Application of 18F-FDG Positron Emission Tomography/Magnetic Resonance in Evaluation of Oropharyngeal Carcinoma
Abstract
1. Introduction
2. Materials and Methods
2.1. Patients
2.2. Imaging
2.3. Imaging Analysis
2.4. Surgical Procedure and Histopathology
2.5. Statistical Analysis
3. Results
3.1. Clinical Characteristics of Patients with Oropharyngeal Cancer
3.2. Comparison of Clinical TN Staging Among Enhanced CT, MR and PET/MR Imaging Before Treatment
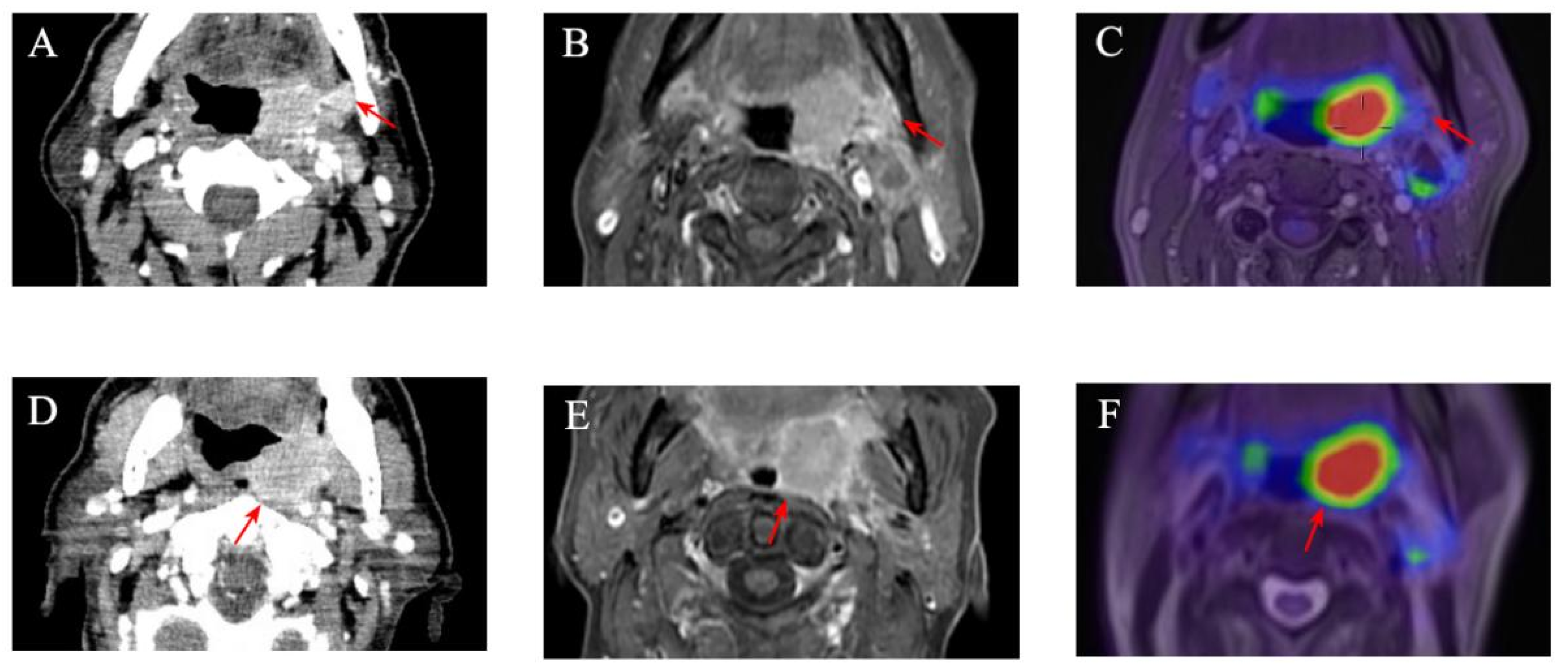
3.3. Comparison of Diagnostic Accuracy of Cervical Lymph Nodes Among Enhanced CT, MR and PET/MR Imaging
3.4. Relationship Between ADC/SUV/TLG/MTV and Ki67 as Well as Serological Markers
3.5. Relationship Between ADC/SUV/TLG/MTV and Pathological TN Stage
3.6. Relationship Between ADC/SUV/TLG/MTV and P16
3.7. Relationship Between ADC/SUV/TLG/MTV and Tumor Differentiation
4. Discussion
Supplementary Materials
Author Contributions
Funding
Institutional Review Board Statement
Informed Consent Statement
Data Availability Statement
Conflicts of Interest
Abbreviations
| SUV | standardized uptake value |
| TLG | total lesion glycolysis |
| MTV | metabolic tumor volume |
| ADC | apparent diffusion coefficient |
| AFP | alpha-fetoprotein |
| CEA | carcinoembryonic antigen |
| NSE | neuron-specific enolase |
| SCC | squamous cell carcinoma-associated antigen |
| HNSCC | head and neck squamous cell carcinoma |
References
- Worden, F.P.; Ha, H. Controversies in the management of oropharynx cancer. J. Natl. Compr. Cancer Netw. 2008, 6, 707–714. [Google Scholar] [CrossRef] [PubMed][Green Version]
- Lydiatt, W.M.; Patel, S.G.; O’Sullivan, B.; Brandwein, M.S.; Ridge, J.A.; Migliacci, J.C.; Loomis, A.M.; Shah, J.P. Head and Neck cancers-major changes in the American Joint Committee on cancer eighth edition cancer staging manual. CA Cancer J. Clin. 2017, 67, 122–137. [Google Scholar] [CrossRef] [PubMed]
- Abdel, R.A.; Mansour, M.; Kamal, E.; Mukherji, S.K. MR imaging of Oral Cavity and Oropharyngeal Cancer. Magn. Reason. Imaging Clin. 2022, 30, 35–51. [Google Scholar] [CrossRef] [PubMed]
- Caudell, J.J.; Gillison, M.L.; Maghami, E.; Spencer, S.; Pfister, D.G.; Adkins, D.; Birkeland, A.C.; Brizel, D.M.; Busse, P.M.; Cmelak, A.J. NCCN Guidelines® Insights: Head and Neck Cancers, Version 1.2022: Featured updates to the NCCN guidelines. J. Natl. Compr. Cancer Netw. 2022, 20, 224–234. [Google Scholar] [CrossRef]
