Does 3D Printing-Assisted Acetabular or Pelvic Fracture Surgery Shorten Hospitalization Durations among Older Adults?
Abstract
:1. Introduction
2. Materials and Methods
2.1. Study Design and Participant Selection
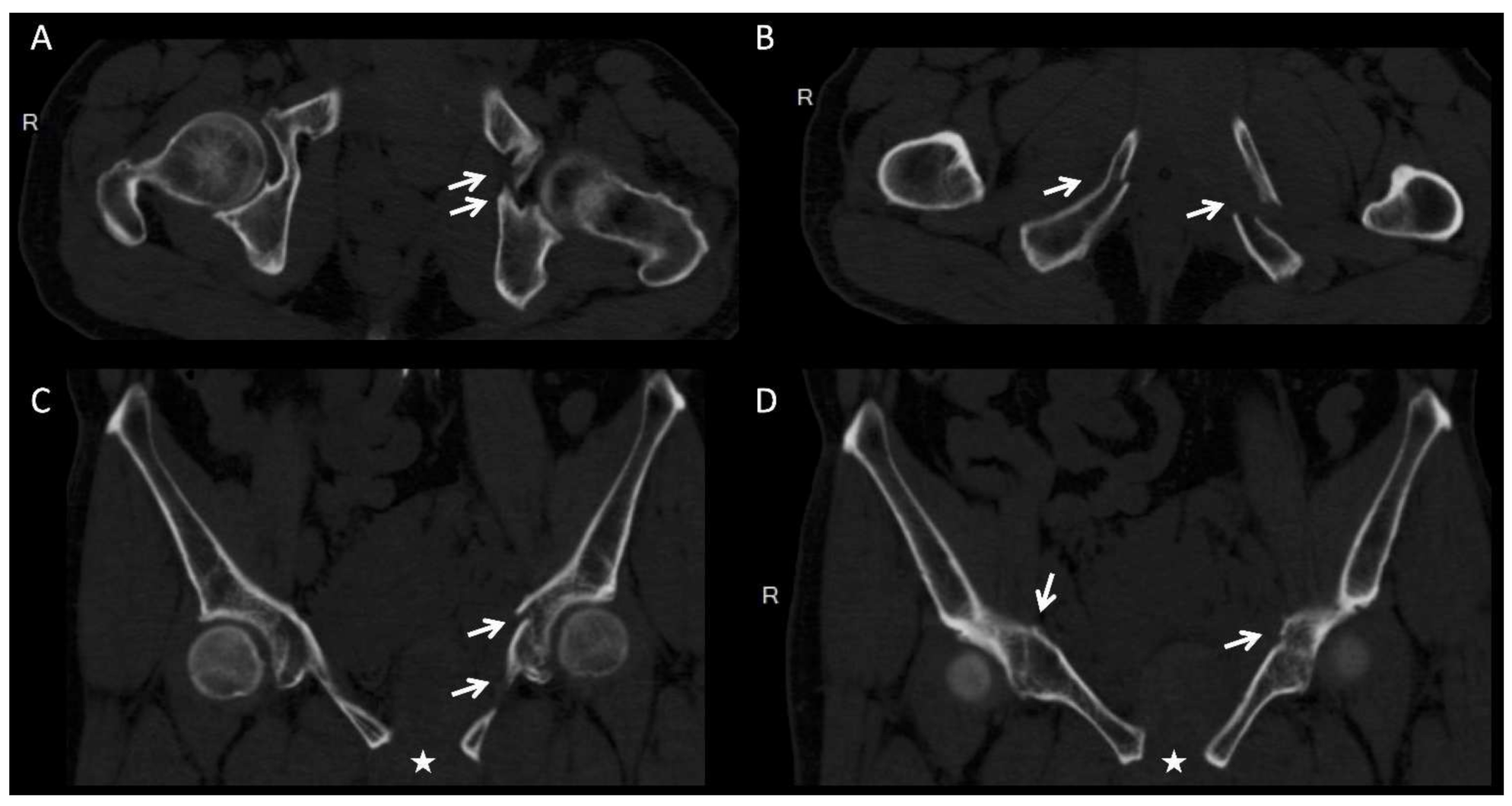
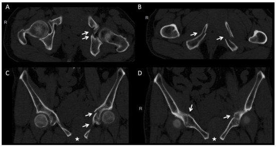
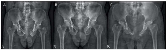
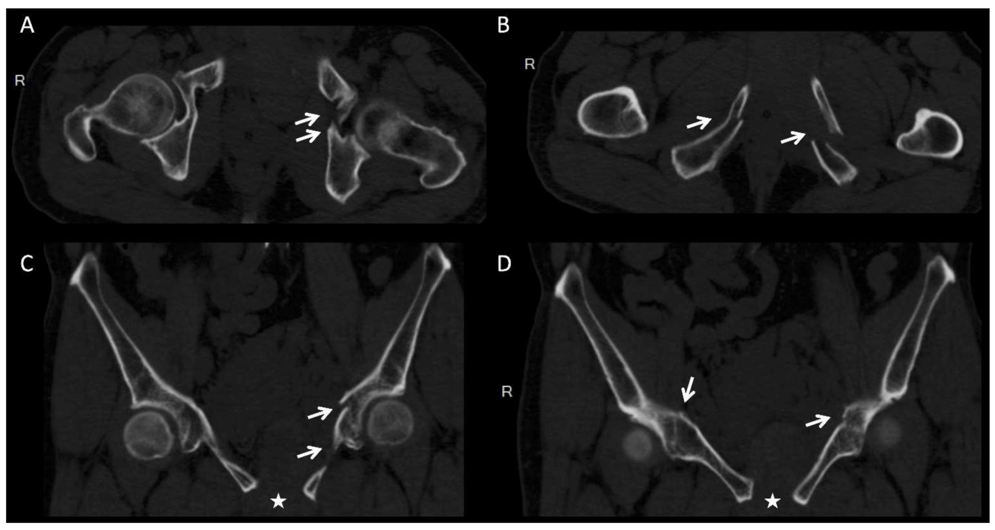
2.2. Surgical Treatment
2.3. Covariates
2.4. Statistical Analysis
3. Results
3.1. Characteristics of the Study Participants
3.2. Measurable Factors and the LHS
4. Discussion
5. Conclusions
Author Contributions
Funding
Institutional Review Board Statement
Informed Consent Statement
Data Availability Statement
Conflicts of Interest
References
- Grotz, M.R.; Allami, M.K.; Harwood, P.; Pape, H.C.; Krettek, C.; Giannoudis, P.V. Open pelvic fractures: Epidemiology, current concepts of management and outcome. Injury 2005, 36, 1–13. [Google Scholar] [CrossRef] [PubMed]
- Giannoudis, P.V.; Grotz, M.R.; Papakostidis, C.; Dinopoulos, H. Operative treatment of displaced fractures of the acetabulum. A meta-analysis. J. Bone Jt. Surg. Br. 2005, 87, 2–9. [Google Scholar] [CrossRef] [Green Version]
- Dechert, T.A.; Duane, T.M.; Frykberg, B.P.; Aboutanos, M.B.; Malhotra, A.K.; Ivatury, R.R. Elderly patients with pelvic fracture: Interventions and outcomes. Am. Surg. 2009, 75, 291–295. [Google Scholar] [CrossRef] [PubMed]
- Tornetta, P., 3rd. Displaced acetabular fractures: Indications for operative and nonoperative management. J. Am. Acad. Orthop. Surg. 2001, 9, 18–28. [Google Scholar] [CrossRef] [PubMed]
- Matta, J.M. Fractures of the acetabulum: Accuracy of reduction and clinical results in patients managed operatively within three weeks after the injury. J. Bone Jt. Surg. Am. 1996, 78, 1632–1645. [Google Scholar] [CrossRef]
- Papakostidis, C.; Giannoudis, P.V. Pelvic ring injuries with haemodynamic instability: Efficacy of pelvic packing, a systematic review. Injury 2009, 40 (Suppl. 4), S53–S61. [Google Scholar] [CrossRef]
- Yoshihara, H.; Yoneoka, D. Demographic epidemiology of unstable pelvic fracture in the United States from 2000 to 2009: Trends and in-hospital mortality. J. Trauma Acute Care Surg. 2014, 76, 380–385. [Google Scholar] [CrossRef]
- Spahn, D.R.; Bouillon, B.; Cerny, V.; Coats, T.J.; Duranteau, J.; Fernández-Mondéjar, E.; Filipescu, D.; Hunt, B.J.; Komadina, R.; Nardi, G.; et al. Management of bleeding and coagulopathy following major trauma: An updated European guideline. Crit. Care 2013, 17, R76. [Google Scholar] [CrossRef] [Green Version]
