Radiation-Associated Angiosarcoma of the Breast: The State of the Art of a Rare and Aggressive Disease
Abstract
1. Introduction
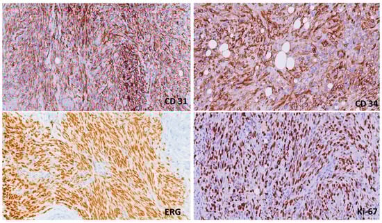
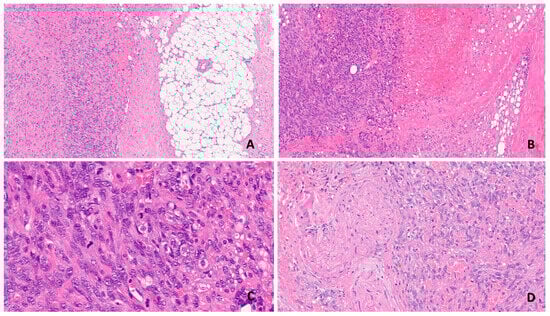
2. Angiosarcoma: Histopathology of a Rare and Insidious Disease
2.1. Pathological Features
2.2. Differential Diagnosis
2.3. Diagnosis
2.4. Rationale and Purpose of the Systematic Review
3. Materials and Methods
3.1. Search Strategy
3.2. Selection Criteria
3.3. Data Extraction
3.4. Quality Assessment
4. Results
4.1. Age and Clinical Presentation of RAS
4.2. Time between Primary Treatment and Onset of RAS
4.3. RAS Treatments
4.4. Outcomes
- -
- Amajoud et al. [71], with a follow-up ranging from 8 to 96 months, described 6 patients who developed early local recurrence and 2 patients who developed distant metastasis.
- -
- Alves et al. [69] recorded a 5-year survival rate of 45%, with a follow-up of 9 years. Eleven patients died in the first 5 years after the diagnosis of RAS.
- -
- Cohen et al. [68] reported a 2-year locoregional-free survival (LRFS) of 51.2% and 2-year distant metastasis-free survival (DMFS) of 67.3%.
- -
- Mergancová et al. [44] reported 21 patients (40%) with no evidence of recurrence, while recurrence was reported in 23 out of 53 (43%). In 9 patients (17%), distant metastases were found. Regarding the survival rate, 43 patients (56%) at 3 years and 33 patients (33%) at 5 years were alive.
- -
- Jallali et al. [56] found a significant relationship between incomplete surgical excision and patient outcomes, as when complete excision of the lesion was performed, the overall 2- and 5-year survival rates were 42% and 10%, respectively, while in patients with insufficient safe surgical margins, the 2- and 5-year overall survival rates were 0%.
- -
- Of the 95 patients described by Torres et al. [57], 30 died of the disease and 17 patients died of other causes. The 1-, 2-, and 5-year OS were 91%, 78%, and 54%, respectively. The 1-, 2-, and 5-year DSS were 94%, 84%, and 63%. Patients who developed metastatic disease or local recurrence had significantly worse DSS rates than those who did not (p = 0.0002; Figure 1A); patients who presented initially with locally advanced disease or metastasis had worse DSS rates than patients who presented with localized primary tumors (p = 0.01; Figure 1B). The median survival time for patients with localized tumors was 7.3 (range, 0.2–15.8) years versus 4.7 (range, 0.7–10.1) years for those presenting with locally advanced disease. They reported a 5-year disease-specific survival (DSS) of 62.6%.
- -
- Smith et al. [91] reported that 5 patients developed progressive disease in areas that were not covered by radiological treatment. One patient developed contralateral nodal disease, with complete regression after second HART followed by axillary dissection. One patient developed a chest recurrence and died of disease, and 3 patients died of metastatic disease with pulmonary and mediastinal localizations. In this series, the use of HART was reported to achieve full disease control in 10 of the 14 patients (71.4%). Regarding overall survival rates, 5 and 10 years were 79% and 63%, respectively, while 5 and 10 progression-free survival rates were both 64%. After a follow up of 8.1 years, 8 out of 14 (57.1%) patients were alive and free of disease, 2 (14.2%) died from intercurrent disease, and 4 (28.5%) died of angiosarcoma.
4.5. Quality Assessment
5. Discussion
- In consideration of the slow appearance of RAS, careful follow-up with clinical evaluation should be performed for a long time in patients treated for breast cancer so as to guarantee an early diagnosis.
- A surgical biopsy must be able to reach a diagnosis of certainty.
- The treatments must be planned by a multidisciplinary team.
- The standard surgical procedure is mastectomy with negative margins. It is recommended that this should be carried out in a sarcoma specialist unit, especially if the tumor is beyond the confines of the remaining breast tissue or encroaching the chest wall.
- However, in case of rapid growth after clinical manifestation, the tumor could be inoperable. For locally advanced inoperable or metastatic disease, chemotherapy is the pillar of treatment. Grade and surgical margin status are also important prognostic determinants in cases of post-irradiation sarcomas.
- A definitive histological examination is also important in defining the prognosis of this disease. In fact, a higher grade of tumor is related to a higher risk of death in the first three years after diagnosis.
- Treatment should be included in management guidelines for other soft-tissue sarcomas, such as those published by the European Society for Medical Oncology (ESMO) and the National Comprehensive Cancer Network (NCCN). Angiosarcomas are particularly sensitive to taxanes and liposomal doxorubicin. Weekly paclitaxel or liposomal doxorubicin may be considered as valid alternatives to standard anthracyclines plus/minus ifosfamide treatment for this particular histology in view of their manageable adverse effect profile.
- The possibility of re-irradiation in case of risk of local recurrence should be evaluated. Considering the high growth rate of breast angiosarcomas, the use of hyperfractionated radiotherapy could make the tumor cells more likely to repopulate between daily fractions of radiotherapy.
