Gender Differences in Acute Aortic Dissection
Abstract
:1. Introduction
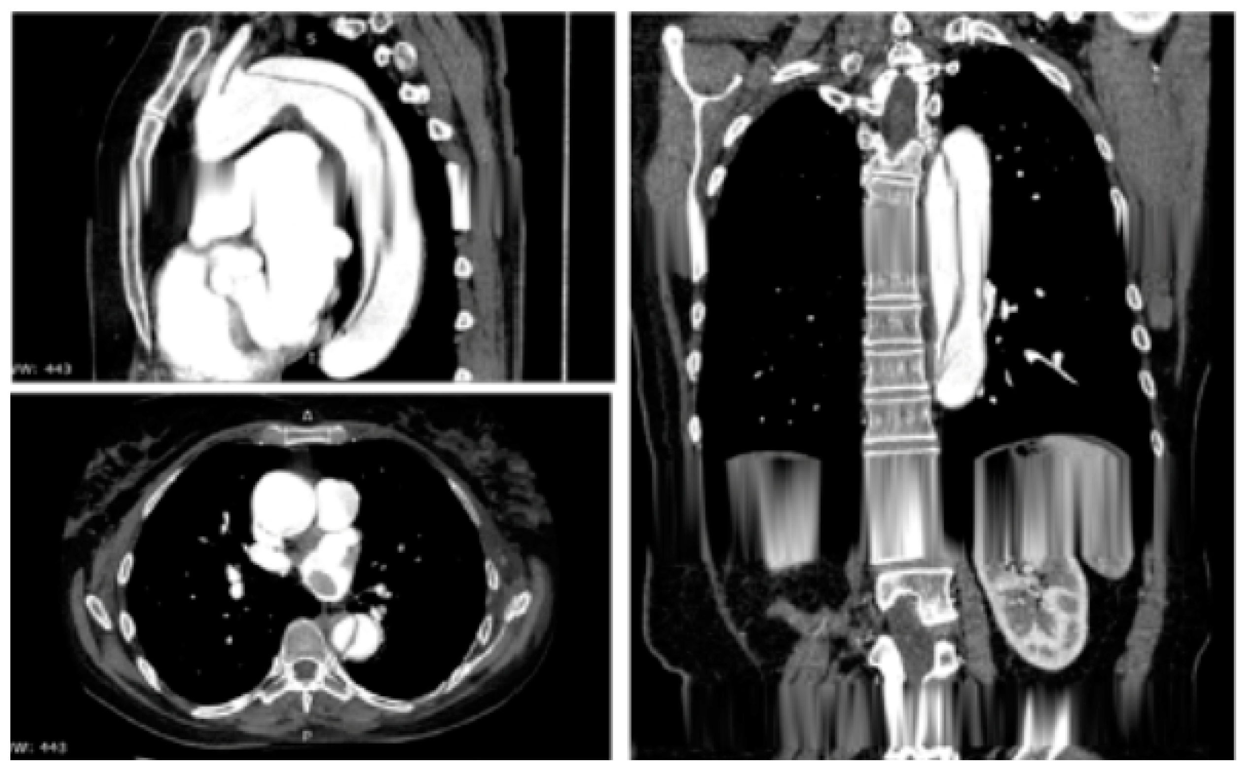
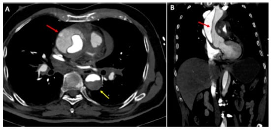
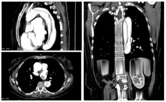
2. AAD
3. Impact of Gender in AAD
3.1. Type A AAD
3.2. Type B AAD
4. Insights into Gender Related AAD from the IRAD
5. AAD in Pregnancy
6. Conclusions
Author Contributions
Funding
Institutional Review Board Statement
Informed Consent Statement
Data Availability Statement
Conflicts of Interest
References
- Johnson, C.O.; Nguyen, M.; Roth, G.A.; Nichols, E.; Alam, T.; Abate, D.; Abd-Allah, F.; Abdelalim, A.; Abraha, H.N.; Abu-Rmeileh, N.M.; et al. Global, Regional, and National Burden of Stroke, 1990–2016: A Systematic Analysis for the Global Burden of Disease Study 2016. Lancet Neurol. 2019, 18, 439–458. [Google Scholar] [CrossRef] [Green Version]
- Zipes, D.P.; Libby, P.; Bonow, R.O.; Mann, D.L.; Tomaselli, G.F. Braunwald’s Heart Disease a Textbook of Cardiovascular Medicine; Chapter Book; Elsevier/Saunders: Philadelphia, PA, USA, 2019. [Google Scholar]
- Connelly, P.J.; Azizi, Z.; Alipour, P.; Delles, C.; Pilote, L.; Raparelli, V. The Importance of Gender to Understand Sex Differences in Cardiovascular Disease. Can. J. Cardiol. 2021, 37, 699–710. [Google Scholar] [CrossRef] [PubMed]
- Vogel, B.; Acevedo, M.; Appelman, Y.; Bairey Merz, C.N.; Chieffo, A.; Figtree, G.A.; Guerrero, M.; Kunadian, V.; Lam, C.S.P.; Maas, A.; et al. The Lancet Women and Cardiovascular Disease Commission: Reducing the Global Burden by 2030. Lancet 2021, 397, 2385–2438. [Google Scholar] [CrossRef]
- Erbel, R.; Aboyans, V.; Boileau, C.; Bossone, E.; Bartolomeo, R.D.; Eggebrecht, H.; Evangelista, A.; Falk, V.; Frank, H.; Gaemperli, O.; et al. 2014 ESC Guidelines on the Diagnosis and Treatment of Aortic Diseases: Document Covering Acute and Chronic Aortic Diseases of the Thoracic and Abdominal Aorta of the Adult. The Task Force for the Diagnosis and Treatment of Aortic Diseases of the European Society of Cardiology (ESC). Eur. Heart J. 2014, 35, 2873–2926. [Google Scholar] [CrossRef] [PubMed] [Green Version]
- Hiratzka, L.F.; Bakris, G.L.; Beckman, J.A.; Bersin, R.M.; Carr, V.F.; Casey, D.E.; Eagle, K.A.; Hermann, L.K.; Isselbacher, E.M.; Kazerooni, E.A.; et al. 2010 ACCF/AHA/AATS/ACR/ASA/SCA/SCAI/SIR/STS/SVM Guidelines for the Diagnosis and Management of Patients with Thoracic Aortic Disease. A Report of the American College of Cardiology Foundation/American Heart Association Task Force on Practice Guidelines, American Association for Thoracic Surgery, American College of Radiology, American Stroke Association, Society of Cardiovascular Anesthesiologists, Society for Cardiovascular Angiography and Interventions, Society of Interventional Radiology, Society of Thoracic Surgeons, and Society for Vascular Medicine. J. Am. Coll. Cardiol. 2010, 55, e27–e129. [Google Scholar] [CrossRef] [Green Version]
- Clouse, W.D.; Hallett, J.W.; Schaff, H.V.; Spittell, P.C.; Rowland, C.M.; Ilstrup, D.M.; Melton, L.J. Acute Aortic Dissection: Population-Based Incidence Compared with Degenerative Aortic Aneurysm Rupture. Mayo Clin. Proc. 2004, 79, 176–180. [Google Scholar] [CrossRef]
