High-Resolution Vessel Wall Images and Neuropsychiatric Lupus: A Scoping Review
Abstract
1. Introduction
2. Materials and Methods
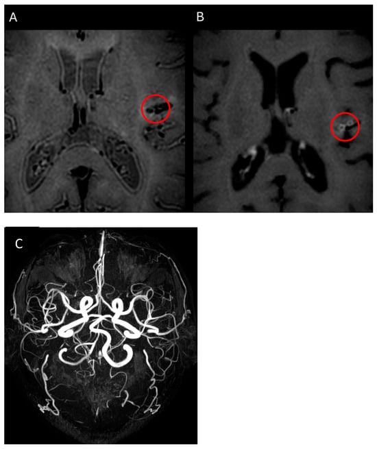
3. Results
4. Discussion
| Vessel Wall Disease | Stenotic Pattern on Angiography, Magnetic Resonance Angiography, CT Angiography | Thickening Pattern | Localization | Enhancement |
|---|---|---|---|---|
| SLE central vasculitis [11,15,19,20,21,56] | Usually present | Concentric or eccentric | Different locations and longer duration | Shows enhancement before treatment |
| Infectious nervous vasculitis [48,49], central system | Usually present | Concentric or eccentric | Different locations and longer duration | Shows enhancement before treatment; leptomeningeal enhancement (and cranial nerve enhancement) can be observed |
| Intracranial atherosclerosis [57] | Can be present; vessel wall thickening or remodeling | Eccentric | Different locations and focal involvement | Could be present |
| Moyamoya disease [58] | Can be present | Concentric | Distal ACI and proximal ACM | Generally, no enhancement |
| Intracranial aneurysm [23] | Can be present | Generally without thickening | No specific location | Generally, no enhancement |
| Arterial dissection [17] | Present | Eccentric | Distal ICA and vertebral arteries | Usually present |
| RCVS [22] | Present | Concentric | Multiple locations | Generally no enhancement |
| After thrombectomy (iatrogenic) [59] | Can be present | Concentric or eccentric | Thrombectomy site | Usually present |
5. Conclusions
6. Future Perspectives
7. Limitations
Author Contributions
Funding
Institutional Review Board Statement
Informed Consent Statement
Data Availability Statement
Conflicts of Interest
Abbreviations
| ANA | antinuclear antibody; |
| BG | basal ganglia; |
| BS | brain stem; |
| C/M | concentric and multifocal; |
| CR | complete resolution; |
| C/U | concentric and unifocal; |
| CYC | cyclophosphamide; |
| F | female; |
| Fr | front; |
| HRVWI | high resolution vessel wall imaging; |
| M | male; |
| MP | methylprednisolone |
| NA | not available; |
| NE | no enhancement; |
| NI | no improvement; |
| O | occipital; |
| P | parietal; |
| PR | partial resolution; |
| RCVS | reversible cerebral vasoconstriction syndrome; |
| SLE | systemic lupus erythematosus; |
| T | temporal; |
| TOF | Time-of-Flight; |
| VWI | vessel wall imaging. |
References
- Postal, M.; Lapa, A.T.; Reis, F.; Rittner, L.; Appenzeller, S. Magnetic resonance imaging in neuropsychiatric systemic lupus erythematosus: Current state of the art and novel approaches. Lupus 2017, 26, 517–521. [Google Scholar] [CrossRef] [PubMed]
- Gonzalez-Suarez, M.L.; Waheed, A.A.; Andrews, D.M.; Ascherman, D.P.; Zeng, X.; Nayer, A. Lupus vasculopathy: Diagnostic, pathogenetic and therapeutic considerations. Lupus 2014, 23, 421–427. [Google Scholar] [CrossRef] [PubMed]
- Ide, S.; Kakeda, S.; Miyata, M.; Iwata, S.; Ohkubo, N.; Nakayamada, S.; Futatsuya, K.; Watanabe, K.; Moriya, J.; Fujino, Y.; et al. Intracranial vessel wall lesions in patients with systematic lupus erythematosus. J. Magn. Reson. Imaging 2018, 48, 1237–1246. [Google Scholar] [CrossRef] [PubMed]
