Point-of-Care Lung Ultrasound in the Intensive Care Unit—The Dark Side of Radiology: Where Do We Stand?
Abstract
:1. Introduction
2. Characterizing and Monitoring Areas of Decreased Transparency on the CXR
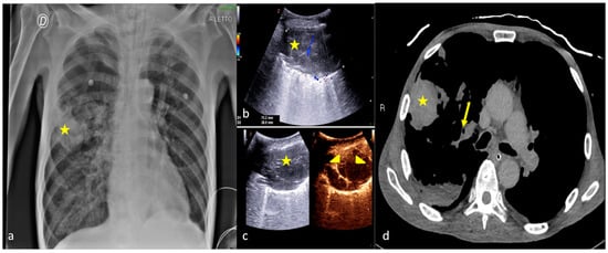
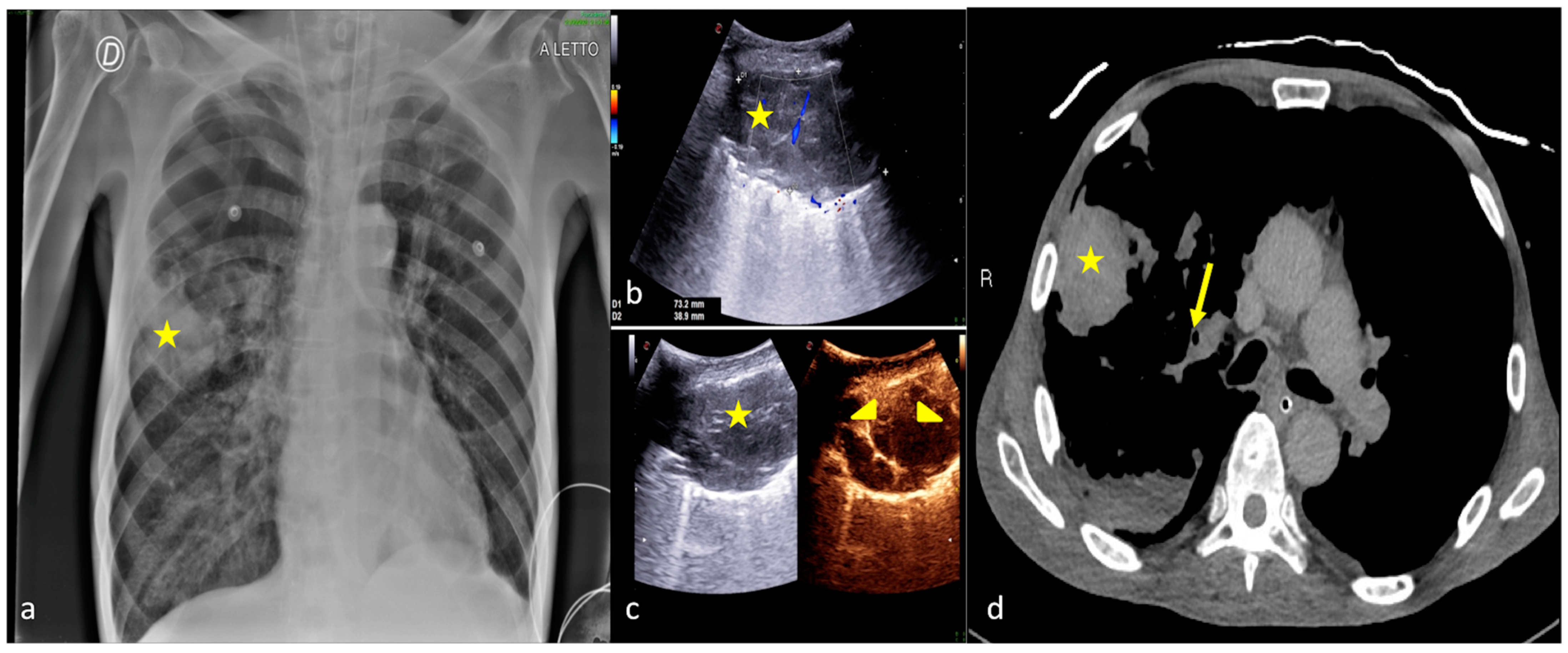
2.1. Atelectasis
2.2. Pneumonia
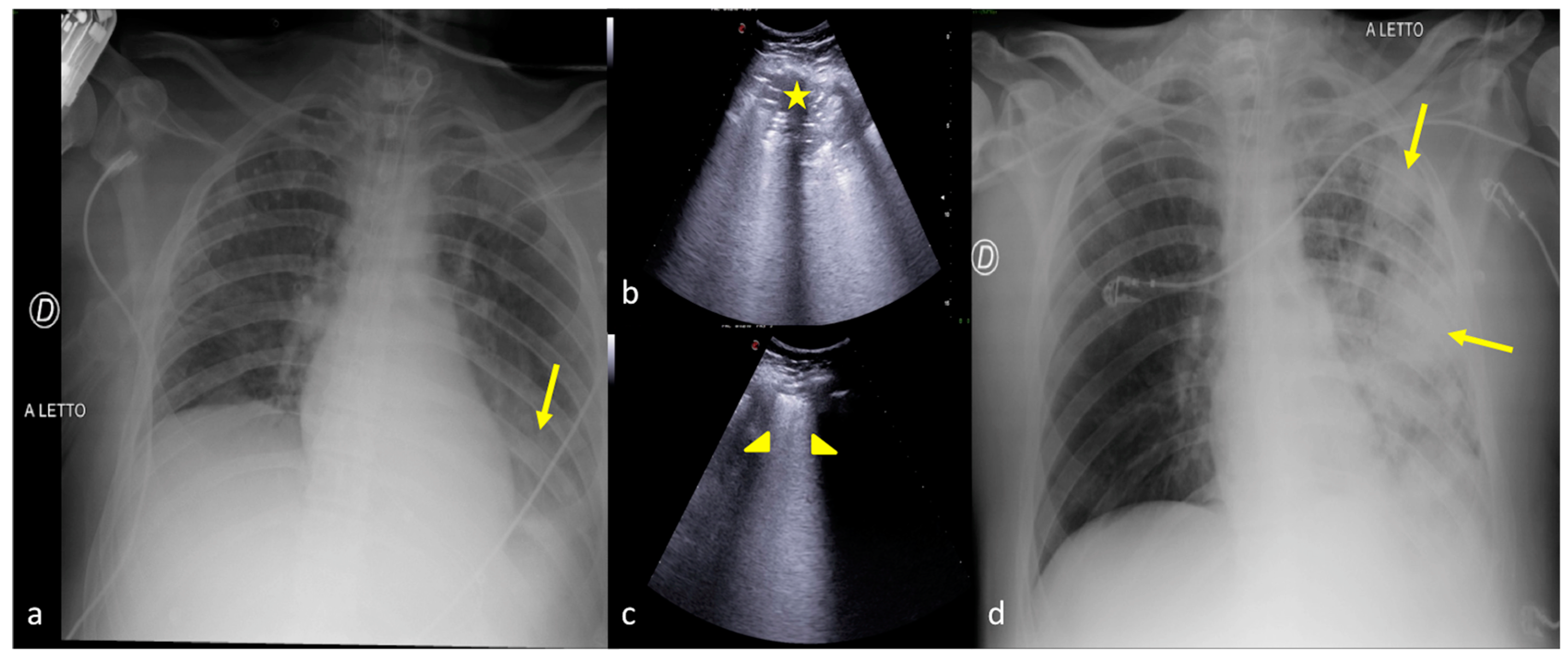
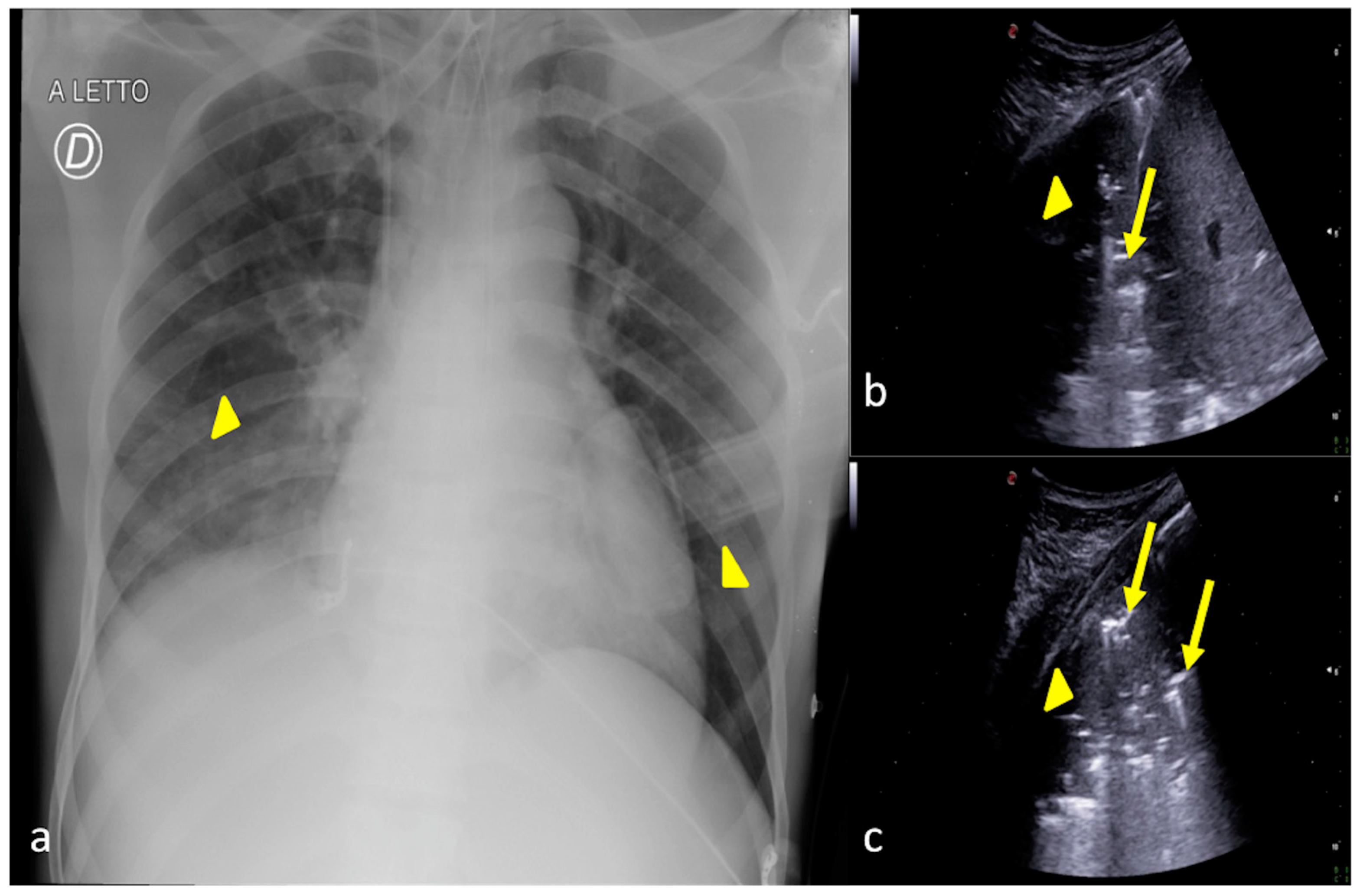
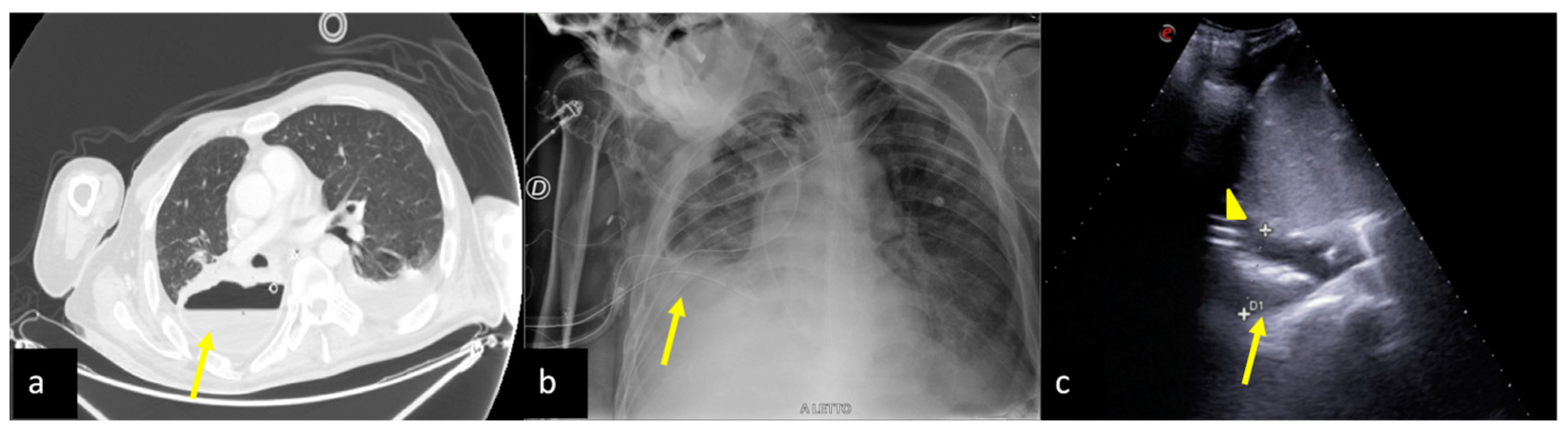
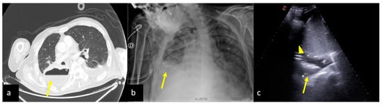
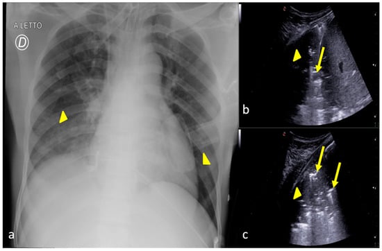
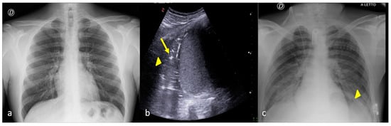
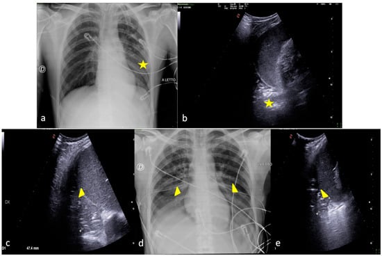
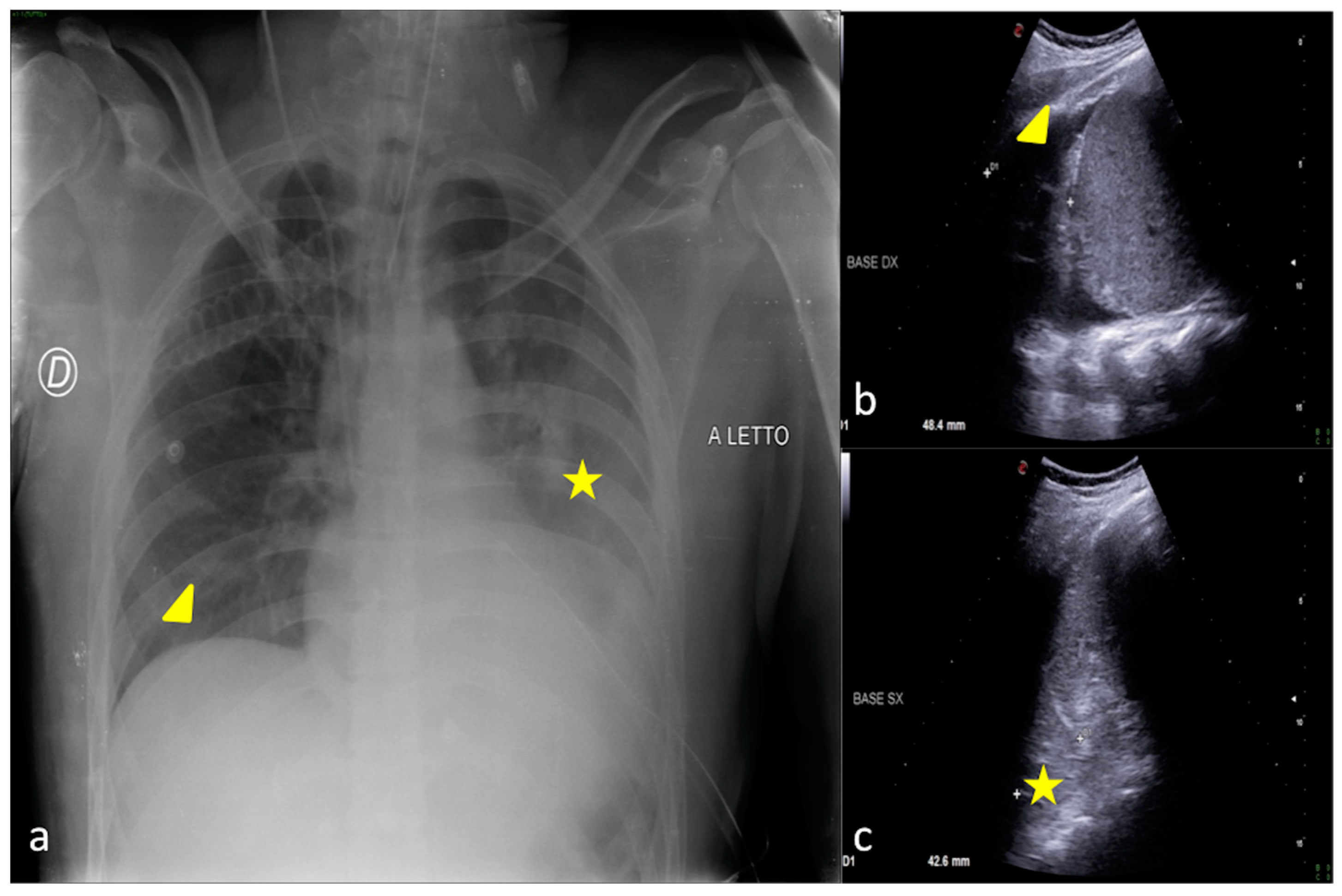
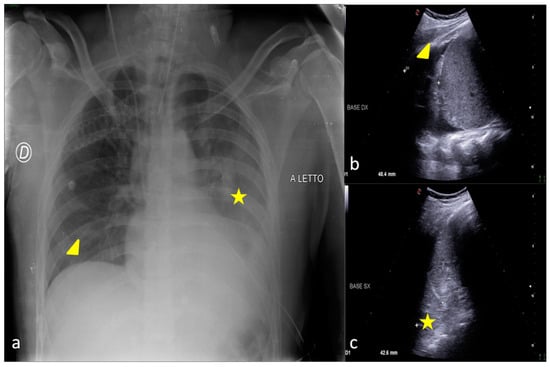
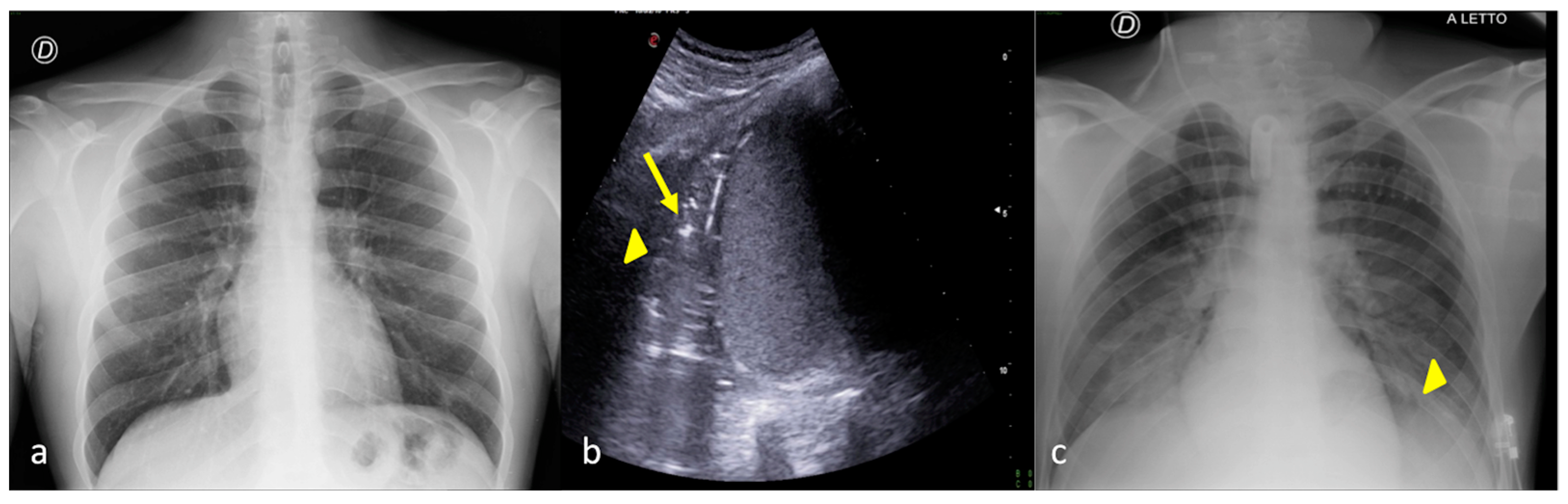
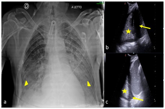
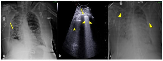
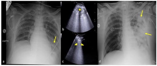
2.3. Pleural Effusion
2.4. Cardiogenic Pulmonary Edema
2.5. Acute Respiratory Distress Syndrome
2.6. Pulmonary Contusion
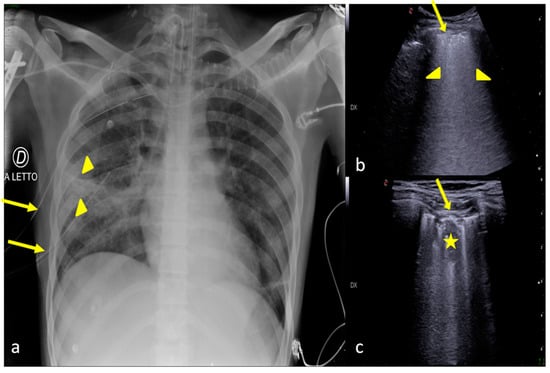
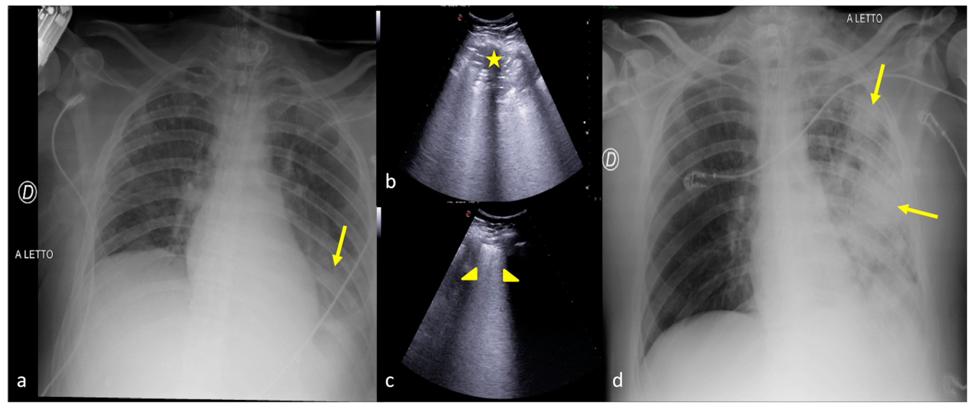
3. Confirming or Excluding Pneumothorax and Monitoring its Evolution
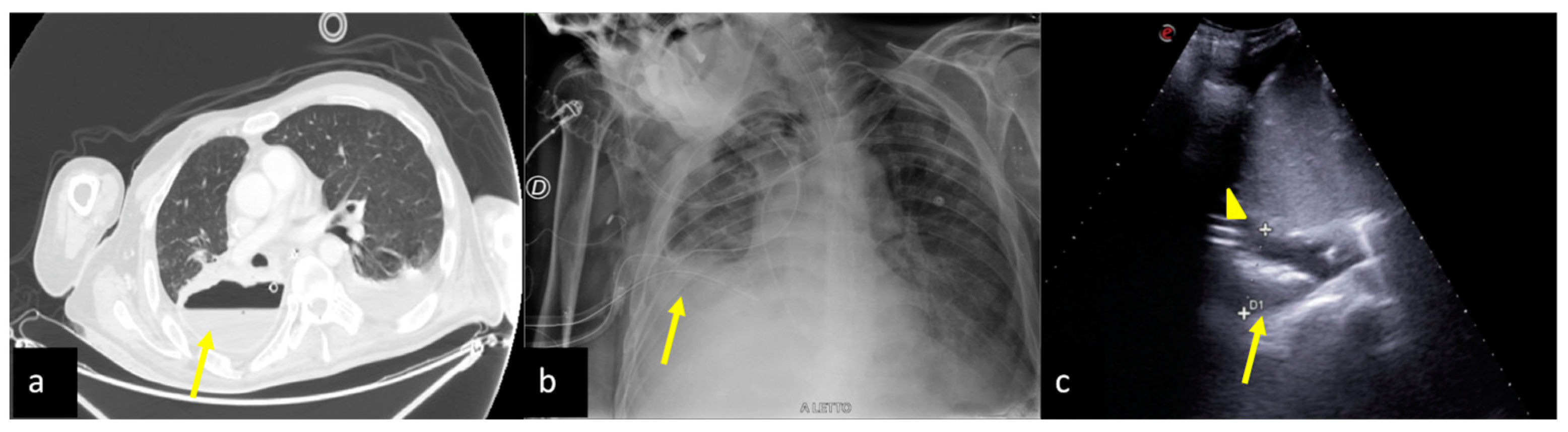
4. Checking and Monitoring the Devices
5. Conclusions
Author Contributions
Funding
Institutional Review Board Statement
Informed Consent Statement
Data Availability Statement
Acknowledgments
Conflicts of Interest
References
- Expert Panel on Thoracic Imaging; Laroia, A.T.; Donnelly, E.F.; Henry, T.S.; Berry, M.F.; Boiselle, P.M.; Colletti, P.M.; Kuzniewski, C.T.; Maldonado, F.; Olsen, K.M.; et al. ACR Appropriateness Criteria® Intensive Care Unit Patients. J. Am. Coll. Radiol. 2021, 18, S62–S72. [Google Scholar] [CrossRef] [PubMed]
- Swensen, S.J.; Peters, S.G.; LeROY, A.J.; Gay, P.C.; Sykes, M.W.; Trastek, V.F. Radiology in the Intensive-Care Unit. Mayo Clin. Proc. 1991, 66, 396–410. [Google Scholar] [CrossRef]
- Fabre, C.; Proisy, M.; Chapuis, C.; Jouneau, S.; Lentz, P.-A.; Meunier, C.; Mahé, G.; Lederlin, M. Radiology residents’ skill level in chest x-ray reading. Diagn. Interv. Imaging 2018, 99, 361–370. [Google Scholar] [CrossRef]
- Trotman-Dickenson, B. Radiology in the Intensive Care Unit (Part I). J. Intensiv. Care Med. 2003, 18, 198–210. [Google Scholar] [CrossRef]
