Stability of Multi-Parametric Prostate MRI Radiomic Features to Variations in Segmentation
Abstract
1. Introduction
2. Materials and Methods
2.1. Datasets
2.1.1. Internal Dataset
2.1.2. External Dataset
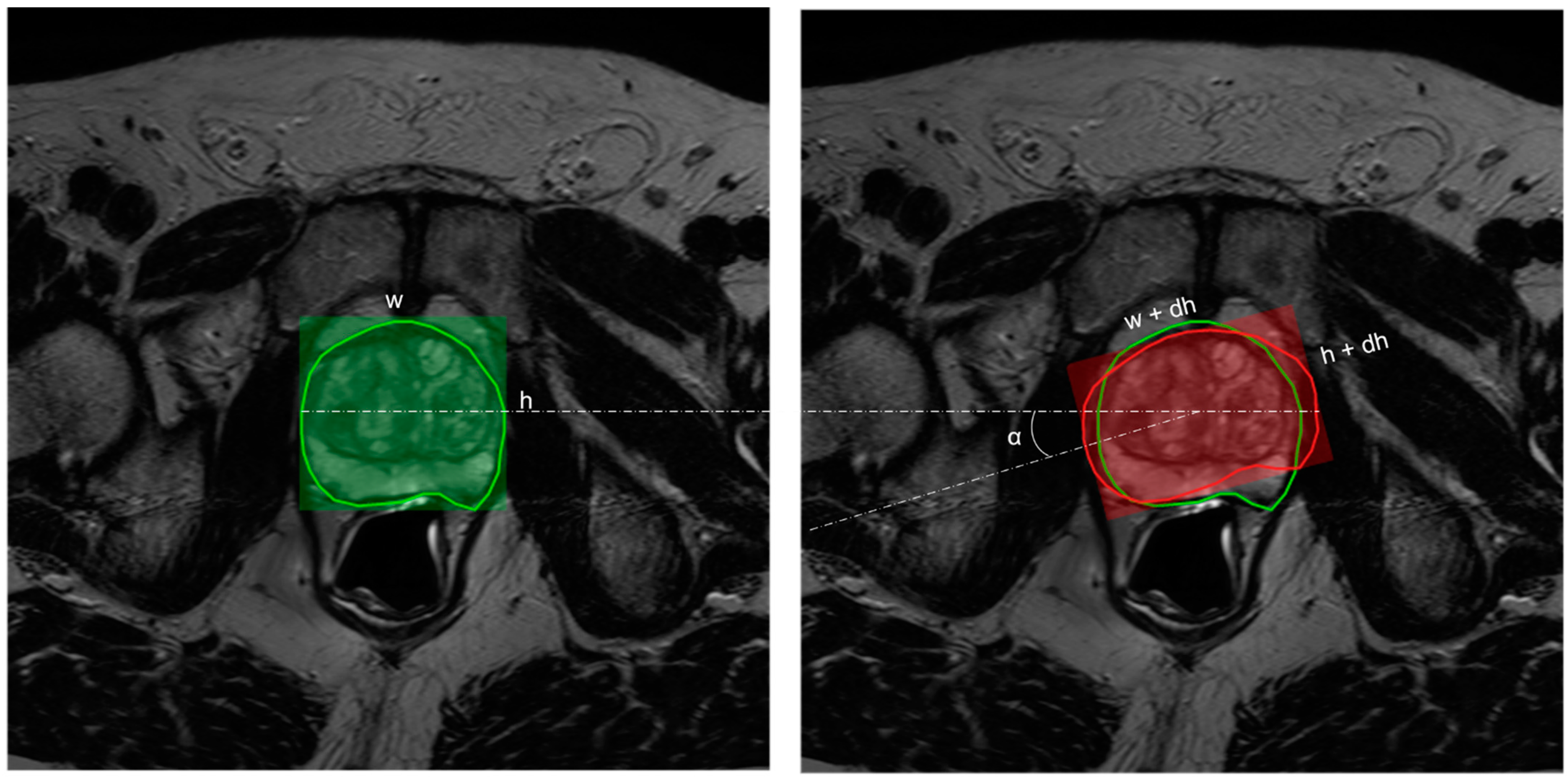
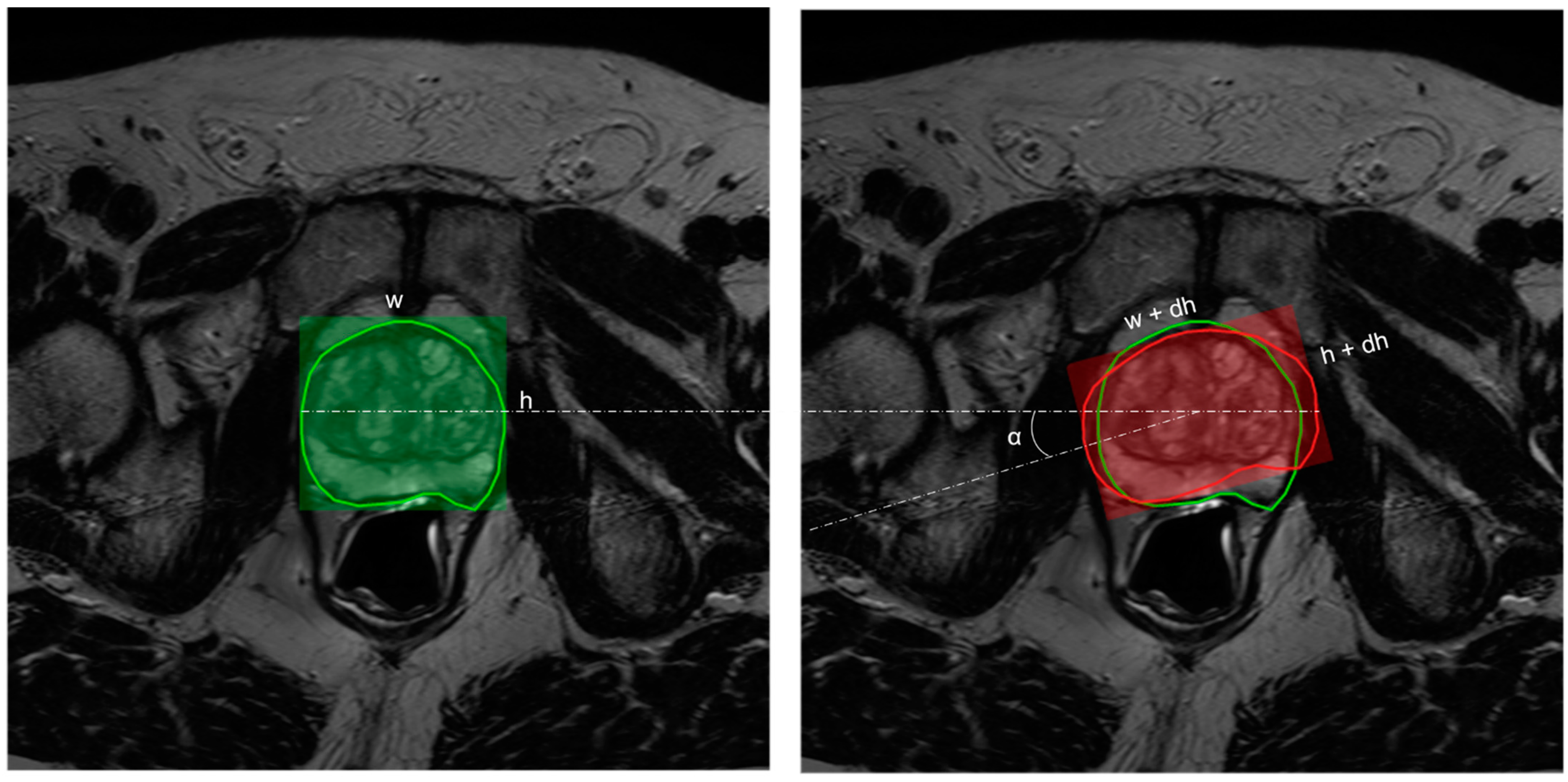
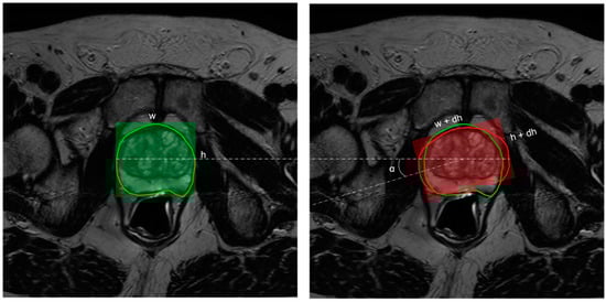
2.2. In Silico Contour Generation
2.3. Image Processing Pipeline
2.4. Radiomics Feature Extraction Pipeline
- First-order statistics (FO, n = 18) providing information about the histogram of the grey values inside the prostate ROI; and
- Texture features, providing information about the spatial distribution of grey values. We used the following textural matrices to compute the textural features: Gray Level Co-occurrence Matrix (GLCM, n = 22 features); Gray Level Run Length Matrix (GLRLM, n = 16 features); Gray Level Size Zone Matrix (GLSZM, n = 16 features).
2.5. Stability Analysis
3. Results
4. Discussion
5. Conclusions
Supplementary Materials
Author Contributions
Funding
Institutional Review Board Statement
Informed Consent Statement
Data Availability Statement
Conflicts of Interest
References
- Johnson, L.M.; Turkbey, B.; Figg, W.D.; Choyke, P.L. Multi-parametric MRI in Prostate Cancer Management. Nat. Rev. Clin. Oncol. 2014, 11, 346–353. [Google Scholar] [CrossRef]
- Barrett, T.; Haider, M.A. The Emerging Role of MRI in Prostate Cancer Active Surveillance and Ongoing Challenges. AJR Am. J. Roentgenol. 2017, 208, 131–139. [Google Scholar] [CrossRef]
- Thurtle, D.; Barrett, T.; Thankappan-Nair, V.; Koo, B.; Warren, A.; Kastner, C.; Saeb-Parsy, K.; Kimberley-Duffell, J.; Gnanapragasam, V.J. Progression and Treatment Rates Using an Active Surveillance Protocol Incorporating Image-Guided Baseline Biopsies and Multi-parametric Magnetic Resonance Imaging Monitoring for Men with Favourable-Risk Prostate Cancer. BJU Int. 2018, 122, 59–65. [Google Scholar] [CrossRef]
- Schoots, I.G.; Petrides, N.; Giganti, F.; Bokhorst, L.P.; Rannikko, A.; Klotz, L.; Villers, A.; Hugosson, J.; Moore, C.M. Magnetic Resonance Imaging in Active Surveillance of Prostate Cancer: A Systematic Review. Eur. Urol. 2015, 67, 627–636. [Google Scholar] [CrossRef]
- Schoots, I.G.; Nieboer, D.; Giganti, F.; Moore, C.M.; Bangma, C.H.; Roobol, M.J. Is Magnetic Resonance Imaging-Targeted Biopsy a Useful Addition to Systematic Confirmatory Biopsy in Men on Active Surveillance for Low-Risk Prostate Cancer? A Systematic Review and Meta-Analysis. BJU Int. 2018, 122, 946–958. [Google Scholar] [CrossRef] [PubMed]