- Seitz, O.; Chambron-Pinho, N.; Middendorp, M.; Sader, R.; Mack, M.; Vogl, T.J.; Bisdas, S. 18F-Fluorodeoxyglucose-PET/CT to evaluate tumor, nodal disease, and gross tumor volume of oropharyngeal and oral cavity cancer: Comparison with MR imaging and validation with surgical specimen. Neuroradiology 2009, 51, 677–686. [Google Scholar] [CrossRef]
- Herzog, H.; Lerche, C. Advances in Clinical PET/MRI Instrumentation. PET Clin. 2016, 11, 95–103. [Google Scholar] [CrossRef]
- Noor, A.; Mair, M.; Cook, L.; Bolt, H.; Cheriyan, S.; Woods, C.M.; Hopkins, J.; Ooi, E.H. Prognostic Value of 18F-Fluoro-Deoxyglucose-Positron Emission Tomography Volumetric Parameters in Human Papillomavirus-Related Oropharyngeal Squamous Cell Carcinoma. Laryngoscope 2023, 133, 1667–1672. [Google Scholar] [CrossRef]
- Schaarschmidt, B.M.; Grueneisen, J.; Heusch, P.; Gomez, B.; Umutlu, L.; Ruhlmann, V.; Rosenbaum-Krumme, S.; Antoch, G.; Buchbender, C. Does 18F-FDG PET/MRI reduce the number of indeterminate abdominal incidentalomas compared with 18F-FDG PET/CT? Nucl. Med. Commun. 2015, 36, 588–595. [Google Scholar] [CrossRef]
- Huellner, M.W. PET/MR in Head and Neck Cancer-An Update. Semin. Nucl. Med. 2021, 51, 26–38. [Google Scholar] [CrossRef]
- Zhang, M.; Liu, W.; Huang, P.; Lin, X.; Huang, X.; Meng, H.; Wang, J.; Hu, K.; Li, J.; Lin, M. Utility of hybrid PET/MRI multiparametric imaging in navigating SEEG placement in refractory epilepsy. Seizure 2020, 81, 295–303. [Google Scholar] [CrossRef]
- Hayashi, K.; Kikuchi, M.; Imai, Y.; Yamashita, D.; Hino, M.; Ito, K.; Shimizu, K.; Harada, H.; Shinohara, S. Clinical Value of Fused PET/MRI for Surgical Planning in Patients With Oral/Oropharyngeal Carcinoma. Laryngoscope 2020, 130, 367–374. [Google Scholar] [CrossRef] [PubMed]
- Yu, C.W.; Chen, X.J.; Lin, Y.H.; Tseng, Y.H.; Lu, C.C.; Chen, B.B.; Wei, S.Y.; Lee, J.M.; Shih, T.T. Prognostic value of 18F-FDG PET/MR imaging biomarkers in oesophageal squamous cell carcinoma. Eur. J. Radiol. 2019, 120, 108671. [Google Scholar] [CrossRef] [PubMed]
- Kitajima, K.; Miyoshi, Y.; Yamano, T.; Odawara, S.; Higuchi, T.; Yamakado, K. Prognostic value of FDG-PET and DWI in breast cancer. Ann. Nucl. Med. 2018, 32, 44–53. [Google Scholar] [CrossRef] [PubMed]
- Zhao, X.; Li, W.; Zhang, J.; Tian, S.; Zhou, Y.; Xu, X.; Hu, H.; Lei, D.; Wu, F. Radiomics analysis of CT imaging improves preoperative prediction of cervical lymph node metastasis in laryngeal squamous cell carcinoma. Eur. Radiol. 2023, 33, 1121–1131. [Google Scholar] [CrossRef]
