Correlation between Topographic Vessel Density and Retinal Thickness Changes in Patients with Diabetic Macular Edema Treated with Anti-VEGF Therapy: Is It a Suitable OCTA Biomarker?
Abstract
:1. Introduction
2. Materials and Methods
2.1. Study Population
2.2. Image Acquisition
2.3. OCT Parameters
2.4. OCTA Parameters
2.5. Statistical Analysis
3. Results
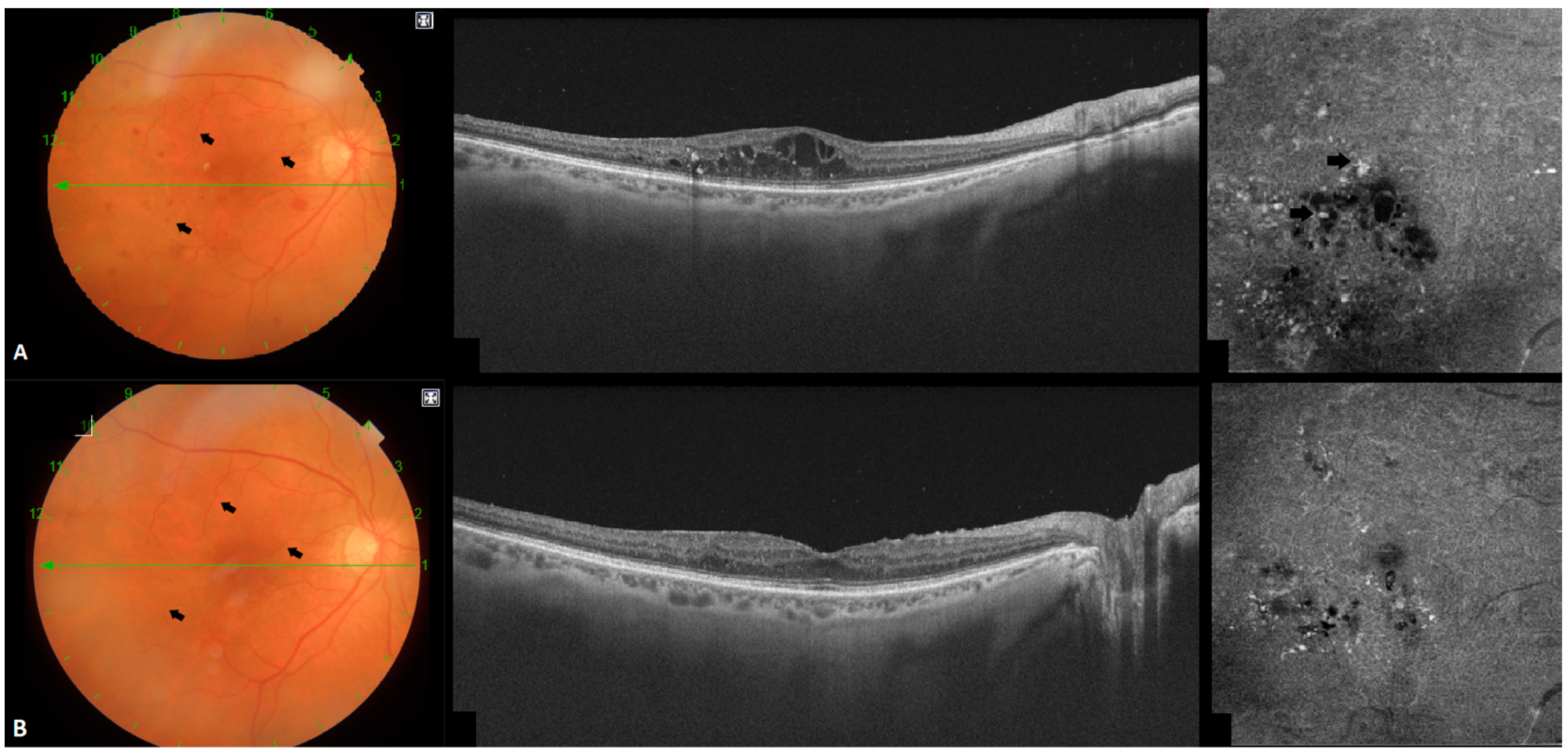
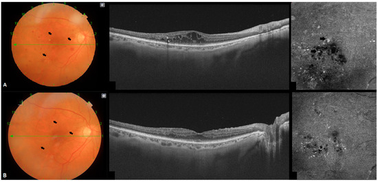
3.1. Location of MAs and Their Influence in DME
3.2. VD and the Risk of Diabetic Retinopathy Progression
3.3. VD Changes during DME Treatment
3.4. The Combination of Laser and Anti-VEGF Therapy for DME Treatment
3.5. Strengths and Limitations
4. Conclusions
Author Contributions
Funding
Institutional Review Board Statement
Informed Consent Statement
Data Availability Statement
Conflicts of Interest
References
- Perais, J.; Agarwal, R.; Evans, J.R.; Loveman, E.; Colquitt, J.L.; Owens, D.; Hogg, R.E.; Lawrenson, J.G.; Takwoingi, Y.; Lois, N. Prognostic factors for the development and progression of proliferative diabetic retinopathy in people with diabetic retinopathy. Cochrane Database Syst. Rev. 2023, 9–11. [Google Scholar] [CrossRef]
- Or, C.; Sabrosa, A.S.; Sorour, O.; Arya, M.; Waheed, N. Use of OCTA, FA, and Ultra-Widefield Imaging in Quantifying Retinal Ischemia: A Review. Asia-Pac. J. Ophthalmol. 2018, 7, 46–51. [Google Scholar] [CrossRef]
- Falavarjani, K.G.; Habibi, A.; Anvari, P.; Ghasemizadeh, S.; Khorasani, M.A.; Shenazandi, H.; Sarraf, D. Effect of segmentation error correction on optical coherence tomography angiography measurements in healthy subjects and diabetic macular oedema. Br. J. Ophthalmol. 2020, 104, 162–166. [Google Scholar] [CrossRef] [PubMed]
- Suciu, C.I.; Suciu, V.I.; Nicoara, S.D. Optical Coherence Tomography (Angiography) Biomarkers in the Assessment and Monitoring of Diabetic Macular Edema. J. Diabetes Res. 2020, 2020, 6655021. [Google Scholar] [CrossRef] [PubMed]
- Adhi, M.; Brewer, E.; Waheed, N.K.; Duker, J.S. Analysis of Morphological Features and Vascular Layers of Choroid in Diabetic Retinopathy Using Spectral-Domain Optical Coherence Tomography. JAMA Ophthalmol. 2013, 131, 1267–1274. [Google Scholar] [CrossRef] [PubMed]
- Khadamy, J.; Abri Aghdam, K.; Falavarjani, K. An update on optical coherence tomography angiography in diabetic retinopathy. J. Ophthalmic Vis. Res. 2018, 13, 487–497. [Google Scholar] [CrossRef] [PubMed]
