Multiparametric Magnetic Resonance Imaging Correlates of Isocitrate Dehydrogenase Mutation in WHO high-Grade Astrocytomas
Abstract
1. Introduction
2. Materials and Methods
2.1. Patient Selection
2.2. MR Protocol
2.3. MR Imaging Parameters
2.4. Mutational Analysis
2.5. Statistical Analysis
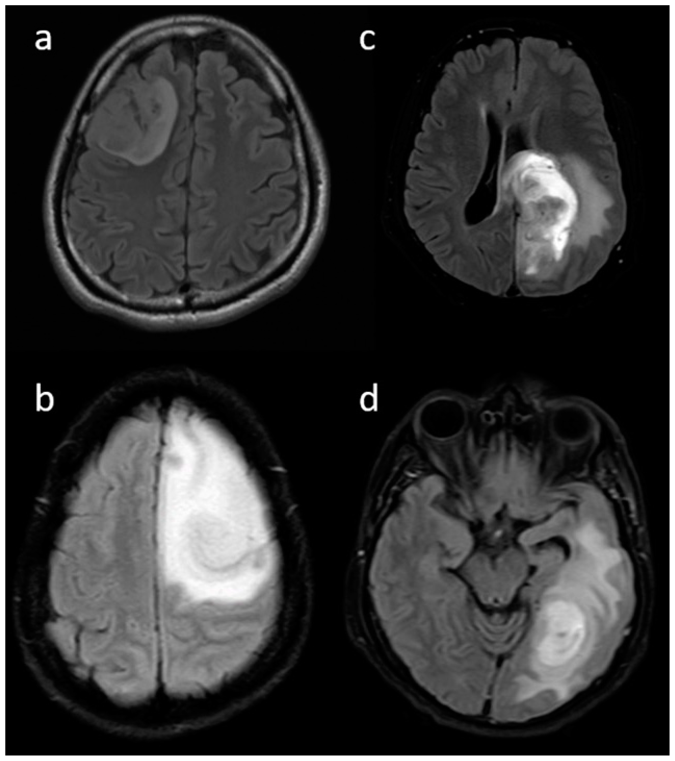
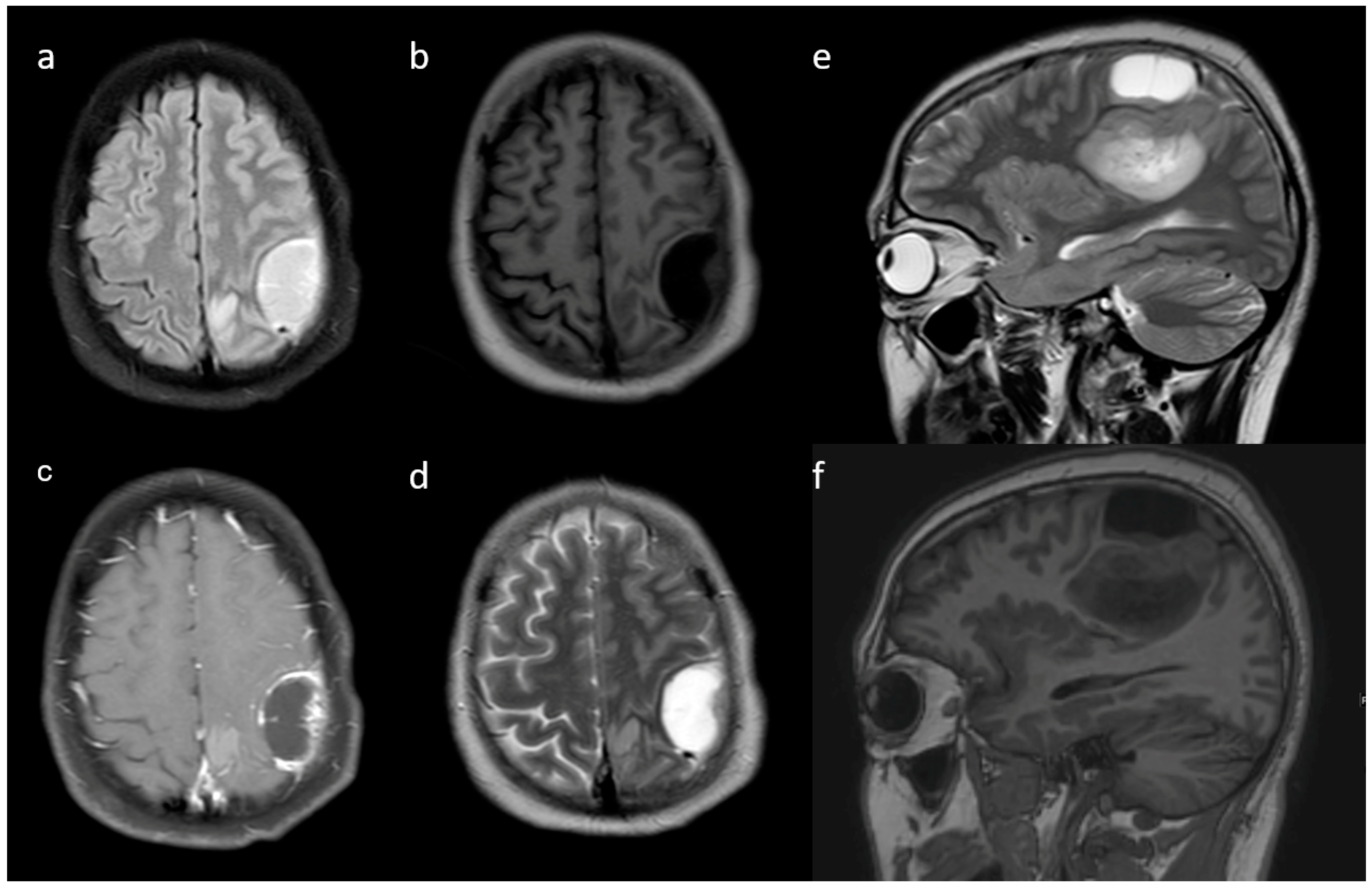
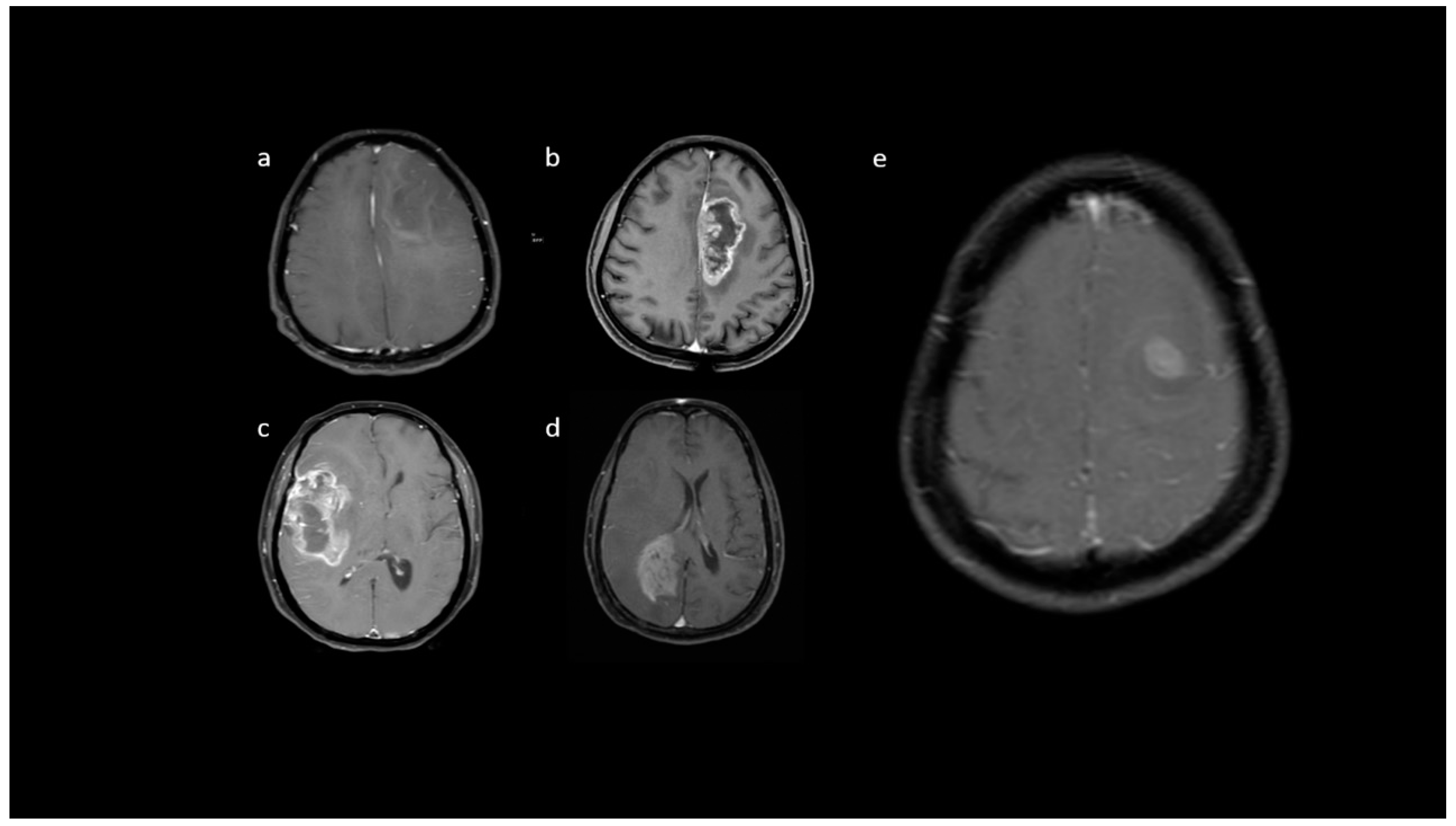
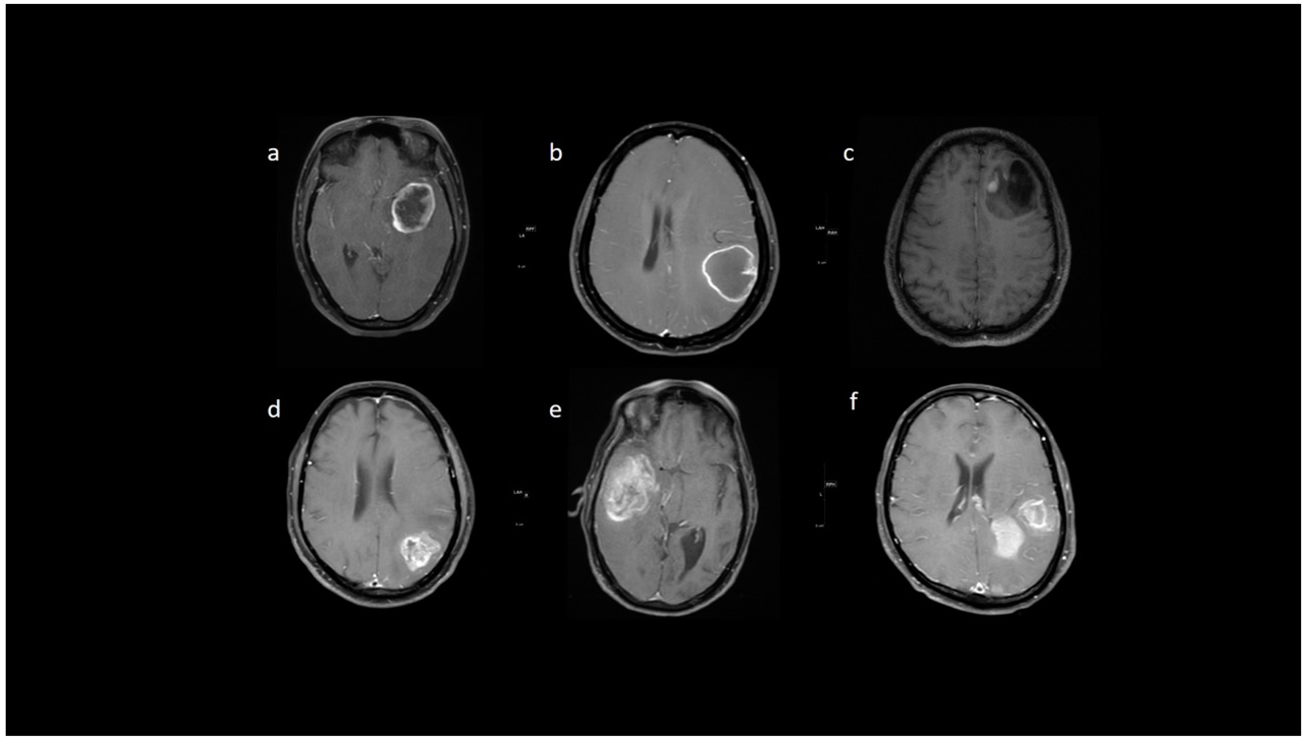
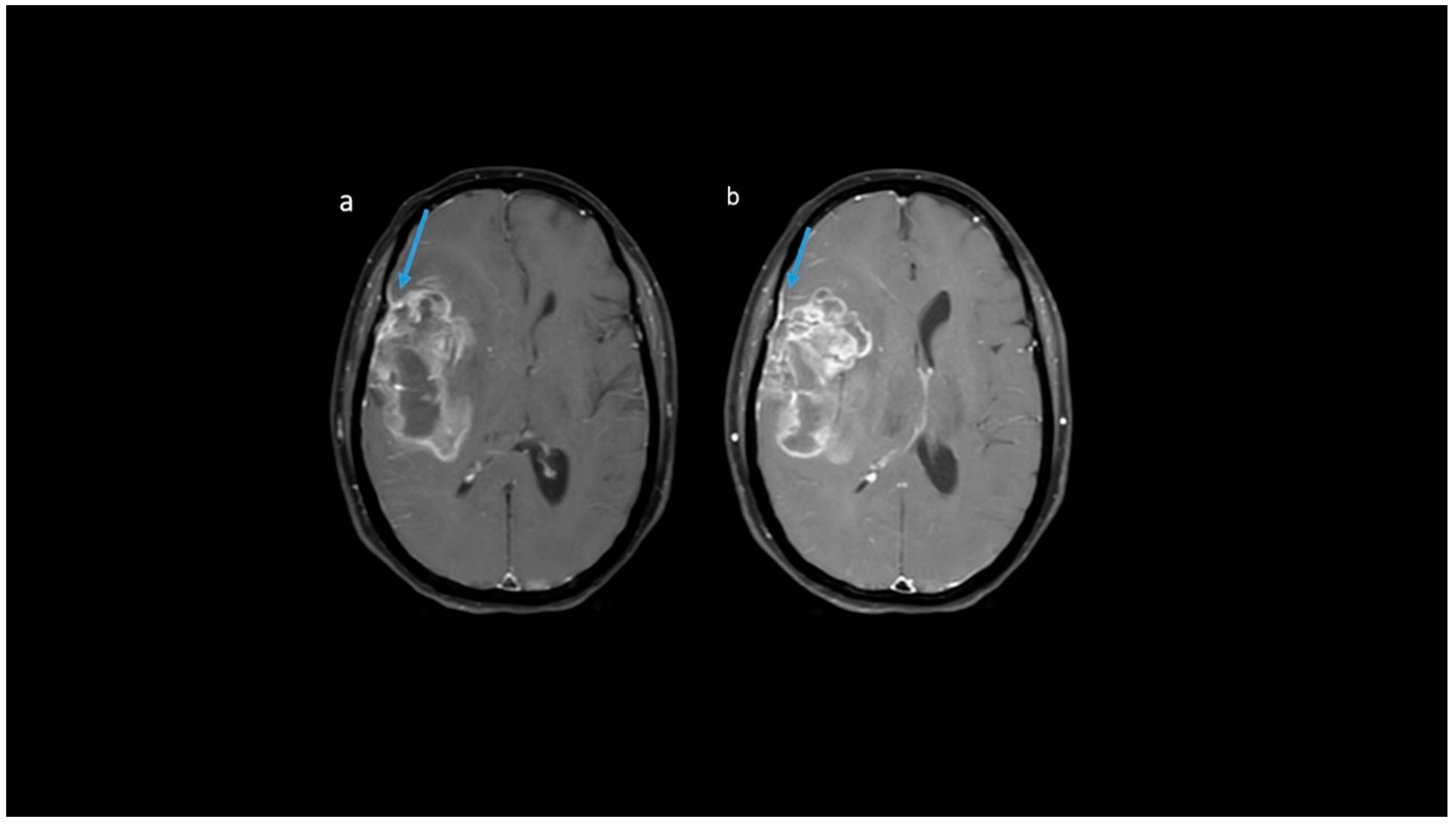
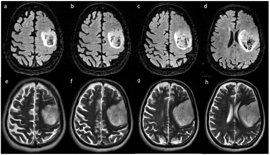
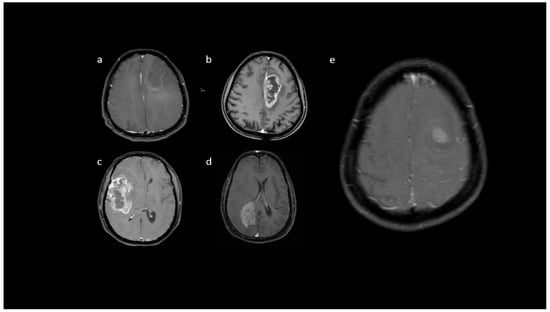
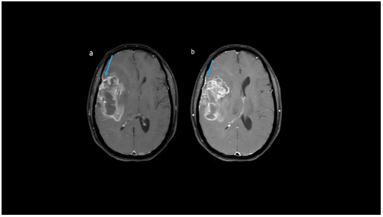
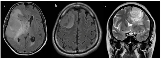
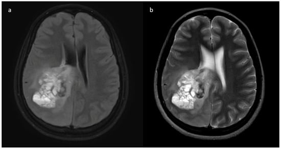
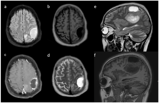
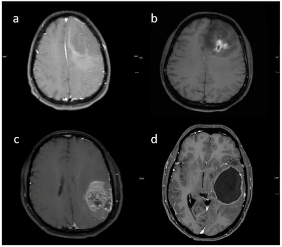
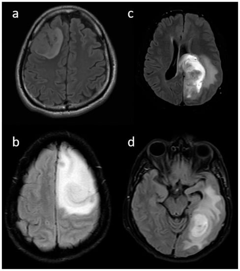
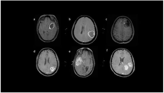
3. Results
3.1. Patient Demographic and Tumor Characteristics
3.2. MRI Parameters of IDH-Wildtype vs. Mutant Phenotype Tumors
4. Discussion
5. Conclusions
Supplementary Materials
Author Contributions
Funding
Institutional Review Board Statement
Informed Consent Statement
Data Availability Statement
Conflicts of Interest
Appendix A. Glossary of Terms
References
- Louis, D.N.; Perry, A.; Reifenberger, G.; Von Deimling, A.; Figarella-Branger, D.; Cavenee, W.K.; Ohgaki, H.; Wiestler, O.D.; Kleihues, P.; Ellison, D.W. The 2016 World Health Organization Classification of Tumors of the Central Nervous System: A summary. Acta Neuropathol. 2016, 131, 803–820. [Google Scholar] [CrossRef] [PubMed]
