Is There a Link between Chronic Obstructive Pulmonary Disease and Lung Adenocarcinoma? A Clinico-Pathological and Molecular Study
Abstract
1. Introduction
2. Materials and Methods
2.1. Study Design and Population
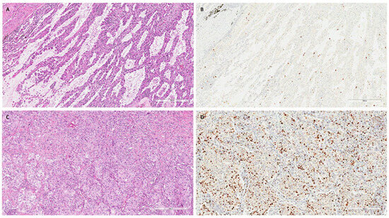
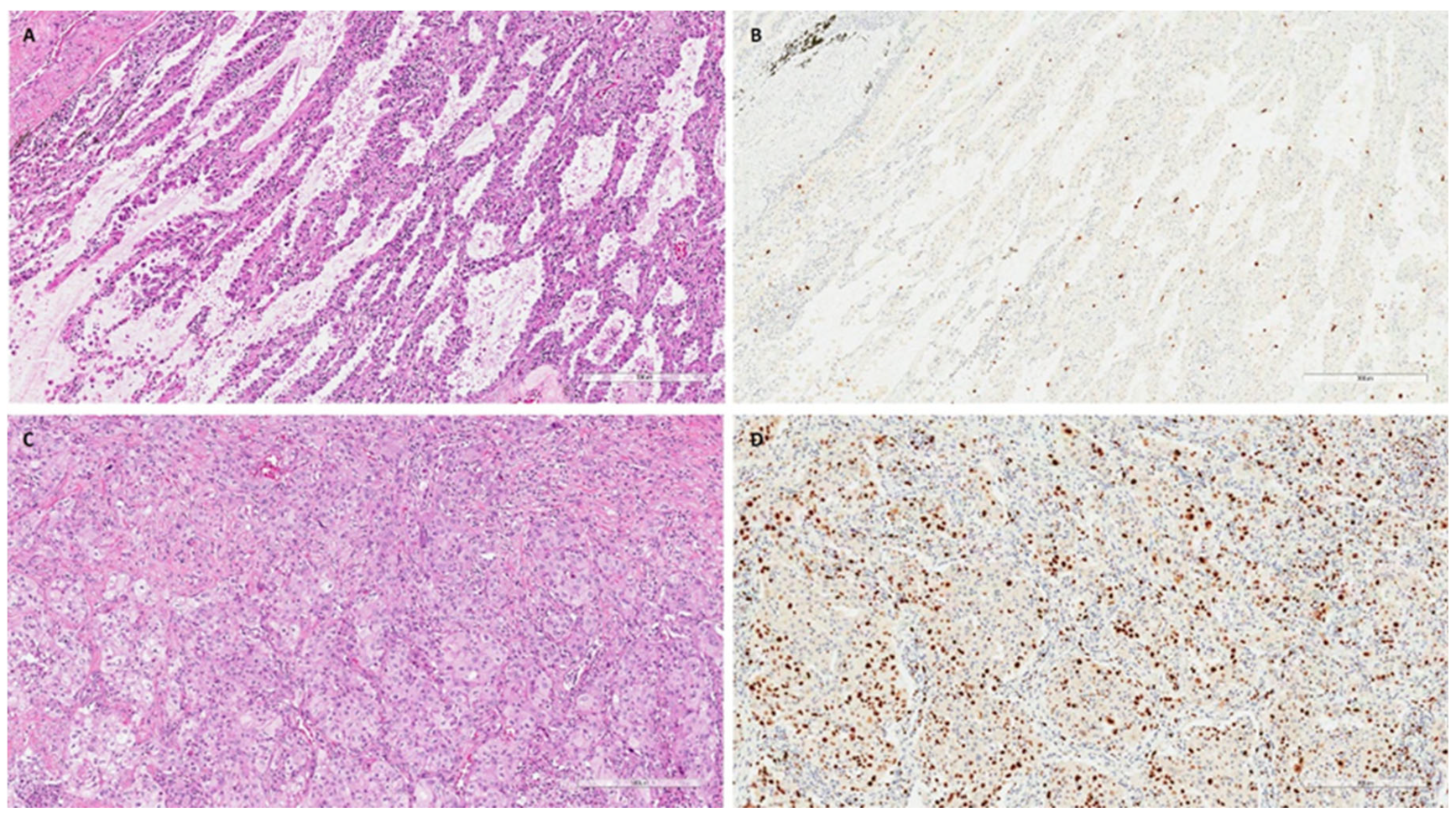
2.2. Morphological Analyses
2.3. DNA Extraction
2.4. Next Generation Sequencing
2.5. Bioinformatics Analysis
- Variants with variant allele frequency (VAF) < 0.05 (5%) were excluded;
- Variants with coverage < 100X were excluded;
- Only exonic and splicing variants were kept;
- Synonymous SNVs were removed;
- Polymorphisms were excluded, defined as variants having minor allele frequency (MAF) > 0.01 according to Exome Sequencing Project (ESP, https://bio.tools/esp, accessed on 14 April 2023) OR Exome Aggregation Consortium (ExAC, https://ngdc.cncb.ac.cn/databasecommons/database/id/3774, accessed on 14 April 2023) OR 1000 Genomes Project (http://www.internationalgenome.org, accessed on 7 August 2024) OR Genome Aggregation Database (https://gnomad.broadinstitute.org/, accessed on 1 June 2024);
- We excluded possibly benign variants and variants with uncertain significance according to ClinVar (database update of 20221231, labels considered: ‘Benign’, ‘Benign/Likely benign’, ‘Likely benign’, ‘Uncertain significance’).
