Cardiovascular Magnetic Resonance Imaging as an Adjunct to the Evaluation of Cardiovascular Involvement in Diabetes Mellitus
Abstract
1. Introduction
2. Echocardiography (Echo)
3. Nuclear Techniques (SPECT-PET)
4. Cardiac Computed Tomography (CCT)
5. How Can Cardiovascular Magnetic Resonance (CMR) Imaging Be Used as a Useful Adjunct in the Cardiovascular Assessment of DM and PRE-DM Patients?
- (i)
- Evaluation of Cardiac Function
- (ii)
- Evaluation of Myocardial Perfusion with Stress CMR
- (iii)
- Tissue Characterization
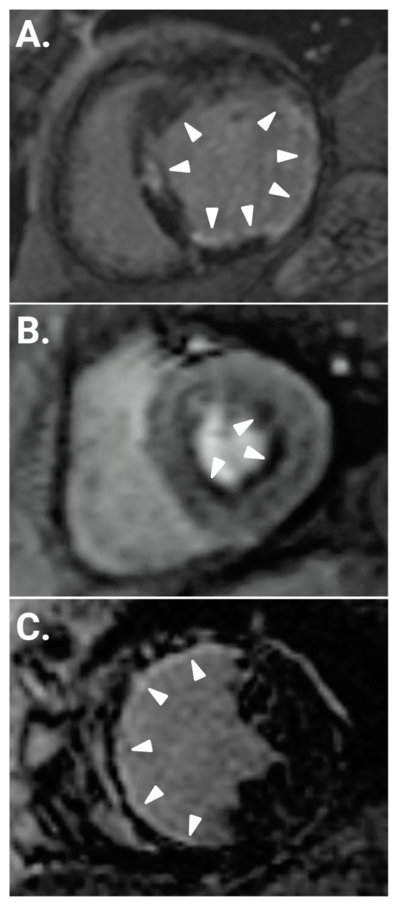
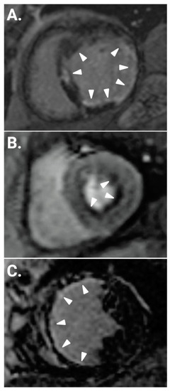
- (a)
- T1-weighted (T1-W) Images and Late Gadolinium Enhancement (LGE)
- (b)
- T1 Mapping and Extracellular Volume Fraction (ECV)
- (c)
- T2-weighted (T2-W) Images
- (d)
- T2 mapping
- (e)
- T2* mapping
- (iv)
- Magnetic Resonance Angiography
- (v)
- LV Deformation
- (vi)
- Magnetic Resonance Spectroscopy (MRS)
6. CMR Limitations
- Although the expertise and availability of CMR are generally low, today there is an increase in CMR in clinical practice.
- CMR is contraindicated in patients with non-MRI conditional devices or metallic clips [38].
- Using CMR in the decision-making process has a clear benefit evident in a cost-minimization analysis for cardiac revascularization of these patients [45].
7. Can CMR Be a Useful Imaging Adjunct to ESC Guidelines for DM?
- Routine baseline echocardiographic evaluation on an annual basis in parallel with evaluation of microalbuminuria, glycemic status and lipid profile of all DM patients.
- Evaluation of silent or overt perfusion/fibrosis lesions. In this context, CMR is preferable to other imaging modalities as having the best reproducibility and providing all the necessary information, missed by other imaging modalities, without using ionizing radiation. Furthermore, the CMR detection of silent CVD may seriously impact the DM patient treatment motivating the early use of ACE-inhibitors, b-blockers, ranolazine and other cardioprotective medications.