- Louis, D.N.; Perry, A.; Wesseling, P.; Brat, D.J.; Cree, I.A.; Figarella-Branger, D.; Hawkins, C.; Ng, H.K.; Pfister, S.M.; Reifenberger, G.; et al. The 2021 WHO Classification of Tumors of the Central Nervous System: A summary. Neuro-Oncol. 2021, 23, 1231–1251. [Google Scholar] [CrossRef] [PubMed]
- Tan, A.C.; Ashley, D.M.; López, G.Y.; Malinzak, M.; Friedman, H.S.; Khasraw, M. Management of glioblastoma: State of the art and future directions. CA Cancer J. Clin. 2020, 70, 299–312. [Google Scholar] [CrossRef] [PubMed]
- Alimohammadi, E.; Bagheri, S.R.; Sadeghsalehi, A.; Rizevandi, P.; Rezaie, Z.; Abdi, A. Prognostic factors in patients with glioblastoma multiforme: Focus on the pathologic variants. Acta Neurol. Belg. 2020, 120, 1341–1350. [Google Scholar] [CrossRef] [PubMed]
- Pandith, A.A.; Qasim, I.; Baba, S.M.; Koul, A.; Zahoor, W.; Afroze, D.; Lateef, A.; Manzoor, U.; Bhat, I.A.; Sanadhya, D.; et al. Favorable role of IDH 1/2 mutations aided with MGMT promoter gene methylation in the outcome of patients with malignant glioma. Futur Sci. OA 2021, 7, FSO663. [Google Scholar] [CrossRef] [PubMed]
- Smits, M.; Van Den Bent, M.J. Imaging correlates of adult glioma genotypes. Radiology 2017, 284, 316–331. [Google Scholar] [CrossRef]
- Cohen, A.L.; Holmen, S.L.; Colman, H. IDH1 and IDH2 mutations in gliomas. Curr. Neurol. Neurosci. Rep. 2013, 13, 345. [Google Scholar] [CrossRef]