- Mészáros, I.; Mórocz, J.; Szlávi, J.; Schmidt, J.; Tornóci, L.; Nagy, L.; Szép, L. Epidemiology and Clinicopathology of Aortic Dissection. Chest 2000, 117, 1271–1278. [Google Scholar] [CrossRef]
- Smedberg, C.; Steuer, J.; Leander, K.; Hultgren, R. Sex Differences and Temporal Trends in Aortic Dissection: A Population-Based Study of Incidence, Treatment Strategies, and Outcome in Swedish Patients during 15 Years. Eur. Heart J. 2020, 41, 2430–2438. [Google Scholar] [CrossRef]
- Bossone, E.; Eagle, K.A. Epidemiology and Management of Aortic Disease: Aortic Aneurysms and Acute Aortic Syndromes. Nature reviews. Cardiology 2021, 18, 331–348. [Google Scholar] [CrossRef]
- Nienaber, C.A.; Fattori, R.; Mehta, R.H.; Richartz, B.M.; Evangelista, A.; Petzsch, M.; Cooper, J.V.; Januzzi, J.L.; Ince, H.; Sechtem, U.; et al. Gender-Related Differences in Acute Aortic Dissection. Circulation 2004, 109, 3014–3021. [Google Scholar] [CrossRef] [Green Version]
- Bossone, E.; Ranieri, B.; Romano, L.; Russo, V.; Barbuto, L.; Cocchia, R.; Pezzullo, F.; Amato, C.; Vriz, O.; Di Tommaso, L.; et al. Acute Aortic Syndromes: Diagnostic and Therapeutic Pathways. Heart Fail. Clin. 2020, 16, 305–315. [Google Scholar] [CrossRef] [PubMed]
- Mauro, C.; Vriz, O.; Romano, L.; Citro, R.; Russo, V.; Ranieri, B.; Alamro, B.; Aladmawi, M.; Granata, R.; Galzerano, D.; et al. Imaging Cardiovascular Emergencies: Real World Clinical Cases. Heart Fail. Clin. 2020, 16, 331–346. [Google Scholar] [CrossRef] [PubMed]
- Bossone, E.; LaBounty, T.M.; Eagle, K.A. Acute Aortic Syndromes: Diagnosis and Management, an Update. Eur. Heart J. 2018, 39, 739–749d. [Google Scholar] [CrossRef]
- Evangelista, A.; Isselbacher, E.M.; Bossone, E.; Gleason, T.G.; Eusanio, M.D.; Sechtem, U.; Ehrlich, M.P.; Trimarchi, S.; Braverman, A.C.; Myrmel, T.; et al. Insights from the International Registry of Acute Aortic Dissection: A 20-Year Experience of Collaborative Clinical Research. Circulation 2018, 137, 1846–1860. [Google Scholar] [CrossRef]
- Pape, L.A.; Awais, M.; Woznicki, E.M.; Suzuki, T.; Trimarchi, S.; Evangelista, A.; Myrmel, T.; Larsen, M.; Harris, K.M.; Greason, K.; et al. Presentation, Diagnosis, and Outcomes of Acute Aortic Dissection: 17-Year Trends from the International Registry of Acute Aortic Dissection. J. Am. Coll. Cardiol. 2015, 66, 350–358. [Google Scholar] [CrossRef] [Green Version]
- Isselbacher, E.M.; Bonaca, M.P.; Di Eusanio, M.; Froehlich, J.; Bossone, E.; Sechtem, U.; Pyeritz, R.; Patel, H.; Khoynezhad, A.; Eckstein, H.-H.; et al. Recurrent Aortic Dissection: Observations from the International Registry of Aortic Dissection. Circulation 2016, 134, 1013–1024. [Google Scholar] [CrossRef]
- Bossone, E.; Czerny, M.; Lerakis, S.; Rodríguez-Palomares, J.; Kukar, N.; Ranieri, B.; Russo, V.; Punzo, B.; Cocchia, R.; Cademartiri, F.; et al. Imaging and Biomarkers in Acute Aortic Syndromes: Diagnostic and Prognostic Implications. Curr. Probl. Cardiol. 2021, 46, 100654. [Google Scholar] [CrossRef]
