Complete Favorable Response after Second-Line Immunotherapy in Stage IV Non-Small Lung Cancer with Visceral Metastases and Operated Brain Metastasis
Abstract
1. Introduction
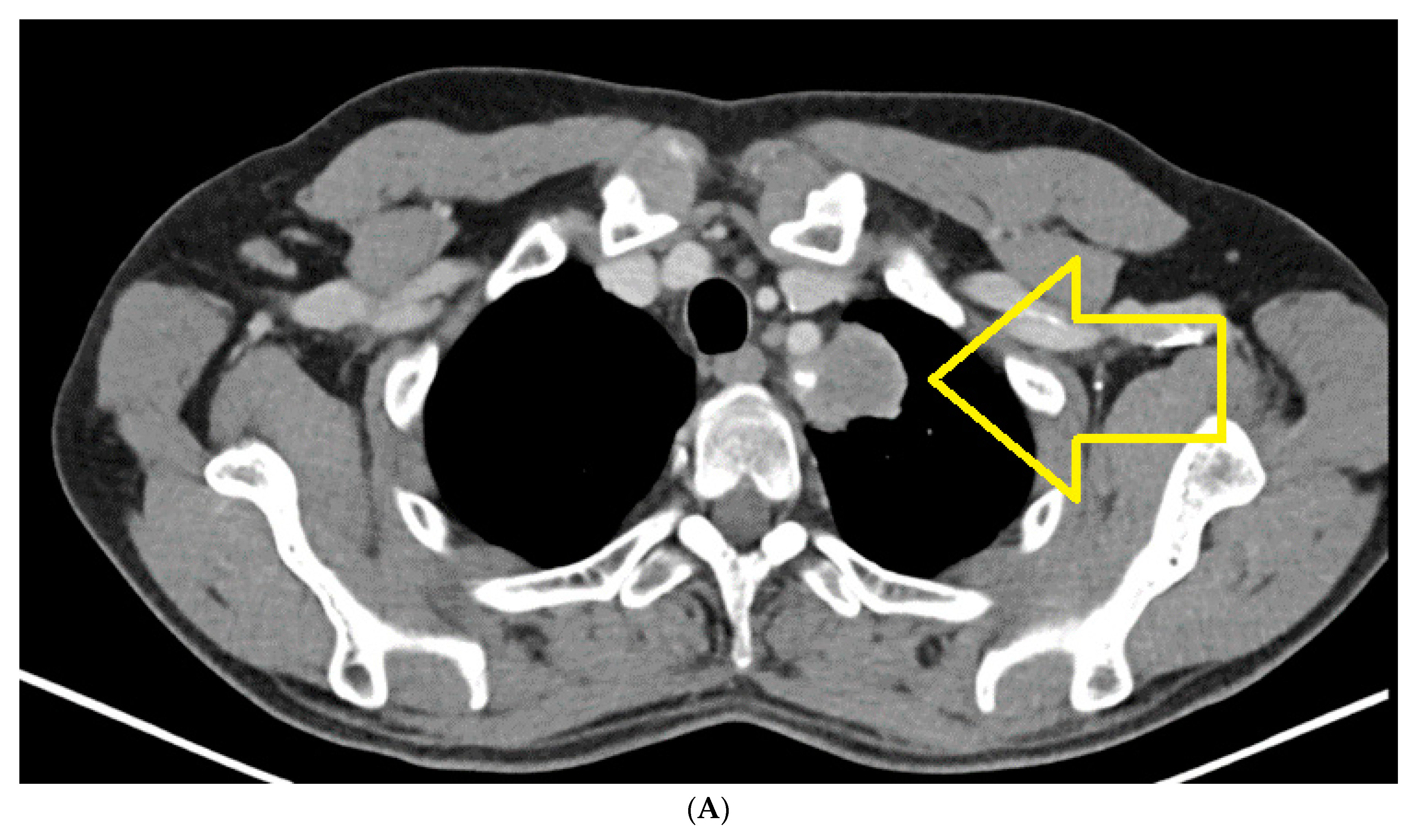
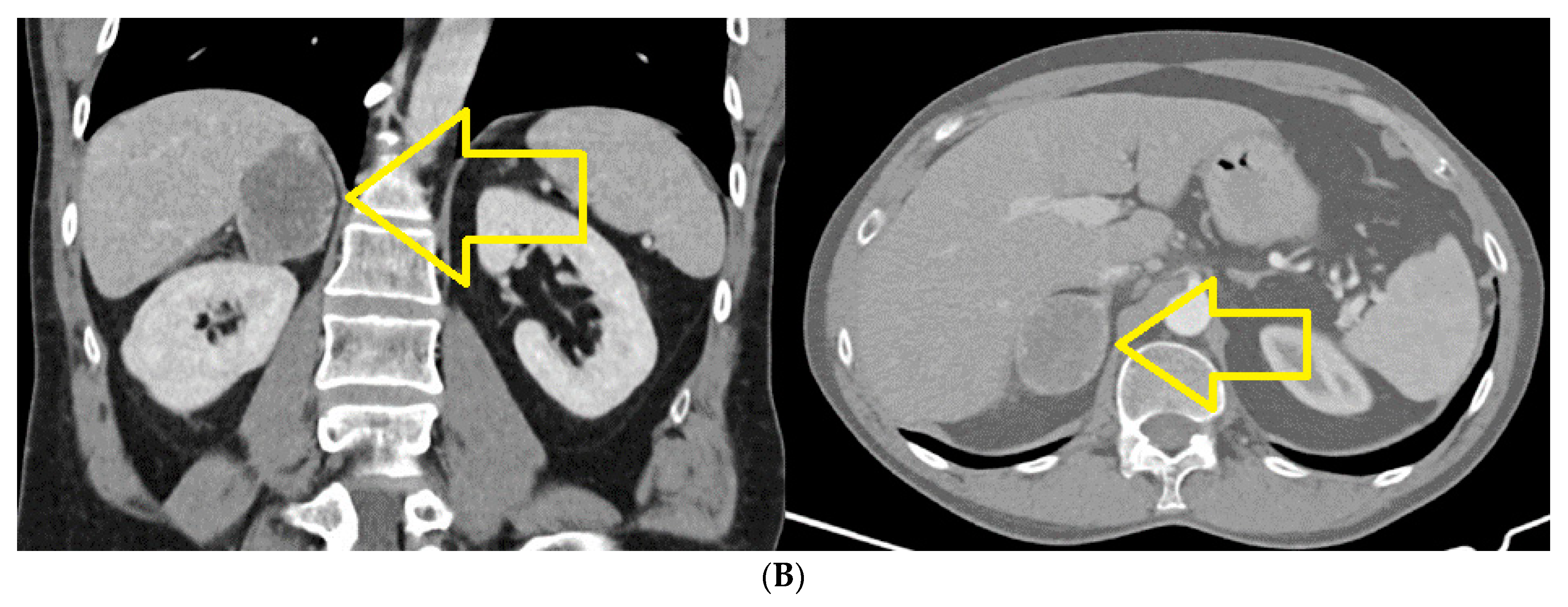
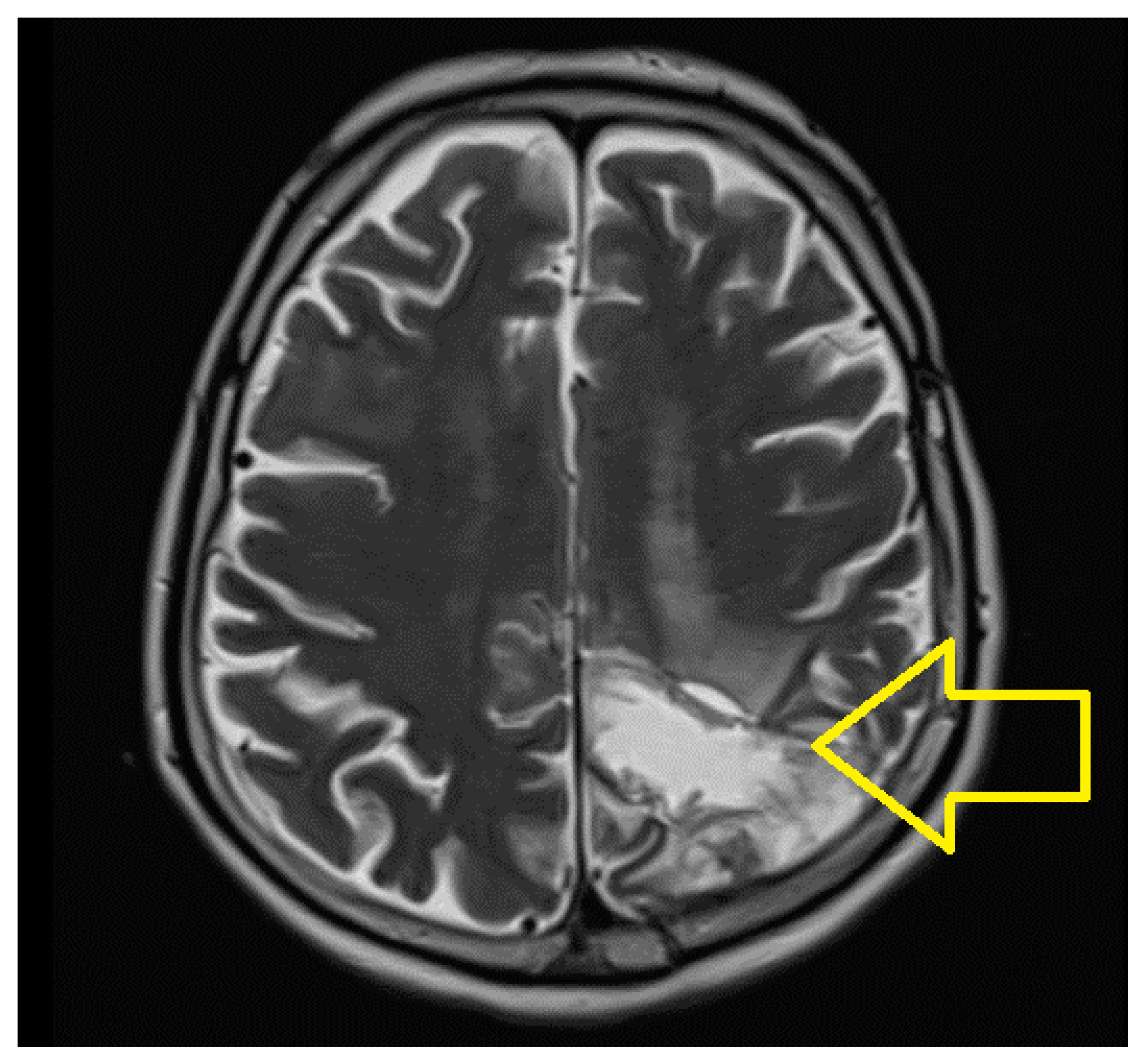
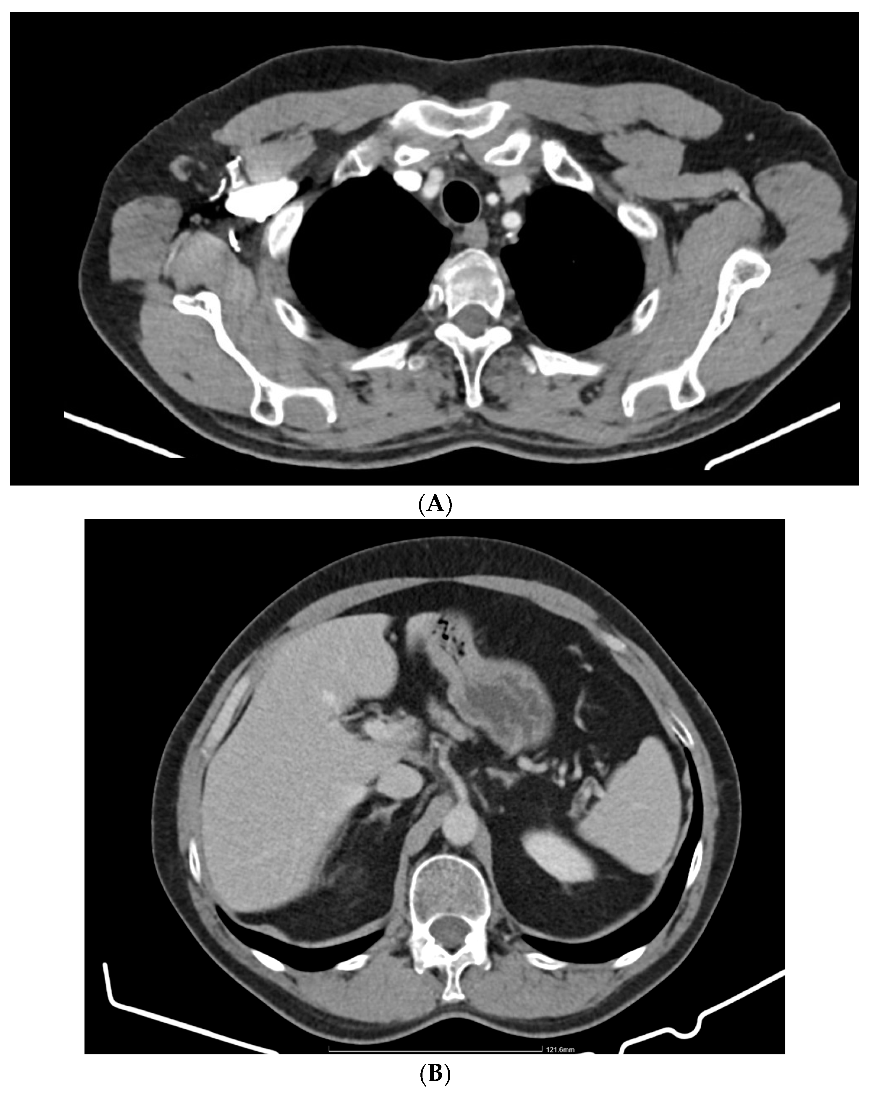
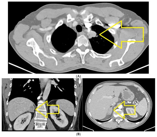
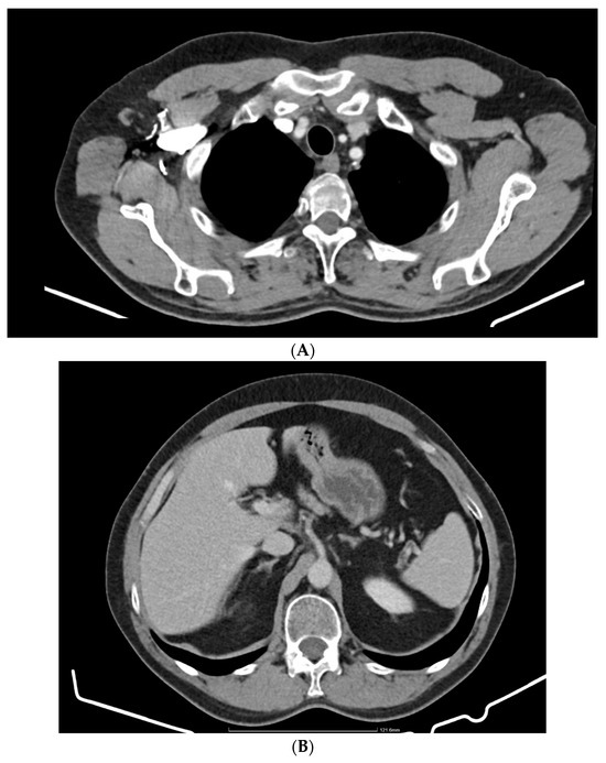
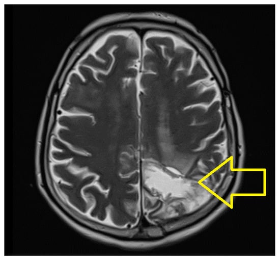
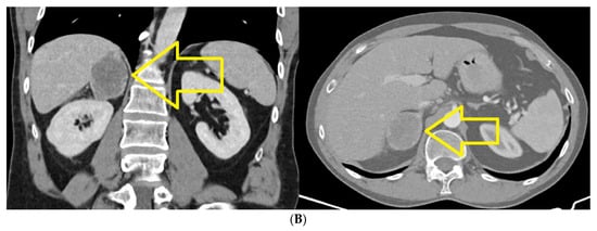
2. Case Report
3. Discussion
4. Conclusions
Author Contributions
Funding
Institutional Review Board Statement
Informed Consent Statement
Data Availability Statement
Conflicts of Interest
References
- Rodríguez-Cid, J.R.; Chards, S.C.; González-Espinoza, I.R.; García-Montes, V.; Garibay-Díaz, J.C.; Hernández-Flores, O.; Riera-Sala, R.; Gozalishvili-Boncheva, A.; Alatorre-Alexander, J.A.; Martínez-Barrera, L.M.; et al. A comparative study of immunotherapy as second-line treatment and beyond in patients with advanced non-small-cell lung carcinoma. Lung Cancer Manag. 2021, 10, LMT47. [Google Scholar] [CrossRef] [PubMed]