8. Conclusions
Author Contributions
Funding
Institutional Review Board Statement
Informed Consent Statement
Data Availability Statement
Conflicts of Interest
References
- International Diabetes Federation. IDF Diabetes Atlas, 7th ed.; International Diabetes Federation: Brussels, Belgium, 2015. [Google Scholar]
- Abraham, T.M.; Pencina, K.M.; Pencina, M.J.; Fox, C.S. Trends in diabetes incidence: The Framingham heart study. Diabetes Care 2015, 38, 482–487. [Google Scholar] [CrossRef] [PubMed]
- Einarson, T.R.; Acs, A.; Ludwig, C.; Panton, U.H. Prevalence of cardiovascular disease in type 2 diabetes: A systematic literature review of scientific evidence from across the world in 2007–2017. Cardiovasc. Diabetol. 2018, 17, 83. [Google Scholar] [CrossRef] [PubMed]
- International Diabetes Federation. Diabetes and Cardiovascular Disease; International Diabetes Federation: Brussels, Belgium, 2016; pp. 1–144. [Google Scholar]
- Haffner, S.M.; Lehto, S.; Rönnemaa, T.; Pyörälä, K.; Laakso, M. Mortality from coronary heart disease in subjects with type 2 diabetes and in nondiabetic subjects with and without prior myocardial infarction. N. Engl. J. Med. 1998, 339, 229–234. [Google Scholar] [CrossRef]
- The Diabetes Control and Complications Trial Research Group. The effect of intensive treatment of diabetes on the development and progression of long-term complications in insulin-dependent diabetes mellitus. N. Engl. J. Med. 1993, 329, 977–986. [Google Scholar] [CrossRef]
- Nathan, D.M.; Cleary, P.A.; Backlund, J.Y.; Genuth, S.M.; Lachin, J.M.; Orchard, T.J.; Raskin, P.; Zinman, B. Intensive diabetes treatment and cardiovascular disease in patients with type 1 diabetes. N. Engl. J. Med. 2005, 353, 2643–2653. [Google Scholar]
- ADVANCE Collaborative Group. Intensive blood glucose control and vascular outcomes in patients with type 2 diabetes. N. Engl. J. Med. 2008, 358, 2560–2572. [Google Scholar] [CrossRef]
- UK Prospective Diabetes Study (UKPDS) Group. Intensive blood-glucose control with sulphonylureas or insulin compared with conventional treatment and risk of complications in patients with type 2 diabetes (UKPDS 33). UK prospective diabetes study (UKPDS) group. Lancet 1998, 352, 837–853. [Google Scholar] [CrossRef]
- Action to Control Cardiovascular Risk in Diabetes Study Group; Gerstein, H.C.; Miller, M.E.; Byington, R.P.; Goff, D.C., Jr.; Bigger, J.T.; Buse, J.B.; Cushman, W.C.; Genuth, S.; Ismail-Beigi, F.; et al. Effects of intensive glucose lowering in type 2 diabetes. N. Engl. J. Med. 2008, 358, 2545–2559. [Google Scholar]
- Cosentino, F.; Grant, P.J.; Aboyans, V.; Bailey, C.J.; Ceriello, A.; Delgado, V.; Federici, M.; Filippatos, G.; Grobbee, D.E.; Hansen, T.B.; et al. 2019 ESC Guidelines on diabetes, pre-diabetes, and cardiovascular diseases developed in collaboration with the EASD. Eur. Heart J. 2020, 41, 255–323. [Google Scholar] [CrossRef] [PubMed]
- Grigorescu, E.D.; Lacatusu, C.M.; Floria, M.; Mihai, B.M.; Cretu, I.; Sorodoc, L. Left Ventricular Diastolic Dysfunction in Type 2 Diabetes-Progress and Perspectives. Diagnostics 2019, 9, 121. [Google Scholar] [CrossRef]
- Jørgensen, P.G.; Sørensen, T.B.; Mogelvang, R.; Hansen, T.F.; Vilsbøll, T.; Rossing, P.; Jensen, M.T. Predictive value of echocardiography in Type 2 diabetes. Eur. Heart J. Cardiovasc. Imaging 2019, 20, 687–693. [Google Scholar] [CrossRef]