- Zhong, J.; Zhao, W.; Ren, F.; Qi, S.; Wang, X.; Lv, T.; Su, Z.; Yin, H.; Ren, J.; Huan, Y. Lymph node metastasis in patients with gastric cancer: A multi-modality, morphologic and functional imaging study. Am. J. Transl. Res. 2016, 8, 5601–5609. [Google Scholar]
- Yoon, D.Y.; Hwang, H.S.; Chang, S.K.; Rho, Y.S.; Ahn, H.Y.; Kim, J.H.; Lee, I.J. CT, MR, US,18F-FDG PET/CT, and their combined use for the assessment of cervical lymph node metastases in squamous cell carcinoma of the head and neck. Eur. Radiol. 2009, 19, 634–642. [Google Scholar] [CrossRef]
- Park, J.T.; Roh, J.L.; Kim, J.S.; Lee, J.H.; Cho, K.J.; Choi, S.H.; Nam, S.Y.; Kim, S.Y. 18F FDG PET/CT versus CT/MR Imaging and the Prognostic Value of Contralateral Neck Metastases in Patients with Head and Neck Squamous Cell Carcinoma. Radiology 2016, 279, 481–491. [Google Scholar] [CrossRef]
- Huang, C.; Song, T.; Mukherji, S.K.; Zhang, L.; Lu, J.; Chen, X.; Xian, J. Comparative Study Between Integrated Positron Emission Tomography/Magnetic Resonance and Positron Emission Tomography/Computed Tomography in the T and N Staging of Hypopharyngeal Cancer: An Initial Result. J. Comput. Assist. Tomogr. 2020, 44, 540–545. [Google Scholar] [CrossRef]
- Hammarstedt, L.; Lindquist, D.; Dahlstrand, H.; Romanitan, M.; Dahlgren, L.O.; Joneberg, J.; Creson, N.; Lindholm, J.; Ye, W.; Dalianis, T. Human papillomavirus as a risk factor for the increase in incidence of tonsillar cancer. Int. J. Cancer 2006, 119, 2620–2623. [Google Scholar] [CrossRef]
- Feng, Z.; Xu, Q.S.; Wang, C.; Li, B.; Li, J.Z.; Mao, M.H.; Li, H.; Qin, L.Z.; Han, Z. Clinicopathological features, management and outcome of patients with poorly-differentiated oral and oropharyngeal squamous cell carcinoma. J. Cranio Maxillofac. Surg. 2017, 45, 1478–1485. [Google Scholar] [CrossRef]
- Schaarschmidt, B.M.; Heusch, P.; Buchbender, C.; Ruhlmann, M.; Bergmann, C.; Ruhlmann, V.; Schlamann, M.; Antoch, G.; Forsting, M.; Wetter, A. Locoregional tumour evaluation of squamous cell carcinoma in the head and neck area: A comparison between MRI, PET/CT and integrated PET/MRI. Eur. J. Nucl. Med. Mol. Imaging 2016, 43, 92–102. [Google Scholar] [CrossRef] [PubMed]
- Sekine, T.; Barbosa, F.G.; Delso, G.; Burger, I.A.; Stolzmann, P.; Ter Voert, E.E.; Huber, G.F.; Kollias, S.S.; von Schulthess, G.K.; Veit-Haibach, P. Local resectability assessment of head and neck cancer: Positron emission tomography/MRI versus positron emission tomography/CT. Head Neck 2017, 39, 1550–1558. [Google Scholar] [CrossRef] [PubMed]