- Ghavimi, S.; Abdi, H.; Waterhouse, J.; Savdie, R.; Chang, S.; Harris, A.; Machan, L.; Gleave, M.; So, A.I.; Goldenberg, L.; et al. Natural History of Prostatic Lesions on Serial Multi-parametric Magnetic Resonance Imaging. Can. Urol. Assoc. J. 2018, 12, 270–275. [Google Scholar] [CrossRef] [PubMed]
- Turkbey, B.; Rosenkrantz, A.B.; Haider, M.A.; Padhani, A.R.; Villeirs, G.; Macura, K.J.; Tempany, C.M.; Choyke, P.L.; Cornud, F.; Margolis, D.J.; et al. Prostate Imaging Reporting and Data System Version 2.1: 2019 Update of Prostate Imaging Reporting and Data System Version 2. Eur. Urol. 2019, 76, 340–351. [Google Scholar] [CrossRef]
- Lambin, P.; Rios-Velazquez, E.; Leijenaar, R.; Carvalho, S.; van Stiphout, R.G.P.M.; Granton, P.; Zegers, C.M.L.; Gillies, R.; Boellard, R.; Dekker, A.; et al. Radiomics: Extracting More Information from Medical Images Using Advanced Feature Analysis. Eur. J. Cancer 2012, 48, 441–446. [Google Scholar] [CrossRef]
- Aerts, H.J.W.L.; Velazquez, E.R.; Leijenaar, R.T.H.; Parmar, C.; Grossmann, P.; Carvalho, S.; Bussink, J.; Monshouwer, R.; Haibe-Kains, B.; Rietveld, D.; et al. Decoding Tumour Phenotype by Non-invasive Imaging Using a Quantitative Radiomics Approach. Nat. Commun. 2014, 5, 4006. [Google Scholar] [CrossRef] [PubMed]
- Sushentsev, N.; Rundo, L.; Blyuss, O.; Gnanapragasam, V.J.; Sala, E.; Barrett, T. MRI-Derived Radiomics Model for Baseline Prediction of Prostate Cancer Progression on Active Surveillance. Sci. Rep. 2021, 11, 12917. [Google Scholar] [CrossRef]
- Sushentsev, N.; Rundo, L.; Blyuss, O.; Nazarenko, T.; Suvorov, A.; Gnanapragasam, V.J.; Sala, E.; Barrett, T. Comparative Performance of MRI-Derived PRECISE Scores and Delta-Radiomics Models for the Prediction of Prostate Cancer Progression in Patients on Active Surveillance. Eur. Radiol. 2022, 32, 680–689. [Google Scholar] [CrossRef] [PubMed]
- Fave, X.; Zhang, L.; Yang, J.; Mackin, D.; Balter, P.; Gomez, D.; Followill, D.; Jones, A.K.; Stingo, F.; Liao, Z.; et al. Delta-Radiomics Features for the Prediction of Patient Outcomes in Non-Small Cell Lung Cancer. Sci. Rep. 2017, 7, 588. [Google Scholar] [CrossRef] [PubMed]
- Moore, C.M.; Giganti, F.; Albertsen, P.; Allen, C.; Bangma, C.; Briganti, A.; Carroll, P.; Haider, M.; Kasivisvanathan, V.; Kirkham, A.; et al. Reporting Magnetic Resonance Imaging in Men on Active Surveillance for Prostate Cancer: The PRECISE Recommendations—A Report of a European School of Oncology Task Force. Eur. Urol. 2017, 71, 648–655. [Google Scholar] [CrossRef] [PubMed]