- Drabik, K.W.; Trzos, E.; Kurpesa, M.; Rechcinski, T.; Mi′skowiec, D.; Guerra, U.C.; Loch, B.U.; Sobczak, M.; Kasprzak, J.D. Diabetes as an independent predictor of left ventricular longitudinal strain reduction at rest and during dobutamine stress test in patients with significant coronary artery disease. Eur. Heart J. Cardiovasc. Imaging 2018, 19, 1276–1286. [Google Scholar] [CrossRef] [PubMed]
- Cortigiani, L.; Rigo, F.; Gherardi, S.; Sicari, R.; Galderisi, M.; Bovenzi, F.; Picano, E. Additional prognostic value of coronary flow reserve in diabetic and nondiabetic patients with negative dipyridamole stress echocardiography by wall motion criteria. J. Am. Coll. Cardiol. 2007, 50, 1354–1361. [Google Scholar] [CrossRef] [PubMed]
- Saunders, J.; Mathewkutty, S.; Drazner, M.H.; McGuire, D.K. Cardiomyopathy in type 2 diabetes: Update on pathophysiological mechanisms. Herz 2008, 33, 184–190. [Google Scholar] [CrossRef] [PubMed]
- Ringle, A.; Dornhorst, A.; Rehman, M.B.; Ruisanchez, C.; Nihoyannopoulos, P. Evolution of subclinical myocardial dysfunction detected by two-dimensional and three-dimensional speckle tracking in asymptomatic type 1 diabetic patients: A long-term follow-up study. Echo Res. Pract. 2017, 4, 73–81. [Google Scholar] [CrossRef] [PubMed]
- Holland, D.J.; Marwick, T.H.; Haluska, B.A.; Leano, R.; Hordern, M.D.; Hare, J.L.; Fang, Z.Y.; Prins, J.B.; Stanton, T. Subclinical LV dysfunction and 10-year outcomes in type 2 diabetes mellitus. Heart 2015, 101, 1061–1066. [Google Scholar] [CrossRef]
- Marwick, T.H.; Case, C.; Sawada, S.; Vasey, C.; Short, L.; Lauer, M. Use of stress echocardiography to predict mortality in patients with diabetes and known or suspected coronary artery disease. Diabetes Care 2002, 25, 1042–1048. [Google Scholar] [CrossRef]
- Albers, A.R.; Krichavsky, M.Z.; Balady, G.J. Stress testing in patients with diabetes mellitus: Diagnostic and prognostic value. Circulation 2006, 113, 583–592. [Google Scholar] [CrossRef]
- Philouze, C.; Obert, P.; Nottin, S.; Benamor, A.; Barthez, O.; Aboukhoudir, F. Dobutamine stress echocardiography unmasks early left ventricular dysfunction in asymptomatic patients with uncomplicated type 2 diabetes: A comprehensive two-dimensional speckle-tracking imaging study. J. Am. Soc. Echocardiog. 2018, 31, 587–597. [Google Scholar] [CrossRef]
- Cortigiani, L.; Rigo, F.; Gherardi, S.; Galderisi, M.; Bovenzi, F.; Sicari, R. Prognostic meaning of coronary microvascular disease in type 2 diabetes mellitus: A transthora-cic Doppler echocardiographic study. J. Am. Soc. Echocardiog. 2014, 27, 742–748. [Google Scholar] [CrossRef]
- Cortigiani, L.; Gherardi, S.; Faggioni, M.; Bovenzi, F.; Picano, E.; Petersen, C.; Molinaro, S.; Sicari, R. Dual-imaging stress echocardiography for prognostic assessment of high-risk asymptomatic patients with diabetes mellitus. J. Am. Soc. Echocardiog. 2017, 30, 149–158. [Google Scholar] [CrossRef]
- Mavrogeni, S.I.; Bacopoulou, F.; Markousis-Mavrogenis, G.; Giannakopoulou, A.; Kariki, O.; Vartela, V.; Kolovou, G.; Charmandari, E.; Chrousos, G. Cardiovascular magnetic resonance as pathophysiologic tool in diabetes mellitus. Front. Endocrinol. 2021, 12, 672302. [Google Scholar] [CrossRef] [PubMed]