- Chan, S.C.; Yeh, C.H.; Yen, T.C.; Ng, S.H.; Chang, J.T.; Lin, C.Y.; Yen-Ming, T.; Fan, K.H.; Huang, B.S.; Hsu, C.L. Clinical utility of simultaneous whole-body (18)F-FDG PET/MRI as a single-step imaging modality in the staging of primary nasopharyngeal carcinoma. Eur. J. Nucl. Med. 2018, 45, 1297–1308. [Google Scholar] [CrossRef] [PubMed]
- Queiroz, M.A.; Hüllner, M.; Kuhn, F.; Huber, G.; Meerwein, C.; Kollias, S.; von Schulthess, G.; Veit-Haibach, P. PET/MRI and PET/CT in follow-up of head and neck cancer patients. Eur. J. Nucl. Med. 2014, 41, 1066–1075. [Google Scholar] [CrossRef]
- Sekine, T.; Barbosa, F.G.; Sah, B.R.; Mader, C.E.; Delso, G.; Burger, I.A.; Stolzmann, P.; Ter Voert, E.E.; von Schulthess, G.K.; Veit-Haibach, P. PET/MR Outperforms PET/CT in Suspected Occult Tumors. Clin. Nucl. Med. 2017, 42, e88–e95. [Google Scholar] [CrossRef]
- Delaby, G.; Ataeinia, B.; Wo, J.; Catalano, O.A.; Heidari, P. Impact of 18F-FDG PET/MR based tumor delineation in radiotherapy planning for cholangiocarcinoma. Abdom. Radiol. 2021, 46, 3908–3916. [Google Scholar] [CrossRef]
- Morawitz, J.; Bruckmann, N.M.; Dietzel, F.; Ullrich, T.; Bittner, A.K.; Hoffmann, O.; Ruckhäberle, E.; Mohrmann, S.; Häberle, L.; Ingenwerth, M. Comparison of nodal staging between CT, MRI, and [18F]-FDG PET/MRI in patients with newly diagnosed breast cancer. Eur. J. Nucl. Med. Mol. Imaging 2022, 49, 992–1001. [Google Scholar] [CrossRef]
- Heusch, P.; Sproll, C.; Buchbender, C.; Rieser, E.; Terjung, J.; Antke, C.; Boeck, I.; Macht, S.; Scherer, A.; Antoch, G. Diagnostic accuracy of ultrasound, 18F-FDG-PET/CT, and fused 18F-FDG-PET-MR images with DWI for the detection of cervical lymph node metastases of HNSCC. Clin. Oral Investig. 2014, 18, 969–978. [Google Scholar] [CrossRef]
- Platzek, I.; Beuthien-Baumann, B.; Schneider, M.; Gudziol, V.; Kitzler, H.H.; Maus, J.; Schramm, G.; Popp, M.; Laniado, M.; Kotzerke, J. FDG PET/MR for lymph node staging in head and neck cancer. Eur. J. Radiol. 2014, 83, 1163–1168. [Google Scholar] [CrossRef]
- Abd, E.Y.; Moustafa, H.M.; Khalil, H.F.; Liao, C.T.; Yen, T.C. Total lesion glycolysis: A possible new prognostic parameter in oral cavity squamous cell carcinoma. Oral Oncol. 2013, 49, 261–268. [Google Scholar]
- Mehanna, H.; Taberna, M.; von Buchwald, C.; Tous, S.; Brooks, J.; Mena, M.; Morey, F.; Grønhøj, C.; Rasmussen, J.H.; Garset-Zamani, M.; et al. Prognostic implications of p16 and HPV discordance in oropharyngeal cancer (HNCIG-EPIC-OPC): A multicentre, multinational, individual patient data analysis. Lancet Oncol. 2023, 24, 239–251. [Google Scholar] [CrossRef] [PubMed]