- Kim, A.Y.; Chu, Z.; Shahidzadeh, A.; Wang, R.K.; Puliafito, C.A.; Kashani, A.H. Quantifying Microvascular Density and Morphology in Diabetic Retinopathy Using Spectral-Domain Optical Coherence Tomography Angiography. Investig. Opthalmol. Vis. Sci. 2016, 57, OCT362–OCT370. [Google Scholar] [CrossRef]
- You, Q.S.; Wang, J.; Guo, Y.; Pi, S.; Flaxel, C.J.; Bailey, S.T.; Huang, D.; Jia, Y.; Hwang, T.S. Optical Coherence Tomography Angiography Avascular Area Association with 1-Year Treatment Requirement and Disease Progression in Diabetic Retinopathy. Am. J. Ophthalmol. 2020, 217, 268–277. [Google Scholar] [CrossRef]
- Sun, Z.; Tang, F.; Wong, R.; Lok, J.; Szeto, S.K.; Chan, J.C.; Chan, C.K.; Tham, C.C.; Ng, D.S.; Cheung, C.Y. OCT Angiography Metrics Predict Progression of Diabetic Retinopathy and Development of Diabetic Macular Edema: A Prospective Study. Ophthalmology 2019, 126, 1675–1684, Erratum in Ophthalmology 2020, 127, 1777. [Google Scholar] [CrossRef]
- Takamura, Y.; Yamada, Y.; Noda, K.; Morioka, M.; Hashimoto, Y.; Gozawa, M.; Matsumura, T.; Inatani, M. Characteristic distribution of microaneurysms and capillary dropouts in diabetic macular edema. Graefe’s Arch. Clin. Exp. Ophthalmol. 2020, 258, 1625–1630. [Google Scholar] [CrossRef]
- Yamada, Y.; Takamura, Y.; Morioka, M.; Gozawa, M.; Matsumura, T.; Inatani, M. Microaneurysm density in residual oedema after anti-vascular endothelial growth factor therapy for diabetic macular oedema. Acta Ophthalmol. 2020, 99, E876–E883. [Google Scholar] [CrossRef] [PubMed]
- Fernández-Vigo, J.I.; Kudsieh, B.; Shi, H.; Arriola-Villalobos, P.; Donate-López, J.; García-Feijóo, J.; Ruiz-Moreno, J.M.; Fernández-Vigo, J. Normative database and determinants of macular vessel density measured by optical coherence tomography angiography. Clin. Exp. Ophthalmol. 2019, 48, 44–52. [Google Scholar] [CrossRef] [PubMed]
- Kansal, V.; Colleaux, K.; Rawlings, N. OCTA changes following loading phase with intravitreal aflibercept for DME. Can. J. Ophthalmol. 2023, 58, 480–490. [Google Scholar] [CrossRef] [PubMed]
- Ying, G.S.; Maguire, M.G.; Glynn, R.; Rosner, B. Tutorial on Biostatistics: Linear Regression Analysis of Continuous Correlated Eye Data. Ophthalmic Epidemiol. 2017, 24, 130–140. [Google Scholar] [CrossRef] [PubMed]
- Takamura, Y.; Yamada, Y.; Inatani, M. Role of Microaneurysms in the Pathogenesis and Therapy of Diabetic Macular Edema: A Descriptive Review. Medicina 2023, 59, 435. [Google Scholar] [CrossRef] [PubMed]
- Okamoto, M.; Yamashita, M.; Ogata, N. Effects of intravitreal injection of ranibizumab on choroidal structure and blood flow in eyes with diabetic macular edema. Graefe’s Arch. Clin. Exp. Ophthalmol. 2018, 256, 885–892. [Google Scholar] [CrossRef] [PubMed]
