Methylene Blue and Proflavine as Intraarterial Marker for Functional Perforazome—Comparative Study
Abstract
1. Introduction
2. Materials and Methods
2.1. Flap Assessment
2.2. Statistics
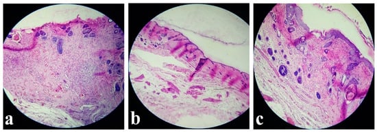
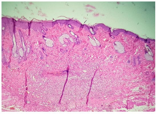
2.3. Histological Evaluation
3. Results
3.1. In Vivo Study Performed on Wistar Rats after Infusion with MB Dye Solution
3.2. In Vivo Study Performed on Wistar Rats after Infusion with PRO Dye Solution
4. Discussion
5. Conclusions
Author Contributions
Funding
Institutional Review Board Statement
Informed Consent Statement
Acknowledgments
Conflicts of Interest
References
- Morton, D.L.; Wen, D.R.; Wong, J.H.; Economou, J.S.; Cagle, L.A.; Storm, F.K.; Foshag, L.J.; Cochran, A.J. Technical Details of Intraoperative Lymphatic Mapping for Early Stage Melanoma. Arch. Surg. 1992, 127, 392–399. [Google Scholar] [CrossRef]
- Simmons, R.; Thevarajah, S.; Brennan, M.B.; Christos, P.; Osborne, M. Methylene blue dye as an alternative to isosulfan blue dye for sentinel lymph node localization. Ann. Surg. Oncol. 2003, 10, 242–247. [Google Scholar] [CrossRef]
- Pruthi, S.; Haakenson, C.; Brost, B.C.; Bryant, K.; Reid, J.M.; Singh, R.; Netzel, B.; Boughey, J.C.; Degnimet, A.C. Pharmacokinetics of methylene blue dye for lymphatic mapping in breast cancerimplications for use in pregnancy. Am. J. Surg. 2011, 201, 70–75. [Google Scholar] [CrossRef]
- Li, J.; Chen, X.; Qi, M.; Li, Y. Sentinel lymph node biopsy mapped with methylene blue dye alone in patients with breast cancer: A systematic review and metaanalysis. PLoS ONE 2018, 13, 1–18. [Google Scholar] [CrossRef] [PubMed]
- Thevarajah, S.; Huston, T.L.; Simmons, R.M. A comparison of the adverse reactions associated with isosulfan blue versus methylene blue dye in sentinel lymph node biopsy for breast cancer. Am. J. Surg. 2005, 189, 236–239. [Google Scholar] [CrossRef] [PubMed]
- Guo, J.; Yang, H.; Wang, S.; Cao, Y.; Liu, M.; Xie, F.; Liu, P.; Zhou, B.; Tong, F.; Cheng, L.; et al. Comparison of sentinel lymph node biopsy guided by indocyanine green, blue dye, and their combination in breast cancer patients: A prospective cohort study. World J. Surg. Oncol. 2017, 15, 1–7. [Google Scholar] [CrossRef]
- Ji, Y.; Jiang, Y.; Li, Q.; Wei, W.; Yang, H.; Liu, J. Clinical utility of the additional use of blue dye for indocyanine green for sentinel node biopsy in breast cancer. J. Surg. Res. 2017, 215, 88–92. [Google Scholar] [CrossRef]
- Burnier, P.; Niddam, J.; Bosc, R.; Hersant, B.; Meningaud, J.P. Indocyanine green applications in plastic surgery: A review of the literature. J. Plast. Reconstr. Aesthetic Surg. 2017, 70, 814–827. [Google Scholar] [CrossRef]
- Tanaka, E.; Chen, F.Y.; Flaumenhaft, R.; Graham, G.J.; Laurence, R.G.; Frangioni, J.V. Real-time assessment of cardiac perfusion, coronary angiography, and acute intravascular thrombi using dual-channel near-infrared fluorescence imaging. J. Thorac. Cardiovasc. Surg. 2009, 138, 133–140. [Google Scholar] [CrossRef]
- Ludolph, I.; Horch, R.E.; Arkudas, A.; Schmitz, M. Enhancing safety in reconstructive microsurgery using intraoperative indocyanine green angiography. Front. Surg. 2019, 6, 1–6. [Google Scholar] [CrossRef]
- Muntean, M.V.; Muntean, V.; Ardelean, F.; Georgescu, A. Dynamic perfusion assessment during perforator flap surgery: An up-to-date. Clujul Med. 2015, 88, 293–297. [Google Scholar] [CrossRef] [PubMed]
- Smit, J.M.; Negenborn, V.L.; Jansen, S.M.; Jaspers, M.E.H.; de Vries, R.; Heymans, M.W.; Winters, H.A.H.; van Leeuwen, T.G.; Mullender, M.G.; Krekel, N.M.A. Intraoperative evaluation of perfusion in free flap surgery: A systematic review and meta-analysis. Microsurgery 2018, 38, 804–818. [Google Scholar] [CrossRef] [PubMed]