Study Limitations
6. Conclusions
Author Contributions
Funding
Institutional Review Board Statement
Informed Consent Statement
Data Availability Statement
Conflicts of Interest
References
- Siegel, R.L.; Miller, K.D.; Jemal, A. Cancer statistics, 2020. CA Cancer J. Clin. 2020, 70, 7–30. [Google Scholar] [CrossRef]
- Fisher, B.; Bauer, M.; Margolese, R.; Poisson, R.; Pilch, Y.; Redmond, C.; Fisher, E.; Wolmark, N.; Deutsch, M.; Montague, E.; et al. Five-Year Results of a Randomized Clinical Trial Comparing Total Mastectomy and Segmental Mastectomy with or without Radiation in the Treatment of Breast Cancer. N. Engl. J. Med. 1985, 312, 665–673. [Google Scholar] [CrossRef]
- Fisher, B.; Anderson, S.; Bryant, J.; Margolese, R.; Deutch, M.; Fisher, E.R.; Jeong, J.H.; Wolmark, N. Twenty-Year Follow-up of a Randomized Trial Comparing Total Mastectomy, Lumpectomy, and Lumpectomy plus Irradiation for the Treatment of Invasive Breast Cancer. N. Engl. J. Med. 2002, 347, 1233–1241. [Google Scholar] [CrossRef] [PubMed]
- Veronesi, U.; Cascinelli, N.; Mariani, L.; Greco, M.; Saccozzi, R.; Luini, A.; Aguilar, M.; Marubini, E. Twenty-Year Follow-up of a Randomized Study Comparing Breast-Conserving Surgery with Radical Mastectomy for Early Breast Cancer. N. Engl. J. Med. 2002, 347, 1227–1232. [Google Scholar] [CrossRef]
- Veronesi, U.; Saccozzi, R.; Del Vecchio, M.; Banfi, A.; Clemente, C.; De Lena, M.; Gallus, G.; Greco, M.; Luini, A.; Marubini, E.; et al. Comparing radical mastectomy with quadrantectomy, axillary dissection, and radiotherapy in patients with small cancers of the breast. N. Engl. J. Med. 1981, 305, 6–11. [Google Scholar] [CrossRef] [PubMed]
- Cozzi, S.; Augugliaro, M.; Ciammella, P.; Botti, A.; Trojani, V.; Najafi, M.; Blandino, G.; Ruggieri, M.P.; Giaccherini, L.; Alì, E.; et al. The Role of Interstitial Brachytherapy for Breast Cancer Treatment: An Overview of Indications, Applications, and Technical Notes. Cancers 2022, 14, 2564. [Google Scholar] [CrossRef] [PubMed]
- Deantonio, L.; Cozzi, S.; Tunesi, S.; Brambilla, M.; Masini, L.; Pisani, C.; Gambaro, G.; Magnani, C.; Krengli, M. Hypofractionated Radiation Therapy for Breast Cancer: Long-Term Results in a Series of 85 Patients. Tumori J. 2016, 102, 398–403. [Google Scholar] [CrossRef] [PubMed]
- Cozzi, S.; Laplana, M.; Najjari, D.; Slocker, A.; Encinas, X.; Pera, J.; Guedea, F.; Gutierrez, C. Advantages of intraoperative implant for interstitial brachytherapy for accelerated partial breast irradiation either frail patients with early-stage disease or in locally recurrent breast cancer. J. Contemp. Brachyther. 2018, 10, 97–104. [Google Scholar] [CrossRef] [PubMed]
- De Rose, F.; Fogliata, A.; Franceschini, D.; Cozzi, S.; Iftode, C.; Stravato, A.; Tomatis, S.; Masci, G.; Torrisi, R.; Testori, A. Postmastectomy radiation therapy using VMAT technique for breast cancer patients with expander reconstruction. Med. Oncol. 2019, 36, 48. [Google Scholar] [CrossRef]
- Laplana, M.; Cozzi, S.; Najjari, D.; Martín, M.I.; Rodríguez, G.; Slocker, A.; Sancho, I.; Pla, M.J.; Garcia, M.; Gracia, R. Five-year results of accelerated partial breast irradiation: A single-institution retrospective review of 289 cases. Brachytherapy 2021, 20, 807–817. [Google Scholar] [CrossRef]
- Cozzi, S.; Jamal, D.N.; Slocker, A.; Laplana, M.; Garcia Tejedor, A.; Krengli, M.; Guedea, F.; Gutierrez, C. Second breast-conserving therapy with interstitial brachytherapy (APBI) as a salvage treatment in ipsilateral breast tumor recurrence: A retrospective study of 40 patients. J. Contemp. Brachyther. 2019, 11, 101–107. [Google Scholar] [CrossRef] [PubMed]
- Langlands, F.E.; Horgan, K.; Dodwell, D.D.; Smith, L. Breast cancer subtypes: Response to radiotherapy and potential radiosensitisation. Br. J. Radiol. 2013, 86, 20120601. [Google Scholar] [CrossRef] [PubMed]
- Laé, M.; Lebel, A.; Hamel-Viard, F.; Asselain, B.; Trassard, M.; Sastre, X.; Kirova, Y.M. Can c-myc amplification reliably discriminate postradiation from primary angiosarcoma of the breast? Cancer Radiother. 2015, 19, 168–174. [Google Scholar] [CrossRef] [PubMed]
- Gutkin, P.M.; Ganjoo, K.N.; Lohman, M.; Von Eyben, R.; Charville, G.W.; Nazerali, R.S.; Dirbas, F.M.; Horst, K.C. Angiosarcoma of the Breast: Management and Outcomes. Am. J. Clin. Oncol. 2020, 43, 820–825. [Google Scholar] [CrossRef] [PubMed]
- Salminen, S.H.; Sampo, M.M.; Böhling, T.O.; Tuomikoski, L.; Tarkkanen, M.; Blomqvist, C.P. Radiation-associated sarcoma after breast cancer in a nationwide population: Increasing risk of angiosarcoma. Cancer Med. 2018, 7, 4825–4835. [Google Scholar] [CrossRef] [PubMed]
- Tan, P.H.; Ellis, I.; Allison, K.; Brogi, E.; Fox, S.B.; Lakhani, S.; Lazar, A.J.; Morris, E.A.; Sahin, A.; Salgado, R.; et al. The 2019 World Health Organization classification of tumours of the breast. Histopathology 2020, 77, 181–185. [Google Scholar] [CrossRef] [PubMed]
- Fraga-Guedes, C.; Gobbi, H.; Mastropasqua, M.G.; Botteri, E.; Luini, A.; Viale, G. Primary and secondary angiosarcomas of the breast: A single institution experience. Breast Cancer Res. Treat. 2012, 132, 1081–1088. [Google Scholar] [CrossRef] [PubMed]
- Brenn, T.; Fletcher, C.D.M. Radiation-associated cutaneous atypical vascular lesions and angiosarcoma: Clinicopathologic analysis of 42 cases. Am. J. Surg. Pathol. 2005, 29, 983–996. [Google Scholar] [CrossRef]
