Predictive Value of Ultrasound-Measured Quadriceps Depth and Frailty Status for Hypotension in Older Patients Undergoing Reverse Total Shoulder Arthroplasty in the Beach Chair Position under General Anesthesia
Abstract
1. Introduction
2. Materials and Methods
2.1. Study Population
2.2. Anesthetic Procedure
2.3. Hypotension in BCP
2.4. Measurements
2.4.1. Frailty: Reported Edmonton Frail Scale (REFS)
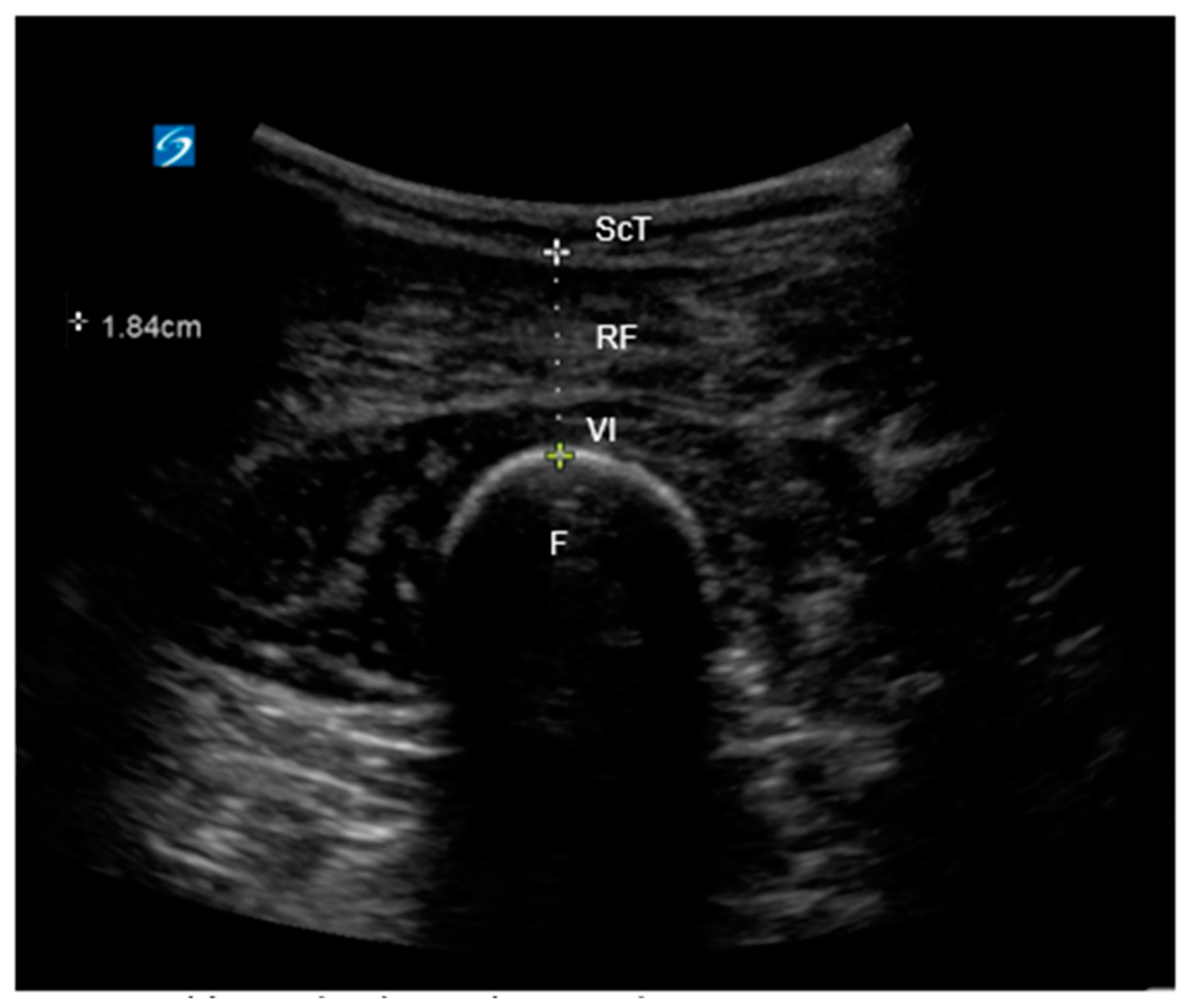
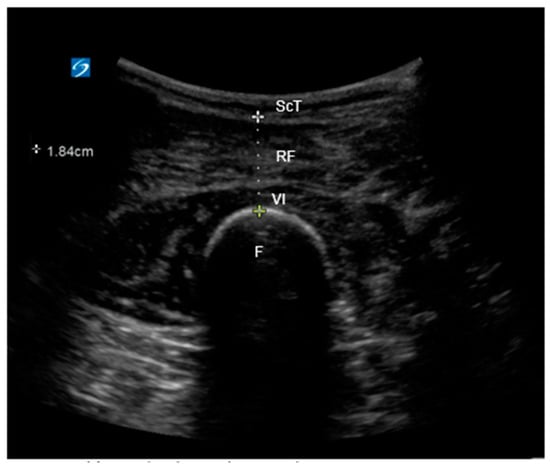
2.4.2. Ultrasound Image Acquisition and Measurement of Quadriceps Depth
2.5. Statistical Analysis
3. Results
3.1. Study Population
3.2. Clinical Characteristics of Patients Experiencing BCP-Induced Hypotension
3.3. Risk Factors for Hypotension Induced by BCP
3.4. Predictors of Hypotension during BCP
4. Discussion
Author Contributions
Funding
Institutional Review Board Statement
Informed Consent Statement
Data Availability Statement
Acknowledgments
Conflicts of Interest
References
- Kriechling, P.; Loucas, R.; Loucas, M.; Künzler, T.; Gerber, C.; Wieser, K. Primary Reverse Total Shoulder Arthroplasty in Patients Older than 80 Years: Clinical and Radiologic Outcome Measures. J. Shoulder Elb. Surg. 2021, 30, 877–883. [Google Scholar] [CrossRef] [PubMed]
- Li, X.; Eichinger, J.K.; Hartshorn, T.; Zhou, H.; Matzkin, E.G.; Warner, J.P. A Comparison of the Lateral Decubitus and Beach-Chair Positions for Shoulder Surgery: Advantages and Complications. J. Am. Acad. Orthop. Surg. 2015, 23, 18–28. [Google Scholar] [CrossRef] [PubMed]
- Choi, J.W.; Kim, D.K.; Jeong, H.J.; Kim, Y.R.; Chung, Y.J.; Son, Y.H. Risk Factors Associated with Hypotensive Bradycardic Events During Open Shoulder Surgery in the Beach Chair Position. Korean J. Anesthesiol. 2021, 74, 38–44. [Google Scholar] [CrossRef] [PubMed]
- Murphy, G.S.; Greenberg, S.B.; Szokol, J.W. Safety of Beach Chair Position Shoulder Surgery: A Review of the Current Literature. Anesth. Analg. 2019, 129, 101–118. [Google Scholar] [CrossRef] [PubMed]
- Jo, Y.Y.; Jung, W.S.; Kim, H.S.; Chang, Y.J.; Kwak, H.J. Prediction of Hypotension in the Beach Chair Position During Shoulder Arthroscopy Using Pre-operative Hemodynamic Variables. J. Clin. Monit. Comput. 2014, 28, 173–178. [Google Scholar] [CrossRef] [PubMed]
