Superficial Anaplastic Lymphoma Kinase-Rearranged Myxoid Spindle Cell Neoplasm in the Buttock: A Case Report
Abstract
1. Introduction
2. Case Description
2.1. Chief Complaints
2.2. History of Present Illness
2.3. History of Past Illness
2.4. Personal and Family History
2.5. Physical Examination
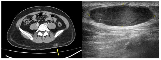
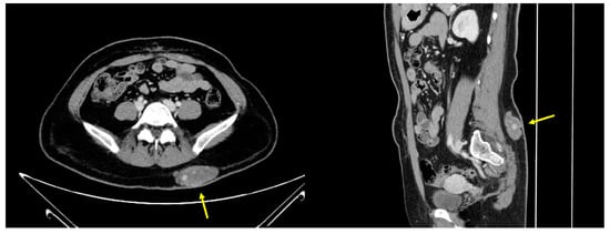
2.6. Imaging Examination
3. Diagnostic Assessment
3.1. Macroscopy
3.2. Histopathological Results
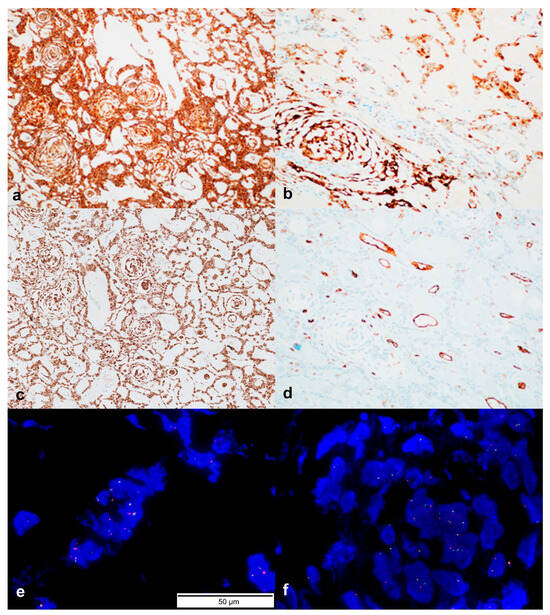
3.3. Immunohistochemistry
4. Final Diagnosis
5. Treatment
6. Outcome and Follow-Up
7. Discussion
8. Conclusions
Author Contributions
Funding
Institutional Review Board Statement
Informed Consent Statement
Data Availability Statement
Acknowledgments
Conflicts of Interest
References
- Hallberg, B.; Palmer, R.H. Mechanistic insight into ALK receptor tyrosine kinase in human cancer biology. Nat. Rev. Cancer 2013, 13, 685–700. [Google Scholar] [CrossRef] [PubMed]
- Dermawan, J.K.; Azzato, E.M.; Goldblum, J.R.; Rubin, B.P.; Billings, S.D.; Ko, J.S. Superficial ALK-rearranged myxoid spindle cell neoplasm: A cutaneous soft tissue tumor with distinctive morphology and immunophenotypic profile. Mod. Pathol. 2021, 34, 1710–1718. [Google Scholar] [CrossRef] [PubMed]
- Hallberg, B.; Palmer, R.H. The role of the ALK receptor in cancer biology. Ann. Oncol. 2016, 27 (Suppl. S3), iii4–iii15. [Google Scholar] [CrossRef] [PubMed]
- Kasago, I.; Aypar, U.; Sukhadia, P.; Vanderbilt, C.; Ladanyi, M.; Hurd, T.; Pulitzer, M. A novel case of cutaneous myxoid spindle cell neoplasm with FMR1-ALK gene fusion and C.D34/S100 coexpression. J. Cutan. Pathol. 2023, 50, 505–510. [Google Scholar] [CrossRef] [PubMed]
- Torossian, A.; Broin, N.; Frentzel, J.; Daugrois, C.; Gandarillas, S.; Saati, T.A.; Lamant, L.; Brousset, P.; Giuriato, S.; Espinos, E. Blockade of crizotinib-induced BCL2 elevation in ALK-positive anaplastic large cell lymphoma triggers autophagy associated with cell death. Haematologica 2019, 104, 1428–1439. [Google Scholar] [CrossRef] [PubMed]
- Soda, M.; Takada, S.; Takeuchi, K.; Choi, Y.L.; Enomoto, M.; Ueno, T.; Haruta, H.; Hamada, T.; Yamashita, Y.; Ishikawa, Y.; et al. A mouse model for EML4-ALK-positive lung cancer. Proc. Natl. Acad. Sci. USA 2008, 105, 19893–19897. [Google Scholar] [CrossRef] [PubMed]
- Lei, Y.; Lei, Y.; Shi, X.; Wang, J. EML4-ALK fusion gene in non-small cell lung cancer. Oncol. Lett. 2022, 24, 277. [Google Scholar] [CrossRef] [PubMed]
- Chung, C.T.; Marrano, P.; Swanson, D.; Dickson, B.C.; Thorner, P.S. Fusion of ALK to the melanophilin gene MLPH in pediatric Spitz nevi. Hum. Pathol. 2019, 87, 57–64. [Google Scholar] [CrossRef] [PubMed]
- Amin, S.M.; Haugh, A.M.; Lee, C.Y.; Zhang, B.; Bubley, J.A.; Merkel, E.A.; Verzì, A.E.; Gerami, P. A comparison of morphologic and molecular features of BRAF, ALK, and NTRK1 fusion spitzoid neoplasms. Am. J. Surg. Pathol. 2017, 41, 491–498. [Google Scholar] [CrossRef] [PubMed]
- Mahajan, P.; Casanova, M.; Ferrari, A.; Fordham, A.; Trahair, T.; Venkatramani, R. Inflammatory myofibroblastic tumor: Molecular landscape, targeted therapeutics, and remaining challenges. Curr. Probl. Cancer 2021, 45, 100768. [Google Scholar] [CrossRef] [PubMed]
- Bridge, J.A.; Kanamori, M.; Ma, Z.; Pickering, D.; Hill, D.A.; Lydiatt, W.; Lui, M.Y.; Colleoni, G.W.; Antonescu, C.R.; Ladanyi, M.; et al. Fusion of the ALK gene to the clathrin heavy chain gene, CLTC, in inflammatory myofibroblastic tumor. Am. J. Pathol. 2001, 159, 411–415. [Google Scholar] [CrossRef] [PubMed]