- Yang, X.; Lin, D. Changes of 2015 WHO Histological Classification of Lung Cancer and the Clinical Significance. Zhongguo Fei Ai Za Zhi 2016, 19, 332–336. [Google Scholar]
- International Agency for Research on Cancer (Ed.) WHO Classification of Tumours Thoracic Tumours; International Agency for Research on Cancer: Geneva, Switzerland, 2021. [Google Scholar]
- Andrew, G.; Nicholson, M.; Tsao, S.; Beasley, M.B.; Borczuk, A.C.; Brambilla, E.; Cooper, W.; Dacic, S.; Deepali, J.; Kerr, K.; et al. The 2021 WHO Classification of Lung Tumors: Impact of Advances Since 2015. J. Thorac. Oncol. 2022, 17, 362–387. [Google Scholar]
- Aoki, T.; Akiba, T.; Nishiyama, J. Analysis of key clinical features for achieving complete remission in stage III and IV non-small cell lung cancer patients. Respir. Res. 2019, 20, 263. [Google Scholar] [CrossRef] [PubMed]
- Rahnea-Nita, G.; Badiu, D.C.; Popescu, C.G.; Grigorean, V.T.; Serban, D.; Smarandache, C.G.; Rahnea-Nita, R.A.; Ciuhu, A.N.; Mandu, M.; Andronache, L.F.; et al. The impact of Coronavirus disease 2019 pandemic on the treatment of cancer patients: The first steps in this fight. Mediterr. J. Clin. Psychol. 2021, 9, 2. [Google Scholar]
- Bruera, E.; Kuehn, N.; Miller, M.J.; Selmser, P.; Macmillan, K. The Edmonton Symptom Assessment System (ESAS): A Simple Method for the Assessment of Palliative Care Patients. J. Palliat. Care 1991, 7, 6–9. [Google Scholar] [CrossRef] [PubMed]
- Chang, V.T.; Hwang, S.S.; Feuerman, M. Validation of the Edmonton Symptom Assessment Scale. Cancer 2000, 88, 2164–2171. [Google Scholar] [CrossRef]
- Hui, D.; Bruera, E. The Edmonton Symptom Assessment System 25 Years Later: Past, Present, and Future Developments. J. Pain Symptom Manag. 2017, 53, 630–643. [Google Scholar] [CrossRef] [PubMed]
- Zigmond, A.S.; Snaith, R.P. The Hospital Anxiety and Depression Scale. Acta Psychiatr. Scand. 1983, 67, 361–370. [Google Scholar] [CrossRef]
- Bjelland, I.; Dahl, A.A.; Haug, T.T.; Neckelmann, D. The validity of the Hospital Anxiety and Depression Scale. An updated literature review. J. Psychosom. Res. 2002, 52, 69–77. [Google Scholar] [CrossRef]