- James, L.A.; Levin, M.A.; Lin, H.-M.; Deiner, S.G. Association of Preoperative Frailty with Intraoperative Hemodynamic Instability and Postoperative Mortality. Anesth. Analg. 2019, 128, 1279–1285. [Google Scholar] [CrossRef] [PubMed]
- Lee, H.J.; Kim, Y.J.; Woo, J.H.; Oh, H.-W. Preoperative Frailty Is an Independent Risk Factor for Postinduction Hypotension in Older Patients Undergoing Noncardiac Surgery: A Retrospective Cohort Study. J. Gerontol. A Biol. Sci. Med. Sci. 2024, 79, glad229. [Google Scholar] [CrossRef] [PubMed]
- Lee, Y.Y.; Woo, J.H.; Yoon, I.-Y.; Lee, H.J.; Ahn, S.-M.; Chae, J.S.; Kim, Y.J. Predictability of Radiologically Measured Psoas Muscle Area for Intraoperative Hypotension in Older Adult Patients Undergoing Femur Fracture Surgery. J. Clin. Med. 2023, 12, 1691. [Google Scholar] [CrossRef] [PubMed]
- Canales, C.; Mazor, E.; Coy, H.; Grogan, T.R.; Duval, V.; Raman, S.; Cannesson, M.; Singh, S.P. Preoperative Point-of-Care Ultrasound to Identify Frailty and Predict Postoperative Outcomes: A Diagnostic Accuracy Study. Anesthesiology 2022, 136, 268–278. [Google Scholar] [CrossRef] [PubMed]
- Ayyash, R.; Knight, J.; Kothmann, E.; Eid, M.; Ayyash, K.; Colling, K.; Yates, D.; Mill, A.; Danjoux, G. Utility and Reliability of the Clinical Frailty Scale in Patients Scheduled for Major Vascular Surgery: A Prospective, Observational, Multicentre Observer-Blinded Study. Perioper. Med. 2022, 11, 6. [Google Scholar] [CrossRef]
- Salmasi, V.; Maheshwari, K.; Yang, D.; Mascha, E.J.; Singh, A.; Sessler, D.I.; Kurz, A. Relationship Between Intraoperative Hypotension, Defined by Either Reduction from Baseline or Absolute Thresholds, and Acute Kidney and Myocardial Injury After Noncardiac Surgery: A Retrospective Cohort Analysis. Anesthesiology 2017, 126, 47–65. [Google Scholar] [CrossRef] [PubMed]
- Rockwood, K.; Mitnitski, A. Frailty in Relation to the Accumulation of Deficits. J. Gerontol. A Biol. Sci. Med. Sci. 2007, 62, 722–727. [Google Scholar] [CrossRef] [PubMed]
- Jeong, H.; Jeong, S.; Lim, H.J.; Lee, J.; Yoo, K.Y. Cerebral Oxygen Saturation Measured by Near-Infrared Spectroscopy and Jugular Venous Bulb Oxygen Saturation During Arthroscopic Shoulder Surgery in Beach Chair Position Under Sevoflurane-Nitrous Oxide or Propofol-Remifentanil Anesthesia. Anesthesiology 2012, 116, 1047–1056. [Google Scholar] [CrossRef] [PubMed]