- Fukui, T.; Tabata, M.; Morita, S.; Takanashi, S. Gender Differences in Patients Undergoing Surgery for Acute Type A Aortic Dissection. J. Thorac. Cardiovasc. Surg. 2015, 150, 581–587.e1. [Google Scholar] [CrossRef]
- Chemtob, R.A.; Hjortdal, V.; Ahlsson, A.; Gunn, J.; Mennander, A.; Zindovic, I.; Olsson, C.; Pivodic, A.; Hansson, E.C.; Jeppsson, A.; et al. Effects of Sex on Early Outcome Following Repair of Acute Type A Aortic Dissection: Results from The Nordic Consortium for Acute Type A Aortic Dissection (NORCAAD). Aorta 2019, 7, 7–14. [Google Scholar] [CrossRef] [Green Version]
- Conway, B.D.; Stamou, S.C.; Kouchoukos, N.T.; Lobdell, K.W.; Hagberg, R.C. Effects of Gender on Outcomes and Survival Following Repair of Acute Type A Aortic Dissection. Int. J. Angiol. 2015, 24, 93–98. [Google Scholar] [CrossRef] [Green Version]
- Friedrich, C.; Salem, M.A.; Puehler, T.; Hoffmann, G.; Lutter, G.; Cremer, J.; Haneya, A. Sex-Specific Risk Factors for Early Mortality and Survival after Surgery of Acute Aortic Dissection Type a: A Retrospective Observational Study. J. Cardiothorac. Surg. 2020, 15, 145. [Google Scholar] [CrossRef] [PubMed]
- Rylski, B.; Georgieva, N.; Beyersdorf, F.; Busch, C.; Boening, A.; Haunschild, J.; Etz, C.D.; Luehr, M.; Kallenbach, K.; German Registry for Acute Aortic Dissection Type A Working Group of the German Society of Thoracic, Cardiac, and Vascular Surgery. Gender-Related Differences in Patients with Acute Aortic Dissection Type A. J. Thorac. Cardiovasc. Surg. 2021, 162, 528–535.e1. [Google Scholar] [CrossRef] [PubMed]
- Sabashnikov, A.; Heinen, S.; Deppe, A.C.; Zeriouh, M.; Weymann, A.; Slottosch, I.; Eghbalzadeh, K.; Popov, A.F.; Liakopoulos, O.; Rahmanian, P.B.; et al. Impact of Gender on Long-Term Outcomes after Surgical Repair for Acute Stanford a Aortic Dissection: A Propensity Score Matched Analysis. Interact. Cardiovasc. Thorac. Surg. 2017, 24, 702–707. [Google Scholar] [CrossRef] [PubMed] [Green Version]
- Suzuki, T.; Asai, T.; Kinoshita, T. Clinical Differences between Men and Women Undergoing Surgery for Acute Type A Aortic Dissection. Interact. Cardiovasc. Thorac. Surg. 2018, 26, 944–950. [Google Scholar] [CrossRef]
- Maitusong, B.; Sun, H.P.; Xielifu, D.; Mahemuti, M.; Ma, X.; Liu, F.; Xie, X.; Azhati, A.; Zhou, X.R.; Ma, Y.T. Sex-Related Differences Between Patients with Symptomatic Acute Aortic Dissection. Medicine 2016, 95, e3100. [Google Scholar] [CrossRef]
- Liu, Y.J.; Wang, X.Z.; Wang, Y.; He, R.X.; Yang, L.; Jing, Q.M.; Liu, H.W. Correlation between Sex and Prognosis of Acute Aortic Dissection in the Chinese Population. Chin. Med. J. 2018, 131, 1430–1435. [Google Scholar] [CrossRef]
- Lawrence, K.W.; Yin, K.; Connelly, H.L.; Datar, Y.; Brydges, H.; Balasubramaniyan, R.; Karlson, K.J.; Edwards, N.M.; Dobrilovic, N. Sex-Based Outcomes in Surgical Repair of Acute Type A Aortic Dissection: A Meta-Analysis and Meta-Regression. J. Thorac. Cardiovasc. Surg. 2022; in press. [Google Scholar] [CrossRef]
- Liang, N.L.; Genovese, E.A.; Al-Khoury, G.E.; Hager, E.S.; Makaroun, M.S.; Singh, M.J. Effects of Gender Differences on Short-Term Outcomes in Patients with Type B Aortic Dissection. Ann. Vasc. Surg. 2017, 38, 78–83. [Google Scholar] [CrossRef] [Green Version]