- Algohary, A.; Viswanath, S.; Shiradkar, R.; Ghose, S.; Pahwa, S.; Moses, D.; Jambor, I.; Shnier, R.; Böhm, M.; Haynes, A.-M.; et al. Radiomic Features on MRI Enable Risk Categorization of Prostate Cancer Patients on Active Surveillance: Preliminary Findings. J. Magn. Reson. Imaging 2018, 48, 818–828. [Google Scholar] [CrossRef] [PubMed]
- Sushentsev, N.; Caglic, I.; Rundo, L.; Kozlov, V.; Sala, E.; Gnanapragasam, V.J.; Barrett, T. Serial Changes in Tumour Measurements and Apparent Diffusion Coefficients in Prostate Cancer Patients on Active Surveillance with and without Histopathological Progression. Br. J. Radiol. 2022, 95, 20210842. [Google Scholar] [CrossRef] [PubMed]
- Nayan, M.; Salari, K.; Bozzo, A.; Ganglberger, W.; Lu, G.; Carvalho, F.; Gusev, A.; Schneider, A.; Westover, B.M.; Feldman, A.S. A Machine Learning Approach to Predict Progression on Active Surveillance for Prostate Cancer. Urol. Oncol. 2022, 40, 161.e1–161.e7. [Google Scholar] [CrossRef]
- Radtke, J.P.; Kuru, T.H.; Boxler, S.; Alt, C.D.; Popeneciu, I.V.; Huettenbrink, C.; Klein, T.; Steinemann, S.; Bergstraesser, C.; Roethke, M.; et al. Comparative Analysis of Transperineal Template Saturation Prostate Biopsy versus Magnetic Resonance Imaging Targeted Biopsy with Magnetic Resonance Imaging-Ultrasound Fusion Guidance. J. Urol. 2015, 193, 87–94. [Google Scholar] [CrossRef]
- Filson, C.P.; Natarajan, S.; Margolis, D.J.A.; Huang, J.; Lieu, P.; Dorey, F.J.; Reiter, R.E.; Marks, L.S. Prostate Cancer Detection with Magnetic Resonance-Ultrasound Fusion Biopsy: The Role of Systematic and Targeted Biopsies. Cancer 2016, 122, 884–892. [Google Scholar] [CrossRef]
- Johnson, D.C.; Raman, S.S.; Mirak, S.A.; Kwan, L.; Bajgiran, A.M.; Hsu, W.; Maehara, C.K.; Ahuja, P.; Faiena, I.; Pooli, A.; et al. Detection of Individual Prostate Cancer Foci via Multi-parametric Magnetic Resonance Imaging. Eur. Urol. 2019, 75, 712–720. [Google Scholar] [CrossRef]
- de Rooij, M.; Israël, B.; Bomers, J.G.R.; Schoots, I.G.; Barentsz, J.O. Can Biparametric Prostate Magnetic Resonance Imaging Fulfill Its PROMIS? Eur. Urol. 2020, 78, 512–514. [Google Scholar] [CrossRef]
- Peerlings, J.; Woodruff, H.C.; Winfield, J.M.; Ibrahim, A.; Van Beers, B.E.; Heerschap, A.; Jackson, A.; Wildberger, J.E.; Mottaghy, F.M.; DeSouza, N.M.; et al. Stability of Radiomics Features in Apparent Diffusion Coefficient Maps from a Multi-Centre Test-Retest Trial. Sci. Rep. 2019, 9, 4800. [Google Scholar] [CrossRef] [PubMed]
- Rai, R.; Holloway, L.C.; Brink, C.; Field, M.; Christiansen, R.L.; Sun, Y.; Barton, M.B.; Liney, G.P. Multicenter Evaluation of MRI-Based Radiomic Features: A Phantom Study. Med. Phys. 2020, 47, 3054–3063. [Google Scholar] [CrossRef] [PubMed]