- Biswas, T.; Tang, P.; Muhs, A.; Ling, M. Angiosarcoma of the Breast: A Rare Clinicopathological Entity. Am. J. Clin. Oncol. 2009, 32, 582–586. [Google Scholar] [CrossRef]
- Mobini, N. Cutaneous epithelioid angiosarcoma: A neoplasm with potential pitfalls in diagnosis. J. Cutan. Pathol. 2009, 36, 362–369. [Google Scholar] [CrossRef] [PubMed]
- Seo, I.S.; Min, K.W. Postirradiation Epithelioid Angiosarcoma of the Breast: A Case Report with Immunohistochemical and Electron Microscopic Study. Ultrastruct. Pathol. 2003, 27, 197–203. [Google Scholar] [CrossRef] [PubMed]
- Baumhoer, D.; Gunawan, B.; Becker, H.; Füzesi, L. Comparative genomic hybridization in four angiosarcomas of the female breast. Gynecol. Oncol. 2005, 97, 348–352. [Google Scholar] [CrossRef] [PubMed]
- Gil-Benso, R.; López-Ginés, C.; Soriano, P.; Almenar, S.; Vazquez, C.; Llombart-Bosch, A. Cytogenetic study of angiosarcoma of the breast. Genes Chromosomes Cancer 1994, 10, 210–212. [Google Scholar] [CrossRef] [PubMed]
- Manner, J.; Radlwimmer, B.; Hohenberger, P.; Mössinger, K.; Küffer, S.; Sauer, C.; Belharazem, D.; Zettl, A.; Coindre, J.-M.; Hallermann, C.; et al. MYC high level gene amplification is a distinctive feature of angiosarcomas after irradiation or chronic lymphedema. Am. J. Pathol. 2010, 176, 34–39. [Google Scholar] [CrossRef] [PubMed]
- Mentzel, T.; Schildhaus, H.U.; Palmedo, G.; Büttner, R.; Kutzner, H. Postradiation cutaneous angiosarcoma after treatment of breast carcinoma is characterized by MYC amplification in contrast to atypical vascular lesions after radiotherapy and control cases: Clinicopathological, immunohistochemical and molecular analysis of 66 cases. Mod. Pathol. 2012, 25, 75–85. [Google Scholar] [CrossRef] [PubMed]
- Guo, T.; Zhang, L.; Chang, N.; Singer, S.; Maki, R.G.; Antonescu, C.R. Consistent MYC and FLT4 gene amplification in radiation-induced angiosarcoma but not in other radiation-associated atypical vascular lesions. Genes Chromosomes Cancer 2011, 50, 25–33. [Google Scholar] [CrossRef] [PubMed]
- Looi, W.S.; Bradley, J.A.; Liang, X.; Shaw, C.M.; Leyngold, M.; Vega, R.B.M.; Brooks, E.D.; Rutenberg, M.S.; Spiguel, L.R.; Giap, F.; et al. Hyperfractionated-Accelerated Reirradiation with Proton Therapy for Radiation-Associated Breast Angiosarcoma. Int. J. Part. Ther. 2022, 8, 55–67. [Google Scholar] [CrossRef] [PubMed]
- Kronenfeld, J.P.; Crystal, J.S.; Ryon, E.L.; Yadegarynia, S.; Chitters, C.; Yechieli, R.; D’amato, G.; Rosenberg, A.E.; Kesmodel, S.B.; Trent, J.C.; et al. Clinical Outcomes for Primary and Radiation-Associated Angiosarcoma of the Breast with Multimodal Treatment: Long-Term Survival Is Achievable. Cancers 2021, 13, 3814. [Google Scholar] [CrossRef] [PubMed]
- Guram, S.; Covelli, A.M.; O’Neill, A.C.; Shultz, D.B.; Demicco, E.G.; Gupta, A.A.; Gladdy, R.A. Multidisciplinary Intervention in Radiation-Associated Angiosarcoma of the Breast: Patterns of Recurrence and Response to Treatment. Ann. Surg. Oncol. 2022, 29, 522–532. [Google Scholar] [CrossRef]
- Lahat, G.; Dhuka, A.R.; Hallevi, H.; Xiao, L.; Zou, C.; Smith, K.D.; Phung, T.L.; Pollock, R.E.; Benjamin, R.; Hunt, K.K.; et al. Angiosarcoma: Clinical and Molecular Insights. Ann. Surg. 2010, 251, 1098–1106. [Google Scholar] [CrossRef]
- Wada, M.; Horinaka, M.; Yasuda, S.; Masuzawa, M.; Sakai, T.; Katoh, N. PDK1 is a potential therapeutic target against angiosarcoma cells. J. Dermatol. Sci. 2015, 78, 44–50. [Google Scholar] [CrossRef]
- Fernandez, A.P.; Sun, Y.; Tubbs, R.R.; Goldblum, J.R.; Billings, S.D. FISH for MYC amplification and anti-MYC immunohistochemistry: Useful diagnostic tools in the assessment of secondary angiosarcoma and atypical vascular proliferations. J. Cutan. Pathol. 2012, 39, 234–242. [Google Scholar] [CrossRef]
- Patton, K.T.; Deyrup, A.T.; Weiss, S.W. Atypical Vascular Lesions After Surgery and Radiation of the Breast: A Clinicopathologic Study of 32 Cases Analyzing Histologic Heterogeneity and Association With Angiosarcoma. Am. J. Surg. Pathol. 2008, 32, 943–950. [Google Scholar] [CrossRef] [PubMed]
- Wang, X.Y.; Jakowski, J.; Tawfik, O.W.; Thomas, P.A.; Fan, F. Angiosarcoma of the breast: A clinicopathologic analysis of cases from the last 10 years. Ann. Diagn. Pathol. 2009, 13, 147–150. [Google Scholar] [CrossRef]
- Brodie, C.; Provenzano, E. Vascular proliferations of the breast. Histopathology 2008, 52, 30–44. [Google Scholar] [CrossRef]
- Shah, S.; Rosa, M. Radiation-Associated Angiosarcoma of the Breast: Clinical and Pathologic Features. Arch. Pathol. Lab. Med. 2016, 140, 477–481. [Google Scholar] [CrossRef] [PubMed]
- Lucas, D.R. Angiosarcoma, radiation-associated angiosarcoma, and atypical vascular lesion. Arch. Pathol. Lab. Med. 2009, 133, 1804–1809. [Google Scholar] [CrossRef]
- Sheth, G.R.; Cranmer, L.D.; Smith, B.D.; Grasso-Lebeau, L.; Lang, J.E. Radiation-induced sarcoma of the breast: A systematic review. Oncologist 2012, 17, 405–418. [Google Scholar] [CrossRef]
- Fineberg, S.; Rosen, P.P. Cutaneous Angiosarcoma and Atypical Vascular Lesions of the Skin and Breast After Radiation Therapy for Breast Carcinoma. Am. J. Clin. Pathol. 1994, 102, 757–763. [Google Scholar] [CrossRef] [PubMed]
- Chikarmane, S.A.; Gombos, E.C.; Jagadeesan, J.; Raut, C.; Jagannathan, J.P. MRI findings of radiation-associated angiosarcoma of the breast (RAS). J. Magn. Reson. Imaging 2015, 42, 763–770. [Google Scholar] [CrossRef]