- Hanly, J.G.; Urowitz, M.B.; Su, L.; Bae, S.C.; Gordon, C.; Clarke, A.; Bernatsky, S.; Vasudevan, A.; Isenberg, D.; Rahman, A.; et al. Autoantibodies as biomarkers for the prediction of neuropsychiatric events in systemic lupus erythematosus. Ann. Rheum. Dis. 2011, 70, 1726–1732. [Google Scholar] [CrossRef]
- Vieira, R.M.; do Nascimento, F.B.P.; Barbosa Júnior, A.A.; Pereira, I.C.M.R.; Sachetto, Z.; Appenzeller, S.; Reis, F. Spectrum of central nervous system involvement in rheumatic diseases: Pictorial essay. Radiol. Bras. 2018, 51, 262–267. [Google Scholar] [CrossRef]
- Pomper, M.G.; Miller, T.J.; Stone, J.H.; Tidmore, W.C.; Hellmann, D.B. CNS vasculitis in autoimmune disease: MR imaging findings and correlation with angiography. AJNR Am. J. Neuroradiol. 1999, 20, 75–85. [Google Scholar]
- Mitsias, P.; Levine, S.R. Large cerebral vessel occlusive disease in systemic lupus erythematosus. Neurology 1994, 44 Pt 1, 385–393. [Google Scholar] [CrossRef]
- de Amorim, J.C.; Frittoli, R.B.; Pereira, D.; Postal, M.; Dertkigil, S.S.J.; Reis, F.; Costallat, L.T.; Appenzeller, S. Epidemiology, characterization, and diagnosis of neuropsychiatric events in systemic lupus erythematosus. Expert. Rev. Clin. Immunol. 2019, 15, 407–416. [Google Scholar] [CrossRef]
- Appenzeller, S.; Pike, G.B.; Clarke, A.E. Magnetic resonance imaging in the evaluation of central nervous system manifestations in systemic lupus erythematosus. Clin. Rev. Allergy Immunol. 2008, 34, 361–366. [Google Scholar] [CrossRef]
- Padrick, M.M.; Maya, M.M.; Fan, Z.; Szumski, N.; Lyden, P.D.; Song, S.S.; Dumitrascu, O.M. Magnetic Resonance Vessel Wall Imaging in Central Nervous System Vasculitides: A Case Series. Neurologist 2020, 25, 174–177. [Google Scholar] [CrossRef]
- Cao, Y.; Sun, Y.; Yi, Z.; Meng, W.; Zhao, X.; Feng, X.; Feng, P.; Wang, S.; Zhang, M.; Zhou, L. Assessment of central nervous system vasculitis in children based on high-resolution vascular wall imaging. Rheumatol. Adv. Pract. 2024, 8, rkae038. [Google Scholar] [CrossRef] [PubMed]
- Tricco, A.C.; Lillie, E.; Zarin, W.; O’Brien, K.K.; Colquhoun, H.; Levac, D.; Moher, D.; Peters, M.D.J.; Horsley, T.; Weeks, L.; et al. PRISMA Extension for Scoping Reviews (PRISMA-ScR): Checklist and Explanation. Ann. Intern. Med. 2018, 169, 467–473. [Google Scholar] [CrossRef] [PubMed]
- Aringer, M.; Costenbader, K.; Daikh, D.; Brinks, R.; Mosca, M.; Ramsey-Goldman, R.; Smolen, J.S.; Wofsy, D.; Boumpas, D.T.; Kamen, D.L.; et al. 2019 European League Against Rheumatism/American College of Rheumatology Classification Criteria for Systemic Lupus Erythematosus. Arthritis Rheumatol. 2019, 71, 1400–1412. [Google Scholar]
- Jiang, W.; Mei, S.; Deng, Q.; Lei, C.; Pang, A. A Case of Cerebral Large-Vessel Vasculitis Concomitant Fahr Syndrome in Systemic Lupus Erythematosus. Neurologist 2024, 29, 17–21. [Google Scholar] [PubMed]
- Silverman, A.; Dugue, R.; George, P.M. Clinical Problem Solving: A 38-year-Old Woman With Systemic Lupus Erythematosus Presenting With Headache, Nausea, and Vomiting. Neurohospitalist 2023, 13, 394–398. [Google Scholar] [CrossRef]
- Chung, M.S.; Byun, J.S.; Yim, Y. A Case Report of Pontine Infarction as an Initial Manifestation of Systemic Lupus Erythematosus: Diagnostic Clues from MRI and Digital Subtraction Angiography. Taehan Yongsang Uihakhoe Chi 2021, 82, 1281–1286. [Google Scholar]