- Hanouz, J.-L.; Fiant, A.-L.; Gérard, J.-L. Middle Cerebral Artery Blood Flow Velocity during Beach Chair Position for Shoulder Surgery under General Anesthesia. J. Clin. Anesth. 2016, 33, 31–36. [Google Scholar] [CrossRef] [PubMed]
- Pin-on, P.; Schroeder, D.; Munis, J. The Hemodynamic Management of 5177 Neurosurgical and Orthopedic Patients Who Underwent Surgery in the Sitting or “Beach Chair” Position without Incidence of Adverse Neurologic Events. Anesth. Analg. 2013, 116, 1317–1324. [Google Scholar] [CrossRef]
- Buhre, W.; Weyland, A.; Buhre, K.; Kazmaier, S.; Mursch, K.; Schmidt, M.; Sydow, M.; Sonntag, H. Effects of the Sitting Position on the Distribution of Blood Volume in Patients Undergoing Neurosurgical Procedures. Br. J. Anaesth. 2000, 84, 354–357. [Google Scholar] [CrossRef] [PubMed]
- Matzen, S.; Perko, G.; Groth, S.; Friedman, D.B.; Secher, N.H. Blood Volume Distribution During Head-Up Tilt Induced Central Hypovolaemia in Man. Clin. Physiol. 1991, 11, 411–422. [Google Scholar] [CrossRef] [PubMed]
- Wieling, W.; Krediet, C.T.P.; van Dijk, N.; Linzer, M.; Tschakovsky, M.E. Initial Orthostatic Hypotension: Review of a Forgotten Condition. Clin. Sci. 2007, 112, 157–165. [Google Scholar] [CrossRef] [PubMed]
- Christopoulos, E.M.; Reijnierse, E.M.; Lange, P.W.; Meskers, C.G.M.; Maier, A.B. Orthostatic Hypotension and Orthostatic Intolerance Symptoms in Geriatric Rehabilitation Inpatients, RESORT. J. Am. Med. Dir. Assoc. 2021, 22, 2468–2477.e2. [Google Scholar] [CrossRef] [PubMed]
- Romero-Ortuno, R.; Cogan, L.; O’Shea, D.; Lawlor, B.A.; Kenny, R.A. Orthostatic Haemodynamics May Be Impaired in Frailty. Age Ageing 2011, 40, 576–583. [Google Scholar] [CrossRef] [PubMed]
- Joseph, A.; Wanono, R.; Flamant, M.; Vidal-Petiot, E. Orthostatic Hypotension: A Review. Nephrol. Ther. 2017, 13, S55–S67. [Google Scholar] [CrossRef] [PubMed]
- Kocyigit, S.E.; Soysal, P.; Bulut, E.A.; Aydin, A.E.; Dokuzlar, O.; Isik, A.T. What Is the Relationship Between Frailty and Orthostatic Hypotension in Older Adults? J. Geriatr. Cardiol. 2019, 16, 272–279. [Google Scholar] [CrossRef] [PubMed]