- Di Serafino, M.; Notaro, M.; Rea, G.; Iacobellis, F.; Paoli, V.D.; Acampora, C.; Ianniello, S.; Brunese, L.; Romano, L.; Vallone, G. The lung ultrasound: Facts or artifacts? In the era of COVID-19 outbreak. La Radiol. medica 2020, 125, 738–753. [Google Scholar] [CrossRef] [PubMed]
- Quarato, C.M.I.; Mirijello, A.; Lacedonia, D.; Russo, R.; Maggi, M.M.; Rea, G.; Simeone, A.; Borelli, C.; Feragalli, B.; Scioscia, G.; et al. Low Sensitivity of Admission Lung US Compared to Chest CT for Diagnosis of Lung Involvement in a Cohort of 82 Patients with COVID-19 Pneumonia. Medicina 2021, 57, 236. [Google Scholar] [CrossRef]
- Trotman-Dickenson, B. Radiology in the Intensive Care Unit (Part 2). J. Intensiv. Care Med. 2003, 18, 239–252. [Google Scholar] [CrossRef]
- Al Shahrani, A.; Al-Surimi, K. Daily routine versus on-demand chest radiograph policy and practice in adult ICU patients- clinicians’ perspective. BMC Med. Imaging 2018, 18, 4. [Google Scholar] [CrossRef]
- Keveson, B.; Clouser, R.D.; Hamlin, M.P.; Stevens, P.; Stinnett-Donnelly, J.M.; Allen, G.B. Adding value to daily chest X-rays in the ICU through education, restricted daily orders and indication-based prompting. BMJ Open Qual. 2017, 6, e000072. [Google Scholar] [CrossRef] [PubMed]
- Ganapathy, A.; Adhikari, N.K.; Spiegelman, J.; Scales, D.C. Routine chest x-rays in intensive care units: A systematic review and meta-analysis. Crit. Care 2012, 16, R68. [Google Scholar] [CrossRef]
- Deshpande, R.; Akhtar, S.; Haddadin, A.S. Utility of ultrasound in the ICU. Curr. Opin. Anaesthesiol. 2014, 27, 123–132. [Google Scholar] [CrossRef]
- Gil-Rodríguez, J.; de Rojas, J.P.; Aranda-Laserna, P.; Benavente-Fernández, A.; Martos-Ruiz, M.; Peregrina-Rivas, J.-A.; Guirao-Arrabal, E. Ultrasound findings of lung ultrasonography in COVID-19: A systematic review. Eur. J. Radiol. 2022, 148, 110156. [Google Scholar] [CrossRef]
- Smit, J.M.; Haaksma, M.E.; Winkler, M.H.; Heldeweg, M.L.A.; Arts, L.; Lust, E.J.; Elbers, P.W.G.; Meijboom, L.J.; Girbes, A.R.J.; Heunks, L.M.A.; et al. Lung ultrasound in a tertiary intensive care unit population: A diagnostic accuracy study. Crit. Care 2021, 25, 339. [Google Scholar] [CrossRef]
- Lichtenstein, D.A. BLUE-Protocol and FALLS-Protocol: Two applications of lung ultrasound in the critically ill. Chest 2015, 147, 1659–1670. [Google Scholar] [CrossRef] [PubMed]