- Takahashi, T.; Yoshino, H.; Akutsu, K.; Shimokawa, T.; Ogino, H.; Kunihara, T.; Usui, M.; Watanabe, K.; Kawata, M.; Masuhara, H.; et al. Sex-Related Differences in Clinical Features and In-Hospital Outcomes of Type B Acute Aortic Dissection: A Registry Study. J. Am. Heart Assoc. 2022, 11, e024149. [Google Scholar] [CrossRef]
- Hagan, P.G.; Nienaber, C.A.; Isselbacher, E.M.; Bruckman, D.; Karavite, D.J.; Russman, P.L.; Evangelista, A.; Fattori, R.; Suzuki, T.; Oh, J.K.; et al. The International Registry of Acute Aortic Dissection (IRAD): New Insights into an Old Disease. Jama 2000, 283, 897–903. [Google Scholar] [CrossRef]
- Huckaby, L.V.; Sultan, I.; Trimarchi, S.; Leshnower, B.; Chen, E.P.; Brinster, D.R.; Myrmel, T.; Estrera, A.L.; Montgomery, D.G.; Korach, A.; et al. Sex-Based Aortic Dissection Outcomes from the International Registry of Acute Aortic Dissection. Ann. Thorac. Surg. 2022, 113, 498–505. [Google Scholar] [CrossRef]
- Braverman, A.C.; Mittauer, E.; Harris, K.M.; Evangelista, A.; Pyeritz, R.E.; Brinster, D.; Conklin, L.; Suzuki, T.; Fanola, C.; Ouzounian, M.; et al. Clinical Features and Outcomes of Pregnancy-Related Acute Aortic Dissection. JAMA Cardiol. 2021, 6, 58–66. [Google Scholar] [CrossRef] [PubMed]
- Cauldwell, M.; Steer, P.J.; Curtis, S.L.; Mohan, A.; Dockree, S.; Mackillop, L.; Parry, H.M.; Oliver, J.; Sterrenberg, M.; Wallace, S.; et al. Maternal and Fetal Outcomes in Pregnancies Complicated by Marfan Syndrome. Heart 2019, 105, 1725–1731. [Google Scholar] [CrossRef] [PubMed]
- den Hartog, A.W.; Franken, R.; Zwinderman, A.H.; Timmermans, J.; Scholte, A.J.; van den Berg, M.P.; de Waard, V.; Pals, G.; Mulder, B.J.M.; Groenink, M. The Risk for Type B Aortic Dissection in Marfan Syndrome. J. Am. Coll. Cardiol. 2015, 65, 246–254. [Google Scholar] [CrossRef] [PubMed]
- Braverman, A.C.; Moon, M.R.; Geraghty, P.; Willing, M.; Bach, C.; Kouchoukos, N.T. Pregnancy after Aortic Root Replacement in Loeys-Dietz Syndrome: High Risk of Aortic Dissection. Am. J. Med. Genet. Part A 2016, 170, 2177–2180. [Google Scholar] [CrossRef]
- Roman, M.J.; Pugh, N.L.; Hendershot, T.P.; Devereux, R.B.; Dietz, H.; Holmes, K.; Eagle, K.A.; LeMaire, S.A.; Milewicz, D.M.; Morris, S.A.; et al. Aortic Complications Associated with Pregnancy in Marfan Syndrome: The NHLBI National Registry of Genetically Triggered Thoracic Aortic Aneurysms and Cardiovascular Conditions (GenTAC). J. Am. Heart Assoc. 2016, 5, e004052. [Google Scholar] [CrossRef] [Green Version]
- Sawlani, N.; Shroff, A.; Vidovich, M.I. Aortic Dissection and Mortality Associated with Pregnancy in the United States. J. Am. Coll. Cardiol. 2015, 65, 1600–1601. [Google Scholar] [CrossRef] [Green Version]
- Kamel, H.; Roman, M.J.; Pitcher, A.; Devereux, R.B. Pregnancy and the Risk of Aortic Dissection or Rupture: A Cohort-Crossover Analysis. Circulation 2016, 134, 527–533. [Google Scholar] [CrossRef] [Green Version]