- Yu, W.; Zhang, L.; Wei, Q.; Shao, A. O6-Methylguanine-DNA Methyltransferase (MGMT): Challenges and New Opportunities in Glioma Chemotherapy. Front. Oncol. 2020, 9, 1547. [Google Scholar] [CrossRef]
- Feraco, P.; Bacci, A.; Ferrazza, P.; Van Den Hauwe, L.; Pertile, R.; Girlando, S.; Barbareschi, M.; Gagliardo, C.; Morganti, A.G.; Petralia, B. Magnetic resonance imaging derived biomarkers of IDH mutation status and overall survival in grade III astrocytomas. Diagnostics 2020, 10, 247. [Google Scholar] [CrossRef]
- Verduin, M.; Compter, I.; Steijvers, D.; Postma, A.A.; Eekers, D.B.; Anten, M.M.; Ackermans, L.; Ter Laan, M.; Leijenaar, R.T.; van de Weijer, T.; et al. Noninvasive Glioblastoma Testing: Multimodal Approach to Monitoring and Predicting Treatment Response. Dis. Markers 2018, 2018, 2908609. [Google Scholar] [CrossRef]
- Lasocki, A.; Tsui, A.; Gaillard, F.; Tacey, M.; Drummond, K.; Stuckey, S. Reliability of noncontrast-enhancing tumor as a biomarker of IDH1 mutation status in glioblastoma. J. Clin. Neurosci. 2017, 39, 170–175. [Google Scholar] [CrossRef] [PubMed]
- Rios Velazquez, E.; Meier, R.; Dunn Jr, W.D.; Alexander, B.; Wiest, R.; Bauer, S.; Gutman, D.A.; Reyes, M.; Aerts, H.J. Fully automatic GBM segmentation in the TCGA-GBM dataset: Prognosis and correlation with VASARI features. Sci. Rep. 2015, 5, 16822. [Google Scholar] [CrossRef]