- Bourque, J.M.; Patel, C.A.; Ali, M.M.; Perez, M.; Watson, D.D.; Beller, G.A. Prevalence and predictors of ischemia and outcomes in outpatients with diabetes mellitus referred for single-photon emission computed tomography myocardial perfusion imaging. Circ. Cardiovasc. Imaging 2013, 6, 466–477. [Google Scholar] [CrossRef]
- Storto, G.; Pellegrino, T.; Sorrentino, A.R.; Luongo, L.; Petretta, M.; Cuocolo, A. Estimation of coronary flow reserve by sestamibi imaging in type 2 diabetic patients with normal coronary arteries. J. Nucl. Cardiol. 2007, 14, 194–199. [Google Scholar] [CrossRef]
- Skali, H.; Di Carli, M.F.; Blankstein, R.; Chow, B.J.; Beanlands, R.S.; Berman, D.S.; Germano, G.; Min, J.K.; Merhige, M.; Williams, B.; et al. Stress myocardial perfusion PET provides incremental risk prediction in patients with and patients without diabetes. Radiol. Cardiothorac. Imaging 2019, 1, e180018. [Google Scholar] [CrossRef]
- Zobel, E.H.; Winther, S.A.; Hasbak, P.; von Scholten, B.J.; Holmvang, L.; Kjaer, A.; Rossing, P.; Hansen, T.W. Myocardial flow reserve assessed by cardiac 82Rb positron emission tomography/computed tomography is associated with albumin excretion in patients with Type 1 diabetes. Eur. Heart J. Cardiovasc. Imaging 2019, 20, 796–803. [Google Scholar] [CrossRef] [PubMed]
- Yokoyama, I.; Momomura, S.; Ohtake, T.; Yonekura, K.; Nishikawa, J.; Sasaki, Y.; Omata, M. Reduced myocardial flow reserve in non-insulin-dependent diabetes mellitus. J. Am. Coll. Cardiol. 1997, 30, 1472–1477. [Google Scholar] [CrossRef]
- Murthy, V.L.; Naya, M.; Foster, C.R.; Gaber, M.; Hainer, J.; Klein, J.; Dorbala, S.; Blankstein, R.; di Carli, M.F. Association between coronary vascular dysfunction and cardiac mortality in patients with and without diabetes mellitus. Circulation 2012, 126, 1858–1868. [Google Scholar] [CrossRef]
- Beller, E.; Meinel, F.G.; Schoeppe, F.; Kunz, W.G.; Thierfelder, K.M.; Hausleiter, J.; Bamberg, F.; Schoepf, U.J.; Hoffmann, V.S. Predictive value of coronary computed tomography angiography in asymptomatic individuals with diabetes mellitus: Systematic review and meta-analysis. J. Cardiovasc. Comput. Tomogr. 2018, 12, 320–328. [Google Scholar] [CrossRef] [PubMed]
- Malik, S.; Zhao, Y.; Budoff, M.; Nasir, K.; Blumenthal, R.S.; Bertoni, A.G.; Wong, N.D. Coronary artery calcium score for long-term risk classification in individuals with type 2 diabetes and metabolic syndrome from the Multi-ethnic Study of Atherosclerosis. JAMA Cardio. 2017, 2, 1332–1340. [Google Scholar] [CrossRef]
- Sharma, A.; Coles, A.; Sekaran, N.K.; Pagidipati, N.J.; Lu, M.T.; Mark, D.B.; Lee, K.L.; Al-Khalidi, H.R.; Hoffmann, U.; Douglas, P.S. Stress testing versus CT angiography in patients with diabetes and suspected coronary artery disease. J. Am. Coll. Cardiol. 2019, 73, 893–902. [Google Scholar] [CrossRef]
- Tesche, C.; Bauer, M.J.; Straube, F.; Rogowski, S.; Baumann, S.; Renker, M.; Fink, N.; Schoepf, U.J.; Hoffmann, E.; Ebersberger, U. Association of epicardial adipose tissue with coronary CT angiography plaque parameters on cardiovascular outcome in patients with and without diabetes mellitus. Atherosclerosis 2022, 363, 78–84. [Google Scholar] [CrossRef]
