Multimodal Elastography of the Main Salivary Glands—A Narrative Review
Abstract
1. Introduction
2. Elastography Principles and Methods
2.1. Strain Elastography (SE)
- Qualitative parameters:
- Elastogram = strain image in which the normalized strain is used to represent the average value within a region of interest (ROI) to provide a stable image that is unaffected by variations in compression intensity. Elastograms are color-coded maps that can be dynamically displayed alongside or superimposed on gray-scale images. Depending on the lesions’ stiffness pattern in comparison to the surrounding tissues, several elastographic scores have been proposed [2,7].
- Semiquantitative parameters:
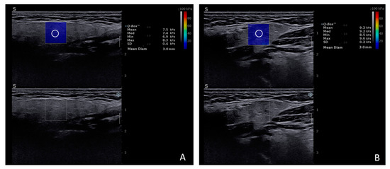
2.2. Shear Wave Elastography (SWE)
2.3. Viscoelastography—“The New Actor on Stage”
3. Clinical Applications of Ultrasound Elastography in Salivary Gland Pathology
3.1. Diffuse Salivary Gland Diseases
3.1.1. Normal Values of Salivary Gland Stiffness
3.1.2. Primary Sjögren’s Syndrome
3.1.3. Radiation Therapy-Induced Injuries
3.1.4. Sialolithiasis
3.2. Salivary Glands Tumors
3.3. Viscoelastography—What Do We Know So Far?
3.4. Specific Challenges of Salivary Gland Elastography
4. Conclusions
Author Contributions
Funding
Institutional Review Board Statement
Informed Consent Statement
Conflicts of Interest
References
- Bhatia, K.S.S.; Dai, Y.L. Routine and Advanced Ultrasound of Major Salivary Glands. Neuroimaging Clin. N. Am. 2018, 28, 273–293. [Google Scholar] [CrossRef]
- Shiina, T.; Nightingale, K.R.; Palmeri, M.L.; Palmeri, M.L.; Hall, T.J.; Bamber, J.C.; Barr, R.G.; Castera, L.; Choi, B.I.; Chou, Y.-H.; et al. WFUMB guidelines and recommendations for clinical use of ultrasound elastography: Part 1: Basic principles and terminology. Ultrasound Med. Biol. 2015, 41, 1126–1147. [Google Scholar] [CrossRef]
- Sugimoto, K.; Moriyasu, F.; Oshiro, H.; Yoshimasu, Y.; Takeuchi, H.; Kasai, Y.; Furuichi, Y.; Itoi, T. Value of viscosity and viscoelasticity measurement in patients with NAFLD using shear wave ultrasound elastography. Kanzo 2018, 59, 370–373. [Google Scholar] [CrossRef]
- Bamber, J.; Cosgrove, D.; Dietrich, C.F.; Fromageau, J.; Bojunga, J.; Calliada, F.; Cantisani, V.; Correas, J.-M.; D’Onofrio, M.; Drakonaki, E.E.; et al. EFSUMB guidelines and recommendations on the clinical use of ultrasound elastography. Part 1: Basic principles and technology. Ultraschall Med. 2013, 34, 169–184. [Google Scholar] [CrossRef] [PubMed]
- Săftoiu, A.; Gilja, O.H.; Sidhu, P.S.; Dietrich, C.F.; Cantisani, V.; Amy, D.; Bachmann-Nielsen, M.; Bob, F.; Bojunga, J.; Brock, M.; et al. The EFSUMB Guidelines and Recommendations for the Clinical Practice of Elastography in Non-Hepatic Applications: Update 2018. Ultraschall Med. 2019, 40, 425–453. [Google Scholar] [CrossRef] [PubMed]
- Dietrich, C.F.; Barr, R.G.; Farrokh, A.; Dighe, M.; Hocke, M.; Jenssen, C.; Dong, Y.; Saftoiu, A.; Havre, R.F. Strain Elastography—How To Do It? Ultrasound Int. Open 2017, 3, E137–E149. [Google Scholar] [CrossRef] [PubMed]