- Bologna, M.; Corino, V.; Mainardi, L. Technical Note: Virtual Phantom Analyses for Preprocessing Evaluation and Detection of a Robust Feature Set for MRI-Radiomics of the Brain. Med. Phys. 2019, 46, 5116–5123. [Google Scholar] [CrossRef] [PubMed]
- Kim, H.; Park, C.M.; Lee, M.; Park, S.J.; Song, Y.S.; Lee, J.H.; Hwang, E.J.; Goo, J.M. Impact of Reconstruction Algorithms on CT Radiomic Features of Pulmonary Tumors: Analysis of Intra- and Inter-Reader Variability and Inter-Reconstruction Algorithm Variability. PLoS ONE 2016, 11, e0164924. [Google Scholar] [CrossRef]
- Choe, J.; Lee, S.M.; Do, K.-H.; Lee, G.; Lee, J.-G.; Lee, S.M.; Seo, J.B. Deep Learning-Based Image Conversion of CT Reconstruction Kernels Improves Radiomics Reproducibility for Pulmonary Nodules or Masses. Radiology 2019, 292, 365–373. [Google Scholar] [CrossRef]
- Schwier, M.; van Griethuysen, J.; Vangel, M.G.; Pieper, S.; Peled, S.; Tempany, C.; Aerts, H.J.W.; Kikinis, R.; Fennessy, F.M.; Fedorov, A. Repeatability of Multi-parametric Prostate MRI Radiomics Features. Sci. Rep. 2019, 9, 9441. [Google Scholar] [CrossRef]
- Scalco, E.; Belfatto, A.; Mastropietro, A.; Rancati, T.; Avuzzi, B.; Messina, A.; Valdagni, R.; Rizzo, G. T2w-MRI Signal Normalization Affects Radiomics Features Reproducibility. Med. Phys. 2020, 47, 1680–1691. [Google Scholar] [CrossRef]
- Saha, A.; Harowicz, M.R.; Mazurowski, M.A. Breast Cancer MRI Radiomics: An Overview of Algorithmic Features and Impact of Inter-reader Variability in Annotating Tumors. Med. Phys. 2018, 45, 3076–3085. [Google Scholar] [CrossRef]
- Haarburger, C.; Müller-Franzes, G.; Weninger, L.; Kuhl, C.; Truhn, D.; Merhof, D. Radiomics Feature Reproducibility under Inter-Rater Variability in Segmentations of CT Images. Sci. Rep. 2020, 10, 12688. [Google Scholar] [CrossRef]
- Baeßler, B.; Weiss, K.; Pinto Dos Santos, D. Robustness and Reproducibility of Radiomics in Magnetic Resonance Imaging: A Phantom Study. Investig. Radiol. 2019, 54, 221–228. [Google Scholar] [CrossRef]
- van Timmeren, J.E.; Cester, D.; Tanadini-Lang, S.; Alkadhi, H.; Baessler, B. Radiomics in Medical Imaging-“how-to” Guide and Critical Reflection. Insights Imaging 2020, 11, 91. [Google Scholar] [CrossRef] [PubMed]
- Galavis, P.E. Reproducibility and Standardization in Radiomics: Are We There Yet? In Proceedings of the XVI Mexican Symposium On Medical Physics, Mexico City, Mexico, 26–30 October 2020; AIP Publishing: Melville, NY, USA, 2021.