- Raventhiranathan, N.; Hussien, A.R.; Mirchia, K.; Swarnkar, A.; Mangla, R. Striatal dominant lupus encephalitis-Is it vasculitis or an autoimmune process? Literature review & new case report with vessel wall imaging. Radiol. Case Rep. 2022, 17, 1205–1210. [Google Scholar]
- Sarbu, M.I.; Sarbu, N. Fulminant Brain Atrophy and Vasculitis on Vessel-Wall Imaging in Neuropsychiatric Lupus: Case Report and Literature Review. Arch. Rheumatol. 2020, 35, 443–448. [Google Scholar]
- Nishigaichi, A.; Oiwa, H.; Hosokawa, Y.; Hayashi, M.; Mine, N.; Nomura, E.; Yamawaki, T. A case of systemic lupus erythematosus associated with cerebral arteritis: A case report and case-based literature review. Nagoya J. Med. Sci. 2020, 82, 807–814. [Google Scholar]
- Takeshita, S.; Ogata, T.; Tsugawa, J.; Tsuboi, Y. Isolated Cerebral Vasculitis in the Unilateral Middle Cerebral Artery in a Case with SLE. Intern. Med. 2020, 59, 3225–3227. [Google Scholar]
- Chung, S.W.; Lee, K.M.; Heo, S.H.; Ra, R.; Hong, S.J.; Yang, H.I.; Lee, S.H.; Song, R.; Lee, Y.A. A systemic lupus erythematosus patient with thunderclap headache: Reversible cerebral vasoconstriction syndrome. Lupus 2019, 28, 898–902. [Google Scholar] [CrossRef] [PubMed]
- Sugiyama, S.; Kitamura, A.; Kaneko, S.; Yamakawa, I.; Sanada, M.; Urushitani, M. A case of Neuropsychiatric systemic lupus erythematosus with varying stenotic lesions in several cerebral major arteries and a vertebral artery aneurysm. Rinsho Shinkeigaku 2023, 63, 214–220. [Google Scholar] [PubMed]
- Jafri, K.; Patterson, S.L.; Lanata, C. Central Nervous System Manifestations of Systemic Lupus Erythematosus. Rheum. Dis. Clin. N. Am. 2017, 43, 531–545. [Google Scholar] [CrossRef] [PubMed]
- Razek, A.A.A.; Alvarez, H.; Bagg, S.; Refaat, S.; Castillo, M. Imaging spectrum of CNS vasculitis. Radiographics 2014, 34, 873–894. [Google Scholar] [CrossRef]
- Pacheco, F.T.; Cruz Junior, L.C.H.; Padilha, I.G.; Nunes, R.H.; Maia Junior, A.C.M.; Campos, C.M.S.; Amaral, L.L.F.; Massaro, A.R.; Rocha, A.J. Current uses of intracranial vessel wall imaging for clinical practice: A high-resolution MR technique recently available. Arq. Neuropsiquiatr. 2020, 78, 642–650. [Google Scholar]
- Jennette, J.C.; Falk, R.J.; Bacon, P.A.; Basu, N.; Cid, M.C.; Ferrario, F.; Flores-Suarez, L.F.; Gross, W.L.; Guillevin, L.; Hagen, E.C.; et al. 2012 revised International Chapel Hill Consensus Conference Nomenclature of Vasculitides. Arthritis Rheum 2013, 65, 1–11. [Google Scholar] [CrossRef]
- Govoni, M.; Bortoluzzi, A.; Padovan, M.; Silvagni, E.; Borrelli, M.; Donelli, F.; Ceruti, S.; Trotta, F. The diagnosis and clinical management of the neuropsychiatric manifestations of lupus. J. Autoimmun. 2016, 74, 41–72. [Google Scholar]
- Monahan, R.C.; Beaart-van de Voorde, L.J.J.; Steup-Beekman, G.M.; Magro-Checa, C.; Huizinga, T.W.J.; Hoekman, J.; Kaptein, A.A. Neuropsychiatric symptoms in systemic lupus erythematosus: Impact on quality of life. Lupus 2017, 26, 1252–1259. [Google Scholar]
- Barile-Fabris, L.; Hernández-Cabrera, M.F.; Barragan-Garfias, J.A. Vasculitis in systemic lupus erythematosus. Curr. Rheumatol. Rep. 2014, 16, 440. [Google Scholar]