- Iqbal, F.M.; Ahmed, B.; Vidya, R. Double-edged sword of radiotherapy: A cause of secondary angiosarcoma after breast conservation therapy. BMJ Case Rep. 2016, bcr2016215310. [Google Scholar] [CrossRef] [PubMed]
- Zafar, A.; Neary, P.; O’Donoghue, G.; Fiuza-Castinieria, C. A breast surgeons’ paranoia pays off: The importance of keen clinical acumen in a case of postradiotherapy breast angiosarcoma. BMJ Case Rep. 2012, bcr2012006434. [Google Scholar] [CrossRef] [PubMed]
- Bonito, F.J.P.; Almeida Cerejeira, D.; Dahlstedt-Ferreira, C.; Oliveira Coelho, H.; Rosas, R. Radiation-induced angiosarcoma of the breast: A review. Breast J. 2020, 26, 458–463. [Google Scholar] [CrossRef] [PubMed]
- Mergancová, J.; Lierová, A.; Coufal, O.; Žatecký, J.; Melichar, B.; Zedníková, I.; Mergancová, J.; Jesenková, A.; Šťastný, K.; Gatěk, J.; et al. Radiation-associated angiosarcoma of the breast: An international multicenter analysis. Surg. Oncol. 2022, 41, 101726. [Google Scholar] [CrossRef] [PubMed]
- Seinen, J.M.; Styring, E.; Verstappen, V.; Vult Von Steyern, F.; Rydholm, A.; Suurmeijer, A.J.H.; Hoekstra, H.J. Radiation-Associated Angiosarcoma After Breast Cancer: High Recurrence Rate and Poor Survival Despite Surgical Treatment with R0 Resection. Ann. Surg. Oncol. 2012, 19, 2700–2706. [Google Scholar] [CrossRef] [PubMed]
- Perez-Ruiz, E.; Ribelles, N.; Sanchez-Muñoz, A.; Roman, A.; Marquez, A. Response to paclitaxel in a radiotherapy-induced breast angiosarcoma. Acta Oncol. 2009, 48, 1078–1079. [Google Scholar] [CrossRef] [PubMed]
- Hoffmann, G.; Mylonas, I. Therapy of radiation-induced angiosarcoma of the breast in an elderly patient. Arch. Gynecol. Obstet. 2013, 287, 827–831. [Google Scholar] [CrossRef]
- Ju, T.; Foster, D.; Titan, A.; Najjar, S.; Bean, G.R.; Ganjoo, K.; Wapnir, I. Skin angiography assisted mastectomy in secondary breast angiosarcoma: Complete clinical response after neoadjuvant immunotherapy. Breast J. 2021, 27, 723–725. [Google Scholar] [CrossRef]
- Moher, D.; Liberati, A.; Tetzlaff, J.; Altman, D.G.; The PRISMA Group. Preferred Reporting Items for Systematic Reviews and Meta-Analyses: The PRISMA Statement. PLoS Med. 2009, 6, e1000097. [Google Scholar] [CrossRef]
- De Bree, E.; Van Coevorden, F.; Peterse, J.L.; Russell, N.S.; Rutgers, E.J.T. Bilateral angiosarcoma of the breast after conservative treatment of bilateral invasive carcinoma: Genetic predisposition? Eur. J. Surg. Oncol. 2002, 28, 392–395. [Google Scholar] [CrossRef]
- Anania, G.; Parodi, P.C.; Sanna, A.; Rampino, E.; Marcotti, E.; Di Loreto, C.; Zuiani, C.; Donini, A. Radiation-induced angiosarcoma of the breast: Case report and self-criticism of therapeutic approach. Ann. De Chir. 2002, 127, 388–391. [Google Scholar] [CrossRef] [PubMed]
- Tomasello, L.; Gardin, G.; Boccardo, F. Secondary breast angiosarcoma: Lethal response to anti-angiogenic therapy with paclitaxel chemotherapy. A case report. Anticancer Res. 2006, 26, 4775–4777. [Google Scholar] [PubMed]
- Mano, M.S.; Fraser, G.; Kerr, J.; Gray, M.; Evans, V.; Kazmi, A.; Canney, P. Radiation-induced angiosarcoma of the breast shows major response to docetaxel after failure of anthracycline-based chemotherapy. Breast 2006, 15, 117–118. [Google Scholar] [CrossRef]
- Andrews, S.; Wilcoxon, R.; Benda, J.; Jacobson, G. Angiosarcoma following MammoSite® partial breast irradiation. Breast Cancer Res. Treat. 2010, 124, 279–282. [Google Scholar] [CrossRef]
- Arnaout, A.; Wedman, D.M.; El-Sayed, S.; Acharya, V.; Lad, S. Neoadjuvant Gemcitabine-Taxane Chemotherapy for Radiation-Induced Angiosarcoma of the Breast: A Case Report: Neoadjuvant Gemcitabine-Taxane Chemotherapy. Breast J. 2012, 18, 276–278. [Google Scholar] [CrossRef]
- Jallali, N.; James, S.; Searle, A.; Ghattaura, A.; Hayes, A.; Harris, P. Surgical management of radiation-induced angiosarcoma after breast conservation therapy. Am. J. Surg. 2012, 203, 156–161. [Google Scholar] [CrossRef]
- Torres, K.E.; Ravi, V.; Kin, K.; Yi, M.; Guadagnolo, B.A.; May, C.D.; Arun, B.K.; Hunt, K.K.; Lam, R.; Lahat, G.; et al. Long-Term Outcomes in Patients with Radiation-Associated Angiosarcomas of the Breast Following Surgery and Radiotherapy for Breast Cancer. Ann. Surg. Oncol. 2013, 20, 1267–1274. [Google Scholar] [CrossRef]
- Colwick, S.; Gonzalez, A.; Ngo, N.; Camuto, P.; Barajas, D. Bilateral Radiation-Induced Angiosarcoma of the Breast. Breast J. 2013. [Google Scholar] [CrossRef] [PubMed]
- Mansfield, S.A.; Zynger, D.L.; Agnese, D.M. Angiosarcoma and Breast Cancer Recurrence Eight Years Following Mammosite Therapy. Breast J. 2014, 20, 658–660. [Google Scholar] [CrossRef]
- Zemanova, M.; Rauova, K.; Boljesikova, E.; Machalekova, K.; Krajcovicova, I.; Lehotska, V.; Mikulova, M.; Svec, J. Analysis of radiation-induced angiosarcoma of the breast. Bratisl. Med. J. 2014, 115, 307–310. [Google Scholar] [CrossRef]
- Azzariti, A.; Porcelli, L.; Mangia, A.; Saponaro, C.; Quatrale, A.E.; Popescu, O.S.; Strippoli, S.; Simone, G.; Paradiso, A.; Guida, M. Irradiation-induced angiosarcoma and anti-angiogenic therapy: A therapeutic hope? Exp. Cell Res. 2014, 321, 240–247. [Google Scholar] [CrossRef]
- Tanaka, Y.; Uchida, A.; Umemoto, T.; Morishima, I.; Kikuchi, K.; Tohno, E.; Ueno, E. Spontaneous regression of breast angiosarcoma after conservative treatment with radiotherapy: A case report and review of the literature. J. Med. Ultrason. 2015, 42, 427–432. [Google Scholar] [CrossRef] [PubMed]
