Tailored Treatment Options for Cerebral Cavernous Malformations
Abstract
:1. Introduction
2. Epidemiology and Genetics of CCMs
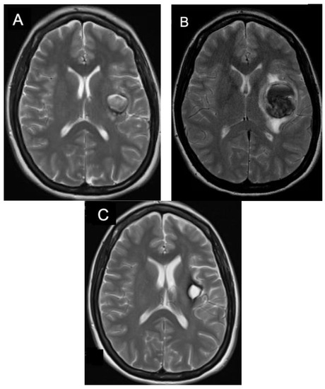
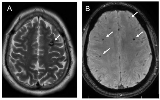
3. Diagnosis
4. Natural History and Rate of Hemorrhage
5. Management of Incidental Cavernomas
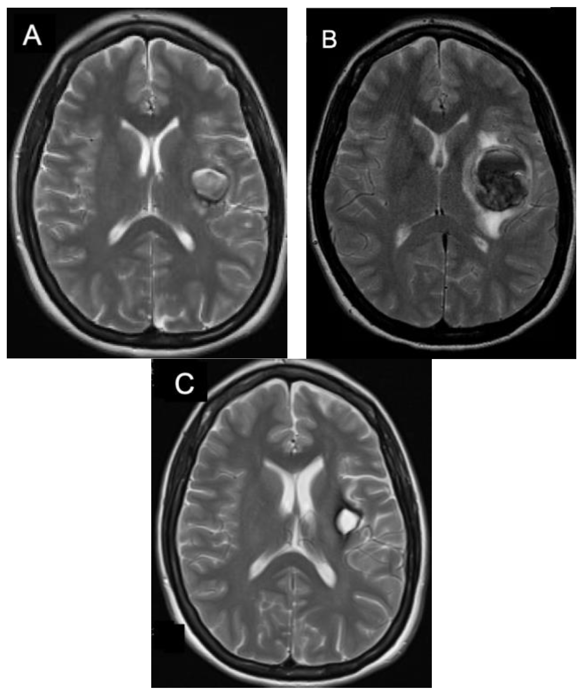
6. Management of Symptomatic Supratentorial Cavernomas
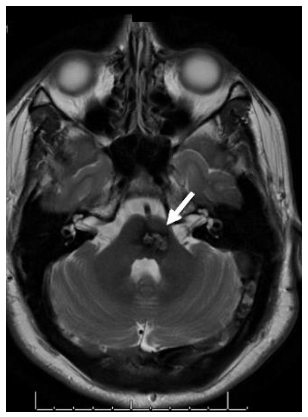
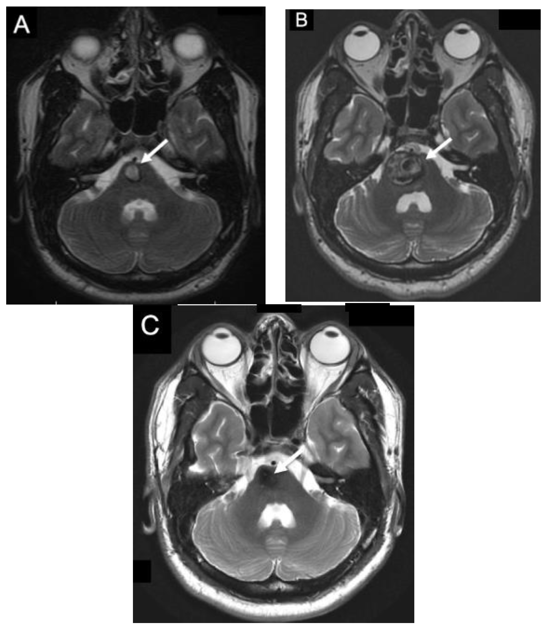
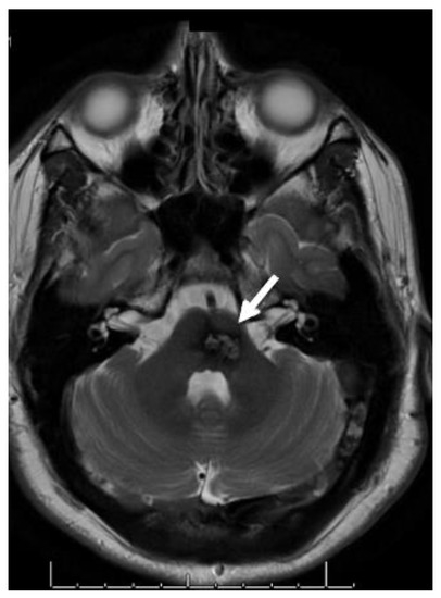
7. Management of Symptomatic Infratentorial Cavernomas
8. Stereotactic Radiosurgery in The Treatment of CCMs
9. Pharmacotherapy
10. Future Interventional Treatment Directions
11. Conclusions
Author Contributions
Funding
Institutional Review Board Statement
Informed Consent Statement
Data Availability Statement
Conflicts of Interest
References
- Batra, S.; Lin, D.; Recinos, P.F.; Zhang, J.; Rigamonti, D. Cavernous malformations: Natural history, diagnosis and treatment. Nat. Rev. Neurol. 2009, 5, 659–670. [Google Scholar] [CrossRef] [PubMed]
- Dalyai, R.T.; Ghobrial, G.; Awad, I.; Tjoumakaris, S.; Gonzalez, L.F.; Dumont, A.S.; Chalouhi, N.; Randazzo, C.; Rosenwasser, R.; Jabbour, P. Management of incidental cavernous malformations: A review. Neurosurg. Focus FOC 2011, 31, E5. [Google Scholar] [CrossRef]
- Karri, S.B.; Uppin, M.S.; Rajesh, A.; Ashish, K.; Bhattacharjee, S.; Rani, Y.J.; Sahu, B.P.; Saradhi, M.V.; Purohit, A.K.; Challa, S. Vascular malformations of central nervous system: A series from tertiary care hospital in South India. J. Neurosci. Rural Pract. 2016, 7, 262–268. [Google Scholar] [CrossRef] [Green Version]
- Mostofi, A.; Gurusinghe, N.T. Multiple cerebral cavernous malformations in association with a Dubowitz-like syndrome. J. Cerebrovasc. Endovasc. Neurosurg. 2020, 22, 15–19. [Google Scholar] [CrossRef]
- Bertalanffy, H.; Benes, L.; Miyazawa, T.; Alberti, O.; Siegel, A.M.; Sure, U. Cerebral cavernomas in the adult. Review of the literature and analysis of 72 surgically treated patients. Neurosurg. Rev. 2002, 25, 1–53; discussion 54–55. [Google Scholar] [CrossRef]
- Maraire, J.; Awad, I. Intracranial cavernous malformations: Lesion behavior and management strategies. Neurosurgery 1995, 37, 591–605. [Google Scholar] [CrossRef]
- Yadla, S.; Jabbour, P.M.; Shenkar, R.; Shi, C.; Campbell, P.G.; Awad, I.A. Cerebral cavernous malformations as a disease of vascular permeability: From bench to bedside with caution. Neurosurg. Focus 2010, 29, E4. [Google Scholar] [CrossRef]
- Porter, P.J.; Willinsky, R.A.; Harper, W.; Wallace, M.C. Cerebral cavernous malformations: Natural history and prognosis after clinical deterioration with or without hemorrhage. J. Neurosurg. 1997, 87, 190–197. [Google Scholar] [CrossRef]
- Kim, D.; Park, Y.; Choi, J.; Chung, S.; Lee, K. An analysis of the natural history of cavernous malformations. Surg. Neurol. 1997, 48, 9–17. [Google Scholar] [CrossRef]