- Ota, Y.; Srinivasan, A.; Capizzano, A.A.; Bapuraj, J.R.; Kim, J.; Kurokawa, R.; Baba, A.; Moritani, T. Central Nervous System Systemic Lupus Erythematosus: Pathophysiologic, Clinical, and Imaging Features. Radiographics 2022, 42, 212–232. [Google Scholar]
- Bortoluzzi, A.; Fanouriakis, A.; Silvagni, E.; Appenzeller, S.; Carli, L.; Carrara, G.; Cauli, A.; Conti, F.; Costallat, L.T.L.; De Marchi, G.; et al. Therapeutic strategies and outcomes in neuropsychiatric systemic lupus erythematosus: An international multicentre retrospective study. Rheumatology 2024, 63, 2711–2720. [Google Scholar] [CrossRef] [PubMed]
- Frittoli, R.B.; Pereira, D.R.; Rittner, L.; Appenzeller, S. Proton magnetic resonance spectroscopy (1H-MRS) in rheumatic autoimmune diseases: A systematic review. Lupus 2020, 29, 1873–1884. [Google Scholar] [CrossRef] [PubMed]
- Appenzeller, S.; Li, L.M.; Costallat, L.T.; Cendes, F. Neurometabolic changes in normal white matter may predict appearance of hyperintense lesions in systemic lupus erythematosus. Lupus 2007, 16, 963–971. [Google Scholar] [CrossRef] [PubMed]
- Mandell, D.M.; Mossa-Basha, M.; Qiao, Y.; Hess, C.P.; Hui, F.; Matouk, C.; Johnson, M.H.; Daemen, M.J.; Vossough, A.; Edjlali, M.; et al. Vessel Wall Imaging Study Group of the American Society of Neuroradiology. Intracranial Vessel Wall MRI: Principles and Expert Consensus Recommendations of the American Society of Neuroradiology. AJNR Am. J. Neuroradiol. 2017, 38, 218–229. [Google Scholar] [CrossRef]
- Swartz, R.H.; Bhuta, S.S.; Farb, R.I.; Agid, R.; Willinsky, R.A.; Terbrugge, K.G.; Butany, J.; Wasserman, B.A.; Johnstone, D.M.; Silver, F.L.; et al. Intracranial arterial wall imaging using high-resolution 3-tesla contrast-enhanced MRI. Neurology 2009, 72, 627–634. [Google Scholar] [CrossRef]
- Lindenholz, A.; van der Kolk, A.G.; Zwanenburg, J.J.M.; Hendrikse, J. The Use and Pitfalls of Intracranial Vessel Wall Imaging: How We Do It. Radiology 2018, 286, 12–28. [Google Scholar] [CrossRef]
- de Havenon, A.; Mossa-Basha, M.; Shah, L.; Kim, S.E.; Park, M.; Parker, D.; McNally, J.S. High-resolution vessel wall MRI for the evaluation of intracranial atherosclerotic disease. Neuroradiology 2017, 59, 1193–1202. [Google Scholar] [CrossRef]
- Tan, H.W.; Chen, X.; Maingard, J.; Barras, C.D.; Logan, C.; Thijs, V.; Kok, H.K.; Lee, M.J.; Chandra, R.V.; Brooks, M.; et al. Intracranial Vessel Wall Imaging with Magnetic Resonance Imaging: Current Techniques and Applications. World Neurosurgery 2018, 112, 186–198. [Google Scholar] [CrossRef]
- Bhogal, P.; Navaei, E.; Makalanda, H.L.D.; Brouwer, P.A.; Sjöstrand, C.; Mandell, D.M.; Lilja, A. Intracranial vessel wall MRI. Clin. Radiol. 2016, 71, 293–303. [Google Scholar] [CrossRef]
- Dieleman, N.; van der Kolk, A.G.; Zwanenburg, J.J.; Harteveld, A.A.; Biessels, G.J.; Luijten, P.R.; Hendrikse, J. Imaging intracranial vessel wall pathology with magnetic resonance imaging: Current prospects and future directions. Circulation 2014, 130, 192–201. [Google Scholar] [CrossRef]
- van der Kolk, A.G.; Zwanenburg, J.J.; Brundel, M.; Biessels, G.J.; Visser, F.; Luijten, P.R.; Hendrikse, J. Intracranial vessel wall imaging at 7.0-T MRI. Stroke 2011, 42, 2478–2484. [Google Scholar] [CrossRef]