- Yamashita, K.; Hiwatashi, A.; Togao, O.; Kikuchi, K.; Hatae, R.; Yoshimoto, K.; Mizoguchi, M.; Suzuki, S.O.; Yoshiura, T.; Honda, H. MR imaging-based analysis of glioblastoma multiforme: Estimation of IDH1 mutation status. Am. J. Neuroradiol. 2016, 37, 58–65. [Google Scholar] [CrossRef]
- Kickingereder, P.; Sahm, F.; Radbruch, A.; Wick, W.; Heiland, S.; Deimling, A.V.; Bendszus, M.; Wiestler, B. IDH mutation status is associated with a distinct hypoxia/angiogenesis transcriptome signature which is non-invasively predictable with rCBV imaging in human glioma. Sci. Rep. 2015, 5, 16238. [Google Scholar] [CrossRef] [PubMed]
- Carrillo, J.; Lai, A.; Nghiemphu, P.L.; Kim, H.J.; Phillips, H.S.; Kharbanda, S.; Moftakhar, P.; Lalaezari, S.; Yong, W.; Ellingson, B.M.; et al. Relationship between tumor enhancement, edema, IDH1 mutational status, MGMT promoter methylation, and survival in glioblastoma. Am. J. Neuroradiol. 2012, 33, 1349–1355. [Google Scholar] [CrossRef] [PubMed]
- Patel, S.H.; Poisson, L.M.; Brat, D.J.; Zhou, Y.; Cooper, L.; Snuderl, M.; Thomas, C.; Franceschi, A.M.; Griffith, B.; Flanders, A.E.; et al. T2–FLAIR mismatch, an imaging biomarker for IDH and 1p/19q status in lower-grade gliomas: A TCGA/TCIA project. Clin. Cancer Res. 2017, 23, 6078–6086. [Google Scholar] [CrossRef] [PubMed]
- Lee, S.; Choi, S.H.; Ryoo, I.; Yoon, T.J.; Kim, T.M.; Lee, S.H.; Park, C.K.; Kim, J.H.; Sohn, C.H.; Park, S.H.; et al. Evaluation of the microenvironmental heterogeneity in high-grade gliomas with IDH1/2 gene mutation using histogram analysis of diffusion-weighted imaging and dynamic-susceptibility contrast perfusion imaging. J. Neurooncol. 2015, 121, 141–150. [Google Scholar] [CrossRef]