- Padilla Colón, C.J.; Molina-Vicenty, I.L.; Frontera-Rodríguez, M.; García-Ferré, A.; Rivera, B.P.; Cintrón-Vélez, G.; Frontera-Rodríguez, S. Muscle and Bone Mass Loss in the Elderly Population: Advances in diagnosis and treatment. J. Biomed. 2018, 3, 40–49. [Google Scholar] [CrossRef] [Green Version]
- Letournel, E. Acetabulum fractures: Classification and management. Clin. Orthop. Relat. Res. 1980, 81–106. [Google Scholar] [CrossRef]
- Ventola, C.L. Medical Applications for 3D Printing: Current and Projected Uses. Pharm. Ther. 2014, 39, 704–711. [Google Scholar]
- Erickson, D.M.; Chance, D.; Schmitt, S.; Mathis, J. An opinion survey of reported benefits from the use of stereolithographic models. J. Oral Maxillofac. Surg. 1999, 57, 1040–1043. [Google Scholar] [CrossRef] [Green Version]
- Lal, H.; Patralekh, M.K. 3D printing and its applications in orthopaedic trauma: A technological marvel. J. Clin. Orthop. Trauma 2018, 9, 260–268. [Google Scholar] [CrossRef] [PubMed]
- Hung, C.C.; Li, Y.T.; Chou, Y.C.; Chen, J.E.; Wu, C.C.; Shen, H.C.; Yeh, T.T. Conventional plate fixation method versus pre-operative virtual simulation and three-dimensional printing-assisted contoured plate fixation method in the treatment of anterior pelvic ring fracture. Int. Orthop. 2019, 43, 425–431. [Google Scholar] [CrossRef] [PubMed]
- Hsu, C.L.; Chou, Y.C.; Li, Y.T.; Chen, J.E.; Hung, C.C.; Wu, C.C.; Shen, H.C.; Yeh, T.T. Pre-operative virtual simulation and three-dimensional printing techniques for the surgical management of acetabular fractures. Int. Orthop. 2019, 43, 1969–1976. [Google Scholar] [CrossRef]
- Xiong, L.; Li, X.; Li, H.; Chen, Z.; Xiao, T. The efficacy of 3D printing-assisted surgery for traumatic fracture: A meta-analysis. Postgrad. Med. J. 2019, 95, 414–419. [Google Scholar] [CrossRef]
- Morgan, S.J.; Jeray, K.J.; Phieffer, L.S.; Grigsby, J.H.; Bosse, M.J.; Kellam, J.F. Attitudes of orthopaedic trauma surgeons regarding current controversies in the management of pelvic and acetabular fractures. J. Orthop. Trauma 2001, 15, 526–532. [Google Scholar] [CrossRef]
- Suzuki, T.; Smith, W.R.; Mauffrey, C.; Morgan, S.J. Safe surgical technique for associated acetabular fractures. Patient Saf. Surg. 2013, 7, 7. [Google Scholar] [CrossRef] [Green Version]
- Capone, A.; Peri, M.; Mastio, M. Surgical treatment of acetabular fractures in the elderly: A systematic review of the results. EFORT Open Rev. 2017, 2, 97–103. [Google Scholar] [CrossRef]