- Kim, S.Y.; Wolfe, D.S.; Taub, C.C. Cardiovascular Outcomes of Pregnancy in Marfan’s Syndrome Patients: A Literature Review. Congenit. Heart Dis. 2018, 13, 203–209. [Google Scholar] [CrossRef]
- Ma, W.G.; Zhu, J.M.; Chen, Y.; Qiao, Z.Y.; Ge, Y.P.; Li, C.N.; Zheng, J.; Liu, Y.M.; Sun, L.Z. Aortic Dissection during Pregnancy and Postpartum in Patients with Marfan Syndrome: A 21-Year Clinical Experience in 30 Patients. Eur. J. Cardio-Thorac. Surg. Off. J. Eur. Assoc. Cardio-Thorac. Surg. 2020, 58, 294–301. [Google Scholar] [CrossRef]
- Mimoun, L.; Detaint, D.; Hamroun, D.; Arnoult, F.; Delorme, G.; Gautier, M.; Milleron, O.; Meuleman, C.; Raoux, F.; Boileau, C.; et al. Dissection in Marfan Syndrome: The Importance of the Descending Aorta. Eur. Heart J. 2011, 32, 443–449. [Google Scholar] [CrossRef] [Green Version]
- Schoenhoff, F.S.; Jungi, S.; Czerny, M.; Roost, E.; Reineke, D.; Matyas, G.; Steinmann, B.; Schmidli, J.; Kadner, A.; Carrel, T. Acute Aortic Dissection Determines the Fate of Initially Untreated Aortic Segments in Marfan Syndrome. Circulation 2013, 127, 1569–1575. [Google Scholar] [CrossRef] [PubMed] [Green Version]




| Study | AAD, n | Women, n (%) | Age (Mean, ± SD) | Clinical Presentation | |||||||||||||
|---|---|---|---|---|---|---|---|---|---|---|---|---|---|---|---|---|---|
| Shock, n (%) | Pericardial Effusion/Tamponade, n (%) | Neurological Disorders, n (%) | Malperfusion, n (%) | ||||||||||||||
| Women | Men | p-Value | Women | Men | p-Value | Women | Men | p-Value | Women | Men | p-Value | Women | Men | p-Value | |||
| TYPE A Add | |||||||||||||||||
| Fukui et al. [19] 2006–2013 | 504 | 245 (48.6) | 71.5 ± 9.8 | 59.7 ± 13.4 | <0.001 | 68 (27.8) | 53 (20.5) | 0.07 | 52 (22.4) | 40 (15.4) | 0.05 | 17 (6.9) | 11 (4.3) | 0.26 | - | - | - |
| Chemtob et al. [20] 2005–2014 | 1154 | 373(32) | 65 ± 11 | 60 ± 12 | <0.001 | 91 (26.1) | 161 (22.3) | 0.19 | 70 (19.2) | 120 (15.7) | 0.17 | - | - | - | - | - | - |
| Conway et al. [21] 2000–2010 | 251 | 79 (31.4) | 67 (20–87) | 58 (19–83) | <0.001 | 9 (12) | 21 (13) | 0.78 | - | - | - | - | - | - | - | - | - |
| Friederich et al. [22] 2001–2016 | 368 | 126 (34.2) | 67.5 ± 11.8 | 60.4 ± 12 | <0.001 | 10 (7.9) | 17 (7.2) | 0.79 | - | - | - | - | - | - | - | - | - |
| Rilsky et al. [23] 2006–2015 | 3380 | 1234 (37) | 65.5 ± 12.7 | 59.2 ± 13.3 | <0.001 | - | - | - | 270 (21.9) | 430 (20) | 0.2 | 29 (2.4) | 83 (3.9) | 0.018 | 425 (32.8) | 827 (38.5) | 0.001 |
| Sabashnikov et al. [24] 2006–2015 | 240 | 87 (36.3) | 68 58–76 (Median IQR) | 59 50–71 (Median IQR) | <0.001 | 17 (23.9) | 20 (28.2) | 0.56 | 32 (45.1) | 33 (46.5) | 0.866 | 13 (18.3) | 12 (16.9) | 0.94 | 23 (32.4) | 18 (25.4) | 0.35 |
| Suzuki et al. [25] 2004–2016 | 303 | 147 (48.5) | 72.6 ± 10.3 | 63.0 ± 12.9 | <0.001 | 51 (35) | 55 (35) | 0.91 | 41 (28) | 47 (30) | 0.67 | 23 (16) | 18 (12) | 0.29 | 34 (23) | 40 (26) | 0.61 |
| TYPE B AAD | |||||||||||||||||
| Liang et al. [29] 2009–2012 | 9855 | 4293 (43.6) | 69.8 ± 15.5 | 62.8 ± 15.6 | <0.001 | 185 (4.3) | 274 (4.9) | 0.2 | - | - | - | 38 (0.9) | 96 (1.7) | <0.001 | - | - | - |
