Genomic and Transcriptomic Analysis of a Patient with Early-Onset Colorectal Cancer and Therapy-Induced Focal Nodular Hyperplasia: A Case Report
Abstract
1. Introduction
2. Case Presentation
2.1. Diagnosis and Treatment
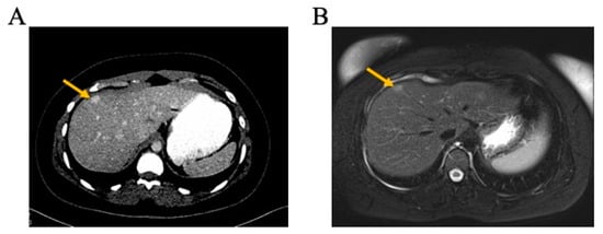
2.2. Surveillance
2.3. Genomic Profiling and Prognostic Evaluation
3. Discussion
4. Conclusions
Supplementary Materials
Author Contributions
Funding
Institutional Review Board Statement
Informed Consent Statement
Data Availability Statement
Conflicts of Interest
References
- Zaborowski, A.M.; Abdile, A.; Adamina, M.; Aigner, F.; d‘Allens, L.; Allmer, C.; Álvarez, A.; Anula, R.; Andric, M.; Atallah, S. Characteristics of Early-Onset vs Late-Onset Colorectal Cancer: A Review. JAMA Surg. 2021, 156, 865–874. [Google Scholar]
- O‘Reilly, M.; Linehan, A.; Krstic, A.; Kolch, W.; Sheahan, K.; Winter, D.C.; Mc Dermott, R. Oncotherapeutic Strategies in Early Onset Colorectal Cancer. Cancers 2023, 15, 552. [Google Scholar] [CrossRef]
- Valle, L.; de Voer, R.M.; Goldberg, Y.; Sjursen, W.; Försti, A.; Ruiz-Ponte, C.; Caldés, T.; Garré, P.; Olsen, M.F.; Nordling, M.; et al. Update on genetic predisposition to colorectal cancer and polyposis. Mol. Asp. Med. 2019, 69, 10–26. [Google Scholar] [CrossRef]
- Oken, M.M.; Creech, R.H.; Tormey, D.C.; Horton, J.; Davis, T.E.; McFadden, E.T.; Carbone, P.P. Toxicity and response criteria of the Eastern Cooperative Oncology Group. Am. J. Clin. Oncol. 1982, 5, 649–655. [Google Scholar] [CrossRef] [PubMed]
- Weiser, M.R. AJCC 8th Edition: Colorectal Cancer. Ann. Surg. Oncol. 2018, 25, 1454–1455. [Google Scholar] [CrossRef]
- Common Terminology Criteria for Adverse Events (CTCAE). Available online: https://ctep.cancer.gov/protocoldevelopment/electronic_applications/docs/ctcae_v5_quick_reference_5x7.pdf (accessed on 1 January 2024).