- Wu, H.; Tong, H.; Du, X.; Guo, H.; Ma, Q.; Zhang, Y.; Zhou, X.; Liu, H.; Wang, S.; Fang, J.; et al. Vascular habitat analysis based on dynamic susceptibility contrast perfusion MRI predicts IDH mutation status and prognosis in high-grade gliomas. Eur. Radiol. 2020, 30, 3254–3265. [Google Scholar] [CrossRef]
- Wu, C.C.; Jain, R.; Radmanesh, A.; Poisson, L.M.; Guo, W.Y.; Zagzag, D.; Snuderl, M.; Placantonakis, D.G.; Golfinos, J.; Chi, A.S. Predicting genotype and survival in glioma using standard clinical MR imaging apparent diffusion coefficient images: A pilot study from the cancer genome atlas. Am. J. Neuroradiol. 2018, 39, 1814–1820. [Google Scholar] [CrossRef]
- Park, Y.W.; Han, K.; Ahn, S.S.; Bae, S.; Choi, Y.S.; Chang, J.H.; Kim, S.H.; Kang, S.G.; Lee, S.K. Prediction of IDH1-Mutation and 1p/19q-Codeletion Status Using Preoperative MR Imaging Phenotypes in Lower Grade Gliomas. Am. J. Neuroradiol. 2018, 39, 37–42. [Google Scholar] [CrossRef]
- Villanueva-Meyer, J.E.; Wood, M.D.; Choi, B.; Mabray, M.C.; Butowski, N.A.; Tihan, T.; Cha, S. MRI Features and IDH Mutational Status in Grade II Diffuse Gliomas: Impact on Diagnosis and Prognosis. AJR Am. J. Roentgenol. 2018, 210, 621. [Google Scholar] [CrossRef] [PubMed]