- Xu, L.; Zhang, G.; Zhao, L.; Mao, L.; Li, X.; Yan, W.; Xiao, Y.; Lei, J.; Sun, H.; Jin, Z. Radiomics Based on Multi-parametric Magnetic Resonance Imaging to Predict Extraprostatic Extension of Prostate Cancer. Front. Oncol. 2020, 10, 940. [Google Scholar] [CrossRef] [PubMed]
- Zhang, G.-M.-Y.; Han, Y.-Q.; Wei, J.-W.; Qi, Y.-F.; Gu, D.-S.; Lei, J.; Yan, W.-G.; Xiao, Y.; Xue, H.-D.; Feng, F.; et al. Radiomics Based on MRI as a Biomarker to Guide Therapy by Predicting Upgrading of Prostate Cancer from Biopsy to Radical Prostatectomy. J. Magn. Reson. Imaging 2020, 52, 1239–1248. [Google Scholar] [CrossRef]
- Koo, T.K.; Li, M.Y. A Guideline of Selecting and Reporting Intraclass Correlation Coefficients for Reliability Research. J. Chiropr. Med. 2016, 15, 155–163. [Google Scholar] [CrossRef] [PubMed]
- Chen, T.; Li, M.; Gu, Y.; Zhang, Y.; Yang, S.; Wei, C.; Wu, J.; Li, X.; Zhao, W.; Shen, J. Prostate Cancer Differentiation and Aggressiveness: Assessment with a Radiomic-Based Model vs. PI-RADS V2. J. Magn. Reson. Imaging 2019, 49, 875–884. [Google Scholar] [CrossRef] [PubMed]
- Fehr, D.; Veeraraghavan, H.; Wibmer, A.; Gondo, T.; Matsumoto, K.; Vargas, H.A.; Sala, E.; Hricak, H.; Deasy, J.O. Automatic Classification of Prostate Cancer Gleason Scores from Multi-parametric Magnetic Resonance Images. Proc. Natl. Acad. Sci. USA 2015, 112, E6265–E6273. [Google Scholar] [CrossRef]
- Khoo, E.L.H.; Schick, K.; Plank, A.W.; Poulsen, M.; Wong, W.W.G.; Middleton, M.; Martin, J.M. Prostate Contouring Variation: Can It Be Fixed? Int. J. Radiat. Oncol. Biol. Phys. 2012, 82, 1923–1929. [Google Scholar] [CrossRef]
- Balagurunathan, Y.; Gu, Y.; Wang, H.; Kumar, V.; Grove, O.; Hawkins, S.; Kim, J.; Goldgof, D.B.; Hall, L.O.; Gatenby, R.A.; et al. Reproducibility and Prognosis of Quantitative Features Extracted from CT Images. Transl. Oncol. 2014, 7, 72–87. [Google Scholar] [CrossRef]
- Kalpathy-Cramer, J.; Mamomov, A.; Zhao, B.; Lu, L.; Cherezov, D.; Napel, S.; Echegaray, S.; Rubin, D.; McNitt-Gray, M.; Lo, P.; et al. Radiomics of Lung Nodules: A Multi-Institutional Study of Robustness and Agreement of Quantitative Imaging Features. Tomography 2016, 2, 430–437. [Google Scholar] [CrossRef]
- Haarburger, C.; Schock, J.; Truhn, D.; Weitz, P.; Mueller-Franzes, G.; Weninger, L.; Merhof, D. Radiomic Feature Stability Analysis Based on Probabilistic Segmentations. In Proceedings of the 2020 IEEE 17th International Symposium on Biomedical Imaging (ISBI), Iowa City, IA, USA, 3–7 April 2020. [Google Scholar]
- Berman, R.M.; Brown, A.M.; Chang, S.D.; Sankineni, S.; Kadakia, M.; Wood, B.J.; Pinto, P.A.; Choyke, P.L.; Turkbey, B. DCE MRI of prostate cancer. Abdom. Radiol. 2016, 41, 844–853. [Google Scholar] [CrossRef]
- Clark, K.; Vendt, B.; Smith, K.; Freymann, J.; Kirby, J.; Koppel, P.; Moore, S.; Phillips, S.; Maffitt, D.; Pringle, M.; et al. The Cancer Imaging Archive (TCIA): Maintaining and Operating a Public Information Repository. J. Digit. Imaging 2013, 26, 1045–1057. [Google Scholar] [CrossRef]
- Fedorov, A.; Vangel, M.G.; Tempany, C.M.; Fennessy, F.M. Multi-parametric Magnetic Resonance Imaging of the Prostate: Repeatability of Volume and Apparent Diffusion Coefficient Quantification. Investig. Radiol. 2017, 52, 538–546. [Google Scholar] [CrossRef]
- Fedorov, A.; Schwier, M.; Clunie, D.; Herz, C.; Pieper, S.; Kikinis, R.; Tempany, C.; Fennessy, F. An Annotated Test-Retest Collection of Prostate Multi-parametric MRI. Sci. Data 2018, 5, 180281. [Google Scholar] [CrossRef] [PubMed]
- Perez, L.; Wang, J. The Effectiveness of Data Augmentation in Image Classification Using Deep Learning. arXiv 2017, arXiv:1712.04621. [Google Scholar]
- Shorten, C.; Khoshgoftaar, T.M. A Survey on Image Data Augmentation for Deep Learning. J. Big Data 2019, 6, 60. [Google Scholar] [CrossRef]
