Automatic Microaneurysms Detection for Early Diagnosis of Diabetic Retinopathy Using Improved Discrete Particle Swarm Optimization
Abstract
1. Introduction
2. Materials and Methods
2.1. DIARETDB0 and Images
2.2. Experimental Framework
- Processes the medical image in the pixel-by-pixel form.
- Overcomes the difficulties in the greyness ambiguity, geometrical fuzziness, and complex features of the images.
- Deals with the uncertain information in the images.
- Provides fast computation using fuzzy operations. The present discrete PSO clustering variants model is applied to the publicly available diabetic retinopathy datasets in DIARETDB0.
2.3. Neuro-Fuzzy Pre-Processing
2.3.1. Fuzzy Contrast Enhancement
2.3.2. Image Segmentation
2.3.3. PBPSO Algorithm
- Generate the k-random numbers within the range (1, N). Group these data points into different k cluster blocks.
- Group the remaining N−K data points into different k clusters.
- Randomly append the cluster separator between the clusters to generate the particle sequence.
2.4. Fitness Measures
2.5. Feature Extraction
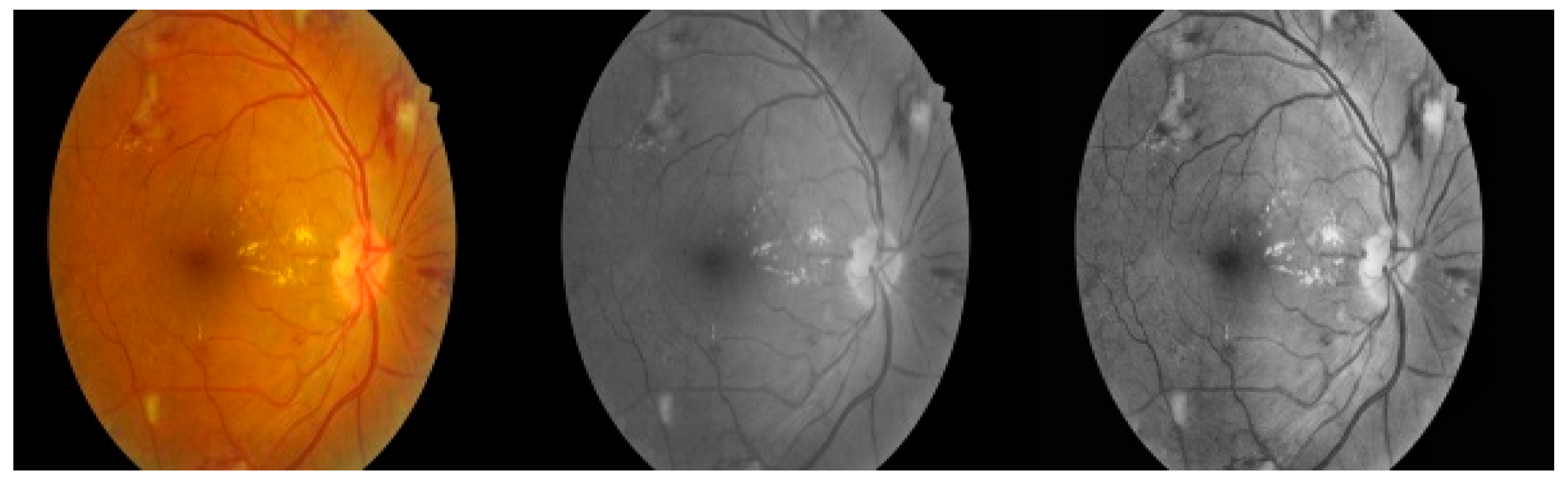
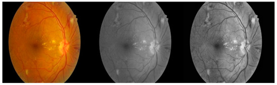
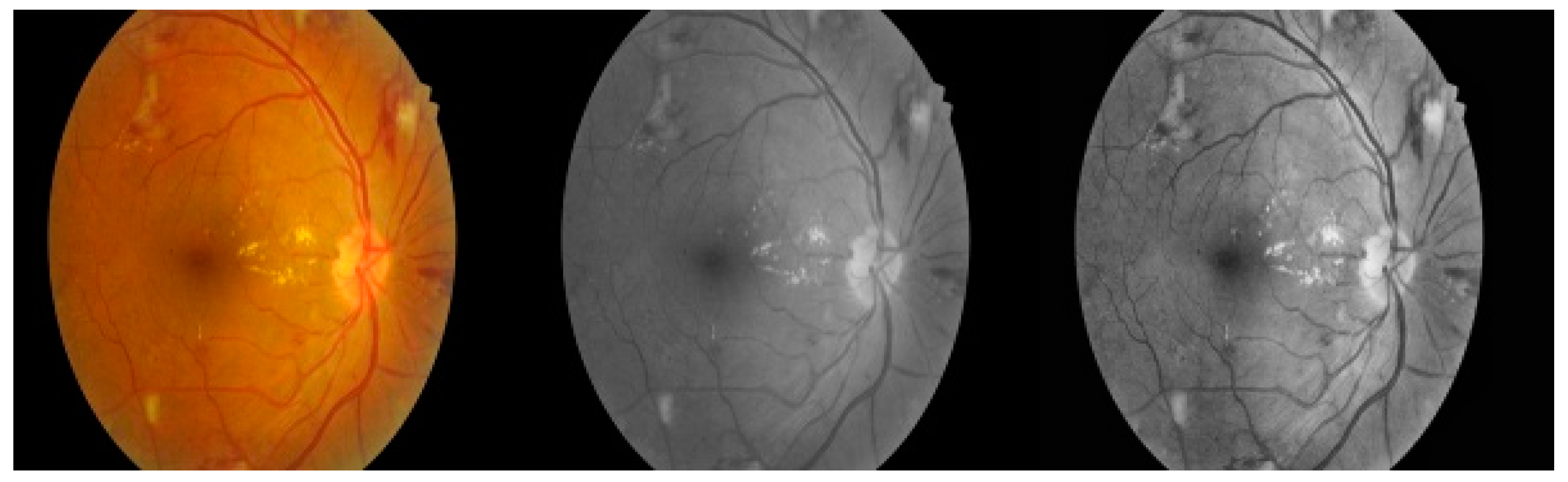
3. Results
4. Discussion
5. Conclusions
Author Contributions
Funding
Institutional Review Board Statement
Informed Consent Statement
Data Availability Statement
Conflicts of Interest
References
- Scanlon, P.H.; Sallam, A.; van Wijngaarden, P. A Practical Manual of Diabetic Retinopathy Management; John Wiley & Sons: Hoboken, NJ, USA, 2017. [Google Scholar]
- Ballantyne, A.J. Retinal changes associated with diabetes and with hypertension: A comparison and contrast. Arch. Ophthalmol. 1945, 33, 97–105. [Google Scholar] [CrossRef]
- Battineni, G.; Sagaro, G.G.; Nalini, C.; Amenta, F.; Tayebati, S.K. Comparative Machine-Learning Approach: A Follow-Up Study on Type 2 Diabetes Predictions by Cross-Validation Methods. Machines 2019, 7, 74. [Google Scholar] [CrossRef]
