Extremely Rare Type of Breast Cancer—Dedifferentiated Breast Liposarcoma—Diagnosis and Treatment
Abstract
1. Introduction
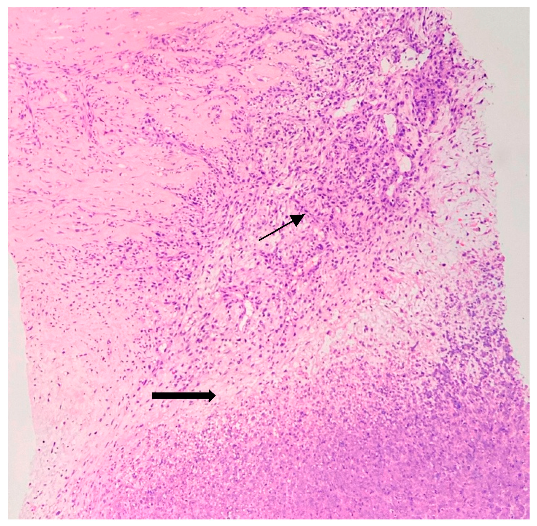
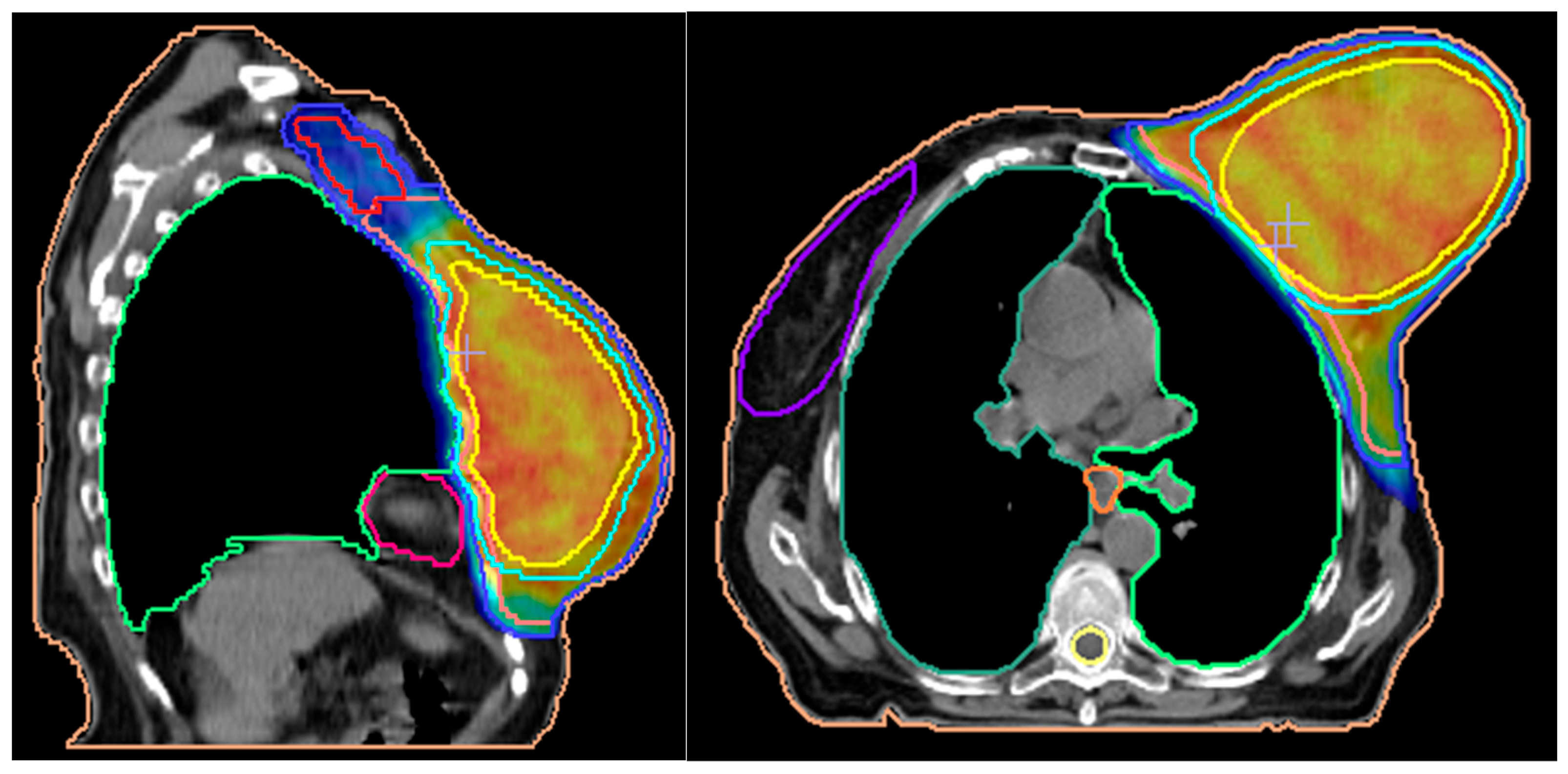
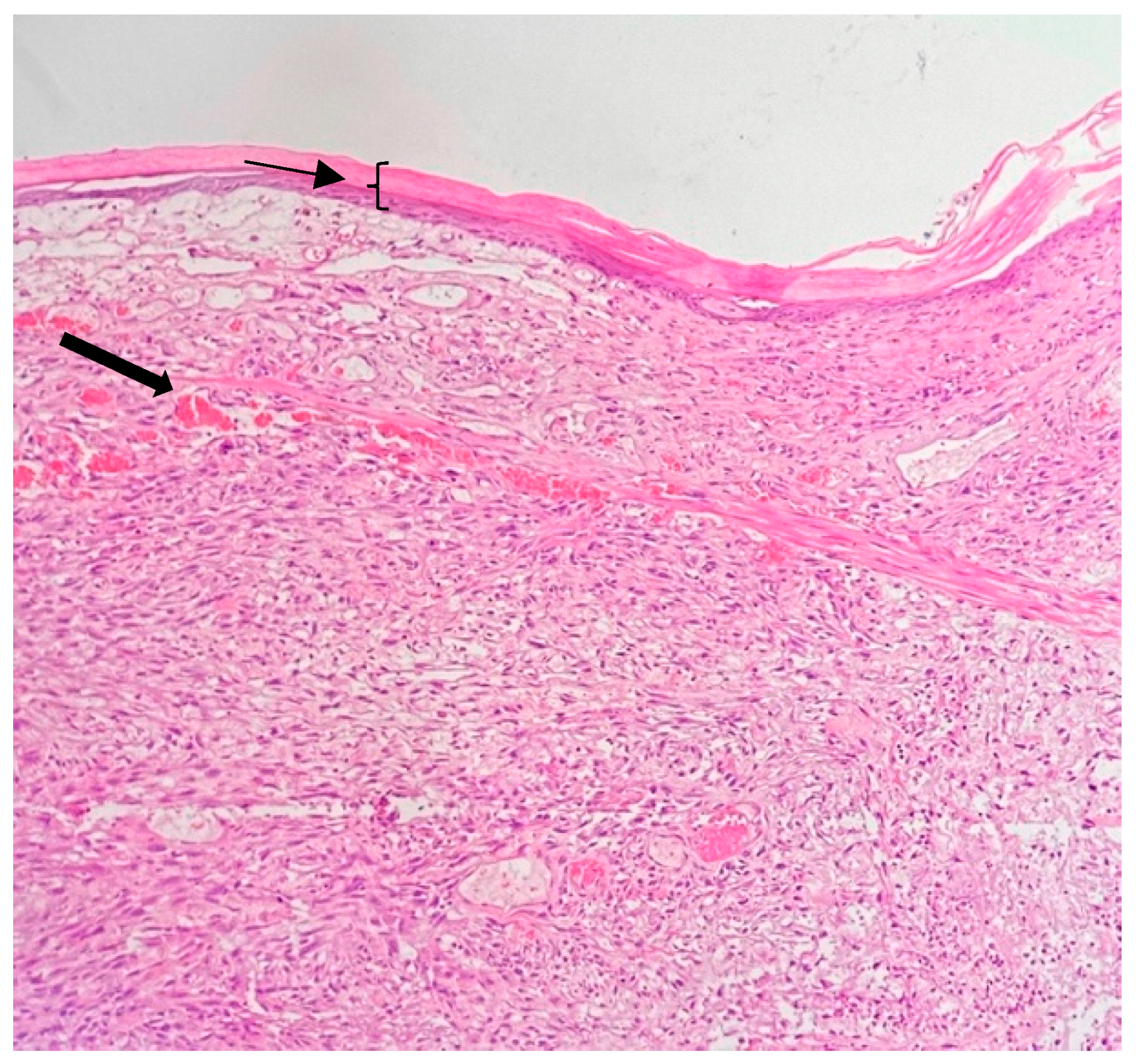
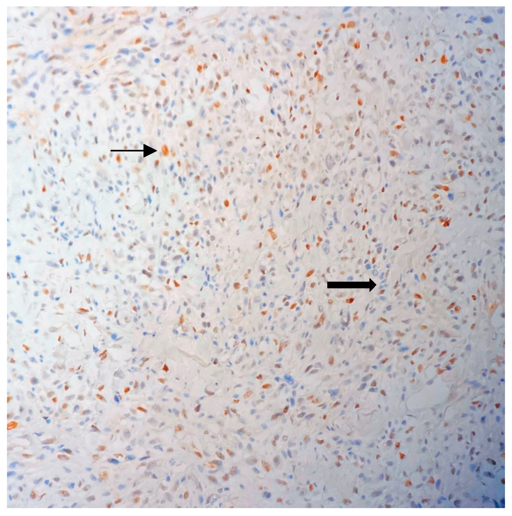
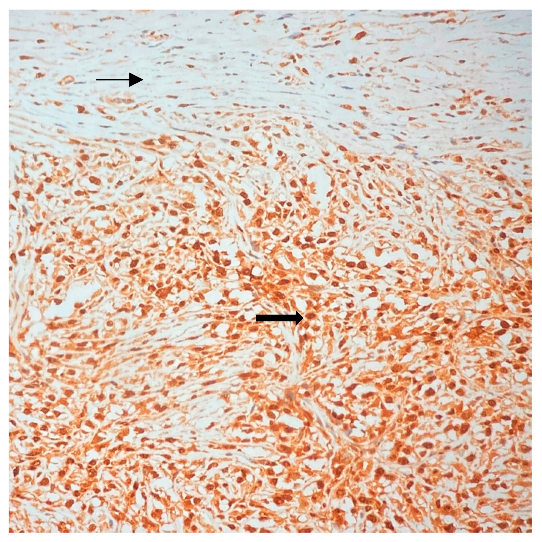
2. Case Report
3. Discussion
4. Conclusions
Author Contributions
Funding
Institutional Review Board Statement
Informed Consent Statement
Data Availability Statement
Conflicts of Interest
References
- Jo, S.J.; Jung, H.K.; Nam, K.H. Recurrent Primary Pleomorphic Liposarcoma of the Breast: A Case Report with Imaging Findings. J. Breast Cancer 2020, 23, 567. [Google Scholar] [CrossRef]
- Saito, T.; Ryu, M.; Fukumura, Y.; Asahina, M.; Arakawa, A.; Nakai, K.; Miura, H.; Saito, M.; Yao, T. A case of myxoid liposarcoma of the breast. Int. J. Clin. Exp. Pathol. 2013, 6, 1432. [Google Scholar] [PubMed]
- Sang, N.V.; Duc, N.M.; My, T.T.; Ly, T.; Bang, L.V.; Thong, P.M. A rare case report of breast sarcoma. Radiol. Case Rep. 2021, 16, 1047–1050. [Google Scholar] [CrossRef] [PubMed]
- Rodriguez, S.I.; Moguel, N.; Espejo, R.; Rios, N.; Bautista, V. Primary breast liposarcoma. OMICS J. Radiol. 2017, 6, 282. [Google Scholar]
- Raj, S.D.; Rogers, S.; Del Junco, G.W.; Sepulveda, K. Dedifferentiated liposarcoma of the adult male breast. Radiol. Case Rep. 2015, 9, 906. [Google Scholar] [CrossRef][Green Version]
- Penclave, T.D.; Hayes, A. Breast sarcoma—A review of diagnosis and management. Int. J. Surg. 2009, 7, 20–23. [Google Scholar]
- Varlas, V.N.; Rhazi, Y.; Ionescu, O.M.; Micu, L.G.; Pop, A.L.; Bacalbasa, N.; Nasui, B.A.; Penes, N.O. A dedifferentiated rare primary breast liposarcoma—Case report and literature review. Rom. J. Morphol. Embryol. 2021, 62, 301. [Google Scholar] [CrossRef]