2.6. Statistical Analysis
3. Results
3.1. Study Population
3.2. Distribution of Mutations in COPD, Smokers and Non Smokers Tumor Samples
3.3. Analysis of Matched Pathological/Healthy Tissues
4. Discussion
Supplementary Materials
Author Contributions
Funding
Institutional Review Board Statement
Informed Consent Statement
Data Availability Statement
Acknowledgments
Conflicts of Interest
References
- Caramori, G.; Ruggeri, P.; Mumby, S.; Ieni, A.; Lo Bello, F.; Chimankar, V.; Donovan, C.; Andò, F.; Nucera, F.; Coppolino, I.; et al. Molecular Links between COPD and Lung Cancer: New Targets for Drug Discovery? Expert Opin. Ther. Targets 2019, 23, 539–553. [Google Scholar] [CrossRef]
- Adcock, I.M.; Caramori, G.; Barnes, P.J. Chronic Obstructive Pulmonary Disease and Lung Cancer: New Molecular Insights. Respiration 2011, 81, 265–284. [Google Scholar] [CrossRef]
- Bozinovski, S.; Vlahos, R.; Anthony, D.; McQualter, J.; Anderson, G.; Irving, L.; Steinfort, D. COPD and Squamous Cell Lung Cancer: Aberrant Inflammation and Immunity Is the Common Link. Br. J. Pharmacol. 2016, 173, 635–648. [Google Scholar] [CrossRef]
- Treekitkarnmongkol, W.; Hassane, M.; Sinjab, A.; Chang, K.; Hara, K.; Rahal, Z.; Zhang, J.; Lu, W.; Sivakumar, S.; McDowell, T.L.; et al. Augmented Lipocalin-2 Is Associated with Chronic Obstructive Pulmonary Disease and Counteracts Lung Adenocarcinoma Development. Am. J. Respir. Crit. Care Med. 2021, 203, 90–101. [Google Scholar] [CrossRef]
- Kotlyarov, S. Involvement of the Innate Immune System in the Pathogenesis of Chronic Obstructive Pulmonary Disease. Int. J. Mol. Sci. 2022, 23, 985. [Google Scholar] [CrossRef] [PubMed]
- Ji, X.; Niu, X.; Qian, J.; Martucci, V.; Pendergrass, S.A.; Gorlov, I.P.; Amos, C.I.; Denny, J.C.; Massion, P.P.; Aldrich, M.C. A Phenome-Wide Association Study Uncovers a Role for Autoimmunity in the Development of Chronic Obstructive Pulmonary Disease. Am. J. Respir. Cell Mol. Biol. 2018, 58, 777–779. [Google Scholar] [CrossRef] [PubMed]
- Szalontai, K.; Gémes, N.; Furák, J.; Varga, T.; Neuperger, P.; Balog, J.Á.; Puskás, L.G.; Szebeni, G.J. Chronic Obstructive Pulmonary Disease: Epidemiology, Biomarkers, and Paving the Way to Lung Cancer. J. Clin. Med. 2021, 10, 2889. [Google Scholar] [CrossRef]
- Saab, S.; Zalzale, H.; Rahal, Z.; Khalifeh, Y.; Sinjab, A.; Kadara, H. Insights Into Lung Cancer Immune-Based Biology, Prevention, and Treatment. Front. Immunol. 2020, 11, 159. [Google Scholar] [CrossRef] [PubMed]
- Dai, J.; Yang, P.; Cox, A.; Jiang, G. Lung Cancer and Chronic Obstructive Pulmonary Disease: From a Clinical Perspective. Oncotarget 2017, 8, 18513–18524. [Google Scholar] [CrossRef]
- Yi, Y.-S.; Ban, W.H.; Sohng, K.-Y. Effect of COPD on Symptoms, Quality of Life and Prognosis in Patients with Advanced Non-Small Cell Lung Cancer. BMC Cancer 2018, 18, 1053. [Google Scholar] [CrossRef]
- de Torres, J.P.; Marín, J.M.; Casanova, C.; Cote, C.; Carrizo, S.; Cordoba-Lanus, E.; Baz-Dávila, R.; Zulueta, J.J.; Aguirre-Jaime, A.; Saetta, M.; et al. Lung Cancer in Patients with Chronic Obstructive Pulmonary Disease. Am. J. Respir. Crit. Care Med. 2011, 184, 913–919. [Google Scholar] [CrossRef]