- Ichikawa, K.; Miyoshi, T.; Osawa, K.; Nakashima, M.; Miki, T.; Nishihara, T.; Toda, H.; Yoshida, M.; Ito, H. High pericoronary adipose tissue attenuation on computed tomography angiography predicts cardiovascular events in patients with type 2 diabetes mellitus: Post-hoc analysis from a prospective cohort study. Cardiovasc. Diabetol. 2022, 21, 44. [Google Scholar] [CrossRef]
- Clerc, O.F.; Fuchs, T.A.; Stehli, J.; Benz, D.C.; Gräni, C.; Messerli, M.; Giannopoulos, A.A.; Buechel, R.R.; Lüscher, T.F.; Pazhenkottil, A.P.; et al. Non-invasive screening for coronary artery disease in asymptomatic diabetic patients: A systematic review and meta-analysis of randomised controlled trials. Eur. Heart J. Cardiovasc. Imaging 2018, 19, 838–846. [Google Scholar] [CrossRef] [PubMed]
- Greenwood, J.P.; Maredia, N.; Younger, J.F.; Brown, J.M.; Nixon, J.; Everett, C.C.; Bijsterveld, P.; Ridgway, J.P.; Radjenovic, A.; Dickinson, C.J.; et al. Cardiovascular magnetic resonance and single-photon emission computed tomography for diagnosis of coronary heart disease (CE-MARC): A prospective trial. Lancet 2012, 379, 453–460. [Google Scholar] [CrossRef]
- Mavrogeni, S.I.; Kallifatidis, A.; Kourtidou, S.; Lama, N.; Christidi, A.; Detorakis, E.; Chatzantonis, G.; Vrachliotis, T.; Karamitsos, T.; Kouskouras, K.; et al. Cardiovascular magnetic resonance for the evaluation of patients with cardiovascular disease: An overview of current indications, limitations, and procedures. Hellenic J. Cardiol. 2023, 70, 53–64. [Google Scholar] [CrossRef]
- Laohabut, I.; Songsangjinda, T.; Kaolawanich, Y.; Yindeengam, A.; Krittayaphong, R. Myocardial extracellular volume fraction and T1 mapping by cardiac magnetic resonance compared between patients with and without type 2 diabetes, and the effect of ECV and T2D on cardiovascular outcomes. Front. Cardiovasc. Med. 2021, 8, 771363. [Google Scholar] [CrossRef] [PubMed]
- Nakamura, S.; Ishida, M.; Nakata, K.; Ichikawa, Y.; Takase, S.; Takafuji, M.; Ito, H.; Nakamori, S.; Kurita, T.; Dohi, K.; et al. Long-term prognostic value of whole-heart coronary magnetic resonance angiography. J. Cardiovasc. Magn. Reson. 2021, 23, 56. [Google Scholar] [CrossRef]
- Xie, L.J.; Dong, Z.H.; Yang, Z.G.; Deng, M.Y.; Gao, Y.; Jiang, L.; Hu, B.Y.; Liu, X.; Ren, Y.; Xia, C.C.; et al. Assessment of left ventricular deformation in patients with type 2 diabetes mellitus by cardiac magnetic resonance tissue tracking. Sci. Rep. 2020, 10, 13126. [Google Scholar] [CrossRef]
- McGavock, J.M.; Lingvay, I.; Zib, I.; Tillery, T.; Salas, N.; Unger, R.; Levine, B.D.; Raskin, P.; Victor, R.G.; Szczepaniak, L.S. Cardiac steatosis in diabetes mellitus: A 1H-magnetic resonance spectroscopy study. Circulation 2007, 116, 1170–1175. [Google Scholar] [CrossRef] [PubMed]
- Levelt, E.; Mahmod, M.; Piechnik, S.K.; Ariga, R.; Francis, J.M.; Rodgers, C.T.; Clarke, W.T.; Sabharwal, N.; Schneider, J.E.; Karamitsos, T.D.; et al. Relationship between left ventricular structural and metabolic remodeling in type 2 diabetes. Diabetes 2016, 65, 44–52. [Google Scholar] [CrossRef]
- Levelt, E.; Rodgers, C.T.; Clarke, W.T.; Mahmod, M.; Ariga, R.; Francis, J.M.; Liu, A.; Wijesurendra, R.S.; Dass, S.; Sabharwal, N.; et al. Cardiac energetics, oxygenation, and perfusion during increased workload in patients with type 2 diabetes mellitus. Eur. Heart J. 2016, 37, 3461–3469. [Google Scholar] [CrossRef]