- Shin, D.H.; Choi, K.S.; Cho, B.S.; Song, S.; Moon, D.C.; Hong, J.T.; Lee, C.-K.; Chung, Y.B. Pharmacokinetics of guanosine in rats following intravenous or intramuscular administration of a 1:1 mixture of guanosine and acriflavine, a potential antitumor agent. Arch. Pharm. Res. 2008, 31, 1347–1353. [Google Scholar] [CrossRef] [PubMed]
- Chen, J.; Hu, Y.; Lu, Q.; Wang, P.; Zhan, H. Determination of proflavine in rat whole blood without sample pretreatment by laser desorption postionization mass spectrometry. Anal. Bioanal. Chem. 2017, 409, 2813–2819. [Google Scholar] [CrossRef] [PubMed]
- Dobbs, J.L.; Mueller, J.L.; Krishnamurthy, S.; Shin, D.; Kuerer, H.; Yang, W.; Ramanujaman, N.; Richards-Kortum, R. Micro-anatomical quantitative optical imaging: Toward automated assessment of breast tissues. Breast Cancer Res. 2015, 17, 1–14. [Google Scholar] [CrossRef]
- Dobbs, J.L.; Shin, D.; Krishnamurthy, S.; Kuerer, H.; Yang, W.; Richards-Kortum, R. Confocal fluorescence microscopy to evaluate changes in adipocytes in the tumor microenvironment associated with invasive ductal carcinoma and ductal carcinoma in situ. Int. J. Cancer 2016, 139, 1140–1149. [Google Scholar] [CrossRef]
- Fei, B.; Lu, G.; Wang, X.; Zhang, H.; Little, J.V.; Magliocca, K.R.; Chen, A.Y. Tumor margin assessment of surgical tissue specimen of cancer patients using label-free hyperspectral imaging. Adv. Biomed. Clin. Diagnostic Surg. Guid. Syst. XV 2017, 10054, 100540E. [Google Scholar]
- Lu, G.; Little, J.V.; Wang, X.; Zhang, H.; Patel, M.R.; Griffith, C.C.; El-Deiry, M.W.; Chen, A.Y.; Fei, B. Detection of head and neck cancer in surgical specimens using quantitative hyperspectral imaging. Clin. Cancer Res. 2017, 23, 5426–5436. [Google Scholar] [CrossRef] [PubMed]
- Prieto, S.P.; Lai, K.K.; Laryea, J.A.; Mizell, J.S.; Mustain, W.C.; Muldoon, T.J. Fluorescein as a topical fluorescent contrast agent for quantitative microendoscopic inspection of colorectal epithelium. Biomed. Opt. Express 2017, 8, 2324–2338. [Google Scholar] [CrossRef]
- Quang, T.; Tran, E.Q.; Schwarz, R.A.; Williams, M.D.; Vigneswaran, N.; Gillenwater, A.M.; Richards-Kortum, R. Prospective evaluation of multimodal optical imaging with automated image analysis to detect oral neoplasia in vivo. Cancer Prev. Res. 2017, 10, 563–570. [Google Scholar] [CrossRef]
- Pantano, N.; Hunt, B.; Schwarz, R.A.; Parra, S.; Cherry, K.; Possati-Resende, J.C.; Longatto-Filho, A.; Fregnani, J.H.T.G.; Castle, P.E.; Schmeler, K.; et al. Is Proflavine Exposure Associated with Disease Progression in Women with Cervical Dysplasia? A Brief Report. Photochem. Photobiol. 2018, 94, 1308–1313. [Google Scholar] [CrossRef] [PubMed]
- Sasikala, W.D.; Mukherjee, A. Structure and dynamics of proflavine association around DNA. Phys. Chem. Chem. Phys. 2016, 18, 10383–10391. [Google Scholar] [CrossRef] [PubMed]
- Sasikala, W.D.; Mukherjee, A. Molecular mechanism of direct proflavine-DNA intercalation: Evidence for drug-induced minimum base-stacking penalty pathway. J. Phys. Chem. B 2012, 116, 12208–12212. [Google Scholar] [CrossRef]
- Aslanoglu, M. Electrochemical and spectroscopic studies of the interaction of proflavine with DNA. Anal Sci. 2006, 22, 439–443. [Google Scholar] [CrossRef]
- Leung, R.; Chae, M.P.; Tobin, V.; Hunter-Smith, D.J.; Rozen, W.M. In-Vivo quantitative mapping of the perforasomes of deep inferior epigastric artery perforators. Plast. Reconstr. Surg. Glob. Open 2018, 6, 1–6. [Google Scholar] [CrossRef]
- Nedu, M.-E. Georgescu AlDV Intraoperative Study of the functional perforasome—Animal experimental model. Med. Pharm. Rep. in press.