- Varadhan, R.; Chaves, P.H.M.; Lipsitz, L.A.; Stein, P.K.; Tian, J.; Windham, B.G.; Berger, R.D.; Fried, L.P. Frailty and Impaired Cardiac Autonomic Control: New Insights from Principal Components Aggregation of Traditional Heart Rate Variability Indices. J. Gerontol. A Biol. Sci. Med. Sci. 2009, 64, 682–687. [Google Scholar] [CrossRef] [PubMed]
- Soysal, P.; Kocyigit, S.E.; Dokuzlar, O.; Ates Bulut, E.; Smith, L.; Isik, A.T. Relationship Between Sarcopenia and Orthostatic Hypotension. Age Ageing 2020, 49, 959–965. [Google Scholar] [CrossRef] [PubMed]
- Magkas, N.; Tsioufis, C.; Thomopoulos, C.; Dilaveris, P.; Georgiopoulos, G.; Sanidas, E.; Papademetriou, V.; Tousoulis, D. Orthostatic Hypotension: From Pathophysiology to Clinical Applications and Therapeutic Considerations. J. Clin. Hypertens. 2019, 21, 546–554. [Google Scholar] [CrossRef] [PubMed]
- Cabello-Verrugio, C.; Morales, M.G.; Rivera, J.C.; Cabrera, D.; Simon, F. Renin-Angiotensin System: An Old Player with Novel Functions in Skeletal Muscle. Med. Res. Rev. 2015, 35, 437–463. [Google Scholar] [CrossRef] [PubMed]
- Fonseca, G.W.P.D.; Santos, M.R.D.; Souza, F.R.; Costa, M.J.A.D.; Haehling, S.V.; Takayama, L.; Pereira, R.M.R.; Negrão, C.E.; Anker, S.D.; Alves, M.J.N.N. Sympatho-Vagal Imbalance Is Associated with Sarcopenia in Male Patients with Heart Failure. Arq. Bras. Cardiol. 2019, 112, 739–746. [Google Scholar] [CrossRef] [PubMed]
- Kara, M.; Kaymak, B.; Frontera, W.; Ata, A.M.; Ricci, V.; Ekiz, T.; Chang, K.-V.; Han, D.-S.; Michail, X.; Quittan, M.; et al. Diagnosing Sarcopenia: Functional Perspectives and a New Algorithm from the ISarcoPRM. J. Rehabil. Med. 2021, 53, jrm00209. [Google Scholar] [CrossRef] [PubMed]
- Kim, D.; Kim, E.A.; Seo, M.J.; Lim, H.; Ko, S.; Lee, S.K. Desflurane-Induced Hemodynamic Changes in Patients with Diabetic Cardiovascular Autonomic Neuropathy. Korean J. Anesthesiol. 2009, 57, 560–565. [Google Scholar] [CrossRef]


| Non-Hypotension Group (n = 15) | Hypotension Group (n = 31) | p | |
|---|---|---|---|
| Age (years) | 72.3 (67.0–77.25) | 72.5 (66.2–74.0) | 0.233 |
| Sex (% of males) | 66.7 | 38.7 | 0.116 |
| ASA physical status classification | 0.571 | ||
| 1 | 1 | 4 | |
| 2 | 11 | 24 | |
| 3 | 3 | 3 | |
| Frailty (REFS scores) | 0.462 | ||
| Non-frail (0–5) | 12 | 19 | |
| Prefrail (6–7) | 2 | 5 | |
| Frail (8–18) | 1 | 7 | |
| Depth of quadriceps (cm) | 2.42 ± 0.48 | 1.92 ± 0.55 | 0.007 |
