Google Scholar] [CrossRef] [PubMed] [PubMed Central]
- Zeng, W.N.; Wang, F.Y.; Chen, C.; Zhang, Y.; Gong, X.Y.; Zhou, K.; Chen, Z.; Wang, D.; Zhou, Z.K.; Yang, L. Inves-tigation of Association between Hip Morphology and Prevalence of Osteoarthritis. Sci. Rep. 2016, 6, 23477. [Google Scholar] [CrossRef]
- Farinelli, L.; Aquili, A.; Mattioli-Belmonte, M.; Manzotti, S.; D’angelo, F.; Ciccullo, C.; Gigante, A. Synovial mast cells from knee and hip osteoarthritis: Histological study and clinical correlations. J. Exp. Orthop. 2022, 9, 13. [Google Scholar] [CrossRef] [PubMed] [PubMed Central]
- Berni, M.; Marchiori, G.; Baleani, M.; Giavaresi, G.; Lopomo, N.F. Biomechanics of the Human Osteochondral Unit: A Systematic Review. Materials 2024, 17, 1698. [Google Scholar] [CrossRef] [PubMed]
- Al Khatib, F.; Gouissem, A.; Mbarki, R.; Adouni, M. Biomechanical Characteristics of the Knee Joint during Gait in Obese versus Normal Subjects. Int. J. Environ. Res. Public Health 2022, 19, 989. [Google Scholar] [CrossRef] [PubMed]
- Turmezei, T.D.; Treece, G.M.; Gee, A.H.; Fotiadou, A.F.; Poole, K.E.S. Quantitative 3D analysis of bone in hip osteoarthritis using clinical computed tomography. Eur. Radiol. 2015, 26, 2047–2054. [Google Scholar] [CrossRef] [PubMed]
- Alagha, M.A.; Logishetty, K.; O’hanlon, C.; Liddle, A.D.; Cobb, J. Three-Dimensional Preoperative Planning Software for Hip Resurfacing Arthroplasty. Bioengineering 2023, 10, 939. [Google Scholar] [CrossRef]
- Bandinelli, F.; Fedi, R.; Generini, S.; Porta, F.; Candelieri, A.; Mannoni, A.; Innocenti, M.; Cerinic, M.M. Longitudinal ultrasound and clinical follow-up of Baker’s cysts injection with steroids in knee osteoarthritis. Clin. Rheumatol. 2011, 31, 727–731. [Google Scholar] [CrossRef]
- Lewińska, A.; Palczewski, P.; Piłat, K.; Cieszanowski, A.; Rongies, W. The Use of Scoring Hip Osteoarthritis with MRI as an Assessment Tool for Physiotherapeutic Treatment in Patients with Osteoarthritis of the Hip. J. Clin. Med. 2021, 11, 17. [Google Scholar] [CrossRef]
- Parker, E.A.; Meyer, A.M.; Nasir, M.; Willey, M.C.; Brown, T.S.; Westermann, R.W. Abnormal Femoral Anteversion Is Associated with the Development of Hip Osteoarthritis: A Systematic Review and Meta-Analysis. Arthrosc. Sports Med. Rehabil. 2021, 3, e2047–e2058. [Google Scholar] [CrossRef] [PubMed]
- Rezaei, A.; Michael, S.; Eldib, A.; Puri, L. Relative Acetabular Retroversion and Its Association with Earlier-Onset Symptomatic Osteoarthritis of the Hip. Arthroplast. Today 2024, 26, 101322. [Google Scholar] [CrossRef]
- Westermann, R.W.; Lynch, T.S.; Jones, M.H.; Spindler, K.P.; Messner, W.; Strnad, G.; Rosneck, J. Predictors of Hip Pain and Function in Femoroacetabular Impingement: A Prospective Cohort Analysis. Orthop. J. Sports Med. 2017, 5, 2325967117726521. [Google Scholar] [CrossRef] [PubMed] [PubMed Central]
- Bargar, W.L.; Jamali, A.A.; Nejad, A.H. Femoral Anteversion in THA and its Lack of Correlation with Native Acetabular Anteversion. Clin. Orthop. Relat. Res. 2010, 468, 527–532. [Google Scholar] [CrossRef] [PubMed] [PubMed Central][Green Version]
- Contreras, C.; Amenábar, T.; Torres, J.; Jorge, D.; Rojas, N.; Pastrián, L.; Silva, F.; Seguel, D. Correlation between femoral version and severity of hip dysplasia in patients with advanced osteoarthritis prior to total hip arthroplasty. Rev. Esp. Cir. Ortop. Traumatol. 2022, 66, 121–127. [Google Scholar] [CrossRef] [PubMed]