- Lee, J.H.; Song, E.M.; Sim, Y.S.; Ryu, Y.J.; Chang, J.H. Forced Expiratory Volume in One Second as a Prognostic Factor in Advanced Non-Small Cell Lung Cancer. J. Thorac. Oncol. 2011, 6, 305–309. [Google Scholar] [CrossRef]
- Zhai, R.; Yu, X.; Shafer, A.; Wain, J.C.; Christiani, D.C. The Impact of Coexisting COPD on Survival of Patients with Early-Stage Non-Small Cell Lung Cancer Undergoing Surgical Resection. Chest 2014, 145, 346–353. [Google Scholar] [CrossRef]
- Murakami, J.; Ueda, K.; Sano, F.; Hayashi, M.; Nishimoto, A.; Hamano, K. Pulmonary Emphysema and Tumor Microenvironment in Primary Lung Cancer. J. Surg. Res. 2016, 200, 690–697. [Google Scholar] [CrossRef]
- Tan, L.-E.; Razak, A.; Lim, C.-S. Association of Chronic Obstructive Pulmonary Disease and Postresection Lung Cancer Survival: A Systematic Review and Meta-Analysis. J. Investig. Med. 2017, 65, 342–352. [Google Scholar] [CrossRef]
- Gao, Y.; Guan, W.; Liu, Q.; Wang, H.; Zhu, Y.; Chen, R.; Zhang, G. Impact of COPD and Emphysema on Survival of Patients with Lung Cancer: A Meta-analysis of Observational Studies. Respirology 2016, 21, 269–279. [Google Scholar] [CrossRef]
- Wang, W.; Xie, M.; Dou, S.; Cui, L.; Zheng, C.; Xiao, W. The Link between Chronic Obstructive Pulmonary Disease Phenotypes and Histological Subtypes of Lung Cancer: A Case&Control Study. Int. J. Chronic Obs. Pulm. Dis. 2018, 13, 1167–1175. [Google Scholar] [CrossRef]
- Lim, J.U.; Yeo, C.D.; Rhee, C.K.; Kim, Y.H.; Park, C.K.; Kim, J.S.; Kim, J.W.; Kim, S.J.; Yoon, H.K.; Lee, S.H. Overall Survival of Driver Mutation-Negative Non-Small Cell Lung Cancer Patients with COPD under Chemotherapy Compared to Non-COPD Non-Small Cell Lung Cancer Patients. Int. J. Chronic Obstr. Pulm. Dis. 2018, 13, 2139–2146. [Google Scholar] [CrossRef] [PubMed]
- Lim, J.U.; Yeo, C.D.; Rhee, C.K.; Kang, H.S.; Park, C.K.; Kim, J.S.; Kim, J.W.; Kim, S.J.; Yoon, H.K.; Lee, S.H. Comparison of Clinical Characteristics and Overall Survival between Spirometrically Diagnosed Chronic Obstructive Pulmonary Disease (COPD) and Non-COPD Never-Smoking Stage I-IV Non-Small Cell Lung Cancer Patients. Int. J. Chronic Obstr. Pulm. Dis. 2019, 14, 929–938. [Google Scholar] [CrossRef] [PubMed]
- Maeda, R.; Tomita, M.; Usuda, K.; Uramoto, H. Clinicopathologic Characteristics of Non-Small Cell Lung Cancer in Patients with Smoking-Related Chronic Obstructive Pulmonary Disease. Gen. Thorac. Cardiovasc. Surg. 2019, 67, 239–246. [Google Scholar] [CrossRef] [PubMed]
- Lim, C.G.; Shin, K.M.; Lim, J.K.; Kim, H.J.; Kim, W.H.; Cho, S.H.; Kim, G.C.; Lim, J.; Jeong, J.Y.; Cha, S. Emphysema Is Associated with the Aggressiveness of COPD-related Adenocarcinomas. Clin. Respir. J. 2020, 14, 405–412. [Google Scholar] [CrossRef] [PubMed]