- Ellingson, B.M.; Cloughesy, T.F.; Pope, W.B.; Zaw, T.M.; Phillips, H.; Lalezari, S.; Nghiemphu, P.L.; Ibrahim, H.; Naeini, K.M.; Harris, R.J.; et al. Anatomic localization of O6-methylguanine DNA methyltransferase (MGMT) promoter methylated and unmethylated tumors: A radiographic study in 358 de novo human glioblastomas. Neuroimage 2012, 59, 908–916. [Google Scholar] [CrossRef] [PubMed]












| Parameter | IDH-Mutant (N-19) Frequency (%) | IDH-Wildtype (N-129) Frequency (%) | p-Value |
|---|---|---|---|
| Age (years) Median (IQR) | 34 (29.5–43) | 52 (45–59) | <0.001 |
| Gender Female Male | 5 (26.3) 14 (73.7) | 44 (34.1) 85 (65.9) | 0.680 |
| Tumor location Frontal Temporal Insular Occipital Parietal Brainstem/cerebellum Multiple sites | 10 (52.6) 3 (15.8) 0 0 1 (5.3) 0 5 (26.3) | 36 (27.9) 19 (14.7) 2 (1.6) 4 (3.1) 19 (14.7) 2 (1.6) 47 (36.4) | 0.420 |
| Tumor laterality Right Left Bilateral/central | 3 (15.8) 13 (68.4) 3 (15.8) | 64 (49.6) 55 (42.6) 10 (7.8) | 0.020 |
| Tumor size <5 cm >5 cm | 4 (21.1) 15 (78.9) | 51 (39.5) 78 (60.5) | 0.136 |
| Variable | Parameter | IDH-Mutated (n = 19) | IDH-Wildtype (n = 129) | p-Value |
|---|---|---|---|---|
| Enhancement I | Mild | 9 (47.4) | 5 (3.9) | <0.001 |
| Moderate | 6 (31.6) | 25 (19.4) | ||
| Severe | 4 (21.1) | 99 (76.7) | ||
| Enhancement III | Rim | 6 (31.6) | 104 (80.6) | <0.001 |
| Nodular | 0 | 2 (1.6) | ||
| Patchy | 11 (57.9) | 13 (10.1) | ||
| Solid | 2 (10.5) | 10 (7.8) | ||
| Necrosis | None | 3 (15.8) | 3 (2.3) | <0.001 |
| <25% | 11 (57.9) | 14 (10.9) | ||