- Uryvaev, A.; Moskovitz, M.; Abdach-Bortnyak, R.; Hershkovitz, D.; Fried, G. Post-irradiation angiosarcoma of the breast: Clinical presentation and outcome in a series of six cases. Breast Cancer Res. Treat. 2015, 153, 3–8. [Google Scholar] [CrossRef] [PubMed]
- Tato-Varela, S.; Albalat-Fernández, R.; Pabón-Fernández, S.; Núñez-García, D.; La Calle-Marcos, M. Radiation-induced breast angiosarcoma: A case report. Ecancermedicalscience 2016, 10, 697. [Google Scholar] [CrossRef] [PubMed][Green Version]
- Mocerino, C.; Iannaci, G.; Sapere, P.; Luise, R.; Canonico, S.; Gambardella, A. Multidisciplinary approach to breast angiosarcoma in an elderly patient: Repeated local relapses and significant objective responses. Int. J. Immunopathol. Pharmacol. 2016, 29, 537–542. [Google Scholar] [CrossRef] [PubMed]
- Peterson, C.B.; Beauregard, S. Radiation-Induced Breast Angiosarcoma: Case Report and Clinical Approach. J. Cutan. Med. Surg. 2016, 20, 304–307. [Google Scholar] [CrossRef] [PubMed]
- Farran, Y.; Padilla, O.; Chambers, K.; Philipovskiy, A.; Nahleh, Z. Atypical Presentation of Radiation-Associated Breast Angiosarcoma: A Case Report and Review of Literature. Am. J. Case Rep. 2017, 18, 1347–1350. [Google Scholar] [CrossRef] [PubMed]
- Cohen-Hallaleh, R.B.; Smith, H.G.; Smith, R.C.; Stamp, G.F.; Al-Muderis, O.; Thway, K.; Miah, A.; Khabra, K.; Judson, I.; Jones, R.; et al. Radiation induced angiosarcoma of the breast: Outcomes from a retrospective case series. Clin. Sarcoma Res. 2017, 7, 15. [Google Scholar] [CrossRef]
- Alves, I.; Marques, J.C. Radiation-induced angiosarcoma of the breast: A retrospective analysis of 15 years’ experience at an oncology center. Radiol. Bras. 2018, 51, 281–286. [Google Scholar] [CrossRef] [PubMed]
- García Novoa, A.; Acea Nebril, B.; Bouzón Alejandro, A.; Cereijo Garea, C.; Antolín Novoa, S. Angiosarcoma radioinducido de mama en paciente con síndrome de Li-Fraumeni. Cirugía Española 2019, 97, 114–116. [Google Scholar] [CrossRef]
- Amajoud, Z.; Vertongen, A.S.; Weytens, R.; Hauspy, J. Radiation induced angiosarcoma of the breast: Case series and review of the literature. Facts Views Vis. Obgyn 2018, 10, 215–220. [Google Scholar] [PubMed]
- Lyou, Y.; Barber, E.; Mehta, R.; Lee, T.; Goreal, W.; Parajuli, R. Radiation-Associated Angiosarcoma of the Breast: A Case Report and Literature Review. Case Rep. Oncol. 2018, 11, 216–220. [Google Scholar] [CrossRef] [PubMed]
- Horisawa, N.; Adachi, Y.; Sawaki, M.; Hattori, M.; Yoshimura, A.; Gondo, N.; Kotani, H.; Kataoka, A.; Sugino, K.; Mori, M.; et al. A case of radiation-associated angiosarcoma after breast cancer. Surg. Case Rep. 2018, 4, 131. [Google Scholar] [CrossRef] [PubMed]
- Verdura, V.; Di Pace, B.; Concilio, M.; Guastafierro, A.; Fiorillo, G.; Alfano, L.; Nicoletti, G.F.; Savastano, C.; Cascone, A.M.; Rubino, C. A new case of radiation-induced breast angiosarcoma. Int. J. Surg. Case Rep. 2019, 60, 152–155. [Google Scholar] [CrossRef] [PubMed]
- Tsapralis, N.; Vlachogiorgos, A.; Pham, H.; Mowatt, D. Nothing is impossible: Radiation induced angiosarcoma of breast in a male patient. J. Surg. Case Rep. 2019, 2019, rjz158. [Google Scholar] [CrossRef]
- Oliveira, L.A.A.; Pádua Filho, A.F.; Medeiros, E.; Melo, M.A.; Galvão, E.; Vieira, M.C.; Ibiapina, J.O.; Fontinele, D.R.; Vieira, S.C. Radiation-induced angiosarcoma: Case report. Einstein 2020, 18, eRC5439. [Google Scholar] [CrossRef]
- Majdoubi, A.; Serji, B.; Harroudi, T.E. Angiosarcome mammaire radio-induit: À propos d’un cas. Pan Afr. Med. J. 2020, 36. [Google Scholar] [CrossRef]
- Abbenante, D.; Malosso, M.; Raone, B. Radiation-Induced Cutaneous Angiosarcoma of the Breast. Am. J. Med. 2020, 133, 1156–1157. [Google Scholar] [CrossRef] [PubMed]
- Miyata, M.; Yoshida, N.; Ishizuka, M.; Umezaki, N.; Yoshikawa, K.; Sueoka, N.; Tsubota, Y.; Yamamoto, D.; Sekimoto, M. Radiation-Induced Breast Angiosarcoma after Conservative Surgery for Breast Cancer. Gan Kagaku Ryoho. Cancer Chemother. 2020, 47, 540–541. [Google Scholar]
- Shiraki, E.; Kang, Y.; Shibayama, T.; Tsuyuki, S. Two cases of breast angiosarcoma after breast conserving surgery. Surg. Case Rep. 2020, 6, 81. [Google Scholar] [CrossRef]
- Jayarajah, U.; Nagodavithane, K.; Basnayake, O.; Seneviratne, S. Unusual Presentation of Bilateral Radiation-Induced Angiosarcoma of the Breast. Case Rep. Oncol. Med. 2020, 2020, 5768438. [Google Scholar] [CrossRef] [PubMed]
- Lewcun, J.A.; Pameijer, C.; Kass, R.; Cream, L.; Hershock, D.; Brooks, A.J.; Dodge, D.G. Doxorubicin, paclitaxel, and cisplatin based chemotherapy for the treatment of angiosarcoma: Two case reports. Int. J. Surg. Case Rep. 2020, 68, 83–87. [Google Scholar] [CrossRef] [PubMed]
- Suzuki, Y.; Taniguchi, K.; Hatono, M.; Kajiwara, Y.; Abe, Y.; Kawada, K.; Tsukioki, T.; Kochi, M.; Nishiyama, K.; Iwamoto, T.; et al. Recurring radiation-induced angiosarcoma of the breast that was treated with paclitaxel chemotherapy: A case report. Surg. Case Rep. 2020, 6, 25. [Google Scholar] [CrossRef] [PubMed]
- Kacen, M.G.; Sangle, N.; Kornecki, A. Contrast-Enhanced Mammography in the Diagnosis of Breast Angiosarcoma. Case Rep. Radiol. 2021, 2021, 1–7. [Google Scholar] [CrossRef]
- Javed, N.; Stowman, A.M. Educational Case: Radiation-Induced Angiosarcoma of the Breast. Acad. Pathol. 2021, 8, 23742895211060529. [Google Scholar] [CrossRef] [PubMed]
