Dent’s Disease: A Cause of Monogenic Kidney Stones and Nephrocalcinosis
Abstract
1. Introduction
2. Materials and Methods
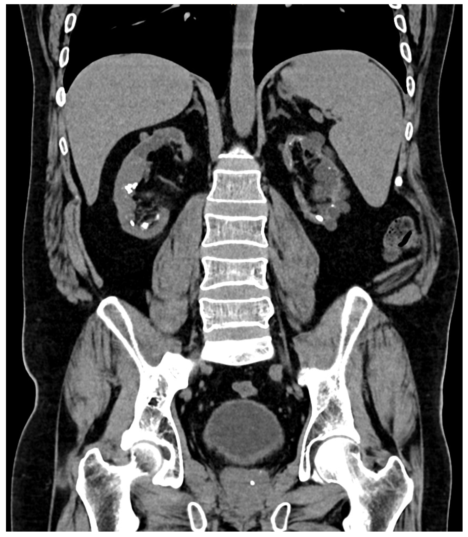
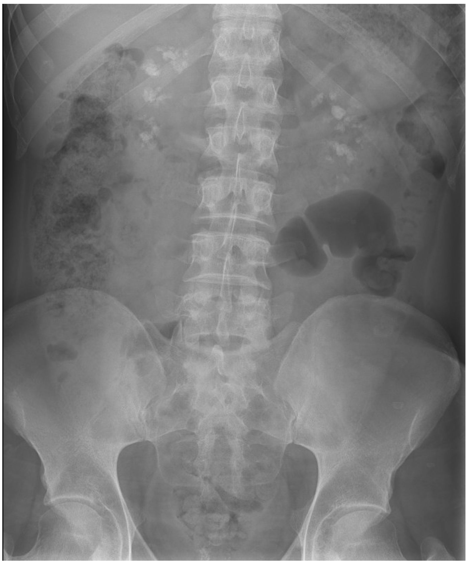
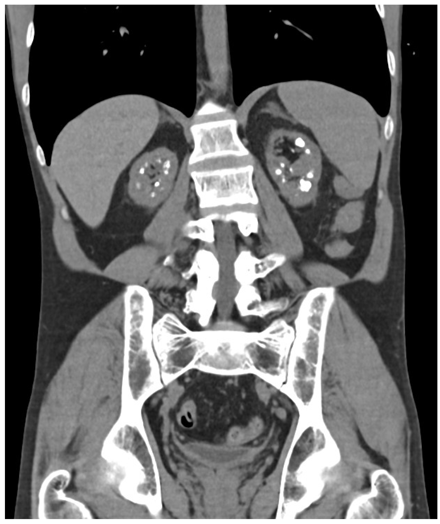
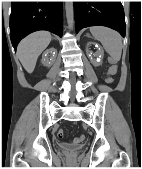
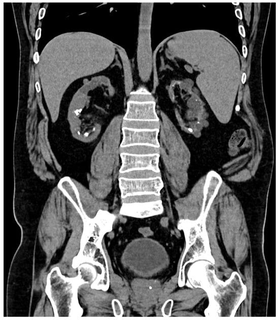
3. Results: Dent’s Disease in Our Center
4. Discussion
5. Conclusions
Author Contributions
Funding
Institutional Review Board Statement
Informed Consent Statement
Data Availability Statement
Conflicts of Interest
Abbreviations
| DD | Dent’s Disease |
| LMWP | Low-Molecular-Weight Proteinuria |
| CKD | Chronic Kidney Disease |
| GFR | Glomerular Filtration Rate |
| ESWL | External Shock-Wave Lithotripsy |
| RIRS | Retrograde Intrarenal Surgery |
| URS | Ureterorenoscopy |
| ECIRS | Endoscopic Combined Intrarenal Surgery |
| M | Male |
| UTI | Urinary Tract Infection |
| SLC9A6 | Solute Carrier family 9 Member A6 |
| CLCN5 | Chloride voltage-gated Channel 5 |
| OMIM | Online Mendelian Inheritance in Man |
References
- Tosetto, E.; Graziotto, R.; Artifoni, L.; Nachtigal, J.; Cascone, C.; Conz, P.; Piva, M.; Dell’Aquila, R.; De Paoli Vitali, E.; Citron, L.; et al. Dent’s disease and prevalence of renal stones in dialysis patients in Northeastern Italy. J. Hum. Genet. 2006, 51, 25–30. [Google Scholar] [CrossRef] [PubMed]
- Lieske, J.C.; Milliner, D.S.; Beara-Lasic, L.; Harris, P.; Cogal, A.; Abrash, E. Dent Disease. In GeneReviews®; Adam, M.P., Mirzaa, G.M., Pagon, R.A., Eds.; University of Washington: Seattle, WA, USA, 1993. Available online: http://www.ncbi.nlm.nih.gov/books/NBK99494/ (accessed on 11 July 2023).