| Takahashi et al. [30] 2013–2017 | 2372 | 695 (29.3) | 76 66–84 (Median IQR) | 68 57–77 (Median IQR) | <0.001 | 20 (2.9) | 43 (2.6) | 0.6 | - | - | - | - | - | - | 14 (2) | 57 (3.4) | 0.085 |
| TYPE A + B AAD | |||||||||||||||||
| Liu et al. [27] 2002–2016 | 884 | 221 (24.9) | 51.4 ± 11.8 | 55.1 ± 12.5 | 0.10 | - | - | - | 47 (22.3) | 112 (16.6) | 0.06 | 23 (10.9) | 50 (7.4) | 0.11 | 7 (3.3) | 47 (7) | 0.05 |
| Maitusong et al. [26] 2010–2015 | 400 | 96 (24) | 54.2 ± 12.4 | 49.6 ± 12.6 | <0.001 | 1 (1) | 11 (3.6) | 0.31 | 12 (12.5) | 15 (4.9) | <0.001 | 2 (2.1) | 27 (8.9) | 0.04 | 4 (4.2) | 36 (11.8) | 0.03 |
| Study | AAD, n | Women, n (%) | In-Hospital Mortality, n (%) | 30 Days-Mortality, n (%) | 5-Years Survival, % | 10-Years Survival, % | |||||||||
|---|---|---|---|---|---|---|---|---|---|---|---|---|---|---|---|
| Women | Men | p-Value | Women | Men | p-Value | Women | Men | p-Value | Women | Men | p-Value | ||||
| TYPE A AAD | |||||||||||||||
| Fukui et al. [19] 2006–2013 | 504 | 245 (48.6) | Surgical treated | - | - | - | 11 (4.5) | 15 (5.8) | 0.64 | 80.1 | 89.3 | 0.06 | - | - | - |
| Chemtob et al. [20] 2005–2014 | 1154 | 373(32) | Surgical treated | 34 (9.1) | 52 (6.7) | 0.17 | 65 (19.2) | 138 (18.9) | 0.99 | - | - | - | - | - | - |
| Conway et al. [21] 2000–2010 | 251 | 79 (31.4) | Surgical treated | 15 (19) | 29 (17) | 0.69 | - | - | - | - | - | - | 58 | 63 | 0.28 |
| Friederich et al. [22] 2001–2016 | 368 | 126 (34.2) | Surgical treated | 23(18.4) | 38 (16.2) | 0.60 | 24 (19) | 40 (16.5) | 0.54 | 70 | 71 | 0.5 | - | - | - |
| Rilsky et al. [23] 2006–2015 | 3380 | 1234 (37) | Surgical treated | - | - | - | 202 (16.3) | 356 (16.6) | 0.17 | - | - | - | - | - | - |
| Sabashnikov et al. [24] 2006–2015 | 240 | 87 (36.3) | Surgical treated | 6 (7) | 8 (5.6) | 0.99 | 18 (21) | 21 (14) | 0.27 | 62.9 | 62.8 | 0.25 | - | - | - |
| Suzuki et al. [25] 2004–2016 | 303 | 147 (48.5) | Surgical treated | 13 (9) | 16 (10) | 0.68 | 12 (8) | 14 (9) | 0.80 | - | - | - | 59 | 65.7 | 0.81 |
| Liu et al. [27] 2002–2016 | 355 | 97 (27.3) | Surgical treated | 10 (5.1) | 30 (4.7) | 0.82 | - | - | - | - | - | - | - | - | - |
| Maitusong et al. [26] 2010–2015 | 154 | 52 (34.3) | Overall (surgical + medical) Surgical treatment Medical treatment | 25 (75.8) 4 (40) 21 (91.3) | 55 (44.6) 4 (11.8) 51 (58.6) | <0.01 0.04 <0.01 | - | - | - | - | - | - | - | - | - |
| TYPE B AAD | |||||||||||||||
| Liang et al. [29] 2009–2012 | 9855 | 4293 (43.6) | Overall (TEVAR + surgical + medical) | 498 (11.6) | 594 (10.7) | 0.2 | - | - | - | - | - | - | - | - | - |
| Takahashi et al. [30] 2013–2017 | 2372 | 695 (29.3) | Overall Medically managed Interventionally treated Endovascularly treated Surgically treated | 37(5.3) 26 (4.1) 11 (17.5) 4 (14.8) 7 (19.4) | 46 (2.7) 26 (1.8) 20 (8.7) 8 (7.6) 12 (9.6) | 0.002 0.002 0.04 0.26 0.10 | - | - | - | - | - | - | - | - | - |
| Liu et al. [27] 2002–2016 | 533 | 114 | Overall (surgical + TEVAR + medical managed) | 1 (0.5) | 8 (1.3) | 0.63 | - | - | - | - | - | - | - | - | - |
| Maitusong et al. [26] 2010–2015 | 400 | 96 (24) | Overall Medically managed Surgically treated | 5 (7.9) 3 (12) 2 (5.1) | 7 (3.8) 2 5 (10.2) 2 (1.5) | 0.19 0.77 0.22 | - | - | - | - | - | - | - | - | - |