- Firoozabadi, R.; Cross, W.W.; Krieg, J.C.; Routt, M.L.C. Acetabular Fractures in the Senior Population- Epidemiology, Mortality and Treatments. Arch. Bone Jt. Surg. 2017, 5, 96–102. [Google Scholar]
- Meesters, A.M.L.; Trouwborst, N.M.; de Vries, J.P.M.; Kraeima, J.; Witjes, M.J.H.; Doornberg, J.N.; Reininga, I.H.F.; FFA, I.J.; Ten Duis, K. Does 3D-Assisted Acetabular Fracture Surgery Improve Surgical Outcome and Physical Functioning?—A Systematic Review. J. Pers. Med. 2021, 11, 966. [Google Scholar] [CrossRef] [PubMed]
- Cao, J.; Zhu, H.; Gao, C. A Systematic Review and Meta-Analysis of 3D Printing Technology for the Treatment of Acetabular Fractures. BioMed. Res. Int. 2021, 2021, 5018791. [Google Scholar] [CrossRef] [PubMed]
- Zou, R.; Wu, M.; Guan, J.; Xiao, Y.; Chen, X. Therapeutic Effect of Acetabular Fractures Using the Pararectus Approach Combined with 3D Printing Technique. Orthop. Surg. 2020, 12, 1854–1858. [Google Scholar] [CrossRef] [PubMed]
- Hoogerduijn, J.G.; Schuurmans, M.J.; Duijnstee, M.S.; De Rooij, S.E.; Grypdonck, M.F. A systematic review of predictors and screening instruments to identify older hospitalized patients at risk for functional decline. J. Clin. Nurs. 2007, 16, 46–57. [Google Scholar] [CrossRef] [PubMed]
- O’Keeffe, S.; Lavan, J. The Prognostic Significance of Delirium in Older Hospital Patients. J. Am. Geriatr. Soc. 1997, 45, 174–178. [Google Scholar] [CrossRef] [PubMed]
- Bail, K.; Goss, J.; Draper, B.; Berry, H.; Karmel, R.; Gibson, D. The cost of hospital-acquired complications for older people with and without dementia; a retrospective cohort study. BMC Health Serv. Res. 2015, 15, 91. [Google Scholar] [CrossRef] [Green Version]
- Palmisano-Mills, C. Common Problems in Hospitalized Older Adults: Four Programs to Improve Care. J. Gerontol. Nurs. 2007, 33, 48–54. [Google Scholar] [CrossRef] [PubMed]
- Sgonc, R.; Gruber, J. Age-related aspects of cutaneous wound healing: A mini-review. Gerontology 2013, 59, 159–164. [Google Scholar] [CrossRef] [PubMed]
- Gould, L.; Abadir, P.; Brem, H.; Carter, M.; Conner-Kerr, T.; Davidson, J.; DiPietro, L.; Falanga, V.; Fife, C.; Gardner, S.; et al. Chronic wound repair and healing in older adults: Current status and future research. J. Am. Geriatr. Soc. 2015, 63, 427–438. [Google Scholar] [CrossRef] [Green Version]
- Marik, P.E.; Bellomo, R. Stress hyperglycemia: An essential survival response! Crit. Care 2013, 17, 305. [Google Scholar] [CrossRef] [Green Version]