- Zabramski, J.M.; Wascher, T.M.; Spetzler, R.F.; Johnson, B.; Golfinos, J.; Drayer, B.P.; Brown, B.; Rigamonti, D.; Brown, G. The natural history of familial cavernous malformations: Results of an ongoing study. J. Neurosurg. 1994, 80, 422–432. [Google Scholar] [CrossRef]
- McCormick, W.F.; Nofzinger, J.D. “Cryptic” Vascular Malformations of the Central Nervous System. J. Neurosurg. 1966, 24, 865–875. [Google Scholar] [CrossRef] [PubMed]
- D’Angelo, V.A.; De Bonis, C.; Amoroso, R.; Calì, A.; D’Agruma, L.; Guarnieri, V.; Muscarella, L.A.; Zelante, L.; Bisceglia, M.; Scarabino, T.; et al. Supratentorial cerebral cavernous malformations: Clinical, surgical, and genetic involvement. Neurosurg. Focus 2006, 21, e9. [Google Scholar] [CrossRef] [PubMed]
- Noto, S.; Fujii, M.; Akimura, T.; Imoto, H.; Nomura, S.; Kajiwara, K.; Kato, S.; Fujisawa, H.; Suzuki, M. Management of patients with cavernous angiomas presenting epileptic seizures. Surg. Neurol. 2005, 64, 495–498. [Google Scholar] [CrossRef] [PubMed]
- Moriarity, J.L.; Wetzel, M.; Clatterbuck, R.E.; Javedan, S.; Sheppard, J.M.; Hoenig-Rigamonti, K.; Crone, N.E.; Breiter, S.N.; Lee, R.R.; Rigamonti, D. The natural history of cavernous malformations: A prospective study of 68 patients. Neurosurgery 1999, 44, 1166–1171. [Google Scholar]
- Fritschi, J.A.; Reulen, H.J.; Spetzler, R.F.; Zabramski, J.M. Cavernous malformations of the brain stem. A review of 139 cases. Acta Neurochir. 1994, 130, 35–46. [Google Scholar] [CrossRef]
- Tarnaris, A.; Fernandes, R.P.; Kitchen, N.D. Does conservative management for brain stem cavernomas have better long-term outcome? Br. J. Neurosurg. 2008, 22, 748–757. [Google Scholar] [CrossRef]
- Barker, F.G.; Amin-Hanjani, S.; Butler, W.E.; Lyons, S.; Ojemann, R.G.; Chapman, P.H.; Ogilvy, C.S. Temporal clustering of hemorrhages from untreated cavernous malformations of the central nervous system. Neurosurgery 2001, 49, 15–25. [Google Scholar]
- Abdulrauf, S.I.; Kaynar, M.Y.; Awad, I.A. A comparison of the clinical profile of cavernous malformations with and without associated venous malformations. Neurosurgery 1999, 44, 41–47. [Google Scholar] [CrossRef]
- Wurm, G.; Schnizer, M.; Fellner, F.A. Cerebral cavernous malformations associated with venous anomalies: Surgical considerations. Neurosurgery 2005, 57, 42–58. [Google Scholar] [CrossRef]
- Kupersmith, M.J.; Kalish, H.; Epstein, F.; Yu, G.; Berenstein, A.; Woo, H.; Jafar, J.; Mandel, G.; De Lara, F. Natural history of brainstem cavernous malformations. Neurosurgery 2001, 48, 47–54. [Google Scholar]
- Gross, B.A.; Batjer, H.H.; Awad, I.A.; Bendok, B.R. Brainstem cavernous malformations. Neurosurgery 2009, 64, E805–E818. [Google Scholar] [CrossRef] [PubMed]
- Ferroli, P.; Casazza, M.; Marras, C.; Mendola, C.; Franzini, A.; Broggi, G. Cerebral cavernomas and seizures: A retrospective study on 163 patients who underwent pure lesionectomy. Neurol. Sci. 2006, 26, 390–394. [Google Scholar] [CrossRef] [PubMed]