- Izquierdo, J.L.; Resano, P.; El Hechem, A.; Almonacid, C.; Graziani, D.; Sanchez, I. Impact of COPD in Patients with Lung Cancer and Advanced Disease Treated with Chemotherapy and/or Tyrosine Kinase Inhibitors. Int. J. Chronic Obstr. Pulm. Dis. 2014, 9, 1053. [Google Scholar] [CrossRef] [PubMed][Green Version]
- Ytterstad, E.; Moe, P.; Hjalmarsen, A. COPD in Primary Lung Cancer Patients: Prevalence and Mortality. Int. J. Chronic Obstr. Pulm. Dis. 2016, 11, 625. [Google Scholar] [CrossRef]
- Jackutė, J.; Žemaitis, M.; Pranys, D.; Šitkauskienė, B.; Miliauskas, S.; Bajoriūnas, V.; Sakalauskas, R. Distribution of CD4+ and CD8+ T Cells in Tumor Islets and Stroma from Patients with Non-Small Cell Lung Cancer in Association with COPD and Smoking. Medicina 2015, 51, 263–271. [Google Scholar] [CrossRef] [PubMed]
- Biton, J.; Ouakrim, H.; Dechartres, A.; Alifano, M.; Mansuet-Lupo, A.; Si, H.; Halpin, R.; Creasy, T.; Bantsimba-Malanda, C.; Arrondeau, J.; et al. Impaired Tumor-Infiltrating T Cells in Patients with Chronic Obstructive Pulmonary Disease Impact Lung Cancer Response to PD-1 Blockade. Am. J. Respir. Crit. Care Med. 2018, 198, 928–940. [Google Scholar] [CrossRef] [PubMed]
- Mark, N.M.; Kargl, J.; Busch, S.E.; Yang, G.H.Y.; Metz, H.E.; Zhang, H.; Hubbard, J.J.; Pipavath, S.N.J.; Madtes, D.K.; Houghton, A.M. Chronic Obstructive Pulmonary Disease Alters Immune Cell Composition and Immune Checkpoint Inhibitor Efficacy in Non–Small Cell Lung Cancer. Am. J. Respir. Crit. Care Med. 2018, 197, 325–336. [Google Scholar] [CrossRef] [PubMed]
- Chalela, R.; Gea, J.; Barreiro, E. Immune Phenotypes in Lung Cancer Patients with COPD: Potential Implications for Immunotherapy. J. Thorac. Dis. 2018, 10, S2186–S2189. [Google Scholar] [CrossRef] [PubMed]
- Szentkereszty, M.; Komlósi, Z.I.; Szűcs, G.; Barna, G.; Tamási, L.; Losonczy, G.; Gálffy, G. Effect of COPD on Inflammation, Lymphoid Functions and Progression-Free Survival during First-Line Chemotherapy in Advanced Non-Small Cell Lung Cancer. Pathol. Oncol. Res. 2020, 26, 1117–1128. [Google Scholar] [CrossRef]
- Schiavon, M.; Marulli, G.; Nannini, N.; Pasello, G.; Lunardi, F.; Balestro, E.; Perissinotto, E.; Rebusso, A.; Saetta, M.; Rea, F.; et al. COPD-Related Adenocarcinoma Presents Low Aggressiveness Morphological and Molecular Features Compared to Smoker Tumours. Lung Cancer 2014, 86, 311–317. [Google Scholar] [CrossRef]
- Detterbeck, F.C.; Boffa, D.J.; Kim, A.W.; Tanoue, L.T. The Eighth Edition Lung Cancer Stage Classification. Chest 2017, 151, 193–203. [Google Scholar] [CrossRef]
- Travis, W.D.; Brambilla, E.; Burke, A.P.; Marx, A.; Nicholson, A.G. Introduction to The 2015 World Health Organization Classification of Tumors of the Lung, Pleura, Thymus, and Heart. J. Thorac. Oncol. 2015, 10, 1240–1242. [Google Scholar] [CrossRef]
- Benjamini, Y.; Hochberg, Y. Controlling the False Discovery Rate: A Practical and Powerful Approach to Multiple Testing. J. R. Stat. Soc. Ser. B Methodol. 1995, 57, 289–300. [Google Scholar] [CrossRef]
- Kursa, M.B.; Rudnicki, W.R. Feature Selection with the Boruta Package. J. Stat. Softw. 2010, 36, 1–13. [Google Scholar] [CrossRef]