- Chakroun-Walha, O.; Rejeb, I.; Boujelben, M.; Chaari, A.; Ksibi, H.; Kammoun, L.; Chaari, A.; Bouaziz, M.; Rekik, N. Epidemiological features of stress hyperglycemia in elderly at emergency department. Tunis. Med. 2016, 94, 140–144. [Google Scholar] [PubMed]
- Chen, G.; Li, M.; Wen, X.; Wang, R.; Zhou, Y.; Xue, L.; He, X. Association Between Stress Hyperglycemia Ratio and In-hospital Outcomes in Elderly Patients With Acute Myocardial Infarction. Front. Cardiovasc. Med. 2021, 8, 698725. [Google Scholar] [CrossRef] [PubMed]
- Lee, P.G.; Halter, J.B. The Pathophysiology of Hyperglycemia in Older Adults: Clinical Considerations. Diabetes Care 2017, 40, 444–452. [Google Scholar] [CrossRef] [PubMed] [Green Version]
- Sparrenberger, F.; Cichelero, F.T.; Ascoli, A.M.; Fonseca, F.P.; Weiss, G.; Berwanger, O.; Fuchs, S.C.; Moreira, L.B.; Fuchs, F.D. Does psychosocial stress cause hypertension? A systematic review of observational studies. J. Hum. Hypertens. 2009, 23, 12–19. [Google Scholar] [CrossRef]
- Wu, T.Y.; Majeed, A.; Kuo, K.N. An overview of the healthcare system in Taiwan. Lond. J. Prim. Care 2010, 3, 115–119. [Google Scholar] [CrossRef] [Green Version]
- Cheng, T.M. Reflections On The 20th Anniversary Of Taiwan’s Single-Payer National Health Insurance System. Health Aff. 2015, 34, 502–510. [Google Scholar] [CrossRef] [PubMed]
- Boles, J.-M.; Bion, J.; Connors, A.; Herridge, M.; Marsh, B.; Melot, C.; Pearl, R.; Silverman, H.; Stanchina, M.; Vieillard-Baron, A.; et al. Weaning from mechanical ventilation. Eur. Respir. J. 2007, 29, 1033–1056. [Google Scholar] [CrossRef]
- Ebrahim, M.; Larsen, P.B.; Hannani, D.; Liest, S.; Jørgensen, L.N.; Jørgensen, H.L. Preoperative risk factors including serum levels of potassium, sodium, and creatinine for early mortality after open abdominal surgery: A retrospective cohort study. BMC Surg. 2021, 21, 62. [Google Scholar] [CrossRef]
- Tazmini, K.; Nymo, S.H.; Louch, W.E.; Ranhoff, A.H.; Øie, E. Electrolyte imbalances in an unselected population in an emergency department: A retrospective cohort study. PLoS ONE 2019, 14, e0215673. [Google Scholar] [CrossRef] [Green Version]
- Malpani, R.; Bovonratwet, P.; Clark, M.G.; Ottesen, T.D.; Mercier, M.R.; Grauer, J.N. Preoperative High, as well as Low, Platelet Counts Correlate With Adverse Outcomes After Elective Total Hip Arthroplasty. JAAOS Glob. Res. Rev. 2020, 4, e20.00049. [Google Scholar] [CrossRef]





| Without 3D (n = 35) | With 3D (n = 41) | p Value * | |
|---|---|---|---|