- Zhang, X.; Zhang, S.; Feng, R.; Yao, H.; Tang, S.; He, J. Sonoelastography of salivary glands for diagnosis and clinical evaluation in primary Sjögren’s syndrome. Clin. Exp. Rheumatol. 2021, 39 (Suppl. S133), 184–189. [Google Scholar] [CrossRef] [PubMed]
- Farrokh, A.; Wojcinski, S.; Degenhardt, F. Diagnostic value of strain ratio measurement in the differentiation of malignant and benign breast lesions. Ultraschall Med. 2011, 32, 400–405. [Google Scholar] [CrossRef] [PubMed]
- Garra, B.S.; Cespedes, E.I.; Ophir, J.; Spratt, S.R.; Zuurbier, R.A.; Magnant, C.M.; Pennanen, M.F. Elastography of breast lesions: Initial clinical results. Radiology 1997, 202, 79–86. [Google Scholar] [CrossRef]
- Ferraioli, G.; Barr, R.G.; Farrokh, A.; Radzina, M.; Cui, X.W.; Dong, Y.; Rocher, L.; Cantisani, V.; Polito, E.; D’onofrio, M.; et al. How to perform shear wave elastography. Part I. Med. Ultrason. 2022, 24, 95–106. [Google Scholar] [CrossRef]
- Sandrin, L.; Fourquet, B.; Hasquenoph, J.-M.; Yon, S.; Fournier, C.; Mal, F.; Christidis, C.; Ziol, M.; Poulet, B.; Kazemi, F.; et al. Transient elastography: A new noninvasive method for assessment of hepatic fibrosis. Ultrasound Med. Biol. 2003, 29, 1705–1713. [Google Scholar] [CrossRef]
- Dietrich, C.F.; Bamber, J.; Berzigotti, A.; Bota, S.; Cantisani, V.; Castera, L.; Cosgrove, D.; Ferraioli, G.; Friedrich-Rust, M.; Gilja, O.H.; et al. EFSUMB Guidelines and Recommendations on the Clinical Use of Liver Ultrasound Elastography, Update 2017 (Long Version). Ultraschall Med. 2017, 38, e16–e47. [Google Scholar] [PubMed]
- Chen, S.; Sanchez, W.; Callstrom, M.R.; Gorman, B.; Lewis, J.T.; Sanderson, S.O.; Greenleaf, J.F.; Xie, H.; Shi, Y.; Pashley, M.; et al. Assessment of liver viscoelasticity by using shear waves induced by ultrasound radiation force. Radiology 2013, 266, 964–970. [Google Scholar] [CrossRef] [PubMed]
- Chen, S.; Urban, M.W.; Pislaru, C.; Kinnick, R.; Greenleaf, J.F. Liver elasticity and viscosity quantification using shearwave dispersion ultrasound vibrometry (SDUV). Annu. Int. Conf. IEEE Eng. Med. Biol. Soc. 2009, 2009, 2252–2255. [Google Scholar]
- Herman, J.; Sedlackova, Z.; Vachutka, J.; Furst, T.; Salzman, R.; Vomacka, J. Shear wave elastography parameters of normal soft tissues of the neck. Biomed. Pap. Med. Fac. Univ. Palacky. Olomouc Czech Repub. 2017, 161, 320–325. [Google Scholar] [CrossRef] [PubMed]
- Badarinza, M.; Serban, O.; Maghear, L.; Bocsa, C.; Micu, M.; Porojan, M.D.; Chis, B.A.; Albu, A.; Fodor, D. Multimodal ultrasound investigation (grey scale, Doppler and 2D-SWE) of salivary and lacrimal glands in healthy people and patients with diabetes mellitus and/or obesity, with or without sialosis. Med. Ultrason. 2019, 21, 257–264. [Google Scholar] [CrossRef]
- Mantsopoulos, K.; Klintworth, N.; Iro, H.; Bozzato, A. Applicability of shear wave elastography of the major salivary glands: Values in healthy patients and effects of gender, smoking and pre-compression. Ultrasound Med. Biol. 2015, 41, 2310–2318. [Google Scholar] [CrossRef] [PubMed]