- Devuyst, O.; Thakker, R.V. Dent’s disease. Orphanet J. Rare Dis. 2010, 5, 28. [Google Scholar] [CrossRef] [PubMed]
- Nieto, V.G.; Claverie-Martín, F. Dent disease. History and genetic causes of a <new> tubulopathy. Nefrol. Publ. Of. Soc. Esp. Nefrol. 2003, 23, 195–199. [Google Scholar]
- Gianesello, L.; Del Prete, D.; Anglani, F.; Calò, L.A. Genetics and phenotypic heterogeneity of Dent disease: The dark side of the moon. Hum. Genet. 2021, 140, 401–421. [Google Scholar] [CrossRef] [PubMed]
- Fisher, S.E.; van Bakel, I.; Lloyd, S.E.; Pearce, S.H.; Thakker, R.V.; Craig, I.W. Cloning and characterization of CLCN5, the human kidney chloride channel gene implicated in Dent disease (an X-linked hereditary nephrolithiasis). Genomics 1995, 29, 598–606. [Google Scholar] [CrossRef] [PubMed]
- Dent, C.E.; Friedman, M. Hypercalcuric rickets associated with renal tubular damage. Arch. Dis. Child. 1964, 39, 240–249. [Google Scholar] [CrossRef] [PubMed]
- Singh, P.; Harris, P.C.; Sas, D.J.; Lieske, J.C. The genetics of kidney stone disease and nephrocalcinosis. Nat. Rev. Nephrol. 2022, 18, 224–240. [Google Scholar] [CrossRef] [PubMed]
- Shrimpton, A.E.; Hoopes, R.R.; Knohl, S.J.; Hueber, P.; Reed, A.A.C.; Christie, P.T.; Igarashi, T.; Lee, P.; Lehman, A.; White, C.; et al. OCRL1 mutations in Dent 2 patients suggest a mechanism for phenotypic variability. Nephron Physiol. 2009, 112, 27–36. [Google Scholar] [CrossRef] [PubMed]
- Thakker, R.V. Pathogenesis of Dent’s disease and related syndromes of X-linked nephrolithiasis. Kidney Int. 2000, 57, 787–793. [Google Scholar] [CrossRef] [PubMed]
- Sayer, J.A.; Simmons, N.L. Urinary stone formation: Dent’s disease moves understanding forward. Exp. Nephrol. 2002, 10, 176–181. [Google Scholar] [CrossRef] [PubMed]
- Anglani, F.; D’Angelo, A.; Bertizzolo, L.M.; Tosetto, E.; Ceol, M.; Cremasco, D.; Bonfante, L.; Addis, M.A.; Del Prete, D. Dent Disease Italian Network Nephrolithiasis, kidney failure and bone disorders in Dent disease patients with and without CLCN5 mutations. SpringerPlus 2015, 4, 492. [Google Scholar] [CrossRef] [PubMed]
- Capolongo, G.; Zacchia, M.; Perna, A.; Viggiano, D.; Capasso, G. Urinary proteome in inherited nephrolithiasis. Urolithiasis 2019, 47, 91–98. [Google Scholar] [CrossRef] [PubMed]
- De Matteis, M.A.; Staiano, L.; Emma, F.; Devuyst, O. The 5-phosphatase OCRL in Lowe syndrome and Dent disease 2. Nat. Rev. Nephrol. 2017, 13, 455–470. [Google Scholar] [CrossRef] [PubMed]
- Cogal, A.G.; Arroyo, J.; Shah, R.J.; Reese, K.J.; Walton, B.N.; Reynolds, L.M.; Kennedy, G.N.; Seide, B.M.; Senum, S.R.; Baum, M.; et al. Comprehensive Genetic Analysis Reveals Complexity of Monogenic Urinary Stone Disease. Kidney Int. Rep. 2021, 6, 2862–2884. [Google Scholar] [CrossRef] [PubMed]
- Dickson, F.J.; Sayer, J.A. Nephrocalcinosis: A Review of Monogenic Causes and Insights They Provide into This Heterogeneous Condition. Int. J. Mol. Sci. 2020, 21, 369. [Google Scholar] [CrossRef] [PubMed]