| Category variable, n (%) | |||
| Sex | 0.709 | ||
| Man | 16 (45.7) | 17 (41.5) | |
| Woman | 19 (54.3) | 24 (58.5) | |
| Combined with other major trauma | 0.138 | ||
| with | 16 (45.7) | 12 (29.3) | |
| without | 19 (54.3) | 29 (70.7) | |
| Operation type | 0.137 | ||
| Pelvis | 17 (48.6) | 18 (43.9) | |
| Acetabulum | 12 (34.3) | 14 (34.1) | |
| Both | 5 (14.3) | 2 (4.9) | |
| Pathological fracture | 1 (2.9) | 7 (17.1) | |
| Surgical stage | 0.425 | ||
| One-stage | 26 (74.3) | 27 (65.9) | |
| Two-stage | 9 (25.7) | 14 (34.1) | |
| Continuous variables, median (IQR) | |||
| Age, year | 65 (61–73) | 67 (62–74.5) | 0.155 |
| Hb, g/dL | 12.5 (10.7–13.5) | 11.2 (10.1–12.7) | 0.057 |
| Platelet, 103/uL | 192 (151–233) | 221 (160–306.5) | 0.067 |
| Glucose, mg/dL | 130 (106–155) | 130 (112–169.5) | 0.381 |
| Creatinine, mg/dL | 0.8 (0.6–1.0) | 0.8 (0.7–1.15) | 0.185 |
| AST, U/L | 29 (20–40) | 27 (19–32.5) | 0.287 |
| Sodium, mmol/L | 138 (136–139) | 137 (136–139.5) | 0.937 |
| Potassium, mmol/L | 3.8 (3.6–4.1) | 3.9 (3.75–4.3) | 0.114 |
| BMI, kg/m2 | 23.1 (21.6–26.8) | 22.9 (20.5–25.8) | 0.402 |
| Length of hospital stay, day | 16 (12–21) | 17 (12.5–22.5) | 0.531 |
| Length of stay in ICU, day | 0 (0–2) | 0 (0–3) | 0.432 |
| Without 3D (n = 35) | With 3D (n = 41) | p Value * | |
|---|---|---|---|
| Without other major trauma | n = 19 | n = 29 | |
| Length of hospital stay | 15 (11–19) | 16 (12–22.5) | 0.245 |
| Length of stay in ICU | 0 (0–2) | 0 (0–2) | 0.381 |
| With other major trauma | n = 16 | n = 12 | |
| Length of hospital stay | 18 (14.5–24.75) | 19.5 (15.25–22.75) | 0.945 |
| Length of stay in ICU | 0 (0–2) | 1 (0–4) | 0.767 |
| Without 3D (n = 35) | With 3D (n = 41) | p Value * | |
|---|---|---|---|
| Male | n = 16 | n = 17 | |
| Length of hospital stay | 17 (12.25–21) | 16 (12–24) | 0.709 |
| Length of stay in ICU | 1 (0–3) | 0 (0–3) | 0.736 |
| Female | n = 19 | n = 24 | |
| Length of hospital stay | 16 (11–21) | 17.5 (13.25–22) | 0.651 |
| Length of stay in ICU | 0 (0–2) | 0 (1–3) | 0.127 |
| Univariable 1 | Multivariable 2 | |||
|---|---|---|---|---|
| β (SE) | p Value | β (SE) | p Value | |
| Sex | −0.579 (3.320) | 0.863 | ||
| Combined with other major trauma | 3.451 (3.266) | 0.298 | ||
| Operation type | −0.469 (2.003) | 0.819 | ||
| Surgical stage | 2.868 (3.752) | 0.450 | ||
| Age | 0.152 (0.257) | 0.558 | ||
| Hb | −1.017 (0.829) | 0.229 | ||
| Platelet | −0.060 (0.025) | 0.021 | −0.055 (0.022) | 0.019 |
| Glucose | 0.039 (0.051) | 0.446 | ||