- Li, K.; Zhang, Z.; Nicoli, F.; D’Ambrosia, C.; Xi, W.; Lazzeri, D.; Feng, S.; Su, W.; Li, H.; Ciudad, P.; et al. Application of Indocyanine Green in Flap Surgery: A Systematic Review. J. Reconstr. Microsurg. 2018, 34, 77–86. [Google Scholar] [CrossRef] [PubMed]
- Yamaguchi, S.; De Lorenzi, F.; Petit, J.Y.; Rietjens, M.; Garusi, C.; Giraldo, A.; Rey, P.C.; Urban, C.; Martella, S.; Bosco, R. The “perfusion map” of the unipedicled TRAM flap to reduce postoperative partial necrosis. Ann. Plast. Surg. 2004, 53, 205–209. [Google Scholar] [CrossRef]
- Moris, V.; Cristofari, S.; Stivala, A.; Lehre, B.; Gengler, C.; Rabuel, V.; Rabuel, V.; Srouji, A.; Zwetyenga, N.; Guilier, D. Fluorescent indocyanine green angiography: Preliminary results in microsurgery monitoring. J. Stomatol. Oral Maxillofac. Surg. 2019, 120, 297–300. [Google Scholar] [CrossRef]
- Ashitate, Y.; Hyun, H.; Kim, S.H.; Lee, J.H.; Henary, M.; Frangioni, J.V.; Choi, H.S. Simultaneous Mapping of Pan and Sentinel Lymph Nodes for Real-Time Image-Guided Surgery. Theranostics 2014, 4, 693–700. [Google Scholar] [CrossRef] [PubMed]
- Nedu, M.E.; Tertis, M.; Cristea, C.; Georgescu, A.V. Comparative study regarding the properties of methylene blue and proflavine and their optimal concentrations for in vitro and in vivo applications. Diagnostics 2020, 10, 223. [Google Scholar] [CrossRef]
- Song, S.; Kwon, O.S.; Chung, Y.B. Pharmacokinetics and metabolism of acriflavine in rats following intravenous or intramuscular administration of AG60, a mixture of acriflavine and guanosine, a potential antitumour agent. Xenobiotica 2005, 35, 755–773. [Google Scholar] [CrossRef]
- Bean, S.F.; Felber, T.D.; Knox, J.M. Proflavine Staining of the Skin Demonstrated by Fluorescent Microscopy. Arch. Dermatol. 1973, 107, 204–205. [Google Scholar] [CrossRef]
- Lee, B.T.; Matsui, A.; Hutteman, M.; Lin, S.J.; Winer, J.H.; Laurence, R.G.; Frangioni, J.V. Intraoperative near-infrared fluorescence imaging in perforator flap reconstruction: Current research and early clinical experience. J. Reconstr. Microsurg. 2010, 26, 59–65. [Google Scholar] [CrossRef]
- Papadia, A.; Gasparri, M.L.; Buda, A.; Mueller, M.D. Sentinel lymph node mapping in endometrial cancer: Comparison of fluorescence dye with traditional radiocolloid and blue. J. Cancer Res. Clin. Oncol. 2017, 143, 2039–2048. [Google Scholar] [CrossRef]
- Taylor, G.I.; Chubb, D.; Ashton, M.W. Reply: The vasculosome theory. Plast. Reconstr. Surg. 2015, 135, 451e–453e. [Google Scholar] [CrossRef] [PubMed]
- Stradling, B.; Aranha, G.; Gabram, S. Adverse skin lesions after methylene blue injections for sentinel lymph node localization. Am. J. Surg. 2002, 184, 350–352. [Google Scholar] [CrossRef]
- Bleicher, R.J.; Kloth, D.D.; Robinson, D.; Axelrod, P. Inflammatory cutaneous adverse effects of methylene blue dye injection for lymphatic mapping/sentinel lymphadenectomy. J. Surg. Oncol. 2009, 99, 356–360. [Google Scholar] [CrossRef] [PubMed]
- Delport, A.; Harvey, B.H.; Petzer, A.; Petzer, J.P. Methylene blue and its analogues as antidepressant compounds. Metab. Brain Dis. 2017, 32, 1357–1382. [Google Scholar] [CrossRef]
- Wang, L.; Chen, B.; Lin, B.; Ye, Y.; Bao, C.; Zhao, X.; Jin, L.; Xion, X. Methylene blue attenuates lung injury induced by hindlimb ischemia reperfusion in rats. Mediators Inflamm. 2018, 2018, 2508620. [Google Scholar] [CrossRef]
- Tucker, D.; Lu, Y.; Zhang, Q. From Mitochondrial Function to Neuroprotection—an Emerging Role for Methylene Blue. Mol. Neurobiol. 2018, 55, 5137–5153. [Google Scholar] [CrossRef] [PubMed]