- Igarashi, T.; Hayakawa, H.; Shiraga, H.; Kawato, H.; Yan, K.; Kawaguchi, H.; Yamanaka, T.; Tsuchida, S.; Akagi, K. Hypercalciuria and nephrocalcinosis in patients with idiopathic low-molecular-weight proteinuria in Japan: Is the disease identical to Dent’s disease in United Kingdom? Nephron 1995, 69, 242–247. [Google Scholar] [CrossRef] [PubMed]
- Scales, C.D.; Smith, A.C.; Hanley, J.M.; Saigal, C.S. Urologic Diseases in America Project Prevalence of kidney stones in the United States. Eur. Urol. 2012, 62, 160–165. [Google Scholar] [CrossRef] [PubMed]
- Halbritter, J.; Baum, M.; Hynes, A.M.; Rice, S.J.; Thwaites, D.T.; Gucev, Z.S.; Fisher, B.; Spaneas, L.; Porath, J.D.; Braun, D.A.; et al. Fourteen monogenic genes account for 15% of nephrolithiasis/nephrocalcinosis. J. Am. Soc. Nephrol. JASN 2015, 26, 543–551. [Google Scholar] [CrossRef] [PubMed]
- Ha, Y.-S.; Tchey, D.-U.; Kang, H.W.; Kim, Y.-J.; Yun, S.-J.; Lee, S.-C.; Kim, W.-J. Phosphaturia as a promising predictor of recurrent stone formation in patients with urolithiasis. Korean J. Urol. 2010, 51, 54–59. [Google Scholar] [CrossRef] [PubMed]
- Daga, A.; Majmundar, A.J.; Braun, D.A.; Gee, H.Y.; Lawson, J.A.; Shril, S.; Jobst-Schwan, T.; Vivante, A.; Schapiro, D.; Tan, W.; et al. Whole exome sequencing frequently detects a monogenic cause in early onset nephrolithiasis and nephrocalcinosis. Kidney Int. 2018, 93, 204–213. [Google Scholar] [CrossRef] [PubMed]



| Case 1 | Case 2 | Case 3 | Case 4 | Case 5 | Case 6 | |
|---|---|---|---|---|---|---|
| Age | 47 | 28 | 35 | 36 | 53 | - |
| Age of diagnosis | 28 | 10 | 10 | 17 | 50 | 39 |
| Gender | M | M | M | M | M | M |
| Family history of lithiasis | Yes | Yes | Yes | No | No | No |
| Genetic study | CLCN5 c.655T>C in hemizygosis | CLCN5 mutation | Yes, mutation not available | OCRL1 mutation | CLCN5 c.726 + 1G > A in hemizygosis | CLCN5 c.1820C > G in hemizygosis |
| Past medical history | No | No | No | Mental retardation Bilateral cataracts Scoliosis | No | Tongue neoplasia: chemotherapy at birth |
| Symptoms | UTI Renal colic | Renal colic | No | No | Renal colic | No |
| Laboratory tests | Proteinuria 2.04 g/24 h Albuminuria 0.8 g/24 h Hypercalciuria 6.1 mmol/24 h | Proteinuria 2.03 g/24 h Albuminuria 0.4 g/24 h Hypophosphatemia Hypercalcemia | Albumin/creatinine 250 mg/g | Albumin/creatinine 168 mg/g Protein/creatinine 1246 mg/g Hypercalciuria 10.6 mmol/24 h Phosphaturia + hyperphosphatemia | Albumin/creatinine 263 mg/g Protein/creatinine 638 mg/g | Proteinuria 0.3 g/L |
| Kidney stones | Yes (27 yr) | Yes (10 yr) | No | Yes (30 yr) | Yes (46 yr) | Yes |
| Nephrocalcinosis | Yes | No | Yes | No | No | No |
| ESWL/surgery | 4 ESWL 1 Ureterolithotomy 2 RIRS | No | No | 1 ESWL 1 URS 1 ECIRS | 1 ESWL | No |
| Catheter | 3 Nephrostomy tube 1 JJ catheter | No | No | 2 JJ catheter | No | No |
| Crystallographic analysis | 90% calcium phosphate 10% protein | 80% calcium phosphate | No | 90% calcium phosphate | 50% calcium phosphate 50% calcium oxalate | No |