- Silva, R.; Moran, B.; Das, S.; Mulligan, N.; Doughty, M.; Treacy, A.; Sheahan, K.; Kelly, C.M.; Duffy, A.G.; Perry, A.S.; et al. Investigating a clinically actionable BRAF mutation for monitoring low-grade serous ovarian cancer: A case report. Case Rep. Women’s Health 2022, 34, e00395. [Google Scholar] [CrossRef]
- Nakken, S.; Fournous, G.; Vodák, D.; Aasheim, L.B.; Myklebost, O.; Hovig, E. Personal Cancer Genome Reporter: Variant interpretation report for precision oncology. Bioinformatics 2017, 34, 1778–1780. [Google Scholar] [CrossRef]
- Nakken, S.; Saveliev, V.; Hofmann, O.; Møller, P.; Myklebost, O.; Hovig, E. Cancer Predisposition Sequencing Reporter (CPSR): A flexible variant report engine for high-throughput germline screening in cancer. bioRxiv 2020, 846089. [Google Scholar] [CrossRef]
- Richards, S.; Aziz, N.; Bale, S.; Bick, D.; Das, S.; Gastier-Foster, J.; Grody, W.W.; Hegde, M.; Lyon, E.; Spector, E.; et al. Standards and guidelines for the interpretation of sequence variants: A joint consensus recommendation of the American College of Medical Genetics and Genomics and the Association for Molecular Pathology. Genet. Med. 2015, 17, 405–424. [Google Scholar] [CrossRef] [PubMed]
- Blokzijl, F.; Janssen, R.; van Boxtel, R.; Cuppen, E. MutationalPatterns: Comprehensive genome-wide analysis of mutational processes. Genome Med. 2018, 10, 33. [Google Scholar] [CrossRef] [PubMed]
- Schulz-Heddergott, R.; Stark, N.; Edmunds, S.J.; Li, J.; Conradi, L.C.; Bohnenberger, H.; Ceteci, F.; Greten, F.R.; Dobbelstein, M.; Moll, U.M. Therapeutic Ablation of Gain-of-Function Mutant p53 in Colorectal Cancer Inhibits Stat3-Mediated Tumor Growth and Invasion. Cancer Cell 2018, 34, 298–314.e297. [Google Scholar] [CrossRef] [PubMed]
- Available online: http://cancergenome.nih.gov/abouttcga (accessed on 1 January 2024).
- Zaborowski, A.M.; Winter, D.C.; Lynch, L. The therapeutic and prognostic implications of immunobiology in colorectal cancer: A review. Br. J. Cancer 2021, 125, 1341–1349. [Google Scholar] [CrossRef] [PubMed]
- Cancer Genome Atlas Network. Comprehensive molecular characterization of human colon and rectal cancer. Nature 2012, 487, 330–337. [Google Scholar] [CrossRef] [PubMed]
- Vassallo, L.; Fasciano, M.; Fortunato, M.; Orcioni, G.F.; Vavala, T.; Regge, D. Focal nodular hyperplasia after oxaliplatin-based chemotherapy: A diagnostic challenge. Radiol. Case Rep. 2022, 17, 1858–1865. [Google Scholar] [CrossRef]
- Nguyen, B.N.; Fléjou, J.F.; Terris, B.; Belghiti, J.; Degott, C. Focal nodular hyperplasia of the liver: A comprehensive pathologic study of 305 lesions and recognition of new histologic forms. Am. J. Surg. Pathol. 1999, 23, 1441–1454. [Google Scholar] [CrossRef] [PubMed]
- Pillon, M.; Carucci, N.S.; Mainardi, C.; Carraro, E.; Zuliani, M.; Chemello, L.; Calore, E.; Tumino, M.; Varotto, S.; Toffolutti, T.; et al. Focal nodular hyperplasia of the liver: An emerging complication of hematopoietic SCT in children. Bone Marrow Transplant. 2015, 50, 414–419. [Google Scholar] [CrossRef]
- Ben-Aharon, I.; van Laarhoven, H.W.M.; Fontana, E.; Obermannova, R.; Nilsson, M.; Lordick, F. Early-Onset Cancer in the Gastrointestinal Tract Is on the Rise-Evidence and Implications. Cancer Discov. 2023, 13, 538–551. [Google Scholar] [CrossRef] [PubMed]