| 25- 50% | 2 (10.5) | 35 (27.1) | ||
| >50% | 3 (15.8) | 77 (59.7) | ||
| Dural enhancement | AbsentPresent | 07 (70.0) | 31 (24.0)48 (52.7) | 0.013 |
| Edema | None | 3 (15.8) | 3 (2.3) | 0.025 |
| <tumor volume | 11 (57.9) | 68 (52.7) | ||
| Equal to tumor volume | 4 (21.1) | 35 (27.1) | ||
| >tumor volume | 1 (5.3) | 23 (17.8) | ||
| Cysts * | No | 11 (57.9) | 115 (89.1) | 0.001 |
| Yes | 6 (31.6) | 14 (10.9) | ||
| Subcortical involvement | Involved | 18 (94.7) | 94 (72.9) | 0.044 |
| Not involved | 1 (5.3) | 35 (27.1) | ||
| rCBV | Median (IQR) | 1.8 [1.4–2.0] | 2.6 [1.9–3.5] | 0.001 |
| Variable | Units | Odds Ratio | CI 95% | p-Value |
|---|---|---|---|---|
| Necrosis | None/<25% | Reference | ||
| >25% | 0.04 | [0.01; 0.17] | <0.001 | |
| rCBV | <=2.0 | Reference | ||
| >2.0 | 0.12 | [0.03; 0.56] | 0.007 |
Disclaimer/Publisher’s Note: The statements, opinions and data contained in all publications are solely those of the individual author(s) and contributor(s) and not of MDPI and/or the editor(s). MDPI and/or the editor(s) disclaim responsibility for any injury to people or property resulting from any ideas, methods, instructions or products referred to in the content. |
© 2022 by the authors. Licensee MDPI, Basel, Switzerland. This article is an open access article distributed under the terms and conditions of the Creative Commons Attribution (CC BY) license (https://creativecommons.org/licenses/by/4.0/).
Share and Cite