- Baldini, E.H.; Goldberg, J.; Jenner, C.; Manola, J.B.; Demetri, G.D.; Fletcher, C.D.; Singer, S. Long-term outcomes after function-sparing surgery without radiotherapy for soft tissue sarcoma of the extremities and trunk. J. Clin. Oncol. 1999, 17, 3252–3259. [Google Scholar] [CrossRef]
- Bhagyam, N.; Gayatri, A.; Keuri, P.; Meghal, S. Primary Breast Liposarcoma. J. Radiol. Case Rep. 2018, 12, 10. [Google Scholar]
- Aimee, M.C.; Dickson, M.A. Liposarcoma: Multimodality management and future targeted therapies. Surg. Oncol. Clin. North Am. 2016, 25, 761–773. [Google Scholar]
- Zelek, L.; Llombart-Cussac, A.; Terrier, P.; Pivot, X.; Guinebretiere, J.M.; Le Pechoux, C.; Tursz, T.; Rochard, F.; Spielman, M.; Le Cesne, A. Prognostic factors in primary breast sarcomas: A series of patient with long-term follow-up. J. Clin. Oncol. 2003, 21, 2583–2588. [Google Scholar] [CrossRef] [PubMed]
- Wang, F.; Jia, Y.; Tong, Z. Comparison of the clinical prognostic and features between the primary breast and malignant phylloides tumor. Jpn. J. Clin. Oncol. 2015, 45, 146–152. [Google Scholar] [CrossRef] [PubMed]
- Austin, M.R.; Dupree, B.W. Liposarcoma of the Breast: A Clinicopathologic Study of 20 Cases. Hum. Pathol. 1986, 17, 906–913. [Google Scholar] [CrossRef]
- Yin, M.; Mackley, H.B.; Drabick, J.J.; Harvey, H.A. Primary female breast sarcoma: Clinicopathological features, treatment and prognosis. Sci. Rep. 2016, 6, 31497. [Google Scholar] [CrossRef] [PubMed]
- Pasta, V.; Sottile, D.; Urciuoli, P.; Del Vecchio, L.; Custureri, F.; D’Orazi, V. Rare chondrosarcoma of the brest trated with quadrantectomy instead of mastectomy: A case report. Oncol. Lett. 2015, 9, 1116–1120. [Google Scholar] [CrossRef] [PubMed]