- Pérez-García, F.; Sparks, R.; Ourselin, S. TorchIO: A Python Library for Efficient Loading, Preprocessing, Augmentation and Patch-Based Sampling of Medical Images in Deep Learning. Comput. Methods Programs Biomed. 2021, 208, 106236. [Google Scholar] [CrossRef]
- Rasch, C.; Barillot, I.; Remeijer, P.; Touw, A.; van Herk, M.; Lebesque, J.V. Definition of the Prostate in CT and MRI: A Multi-Observer Study. Int. J. Radiat. Oncol. Biol. Phys. 1999, 43, 57–66. [Google Scholar] [CrossRef]
- Smith, W.L.; Lewis, C.; Bauman, G.; Rodrigues, G.; D’Souza, D.; Ash, R.; Ho, D.; Venkatesan, V.; Downey, D.; Fenster, A. Prostate Volume Contouring: A 3D Analysis of Segmentation Using 3DTRUS, CT, and MR. Int. J. Radiat. Oncol.*Biol.*Phys. 2007, 67, 1238–1247. [Google Scholar] [CrossRef] [PubMed]
- van Griethuysen, J.J.M.; Fedorov, A.; Parmar, C.; Hosny, A.; Aucoin, N.; Narayan, V.; Beets-Tan, R.G.H.; Fillion-Robin, J.-C.; Pieper, S.; Aerts, H.J.W. Computational Radiomics System to Decode the Radiographic Phenotype. Cancer Res. 2017, 77, e104–e107. [Google Scholar] [CrossRef] [PubMed]
- Huang, W.; Chen, Y.; Fedorov, A.; Li, X.; Jajamovich, G.H.; Malyarenko, D.I.; Aryal, M.P.; LaViolette, P.S.; Oborski, M.J.; O’Sullivan, F.; et al. The Impact of Arterial Input Function Determination Variations on Prostate Dynamic Contrast-Enhanced Magnetic Resonance Imaging Pharmacokinetic Modeling: A Multicenter Data Analysis Challenge. Tomography 2016, 2, 56–66. [Google Scholar] [CrossRef] [PubMed]
- Bianchini, L.; Botta, F.; Origgi, D.; Rizzo, S.; Mariani, M.; Summers, P.; García-Polo, P.; Cremonesi, M.; Lascialfari, A. PETER PHAN: An MRI Phantom for the Optimisation of Radiomic Studies of the Female Pelvis. Phys. Med. 2020, 71, 71–81. [Google Scholar] [CrossRef]
- Tixier, F.; Rest, L.; Hatt, C.C.; Albarghach, M. Intratumor Heterogeneity Characterized by Textural Features on Baseline 18F-FDG PET Images Predicts Response to Concomitant Radiochemotherapy in Esophageal. J. Nucl. 2011, 52, 369–378. [Google Scholar] [CrossRef]
- Vallat, R. Pingouin: Statistics in Python. J. Open Source Softw. 2018, 3, 1026. [Google Scholar] [CrossRef]
- Velazquez, R. Somatic Mutations Drive Distinct Imaging Phenotypes in Lung Cancer. Cancer Res 2017, 77, 3922–3930. [Google Scholar] [CrossRef]
- Eklund, M.; Jäderling, F.; Discacciati, A.; Bergman, M.; Annerstedt, M.; Aly, M.; Glaessgen, A.; Carlsson, S.; Grönberg, H.; Nordström, T.; et al. MRI-Targeted or Standard Biopsy in Prostate Cancer Screening. N. Engl. J. Med. 2021, 385, 908–920. [Google Scholar] [CrossRef]
- Zhou, X.; Gao, F.; Duan, S.; Zhang, L.; Liu, Y.; Zhou, J.; Bai, G.; Tao, W. Radiomic Features of Pk-DCE MRI Parameters Based on the Extensive Tofts Model in Application of Breast Cancer. Phys. Eng. Sci. Med. 2020, 43, 517–524. [Google Scholar] [CrossRef] [PubMed]
- Jha, A.K.; Mithun, S.; Jaiswar, V.; Sherkhane, U.B.; Purandare, N.C.; Prabhash, K.; Rangarajan, V.; Dekker, A.; Wee, L.; Traverso, A. Repeatability and Reproducibility Study of Radiomic Features on a Phantom and Human Cohort. Sci. Rep. 2021, 11, 2055. [Google Scholar] [CrossRef] [PubMed]
- Ibrahim, A.; Refaee, T.; Leijenaar, R.T.H.; Primakov, S.; Hustinx, R.; Mottaghy, F.M.; Woodruff, H.C.; Maidment, A.D.A.; Lambin, P. The Application of a Workflow Integrating the Variable Reproducibility and Harmonizability of Radiomic Features on a Phantom Dataset. PLoS ONE 2021, 16, e0251147. [Google Scholar] [CrossRef]
- Zwanenburg, A.; Leger, S.; Agolli, L.; Pilz, K.; Troost, E.G.C.; Richter, C.; Löck, S. Assessing Robustness of Radiomic Features by Image Perturbation. Sci. Rep. 2019, 9, 614. [Google Scholar] [CrossRef]









| Specifications | (a) Internal Dataset | (b) External Dataset |
|---|---|---|
| No. of Patients | 100 | 15 |