Sahu, A.; Patnam, N.G.; Goda, J.S.; Epari, S.; Sahay, A.; Mathew, R.; Choudhari, A.K.; Desai, S.M.; Dasgupta, A.; Chatterjee, A.; et al. Multiparametric Magnetic Resonance Imaging Correlates of Isocitrate Dehydrogenase Mutation in WHO high-Grade Astrocytomas. J. Pers. Med. 2023, 13, 72. https://doi.org/10.3390/jpm13010072
Sahu A, Patnam NG, Goda JS, Epari S, Sahay A, Mathew R, Choudhari AK, Desai SM, Dasgupta A, Chatterjee A, et al. Multiparametric Magnetic Resonance Imaging Correlates of Isocitrate Dehydrogenase Mutation in WHO high-Grade Astrocytomas. Journal of Personalized Medicine. 2023; 13(1):72. https://doi.org/10.3390/jpm13010072
Chicago/Turabian StyleSahu, Arpita, Nandakumar G. Patnam, Jayant Sastri Goda, Sridhar Epari, Ayushi Sahay, Ronny Mathew, Amit Kumar Choudhari, Subhash M. Desai, Archya Dasgupta, Abhishek Chatterjee, and et al. 2023. "Multiparametric Magnetic Resonance Imaging Correlates of Isocitrate Dehydrogenase Mutation in WHO high-Grade Astrocytomas" Journal of Personalized Medicine 13, no. 1: 72. https://doi.org/10.3390/jpm13010072
APA StyleSahu, A., Patnam, N. G., Goda, J. S., Epari, S., Sahay, A., Mathew, R., Choudhari, A. K., Desai, S. M., Dasgupta, A., Chatterjee, A., Pratishad, P., Shetty, P., Moiyadi, A. A., & Gupta, T. (2023). Multiparametric Magnetic Resonance Imaging Correlates of Isocitrate Dehydrogenase Mutation in WHO high-Grade Astrocytomas. Journal of Personalized Medicine, 13(1), 72. https://doi.org/10.3390/jpm13010072