- Bekgoz, B.; Kilicaslan, I.; Bildik, F.; Keles, A.; Demircan, A.; Hakoglu, O.; Coskun, G.; Demir, H.A. BLUE protocol ultrasonography in Emergency Department patients presenting with acute dyspnea. Am. J. Emerg. Med. 2019, 37, 2020–2027. [Google Scholar] [CrossRef]
- Rea, G.; Sperandeo, M.; Di Serafino, M.; Vallone, G.; Tomà, P. Neonatal and pediatric thoracic ultrasonography. J. Ultrasound 2019, 22, 121–130. [Google Scholar] [CrossRef] [PubMed]
- Sperandeo, M.; Rea, G.; Filabozzi, P.; Carnevale, V. Lung Ultrasound and Chest X-Rays: Together to Improve the Diagnosis. Respiration 2017, 93, 226–227. [Google Scholar] [CrossRef]
- Di Serafino, M.; Vallone, G. The role of point of care ultrasound in radiology department: Update and prospective. A statement of Italian college ultrasound. La Radiol. Medica 2020, 126, 636–641. [Google Scholar] [CrossRef] [PubMed]
- Das Villgran, V.; Lyons, C.; Nasrullah, A.; Abalos, C.C.; Bihler, E.D.; Alhajhusain, A. Acute Respiratory Failure. Crit. Care Nurs. Q. 2022, 45, 233–247. [Google Scholar] [CrossRef]
- Lichtenstein, D. Lung ultrasound in the critically ill. Curr. Opin. Crit. Care 2014, 20, 315–322. [Google Scholar] [CrossRef] [PubMed]
- Haaksma, M.E.; Smit, J.M.; Heldeweg, M.L.A.; Nooitgedacht, J.S.B.; de Grooth, H.J.; Jonkman, A.H.M.; Girbes, A.R.J.; Heunks, L.; Tuinman, P.R. Extended Lung Ultrasound to Differentiate Between Pneumonia and Atelectasis in Critically Ill Patients: A Diagnostic Accuracy Study. Crit. Care Med. 2021, 50, 750–759. [Google Scholar] [CrossRef] [PubMed]
- Dicker, S.A. Lung Ultrasound for Pulmonary Contusions. Vet. Clin. North Am. Small Anim. Pract. 2021, 51, 1141–1151. [Google Scholar] [CrossRef] [PubMed]
- Assaad, S.; Kratzert, W.B.; Shelley, B.; Friedman, M.B.; Perrino, A. Assessment of Pulmonary Edema: Principles and Practice. J. Cardiothorac. Vasc. Anesthesia 2018, 32, 901–914. [Google Scholar] [CrossRef] [PubMed]
- Wang, Y.; Shen, Z.; Lu, X.; Zhen, Y.; Li, H. Sensitivity and specificity of ultrasound for the diagnosis of acute pulmonary edema: A systematic review and meta-analysis. Med. Ultrason. 2018, 1, 32–36. [Google Scholar] [CrossRef]
- Shao, R.-J.; Du, M.-J.; Xie, J.-T. Use of lung ultrasound for the diagnosis and treatment of pleural effusion. Eur. Rev. Med. Pharmacol. Sci. 2022, 26, 8771–8776. [Google Scholar] [CrossRef]
