Comprehensive Analysis of the Aberrant Right Subclavian Artery: A Perspective from a Single Institute
Abstract
1. Introduction
2. Materials and Methods
2.1. Study Population and Device
2.2. Karyotyping Analysis
2.3. Postnatal Assessment
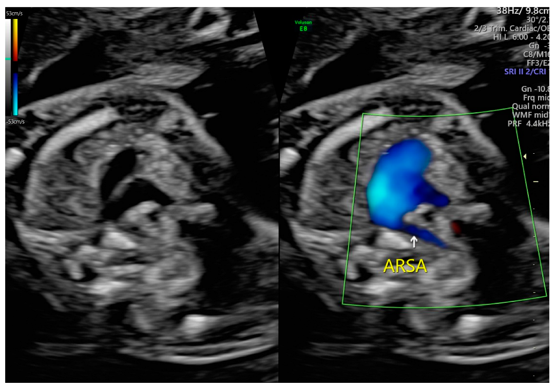
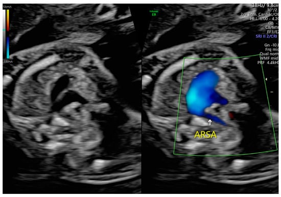
3. Results
- Amniocentesis and single-nucleotide polymorphism (SNP) microarray testing: Nine of the 21 patients underwent amniocentesis, and four underwent further SNP microarray testing. The procedure was carried out in three patients after the finding of ARSA.
- Noninvasive prenatal testing (NIPT): Ten of the 21 patients opted for NIPT, with two selecting NIPT1 (v1.0), five NIPT2 (v2.0), and three NIPT3 (v3.0).
- Maternal serum screening tests: Two patients underwent second-trimester Down’s syndrome screening using maternal serum tests.
4. Discussion
4.1. Prenatal Diagnostic Techniques and Standardization
4.2. Association with Other Congenital Cardiovascular Anomalies
4.3. Molecular Genetics and Genomic Considerations
4.4. Long-Term Outcomes and Follow-Up Management
Author Contributions
Funding
Institutional Review Board Statement
Informed Consent Statement
Data Availability Statement
Conflicts of Interest
References
- Scala, C.; Maggiore, U.L.R.; Candiani, M.; Venturini, P.L.; Ferrero, S.; Greco, T.; Cavoretto, P. Aberrant right subclavian artery in fetuses with Down syndrome: A systematic review and meta-analysis. Ultrasound Obstet. Gynecol. 2015, 46, 266–276. [Google Scholar] [CrossRef]
- Cai, M.; Lin, N.; Fan, X.; Chen, X.; Xu, S.; Fu, X.; Xu, L.; Huang, H. Fetal aberrant right subclavian artery: Associated anomalies, genetic etiology, and postnatal outcomes in a retrospective cohort study. Front. Pediatr. 2022, 10, 895562. [Google Scholar] [CrossRef] [PubMed]
- Song, M.J.; Han, B.H.; Kim, Y.H.; Yoon, S.Y.; Lee, Y.M.; Jeon, H.S.; Park, B.K. Prenatal diagnosis of aberrant right subclavian artery in an unselected population. Ultrasonography 2017, 36, 278–283. [Google Scholar] [CrossRef] [PubMed]
- Stavridis, K.; Antsaklis, P.; Theodora, M.; Tasias, K.; Daskalakis, G. Prenatal diagnosis of aberrant right subclavian artery: A literature review. J. Matern.-FetalNeonatal Med. 2022, 35, 8856–8862. [Google Scholar] [CrossRef]
- Evans, P.R. Cardiac anomalies in mongolism. Br. Heart J. 1950, 12, 258–262. [Google Scholar] [CrossRef]
- Strauss, I. Congenital cardiac anomalies with mongolism. Trans. Am. Coll. Cardiol. 1953, 3, 214–221. [Google Scholar]
- Molz, G.; Burri, B. Aberrant subclavian artery (arteria lusoria): Sex differences in the prevalence of various forms of the malformation. Virchows Arch. A Pathol. Anat. Histol. 1978, 380, 303–315. [Google Scholar] [CrossRef] [PubMed]
- Rowe, R.D.; Uchida, I.A. Cardiac malformation in mongolism: A prospective study of 184 mongoloid children. Am. J. Med. 1961, 31, 726–729. [Google Scholar] [CrossRef]
- Goldstein, W.B. Aberrant right subclavian artery in Mongolism. Am. J. Roentgenol. 1965, 95, 131–134. [Google Scholar] [CrossRef]
- Annetta, R.; Nisbet, D.; O’Mahony, E.; Palma-Dias, R. Aberrant right subclavian artery:embryology, prenatal diagnosis and clinical significance. Ultrasound 2022, 30, 284–291. [Google Scholar] [CrossRef]