- Brown, M.J.; Asbury, A.K. Diabetic neuropathy. Ann. Neurol. Off. J. Am. Neurol. Assoc. Child Neurol. Soc. 1984, 15, 2–12. [Google Scholar] [CrossRef] [PubMed]
- Rubler, S.; Dlugash, J.; Yuceoglu, Y.Z.; Kumral, T.; Branwood, A.W.; Grishman, A. New type of cardiomyopathy associated with diabetic glomerulosclerosis. Am. J. Cardiol. 1972, 30, 595–602. [Google Scholar] [CrossRef]
- Kannel, W.B.; Hjortland, M.; Castelli, W.P. Role of diabetes in congestive heart failure: The Framingham study. Am. J. Cardiol. 1974, 34, 29–34. [Google Scholar] [CrossRef]
- Thrainsdottir, I.S.; Aspelund, T.; Thorgeirsson, G.; Gudnason, V.; Hardarson, T.; Malmberg, K.; Sigurdsson, G.; Rydén, L. The association between glucose abnormalities and heart failure in the population-based reykjavik study. Diabetes Care 2005, 28, 612–616. [Google Scholar] [CrossRef]
- Lind, M.; Bounias, I.; Olsson, M.; Gudbj¨ornsdottir, S.; Svensson, A.-M.; Rosengren, A. Glycaemic control and in cidence of heart failure in 20 985 patients with type 1 diabetes: An observational study. Lancet 2011, 378, 140–146. [Google Scholar] [CrossRef]
- Mogensen, C.E. Microalbuminuria, Blood Pressure and Diabetic Renal Disease: Origin and Development of Ideas. In The Kidney and Hypertension in Diabetes Mellitus; Springer: Berlin/Heidelberg, Germany, 2000; pp. 655–706. [Google Scholar]
- Larsen, H.W. Diabetic retinopathy (dissertation). Acta Ophthal. Suppl. 1960, 60, i960. [Google Scholar]
- Lukmanto, R.B.; Suharjito; Nugroho, A.; Akbar, H. Early Detection of Diabetes Mellitus using Feature Selection and Fuzzy Support Vector Machine. Procedia Comput. Sci. 2019, 157, 46–54. [Google Scholar] [CrossRef]
- Bibiloni, P.; González-Hidalgo, M.; Massanet, S. A realtime fuzzy morphological algorithm for retinal vessel segmentation. J. Real-Time Image Process. 2019, 16, 2337–2350. [Google Scholar] [CrossRef]
- AlMotiri, J.H.; Elleithy, K.A.; Elleithy, A.K. A Multi-Anatomical Retinal Structure Segmentation System for Automatic Eye Screening Using Morphological Adaptive Fuzzy Thresholding. IEEE J. Transl. Eng. Health Med. 2018, 6, 1–23. [Google Scholar] [CrossRef] [PubMed]