- Pournaras, C.J.; Rungger-Brändle, E.; Riva, C.E.; Hardarson, S.H.; Stefansson, E. Regulation of retinal blood flow in health and disease. Prog. Retin. Eye Res. 2008, 27, 284–330. [Google Scholar] [CrossRef]
- Scharf, J.; Freund, K.; Sadda, S.; Sarraf, D. Progress in Retinal and Eye Research Paracentral acute middle maculopathy and the organization of the retinal capillary plexuses. Prog. Retin. Eye Res. 2021, 81, 100884. [Google Scholar] [CrossRef]
- Hasegawa, N.; Nozaki, M.; Takase, N.; Yoshida, M.; Ogura, Y. New Insights into Microaneurysms in the Deep Capillary Plexus Detected by Optical Coherence Tomography Angiography in Diabetic Macular Edema. Investig. Opthalmol. Vis. Sci. 2016, 57, OCT348–OCT355. [Google Scholar] [CrossRef]
- Xue, K.; Yang, E.; Chong, N.V.; Radcliffe, J. Classification of diabetic macular oedema using ultra-wide field angiography and implications for response to anti-VEGF therapy. Br. J. Ophthalmol. 2017, 101, 559–563. [Google Scholar] [CrossRef]
- Santos, A.R.; Mendes, L.; Madeira, M.H.; Marques, I.P.; Tavares, D.; Figueira, J.; Lobo, C.; Cunha-Vaz, J. Microaneurysm Turnover in Mild Non-Proliferative Diabetic Retinopathy is Associated with Progression and Development of Vision-Threatening Complications: A 5-Year Longitudinal Study. J. Clin. Med. 2021, 10, 2142. [Google Scholar] [CrossRef] [PubMed]
- Haritoglou, C.; Kernt, M.; Neubauer, A.; Gerss, J.; Oliveira, C.M.; Kampik, A.; Ulbig, M. Microaneurysm formation rate as a predictive marker for progression to clinically significant macular edema in nonproliferative diabetic retinopathy. Retina 2014, 34, 157–164. [Google Scholar] [CrossRef] [PubMed]
- Leicht, S.F.; Kernt, M.; Neubauer, A.; Wolf, A.; Oliveira, C.M.; Ulbig, M.; Haritoglou, C. Microaneurysm Turnover in Diabetic Retinopathy Assessed by Automated RetmarkerDR Image Analysis—Potential Role as Biomarker of Response to Ranibizumab Treatment. Ophthalmologica 2014, 231, 198–203. [Google Scholar] [CrossRef] [PubMed]
- Sugimoto, M.; Ichio, A.; Mochida, D.; Tenma, Y.; Miyata, R.; Matsubara, H.; Kondo, M. Multiple Effects of Intravitreal Aflibercept on Microvascular Regression in Eyes with Diabetic Macular Edema. Ophthalmol. Retin. 2019, 3, 1067–1075. [Google Scholar] [CrossRef] [PubMed]
- Yamada, Y.; Takamura, Y.; Matsumura, T.; Gozawa, M.; Morioka, M.; Inatani, M. Regional Variety of Reduction in Retinal Thickness of Diabetic Macular Edema after Anti-VEGF Treatment. Medicina 2022, 58, 933. [Google Scholar] [CrossRef] [PubMed]