- Dickson, B.C.; Swanson, D.; Charames, G.S.; Fletcher, C.D.; Hornick, J.L. Epithelioid fibrous histiocytoma: Molecular characterization of ALK fusion partners in 23 cases. Mod. Pathol. 2018, 31, 753–762. [Google Scholar] [CrossRef] [PubMed]
- Abs, D.; Landman, S.; Osio, A.; Lepesant, P.; Schneider, P.; Obadia, D.; Moguelet, P.; Farges, C.; Poirot, B.; Lehmann-Che, J.; et al. Spindle cell tumor with CD34 and S100 coexpression and distinctive stromal and perivascular hyalinization showing EML4-ALK fusion. J. Cutan. Pathol. 2021, 48, 896–901. [Google Scholar] [CrossRef] [PubMed]
- Mantilla, J.G.; Cheung, H.; Ha, A.S.; Hoch, B.L.; Liu, Y.J.; Ricciotti, R.W. Spindle cell neoplasm with EML4-ALK gene fusion presenting as an intraosseous vertebral mass. Genes Chromosomes Cancer 2021, 60, 282–286. [Google Scholar] [CrossRef] [PubMed]
- Suurmeijer, A.J.H.; Dickson, B.C.; Swanson, D.; Zhang, L.; Sung, Y.S.; Cotzia, P.; Fletcher, C.D.M.; Antonescu, C.R. A novel group of spindle cell tumors defined by S100 and CD34 coexpression shows recurrent fusions involving RAF1, BRAF, and NTRK1/2 genes. Genes Chromosomes Cancer 2018, 57, 611–621. [Google Scholar] [CrossRef] [PubMed]
- Graham, R.P.D.; Dry, S.; Li, X.; Binder, S.; Bahrami, A.; Raimondi, S.C.; Dogan, A.; Chakraborty, S.; Souchek, J.J.; Folpe, A.L. Ossifying fibromyxoid tumor of soft parts: A clinicopathologic, proteomic, and genomic study. Am. J. Surg. Pathol. 2011, 35, 1615–1625. [Google Scholar] [CrossRef] [PubMed]
- Woo, V.L.K.; Angiero, F.; Fantasia, J.E. Myoepithelioma of the tongue. Oral Surg. Oral Med. Oral Pathol. Oral Radiol. Endod. 2005, 99, 581–589. [Google Scholar] [CrossRef] [PubMed]
- Li, C.F.; Wang, J.W.; Huang, W.W.; Hou, C.C.; Chou, S.C.; Eng, H.L.; Lin, C.N.; Yu, S.C.; Huang, H.Y. Malignant diffuse-type tenosynovial giant cell tumors: A series of 7 cases comparing with 24 benign lesions with review of the literature. Am. J. Surg. Pathol. 2008, 32, 587–599. [Google Scholar] [CrossRef] [PubMed]





Disclaimer/Publisher’s Note: The statements, opinions and data contained in all publications are solely those of the individual author(s) and contributor(s) and not of MDPI and/or the editor(s). MDPI and/or the editor(s) disclaim responsibility for any injury to people or property resulting from any ideas, methods, instructions or products referred to in the content. |
© 2024 by the authors. Licensee MDPI, Basel, Switzerland. This article is an open access article distributed under the terms and conditions of the Creative Commons Attribution (CC BY) license (https://creativecommons.org/licenses/by/4.0/).
Share and Cite
Kim, J.-H.; Koh, I.-C.; Kim, H.; Lim, S.-Y.; Choi, J.-H.; Kwon, K.-Y. Superficial Anaplastic Lymphoma Kinase-Rearranged Myxoid Spindle Cell Neoplasm in the Buttock: A Case Report. J. Pers. Med. 2024, 14, 858. https://doi.org/10.3390/jpm14080858
Kim J-H, Koh I-C, Kim H, Lim S-Y, Choi J-H, Kwon K-Y. Superficial Anaplastic Lymphoma Kinase-Rearranged Myxoid Spindle Cell Neoplasm in the Buttock: A Case Report. Journal of Personalized Medicine. 2024; 14(8):858. https://doi.org/10.3390/jpm14080858
Chicago/Turabian StyleKim, Jong-Hyup, In-Chang Koh, Hoon Kim, Soo-Yeon Lim, Joon-Hyuk Choi, and Kun-Young Kwon. 2024. "Superficial Anaplastic Lymphoma Kinase-Rearranged Myxoid Spindle Cell Neoplasm in the Buttock: A Case Report" Journal of Personalized Medicine 14, no. 8: 858. https://doi.org/10.3390/jpm14080858
APA StyleKim, J.-H., Koh, I.-C., Kim, H., Lim, S.-Y., Choi, J.-H., & Kwon, K.-Y. (2024). Superficial Anaplastic Lymphoma Kinase-Rearranged Myxoid Spindle Cell Neoplasm in the Buttock: A Case Report. Journal of Personalized Medicine, 14(8), 858. https://doi.org/10.3390/jpm14080858