- Mossa-Basha, M.; Alexander, M.; Gaddikeri, S.; Yuan, C.; Gandhi, D. Vessel wall imaging for intracranial vascular disease evaluation. J. Neurointerv. Surg. 2016, 8, 1154–1159. [Google Scholar] [CrossRef] [PubMed]
- Matsushige, T.; Shimonaga, K.; Ishii, D.; Sakamoto, S.; Hosogai, M.; Hashimoto, Y.; Kaneko, M.; Ono, C.; Mizoue, T.; Kurisu, K. Vessel Wall Imaging of Evolving Unruptured Intracranial Aneurysms. Stroke 2019, 50, 1891–1894. [Google Scholar] [CrossRef] [PubMed]
- Thurman, J.M.; Serkova, N.J. Non-invasive imaging to monitor lupus nephritis and neuropsychiatric systemic lupus erythematosus. F1000Research 2015, 16, 153. [Google Scholar] [CrossRef] [PubMed]
- Wang, Z.; Wang, Y.; Chang, Y.; Hu, T.; Cui, Z. Diagnostic value of high-resolution vessel wall imaging technique in intracranial arterial stenosis and occlusion: A comparative analysis with digital subtraction angiography. Int. J. Neurosci. 2014, 12, 1–7. [Google Scholar] [CrossRef] [PubMed]
- Mossa-Basha, M.; Shibata, D.K.; Hallam, D.K.; de Havenon, A.; Hippe, D.S.; Becker, K.J.; Tirschwell, D.L.; Hatsukami, T.; Balu, N.; Yuan, C. Added Value of Vessel Wall Magnetic Resonance Imaging for Differentiation of Nonocclusive Intracranial Vasculopathies. Stroke 2017, 48, 3026–3033. [Google Scholar] [CrossRef]
- Kang, H.; Bai, X.; Zhang, Y.; Zhou, W.; Ju, Y.; Yang, X.; Sui, B.; Zhu, C. Predictors of improvement for patients with CNS vasculitis stenoses: A high-resolution vessel wall MRI follow-up study. Eur. J. Radiol. 2023, 158, 110619. [Google Scholar] [CrossRef]
- Feitoza, L.M.; Stucchi, R.S.B.; Reis, F. Neurosyphilis vasculitis manifesting as ischemic stroke. Rev. Soc. Bras. Med. Trop. 2020, 53, e20190546. [Google Scholar] [CrossRef]
- Narvaez, E.O.; Ramos, M.C.; do Amaral, L.L.F.; Reis, F. Neurosyphilis and High-Resolution Vessel Wall Imaging: A Powerful Tool to Detect Vasculitis and Neuritis. Neurol. India 2022, 70, 160–161. [Google Scholar] [CrossRef]
- Feitoza, L.M.; Jarry, V.M.; Ramos, M.C.; Reis, F. High-Resolution Vessel Wall MRI as a Complementary Investigation for CNS Tuberculosis. Can. J. Neurol. Sci. 2021, 48, 717–718. [Google Scholar] [CrossRef]
- Shimoyama, T.; Uchino, K.; Calabrese, L.H.; Hajj-Ali, R.A. Serial vessel wall enhancement pattern on high-resolution vessel wall magnetic resonance imaging and clinical implications in patients with central nervous system vasculitis. Clin. Exp. Rheumatol. 2022, 40, 811–818. [Google Scholar] [CrossRef] [PubMed]
- Rowshani, A.T.; Remans, P.; Rozemuller, A.; Tak, P.P. Cerebral vasculitis as a primary manifestation of systemic lupus erythematosus. Ann. Rheum. Dis. 2005, 64, 84–86. [Google Scholar]
- Justiz-Vaillant, A.A.; Gopaul, D.; Soodeen, S.; Arozarena-Fundora, R.; Barbosa, O.A.; Unakal, C.; Thompson, R.; Pandit, B.; Umakanthan, S.; Akpaka, P.E. Neuropsychiatric Systemic Lupus Erythematosus: Molecules Involved in Its Imunopathogenesis, Clinical Features, and Treatment. Molecules 2024, 29, 747. [Google Scholar] [CrossRef] [PubMed]
- Magro-Checa, C.; Zirkzee, E.J.; Huizinga, T.W.; Steup-Beekman, G.M. Management of Neuropsychiatric Systemic Lupus Erythematosus: Current Approaches and Future Perspectives. Drugs 2016, 76, 459–483. [Google Scholar]