- Lo, N.S.; Leung, P.M.; Lau, K.C.; Yeung, C.Y. Congenital cardiovascular malformations in Chinese children with Down’s syndrome. Chin. Med. J. 1989, 102, 382–386. [Google Scholar]
- Rathore, M.H.; Sreenivasan, V.V. Vertebral and right subclavian artery abnormalities in the Down syndrome. Am. J. Cardiol. 1989, 63, 1528–1529. [Google Scholar] [CrossRef]
- Xue, H.; Zhang, L.; Yu, A.; Lin, M.; Guo, Q.; Xu, L.; Huang, H. Prenatal genetic analysis of fetal aberrant right subclavian artery with or without additional ultrasound anomalies in a third level referral center. Sci. Rep. 2023, 13, 3414. [Google Scholar] [CrossRef] [PubMed]
- Chen, L.P.; Lai, Y.F.; Zhong, X.H.; You, J.H.; Chen, J.H.; Xie, J.X.; Chen, X.K.; Chen, X.Y.; Lyu, G.R. Predictive value of aberrant right subclavian artery for fetal chromosome aneuploidy in women of advanced maternal age. BMC Pregnancy Childbirth 2021, 21, 148. [Google Scholar] [CrossRef]
- Borenstein, M.; Minekawa, R.; Zidere, V.; Nicolaides, K.H.; Allan, L.D. Aberrant right subclavian artery at 16–23 + 6 weeks of gestation: A chromosomal marker abnormality. Ultrasound Obstet. Gynecol. 2010, 36, 548–552. [Google Scholar] [CrossRef]
- Martínez-Payo, C.; Suanzes, E.; Gómez-Manrique, A.; Arranz, A.; Pérez-Medina, T. Aberrant right subclavian artery as soft marker in the diagnosis of trisomy 21 during the first trimester of pregnancy. Arch. Gynecol. Obstet. 2022, 305, 1439–1444. [Google Scholar] [CrossRef] [PubMed]
- Gul, A.; Cor Ba Cioglu, A.; Ba Kirci, I.T.; Ceylan, Y. Associated anomalies and outcome of fetal aberrant right subclavian artery. Arch. Gynecol. Obstet. 2012, 285, 27–30. [Google Scholar] [CrossRef] [PubMed]
- Rembouskos, G.; Passamonti, U.; Robertis, V.D.; Tempesta, A.; Campobasso, G.; Volpe, G.; Gentile, M.; Vople, P. Aberrant right subclavian artery (ARSA) in unselected population at first and second trimester ultrasonography. Prenat. Diagn. 2012, 32, 968–975. [Google Scholar] [CrossRef]
- Lourenço, C.S.F.P.; Carriço, A.L.; Valente, F.M.D.S. Prenatal diagnosis of aberrant right subclavian artery: Association with genetic abnormalities. Rev. Bras. Ginecol. Obstet. 2021, 43, 452–456. [Google Scholar] [CrossRef]
- De León-Luis, J.; Gámez, F.; Bravo, C.; Tenías, J.M.; Arias, Á.; Pérez, R.; Maroto, E.; Aguarón, Á.; Ortiz-Quintana, L. Second-trimester fetal aberrant right subclavian artery: Original study, systematic review and meta-analysis of performance in detection of Down syndrome. Ultrasound Obstet. Gynecol. 2014, 44, 147–153. [Google Scholar] [CrossRef]
- Corbacioglu, E.A.; Kupelioglu, L. EP04.29: Prenatal diagnosis of Turner syndrome in a case of isolated aberrant right subclavian artery. Ultrasound Obstet. Gynecol. 2017, 50, 277. [Google Scholar] [CrossRef]
- Polguj, M.; Chrzanowski, Ł.; Kasprzak, J.D.; Stefańczyk, L.; Topol, M.; Majos, A. The aberrant right subclavian artery (arteria lusoria): The morphological and clinical aspects of one of the most important variations—A systematic study of 141 reports. Sci. World J. 2014, 2014, 292734. [Google Scholar] [CrossRef] [PubMed]
- Chaoui, R.; Thiel, G.; Heling, K.S. Prevalence of an aberrant right subclavian artery (ARSA) in fetuses with chromosomal aberrations. Ultrasound Obstet. Gynecol. 2006, 28, 414–415. [Google Scholar] [CrossRef]
