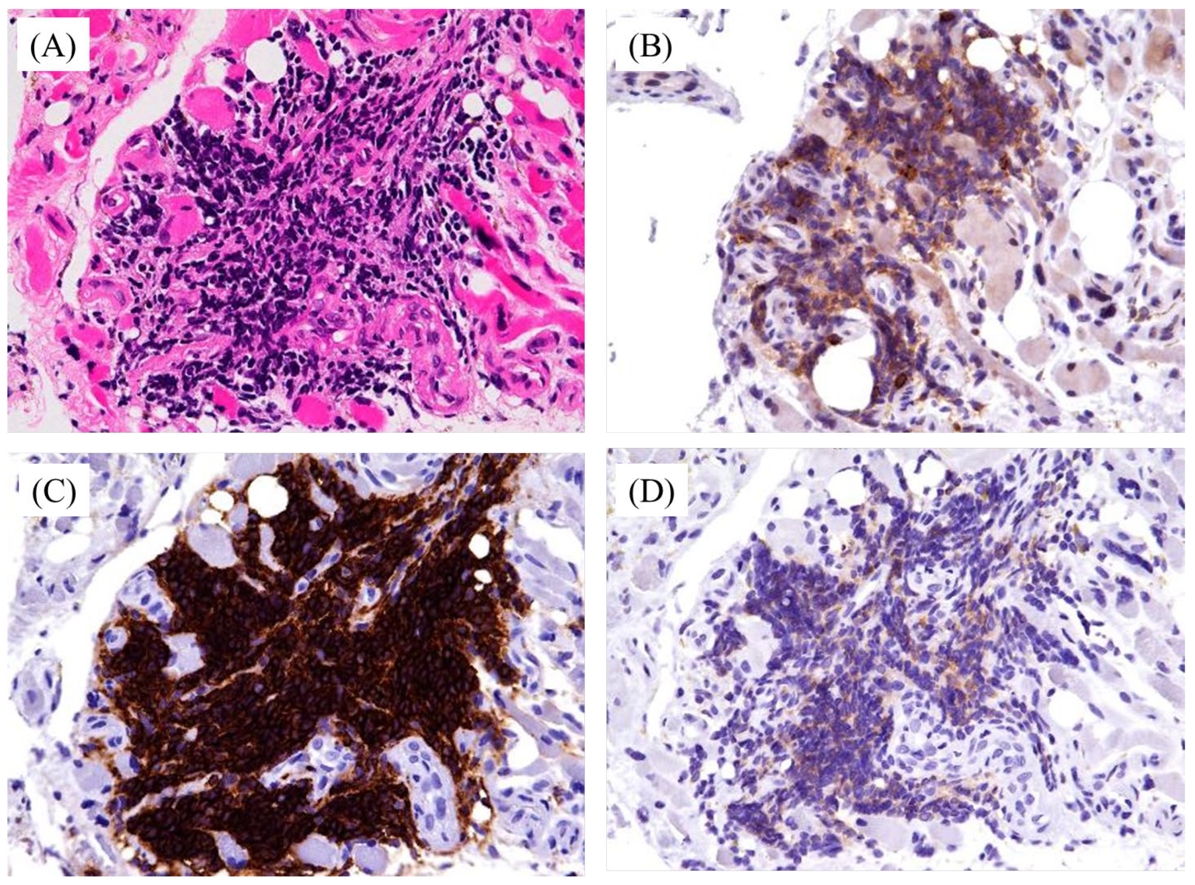
Muscle Infiltration in Chronic Lymphocytic Leukemia: A Diagnostic Challenge
Abstract



Author Contributions
Funding
Institutional Review Board Statement
Informed Consent Statement
Data Availability Statement
Acknowledgments
Conflicts of Interest
Abbreviations
| CLL | chronic lymphocytic leukemia |
| IM | inflammatory myopathy |
| MRI | Magnetic Resonance Imaging |
References
- Hallek, M. Chronic Lymphocytic Leukemia: 2025 Update on the Epidemiology, Pathogenesis, Diagnosis, and Therapy. Am. J. Hematol. 2025, 3, 450–480. [Google Scholar] [CrossRef] [PubMed]
- Robak, T.; Puła, A.; Braun, M.; Robak, E. Extramedullary and extranodal manifestations in chronic lymphocytic leukemia–an update. Ann. Hematol. 2024, 103, 3369–3383. [Google Scholar] [CrossRef] [PubMed]
- Hembury, T.A.; Lee, B.; Gascoyne, R.D.; Macpherson, N.; Yang, B.; House, N.; Medeiros, L.J.; Hsi, E.D. Primary cutaneous diffuse large B-cell lymphoma: A clinicopathologic study of 15 cases. Am. J. Clin. Pathol. 2002, 117, 574–580. [Google Scholar] [CrossRef] [PubMed]
- Dejong, T.; Gill, J.; Lam, S.; Freiburger, S.; Lock, M. A Rare Case of Recurrent Cutaneous Non-Hodgkin’s Lymphoma in the Extremity: Long-Term Follow-Up and Review of the Literature Written with the Assistance of ChatGPT. Cureus 2023, 15, e37980. [Google Scholar] [CrossRef] [PubMed]
- Zandee van Rilland, E.D.; Yao, L.; Stevens, K.J.; Chung, L.S.; Fiorentino, D.F.; Boutin, R.D. Myositis and Its Mimics: Guideline Updates, MRI Characteristics, and New Horizons. AJR Am. J. Roentgenol. 2024, 223, e2431359. [Google Scholar] [CrossRef] [PubMed]
- Kawaguchi, N.; Izumi, R.; Kobayashi, M.; Tateyama, M.; Suzuki, N.; Fujishima, F.; Fujimori, J.; Aoki, M.; Nakashima, I. Extranodal NK/T-cell lymphoma mimicking granulomatous myositis. Intern. Med. 2019, 58, 277–282. [Google Scholar] [CrossRef] [PubMed]