- Snaith, R.P. The Hospital Anxiety And Depression Scale. Health Qual. Life Outcomes 2003, 1, 29. [Google Scholar] [CrossRef] [PubMed]
- Annunziata, M.A.; Muzzatti, B.; Bidoli, E.; Flaiban, C.; Bomben, F.; Piccinin, M.; Gipponi, K.M.; Mariutti, G.; Busato, S.; Mella, S. Hospital Anxiety and Depression Scale (HADS) accuracy in cancer patients. Support Care Cancer 2020, 28, 3921–3926. [Google Scholar] [CrossRef] [PubMed]
- Tai, Q.; Zhang, L.; Hu, X. Clinical characteristics and treatments of large cell lung carcinoma: A retrospective study using SEER data. Transl. Cancer Res. 2020, 9, 1455–1464. [Google Scholar] [CrossRef] [PubMed]
- Sholl, L.M. Large-cell carcinoma of the lung: A diagnostic category redefined by immunohistochemistry and genomics. Curr. Opin. Pulm. Med. 2014, 20, 324–331. [Google Scholar] [CrossRef] [PubMed]
- Xiaochuan, L.; Jiangyong, Y.; Ping, Z.; Xiaonan, W.; Lin, L. Clinical characteristics and prognosis of pulmonary large cell carcinoma: A population-based retrospective study using SEER data. Thorac. Cancer 2020, 11, 1522–1532. [Google Scholar] [CrossRef] [PubMed]
- Liang, Z.; Wang, W.; Hu, Q.; Zhou, P.; Zhang, Y.; Tang, Y.; Wu, Q.; Fu, Y.; Li, X.; Shao, Y.; et al. Pulmonary large cell carcinoma with neuroendocrine morphology shows genetic similarity to large cell neuroendocrine carcinoma. Diagn. Pathol. 2022, 17, 26. [Google Scholar] [CrossRef] [PubMed]
- Travis, W.D.; Brambilla, E.; Nicholson, A.G.; Yatabe, Y.; Austin, J.H.M.; Beasley, M.B.; Chirieac, L.R.; Dacic, S.; Duhig, E.; Flieder, D.B.; et al. The 2015 World Health Organization Classification of Lung Tumors: Impact of Genetic, Clinical and Radiologic Advances Since the 2004 Classification. J. Thorac. Oncol. 2015, 10, 1243–1260. [Google Scholar] [CrossRef] [PubMed]
- Mengoli, M.C.; Longo, F.R.; Fraggetta, F.; Cavazza, A.; Dubini, A.; Alì, G.; Guddo, F.; Gilioli, E.; Bogina, G.; Nannini, N.; et al. The 2015 World Health Organization Classification of lung tumors: New entities since the 2004 Classification. Pathologica 2018, 110, 39–67. [Google Scholar]