- Cohen, D.; Rijnink, E.C.; Nabuurs, R.J.A.; Steup-Beekman, G.M.; Versluis, M.J.; Emmer, B.J.; Zandbergen, M.; van Buchem, M.A.; Allaart, C.F.; Wolterbeek, R.; et al. Brain histopathology in patients with systemic lupus erythematosus: Identification of lesions associated with clinical neuropsychiatric lupus syndromes and the role of complement. Rheumatology 2017, 56, 77–86. [Google Scholar] [CrossRef]
- Rodrigues, M.; Costa, O.C.; Jesus, D.; Carvalho, P.; Santiago, M.; Malcata, A.; Inês, L. Central nervous system vasculitis in systemic lupus erythematosus: A case series report in a tertiary referral centre. Lupus 2017, 26, 1440–1447. [Google Scholar] [CrossRef]
- Qiao, Y.; Guallar, E.; Suri, F.K.; Liu, L.; Zhang, Y.; Anwar, Z.; Mirbagheri, S.; Xie, Y.J.; Nezami, N.; Intrapiromkul, J.; et al. MR Imaging Measures of Intracranial Atherosclerosis in a Population-based Study. Radiology 2016, 280, 860–868. [Google Scholar]
- Mossa-Basha, M.; de Havenon, A.; Becker, K.J.; Hallam, D.K.; Levitt, M.R.; Cohen, W.A.; Hippe, D.S.; Alexander, M.D.; Tirschwell, D.L.; Hatsukami, T.; et al. Added Value of Vessel Wall Magnetic Resonance Imaging in the Differentiation of Moyamoya Vasculopathies in a Non-Asian Cohort. Stroke 2016, 47, 1782–1788. [Google Scholar]
- Power, S.; Matouk, C.; Casaubon, L.K.; Silver, F.L.; Krings, T.; Mikulis, D.J.; Mandell, D.M. Vessel wall magnetic resonance imaging in acute ischemic stroke: Effects of embolism and mechanical thrombectomy on the arterial wall. Stroke 2014, 45, 2330–2334. [Google Scholar]
- Arenillas, J.F.; Dieleman, N.; Bos, D. Intracranial arterial wall imaging: Techniques, clinical applicability, and future perspectives. Int. J. Stroke 2019, 14, 564–573. [Google Scholar]
- Hudson, J.S.; Zanaty, M.; Nakagawa, D.; Kung, D.K.; Jabbour, P.; Samaniego, E.A.; Hasan, D. Magnetic Resonance Vessel Wall Imaging in Human Intracranial Aneurysms: Histological Analysis. Stroke 2019, 50, e1. [Google Scholar] [CrossRef] [PubMed]


| Author/Year | Sex and Age (Years) | Time Between SLE Diagnosis and Symptoms (Years) | SLE Diagnostic Criteria | Neuropsychiatric SLE Symptoms | Location of Injuries | Corresponding Angiographic Findings/VWI | Highlight Pattern | Diagnosis | Treatment | Response Pattern |
|---|---|---|---|---|---|---|---|---|---|---|
| Jiang W, 2024 [14] | M, 23 | At diagnosis | Leukopenia, C3 reduction, positive anti-DNA, anti-Sm, and ANA | Aphasia, right hemiplegia, lethargy | P | Yes | C/M | Vasculitis | MP/CYC/dual antiplatelet therapy (aspirin with clopidogrel) | PR |
| Silverma n A, 2023 [15] | M, 38 | 15 | Diffuse rash, arthritis, positive antinuclear and anti-DNA antibodies | Headache with alarm signs, nausea, vomiting, and hypertension; right peripheral facial paralysis | T/BG | Yes | C/M | Vasculitis | MP/CYC | CR |
| Chung MS, 2021 [16] | M, 20 | At diagnosis | Fever, thrombocytopenia, C3 reduction, positive antinuclear and anti-DNA antibodies | Headache, dizziness, blurred vision | BS | Yes | C/U | Aneurysm with mural thrombus and dissection | Antiplatelet / MP /hydroxychloroquine/ azathioprine | CR |
| Raventhi ranathan N, 2022 [17] | M, 18 | N/A | ANA, anti-SSA, anti-Sm, anti-RNP | Fever, auditory and visual hallucinations, and gait changes | BG | Yes | NE | Encephalitis | MP/ plasmapheresis, Rituxima b/CYC | CR |