| Creatinine | −1.322 (6.273) | 0.834 | ||
| AST | 0.008 (0.029) | 0.777 | ||
| Na | 0.309 (0.763) | 0.688 | ||
| K | −2.256 (4.278) | 0.601 | ||
| BMI | −0.075 (0.384) | 0.847 | ||
| Length of stay in ICU | 1.790 (0.581) | 0.004 | 1.685 (0.543) | 0.004 |
| Univariable 1 | Multivariable 2 | |||
|---|---|---|---|---|
| β (SE) | p Value | β (SE) | p Value | |
| Sex | 1.586 (2.216) | 0.479 | ||
| Combined with other major trauma | 1.486 (2.404) | 0.540 | ||
| Operation type | 0.036 (1.017) | 0.972 | ||
| Surgical stage | 4.542 (2.201) | 0.046 | 2.896 (2.052) | 0.167 |
| Age | 0.028 (0.136) | 0.836 | ||
| Hb | 0.240 (0.537) | 0.658 | ||
| Platelet | −0.006 (0.008) | 0.480 | ||
| Glucose | 0.004 (0.021) | 0.848 | ||
| Creatinine | −0.140 (0.493) | 0.778 | ||
| AST | −0.116 (0.089) | 0.202 | ||
| Na | −0.154 (0.270) | 0.571 | ||
| K | −6.104 (2.108) | 0.006 | −4.934 (2.060) | 0.022 |
| BMI | −0.140 | 0.661 | ||
| Length of stay in ICU | 1.211 (0.566) | 0.026 | 1.131 (0.517) | 0.035 |
Publisher’s Note: MDPI stays neutral with regard to jurisdictional claims in published maps and institutional affiliations. |
© 2022 by the authors. Licensee MDPI, Basel, Switzerland. This article is an open access article distributed under the terms and conditions of the Creative Commons Attribution (CC BY) license (https://creativecommons.org/licenses/by/4.0/).
Share and Cite
Hung, C.-C.; Wu, J.-L.; Cheng, Y.-W.; Chen, W.-L.; Lee, S.-H.; Yeh, T.-T. Does 3D Printing-Assisted Acetabular or Pelvic Fracture Surgery Shorten Hospitalization Durations among Older Adults? J. Pers. Med. 2022, 12, 189. https://doi.org/10.3390/jpm12020189
Hung C-C, Wu J-L, Cheng Y-W, Chen W-L, Lee S-H, Yeh T-T. Does 3D Printing-Assisted Acetabular or Pelvic Fracture Surgery Shorten Hospitalization Durations among Older Adults? Journal of Personalized Medicine. 2022; 12(2):189. https://doi.org/10.3390/jpm12020189
Chicago/Turabian StyleHung, Chun-Chi, Jia-Lin Wu, Yung-Wen Cheng, Wei-Liang Chen, Shih-Han Lee, and Tsu-Te Yeh. 2022. "Does 3D Printing-Assisted Acetabular or Pelvic Fracture Surgery Shorten Hospitalization Durations among Older Adults?" Journal of Personalized Medicine 12, no. 2: 189. https://doi.org/10.3390/jpm12020189
APA StyleHung, C.-C., Wu, J.-L., Cheng, Y.-W., Chen, W.-L., Lee, S.-H., & Yeh, T.-T. (2022). Does 3D Printing-Assisted Acetabular or Pelvic Fracture Surgery Shorten Hospitalization Durations among Older Adults? Journal of Personalized Medicine, 12(2), 189. https://doi.org/10.3390/jpm12020189