- Fornasa, F. Diffusion-weighted Magnetic Resonance Imaging: What Makes Water Run Fast or Slow? J. Clin. Imaging Sci. 2011, 1, 27. [Google Scholar] [CrossRef] [PubMed]
- Gong, J.; Wang, N.; Bian, L.; Wang, M.; Ye, M.; Wen, N.; Fu, M.; Fan, W.; Meng, Y. Cervical cancer evaluated with integrated 18F-FDG PET/MR. Oncol. Lett. 2019, 18, 1815–1823. [Google Scholar] [CrossRef] [PubMed]
- Surov, A.; Meyer, H.J.; Wienke, A. Can Imaging Parameters Provide Information Regarding Histopathology in Head and Neck Squamous Cell Carcinoma? A Meta-Analysis. Transl. Oncol. 2018, 11, 498–503. [Google Scholar] [CrossRef]
- Deng, S.M.; Zhang, W.; Zhang, B.; Chen, Y.Y.; Li, J.H.; Wu, Y.W. Correlation between the Uptake of 18F-Fluorodeoxyglucose (18F-FDG) and the Expression of Proliferation-Associated Antigen Ki-67 in Cancer Patients: A Meta-Analysis. PLoS ONE 2015, 10, e0129028. [Google Scholar] [CrossRef]
- Shima, T.; Fujima, N.; Yamano, S.; Kameda, H.; Suzuka, M.; Takeuchi, A.; Kinoshita, Y.; Iwai, N.; Kudo, K.; Minowa, K. Non-Gaussian model-based diffusion-weighted imaging of oral squamous cell carcinoma: Associations with Ki-67 proliferation status. Oral Radiol. 2023, 39, 661–667. [Google Scholar] [CrossRef]
- Adamiak, G.; Ligeziński, A.; Jurkiewicz, D.; Hermanowski, M.; Konieczna, M. Usefulness of neuron specific enolase in patients with head and neck malignant tumors. Pol. Merkur. Lek. Organ Pol. Tow. Lek. 2002, 12, 204–207. [Google Scholar]
- Silverman, N.A.; Alexander, J.C.; Chretien, P.B. CEA levels in head and neck cancer. Cancer 1976, 37, 2204–2211. [Google Scholar] [CrossRef]
- Li, S.X.; Yang, Y.Q.; Jin, L.J.; Cai, Z.G.; Sun, Z. Detection of survivin, carcinoembryonic antigen and ErbB2 level in oral squamous cell carcinoma patients. Cancer Biomark. 2017, 17, 377–382. [Google Scholar] [CrossRef]
- Barak, V.; Meirovitz, A.; Leibovici, V.; Rachmut, J.; Peretz, T.; Eliashar, R.; Gross, M. The Diagnostic and Prognostic Value of Tumor Markers (CEA, SCC, CYFRA 21–1, TPS) in Head and Neck Cancer Patients. Anticancer. Res. 2015, 35, 5519–5524. [Google Scholar]
- Gao, X.C.; Wei, C.H.; Zhang, R.G.; Cai, Q.; He, Y.; Tong, F.; Dong, J.H.; Wu, G.; Dong, X.R. 18F-FDG PET/CT SUVmax and serum CEA levels as predictors for EGFR mutation state in Chinese patients with non-small cell lung cancer. Oncol. Lett. 2020, 20, 61. [Google Scholar] [PubMed]