- Brogi, E.; Gargani, L.; Bignami, E.; Barbariol, F.; Marra, A.; Forfori, F.; Vetrugno, L. Thoracic ultrasound for pleural effusion in the intensive care unit: A narrative review from diagnosis to treatment. Crit. Care 2017, 21, 325. [Google Scholar] [CrossRef]
- Thachuthara-George, J. Pneumothorax in patients with respiratory failure in ICU. J. Thorac. Dis. 2021, 13, 5195–5204. [Google Scholar] [CrossRef]
- Kitazono, M.T.; Lau, C.T.; Parada, A.N.; Renjen, P.; Miller, W.T. Differentiation of Pleural Effusions From Parenchymal Opacities: Accuracy of Bedside Chest Radiography. Am. J. Roentgenol. 2010, 194, 407–412. [Google Scholar] [CrossRef]
- Wongwaisayawan, S.; Suwannanon, R.; Sawatmongkorngul, S.; Kaewlai, R. Emergency Thoracic US: The Essentials. Radiographics 2016, 36, 640–659. [Google Scholar] [CrossRef]
- Breitkopf, R.; Treml, B.; Rajsic, S. Lung Sonography in Critical Care Medicine. Diagnostics 2022, 12, 1405. [Google Scholar] [CrossRef]
- Mojoli, F.; Bouhemad, B.; Mongodi, S.; Lichtenstein, D. Lung Ultrasound for Critically Ill Patients. Am. J. Respir. Crit. Care Med. 2019, 199, 701–714, Erratum in: Am. J. Respir. Crit. Care Med. 2020, 201, 1015; Erratum in: Am. J. Respir. Crit. Care Med. 2020, 201, 1454. [Google Scholar] [CrossRef]
- Mayo, P.H.; Copetti, R.; Feller-Kopman, D.; Mathis, G.; Maury, E.; Mongodi, S.; Mojoli, F.; Volpicelli, G.; Zanobetti, M. Thoracic ultrasonography: A narrative review. Intensiv. Care Med. 2019, 45, 1200–1211. [Google Scholar] [CrossRef]
- Sidhu, P.S.; Cantisani, V.; Dietrich, C.F.; Gilja, O.H.; Saftoiu, A.; Bartels, E.; Bertolotto, M.; Calliada, F.; Clevert, D.-A.; Cosgrove, D.; et al. The EFSUMB Guidelines and Recommendations for the Clinical Practice of Contrast-Enhanced Ultrasound (CEUS) in Non-Hepatic Applications: Update 2017 (Long Version). Ultraschall der Med. Eur. J. Ultrasound 2018, 39, e2–e44. [Google Scholar] [CrossRef]
- Quarato, C.M.I.; Sperandeo, M. Letter to the Editor Regarding the Article: “Vascularization of Primary, Peripheral Lung Carcinoma in CEUS—A Retrospective Study (n = 89 Patients)” by Findeisen H et al. Ultraschall der Med. Eur. J. Ultrasound 2020, 42, 321–322. [Google Scholar] [CrossRef] [PubMed]
- Quarato, C.M.; Cipriani, C.; Dimitri, L.; Lacedonia, D.; Graziano, P.; Copetti, M.; De Cosmo, S.; Simeone, A.; Scioscia, G.; Barbaro, M.F.; et al. Assessing value of contrast-enhanced ultrasound vs. conventional transthoracic ultrasound in improving diagnostic yield of percutaneous needle biopsy of peripheral lung lesions. Eur. Rev. Med. Pharmacol. Sci. 2021, 25, 5781–5789. [Google Scholar] [CrossRef]