- Sugano, N.; Noble, P.C.; Kamaric, E.; Salama, J.K.; Ochi, T.; Tullos, H.S. The morphology of the femur in developmental dysplasia of the hip. J. Bone Jt. Surg. 1998, 80, 711–719. [Google Scholar] [CrossRef]
- Cuschieri, S. The STROBE guidelines. Saudi J. Anaesth. 2019, 13, S31–S34. [Google Scholar] [CrossRef] [PubMed]
- Terjesen, T.; Benum, P.; Anda, S.; Svenningsen, S. Increased Femoral Anteversion and Osteoarthritis of the Hip Joint. Acta Orthop. 1982, 53, 571–575. [Google Scholar] [CrossRef] [PubMed]
- Alexander, N.; Brunner, R.; Cip, J.; Viehweger, E.; De Pieri, E. Increased Femoral Anteversion Does Not Lead to Increased Joint Forces During Gait in a Cohort of Adolescent Patients. Front. Bioeng. Biotechnol. 2022, 10, 914990. [Google Scholar] [CrossRef] [PubMed]
- Li, H.; Wang, Y.; Oni, J.K.; Qu, X.; Li, T.; Zeng, Y.; Liu, F.; Zhu, Z. The role of femoral neck anteversion in the development of osteoarthritis in dysplastic hips. Bone Jt. J. 2014, 96-B, 1586–1593. [Google Scholar] [CrossRef] [PubMed]
- Vigdorchik, J.M.; Sharma, A.K.; Buckland, A.J.; Elbuluk, A.M.; Eftekhary, N.; Mayman, D.J.; Carroll, K.M.; Jerabek, S.A. 2021 Otto Aufranc Award: A simple Hip-Spine Classification for total hip arthroplasty: Validation and a large multicentre series. Bone Jt. J. 2021, 103-B, 17–24. [Google Scholar] [CrossRef]
- Innmann, M.M.; Merle, C.; Phan, P.; Beaulé, P.E.; Grammatopoulos, G. Differences in Spinopelvic Characteristics Between Hip Osteoarthritis Patients and Controls. J. Arthroplast. 2021, 36, 2808–2816. [Google Scholar] [CrossRef]
- Scorcelletti, M.; Reeves, N.D.; Rittweger, J.; Ireland, A. Femoral anteversion: Significance and measurement. Am. J. Anat. 2020, 237, 811–826. [Google Scholar] [CrossRef]
- Alpay, Y.; Ezici, A.; Kurk, M.B.; Ozyalvac, O.N.; Akpinar, E.; Bayhan, A.I. Increased femoral anteversion related to infratrochanteric femoral torsion is associated with ACL rupture. Knee Surg. Sports Traumatol. Arthrosc. 2020, 28, 2567–2571. [Google Scholar] [CrossRef]
- Satpathy, J.; Kannan, A.; Owen, J.R.; Wayne, J.S.; Hull, J.R.; Jiranek, W.A. Hip contact stress and femoral neck retroversion: A biomechanical study to evaluate implication of femoroacetabular impingement. J. Hip Preserv. Surg. 2015, 2, 287–294. [Google Scholar] [CrossRef] [PubMed]
- Carmona, M.; Tzioupis, C.; LiArno, S.; Faizan, A.; Argenson, J.-N.; Ollivier, M. Upper Femur Anatomy Depends on Age and Gender: A Three-Dimensional Computed Tomography Comparative Bone Morphometric Analysis of 628 Healthy Patients’ Hips. J. Arthroplast. 2019, 34, 2487–2493. [Google Scholar] [CrossRef] [PubMed]
- Kahf, H.; Kesbeh, Y.; Van Baarsel, E.; Patel, V.; Alonzo, N. Approach to pediatric rotational limb deformities. Orthop. Rev. 2019, 11, 8118. [Google Scholar] [CrossRef] [PubMed]
- Boese, C.K.; Dargel, J.; Oppermann, J.; Eysel, P.; Scheyerer, M.J.; Bredow, J.; Lechler, P. The femoral neck-shaft angle on plain radiographs: A systematic review. Skelet. Radiol. 2015, 45, 19–28. [Google Scholar] [CrossRef] [PubMed]
- Ng, G.K.C.; Mantovani, G.; Lamontagne, M.; Labrosse, M.R.; Beaulé, P.E. Increased Hip Stresses Resulting from a Cam Deformity and Decreased Femoral Neck-Shaft Angle During Level Walking. Clin. Orthop. Relat. Res. 2017, 475, 998–1008. [Google Scholar] [CrossRef]