- Behram, M.; Süzen Çaypınar, S.; Oğlak, S.C.; Sezer, S.; Çorbacıoğlu Esmer, A. Should isolated aberrant right subclavian artery be ignored in the antenatal period? A management dilemma. Turk. J. Obstet. Gynecol. 2021, 18, 103–108. [Google Scholar] [CrossRef] [PubMed]


| Parameter | Median (Range)/n (%) | |
|---|---|---|
| Maternal age (years) | 32 | (24, 39) |
| Height | 158 | (152, 167.5) |
| Weight | 73.3 | (55, 113) |
| BMI | 27.72 | (22.04, 40.28) |
| Gestational age | 38 + 2 | (29 + 1, 39 + 4) |
| Fetal body weight (gm) | 2864 | (1038, 3600) |
| Fetal outcome | ||
| Alive | 20 | (95.23) |
| Stillbirth | 1 | (4.76) |
| Fetal sex | ||
| Male | 10 | (47.62) |
| Female | 11 | (52.38) |
| Parameters | n |
|---|---|
| STS (normal) | 2 |
| Karyotype (normal) | 9 |
| Karyotype +Array (normal) | 4 |
| NIPT | 10 |
| NIPT1 (normal) | 2 |
| NIPT2 (normal) | 5 |
| NIPT3 (normal) | 3 |
| Postnatal Sonographic Cardiac Findings | n | % |
|---|---|---|
| Bilateral peripheral pulmonary stenosis | 1 | (8.33) |
| Left peripheral pulmonary stenosis | 2 | (16.6) |
| Minimal TR and mild PR with normal PA pressure | 1 | (8.33) |
| Minimal TR and minimal PR with minimal RV hypertension | 1 | (8.33) |
| Minimal TR and minimal PR with normal PA pressure | 10 | (83.33) |
| Moderate MR | 1 | (8.33) |
| Minimal MR | 1 | (8.33) |
| Muscular VSD, left-to-right shunt | 1 | (8.33) |
| No coarctation of the aorta | 12 | (100.00) |
| No VSD | 11 | (91.67) |
| Normal coronary artery size and origins, bilateral | 12 | (100.00) |
| Normal LV systolic function and heart size | 12 | (100.00) |
| PDA | ||
| PDA: 0.19 cm | 1 | (8.33) |
| PDA closed | 4 | (33.3) |
| PDA: 0.11 cm | 1 | (8.33) |
| PDA: 0.12 cm | 1 | (8.33) |
| PDA: 0.13 cm | 1 | (8.33) |
| PDA: 0.17 cm | 1 | (8.33) |
| PFO vs. ASD, secundum, left-to-right shunt | 12 | (100.00) |
Disclaimer/Publisher’s Note: The statements, opinions and data contained in all publications are solely those of the individual author(s) and contributor(s) and not of MDPI and/or the editor(s). MDPI and/or the editor(s) disclaim responsibility for any injury to people or property resulting from any ideas, methods, instructions or products referred to in the content. |
© 2025 by the authors. Licensee MDPI, Basel, Switzerland. This article is an open access article distributed under the terms and conditions of the Creative Commons Attribution (CC BY) license (https://creativecommons.org/licenses/by/4.0/).
Share and Cite
Lin, R.J.; Law, K.-S.; Wu, P.-J. Comprehensive Analysis of the Aberrant Right Subclavian Artery: A Perspective from a Single Institute. Diagnostics 2025, 15, 772. https://doi.org/10.3390/diagnostics15060772
Lin RJ, Law K-S, Wu P-J. Comprehensive Analysis of the Aberrant Right Subclavian Artery: A Perspective from a Single Institute. Diagnostics. 2025; 15(6):772. https://doi.org/10.3390/diagnostics15060772
Chicago/Turabian StyleLin, Rou Jiun, Kim-Seng Law, and Pei-Jhen Wu. 2025. "Comprehensive Analysis of the Aberrant Right Subclavian Artery: A Perspective from a Single Institute" Diagnostics 15, no. 6: 772. https://doi.org/10.3390/diagnostics15060772
APA StyleLin, R. J., Law, K.-S., & Wu, P.-J. (2025). Comprehensive Analysis of the Aberrant Right Subclavian Artery: A Perspective from a Single Institute. Diagnostics, 15(6), 772. https://doi.org/10.3390/diagnostics15060772