- Liao, X.; Liu, M.; Li, S.; Huang, W.; Guo, C.; Liu, J.; Xiong, Y.; Zhang, J.; Fan, Y.; Wang, R. The value on SUV-derived parameters assessed on 18F-FDG PET/CT for predicting mediastinal lymph node metastasis in non-small cell lung cancer. BMC Med. Imaging 2023, 23, 49. [Google Scholar] [CrossRef] [PubMed]


| Characteristic | Data |
|---|---|
| Sex | |
| Male | 11 |
| Female | 2 |
| Age (y) | |
| ≤60 | 7 |
| >60 | 6 |
| Primary tumor site | |
| Left tonsil | 5 |
| Right tonsil | 5 |
| Posterior wall of oropharynx | 1 |
| Tongue | 2 |
| Histologic type | |
| squamous cell carcinoma, HPV (+) | 7 |
| squamous cell carcinoma, HPV (−) | 6 |
| Histologic grade | |
| poorly differentiated | 4 |
| moderately differentiated | 6 |
| well differentiated | 3 |
| Treatment | |
| Surgery alone | 7 |
| Chemoradiation + surgery | 3 |
| Radiation | 3 |
| Neck metastasis (only for patients receiving surgery alone) | |
| None | 1 |
| Ipsilateral | 4 |
| Bilateral | 2 |
| Enhanced CT T Stage | PET/MR T Stage | Total | κ | p | |||
|---|---|---|---|---|---|---|---|
| T1 | T2 | T3 | T4 | ||||
| T1 | 2 | 0 | 0 | 0 | 2 | 1.000 | 0.000 |
| T2 | 0 | 7 | 0 | 0 | 7 | ||
| T3 | 0 | 0 | 1 | 0 | 1 | ||
| T4 | 0 | 0 | 0 | 3 | 3 | ||
| Total | 2 | 7 | 1 | 3 | 13 | ||
| Enhanced CT N stage | PET/MR N stage | Total | κ | p | |||
| N0 | N1 | N2 | N3 | ||||
| N0 | 1 | 2 | 0 | 0 | 3 | 0.567 | 0.001 |
| N1 | 0 | 4 | 0 | 0 | 4 | ||
| N2 | 2 | 0 | 3 | 0 | 5 | ||
| N3 | 0 | 0 | 0 | 1 | 1 | ||
| Total | 3 | 6 | 3 | 1 | 13 | ||
| Enhanced MR T stage | PET/MR T stage | Total | κ | p | |||
| T1 | T2 | T3 | T4 | ||||
| T1 | 2 | 0 | 0 | 0 | 2 | 0.870 | 0.000 |
| T2 | 0 | 7 | 1 | 0 | 8 | ||
| T3 | 0 | 0 | 0 | 0 | 0 | ||
| T4 | 0 | 0 | 0 | 3 | 3 | ||
| Total | 2 | 7 | 1 | 3 | 13 | ||
| Enhanced MR N stage | PET/MR N stage | Total | κ | p | |||
| N0 | N1 | N2 | N3 | ||||
| N0 | 2 | 2 | 0 | 0 | 4 | 0.577 | 0.000 |
| N1 | 0 | 3 | 0 | 0 | 3 | ||
| N2 | 1 | 1 | 3 | 0 | 5 | ||
| N3 | 0 | 0 | 0 | 1 | 1 | ||
| Total | 3 | 6 | 3 | 1 | 13 | ||
| Analysis | Sensitivity | Specificity | Accuracy | PPV | NPV |
|---|---|---|---|---|---|
| Enhanced CT | 50.00% | 97.99% | 94.84% | 64.63% | 96.53% |
| Enhanced MR | 64.29% | 98.99% | 96.71% | 81.82% | 97.52% |
| PET/MR | 78.57% | 98.99% | 97.65% | 84.62% | 98.50% |
| CEA (ng/mL) | Cytokeratin 19 (ng/mL) | NSE (ng/mL) | SCC (ng/mL) | Ki67 | ||
|---|---|---|---|---|---|---|
| Parameters of tumor | ||||||
| ADC (min) | r | 0.553 | 0.214 | 0.590 | 0.170 | −0.029 |
| p | 0.155 | 0.611 | 0.123 | 0.688 | 0.937 | |
| ADC (max) | r | 0.537 | −0.065 | 0.463 | −0.126 | −0.652 |