- Wang, R.Y.; Xu, W.H.; Kong, X.C.; Yang, L.; Yang, S.H. Measurement of acetabular inclination and anteversion via CT generated 3D pelvic model. BMC Musculoskelet. Disord. 2017, 18, 373. [Google Scholar] [CrossRef]
- Le Huec, J.C.; Aunoble, S.; Philippe, L.; Nicolas, P. Pelvic parameters: Origin and significance. Eur. Spine J. 2011, 20, 564–571. [Google Scholar] [CrossRef]
- Barlow, K.A.; Krol, Z.; Skadlubowicz, P.; Dong, C.; Zivkovic, V.; Krieg, A.H. The “true” acetabular anteversion angle (AV angle): 2D CT versus 3D model. Int. J. Comput. Assist. Radiol. Surg. 2022, 17, 2337–2347. [Google Scholar] [CrossRef]
- Salaffi, F.; Farah, S.; Di Carlo, M. Frailty syndrome in rheumatoid arthritis and symptomatic osteoarthritis: An emerging concept in rheumatology. Acta Biomed. 2020, 91, 274–296. [Google Scholar] [CrossRef]










| CT Parameters | Group A (Hip OA) | Group B (Controls) | p Value |
|---|---|---|---|
| Femoral Version | 16.00° ± 4.53° (15.22°–16.78°) | 13.16° ± 4.37° (12.31°–14.01°) | 0.0001 |
| Femoral Inclination | 128.46° ± 7.16° (127.22°–129.70°) | 129.95° ± 6.86° (128.61°–131.29°) | 0.107 |
| Acetabular Version | 19.60° ± 4.19° (18.81°–20.39°) | 20.37° ± 4.56° (19.47°–21.27°) | 0.180 |
| Acetabular Inclination | 57.15° ± 4.68° (56.25°–58.05°) | 56.39° ± 4.57° (55.49°–57.29°) | 0.215 |
| Sacral Slope | 41.62° ± 7.70° (40.27°–42.97°) | 40.35° ± 6.20° (39.14°–41.56°) | 0.915 |
| Pelvic Tilt | 9.80° ± 4.68° (8.90°–10.70°) | 9.91° ± 5.45° (8.84°–10.98°) | 0.917 |
| Pelvic Incidence | 50.57° ± 10.24° (48.77°–52.37°) | 50.11° ± 9.80° (48.19°–52.03°) | 0.728 |
Disclaimer/Publisher’s Note: The statements, opinions and data contained in all publications are solely those of the individual author(s) and contributor(s) and not of MDPI and/or the editor(s). MDPI and/or the editor(s) disclaim responsibility for any injury to people or property resulting from any ideas, methods, instructions or products referred to in the content. |
© 2024 by the authors. Licensee MDPI, Basel, Switzerland. This article is an open access article distributed under the terms and conditions of the Creative Commons Attribution (CC BY) license (https://creativecommons.org/licenses/by/4.0/).
Share and Cite
Tiburzi, V.; Ciccullo, C.; Farinelli, L.; Di Carlo, M.; Salaffi, F.; Bandinelli, F.; Gigante, A.P. Unveiling the Hidden Links: Anatomical and Radiological Insights into Primary Hip Osteoarthritis. J. Pers. Med. 2024, 14, 1004. https://doi.org/10.3390/jpm14091004
Tiburzi V, Ciccullo C, Farinelli L, Di Carlo M, Salaffi F, Bandinelli F, Gigante AP. Unveiling the Hidden Links: Anatomical and Radiological Insights into Primary Hip Osteoarthritis. Journal of Personalized Medicine. 2024; 14(9):1004. https://doi.org/10.3390/jpm14091004
Chicago/Turabian StyleTiburzi, Valerio, Carlo Ciccullo, Luca Farinelli, Marco Di Carlo, Fausto Salaffi, Francesca Bandinelli, and Antonio Pompilio Gigante. 2024. "Unveiling the Hidden Links: Anatomical and Radiological Insights into Primary Hip Osteoarthritis" Journal of Personalized Medicine 14, no. 9: 1004. https://doi.org/10.3390/jpm14091004
APA StyleTiburzi, V., Ciccullo, C., Farinelli, L., Di Carlo, M., Salaffi, F., Bandinelli, F., & Gigante, A. P. (2024). Unveiling the Hidden Links: Anatomical and Radiological Insights into Primary Hip Osteoarthritis. Journal of Personalized Medicine, 14(9), 1004. https://doi.org/10.3390/jpm14091004