| Normalized quadriceps depth by BMI | 0.093 ± 0.17 | 0.075 ± 0.021 | 0.012 |
| Normalized quadriceps depth by BSA | 1.396 ± 0.215 | 1.165 ± 0.324 | 0.027 |
| BMI (kg/m2) | 26.1 ± 1.64 | 25.63 ± 30.4 | 0.508 |
| BSA (m2) | 1.73 ± 1.57 | 1.65 ± 1.73 | 0.172 |
| Hypertension history (n) | 7 | 25 | 0.467 |
| Diabetes mellitus history (n) | 3 | 7 | 0.706 |
| Induction dosage of propofol (mg/kg) | 1.36 ± 0.38 | 1.27 ± 0.19 | 0.548 |
| Dosage of ephedrine used before BCP | |||
| Maximum desflurane concentration (%) | 4.17 ± 0.94 | 3.90 ± 0.90 | 0.383 |
| Duration of anesthesia (min) | 146.25 ± 12.99 | 152.56 ± 9.61 | 0.144 |
| Duration of surgery (min) | 86.25 ± 10.90 | 96.03 ± 13.80 | 0.02 |
| Duration of BCP (min) | 96.67 ± 10.94 | 107.5 ± 14.26 | 0.012 |
| Angle of operation table during BCP (°) | 42.92 ± 1.56 | 42.56 ± 1.58 | 0.505 |
| Midnight to start of procedure, hours | 9.2 [8.1–10.3] | 9.5 [8.3–10.6] | 0.834 |
| Estimated blood loss (mL) | 50 (40, 57.5) | 50 (40, 55) | 0.937 |
| Fluid administration during BCP (mL) | 758.33 ± 144.34 | 988.53 ± 246.04 | 0.004 |
| First onset of hypotension | 4.5 (1.0–5.0) | ||
| Number of episodes of hypotension for each patient | 2 (1, 3) | ||
| Ephedrine (mg) used during BCP | 10 (5, 15) | ||
| Hypotension during BCP | ||
|---|---|---|
| Odds Ratio (95% CI) | Adjusted Odds Ratio (95% CI) | |
| Age, years | 1.069 (0.955–1.197) | 0.973 (0.832–1.139) |
| Sex (reference: male) | 2.927 (0.756–11.337) | 1.705 (0.20–11.654) |
| ASA physical status classification | ||
| 1 | Reference | |
| 2 | 0.591 (0.059–5.905) | |
| 3 | 0.750 (0.032–17.506 | |
| Hypertension | 1.984 (0.5–7.867) | |
| Diabetes mellitus | 0.778 (0.165–3.660) | |
| Frailty group (REFS score) | ||
| Non-frail group (0–5) | Reference | |
| Prefrail group (6–7) | 1.157 (0.263–9.476) | 1.163 (0.342–9.013) |
| Frail group (8–18) | 4.421 (0.932–40.56) | 5.732 (1.003–32.24) |
| Quadriceps depth (cm) | 0.172 (0.042–0.705) | 0.292 (0.014–6.087) |
| Normalized quadriceps depth by BMI | 0.715 (0.01–30.71) | |
| Normalized quadriceps depth by BSA | 0.818 (0.002–40.78) | |
| Quadriceps depth < 2.3 cm | 6.720 (1.502–30.071) | 8.491 (1.389–51.897) |
| Duration of anesthesia (min) | 1.058 (0.991–1.129) | |
| Maximum desflurane concentration % | 0.723 (0.352–1.484) | |