- Young, R.P.; Hopkins, R.J.; Christmas, T.; Black, P.N.; Metcalf, P.; Gamble, G.D. COPD Prevalence Is Increased in Lung Cancer, Independent of Age, Sex and Smoking History. Eur. Respir. J. 2009, 34, 380–386. [Google Scholar] [CrossRef]
- Wilson, D.O.; Weissfeld, J.L.; Balkan, A.; Schragin, J.G.; Fuhrman, C.R.; Fisher, S.N.; Wilson, J.; Leader, J.K.; Siegfried, J.M.; Shapiro, S.D.; et al. Association of Radiographic Emphysema and Airflow Obstruction with Lung Cancer. Am. J. Respir. Crit. Care Med. 2008, 178, 738–744. [Google Scholar] [CrossRef]
- Skillrud, D.M.; Offord, K.P.; Miller, R.D. Higher Risk of Lung Cancer in Chronic Obstructive Pulmonary Disease. Ann. Intern. Med. 1986, 105, 503. [Google Scholar] [CrossRef]
- Wasswa-Kintu, S. Relationship between Reduced Forced Expiratory Volume in One Second and the Risk of Lung Cancer: A Systematic Review and Meta-Analysis. Thorax 2005, 60, 570–575. [Google Scholar] [CrossRef]
- Calabro, E.; Randi, G.; La Vecchia, C.; Sverzellati, N.; Marchiano, A.; Villani, M.; Zompatori, M.; Cassandro, R.; Harari, S.; Pastorino, U. Lung Function Predicts Lung Cancer Risk in Smokers: A Tool for Targeting Screening Programmes. Eur. Respir. J. 2010, 35, 146–151. [Google Scholar] [CrossRef]
- Kuo, C.-H.; Wu, C.-Y.; Lee, K.-Y.; Lin, S.-M.; Chung, F.-T.; Lo, Y.-L.; Liu, C.-Y.; Hsiung, T.-C.; Yang, C.-T.; Wu, Y.-C. Chronic Obstructive Pulmonary Disease in Stage I Non-Small Cell Lung Cancer That Underwent Anatomic Resection: The Role of a Recurrence Promoter. COPD J. Chronic Obstr. Pulm. Dis. 2014, 11, 407–413. [Google Scholar] [CrossRef]
- Kawaguchi, T.; Takada, M.; Kubo, A.; Matsumura, A.; Fukai, S.; Tamura, A.; Saito, R.; Maruyama, Y.; Kawahara, M.; Ignatius Ou, S.-H. Performance Status and Smoking Status Are Independent Favorable Prognostic Factors for Survival in Non-Small Cell Lung Cancer: A Comprehensive Analysis of 26,957 Patients with NSCLC. J. Thorac. Oncol. 2010, 5, 620–630. [Google Scholar] [CrossRef]
- Forder, A.; Zhuang, R.; Souza, V.G.P.; Brockley, L.J.; Pewarchuk, M.E.; Telkar, N.; Stewart, G.L.; Benard, K.; Marshall, E.A.; Reis, P.P.; et al. Mechanisms Contributing to the Comorbidity of COPD and Lung Cancer. Int. J. Mol. Sci. 2023, 24, 2859. [Google Scholar] [CrossRef]
- Gkogkou, C.; Frangia, K.; Saif, M.W.; Trigidou, R.; Syrigos, K. Necrosis and Apoptotic Index as Prognostic Factors in Non-Small Cell Lung Carcinoma: A Review. Springerplus 2014, 3, 120. [Google Scholar] [CrossRef][Green Version]
- Suzuki, K.; Yokose, T.; Yoshida, J.; Nishimura, M.; Takahashi, K.; Nagai, K.; Nishiwaki, Y. Prognostic Significance of the Size of Central Fibrosis in Peripheral Adenocarcinoma of the Lung. Ann. Thorac. Surg. 2000, 69, 893–897. [Google Scholar] [CrossRef]
- Qi, C.; Sun, S.-W.; Xiong, X.-Z. From COPD to Lung Cancer: Mechanisms Linking, Diagnosis, Treatment, and Prognosis. Int. J. Chronic Obstr. Pulm. Dis. 2022, 17, 2603–2621. [Google Scholar] [CrossRef]