- Jiao, Q.; Liu, Q. Characterization of the interaction between methylene blue and glycosaminoglycans. Spectrochim. Acta Part A Mol. Biomol. Spectrosc. 1999, 55, 1667–1673. [Google Scholar] [CrossRef]
- Privistirescu, A.I.; Sima, A.; Duicu, O.M.; Timar, R.; Roșca, M.G.; Sturza, A.; Muntean, D.M. Methylene blue alleviates endothelial dysfunction and reduces oxidative stress in aortas from diabetic rats. Can. J. Physiol. Pharmacol. 2018, 96, 1012–1016. [Google Scholar] [CrossRef]
- Legault, J.; Larouche, P.L.; Côté, I.; Bouchard, L.; Pichette, A.; Robinson, B.H.; Morin, C. Low-concentration methylene blue maintains energy production and strongly improves survival of Leigh syndrome French Canadian skin fibroblasts. J. Pharm. Pharm. Sci. 2011, 14, 438–449. [Google Scholar] [CrossRef] [PubMed][Green Version]
- Qing, L.; Wu, P.; Zhou, Z.; Yu, F.; Tang, J. Effect of ischemic preconditioning on the second choke zone of the extended dorsal skin perforator flap in a rat model. Int. J. Clin. Exp. Med. 2017, 10, 5757–5768. [Google Scholar]
- Basu, A.; Kumar, G.S. A biophysical investigation on the binding of proflavine with human hemoglobin: Insights from spectroscopy, thermodynamics and AFM studies. J. Photochem. Photobiol. B Biol. 2016, 165, 42–50. [Google Scholar] [CrossRef]
- Kawada, H.; Inanobe, A.; Kurachi, Y. Isolation of proflavine as a blocker of G protein-gated inward rectifier potassium channels by a cell growth-based screening system. Neuropharmacology 2016, 109, 18–28. [Google Scholar] [CrossRef]






| Batch Number | Rat Number | Evaluation of the Inflammatory Infiltrate | |
|---|---|---|---|
| Injection of 0.65 mg/mL MB | Injection of 1 mg/mL PRO | ||
| Batch 1 | 1 | Medium | Medium |
| 2 | Medium | Rich | |
| 3 | Medium | Medium | |
| 4 | Medium | Rich | |
| 5 | Absent | Absent | |
| 6 | Absent | Absent | |
| Batch 2 | 1 | Medium | Medium |
| 2 | Medium | Rich | |
| 3 | Medium | Medium | |
| 4 | Medium | Rich | |
| 5 | Absent | Absent | |
| 6 | Absent | Absent | |
Publisher’s Note: MDPI stays neutral with regard to jurisdictional claims in published maps and institutional affiliations. |
© 2021 by the authors. Licensee MDPI, Basel, Switzerland. This article is an open access article distributed under the terms and conditions of the Creative Commons Attribution (CC BY) license (http://creativecommons.org/licenses/by/4.0/).
Share and Cite
Nedu, M.-E.; Tertis, M.; Cristea, C.; Georgescu, A.V. Methylene Blue and Proflavine as Intraarterial Marker for Functional Perforazome—Comparative Study. J. Pers. Med. 2021, 11, 147. https://doi.org/10.3390/jpm11020147
Nedu M-E, Tertis M, Cristea C, Georgescu AV. Methylene Blue and Proflavine as Intraarterial Marker for Functional Perforazome—Comparative Study. Journal of Personalized Medicine. 2021; 11(2):147. https://doi.org/10.3390/jpm11020147
Chicago/Turabian StyleNedu, Maria-Eliza, Mihaela Tertis, Cecilia Cristea, and Alexandru Valentin Georgescu. 2021. "Methylene Blue and Proflavine as Intraarterial Marker for Functional Perforazome—Comparative Study" Journal of Personalized Medicine 11, no. 2: 147. https://doi.org/10.3390/jpm11020147
APA StyleNedu, M.-E., Tertis, M., Cristea, C., & Georgescu, A. V. (2021). Methylene Blue and Proflavine as Intraarterial Marker for Functional Perforazome—Comparative Study. Journal of Personalized Medicine, 11(2), 147. https://doi.org/10.3390/jpm11020147