- Quarato, C.M.I.; Feragalli, B.; Lacedonia, D.; Rea, G.; Scioscia, G.; Maiello, E.; Di Micco, C.; Borelli, C.; Mirijello, A.; Graziano, P.; et al. Contrast-Enhanced Ultrasound in Distinguishing between Malignant and Benign Peripheral Pulmonary Consolidations: The Debated Utility of the Contrast Enhancement Arrival Time. Diagnostics 2023, 13, 666. [Google Scholar] [CrossRef]
- Toy, D.; Siegel, M.D.; Rubinowitz, A.N. Imaging in the Intensive Care Unit. Semin. Respir. Crit. Care Med. 2022, 43, 899–923. [Google Scholar] [CrossRef] [PubMed]
- Adler, A.C.; von Ungern-Sternberg, B.S.; Matava, C.T. Lung ultrasound and atelectasis—The devil is in the details. Pediatr. Anesthesia 2021, 31, 1269–1270. [Google Scholar] [CrossRef]
- Peroni, D.; Boner, A. Atelectasis: Mechanisms, diagnosis and management. Paediatr. Respir. Rev. 2000, 1, 274–278. [Google Scholar] [CrossRef] [PubMed]
- Duggan, M.; Kavanagh, B.P.; Warltier, D.C. Pulmonary Atelectasis: A pathogenic perioperative entity. Anesthesiology 2005, 102, 838–854. [Google Scholar] [CrossRef]
- Maffessanti, M.; Berlot, G.; Bortolotto, P. Chest roentgenology in the intensive care unit: An overview. Eur. Radiol. 1998, 8, 69–78. [Google Scholar] [CrossRef]
- Rubinowitz, A.N.; Siegel, M.D.; Tocino, I. Thoracic Imaging in the ICU. Crit. Care Clin. 2007, 23, 539–573. [Google Scholar] [CrossRef]
- Lichtenstein, D.; Mezière, G.; Seitz, J. The The dynamic air bronchogram. A lung ultrasound sign of alveolar consolidation ruling out atelectasis. Chest 2009, 135, 1421–1425. [Google Scholar] [CrossRef]
- Lichtenstein, D.A.; Lascols, N.; Prin, S.; Mezière, G. The “lung pulse”: An early ultrasound sign of complete atelectasis. Intensiv. Care Med. 2003, 29, 2187–2192. [Google Scholar] [CrossRef]
- Lanks, C.W.; Musani, A.I.; Hsia, D.W. Community-acquired Pneumonia and Hospital-acquired Pneumonia. Med. Clin. N. Am. 2019, 103, 487–501. [Google Scholar] [CrossRef] [PubMed]
- Woodhead, M.; Welch, C.A.; Harrison, D.A.; Bellingan, G.; Ayres, J.G. Community-acquired pneumonia on the intensive care unit: Secondary analysis of 17,869 cases in the ICNARC Case Mix Programme Database. Crit. Care 2006, 10 (Suppl. S2), S1. [Google Scholar] [CrossRef] [PubMed]