- Kastrinos, F.; Syngal, S. Inherited colorectal cancer syndromes. Cancer J. 2011, 17, 405–415. [Google Scholar] [CrossRef]
- Meng, M.; Zhong, K.; Jiang, T.; Liu, Z.; Kwan, H.Y.; Su, T. The current understanding on the impact of KRAS on colorectal cancer. Biomed. Pharmacother. 2021, 140, 111717. [Google Scholar] [CrossRef]
- Fang, T.; Liang, T.; Wang, Y.; Wu, H.; Liu, S.; Xie, L.; Liang, J.; Wang, C.; Tan, Y. Prognostic role and clinicopathological features of SMAD4 gene mutation in colorectal cancer: A systematic review and meta-analysis. BMC Gastroenterol. 2021, 21, 297. [Google Scholar] [CrossRef]
- Lei, H.; Tao, K. Somatic mutations in colorectal cancer are associated with the epigenetic modifications. J. Cell. Mol. Med. 2020, 24, 11828–11836. [Google Scholar] [CrossRef] [PubMed]
- Osipov, A.; Lim, S.J.; Popovic, A.; Azad, N.S.; Laheru, D.A.; Zheng, L.; Jaffee, E.M.; Wang, H.; Yarchoan, M. Tumor Mutational Burden, Toxicity, and Response of Immune Checkpoint Inhibitors Targeting PD (L) 1, CTLA-4, and Combination: A Meta-regression AnalysisTMB, Toxicity, and Response to Single-and Dual-agent ICI. Clin. Cancer Res. 2020, 26, 4842–4851. [Google Scholar] [CrossRef] [PubMed]
- Camps, J.; Armengol, G.; del Rey, J.; Lozano, J.J.; Vauhkonen, H.; Prat, E.; Egozcue, J.; Sumoy, L.; Knuutila, S.; Miro, R. Genome-wide differences between microsatellite stable and unstable colorectal tumors. Carcinogenesis 2006, 27, 419–428. [Google Scholar] [CrossRef] [PubMed]
- Chao, E.; Xu, Q.; Capasso, A.; Eckhardt, S.G.; Kowalski, J. Differential gain of chromosomal regions 20q or 13q with loss of 8p and 18q differentiates disease-free survival in colorectal cancer. J. Clin. Oncol. 2021, 39, 126. [Google Scholar] [CrossRef]
- Zhu, Y.F.; Dong, M. Expression of TUSC3 and its prognostic significance in colorectal cancer. Pathol. Res. Pract. 2018, 214, 1497–1503. [Google Scholar] [CrossRef] [PubMed]
- Grimm, D.; Bauer, J.; Wise, P.; Krüger, M.; Simonsen, U.; Wehland, M.; Infanger, M.; Corydon, T.J. The role of SOX family members in solid tumours and metastasis. Semin. Cancer Biol. 2020, 67, 122–153. [Google Scholar] [CrossRef] [PubMed]
- Sharma, S.; Doherty, K.M.; Brosh, R.M., Jr. Mechanisms of RecQ helicases in pathways of DNA metabolism and maintenance of genomic stability. Biochem. J. 2006, 398, 319–337. [Google Scholar] [CrossRef] [PubMed]
- Zimmer, K.; Puccini, A.; Xiu, J.; Baca, Y.; Spizzo, G.; Lenz, H.J.; Battaglin, F.; Goldberg, R.M.; Grothey, A.; Shields, A.F.; et al. WRN-Mutated Colorectal Cancer Is Characterized by a Distinct Genetic Phenotype. Cancers 2020, 12, 1319. [Google Scholar] [CrossRef]
- Sidorova, J.M.; Li, N.; Folch, A.; Monnat, R.J., Jr. The RecQ helicase WRN is required for normal replication fork progression after DNA damage or replication fork arrest. Cell Cycle 2008, 7, 796–807. [Google Scholar] [CrossRef]
- Lao, V.V.; Welcsh, P.; Luo, Y.; Carter, K.T.; Dzieciatkowski, S.; Dintzis, S.; Meza, J.; Sarvetnick, N.E.; Monnat, R.J.; Loeb, L.A.; et al. Altered RECQ Helicase Expression in Sporadic Primary Colorectal Cancers. Transl. Oncol. 2013, 6, 458–469. [Google Scholar] [CrossRef] [PubMed]