| p | 0.170 | 0.878 | 0.248 | 0.766 | 0.041 * | |
| ADC (mean) | r | 0.623 | 0.164 | 0.794 | 0.176 | −0.420 |
| p | 0.099 | 0.698 | 0.019 * | 0.677 | 0.227 | |
| SUV (max) | r | 0.655 | 0.446 | 0.390 | 0.144 | −0.176 |
| p | 0.078 | 0.269 | 0.340 | 0.734 | 0.626 | |
| SUV (peak) | r | 0.803 | 0.369 | 0.395 | −0.048 | −0.242 |
| p | 0.016 * | 0.369 | 0.333 | 0.910 | 0.501 | |
| SUV (mean) | r | 0.666 | 0.429 | 0.382 | 0.126 | −0.169 |
| p | 0.071 | 0.289 | 0.350 | 0.767 | 0.642 | |
| TLG | r | 0.895 | 0.290 | 0.377 | −0.261 | −0.243 |
| p | 0.003 * | 0.486 | 0.357 | 0.532 | 0.499 | |
| MTV | r | 0.762 | 0.216 | 0.244 | −0.399 | −0.209 |
| p | 0.028 * | 0.608 | 0.561 | 0.411 | 0.562 | |
Disclaimer/Publisher’s Note: The statements, opinions and data contained in all publications are solely those of the individual author(s) and contributor(s) and not of MDPI and/or the editor(s). MDPI and/or the editor(s) disclaim responsibility for any injury to people or property resulting from any ideas, methods, instructions or products referred to in the content. |
© 2025 by the authors. Licensee MDPI, Basel, Switzerland. This article is an open access article distributed under the terms and conditions of the Creative Commons Attribution (CC BY) license (https://creativecommons.org/licenses/by/4.0/).
Share and Cite
Shen, Y.; Wu, J.; Shen, C.; Huang, X.; Fan, C.; Hu, H.; Cheng, Z.; Li, B.; Xiang, M.; Ye, B. Application of 18F-FDG Positron Emission Tomography/Magnetic Resonance in Evaluation of Oropharyngeal Carcinoma. Diagnostics 2025, 15, 1081. https://doi.org/10.3390/diagnostics15091081
Shen Y, Wu J, Shen C, Huang X, Fan C, Hu H, Cheng Z, Li B, Xiang M, Ye B. Application of 18F-FDG Positron Emission Tomography/Magnetic Resonance in Evaluation of Oropharyngeal Carcinoma. Diagnostics. 2025; 15(9):1081. https://doi.org/10.3390/diagnostics15091081
Chicago/Turabian StyleShen, Yilin, Jichang Wu, Chenling Shen, Xinyun Huang, Cui Fan, Haixia Hu, Zenghui Cheng, Biao Li, Mingliang Xiang, and Bin Ye. 2025. "Application of 18F-FDG Positron Emission Tomography/Magnetic Resonance in Evaluation of Oropharyngeal Carcinoma" Diagnostics 15, no. 9: 1081. https://doi.org/10.3390/diagnostics15091081
APA StyleShen, Y., Wu, J., Shen, C., Huang, X., Fan, C., Hu, H., Cheng, Z., Li, B., Xiang, M., & Ye, B. (2025). Application of 18F-FDG Positron Emission Tomography/Magnetic Resonance in Evaluation of Oropharyngeal Carcinoma. Diagnostics, 15(9), 1081. https://doi.org/10.3390/diagnostics15091081