- Katzenstein, A.L.; Prioleau, P.G.; Askin, F.B. The histologic spectrum and significance of clear-cell change in lung carcinoma. Cancer 1980, 45, 943–947. [Google Scholar] [CrossRef] [PubMed]
- Ayadi-Kaddour, A.; Ben Slama, S.; Braham, E.; Abid, L.; Djilani, H.; Ismail, O.; Kilani, T.; El Mezni, F. La tumeur à cellules claires du poumon. A propos d’un cas avec revue de la littérature [Clear cell tumor of the lung. A case report with review of the literature]. Rev. Pneumol. Clin. 2006, 62, 395–398. [Google Scholar] [CrossRef]
- Rebegea, L.; Stefan, A.M.; Firescu, D.; Miron, D.; Romila, A. Paraneoplastic pemphigus associated with a hypopharynx squamous cell carcinoma. Case report. Acta Medica Mediterr. 2018, 34, 1265. [Google Scholar]
- Sabbula, B.R.; Gasalberti, D.P.; Mukkamalla, S.K.R. Squamous Cell Lung Cancer. In StatPearls [Internet]; StatPearls Publishing: Treasure Island, FL, USA, 2024. Available online: https://www.ncbi.nlm.nih.gov/books/NBK564510/ (accessed on 12 July 2024).