- Papazian, L.; Klompas, M.; Luyt, C.-E. Ventilator-associated pneumonia in adults: A narrative review. Intensiv. Care Med. 2020, 46, 888–906. [Google Scholar] [CrossRef]
- Walker, S.P.; Morley, A.J.; Stadon, L.; De Fonseka, D.; Arnold, D.T.; Medford, A.R.; Maskell, N.A. Nonmalignant Pleural Effusions: A Prospective Study of 356 Consecutive Unselected Patients. Chest 2017, 151, 1099–1105. [Google Scholar] [CrossRef] [PubMed]
- Saguil, A.; Wyrick, K.; Hallgren, J. Diagnostic approach to pleural effusion. Am. Fam. Physician. 2014, 90, 99–104. [Google Scholar]
- Aboudara, M.; Maldonado, F. Update in the Management of Pleural Effusions. Med. Clin. N. Am. 2019, 103, 475–485. [Google Scholar] [CrossRef]
- Alwi, I. Diagnosis and management of cardiogenic pulmonary edema. Acta Med. Indones. 2010, 42, 176–184. [Google Scholar]
- Aissaoui, N.; Hamzaoui, O.; Price, S. Ten questions ICU specialists should address when managing cardiogenic acute pulmonary oedema. Intensiv. Care Med. 2022, 48, 482–485. [Google Scholar] [CrossRef] [PubMed]
- Meyer, N.J.; Gattinoni, L.; Calfee, C.S. Acute respiratory distress syndrome. Lancet 2021, 398, 622–637. [Google Scholar] [CrossRef] [PubMed]
- Fan, E.; Brodie, D.; Slutsky, A.S. Acute Respiratory Distress Syndrome: Advances in Diagnosis and Treatment. JAMA 2018, 319, 698–710. [Google Scholar] [CrossRef]
- Rendeki, S.; Molnár, T.F. Pulmonary contusion. J. Thorac. Dis. 2019, 11 (Suppl. S2), S141–S151. [Google Scholar] [CrossRef]
- Shah, K.; Tran, J.; Schmidt, L. Traumatic pneumothorax: Updates in diagnosis and management in the emergency department. Emerg. Med. Pract. 2022, 25 (Suppl. S1), 1–28. [Google Scholar]
- Alsohime, F.; Temsah, M.-H.; Al-Eyadhy, A.; Ghulman, S.; Mosleh, H.; Alsohime, O. Technical Aspects of Intensive Care Unit Management: A Single-Center Experience at a Tertiary Academic Hospital. J. Multidiscip. Health. 2021, 14, 869–875. [Google Scholar] [CrossRef]
- Plata, P.; Gaszyński, T. Ultrasound-guided percutaneous tracheostomy. Anaesthesiol. Intensiv. Ther. 2019, 51, 126–132. [Google Scholar] [CrossRef] [PubMed]
- Saugel, B.; Scheeren, T.W.L.; Teboul, J.-L. Ultrasound-guided central venous catheter placement: A structured review and recommendations for clinical practice. Crit. Care 2017, 21, 225. [Google Scholar] [CrossRef]