- Afrin, R.; Shill, P.C. Automatic lesions detection and classification of diabetic retinopathy using fuzzy logic. In Proceedings of the 2019 International Conference on Robotics, Electrical and Signal Processing Techniques (ICREST), Dhaka, Bangladesh, 10–12 January 2019; IEEE: Piscataway, NJ, USA, 2019; pp. 527–532. [Google Scholar]
- Jayanthi, J.; Jaya sankar, T.; Krishnaraj, N.; Prakash, N.B.; Sagai Francis, B.A.; Kumar, V. An intelligent particle swarm optimization with convolutional neural network for diabetic retinopathy classification model. J. Med. Imaging Health Inform. 2021, 11, 803–809. [Google Scholar] [CrossRef]
- Ranamuka, N.G.; Meegama, R.G.N. Detection of hard exudates from diabetic retinopathy images using fuzzy logic. IET Image Process. 2013, 7, 121–130. [Google Scholar] [CrossRef]
- Agarwal, A. Fundus Fluorescein and Indocyanine Green Angiography: A Textbook and Atlas; SLACK Incorporated: Chennai, India, 2007. [Google Scholar]
- Wilkinson, C.P.; Ferris, F.L., 3rd; Klein, R.E.; Lee, P.P.; Agardh, C.D.; Davis, M.; Dilld, D.; Kampik, A.; Pararajasegaram, R.; Verdaguer, J.T. Proposed International clinical Diabetic retinopathy and Diabetic Macular Edema Disease Severity Scales. Am. Acad. Ophthalmol. 2003, 110, 1677–1682. [Google Scholar] [CrossRef]
- Messidor. Messidor ADICS. 2004. Available online: http://www.adcis.net/en/third-party/messidor/ (accessed on 7 July 2020).
- Kaggle Dataset. Diabetic Retinopathy Detection Resized. Available online: https://www.kaggle.com/gzuidhof/diabetic-retinopathy-detection-resized (accessed on 7 July 2020).
- American Society of Retina Specialists. Preretinal Hemorrhage. Available online: https://imagebank.asrs.org/file/804/preretinal-hemorrhage (accessed on 27 July 2020).
- Wikipedia. Retinal Detachment. Available online: https://en.wikipedia.org/wiki/Retinal//_detachment (accessed on 27 July 2020).