- Moschetti, K.; Kwong, R.Y.; Petersen, S.E.; Lombardi, M.; Garot, J.; Atar, D.; Rademakers, F.E.; Sierra-Galan, L.; Mavrogeni, S.; Li, K.; et al. Cost-minimization analysis for cardiac revascularization in 12 health care systems based on the EuroCMR/SPINS Registries. JACC Cardiovasc. Imaging 2022, 15, 607–625. [Google Scholar] [CrossRef]
- Markousis-Mavrogenis, G.; Bacopoulou, F.; Mavragani, C.; Voulgari, P.; Kolovou, G.; Kitas, G.D.; Chrousos, G.P.; Mavrogeni, S.I. Coronary microvascular disease: The "Meeting Point" of Cardiology, Rheumatology and Endocrinology. Eur. J. Clin. Investig. 2022, 52, e13737. [Google Scholar] [CrossRef]
- Kwong, R.Y.; Sattar, H.; Wu, H.; Vorobiof, G.; Gandla, V.; Steel, K.; Siu, S.; Brown, K.A. Incidence and prognostic implication of unrecognized myocardial scar characterized by cardiac magnetic resonance in diabetic patients without clinical evidence of myocardial infarction. Circulation 2008, 118, 1011–1120. [Google Scholar] [CrossRef]
- Levelt, E.; Piechnik, S.K.; Liu, A.; Wijesurendra, R.S.; Mahmod, M.; Ariga, R.; Francis, J.M.; Greiser, A.; Clarke, K.; Neubauer, S.; et al. Adenosine stress CMR T1-mapping detects early microvascular dysfunction in patients with type 2 diabetes mellitus without obstructive coronary artery disease. J. Cardiovasc. Magn. Reson. 2017, 19, 81. [Google Scholar] [CrossRef]

Disclaimer/Publisher’s Note: The statements, opinions and data contained in all publications are solely those of the individual author(s) and contributor(s) and not of MDPI and/or the editor(s). MDPI and/or the editor(s) disclaim responsibility for any injury to people or property resulting from any ideas, methods, instructions or products referred to in the content. |
© 2023 by the authors. Licensee MDPI, Basel, Switzerland. This article is an open access article distributed under the terms and conditions of the Creative Commons Attribution (CC BY) license (https://creativecommons.org/licenses/by/4.0/).
Share and Cite
Mavrogeni, S.I.; Markousis-Mavrogenis, G.; Bacopoulou, F.; Chrousos, G.P. Cardiovascular Magnetic Resonance Imaging as an Adjunct to the Evaluation of Cardiovascular Involvement in Diabetes Mellitus. J. Pers. Med. 2023, 13, 724. https://doi.org/10.3390/jpm13050724
Mavrogeni SI, Markousis-Mavrogenis G, Bacopoulou F, Chrousos GP. Cardiovascular Magnetic Resonance Imaging as an Adjunct to the Evaluation of Cardiovascular Involvement in Diabetes Mellitus. Journal of Personalized Medicine. 2023; 13(5):724. https://doi.org/10.3390/jpm13050724
Chicago/Turabian StyleMavrogeni, Sophie I., George Markousis-Mavrogenis, Flora Bacopoulou, and George P. Chrousos. 2023. "Cardiovascular Magnetic Resonance Imaging as an Adjunct to the Evaluation of Cardiovascular Involvement in Diabetes Mellitus" Journal of Personalized Medicine 13, no. 5: 724. https://doi.org/10.3390/jpm13050724
APA StyleMavrogeni, S. I., Markousis-Mavrogenis, G., Bacopoulou, F., & Chrousos, G. P. (2023). Cardiovascular Magnetic Resonance Imaging as an Adjunct to the Evaluation of Cardiovascular Involvement in Diabetes Mellitus. Journal of Personalized Medicine, 13(5), 724. https://doi.org/10.3390/jpm13050724