- Xie, N.; Tan, Y.; Liu, S.; Xie, Y.; Shuai, S.; Wang, W.; Huang, W. Macular vessel density in diabetes and diabetic retinopathy with swept-source optical coherence tomography angiography. Graefe’s Arch. Clin. Exp. Ophthalmol. 2020, 258, 2671–2679. [Google Scholar] [CrossRef]
- Forte, R.; Haulani, H.; Jurgens, I. QUantitative and qualitative analysis of the three capillary plexuses and choriocapillaris in patients with type 1 and type 2 diabetes mellitus without clinical signs of diabetic retinopathy: A prospective pilot study. Retina 2020, 40, 333–344. [Google Scholar] [CrossRef]
- Dimitrova, G.; Chihara, E.; Takahashi, H.; Amano, H.; Okazaki, K. Quantitative retinal optical coherence tomography angiography in patients with diabetes without diabetic retinopathy. Investig. Ophthalmol. Vis. Sci. 2017, 58, 190–196. [Google Scholar] [CrossRef]
- Li, Z.; Alzogool, M.; Xiao, J.; Zhang, S.; Zeng, P.; Lan, Y. Optical coherence tomography angiography findings of neurovascular changes in type 2 diabetes mellitus patients without clinical diabetic retinopathy. Acta Diabetol. 2018, 55, 1075–1082. [Google Scholar] [CrossRef]
- Gil Moon, B.; Um, T.; Lee, J.; Yoon, Y.H. Correlation between Deep Capillary Plexus Perfusion and Long-Term Photoreceptor Recovery after Diabetic Macular Edema Treatment. Ophthalmol. Retin. 2018, 2, 235–243. [Google Scholar] [CrossRef]
- Reddy, R.K.; Pieramici, D.J.; Gune, S.; Ghanekar, A.; Lu, N.; Quezada-Ruiz, C.; Baumal, C.R. Efficacy of Ranibizumab in Eyes with Diabetic Macular Edema and Macular Nonperfusion in RIDE and RISE. Ophthalmology 2017, 125, 1568–1574. [Google Scholar] [CrossRef] [PubMed]
- Sorour, O.A.; Sabrosa, A.S.; Alibhai, A.Y.; Arya, M.; Ishibazawa, A.; Witkin, A.J.; Baumal, C.R.; Duker, J.S.; Waheed, N.K. Optical coherence tomography angiography analysis of macular vessel density before and after anti-VEGF therapy in eyes with diabetic retinopathy. Int. Ophthalmol. 2019, 39, 2361–2371. [Google Scholar] [CrossRef] [PubMed]
- Toto, L.; D’aloisio, R.; Di Nicola, M.; Di Martino, G.; Di Staso, S.; Ciancaglini, M.; Tognetto, D.; Mastropasqua, L. Qualitative and Quantitative Assessment of Vascular Changes in Diabetic Macular Edema after Dexamethasone Implant Using Optical Coherence Tomography Angiography. Int. J. Mol. Sci. 2017, 18, 1181. [Google Scholar] [CrossRef] [PubMed]
- Cheong, K.X.; Lee, S.Y.; Ang, M.; Teo, K.Y.C. Vessel Density Changes on Optical Coherence Tomography Angiography after Vascular Endothelial Growth Factor Inhibitor Treatment for Diabetic Macular Edema. Turk. J. Ophthalmol. 2020, 50, 343–350. [Google Scholar] [CrossRef] [PubMed]