| TYPE A + B AAD | |||||||||||||||
| Maitusong et al. [26] 2010–2015 | 400 | 96 (24) | Overall | 30 (31.3) | 62 (20.4) | 0.02 | - | - | - | - | - | - | - | - | - |
| IRAD 2004 [11] n = 1078 (Female = 346; Male = 732) TYPE A + B AAD | IRAD-IVC 2021 [32] n = 2083 (Female = 969; Male = 1854) TYPE A AAD Treated with Endovascular, Surgical, or Hybrid Procedures for Aortic Dissection | |||||
|---|---|---|---|---|---|---|
| Female | Male | p-Value | Female | Male | p-Value | |
| Age mean ± SD | 66.7 ± 13.9 | 60.3 ± 13.7 | <0.001 | 65.4 ± 13.4 | 58.6 ± 13.3 | <0.001 |
| Risk factors/medical history | ||||||
| Hypertension, n (%) | 258 (77.5) | 497 (69.2) | 0.006 | 725 (80.5) | 1286(74.4) | <0.001 |
| Diabetes, n (%) | 19 (5.8) | 32 (4.5) | 0.40 | 113 (13.1) | 147 (8.9) | 0.001 |
| Current smoker, n (%) | -- | -- | -- | 177 (28.1) | 425 (33.4) | 0.017 |
| Ever smoker, n (%) | -- | -- | -- | 303 (48) | 706 (55.5) | 0.002 |
| Bicuspid aortic valve, n (%) | -- | -- | -- | 17 (2.0) | 72 (4.4) | 0.003 |
| Previous cardiac surgery, n (%) | 50 (16.9) | 142 (24.0) | 0.02 | 85 (10) | 210 (12.7) | 0.042 |
| Coronary artery bypass, n (%) | 12 (3.7) | 45 (6.6) | 0.07 | 21 (2.5) | 87 (5.3) | 0.001 |
| Aortic aneurysm/dissection repair, n (%) | 20 (6.2) | 70 (10.1) | 0.04 | 34 (4.0) | 90 (5.5) | 0.116 |
| Signs/Symptoms at onset | ||||||
| Abrupt onset of pain, n (%) | 266 (82.6) | 629 (89) | 0.004 | -- | -- | -- |
| Altered consciousness, n (%) | 43 (13.0) | 63 (9.0) | 0.05 | 111 (11.5) | 139 (7.5) | 0.001 |
| Congestive heart failure, n (%) | 28 (9.1) | 36 (5.4) | 0.03 | -- | -- | -- |
| Any pulse deficit, n (%) | 57 (19.2) | 202 (31.7) | <0.001 | -- | -- | -- |
| Malperfusion with shock, n (%) | 34 (10.5) | 69 (9.8) | 0.71 | 303(31.3) | 411 (22.2) | <0.001 |
| Diagnostic imaging findings | ||||||
| Intramural hematoma, n (%) | 40 (11.7) | 74 (10.2) | 0.49 | 188 (19.4) | 244 (13.2) | <0.001 |
| Periaortic hematoma, n (%) | 86 (27.6) | 141 (21.4) | 0.03 | 115 (24.8) | 174 (18.6) | 0.007 |
| Complete FL thrombosis, n (%) | 45 (17.0) | 58 (10.7) | 0.01 | 61 (17.2) | 77 (10.2) | 0.001 |
| Partial FL thrombosis, n (%) | 76 (28.8) | 136 (25.2) | 0.28 | 88 (24.8) | 146 (19.4) | 0.039 |
| Patent FL, n (%) | -- | -- | -- | 206 (58) | 531 (70.4) | <0.001 |
| Coronary artery compromise n (%) | 30 (10.8) | 39 (6.9) | 0.05 | 51 (12.3) | 92 (11.3) | 0.584 |
| Pericardial effusion, n (%) | 128 (38.6) | 195 (28.6) | 0.001 | 290 (49.5) | 468 (39.8) | 0.001 |
| AR more than mild, n (%) | -- | -- | -- | 84 (53.5) | 216 (64.9) | 0.016 |
| Distal extent (iliofemoral), n (%) | -- | -- | -- | 80 (12.5) | 220 (16.9) | 0.015 |
| Electrocardiogram | ||||||
| Low voltage (ECG), n (%) | 19 (6.3) | 21 (3.3) | 0.03 | -- | -- | -- |
| Treatment (type A + B) | ||||||
| Surgery, n (%) | 173 (50.0) | 448 (61.2) | 0.001 | -- | -- | -- |
| Endovascular, n (%) | 15 (4.3) | 28 (3.8) | 0.69 | -- | -- | -- |
| Medical, n (%) | 256 (35.0) | 158 (45.7) | 0.001 | -- | -- | -- |
| Initial management with BB, n (%) | 179 (55.6) | 430 (62.1) | 0.05 | -- | -- | -- |