- Bonvalot, A.; Gronchi, A.; Le Pechoux, C.; Swallow, C.J.; Dirk, S.; Meeus, P. Twice as many local relapses were observed in the surgery group than in the radiotherapy plus surgery group, possibly related to the impact of radiotherapy, specifically in the liposarcoma cohort. Lancet Oncol. 2020, 21, 1366–1377. [Google Scholar] [CrossRef] [PubMed]
- Pasquali, S.; Pizzamiglio, S.; Touati, N. The impact of chemotherapy on survival of patients with extremity and trunk wall soft tissue sarcoma: Revisiting the results of the EORTC-STBSG 62931 randomised trial. Eur. J. Cancer 2019, 109, 51–60. [Google Scholar] [CrossRef]
- Woll, P.J.; Reichard, P.; Le Cesne, A.; Bonvalot, S.; Azzarelli, A.; Hoekstra, H.J.; Leahy, M.; Van Coevorden, F.; Verweij, J.; Hogendoorn, P.C.; et al. Adjuvant chemotherapy with doxorubicin, ifosfamide, and lenograstim for resected soft-tissue sarcoma (EORTC 62931): A multicentre randomised controlled trial. Lancet Oncol. 2012, 13, 1045–1054. [Google Scholar] [CrossRef]
- van Houdt, W.J.; Raut, C.P.; Bonvalot, S. New research strategies in retroperitoneal sarcoma. The case of TARPSWG, STRASS and RESAR: Making progress through collaboration. Curr. Opin. Oncol. 2019, 31, 310–316. [Google Scholar] [CrossRef]
- Judson, I.; Verweij, J.; Gelderblom, H. Doxorubicin alone versus intensified doxorubicin plus ifosfamide for first-line treatment of advanced or metastatic soft-tissue sarcoma: A randomised controlled phase 3 trial. Lancet Oncol. 2014, 15, 415–423. [Google Scholar] [CrossRef]
- Lazar, A.J.; McLellan, M.D.; Bailey, M.H.; Miller, C.A.; Appelbaum, E.L.; Cordes, M.G.; Fronick, C.C.; Fulton, L.A.; Fulton, R.S.; Mardis, E.R.; et al. Cancer Genome Atlas Research Network: Comprehensive and Integrated Genomic Characterization of Adult Soft Tissue Sarcomas. Cell 2017, 171, 950–965. [Google Scholar]
- Laurence, M.; Briski, M.D.; Julie, M.; Jorns, M.D. Primary Breast Atypical Lipomatous Tumor/Well-Differentiated Liposarcoma and Dedifferentiated Liposarcoma. Arch. Pathol. Lab. Med. 2018, 142, 268–274. [Google Scholar]