- Aref, C.; Alakkad, A.; Uttamchandani, A.; Otsmane, S. Stage IV Non-small Cell Lung Adenocarcinoma in Complete Response for 5 Years Post-first-line Nivolumab Immunotherapy: Are We Talking about a Cure? Int. J. Med. Pharm. Case Rep. 2022, 15, 56–65. [Google Scholar]
- Quirynen, R.; Ocak, S.; Duplaquet, F.; Pirard, L. Long-term complete remission after severe pembrolizumab-induced immune-related encephalitis in metastatic lung adeno-squamous carcinoma: A case report. Respir. Med. Case Rep. 2023, 45, 101898. [Google Scholar] [CrossRef]
- Samanci, S.; Celik, N.E.; Akovalı, B.; Sager, S.; Demirelli, F.H. Complete response after ceritinib treatment in non-small cell lung cancer in an elderly patient. J. Oncol. Pharm. Pract. 2020, 26, 2031–2033. [Google Scholar] [CrossRef] [PubMed]
- Alkassis, S.; Alshare, B.; Ahmed, S. Maintained Complete Response and Long-Term Survival in Epidermal Growth Factor Receptor Mutated Metastatic Non-Small Cell Lung Cancer with Erlotinib. Cureus 2021, 13, e12451. [Google Scholar] [CrossRef]
- Brahmer, J.; Reckamp, K.L.; Baas, P.; Crinò, L.; Eberhardt, W.E.; Poddubskaya, E. Nivolumab versus docetaxel in advanced squamous-cell non-small-cell lung cancer. N. Engl. J. Med. 2015, 373, 123–135. [Google Scholar] [CrossRef]
- Herbst, R.S.; Baas, P.; Kim, D.W.; Felip, E.; Pérez-Gracia, J.L.; Han, J.Y. Pembrolizumab versus docetaxel for previously treated, PD-L1positive, advanced non-small-cell lung cancer (KEYNOTE-010): A randomised controlled trial. Lancet 2016, 387, 1540–1550. [Google Scholar] [CrossRef]
- Rittmeyer, A.; Barlesi, F.; Waterkamp, D.; Park, K.; Ciardiello, F.; von Pawel, J.; Gadgeel, S.M.; Hida, T.; Kowalski, D.M.; Dols, M.C.; et al. Atezolizumab versus docetaxel in patients with previously treated non-small-cell lung cancer (OAK): A phase 3, open-label, multicentre randomised controlled trial. Lancet 2017, 389, 255–265. [Google Scholar] [CrossRef] [PubMed]
- Rahnea-Nita, R.A.; Stoian, A.R.; Anghel, R.M.; Rebegea, L.F.; Ciuhu, A.N.; Bacinschi, X.E.; Zgura, A.F.; Trifanescu, O.G.; Toma, R.V.; Constantin, G.B.; et al. The Efficacy of Immunotherapy in Long-Term Survival in Non-Small Cell Lung Cancer (NSCLC) Associated with the Syndrome of Inappropriate Antidiuretic Hormone Secretion (SIADH). Life 2023, 13, 1279. [Google Scholar] [CrossRef]
- Guo, H.; Zhang, J.; Qin, C.; Yan, H.; Luo, X.; Zhou, H. Advances and challenges of first-line immunotherapy for non-small cell lung cancer: A review. Medicine 2024, 103, e36861. [Google Scholar] [CrossRef]
- Carbone, D.P.; Ciuleanu, T.E.; Schenker, M.; Cobo, M.; Bordenave, S.; Juan-Vidal, O.; Menezes, J.; Reinmuth, N.; Richardet, E.; Cheng, Y.; et al. Four-year clinical update and treatment switching-adjusted outcomes with first-line nivolumab plus ipilimumab with chemotherapy for metastatic non-small cell lung cancer in the CheckMate 9LA randomized trial. J. Immunother. Cancer 2024, 12, e008189. [Google Scholar] [CrossRef] [PubMed]
- Wang, Y.; Hao, Q.; Nie, J.; Dai, L.; Hu, W.; Zhang, J.; Chen, X.; Ma, X.; Tian, G.; Han, J.; et al. Nivolumab combined docetaxel versus nivolumab in patients with previously treated nonsmall cell lung cancer: A phase 2 study. Anticancer Drugs 2024, 35, 412–417. [Google Scholar] [CrossRef]
- Janopaul-Naylor, J.R.; Shen, Y.; Qian, D.C.; Buchwald, Z.S. The Abscopal Effect: A Review of Pre-Clinical and Clinical Advances. Int. J. Mol. Sci. 2021, 22, 11061. [Google Scholar] [CrossRef] [PubMed]