- Tsujimoto, H.; Tsujimoto, Y.; Nakata, Y.; Akazawa, M.; Kataoka, Y. Ultrasonography for confirmation of gastric tube placement. Cochrane Database Syst. Rev. 2017, 2017, CD012083. [Google Scholar] [CrossRef]
















| Validated Clinical Management LUS Protocol | Purpose |
|---|---|
| BLUE protocol (Bedside Lung Ultrasonography in Emergency) | Emergency protocol for immediate diagnosis of acute respiratory failure. |
| FALLS protocol (Fluid Administration Limited by Lung Sonography) | Emergency protocol designed to sequentially rule out differential diagnoses such as cardiogenic and hypovolemic shock, allowing an early diagnosis of septic shock. |
| CAUSE protocol (Cardiac Arrest Ultrasound Exam) | Emergency protocol in cardiac arrest management. It has the potential to reduce the time required to determine the etiology of a cardiac arrest and thus decrease the time between arrest and appropriate therapy. |
| Pulmonary Acute Disease | CXR | LUS |
|---|---|---|
| Pulmonary Consolidation | Sensitivity of plain chest radiography in detection of pulmonary consolidation has been reported as 38% to 76%. | Sensitivity and specificity of LUS for detection of pulmonary consolidation have been reported as 86–97% and 89–94%, respectively. |
| Interstitial Syndrome (Cardiogenic pulmonary edema, ARDS) | CXR showed a sensitivity of 36%, specificity of 90%, PPV of 29% and NPV of 92% while these results combined with clinical examination findings became 50%, 84%, 28% and 93% respectively. | US abnormalities may precede those of radiography and can be diagnostic, with a sensitivity and specificity of 97% and 95%, respectively. |
| Pleural Effusion | Supine chest radiography may reveal abnormality when the amount of fluid reaches 175–525 mL, which is higher than that for upright chest radiography. | US may detect 5–20 mL of pleural fluid with an overall sensitivity of 89–100% and specificity of 96–100%. |
| Pneumothorax | Portable chest radiography has a sensitivity of 19.8–31.8% and specificity of 99.3–100%. | The overall sensitivity and specificity of US in the detection of pneumothorax are 78.6–100% and 96.5–100%. |
| ICU Pulmonary Acute Disease | CXR General Findings | LUS-Validated Findings |
|---|---|---|
| Pulmonary Consolidation (Atelectasis/Pneumonia/Contusion) | Areas of decreased transparency | Yes [11,13,14,15,19,20,21,22] |