- Elnahry, A.G.; Abdel-Kader, A.A.; Raafat, K.A.; Elrakhawy, K. Evaluation of the Effect of Repeated Intravitreal Bevacizumab Injections on the Macular Microvasculature of a Diabetic Patient Using Optical Coherence Tomography Angiography. Case Rep. Ophthalmol. Med. 2019, 2019, 3936168. [Google Scholar] [CrossRef]
- Elnahry, A.G.; Abdel-Kader, A.A.; Raafat, K.A.; Elrakhawy, K. Evaluation of Changes in Macular Perfusion Detected by Optical Coherence Tomography Angiography following 3 Intravitreal Monthly Bevacizumab Injections for Diabetic Macular Edema in the IMPACT Study. J. Ophthalmol. 2020, 2020, 5814165. [Google Scholar] [CrossRef]
- Toto, L.; Evangelista, F.; Viggiano, P.; Erroi, E.; D’onofrio, G.; Libertini, D.; Porreca, A.; D’aloisio, R.; Mariacristina, P.; Di Antonio, L.; et al. Changes in Ocular Blood Flow after Ranibizumab Intravitreal Injection for Diabetic Macular Edema Measured Using Laser Speckle Flowgraphy. BioMed Res. Int. 2020, 2020, 9496242. [Google Scholar] [CrossRef]
- Fukami, M.; Iwase, T.; Yamamoto, K.; Kaneko, H.; Yasuda, S.; Terasaki, H. Changes in Retinal Microcirculation after Intravitreal Ranibizumab Injection in Eyes with Macular Edema Secondary to Branch Retinal Vein Occlusion. Investig. Opthalmol. Vis. Sci. 2017, 58, 1246–1255. [Google Scholar] [CrossRef]
- Kashani, A.H.; Green, K.M.; Kwon, J.; Chu, Z.; Zhang, Q.; Wang, R.K.; Garrity, S.; Sarraf, D.; Rebhun, C.B.; Waheed, N.K.; et al. Suspended Scattering Particles in Motion: A Novel Feature of OCT Angiography in Exudative Maculopathies. Ophthalmol. Retin. 2018, 2, 694–702. [Google Scholar] [CrossRef]
- Maltsev, D.S.; Kulikov, A.N.M.; Kazak, A.A.; Freund, K.B. Suspended scattering particles in motion may influence optical coherence tomography angiography vessel density metrics in eyes with diabetic macular edema. Retina 2021, 41, 1259–1264. [Google Scholar] [CrossRef]
- Bressler, S.B.; Ayala, A.R.; Bressler, N.M.; Melia, M.; Qin, H.; Ferris, F.L.; Flaxel, C.J.; Friedman, S.M.; Glassman, A.R.; Jampol, L.M.; et al. Persistent Macular Thickening after Ranibizumab Treatment for Diabetic Macular Edema with Vision Impairment. JAMA Ophthalmol. 2016, 134, 278–285. [Google Scholar] [CrossRef] [PubMed]