- Song, H.N.; Jin, H.; Kim, J.H.; Ha, I.B.; Kang, K.M.; Choi, H.S.; Jeong, H.J.; Kim, M.Y.; Kim, H.J.; Jeong, B.K. Abscopal Effect of Radiotherapy Enhanced with Immune Checkpoint Inhibitors of Triple Negative Breast Cancer in 4T1 Mammary Carcinoma Model. Int. J. Mol. Sci. 2021, 22, 10476. [Google Scholar] [CrossRef] [PubMed]
- Rahnea-Nita, R.A.; Rebegea, L.F.; Toma, R.V.; Mocanu, H.; Soare, I.; Mihailov, R.; Nechifor, A.; Guliciuc, M.; Constantin, G.B.; Rahnea-Nita, G. Immunotherapy Combined with Radiation in Malignant Melanoma without BRAF Mutations Brain Metastases—Favorable Response after Immunotherapy Continued beyond Progression. J. Pers. Med. 2024, 14, 86. [Google Scholar] [CrossRef] [PubMed]
- Rowell, N.P. The abscopal effect and its implications for radiotherapy-immunotherapy combinations. Transl. Cancer Res. 2023, 12, 8–12. [Google Scholar] [CrossRef] [PubMed]
- Dagoglu, N.; Karaman, S.; Caglar, H.B.; Oral, E.N. Abscopal Effect of Radiotherapy in the Immunotherapy Era: Systematic Review of Reported Cases. Cureus 2019, 11, e4103. [Google Scholar] [CrossRef] [PubMed]
- Hatten, S.J.; Lehrer, E.J.; Liao, J.; Sha, C.M.; Trifiletti, D.M.; Siva, S. A patient-level data meta-analysis of the abscopal effect. Adv. Radiat. Oncol. 2022, 7, 100909. [Google Scholar] [CrossRef] [PubMed]
- Abuodeh, Y.; Venkat, P.; Kim, S. Systematic review of case reports on the abscopal effect. Curr. Probl. Cancer 2016, 40, 25–37. [Google Scholar] [CrossRef]






Disclaimer/Publisher’s Note: The statements, opinions and data contained in all publications are solely those of the individual author(s) and contributor(s) and not of MDPI and/or the editor(s). MDPI and/or the editor(s) disclaim responsibility for any injury to people or property resulting from any ideas, methods, instructions or products referred to in the content. |
© 2024 by the authors. Licensee MDPI, Basel, Switzerland. This article is an open access article distributed under the terms and conditions of the Creative Commons Attribution (CC BY) license (https://creativecommons.org/licenses/by/4.0/).
Share and Cite
Rahnea-Nita, R.-A.; Rebegea, L.-F.; Toma, R.-V.; Nechifor, A.; Constantin, G.B.; Rahnea-Nita, G. Complete Favorable Response after Second-Line Immunotherapy in Stage IV Non-Small Lung Cancer with Visceral Metastases and Operated Brain Metastasis. J. Pers. Med. 2024, 14, 754. https://doi.org/10.3390/jpm14070754
Rahnea-Nita R-A, Rebegea L-F, Toma R-V, Nechifor A, Constantin GB, Rahnea-Nita G. Complete Favorable Response after Second-Line Immunotherapy in Stage IV Non-Small Lung Cancer with Visceral Metastases and Operated Brain Metastasis. Journal of Personalized Medicine. 2024; 14(7):754. https://doi.org/10.3390/jpm14070754
Chicago/Turabian StyleRahnea-Nita, Roxana-Andreea, Laura-Florentina Rebegea, Radu-Valeriu Toma, Alexandru Nechifor, Georgiana Bianca Constantin, and Gabriela Rahnea-Nita. 2024. "Complete Favorable Response after Second-Line Immunotherapy in Stage IV Non-Small Lung Cancer with Visceral Metastases and Operated Brain Metastasis" Journal of Personalized Medicine 14, no. 7: 754. https://doi.org/10.3390/jpm14070754
APA StyleRahnea-Nita, R.-A., Rebegea, L.-F., Toma, R.-V., Nechifor, A., Constantin, G. B., & Rahnea-Nita, G. (2024). Complete Favorable Response after Second-Line Immunotherapy in Stage IV Non-Small Lung Cancer with Visceral Metastases and Operated Brain Metastasis. Journal of Personalized Medicine, 14(7), 754. https://doi.org/10.3390/jpm14070754