| Interstitial Syndrome (Cardiogenic pulmonary edema, ARDS) | Yes [13,14,15,22,23,24] | |
| Pleural Effusion | Yes [11,13,14,20,25,26] | |
| Pneumothorax | Areas of increased transparency | Yes [11,13,20,27] |
| Device Complication | Displacement | Empirical |
Disclaimer/Publisher’s Note: The statements, opinions and data contained in all publications are solely those of the individual author(s) and contributor(s) and not of MDPI and/or the editor(s). MDPI and/or the editor(s) disclaim responsibility for any injury to people or property resulting from any ideas, methods, instructions or products referred to in the content. |
© 2023 by the authors. Licensee MDPI, Basel, Switzerland. This article is an open access article distributed under the terms and conditions of the Creative Commons Attribution (CC BY) license (https://creativecommons.org/licenses/by/4.0/).
Share and Cite
Di Serafino, M.; Dell’Aversano Orabona, G.; Caruso, M.; Camillo, C.; Viscardi, D.; Iacobellis, F.; Ronza, R.; Sabatino, V.; Barbuto, L.; Oliva, G.; et al. Point-of-Care Lung Ultrasound in the Intensive Care Unit—The Dark Side of Radiology: Where Do We Stand? J. Pers. Med. 2023, 13, 1541. https://doi.org/10.3390/jpm13111541
Di Serafino M, Dell’Aversano Orabona G, Caruso M, Camillo C, Viscardi D, Iacobellis F, Ronza R, Sabatino V, Barbuto L, Oliva G, et al. Point-of-Care Lung Ultrasound in the Intensive Care Unit—The Dark Side of Radiology: Where Do We Stand? Journal of Personalized Medicine. 2023; 13(11):1541. https://doi.org/10.3390/jpm13111541
Chicago/Turabian StyleDi Serafino, Marco, Giuseppina Dell’Aversano Orabona, Martina Caruso, Costanza Camillo, Daniela Viscardi, Francesca Iacobellis, Roberto Ronza, Vittorio Sabatino, Luigi Barbuto, Gaspare Oliva, and et al. 2023. "Point-of-Care Lung Ultrasound in the Intensive Care Unit—The Dark Side of Radiology: Where Do We Stand?" Journal of Personalized Medicine 13, no. 11: 1541. https://doi.org/10.3390/jpm13111541
APA StyleDi Serafino, M., Dell’Aversano Orabona, G., Caruso, M., Camillo, C., Viscardi, D., Iacobellis, F., Ronza, R., Sabatino, V., Barbuto, L., Oliva, G., & Romano, L. (2023). Point-of-Care Lung Ultrasound in the Intensive Care Unit—The Dark Side of Radiology: Where Do We Stand? Journal of Personalized Medicine, 13(11), 1541. https://doi.org/10.3390/jpm13111541