- Christensen, S.; Van der Roest, B.; Besselink, N.; Janssen, R.; Boymans, S.; Martens, J.W.M.; Yaspo, M.L.; Priestley, P.; Kuijk, E.; Cuppen, E.; et al. 5-Fluorouracil treatment induces characteristic T>G mutations in human cancer. Nat. Commun. 2019, 10, 4571. [Google Scholar] [CrossRef] [PubMed]
- Pich, O.; Muiños, F.; Lolkema, M.P.; Steeghs, N.; Gonzalez-Perez, A.; Lopez-Bigas, N. Themutational footprints ofcancer therapies. Nat. Genet. 2019, 51, 1732–1740. [Google Scholar] [CrossRef]



| Gene | Exon | Protein Change | Nucleic Acid Mutation | Variant Class |
|---|---|---|---|---|
| KRAS | exon 2 | p.Gly12Asp | c.35G>A | LP Variants of Likely Pathogenic Significance |
| TP53 | exon 7 | p.Arg248Trp | c.742C>T | |
| SMAD4 | exon 10 | p.Gly419Trp | c.1255G>T | VUS Variants of Uncertain Clinical Significance |
| PLXNB1 | exon 22 | p.Gly1423Cys | c.4267G>T | |
| ZIC1 | exon 1 | p.Thr297Met | c.890C>T | |
| DMBT1 | exon 38 | p.Cys1552Ser | c.4654T>A | |
| THBS1 | exon 9 | p.Gly454Cys | c.1360G>T | |
| NDRG4 | exon 16 | p.Ala370Val | c.1109C>T | |
| CDH13 | exon 8 | p.Gly353Ter | c.1057G>T | |
| PTPN1 | exon 6 | p.Arg221Met | c.662G>T | |
| KDM5C | exon 10 | p.Gly452Cys | c.1354G>T | |
| TTN | exon 326 | p.Leu28470Val | c.85408C>G |
Disclaimer/Publisher’s Note: The statements, opinions and data contained in all publications are solely those of the individual author(s) and contributor(s) and not of MDPI and/or the editor(s). MDPI and/or the editor(s) disclaim responsibility for any injury to people or property resulting from any ideas, methods, instructions or products referred to in the content. |
© 2024 by the authors. Licensee MDPI, Basel, Switzerland. This article is an open access article distributed under the terms and conditions of the Creative Commons Attribution (CC BY) license (https://creativecommons.org/licenses/by/4.0/).
Share and Cite
O’Reilly, M.; Krstic, A.; Iglesias-Martinez, L.F.; Ryan, É.J.; Moran, B.; Winter, D.; Sheahan, K.; McDermott, R.; Kolch, W. Genomic and Transcriptomic Analysis of a Patient with Early-Onset Colorectal Cancer and Therapy-Induced Focal Nodular Hyperplasia: A Case Report. J. Pers. Med. 2024, 14, 639. https://doi.org/10.3390/jpm14060639
O’Reilly M, Krstic A, Iglesias-Martinez LF, Ryan ÉJ, Moran B, Winter D, Sheahan K, McDermott R, Kolch W. Genomic and Transcriptomic Analysis of a Patient with Early-Onset Colorectal Cancer and Therapy-Induced Focal Nodular Hyperplasia: A Case Report. Journal of Personalized Medicine. 2024; 14(6):639. https://doi.org/10.3390/jpm14060639
Chicago/Turabian StyleO’Reilly, Mary, Aleksandar Krstic, Luis F. Iglesias-Martinez, Éanna J. Ryan, Bruce Moran, Des Winter, Kieran Sheahan, Ray McDermott, and Walter Kolch. 2024. "Genomic and Transcriptomic Analysis of a Patient with Early-Onset Colorectal Cancer and Therapy-Induced Focal Nodular Hyperplasia: A Case Report" Journal of Personalized Medicine 14, no. 6: 639. https://doi.org/10.3390/jpm14060639
APA StyleO’Reilly, M., Krstic, A., Iglesias-Martinez, L. F., Ryan, É. J., Moran, B., Winter, D., Sheahan, K., McDermott, R., & Kolch, W. (2024). Genomic and Transcriptomic Analysis of a Patient with Early-Onset Colorectal Cancer and Therapy-Induced Focal Nodular Hyperplasia: A Case Report. Journal of Personalized Medicine, 14(6), 639. https://doi.org/10.3390/jpm14060639