- Bressler, N.M.; Beaulieu, W.T.; Glassman, A.R.; Blinder, K.J.; Bressler, S.B.; Jampol, L.M.; Melia, M.; Wells, J.A.; Diabetic Retinopathy Clinical Research Network. Persistent macular thickening following intravitreous aflibercept, bevacizumab, or ranibizumab for central-involved diabetic macular edema with vision impairment A secondary analysis of a randomized clinical trial. JAMA Ophthalmol. 2018, 136, 257–269. [Google Scholar] [CrossRef] [PubMed]
- Hatamnejad, A.; Orr, S.; Dadak, R.; Khanani, A.; Singh, R.; Choudhry, N. Anti-VEGF and steroid combination therapy relative to anti-VEGF mono therapy for the treatment of refractory DME: A systematic review of efficacy and meta-analysis of safety. Acta Ophthalmol. 2023. [Google Scholar] [CrossRef] [PubMed]
- Hatano, M.; Higashijima, F.; Yoshimoto, T.; Ogata, T.; Ohta, M.; Kobayashi, Y.; Wakuta, M.; Yanai, R.; Kimura, K. Evaluation of microaneurysms as predictors of therapeutic response to anti-VEGF therapy in patients with DME. PLoS ONE 2022, 17, e0277920. [Google Scholar] [CrossRef] [PubMed]
- Mori, K.; Yoshida, S.; Kobayashi, Y.; Ishikawa, K.; Nakao, S.; Hisatomi, T.; Haruta, M.; Isihibashi, T.; Sonoda, K.-H. Decrease in the number of microaneurysms in diabetic macular edema after anti-vascular endothelial growth factor therapy: Implications for indocyanine green angiography-guided detection of refractory microaneurysms. Graefe’s Arch. Clin. Exp. Ophthalmol. 2020, 258, 735–741. [Google Scholar] [CrossRef] [PubMed]
- Kato, F.; Nozaki, M.; Kato, A.; Hasegawa, N.; Morita, H.; Yoshida, M.; Ogura, Y. Evaluation of Navigated Laser Photocoagulation (Navilas 577+) for the Treatment of Refractory Diabetic Macular Edema. J. Ophthalmol. 2018, 2018, 3978514. [Google Scholar] [CrossRef] [PubMed]
- Hirano, T.; Toriyama, Y.; Iesato, Y.; Imai, A.; Hirabayashi, K.; Nagaoka, T.; Takamura, Y.; Sugimoto, M.; Murata, T. Effect of leaking perifoveal microaneurysms on resolution of diabetic macular edema treated by combination therapy using anti-vascular endothelial growth factor and short pulse focal/grid laser photocoagulation. Jpn. J. Ophthalmol. 2017, 61, 51–60. [Google Scholar] [CrossRef]
- Abouhussein, M.A.; Gomaa, A.R. Aflibercept plus micropulse laser versus aflibercept monotherapy for diabetic macular edema: 1-year results of a randomized clinical trial. Int. Ophthalmol. 2020, 40, 1147–1154. [Google Scholar] [CrossRef]
- Koushan, K.; Eshtiaghi, A.; Fung, P.; Berger, A.R.; Chow, D.R. Treatment of Diabetic Macular Edema with Aflibercept and Micropulse Laser (DAM Study). Clin. Ophthalmol. 2022, 16, 1109–1115. [Google Scholar] [CrossRef]