- Thorpe, L.M.; Yuzugullu, H.; Zhao, J.J. PI3K in Cancer: Divergent Roles of Isoforms, Modes of Activation and Therapeutic Targeting. Nat. Rev. Cancer 2015, 15, 7–24. [Google Scholar] [CrossRef]
- Wang, Y.; Wang, Y.; Li, J.; Li, J.; Che, G. Clinical Significance of PIK3CA Gene in Non-Small-Cell Lung Cancer: A Systematic Review and Meta-Analysis. BioMed Res. Int. 2020, 2020, 3608241. [Google Scholar] [CrossRef]
- Braakhuis, B.J.M.; Tabor, M.P.; Kummer, J.A.; Leemans, C.R.; Brakenhoff, R.H. A Genetic Explanation of Slaughter’s Concept of Field Cancerization: Evidence and Clinical Implications. Cancer Res. 2003, 63, 1727–1730. [Google Scholar]
- Nelson, M.A.; Wymer, J.; Clements, N. Detection of K-Ras Gene Mutations in Non-Neoplastic Lung Tissue and Lung Cancers. Cancer Lett. 1996, 103, 115–121. [Google Scholar] [CrossRef]
- Tellaetxe-Abete, M.; Calvo, B.; Lawrie, C. Ideafix: A Decision Tree-Based Method for the Refinement of Variants in FFPE DNA Sequencing Data. NAR Genom. Bioinform. 2021, 3, lqab092. [Google Scholar] [CrossRef] [PubMed]
- Lancaster, H.L.; Heuvelmans, M.A.; Oudkerk, M. Low-dose Computed Tomography Lung Cancer Screening: Clinical Evidence and Implementation Research. J. Intern. Med. 2022, 292, 68–80. [Google Scholar] [CrossRef] [PubMed]




| Characteristics | COPD/Smoker LUAD N = 38 | Non-COPD/Smoker LUAD N = 54 | Non-COPD/Non-Smoker LUAD N = 18 | p-Value a | q-Value b |
|---|---|---|---|---|---|
| Sex | 0.001 | 0.015 | |||
| males | 30 (79%) | 34 (63%) | 5 (28%) | ||
| females | 8 (21%) | 20 (37%) | 13 (72%) | ||
| Age | 72 (68, 75) | 69 (62, 73) | 65 (59, 72) | 0.11 | 0.3 |
| GOLD stage | >0.9 | >0.9 | |||
| I | 18 (47.5%) | 0 (NA%) | 0 (NA%) | ||
| II | 18 (47.5%) | 0 (NA%) | 0 (NA%) | ||
| III | 2 (5%) | 0 (NA%) | 0 (NA%) | ||
| Smoking history (pack years) | 40 (27.5–50) | 36 (22–50) | - | 0.245 | 0.67 |
| FEV1 (% of predict) | 76 (64, 87) | 93 (88, 113) | 117 (104, 130) | <0.001 | <0.001 |
| FEV1/FV (% of predict) | 67 (58, 70) | 83 (78, 85) | 82 (78, 86) | <0.001 | <0.001 |
| FVC (% of predict) | 92 (74, 101) | 92 (82, 105) | 119 (108, 128) | <0.001 | 0.002 |
| DLCO/VA (%) | 70 (48, 89) | 80 (65, 91) | 84 (81, 99) | 0.085 | 0.2 |
| SUV | 6 (2, 11) | 6 (2, 12) | 2 (1, 5) | 0.061 | 0.2 |
| WBC (n × 109/L) | 7.35 (5.78, 8.68) | 6.92 (5.45, 9.30) | 5.52 (4.70, 7.01) | 0.012 | 0.072 |
| RBC (n × 1012/L) | 4.50 (4.18, 5.00) | 4.42 (4.14, 4.77) | 4.62 (4.21, 4.96) | 0.7 | 0.8 |
| HgB (g/dL) | 13.70 (12.35, 14.65) | 13.70 (12.50, 14.70) | 13.80 (13.03, 14.80) | 0.7 | 0.8 |
| Neutrophils (n × 109/L) | 4.40 (3.54, 5.74) | 4.02 (3.06, 6.02) | 2.87 (2.81, 4.52) | 0.046 | 0.2 |
| Neutrophils (%) | 64 (56, 69) | 62 (56, 69) | 56 (52, 66) | 0.3 | 0.4 |
| Lymphocytes (n × 109/L) | 1.77 (1.48, 2.12) | 1.75 (1.55, 2.06) | 1.62 (1.39, 1.93) | 0.7 | 0.8 |
| Lymphocytes (%) | 24 (20, 32) | 26 (20, 32) | 31 (24, 33) | 0.3 | 0.4 |
| Monocytes (n × 109/L) | 0.60 (0.49, 0.70) | 0.57 (0.42, 0.70) | 0.49 (0.40, 0.58) | 0.082 | 0.2 |
| Monocytes (%) | 8.55 (7.03, 10.05) | 8.00 (7.10, 9.80) | 9.30 (6.90, 10.50) | 0.7 | 0.8 |
| Eosinophils (n × 109/L) | 0.16 (0.06, 0.26) | 0.08 (0.05, 0.16) | 0.12 (0.06, 0.26) | 0.079 | 0.2 |