- Italiano, A.; Bianchini, L.; Keslair, F. HMGA2 is the partner of MDM2 in well-differentiated and dedifferentiated liposarcomas whereas CDK4 belongs to a distinct inconsistent amplicon. Int. J. Cancer 2008, 122, 2233–2241. [Google Scholar] [CrossRef] [PubMed]
- Le Guellec, S.; Chibon, F.; Ouali, M.; Perot, G.; Decouvelaere, A.V. Are peripheral purely undifferentiated pleomorphic sarcomas with MDM2 amplification dedifferentiated liposarcomas? Am. J. Surg. Pathol. 2014, 38, 293–304. [Google Scholar] [CrossRef]
- Bill, K.L.; Garnett, J.; Meaux, I.; Ma, X.; Creighton, C.J.; Bolshakov, S. SAR405838: A novel and potent inhibitor of the MDM2:p53 axis for the treatment of dedifferentiated liposarcoma. Clin. Cancer Res. 2016, 22, 1150–1160. [Google Scholar] [CrossRef]
- Jonge, M.; de Weger, V.; Dickson, M.A.; Langenberg, M.; Le Cesne, A.; Wagner, A.J.; Hsu, K. A phase I study of SAR405838, a novel human double minute 2 (HDM2) antagonist, in patients with solid tumours. Eur. J. Cancer 2017, 76, 144–151. [Google Scholar] [CrossRef]
- Bauer, T.M.; Gounder, M.M.; Weise, A.M.; Scwartz, G.K.; Carvajal, R.D.; Kumar, P. A phase 1 study of MDM2 inhibitor DS-3032b in patients with well/de-differentiated liposarcoma (WD/DD LPS), solid tumors (ST) and lymphomas (L). J. Clin. Oncol. 2018, 36, 11514. [Google Scholar] [CrossRef]
- Dickson, M.A.; Scwartz, G.K.; Keohan, M.L.; D’Angelo, S.P.; Gounder, M.M.; Chi, P. Progression-free survival among patients with well-differentiated or dedifferentiated liposarcoma treated with CDK4 inhibitor palbociclib: A phase 2 clinical trial. JAMA Oncol. 2016, 2, 937–940. [Google Scholar] [CrossRef]