- Cozzi, S.; Najafi, M.; Bardoscia, L.; Ruggieri, M.P.; Giaccherini, L.; Blandino, G.; Botti, A.; Ciammella, P.; Iotti, C. Radiation-induced breast angiosarcoma: Report of two patients after accelerated partial breast irradiation (APBI) and review of the literature. Rep. Pract. Oncol. Radiother. 2021, 26, 827–831. [Google Scholar] [CrossRef]
- Gambini, D.; Visintin, R.; Locatelli, E.; Bareggi, C.; Galassi, B.; Runza, L.; Blundo, C.; Sosnovskikh, I.; Tomirotti, M. Secondary Breast Angiosarcoma and Paclitaxel-dependent Prolonged Disease Control: Report of Two Cases and Review of the Literature. Tumori J. 2015, 101, e60–e63. [Google Scholar] [CrossRef]
- Retter, E.; Benn, C.A.; Maske, C.; Rapoport, B.L. A Case Report of Post-Radiotherapy c-MYC-Positive Angiosarcoma of the Breast. Case Rep. Oncol. 2022, 15, 62–70. [Google Scholar] [CrossRef] [PubMed]
- Horevoets, J.; Devos, B. Angiosarcoma of the breast: Case report and review of the literature. Acta Chir. Belg. 2013, 113, 223–227. [Google Scholar] [CrossRef]
- Tahir, M.; Hendry, P.; Baird, L.; Qureshi, N.A.; Ritchie, D.; Whitford, P. Radiation induced angiosarcoma a sequela of radiotherapy for breast cancer following conservative surgery. Int. Semin. Surg. Oncol. ISSO 2006, 3, 26. [Google Scholar] [CrossRef]
- Smith, T.L.; Morris, C.G.; Mendenhall, N.P. Angiosarcoma after breast-conserving therapy: Long-term disease control and late effects with hyperfractionated accelerated re-irradiation (HART). Acta Oncol. 2014, 53, 235–241. [Google Scholar] [CrossRef] [PubMed]
- Donehower, L.A.; Harvey, M.; Slagle, B.L.; McArthur, M.J.; Montgomery, C.A., Jr.; Butel, J.S.; Bradley, A. Mice deficient for p53 are developmentally normal but susceptible to spontaneous tumours. Nature 1992, 356, 215–221. [Google Scholar] [CrossRef]
- Cozzi, S.; Bottoni, N.; Botti, A.; Trojani, V.; Alì, E.; Finocchi Ghersi, S.; Cremaschi, F.; Iori, F.; Ciammella, P.; Iori, M.; et al. The Use of Cardiac Stereotactic Radiation Therapy (SBRT) to Manage Ventricular Tachycardia: A Case Report, Review of the Literature and Technical Notes. J. Pers. Med. 2022, 12, 1783. [Google Scholar] [CrossRef] [PubMed]
- Ciammella, P.; Cozzi, S.; Botti, A.; Giaccherini, L.; Sghedoni, R.; Orlandi, M.; Napoli, M.; Pascarella, R.; Pisanello, A.; Russo, M.; et al. Safety of Inhomogeneous Dose Distribution IMRT for High-Grade Glioma Reirradiation: A Prospective Phase I/II Trial (GLIORAD TRIAL). Cancers 2022, 14, 4604. [Google Scholar] [CrossRef] [PubMed]
- Cozzi, S.; Alì, E.; Bardoscia, L.; Najafi, M.; Botti, A.; Blandino, G.; Giaccherini, L.; Ruggieri, M.P.; Augugliaro, M.; Iori, F.; et al. Stereotactic Body Radiation Therapy (SBRT) for Oligorecurrent/Oligoprogressive Mediastinal and Hilar Lymph Node Metastasis: A Systematic Review. Cancers 2022, 14, 2680. [Google Scholar] [CrossRef]
- Cozzi, S.; Najafi, M.; Gomar, M.; Ciammella, P.; Iotti, C.; Iaccarino, C.; Dominici, M.; Pavesi, G.; Chiavelli, C.; Kazemian, A.; et al. Delayed Effect of Dendritic Cells Vaccination on Survival in Glioblastoma: A Systematic Review and Meta-Analysis. Curr. Oncol. 2022, 29, 881–891. [Google Scholar] [CrossRef]
- Cozzi, S.; Botti, A.; Timon, G.; Blandino, G.; Najafi, M.; Manicone, M.; Bardoscia, L.; Ruggieri, M.P.; Ciammella, P.; Iotti, C. Prognostic factors, efficacy, and toxicity of involved-node stereotactic body radiation therapy for lymph node oligorecurrent prostate cancer: An investigation of 117 pelvic lymph nodes. Strahlenther. Und Onkol. 2022, 198, 700–709. [Google Scholar] [CrossRef]
- Cuperus, E.; Leguit, R.; Albregts, M.; Toonstra, J. Post radiation skin tumors: Basal cell carcinomas, squamous cell carcinomas and angiosarcomas. A review of this late effect of radiotherapy. Eur. J. Dermatol. 2013, 23, 749–757. [Google Scholar] [CrossRef]
- West, J.G.; Qureshi, A.; West, J.E.; Chacon, M.; Sutherland, M.L.; Haghighi, B.; Harrison, J. Risk of Angiosarcoma Following Breast Conservation: A Clinical Alert. Breast J. 2005, 11, 115–123. [Google Scholar] [CrossRef]
- Mery, C.M.; George, S.; Bertagnolli, M.M.; Raut, C.P. Secondary sarcomas after radiotherapy for breast cancer: Sustained risk and poor survival. Cancer 2009, 115, 4055–4063. [Google Scholar] [CrossRef]
- Pencavel, T.D.; Hayes, A. Breast sarcoma—a review of diagnosis and management. Int. J. Surg. 2009, 7, 20–23. [Google Scholar] [CrossRef]
- Al-Benna, S.; Poggemann, K.; Steinau, H.U.; Steinstraesser, L. Diagnosis and management of primary breast sarcoma. Breast Cancer Res. Treat. 2010, 122, 619–626. [Google Scholar] [CrossRef] [PubMed]
- Co, M.; Lee, A.; Kwong, A. Cutaneous Angiosarcoma Secondary to Lymphoedema or Radiation Therapy—A Systematic Review. Clin. Oncol. 2019, 31, 225–231. [Google Scholar] [CrossRef]
- Palta, M.; Morris, C.G.; Grobmyer, S.R.; Copeland, E.M.; Mendenhall, N.P. Angiosarcoma after breast-conserving therapy: Long-term outcomes with hyperfractionated radiotherapy. Cancer 2010, 116, 1872–1878. [Google Scholar] [CrossRef] [PubMed]
- Chen, C.M.; Chang, J.L.; Behringer, R.R. Tumor formation in p53 mutant ovaries transplanted into wild-type female hosts. Oncogene 2004, 23, 7722–7725. [Google Scholar] [CrossRef][Green Version]
- Modesto, A.; Filleron, T.; Chevreau, C.; Le Pechoux, C.; Rochaix, P.; Le Guellec, S.; Ducassou, A.; Gangloff, D.; Ferron, G.; Delannes, M. Role of radiation therapy in the conservative management of sarcoma within an irradiated field. Eur. J. Surg. Oncol. (EJSO) 2014, 40, 187–192. [Google Scholar] [CrossRef] [PubMed]