| Eosinophils (%) | 2.05 (1.33, 3.63) | 1.30 (0.80, 2.30) | 2.20 (1.30, 3.80) | 0.029 | 0.13 |
| Basophils (n × 109/L) | 0.030 (0.020, 0.040) | 0.020 (0.010, 0.030) | 0.020 (0.020, 0.030) | 0.13 | 0.3 |
| Basophils (%) | 0.40 (0.30, 0.60) | 0.30 (0.20, 0.50) | 0.40 (0.30, 0.60) | 0.2 | 0.3 |
| ESR (mm/h) | 21 (12, 32) | 20 (10, 28) | 14 (9, 20) | 0.090 | 0.2 |
| CRP (mg/L) | 2.0 (1.4, 6.9) | 2.9 (1.3, 4.7) | 0.8 (0.3, 2.9) | 0.029 | 0.13 |
| Clinical stage | 0.2 | 0.3 | |||
| IA | 7 (18.5%) | 17 (31.5%) | 6 (33%) | ||
| IB | 16 (42%) | 11 (20.5%) | 9 (50%) | ||
| IIA | 4 (10.5%) | 3 (6%) | 0 (0%) | ||
| IIB | 7 (18.5%) | 10 (18%) | 2 (11%) | ||
| IIIA | 4 (10.5%) | 10 (18%) | 1 (6%) | ||
| IIIB | 0 (0%) | 3 (6%) | 0 (0%) |
| Characteristic | COPD/Smoker LUAD N = 38 | Non-COPD/Smoker LUAD N = 54 | Non-COPD/Non-Smoker LUAD N = 18 | p-Value a | q-Value b |
|---|---|---|---|---|---|
| Tumor cells (%) | 70 (50, 80) | 65 (50, 80) | 70 (70, 80) | 0.5 | 0.7 |
| Prevalent pattern | 0.3 | 0.4 | |||
| Lepidic pattern | 1 (2.5%) | 8 (15%) | 1 (5.6%) | ||
| Acinar pattern | 28 (74%) | 32 (59%) | 14 (78%) | ||
| Papillary pattern | 1 (2.5%) | 4 (7.5%) | 0 (0%) | ||
| Solid pattern | 8 (21%) | 10 (18.5%) | 3 (17%) | ||
| Lepidic pattern (%) | 0 (0, 5) | 2 (0, 24) | 18 (5, 30) | 0.008 | 0.057 |
| Acinar pattern (%) | 60 (42, 85) | 50 (20, 75) | 60 (45, 84) | 0.14 | 0.3 |
| Papillary pattern (%) | 0 (0, 0) | 0 (0, 8) | 0 (0, 8) | 0.7 | 0.8 |
| Micropapillary pattern (%) | 0 (0, 2) | 0 (0, 1) | 0 (0, 4) | >0.9 | >0.9 |
| Solid pattern (%) | 10 (0, 35) | 0 (0, 32) | 0 (0, 0) | 0.2 | 0.3 |
| WHO Grading | |||||
| 1 | 1 (2%) | 5 (9%) | 1 (5%) | ||
| 2 | 17 (45%) | 21 (39%) | 14 (78%) | ||
| 3 | 20 (53%) | 28 (52%) | 3 (17%) | ||
| MIB1 (%) | 20 (10, 58) | 40 (20, 70) | 10 (9, 21) | 0.001 | 0.011 |
| Necrosis (%) | 0.2 | 0.3 | |||
| 0 | 6 (16%) | 12 (22%) | 7 (39%) | ||
| ≤10% | 19 (50%) | 25 (46%) | 7 (39%) | ||
| 11–30% | 4 (10%) | 7 (13%) | 4 (22%) | ||
| >30% | 9 (24%) | 10 (19%) | 0 (0%) | ||
| Inflammation (%) | 0.2 | 0.3 | |||
| 0 | 0 (0%) | 0 (0%) | 1 (6%) | ||
| ≤10% | 13 (34%) | 24 (44%) | 4 (22%) | ||
| 11–30% | 18 (47.5%) | 23 (43%) | 11 (61%) | ||
| >30% | 7 (18.5%) | 7 (13%) | 2 (11%) | ||
| Fibrosis (%) | 0.2 | 0.3 | |||
| 0 | 3 (8%) | 4 (7%) | 0 (0%) | ||
| ≤10% | 16 (42%) | 22 (41%) | 3 (17%) | ||
| 11–30% | 12 (32%) | 18 (33%) | 8 (44%) | ||
| >30% | 7 (18%) | 10 (19%) | 7 (39%) | ||
| Vascular invasion | 0.5 | 0.7 | |||
| No | 18 (47%) | 23 (43%) | 9 (50%) | ||
| Yes | 20 (53%) | 31 (57%) | 9 (50%) | ||
| Pleural invasion | 0.6 | 0.8 | |||
| No | 20 (53%) | 27 (50%) | 11 (61%) | ||
| Yes | 18 (47%) | 27 (50%) | 7 (39%) | ||
| Type of visceral pleura invasion | >0.9 | >0.9 | |||
| PL0 | 20 (53%) | 27 (50%) | 11 (61%) | ||
| PL1 | 15 (39%) | 23 (43%) | 6 (33%) | ||
| PL2 | 3 (8%) | 4 (7%) | 1 (6%) | ||
| Perineural invasion | 0.5 | 0.7 | |||
| No | 34 (89%) | 50 (93%) | 18 (100%) | ||
| Yes | 4 (11%) | 4 (7%) | 0 (0%) | ||