- Li, B.N.; Chui, C.K.; Chang, S.; Ong, S. Integrating spatial fuzzy clustering with level set methods for automated medical image segmentation. Comput. Biol. Med. 2011, 41, 1–10. [Google Scholar] [CrossRef]
- Duan, J.; Qiu, G. Novel histogram processing for colour image enhancement. In Proceedings of the Third International Conference on Image and Graphics (ICIG’04), Hong Kong, China, 18–20 December 2004; IEEE: Piscataway, NJ, USA, 2004; pp. 55–58. [Google Scholar]
- Jenifer, S.; Parasuraman, S.; Kadirvelu, A. Contrast enhancement and brightness preserving of digital mammograms using fuzzy clipped contrast-limited adaptive histogram equalization algorithm. Appl. Soft Comput. 2016, 42, 167–177. [Google Scholar] [CrossRef]
- Nasr, Y. Detection of diabetic retinopathy using particle swarm optimization and Gaussian interval type-2 fuzzy membership functions. Mater. Today 2020, 22, 1–11. [Google Scholar]
- Qiao, L.; Ying, Z.; Hui, A. Diabetic Retinopathy detection using prognosis of microaneurysm and early diagnosis system for non-proliferative diabetic retinopathy based on deep learning. IEEE Access 2020, 8, 104292–104302. [Google Scholar] [CrossRef]
- Xia, H.; Lan, Y.; Song, S.; Li, H. A multi-scale segmentation-to-classification network for tiny microaneurysm detection in fundus images. Knowl.-Based Syst. 2021, 226, 107140. [Google Scholar] [CrossRef]
- Kahn, H.A.; Bradley, R.F. Prevalence of diabetic retinopathy. Age, sex, and duration of diabetes. Br. J. Ophthalmol. 1975, 59, 345–349. [Google Scholar] [CrossRef] [PubMed][Green Version]
- Hirschberg, J. Uber diabetische netzhautentzündung. DMW-Med. Wochenschr. 1890, 16, 1181–1185. [Google Scholar] [CrossRef][Green Version]
- Blankenship, G.W.; Skyler, J.S. Diabetic Retinopathy: A General Survey. Diabetes Care 1978, 1, 127–137. [Google Scholar] [CrossRef] [PubMed]
- Keen, H. The prevalence of blindness in diabetics. J. R. Coll. Physicians Lond. 1972, 7, 53–60. [Google Scholar]
- Eftekhari, N.; Pourreza, H.-R.; Masoudi, M.; Ghiasi-Shirazi, K.; Saeedi, E. Microaneurysm detection in fundus images using a two-step convolutional neural network. Biomed. Eng. Online 2019, 18, 1–16. [Google Scholar] [CrossRef] [PubMed]
- Imran, M.; Alsuhaibani, S.A. A Neuro-Fuzzy Inference Model for Diabetic Retinopathy Classification. In Intelligent Data Analysis for Biomedical Applications; Elsevier: Amsterdam, The Netherlands, 2019; pp. 147–172. [Google Scholar]
- Ibrahim, S.; Chowriappa, P.; Dua, S.; Acharya, U.R.; Noronha, K.; Bhandary, S.; Mugasa, H. Classification of diabetes maculopathy images using data-adaptive neuro-fuzzy inference classifier. Med Biol. Eng. Comput. 2015, 53, 1345–1360. [Google Scholar] [CrossRef] [PubMed]
- Nergiz, M.; Akın, M.; Yıldız, A.; Takeş, O. Auto-mated fuzzy optic disc detection algorithm using branching of vessels and color properties in fundus images. Biocybern. Biomed. Eng. 2018, 38, 850–867. [Google Scholar] [CrossRef]
- Rahim, S.S.; Palade, V.; Shuttleworth, J.; Jayne, C. Automatic screening and classification of diabetic retinopathy and maculopathy using fuzzy image processing. Brain Inform. 2016, 3, 249–267. [Google Scholar] [CrossRef] [PubMed]
- Jaya, T.; Dheeba, J.; Singh, N.A. Detection of Hard Exudates in Colour Fundus Images Using Fuzzy Support Vector Machine-Based Expert System. J. Digit. Imaging 2015, 28, 761–768. [Google Scholar] [CrossRef] [PubMed][Green Version]
- Qteat, H.; Awad, M. Using Hybrid model of particle swarm optimisation and multi layer perceptron neural networks for classification of diabetes. Int. J. Intell. Eng. Syst. 2021, 14, 11–22. [Google Scholar]