Disclaimer/Publisher’s Note: The statements, opinions and data contained in all publications are solely those of the individual author(s) and contributor(s) and not of MDPI and/or the editor(s). MDPI and/or the editor(s) disclaim responsibility for any injury to people or property resulting from any ideas, methods, instructions or products referred to in the content. |
© 2023 by the authors. Licensee MDPI, Basel, Switzerland. This article is an open access article distributed under the terms and conditions of the Creative Commons Attribution (CC BY) license (https://creativecommons.org/licenses/by/4.0/).
Share and Cite
Țigăran, A.-E.; Abu-Baker, A.; Ion, D.-E.; Peligrad, T.; Gheoca-Mutu, D.-E.; Avino, A.; Anghel, A.-W.; Balcangiu-Stroescu, A.-E.; Toma, A.; Răducu, L. Extremely Rare Type of Breast Cancer—Dedifferentiated Breast Liposarcoma—Diagnosis and Treatment. J. Pers. Med. 2023, 13, 1451. https://doi.org/10.3390/jpm13101451
Țigăran A-E, Abu-Baker A, Ion D-E, Peligrad T, Gheoca-Mutu D-E, Avino A, Anghel A-W, Balcangiu-Stroescu A-E, Toma A, Răducu L. Extremely Rare Type of Breast Cancer—Dedifferentiated Breast Liposarcoma—Diagnosis and Treatment. Journal of Personalized Medicine. 2023; 13(10):1451. https://doi.org/10.3390/jpm13101451
Chicago/Turabian StyleȚigăran, Andrada-Elena, Abdalah Abu-Baker, Daniela-Elena Ion, Teodora Peligrad, Daniela-Elena Gheoca-Mutu, Adelaida Avino, Andrei-Wilhelm Anghel, Andra-Elena Balcangiu-Stroescu, Anca Toma, and Laura Răducu. 2023. "Extremely Rare Type of Breast Cancer—Dedifferentiated Breast Liposarcoma—Diagnosis and Treatment" Journal of Personalized Medicine 13, no. 10: 1451. https://doi.org/10.3390/jpm13101451
APA StyleȚigăran, A.-E., Abu-Baker, A., Ion, D.-E., Peligrad, T., Gheoca-Mutu, D.-E., Avino, A., Anghel, A.-W., Balcangiu-Stroescu, A.-E., Toma, A., & Răducu, L. (2023). Extremely Rare Type of Breast Cancer—Dedifferentiated Breast Liposarcoma—Diagnosis and Treatment. Journal of Personalized Medicine, 13(10), 1451. https://doi.org/10.3390/jpm13101451