| Duration of surgery (min) | 1.065 (1.003–1.1132) | |
| Duration of BCP (min) | 1.066 (1.006–1.128) | 1.343 (1.102–1.734) |
| Angle of operation table during BCP (°) | 0.860 (0.558–1.325) | |
| Estimated blood loss (mL) | 1.018 (0.964–1.076) | |
Disclaimer/Publisher’s Note: The statements, opinions and data contained in all publications are solely those of the individual author(s) and contributor(s) and not of MDPI and/or the editor(s). MDPI and/or the editor(s) disclaim responsibility for any injury to people or property resulting from any ideas, methods, instructions or products referred to in the content. |
© 2024 by the authors. Licensee MDPI, Basel, Switzerland. This article is an open access article distributed under the terms and conditions of the Creative Commons Attribution (CC BY) license (https://creativecommons.org/licenses/by/4.0/).
Share and Cite
An, S.-M.; Lee, H.J.; Woo, J.H.; Chae, J.S.; Shin, S.-j. Predictive Value of Ultrasound-Measured Quadriceps Depth and Frailty Status for Hypotension in Older Patients Undergoing Reverse Total Shoulder Arthroplasty in the Beach Chair Position under General Anesthesia. J. Pers. Med. 2024, 14, 642. https://doi.org/10.3390/jpm14060642
An S-M, Lee HJ, Woo JH, Chae JS, Shin S-j. Predictive Value of Ultrasound-Measured Quadriceps Depth and Frailty Status for Hypotension in Older Patients Undergoing Reverse Total Shoulder Arthroplasty in the Beach Chair Position under General Anesthesia. Journal of Personalized Medicine. 2024; 14(6):642. https://doi.org/10.3390/jpm14060642
Chicago/Turabian StyleAn, Sang-Mee, Hyun Jung Lee, Jae Hee Woo, Ji Seon Chae, and Sang-jin Shin. 2024. "Predictive Value of Ultrasound-Measured Quadriceps Depth and Frailty Status for Hypotension in Older Patients Undergoing Reverse Total Shoulder Arthroplasty in the Beach Chair Position under General Anesthesia" Journal of Personalized Medicine 14, no. 6: 642. https://doi.org/10.3390/jpm14060642
APA StyleAn, S.-M., Lee, H. J., Woo, J. H., Chae, J. S., & Shin, S.-j. (2024). Predictive Value of Ultrasound-Measured Quadriceps Depth and Frailty Status for Hypotension in Older Patients Undergoing Reverse Total Shoulder Arthroplasty in the Beach Chair Position under General Anesthesia. Journal of Personalized Medicine, 14(6), 642. https://doi.org/10.3390/jpm14060642