- Amin-Hanjani, S.; Ogilvy, C.S.; Ojemann, R.G.; Crowell, R.M. Risks of surgical management for cavernous malformations of the nervous system. Neurosurgery 1998, 42, 1220–1228. [Google Scholar] [CrossRef] [PubMed]
- Cohen, D.; Zubay, G.; Goodman, R. Seizure outcome after lesionectomy for cavernous malformations. J. Neurosurg. 1995, 83, 237–242. [Google Scholar] [CrossRef]
- Abla, A.A.; Lekovic, G.P.; Turner, J.D.; de Oliveira, J.G.; Porter, R.; Spetzler, R.F. Advances in the treatment and outcome of brainstem cavernous malformation surgery: A single-center case series of 300 surgically treated patients. Neurosurgery 2011, 68, 403–414. [Google Scholar] [CrossRef]
- Mathiesen, T.; Edner, G.; Kihlström, L. Deep and brainstem cavernomas: A consecutive 8-year series. J. Neurosurg. 2003, 99, 31–37. [Google Scholar] [CrossRef]
- Wang, C.C.; Liu, A.; Zhang, J.T.; Sun, B.; Zhao, Y.L. Surgical management of brain-stem cavernous malformations: Report of 137 cases. Surg. Neurol. 2003, 59, 444–454. [Google Scholar] [CrossRef]
- Wu, H.; Yu, T.; Wang, S.; Zhao, J.; Zhao, Y. Surgical Treatment of Cerebellar Cavernous Malformations: A Single-Center Experience with 58 Cases. World Neurosurg. 2015, 84, 1103–1111. [Google Scholar] [CrossRef]
- Pham, M.; Gross, B.A.; Bendok, B.R.; Awad, I.A.; Batjer, H.H. Radiosurgery for angiographically occult vascular malformations. Neurosurg. Focus 2009, 26, E16. [Google Scholar] [CrossRef] [Green Version]
- Churchyard, A.; Khangure, M.; Grainger, K. Cerebral cavernous angioma: A potentially benign condition? Successful treatment in 16 cases. J. Neurol. Neurosurg. Psychiatry 1992, 55, 1040–1045. [Google Scholar] [CrossRef] [Green Version]
- Zabramski, J.M.; Kalani, M.Y.S.; Filippidis, A.S.; Spetzler, R.F. Propranolol Treatment of Cavernous Malformations with Symptomatic Hemorrhage. World Neurosurg. 2016, 88, 631–639. [Google Scholar] [CrossRef] [PubMed]
- Hoffman, J.E.; Ryan, M.; Wittenberg, B.; Armstrong, J.; Greenan, K.; Wilkinson, C. Successful treatment of hemorrhagic brainstem cavernous malformation with hematoma evacuation and postoperative propranolol. Childs Nerv. Syst. 2020, 36, 2109–2112. [Google Scholar] [CrossRef] [PubMed]
- Kang, E.; Friedman, N.; Mamoun, I.; Tamburro, J.; Golden, A. Beta Blockade as Treatment for Intracranial Infantile Hemangioma: Case Report and Literature Review. Pediatr. Neurol. 2016, 59, 13–17. [Google Scholar] [CrossRef] [PubMed]
- Borikova, A.L.; Dibble, C.F.; Sciaky, N.; Welch, C.M.; Abell, A.N.; Bencharit, S.; Johnson, G.L. Rho kinase inhibition rescues the endothelial cell cerebral cavernous malformation phenotype. J. Biol. Chem. 2010, 285, 11760–11764. [Google Scholar] [CrossRef] [PubMed] [Green Version]