- Vujosevic, S.; Gatti, V.; Muraca, A.; Brambilla, M.; Villani, E.; Nucci, P.; Rossetti, L.; De Cilla’, S. Optical coherence tomography angiography changes after subthreshold micropulse yellow laser in diabetic macular edema. Retina 2020, 40, 312–321. [Google Scholar] [CrossRef]


| Systemic Features | Measurement | Ocular Features | Measurement |
|---|---|---|---|
| Age, years | 63.7 (10.5) | BCVA, letters | 69.7 (11.2) |
| Female sex | 10 (29.4) | Central subfield thickness, µm | 376.8 (100.3) |
| Type II diabetes | 32 (94.1) | Treatment: Aflibercept Ranibizumab | 33 (68.8) 15 (31.3) |
| HbA1C | 7.84 (2.08) | Phakic | 39 (81.3) |
| DR severity: Mild NPDR Moderate NPDR Severe NPDR PDR | 4 (8.3) 20 (41.7) 6 (12.5) 18 (37.5) | Cataract: None N0 N1 N2 N3 PSC | 8 (16.7) 15 (31.3) 18 (37.5) 4 (8.3) 2 (4.2) 1 (2.1) |
| Superficial Capillary Plexus | Deep Capillary Plexus | |||||||
|---|---|---|---|---|---|---|---|---|
| Sector | M0 | M6 | Diff | p Value | M0 | M6 | Diff | p Value |
| % | % | |||||||
| Superior | 46.6 (3.8) | 45.8 (4.4) | −0.7 | 0.28 | 52.5 (5.9) | 51.4 (5.6) | −1.1 | 0.22 |
| Inferior | 46.0 (5.0) | 45.7 (4.7) | −0.2 | 0.77 | 50.4 (4.9) | 50.0 (5.4) | −0.4 | 0.71 |
| Nasal | 43.8 (4.3) | 43.2 (3.9) | −0.7 | 0.27 | 50.2 (4.8) | 47.4 (5.3) | −2.9 | 0.001 |
| Temporal | 44.6 (4.6) | 43.7 (3.6) | −0.9 | 0.16 | 47.0 (5.6) | 47.0 (5.9) | 0.0 | 0.99 |
| Mean | 45.2 (3.5) | 44.6 (3.2) | −0.7 | 0.16 | 50.0 (3.3) | 49.0 (3.9) | −1.1 | 0.055 |
| Baseline | 6 Months | p-Value | |
|---|---|---|---|
| BCVA, letters | 71.5 (14) | 66.5 (16) | 0.12 |
| Center | 354.5 (82.5) | 306 (86) | <0.0001 |
| Superior | 342 (69.5) | 329 (57) | <0.0001 |
| Inferior | 372 (87) | 336.5 (77) | <0.0001 |
| Nasal | 346.5 (58.5) | 337 (59.5) | <0.0001 |
| Temporal | 358 (82.5) | 323 (62) | <0.0001 |
| Sector | Coefficient | SE | p-Value | 95% CI |
|---|---|---|---|---|
| Superficial capillary plexus | ||||
| Superior | −1.11 | 1.32 | 0.40 | −3.69 to 1.47 |
| Inferior | 1.08 | 1.70 | 0.53 | −2.25 to 4.41 |
| Nasal | −2.17 | 1.18 | 0.07 | −4.48 to 0.14 |
| Temporal | −1.42 | 1.24 | 0.26 | −3.85 to 1.02 |
| Deep capillary plexus | ||||
| Superior | −0.11 | 1.69 | 0.95 | −3.43 to 3.21 |
| Inferior | 1.50 | 1.93 | 0.44 | −2.28 to 5.27 |
| Nasal | −2.65 | 1.67 | 0.11 | −5.92 to 0.62 |
| Temporal | 0.73 | 1.89 | 0.70 | −2.98 to 4.45 |
| Sector | Coefficient | SE | p-Value | 95% CI |
|---|---|---|---|---|
| Superficial capillary plexus | ||||
| Superior | −1.11 | 1.32 | 0.40 | −3.69 to 1.47 |
| Inferior | 1.08 | 1.70 | 0.53 | −2.25 to 4.41 |
| Nasal | −2.17 | 1.18 | 0.07 | −4.48 to 0.14 |
| Temporal | −1.42 | 1.24 | 0.26 | −3.85 to 1.02 |
| Deep capillary plexus | ||||