- Raja, J.B.; Pandian, S.C. PSO-FCM based data minig model to predict diabetes disease. Comput. Methods Programs Biomed. 2020, 196, 1–8. [Google Scholar] [CrossRef] [PubMed]





| Severity Level | Description |
|---|---|
| No NPDR | No abnormalities |
| Mild NPDR | Microaneurysms only |
| Moderate NPDR | More microaneurysms and exudates |
| Severe NPDR | Intraretinal microvascular anomalies, intraretinal hemorrhage, abnormal blood vessel growth |
| PDR | Neovascularization, preretinal hemorrhage |
| Gestational DR | Pregnancy itself is a risk factor for the progression of DR |
| Metric | Average |
|---|---|
| Mean | −3.54009 × 10−4 |
| Variance | 12.3746 |
| Lambda | 0.12403 |
| Correlation | −3.54009161 |
| Kurtosis | 0.7734 |
| Skewness | 1.5332 |
| ID | PSO | Discrete PSO | ||||||
|---|---|---|---|---|---|---|---|---|
| Entropy | Kurtosis | Skew | Runtime | Entropy | Kurtosis | Skew | Runtime | |
| Image01 | 3.57 | −0.75 | −1.11 | 16.45 | 2.58 | −0.83 | −1.25 | 16.34 |
| Image02 | 4.33 | −1.8 | 0.39 | 19.51 | 4.38 | −1.9 | 0.28 | 18.89 |
| Image03 | 4.10 | −1.94 | −9.25 | 19.47 | 4.23 | −1.98 | −9.53 | 18.98 |
| Image04 | 4.91 | −0.87 | 1.06 | 20.64 | 4.99 | −0.97 | 0.99 | 19.29 |
| Image05 | 4.20 | −1.82 | 0.41 | 18.28 | 4.45 | −1.93 | 0.33 | 17.85 |
| Image06 | 1.24 | −1.46 | −0.73 | 17.88 | 1.34 | −1.23 | 0.87 | 16.67 |
| Image07 | 4.10 | −1.85 | −0.38 | 18.19 | 4.28 | −1.94 | −0.45 | 17.76 |
| Image08 | 3.57 | −1.89 | −0.34 | 18.30 | 3.87 | −1.94 | −0.41 | 17.89 |
| Image09 | 4.07 | −1.78 | 0.47 | 18.85 | 4.89 | −1.11 | 0.59 | 17.85 |
| Image10 | 4.78 | −0.45 | 1.25 | 18.14 | 4.97 | −0.51 | 1.33 | 17.56 |
| Image11 | 4.23 | −1.79 | −0.46 | 18.25 | 4.51 | −1.99 | −0.89 | 17.56 |
| Image12 | 3.25 | 0.94 | −1.72 | 18.41 | 3.48 | 0.89 | −1.87 | 17.85 |
| Image13 | 4.52 | 6.13 | 5.28 | 18.08 | 4.89 | 2.23 | 2.87 | 17.67 |
| Image14 | 4.01 | −1.99 | −0.07 | 18.25 | 3.34 | 0.97 | 0.98 | 16.49 |
| Image15 | 4.23 | −1.94 | 0.24 | 18.24 | 3.46 | 0.80 | 0.15 | 17.51 |
| Image16 | 4.23 | 3.07 | 2.25 | 18.01 | 3.45 | 2.87 | 1.73 | 17.65 |
| Image17 | 4.18 | −0.89 | 1.05 | 18.53 | 4.08 | 0.96 | 1.03 | 17.45 |
| Image18 | 3.15 | 0.73 | −1.65 | 18.03 | 3.12 | 0.71 | −1.78 | 17.88 |
| Image19 | 4.16 | −1.99 | −0.10 | 18.08 | 4.08 | 0.98 | 0.89 | 17.68 |
| Image20 | 4.28 | −1.99 | 0.01 | 18.33 | 4.15 | 0.87 | 0.01 | 17.83 |
Publisher’s Note: MDPI stays neutral with regard to jurisdictional claims in published maps and institutional affiliations. |
© 2022 by the authors. Licensee MDPI, Basel, Switzerland. This article is an open access article distributed under the terms and conditions of the Creative Commons Attribution (CC BY) license (https://creativecommons.org/licenses/by/4.0/).
Share and Cite
Bhimavarapu, U.; Battineni, G. Automatic Microaneurysms Detection for Early Diagnosis of Diabetic Retinopathy Using Improved Discrete Particle Swarm Optimization. J. Pers. Med. 2022, 12, 317. https://doi.org/10.3390/jpm12020317
Bhimavarapu U, Battineni G. Automatic Microaneurysms Detection for Early Diagnosis of Diabetic Retinopathy Using Improved Discrete Particle Swarm Optimization. Journal of Personalized Medicine. 2022; 12(2):317. https://doi.org/10.3390/jpm12020317
Chicago/Turabian StyleBhimavarapu, Usharani, and Gopi Battineni. 2022. "Automatic Microaneurysms Detection for Early Diagnosis of Diabetic Retinopathy Using Improved Discrete Particle Swarm Optimization" Journal of Personalized Medicine 12, no. 2: 317. https://doi.org/10.3390/jpm12020317
APA StyleBhimavarapu, U., & Battineni, G. (2022). Automatic Microaneurysms Detection for Early Diagnosis of Diabetic Retinopathy Using Improved Discrete Particle Swarm Optimization. Journal of Personalized Medicine, 12(2), 317. https://doi.org/10.3390/jpm12020317