- Mabray, M.C.; Caprihan, A.; Nelson, J.; McCulloch, C.E.; Zafar, A.; Kim, H.; Hart, B.L.; Morrison, L. Effect of Simvastatin on Permeability in Cerebral Cavernous Malformation Type 1 Patients: Results from a Pilot Small Randomized Controlled Clinical Trial. Transl. Stroke Res. 2020, 11, 319–321. [Google Scholar] [CrossRef]
- Shenkar, R.; Shi, C.; Austin, C.; Moore, T.; Lightle, R.; Cao, Y.; Zhang, L.; Wu, M.; Zeineddine, H.A.; Girard, R.; et al. RhoA Kinase Inhibition with Fasudil Versus Simvastatin in Murine Models of Cerebral Cavernous Malformations. Stroke 2017, 48, 187–194. [Google Scholar] [CrossRef] [Green Version]
- McDonald, D.A.; Shi, C.; Shenkar, R.; Stockton, R.A.; Liu, F.; Ginsberg, M.H.; Marchuk, D.A.; Awad, I.A. Fasudil decreases lesion burden in a murine model of cerebral cavernous malformation disease. Stroke 2012, 43, 571–574. [Google Scholar] [CrossRef] [Green Version]
- Schneble, H.M.; Soumare, A.; Hervé, D.; Bresson, D.; Guichard, J.P.; Riant, F.; Tournier-Lasserve, E.; Tzourio, C.; Chabriat, H.; Stapf, C. Antithrombotic therapy and bleeding risk in a prospective cohort study of patients with cerebral cavernous malformations. Stroke 2012, 43, 3196–3199. [Google Scholar] [CrossRef] [Green Version]
- McCracken, D.J.; Willie, J.T.; Fernald, B.A.; Saindane, A.M.; Drane, D.L.; Barrow, D.L.; Gross, R.E. Magnetic Resonance Thermometry-Guided Stereotactic Laser Ablation of Cavernous Malformations in Drug-Resistant Epilepsy: Imaging and Clinical Results. Oper. Neurosurg. 2016, 12, 39–48. [Google Scholar] [CrossRef] [Green Version]





Publisher’s Note: MDPI stays neutral with regard to jurisdictional claims in published maps and institutional affiliations. |
© 2022 by the authors. Licensee MDPI, Basel, Switzerland. This article is an open access article distributed under the terms and conditions of the Creative Commons Attribution (CC BY) license (https://creativecommons.org/licenses/by/4.0/).
Share and Cite
Hoffman, J.E.; Wittenberg, B.; Morel, B.; Folzenlogen, Z.; Case, D.; Roark, C.; Youssef, S.; Seinfeld, J. Tailored Treatment Options for Cerebral Cavernous Malformations. J. Pers. Med. 2022, 12, 831. https://doi.org/10.3390/jpm12050831
Hoffman JE, Wittenberg B, Morel B, Folzenlogen Z, Case D, Roark C, Youssef S, Seinfeld J. Tailored Treatment Options for Cerebral Cavernous Malformations. Journal of Personalized Medicine. 2022; 12(5):831. https://doi.org/10.3390/jpm12050831
Chicago/Turabian StyleHoffman, Jessa E., Blake Wittenberg, Brent Morel, Zach Folzenlogen, David Case, Christopher Roark, Samy Youssef, and Joshua Seinfeld. 2022. "Tailored Treatment Options for Cerebral Cavernous Malformations" Journal of Personalized Medicine 12, no. 5: 831. https://doi.org/10.3390/jpm12050831
APA StyleHoffman, J. E., Wittenberg, B., Morel, B., Folzenlogen, Z., Case, D., Roark, C., Youssef, S., & Seinfeld, J. (2022). Tailored Treatment Options for Cerebral Cavernous Malformations. Journal of Personalized Medicine, 12(5), 831. https://doi.org/10.3390/jpm12050831