| Manufacturer | Ingenia (Philips Medical System, Best, The Netherlands) | GE Signa HDxt platform and GE Discovery MR750w (General Electric Healthcare, Milwaukee, WI) machines. |
| Magnetic Field Strength | 1.5 T | 3.0 T |
| Endorectal Coil | Yes | Yes |
| PIRADSv2 Compliant | Yes | Yes |
| Acquisition Protocol | T2w (TR/TE = 4910/110 ms, slice thickness = 3 mm, pixel spacing = 0.297 mm); DWI (b-values = 0, 1500 and 2000 s/mm2, TR/TE = 3320/106 ms, slice thickness = 3 mm, pixel spacing = 1.250 mm); DCE (TR/TE = 4.03/1.88 ms, slice thickness = 3 mm, pixel spacing = 1.136 mm, acquired with high temporal resolution < 10 s). | T2w (TR/TE = 3350–5109/84–107 ms, slice thickness = 3 mm, pixel spacing = 0.273–0.312 mm); DWI (b-values of 0 and 1400 s/mm2, TR/TE = 2500–8150/76.7–80.6 ms, slice thickness = 3–4 mm, pixel spacing = 0.625–0.703 mm); DCE (TR/TE = 3.68–4.1/1.3–1.42 ms, slice thickness = 5–6 mm, pixel spacing = 0.547–1.015 mm). |
| GT Segmentation | Whole prostate gland segmentation on T2w | Whole prostate gland segmentation on T2w, ADC, and SUB |
| (a) Internal | ||||||||
| aug config | T2w | ADC | SUBwin | SUBwout | ||||
| mean | std | mean | std | mean | std | mean | std | |
| InP-R | 0.95 | 0.01 | 0.95 | 0.01 | 0.95 | 0.01 | 0.95 | 0.01 |
| InP-S | 0.95 | 0.02 | 0.95 | 0.02 | 0.95 | 0.02 | 0.95 | 0.02 |
| OutP | 0.99 | 0.01 | 0.99 | 0.01 | 0.99 | 0.01 | 0.99 | 0.01 |
| In&OutP-R | 0.95 | 0.01 | 0.95 | 0.01 | 0.95 | 0.02 | 0.95 | 0.01 |
| In&OutP-S | 0.94 | 0.03 | 0.95 | 0.03 | 0.94 | 0.02 | 0.94 | 0.03 |
| (b) External | ||||||||
| aug config | T2w | ADC | SUB | |||||
| mean | std | mean | std | mean | std | |||
| InP-R | 0.95 | 0.01 | 0.96 | 0.01 | 0.95 | 0.02 | ||
| InP-S | 0.95 | 0.03 | 0.95 | 0.02 | 0.95 | 0.03 | ||
| OutP | 0.99 | 0.01 | 0.99 | 0.01 | 0.99 | 0.01 | ||
| In&OutP-R | 0.94 | 0.02 | 0.95 | 0.01 | 0.94 | 0.02 | ||
| In&OutP-S | 0.94 | 0.03 | 0.95 | 0.03 | 0.94 | 0.03 | ||
| (a) T2w | ||||||||||||||||||||
| aug config | firstorder | glcm | glrlm | glszm | Overall | |||||||||||||||
| O | BF | O | BF | O | BF | O | BF | O | BF | |||||||||||
| S | R | S | R | S | R | S | R | S | R | S | R | S | R | S | R | S | R | S | R | |
| InP-R | 0.72 | 0.72 | 1 | 1 | 0.95 | 0.86 | 1 | 1 | 0.94 | 0.75 | 1 | 1 | 0.81 | 0.62 | 1 | 0.88 | 0.86 | 0.75 | 1 | 0.97 |
| InP-S | 0.44 | 0.22 | 1 | 0.94 | 0.73 | 0.41 | 1 | 0.86 | 0.94 | 0.44 | 1 | 0.62 | 0.75 | 0.44 | 1 | 0.81 | 0.71 | 0.38 | 1 | 0.82 |
| OutP | 0.83 | 0.83 | 1 | 1 | 1 | 1 | 1 | 1 | 1 | 1 | 1 | 1 | 0.94 | 0.81 | 1 | 1 | 0.94 | 0.92 | 1 | 1 |
| In&OutP-R | 0.72 | 0.61 | 1 | 1 | 0.95 | 0.82 | 1 | 1 | 0.94 | 0.56 | 1 | 1 | 0.81 | 0.56 | 1 | 0.88 | 0.86 | 0.65 | 1 | 0.97 |
| In&OutP-S | 0.44 | 0.22 | 1 | 0.94 | 0.73 | 0.41 | 1 | 0.86 | 0.94 | 0.44 | 1 | 0.62 | 0.69 | 0.38 | 0.88 | 0.75 | 0.69 | 0.36 | 0.97 | 0.81 |
| (b) ADC | ||||||||||||||||||||
| aug config | firstorder | glcm | glrlm | glszm | Overall | |||||||||||||||
| O | BF | O | BF | O | BF | O | BF | O | BF | |||||||||||
| S | R | S | R | S | R | S | R | S | R | S | R | S | R | S | R | S | R | S | R | |
| InP-R | 0.94 | 0.89 | 1 | 1 | 1 | 0.91 | 1 | 1 | 1 | 0.94 | 1 | 1 | 0.81 | 0.69 | 0.94 | 0.94 | 0.94 | 0.86 | 0.99 | 0.99 |
| InP-S | 0.5 | 0.5 | 1 | 1 | 0.55 | 0.41 | 1 | 1 | 0.69 | 0.5 | 1 | 1 | 0.44 | 0.31 | 0.88 | 0.88 | 0.54 | 0.43 | 0.97 | 0.97 |
| OutP | 1 | 0.89 | 1 | 1 | 1 | 0.95 | 1 | 1 | 0.94 | 0.94 | 1 | 1 | 0.81 | 0.81 | 1 | 1 | 0.94 | 0.9 | 1 | 1 |
| In&OutP-R | 0.94 | 0.89 | 1 | 0.94 | 1 | 0.91 | 1 | 1 | 0.94 | 0.88 | 1 | 1 | 0.75 | 0.56 | 0.94 | 0.94 | 0.92 | 0.82 | 0.99 | 0.97 |
| In&OutP-S | 0.56 | 0.56 | 1 | 0.94 | 0.5 | 0.36 | 1 | 1 | 0.5 | 0.31 | 1 | 1 | 0.31 | 0.19 | 0.88 | 0.81 | 0.47 | 0.36 | 0.97 | 0.94 |
| (c) SUBwin | ||||||||||||||||||||
| aug config | firstorder | glcm | glrlm | glszm | Overall | |||||||||||||||