- Stübgen, J.P. Inflammatory myopathies and lymphoma. J. Neurol. Sci. 2016, 369, 377–389. [Google Scholar] [CrossRef] [PubMed]
Disclaimer/Publisher’s Note: The statements, opinions and data contained in all publications are solely those of the individual author(s) and contributor(s) and not of MDPI and/or the editor(s). MDPI and/or the editor(s) disclaim responsibility for any injury to people or property resulting from any ideas, methods, instructions or products referred to in the content. |
© 2025 by the authors. Licensee MDPI, Basel, Switzerland. This article is an open access article distributed under the terms and conditions of the Creative Commons Attribution (CC BY) license (https://creativecommons.org/licenses/by/4.0/).
Share and Cite
Ichikawa, J.; Kirito, K.; Kawasaki, T.; Onohara, K.; Wako, M.; Haro, H. Muscle Infiltration in Chronic Lymphocytic Leukemia: A Diagnostic Challenge. Diagnostics 2025, 15, 1068. https://doi.org/10.3390/diagnostics15091068
Ichikawa J, Kirito K, Kawasaki T, Onohara K, Wako M, Haro H. Muscle Infiltration in Chronic Lymphocytic Leukemia: A Diagnostic Challenge. Diagnostics. 2025; 15(9):1068. https://doi.org/10.3390/diagnostics15091068
Chicago/Turabian StyleIchikawa, Jiro, Keita Kirito, Tomonori Kawasaki, Kojiro Onohara, Masanori Wako, and Hirotaka Haro. 2025. "Muscle Infiltration in Chronic Lymphocytic Leukemia: A Diagnostic Challenge" Diagnostics 15, no. 9: 1068. https://doi.org/10.3390/diagnostics15091068
APA StyleIchikawa, J., Kirito, K., Kawasaki, T., Onohara, K., Wako, M., & Haro, H. (2025). Muscle Infiltration in Chronic Lymphocytic Leukemia: A Diagnostic Challenge. Diagnostics, 15(9), 1068. https://doi.org/10.3390/diagnostics15091068