| Lymph node invasion | 0.089 | 0.2 | |||
| No | 30 (79%) | 38 (70%) | 17 (94%) | ||
| Yes | 8 (21%) | 16 (30%) | 1 (6%) | ||
| Type of lymph node invasion | 0.14 | 0.3 | |||
| 0 | 30 (79%) | 38 (70%) | 17 (94%) | ||
| 1 | 6 (16%) | 7 (13%) | 1 (6%) | ||
| 2 | 2 (5%) | 9 (17%) | 0 (0%) |
| Gene | COPD/Smoker LUAD N = 38 | Non-COPD/Smoker LUAD N = 54 | Non-COPD/Non-Smoker LUAD N = 18 |
|---|---|---|---|
| KRAS | 21 (55%) | 27 (50%) | 3 (17%) |
| EGFR | 9 (24%) | 12 (22%) | 10 (56%) |
| NTRK3 | 8 (21%) | 14 (26%) | 5 (28%) |
| TP53 | 10 (26%) | 15 (28%) | 4 (22%) |
| NTRK2 | 8 (21%) | 10 (19%) | 1 (6%) |
| PIK3CA | 7 (18%) | 9 (17%) | 0 (0%) |
| STK11 | 9 (24%) | 13 (24%) | 1 (6%) |
| MET | 5 (13%) | 10 (19%) | 0 (0%) |
| NOTCH1 | 6 (16%) | 11 (20%) | 2 (11%) |
| FBXW7 | 5 (13%) | 5 (9%) | 0 (0%) |
Disclaimer/Publisher’s Note: The statements, opinions and data contained in all publications are solely those of the individual author(s) and contributor(s) and not of MDPI and/or the editor(s). MDPI and/or the editor(s) disclaim responsibility for any injury to people or property resulting from any ideas, methods, instructions or products referred to in the content. |
© 2024 by the authors. Licensee MDPI, Basel, Switzerland. This article is an open access article distributed under the terms and conditions of the Creative Commons Attribution (CC BY) license (https://creativecommons.org/licenses/by/4.0/).
Share and Cite
Lunardi, F.; Nardo, G.; Lazzarini, E.; Tzorakoleftheraki, S.-E.; Comacchio, G.M.; Fonzi, E.; Tebaldi, M.; Vedovelli, L.; Pezzuto, F.; Fortarezza, F.; et al. Is There a Link between Chronic Obstructive Pulmonary Disease and Lung Adenocarcinoma? A Clinico-Pathological and Molecular Study. J. Pers. Med. 2024, 14, 839. https://doi.org/10.3390/jpm14080839
Lunardi F, Nardo G, Lazzarini E, Tzorakoleftheraki S-E, Comacchio GM, Fonzi E, Tebaldi M, Vedovelli L, Pezzuto F, Fortarezza F, et al. Is There a Link between Chronic Obstructive Pulmonary Disease and Lung Adenocarcinoma? A Clinico-Pathological and Molecular Study. Journal of Personalized Medicine. 2024; 14(8):839. https://doi.org/10.3390/jpm14080839
Chicago/Turabian StyleLunardi, Francesca, Giorgia Nardo, Elisabetta Lazzarini, Sofia-Eleni Tzorakoleftheraki, Giovanni Maria Comacchio, Eugenio Fonzi, Michela Tebaldi, Luca Vedovelli, Federica Pezzuto, Francesco Fortarezza, and et al. 2024. "Is There a Link between Chronic Obstructive Pulmonary Disease and Lung Adenocarcinoma? A Clinico-Pathological and Molecular Study" Journal of Personalized Medicine 14, no. 8: 839. https://doi.org/10.3390/jpm14080839
APA StyleLunardi, F., Nardo, G., Lazzarini, E., Tzorakoleftheraki, S.-E., Comacchio, G. M., Fonzi, E., Tebaldi, M., Vedovelli, L., Pezzuto, F., Fortarezza, F., Schiavon, M., Rea, F., Indraccolo, S., & Calabrese, F. (2024). Is There a Link between Chronic Obstructive Pulmonary Disease and Lung Adenocarcinoma? A Clinico-Pathological and Molecular Study. Journal of Personalized Medicine, 14(8), 839. https://doi.org/10.3390/jpm14080839