| Sarbu MI, 2020 [18] | F, 42 | 07 | N/A | Extreme drowsiness and cognitive decline | Periventricular | No | C/M | Vasculitis | Antibiotic therapy /MP /acyclovir | NI |
| Nishigaic hi A, 2020 [19] | F, 62 | 30 | Malar rash, photosensitivity, arthritis, and lupus serology | Right hemiparalysis and dysarthria | T/O/BG | Yes | C/M | Vasculitis | CYC | NI |
| Takeshita S, 2020 [20] | F, 47 | 20 | Photosensitivity, arthritis, anemia, and lupus nephritis | Aphasia and right arm weakness | P/Fr/BG | Yes | C/M | Vasculitis | MP/CYC/ heparinization | CR |
| Chung SW, 2019 [21] | F, 35 | 01 month | Polyarthralgia, myalgia, facial rash, and Raynaud’s phenomenon | Headache and dizziness | Multifocal stenosis, both middle cerebral arteries, right posterior cerebral artery, and right vertebral artery | No | NE | RCVS | MP /hydroxychloroquine/calcium channel blockers | CR |
| Sugiyama S, 2023 [22] | F, 42 | 13 | N/A | Fever, mental confusion, spatial neglect | P/T | No | C/M | Multifocal arterial aneurysm and stenoses | CYC/antiplatelet | CR |
| Satoru Ide, 2018 Pooled analysis of 60 patients [3] | Average age 39.4 (16–80) 08 M (13.3%) 52 F (86.7%) | 10.5 years | N/A | N/A | Normal—37 patients Infarction—14 patients White matter hyperintensity—16 patients Arterial stenotic lesions—10 patients Lesions identified in vessel wall analysis—54 patients | Concordance of HRVWI and TOF MRI of 4.5% | 554/571 segments (97%) concentric pattern 17/571 segments (3%) eccentric pattern | Segments associated with vasculitis (concentric pattern) and segments associated with atherosclerosis (eccentric pattern) | MP/immunomodulators | N/A |
Disclaimer/Publisher’s Note: The statements, opinions and data contained in all publications are solely those of the individual author(s) and contributor(s) and not of MDPI and/or the editor(s). MDPI and/or the editor(s) disclaim responsibility for any injury to people or property resulting from any ideas, methods, instructions or products referred to in the content. |
© 2025 by the authors. Licensee MDPI, Basel, Switzerland. This article is an open access article distributed under the terms and conditions of the Creative Commons Attribution (CC BY) license (https://creativecommons.org/licenses/by/4.0/).
Share and Cite
Matos, B.L.D.; Borella, L.F.M.; Pereira, F.V.; Pereira, D.R.; Appenzeller, S.; Reis, F. High-Resolution Vessel Wall Images and Neuropsychiatric Lupus: A Scoping Review. Diagnostics 2025, 15, 824. https://doi.org/10.3390/diagnostics15070824
Matos BLD, Borella LFM, Pereira FV, Pereira DR, Appenzeller S, Reis F. High-Resolution Vessel Wall Images and Neuropsychiatric Lupus: A Scoping Review. Diagnostics. 2025; 15(7):824. https://doi.org/10.3390/diagnostics15070824
Chicago/Turabian StyleMatos, Bruno L. D., Luiz F. M. Borella, Fernanda Veloso Pereira, Danilo Rodrigues Pereira, Simone Appenzeller, and Fabiano Reis. 2025. "High-Resolution Vessel Wall Images and Neuropsychiatric Lupus: A Scoping Review" Diagnostics 15, no. 7: 824. https://doi.org/10.3390/diagnostics15070824
APA StyleMatos, B. L. D., Borella, L. F. M., Pereira, F. V., Pereira, D. R., Appenzeller, S., & Reis, F. (2025). High-Resolution Vessel Wall Images and Neuropsychiatric Lupus: A Scoping Review. Diagnostics, 15(7), 824. https://doi.org/10.3390/diagnostics15070824