| Superior | −0.11 | 1.69 | 0.95 | −3.43 to 3.21 |
| Inferior | 1.50 | 1.93 | 0.44 | −2.28 to 5.27 |
| Nasal | −2.65 | 1.67 | 0.11 | −5.92 to 0.62 |
| Temporal | 0.73 | 1.89 | 0.70 | −2.98 to 4.45 |
Disclaimer/Publisher’s Note: The statements, opinions and data contained in all publications are solely those of the individual author(s) and contributor(s) and not of MDPI and/or the editor(s). MDPI and/or the editor(s) disclaim responsibility for any injury to people or property resulting from any ideas, methods, instructions or products referred to in the content. |
© 2023 by the authors. Licensee MDPI, Basel, Switzerland. This article is an open access article distributed under the terms and conditions of the Creative Commons Attribution (CC BY) license (https://creativecommons.org/licenses/by/4.0/).
Share and Cite
Santamaría, J.; Caminal, J.M.; Cobos, E.; Biarnes, M.; Rodriguez-Leor, R.; Morwani, R.; García-Mendieta, M.; Lorenzo, D.; García-Bru, P.; Arias, L. Correlation between Topographic Vessel Density and Retinal Thickness Changes in Patients with Diabetic Macular Edema Treated with Anti-VEGF Therapy: Is It a Suitable OCTA Biomarker? J. Pers. Med. 2023, 13, 1718. https://doi.org/10.3390/jpm13121718
Santamaría J, Caminal JM, Cobos E, Biarnes M, Rodriguez-Leor R, Morwani R, García-Mendieta M, Lorenzo D, García-Bru P, Arias L. Correlation between Topographic Vessel Density and Retinal Thickness Changes in Patients with Diabetic Macular Edema Treated with Anti-VEGF Therapy: Is It a Suitable OCTA Biomarker? Journal of Personalized Medicine. 2023; 13(12):1718. https://doi.org/10.3390/jpm13121718
Chicago/Turabian StyleSantamaría, Juan, José María Caminal, Estefanía Cobos, Marc Biarnes, Ramon Rodriguez-Leor, Rahul Morwani, Manel García-Mendieta, Daniel Lorenzo, Pere García-Bru, and Luis Arias. 2023. "Correlation between Topographic Vessel Density and Retinal Thickness Changes in Patients with Diabetic Macular Edema Treated with Anti-VEGF Therapy: Is It a Suitable OCTA Biomarker?" Journal of Personalized Medicine 13, no. 12: 1718. https://doi.org/10.3390/jpm13121718
APA StyleSantamaría, J., Caminal, J. M., Cobos, E., Biarnes, M., Rodriguez-Leor, R., Morwani, R., García-Mendieta, M., Lorenzo, D., García-Bru, P., & Arias, L. (2023). Correlation between Topographic Vessel Density and Retinal Thickness Changes in Patients with Diabetic Macular Edema Treated with Anti-VEGF Therapy: Is It a Suitable OCTA Biomarker? Journal of Personalized Medicine, 13(12), 1718. https://doi.org/10.3390/jpm13121718