- Depla, A.L.; Scharloo-Karels, C.H.; de Jong, M.A.A.; Oldenborg, S.; Kolff, M.W.; Oei, S.B.; van Coevorden, F.; van Rhoon, G.C.; Baartman, E.A.; Scholten, R.J.; et al. Treatment and prognostic factors of radiation-associated angiosarcoma (RAAS) after primary breast cancer: A systematic review. Eur. J. Cancer 2014, 50, 1779–1788. [Google Scholar] [CrossRef]
- McGowan, T.S.; Cummings, B.J.; O’Sullivan, B.; Catton, C.N.; Miller, N.; Panzarella, T. An analysis of 78 breast sarcoma patients without distant metastases at presentation. Int. J. Radiat. Oncol. Biol. Phys. 2000, 46, 383–390. [Google Scholar] [CrossRef]
- Ghareeb, E.R.; Bhargava, R.; Vargo, J.A.; Florea, A.V.; Beriwal, S. Primary and Radiation-induced Breast Angiosarcoma: Clinicopathologic Predictors of Outcomes and the Impact of Adjuvant Radiation Therapy. Am. J. Clin. Oncol. 2016, 39, 463–467. [Google Scholar] [CrossRef]



| Primary/sporadic angiosarcoma | RAS | |||
| Site | Breast parenchyma | Breast dermis and subcutis; rare parenchymal involvement | ||
| Histological Features | Low-grade Type 1 | Intermediate-grade Type 2 | High-grade Type 3 | Usually high-grade |
| Tumoral vessels | Large, dilated, anastomotic, well-formed | Dilated, angulated | Poorly formed | Irregular, angulated Slit-like morphology Poorly formed |
| Cellularity | Low | Intermediate | High | High |
| Papillary formation | Absent/Infrequent | Present | Prominent | Present/Prominent |
| Arrangement of neoplastic cells | Single layer | Multilayer, Hobnail | Multilayer, solid growth | Multilayer |
| Endothelial tufting | Minimal | Moderate | Prominent | Prominent |
| Blood extravasation/ Hemorrhage | Rare | Moderate | Present “Blood lake” formation | Present Prominent “Blood lake” formation |
| Solid/spindle cell foci | Absent | Minimal | Present Prominent | Prominent |
| Nuclei | Often incospiciuous Occasionally hyperchromatic and prominent | In cellular areas Hyperchromatic and pleomorphic | Diffusely and pleomorphic | Poorly differentiated nuclei Dark chromatin Prominent nucleoli |
| Mitosis | Occasional | Present in cellular areas | Present | Variable 1 to 35/10 HPF (Mean 9/10 HPF) |
| Necrosis | Absent | Absent | Present | Present |
| IHC | ||||
| Ki-67 (% of cells) | Low | Intermediate | High | High |
| Vimentin | Positive | Positive | Positive | Positive |
| CD34, CD31 | Positive | Positive | Positive | Positive |
| D2-40, FLI-1, HIF1A | Variable | Variable | Variable | Variable |
| EMA, S-100, CD68, desmin HHV-8 | Negative | Negative | Negative | Negative |
| ER, PR | Negative | Negative | Negative | Negative |
| Cytokeratin | Negative | Negative | Variable | Variable |
| c-MYC protein | Negative | Negative | Negative | Positive |
| Genetic Studies | ||||
| MYC | Wild type | Wild type | Wild type | Amplification |
| Study | N of pts | Age (Mean) | Clinical Presentation | Time from RT | Treatments | Median Follow-Up | Outcome |
|---|---|---|---|---|---|---|---|
| De Bree et al. (2002) [49] | 1 | 76 |
| 10 and 12 yrs | Wide mastectomy—simple mastectomy | 2 and 4 yrs | NED |
| Anania et al. (2002) [50] | 1 | 46 |
| 10 yrs | Simple mastectomy | 4 yrs | Relapse and second surgery—NED |
| Seo et al. (2003) [51] | 1 | 72 |
| 5 yrs | Mastectomy | N/A | N/A |
| Brenn T et al. (2005) [21] | 26 | 62 |
| 6 yrs | Mastectomy/wide excision | 1.5 yrs | NED (57%) Recurrence (42%) |
| Tomasello et al. (2006) [52] | 1 | 83 |
| 5 yrs | CHT (paclitaxel) | 5 days | Deceased |
| Mano et al. (2006) [53] | 1 | 71 |
| 10 yrs | CHT + Mastectomy | 4 mos | NED |
| Patton KT et al. (2008) [33] | 1 | 61 |
| 6 yrs | Surgery | 47 mos | 46% NED |
| Perez-Ruiz et al. (2009) [46] | 1 | 65 |
| 5 yrs | CHT (paclitaxel) | 4 mos | Relapse |
| Andrews S et al. (2010) [54] | 1 | 74 |
| 4 yrs | N/A | N/A | N/A |
| Arnaout et al. (2012) [55] | 1 | 73 |
| 8 yrs | CHT (gemcitabine-taxane) + mastectomy | 1 mos | NED |
| Jallali et al. (2012) [56] | 14 | 68 |
| 6.75 yrs | Surgical excision (complete and incomplete) Neoadjuvant chemotherapy | 15 mos | Recurrence 12/14 (85%) |
| Torres KE et al. (2013) [57] | 95 | 68 |
| 7 yrs | Surgery ± CHT neoadjuvant or adjuvant | 10.8 y | NED (51%) Recurrence (48%) DSS 62.6% |
| Colwick et al. (2013) [58] | 1 | 77 |
| 12 yrs | Mastectomy + RT | 11 mos | Recurrence |
| Hoffmann et al. (2013) [47] | 1 | 85 |
| 12 yrs | Mastectomy + CHT (4 weeks later doxorubicin for local relapse, then paclitaxel) | 6 mos | Deceased |
| Mansfield SA et al. (2014) [59] | 1 | 75 |
| 8 yrs | Surgery + HT | 5 mos | NED |
| Zemanova et al. (2014) [60] | 3 | 44 |
| 9.3 yrs | (1) CHT + mastectomy (2) Mastectomy (3) Mastectomy + RT | 5 yrs | NED |
| Azzariti et al. (2014) [61] | 1 | 71 |
| 9 yrs | Mastectomy | 24 mos | Relapse |
| Tanaka et al. (2015) [62] | 1 | 73 |
| 18 yrs L breast 12 yrs R breast | Mastectomy | N/A | NED at the time of report |
| Uryvaev et al. (2015) [63] | 6 | 78 |
| 9.2 yrs | Mastectomy ± CRT | 3.4 yrs | NED (66%) Recurrence (33%) |
| Tato-Varela et al. (2016) [64] | 1 | 62 |
| 8 yrs | Bilateral mastectomy | 1 yr | NED |
| Mocerino et al. (2016) [65] | 1 | 77 |
| 8 yrs | Mastectomy | 1 yr | Relapse |
| Peterson et al. (2016) [66] | 1 | 72 |
| 14 yrs | Mastectomy | 20 mos | NED |
| Farran Y et al. (2017) [67] | 1 | 67 |
| N/A | Surgery | 5 mos | NED |