| O | BF | O | BF | O | BF | O | BF | O | BF | |||||||||||
| S | R | S | R | S | R | S | R | S | R | S | R | S | R | S | R | S | R | S | R | |
| InP-R | 0.72 | 0.67 | 1 | 1 | 0.91 | 0.91 | 1 | 1 | 0.81 | 0.62 | 1 | 1 | 0.81 | 0.56 | 1 | 0.88 | 0.82 | 0.71 | 1 | 0.97 |
| InP-S | 0.5 | 0.33 | 1 | 1 | 0.82 | 0.5 | 1 | 1 | 0.56 | 0.56 | 0.94 | 0.81 | 0.75 | 0.56 | 0.88 | 0.88 | 0.67 | 0.49 | 0.96 | 0.93 |
| OutP | 0.83 | 0.78 | 1 | 1 | 1 | 1 | 1 | 1 | 1 | 1 | 1 | 1 | 1 | 0.88 | 1 | 1 | 0.96 | 0.92 | 1 | 1 |
| In&OutP-R | 0.72 | 0.61 | 1 | 1 | 0.91 | 0.82 | 1 | 1 | 0.81 | 0.62 | 1 | 0.88 | 0.81 | 0.5 | 1 | 0.88 | 0.82 | 0.65 | 1 | 0.94 |
| In&OutP-S | 0.5 | 0.33 | 1 | 1 | 0.82 | 0.5 | 1 | 1 | 0.56 | 0.56 | 0.94 | 0.81 | 0.69 | 0.44 | 0.88 | 0.88 | 0.65 | 0.46 | 0.96 | 0.93 |
| (d) SUBwout | ||||||||||||||||||||
| aug config | firstorder | glcm | glrlm | glszm | Overall | |||||||||||||||
| O | BF | O | BF | O | BF | O | BF | O | BF | |||||||||||
| S | R | S | R | S | R | S | R | S | R | S | R | S | R | S | R | S | R | S | R | |
| InP-R | 0.78 | 0.67 | 1 | 1 | 0.95 | 0.91 | 1 | 1 | 0.94 | 0.62 | 1 | 1 | 0.88 | 0.62 | 0.94 | 0.88 | 0.89 | 0.72 | 0.99 | 0.97 |
| InP-S | 0.33 | 0.33 | 1 | 1 | 0.68 | 0.41 | 1 | 1 | 0.56 | 0.56 | 1 | 0.81 | 0.56 | 0.5 | 0.94 | 0.88 | 0.54 | 0.44 | 0.99 | 0.93 |
| OutP | 0.89 | 0.78 | 1 | 1 | 1 | 1 | 1 | 1 | 0.94 | 0.94 | 1 | 1 | 1 | 0.88 | 1 | 1 | 0.96 | 0.9 | 1 | 1 |
| In&OutP-R | 0.72 | 0.61 | 1 | 1 | 0.91 | 0.82 | 1 | 1 | 0.81 | 0.62 | 1 | 0.88 | 0.81 | 0.56 | 0.88 | 0.88 | 0.82 | 0.67 | 0.97 | 0.94 |
| In&OutP-S | 0.33 | 0.33 | 1 | 1 | 0.64 | 0.41 | 1 | 1 | 0.56 | 0.56 | 0.88 | 0.81 | 0.56 | 0.44 | 0.88 | 0.88 | 0.53 | 0.43 | 0.94 | 0.93 |
Disclaimer/Publisher’s Note: The statements, opinions and data contained in all publications are solely those of the individual author(s) and contributor(s) and not of MDPI and/or the editor(s). MDPI and/or the editor(s) disclaim responsibility for any injury to people or property resulting from any ideas, methods, instructions or products referred to in the content. |
© 2023 by the authors. Licensee MDPI, Basel, Switzerland. This article is an open access article distributed under the terms and conditions of the Creative Commons Attribution (CC BY) license (https://creativecommons.org/licenses/by/4.0/).
Share and Cite
Thulasi Seetha, S.; Garanzini, E.; Tenconi, C.; Marenghi, C.; Avuzzi, B.; Catanzaro, M.; Stagni, S.; Villa, S.; Chiorda, B.N.; Badenchini, F.; et al. Stability of Multi-Parametric Prostate MRI Radiomic Features to Variations in Segmentation. J. Pers. Med. 2023, 13, 1172. https://doi.org/10.3390/jpm13071172
Thulasi Seetha S, Garanzini E, Tenconi C, Marenghi C, Avuzzi B, Catanzaro M, Stagni S, Villa S, Chiorda BN, Badenchini F, et al. Stability of Multi-Parametric Prostate MRI Radiomic Features to Variations in Segmentation. Journal of Personalized Medicine. 2023; 13(7):1172. https://doi.org/10.3390/jpm13071172
Chicago/Turabian StyleThulasi Seetha, Sithin, Enrico Garanzini, Chiara Tenconi, Cristina Marenghi, Barbara Avuzzi, Mario Catanzaro, Silvia Stagni, Sergio Villa, Barbara Noris Chiorda, Fabio Badenchini, and et al. 2023. "Stability of Multi-Parametric Prostate MRI Radiomic Features to Variations in Segmentation" Journal of Personalized Medicine 13, no. 7: 1172. https://doi.org/10.3390/jpm13071172
APA StyleThulasi Seetha, S., Garanzini, E., Tenconi, C., Marenghi, C., Avuzzi, B., Catanzaro, M., Stagni, S., Villa, S., Chiorda, B. N., Badenchini, F., Bertocchi, E., Sanduleanu, S., Pignoli, E., Procopio, G., Valdagni, R., Rancati, T., Nicolai, N., & Messina, A. (2023). Stability of Multi-Parametric Prostate MRI Radiomic Features to Variations in Segmentation. Journal of Personalized Medicine, 13(7), 1172. https://doi.org/10.3390/jpm13071172