| Treatment type A | ||||||
| Surgery, n (%) | 161 (70.6) | 388 (86.8) | <0.001 | -- | -- | -- |
| Endovascular, n (%) | 2 (0.9) | 1 (0.2) | 0.27 | -- | -- | -- |
| Medical, n (%) | 65 (28.5) | 58 (13.0) | <0.001 | -- | -- | -- |
| Bentall, n (%) | -- | -- | -- | 129 (22.8) | 391 (32.4) | <0.001 |
| Complete arch replacement, n (%) | 13 (7.7) | 51 (11.7) | 0.15 | 119 (15.2) | 315 (20.6) | 0.002 |
| Elephant trunk, n (%) | -- | -- | -- | 24 (3.3) | 92 (6.5) | 0.002 |
| Aortic valve replacement, n (%) | -- | -- | -- | 200 (26.6) | 507 (34.5) | <0.001 |
| Cardiopulmonary bypass time, min (IQR) | -- | -- | -- | 182 (145–234) | 201 (157–248) | <0.001 |
| Treatment type B | ||||||
| Surgery, n (%) | 12 (10.2) | 60 (21.1) | 0.009 | -- | -- | -- |
| Endovascular, n (%) | 13 (11.0) | 27 (9.5) | 0.64 | -- | -- | -- |
| Medical, n (%) | 93 (78.8) | 198 (69.5) | 0.06 | -- | -- | -- |
| Post operative complications | ||||||
| Acute renal failure, n (%) | 53 (16.9) | 128 (18.7) | 0.49 | 164 (17.7) | 393 (21.2) | 0.029 |
| Hypotension, n (%) | 107 (34.1) | 164 (23.9) | 0.001 | -- | -- | -- |
| Cardiac tamponade, n (%) | 52 (16.5) | 71 (10.5) | 0.007 | -- | -- | -- |
| Limb ischemia, n (%) | 23 (7.4) | 80 (11.8) | 0.04 | -- | -- | -- |
| In-hospital overall mortality (type A + B) | 104 (30.1) | 154 (21.0) | 0.001 | -- | -- | -- |
| In-hospital mortality type A (overall) | 87 (38.2) | 119 (26.6) | 0.002 | -- | -- | -- |
| In-hospital mortality (surgical treatment), n (%) | 52 (31.9) | 85 (21.9) | 0.013 | 162 (16.7) | 256 (13.8) | 0.039 |
| In-hospital mortality (non-surgical treatment), n (%) | 35 (53.8) | 34 (58.6) | 0.59 | -- | -- | -- |
| In-hospital mortality type B (overall) | 17 (14.4) | 35 (12.3) | 0.56 | |||
| In-hospital mortality (surgical treatment), n (%) | 5 (20.0) | 19 (21.8) | 0.84 | -- | -- | -- |
| In-hospital mortality (non-surgical treatment), n (%) | 16 (8.1) | 12 (12.9) | 0.19 | -- | -- | -- |
| 5-years survival, n (%) | -- | -- | -- | 800 (82.6) | 1592 (85.9) | 0.136 |
Publisher’s Note: MDPI stays neutral with regard to jurisdictional claims in published maps and institutional affiliations. |
© 2022 by the authors. Licensee MDPI, Basel, Switzerland. This article is an open access article distributed under the terms and conditions of the Creative Commons Attribution (CC BY) license (https://creativecommons.org/licenses/by/4.0/).
Share and Cite
Bossone, E.; Carbone, A.; Eagle, K.A. Gender Differences in Acute Aortic Dissection. J. Pers. Med. 2022, 12, 1148. https://doi.org/10.3390/jpm12071148
Bossone E, Carbone A, Eagle KA. Gender Differences in Acute Aortic Dissection. Journal of Personalized Medicine. 2022; 12(7):1148. https://doi.org/10.3390/jpm12071148
Chicago/Turabian StyleBossone, Eduardo, Andreina Carbone, and Kim A. Eagle. 2022. "Gender Differences in Acute Aortic Dissection" Journal of Personalized Medicine 12, no. 7: 1148. https://doi.org/10.3390/jpm12071148
APA StyleBossone, E., Carbone, A., & Eagle, K. A. (2022). Gender Differences in Acute Aortic Dissection. Journal of Personalized Medicine, 12(7), 1148. https://doi.org/10.3390/jpm12071148