| Cohen-Hallaleh et al. (2017) [68] | 49 | 72 |
| 7.5 yrs | Mastectomy ± CHT | 2 years | NED (48%) Local recurrence (51.4%) |
| Alves I et al. (2018) [69] | 11 | 71.5 |
| 8.9 yrs | Mastectomy ± CHT | 5 yrs | 5-year survival rate: 45% |
| García Novoab et al. (2018) [70] | 1 | 37 |
| 4 yrs | Surgery | N/A | N/A |
| Amajoud (2018) [71] | 10 | 65 |
| 7.3 yrs | Mastectomy | 27.8 | Local recurrence (70%) NED (30%) |
| Lyou Y et al. (2018) [72] | 2 | (1) 68 (2) 44 |
| (1) 6 yrs (2) 13 yrs | 1. BCS 2. Surgery | N/A | (1) N/A (2) NED |
| Horisawa N et al. (2018) [73] | 1 | 76 |
| 6 yrs | Surgery + radiotherapy | 3 yrs | NED |
| Verdura et al. (2019) [74] | 1 | 79 |
| 8 yrs | CHT + mastectomy | 12 mos | NED |
| Tsapralis et al. (2019) [75] | 1 | 72 male |
| 6 yrs | Mastectomy + salvage surgery + CHT (paclitaxel, pazopanib) | 32 mos | Deceased |
| Oliveira LAA et al. (2020) [76] | 1 | 73 |
| 7 yrs | Mastectomy | 2 yrs | NED |
| Majdoubi A (2020) [77] | 1 | 43 |
| 6 yrs | Mastectomy + CHT (anthracycline + cyclophosphamide) | 6 mos | NED |
| Abbenante D et al. (2020) [78] | 1 | 70 |
| 14 yrs | Mastectomy | 4 mos | NED |
| Miyata et al. (2020) [79] | 1 | 88 |
| 8 yrs | RT + CHT | 8 mos | NED |
| Shiraki et al. (2020) [80] | 2 | (1) 72; (2) 80 |
| (1) 5 yrs (2) 3 years | (1–2) Mastectomy | (1.2) 1 yr | (1–2) 1 year recurrence |
| Jayaraiah et al. (2020) [81] | 1 | 62 |
| 5 yrs | Bilateral mastectomy + CHT | 17 mos | NED |
| Lewcun et al. (2020) [82] | 1 | 64 |
| 6 yrs | CHT + Mastectomy | 2 yrs | NED |
| Suzuki (2020) [83] | 1 | 62 |
| 8 yrs | Mastectomy + CHT | 8 mos | NED |
| Kacen et al. (2021) [84] | 1 | 60 |
| 3 yrs | CHT + mastectomy | 6 mos | Relapse |
| Tammy Ju et al. (2021) [48] | 1 | 85 |
| 7 yrs | CHT-IT (nivolumab + paclitaxel) + Mastectomy | 1 yr | NED |
| Javed et al. (2021) [85] | 1 | 73 |
| 12 yrs | Mastectomy + CHT (12 weeks-Taxol) | 6 mos | NED |
| Cozzi et al. (2021) [86] | 2 | 61, 69 |
| (1) 8 yrs (2) 8 yrs | (1) Mastectomy (2) Mastectomy + CHT | (1) 2 yrs (2) 6 mos | (1) NED (2) Relapse |
| Mergancová et al. (2022) [44] | 53 | 72 |
| 6.5 yrs | (1) Mastectomy (2) Mastectomy + CHT (3) Mastectomy + RT | 30 mos (mean) | NED (40%) Recurrence (43%) Progression (17%) |
| Jayarajah U et al. (2020) [81] | 1 | 57 |
| 5 yrs | Mastectomy + CHT | 15 mos | NED |
| Gambini et al. (2015) [87] | 2 |
| (1) 5 yrs (2) 4.4 yrs | Mastectomy + CHT | 4 yrs | (1) NED (2) Mild progression | |
| Retter et al. (2022) [88] | 1 | 77 |
| 10 yrs | Mastectomy | 2 yrs | NED |
| Horevoets et al. (2013) [89] | 1 | 61 |
| 19 yrs | Wide local excision | 1.2 yrs | NED |
| Tahir et al. (2006) [90] | 1 | 78 |
| 9 yrs | Mastectomy | 1 yr | NED |
| Looi WS et al. (2022) [27] | 6 | 73 |
| 9.1 yrs | 3 Pre-op HART + mastectomy 2 Mastectomy with local chest wall recurrence treated with definitive HART 1 Definitive HART | 1.5 yrs | 4 NED 2 Deceased |
| Smith T.L. et al. (2014) [91] | 14 | 63 | Local disease—peau d’orange, brawny, or ecchymotic skin changes, and intact or bleeding nodular or vesicular satellite nodules. Extensive macroscopic disease extended to the back, to the level of the umbilicus, to the clavicle, and chest wall Axillay lymph nodes | 7.7 yrs | 8 HART folllowed by mastectomy 5 Mastectomy followed by HART 1 Definitive HART | 8.1 years | 8 NED 6 Deceased |
Disclaimer/Publisher’s Note: The statements, opinions and data contained in all publications are solely those of the individual author(s) and contributor(s) and not of MDPI and/or the editor(s). MDPI and/or the editor(s) disclaim responsibility for any injury to people or property resulting from any ideas, methods, instructions or products referred to in the content. |
© 2024 by the authors. Licensee MDPI, Basel, Switzerland. This article is an open access article distributed under the terms and conditions of the Creative Commons Attribution (CC BY) license (https://creativecommons.org/licenses/by/4.0/).
Share and Cite
Cozzi, S.; Finocchi Ghersi, S.; Tava, F.; Bardoscia, L.; Najafi, M.; Ruggieri, M.P.; Serre, A.-A.; Roukoz, C.; Gutierrez Miguelez, C.; Lazrek, A.; et al. Radiation-Associated Angiosarcoma of the Breast: The State of the Art of a Rare and Aggressive Disease. J. Pers. Med. 2024, 14, 859. https://doi.org/10.3390/jpm14080859
Cozzi S, Finocchi Ghersi S, Tava F, Bardoscia L, Najafi M, Ruggieri MP, Serre A-A, Roukoz C, Gutierrez Miguelez C, Lazrek A, et al. Radiation-Associated Angiosarcoma of the Breast: The State of the Art of a Rare and Aggressive Disease. Journal of Personalized Medicine. 2024; 14(8):859. https://doi.org/10.3390/jpm14080859
Chicago/Turabian StyleCozzi, Salvatore, Sebastiano Finocchi Ghersi, Francesca Tava, Lilia Bardoscia, Masoumeh Najafi, Maria Paola Ruggieri, Anne-Agathe Serre, Camille Roukoz, Cristina Gutierrez Miguelez, Amina Lazrek, and et al. 2024. "Radiation-Associated Angiosarcoma of the Breast: The State of the Art of a Rare and Aggressive Disease" Journal of Personalized Medicine 14, no. 8: 859. https://doi.org/10.3390/jpm14080859
APA StyleCozzi, S., Finocchi Ghersi, S., Tava, F., Bardoscia, L., Najafi, M., Ruggieri, M. P., Serre, A.-A., Roukoz, C., Gutierrez Miguelez, C., Lazrek, A., Sardaro, A., & Taverna, C. (2024). Radiation-Associated Angiosarcoma of the Breast: The State of the Art of a Rare and Aggressive Disease. Journal of Personalized Medicine, 14(8), 859. https://doi.org/10.3390/jpm14080859