| Last imaging test | CT scan: bilateral lithiasis and microlithiasis, with nephrocalcinosis | US: bilateral microlithiasis | CT scan: atrophic kidneys with a pattern of medullary nephrocalcinosis | CT scan: microlithiasis | US: no lithiasis | CT scan: microlithiasis |
| Renal cysts | Bilateral | No | No | Unilateral | Bilateral | Bilateral |
| Medical treatment | Citrates | Citrates Bicarbonate Thiazides | Dialysis | Citrates Thiazides | No | 2 kidney trasplants |
| CKD stage | 4A3 | No | 5A2 | 3bA2 | 4A1 | - |
| Renal trasplant | No | No | Waiting list | No | No | Yes (2) |
| DD Type | LMWP | Hypercalciuria | Hypophosphatemia | Glucosuria Aminoaciduria Phosphaturia | Hematuria | |
|---|---|---|---|---|---|---|
| Case 1 | Type 1 | + | + | - | - | + |
| Case 2 | Type 1 | + | - | + | - | + |
| Case 3 | - | + | - | - | - | - |
| Case 4 | Lowe syndrome | + | + | - | - | + |
| Case 5 | Type 1 | + | - | - | - | + |
| Case 6 | Type 1 | + | - | - |
| ESWL (n) | Surgical Interventions (n) | eGFR (mL/min) | |
|---|---|---|---|
| Case 1 | 0 | 3 | 20 |
| Case 2 | 0 | 0 | 85 |
| Case 3 | 0 | 0 | 6 |
| Case 4 | 1 | 3 | 44 |
| Case 5 | 1 | 0 | 24 |
| Case 6 | 0 | 0 | 14 |
| Total | 2 | 6 |
Disclaimer/Publisher’s Note: The statements, opinions and data contained in all publications are solely those of the individual author(s) and contributor(s) and not of MDPI and/or the editor(s). MDPI and/or the editor(s) disclaim responsibility for any injury to people or property resulting from any ideas, methods, instructions or products referred to in the content. |
© 2024 by the authors. Licensee MDPI, Basel, Switzerland. This article is an open access article distributed under the terms and conditions of the Creative Commons Attribution (CC BY) license (https://creativecommons.org/licenses/by/4.0/).
Share and Cite
Diéguez, L.; Pilco, M.; Butori, S.; Kanashiro, A.; Balaña, J.; Emiliani, E.; Somani, B.K.; Angerri, O. Dent’s Disease: A Cause of Monogenic Kidney Stones and Nephrocalcinosis. J. Pers. Med. 2024, 14, 623. https://doi.org/10.3390/jpm14060623
Diéguez L, Pilco M, Butori S, Kanashiro A, Balaña J, Emiliani E, Somani BK, Angerri O. Dent’s Disease: A Cause of Monogenic Kidney Stones and Nephrocalcinosis. Journal of Personalized Medicine. 2024; 14(6):623. https://doi.org/10.3390/jpm14060623
Chicago/Turabian StyleDiéguez, Lucía, Melissa Pilco, Sofía Butori, Andrés Kanashiro, Josep Balaña, Esteban Emiliani, Bhaskar K. Somani, and Oriol Angerri. 2024. "Dent’s Disease: A Cause of Monogenic Kidney Stones and Nephrocalcinosis" Journal of Personalized Medicine 14, no. 6: 623. https://doi.org/10.3390/jpm14060623
APA StyleDiéguez, L., Pilco, M., Butori, S., Kanashiro, A., Balaña, J., Emiliani, E., Somani, B. K., & Angerri, O. (2024). Dent’s Disease: A Cause of Monogenic Kidney Stones and Nephrocalcinosis. Journal of Personalized Medicine, 14(6), 623. https://doi.org/10.3390/jpm14060623