- Cornec, D.; Saraux, A.; Jousse-Joulin, S.; Pers, J.-O.; Boisramé-Gastrin, S.; Renaudineau, Y.; Gauvin, Y.; Roguedas-Contios, A.-M.; Genestet, S.; Chastaing, M.; et al. The Differential Diagnosis of Dry Eyes, Dry Mouth, and Parotidomegaly: A Comprehensive Review. Clin. Rev. Allergy Immunol. 2015, 49, 278–287. [Google Scholar] [CrossRef]
- Cindil, E.; Oktar, S.O.; Akkan, K.; Sendur, H.N.; Mercan, R.; Tufan, A.; Ozturk, M.A. Ultrasound elastography in assessment of salivary glands involvement in primary Sjögren’s syndrome. Clin. Imaging 2018, 50, 229–234. [Google Scholar] [CrossRef] [PubMed]
- Elbeblawy, Y.M.; Mohamed, E.A.M. Strain and shear wave ultrasound elastography in evaluation of chronic inflammatory disorders of major salivary glands. Dentomaxillofac Radiol. 2020, 49, 20190225. [Google Scholar] [CrossRef]
- Arslan, S.; Durmaz, M.S.; Erdogan, H.; Esmen, S.E.; Turgut, B.; Iyisoy, M.S. Two-Dimensional Shear Wave Elastography in the Assessment of Salivary Gland Involvement in Primary Sjögren’s Syndrome. J. Ultrasound Med. 2020, 39, 949–956. [Google Scholar] [CrossRef] [PubMed]
- Cheng, L.; Yang, Y.; Ma, A.J. Performance of salivary glands ultrasonography, shear wave elastography and their combined use for the diagnosis of primary and secondary Sjögren’s syndrome. J. Appl. Clin. Med. Phys. 2024, 25, e14441. [Google Scholar] [CrossRef] [PubMed]
- Bădărînză, M.; Serban, O.; Maghear, L.; Bocsa, C.; Micu, M.; Damian, L.; Felea, I.; Fodor, D. Shear wave elastography as a new method to identify parotid lymphoma in primary Sjögren Syndrome patients: An observational study. Rheumatol. Int. 2020, 40, 1275–1281. [Google Scholar] [CrossRef] [PubMed]
- Barbosa-Cobos, R.E.; Torres-González, R.; Meza-Sánchez, A.V.; Ventura-Ríos, L.; Concha-Del-Río, L.E.; Ramírez-Bello, J.; Álvarez-Hernández, E.; Meléndez-Mercado, C.I.; Enríquez-Sosa, F.E.; Samuria-Flores, C.J.; et al. A Novel Technique for the Evaluation and Interpretation of Elastography in Salivary Gland Involvement in Primary Sjögren Syndrome. Front. Med. 2022, 9, 913589. [Google Scholar] [CrossRef] [PubMed]
- Dai, X.; Sui, X.; Chen, S.; Zhao, B.; Liu, Z.; Wang, X. The diagnostic performance of salivary gland ultrasound elastography in Sjögren’s syndrome and sicca symptoms: A systematic review and meta-analysis. Eur. Radiol. 2024, 34, 1545–1555. [Google Scholar] [CrossRef] [PubMed]
- Hofauer, B.; Mansour, N.; Heiser, C.; Gahleitner, C.; Thuermel, K.; Bas, M.; Knopf, A. Sonoelastographic Modalities in the Evaluation of Salivary Gland Characteristics in Sjögren’s Syndrome. Ultrasound Med. Biol. 2016, 42, 2130–2139. [Google Scholar] [CrossRef]
- Knopf, A.; Hofauer, B.; Thürmel, K.; Meier, R.; Stock, K.; Bas, M.; Manour, N. Diagnostic utility of Acoustic Radiation Force Impulse (ARFI) imaging in primary Sjoegren`s syndrome. Eur. Radiol. 2015, 25, 3027–3034. [Google Scholar] [CrossRef] [PubMed]
- Jensen, S.B.; Pedersen, A.M.L.; Vissink, A.; Andersen, E.; Brown, C.G.; Davies, A.N.; Dutilh, J.; Fulton, J.S.; Jankovic, L.; Lopes, N.N.F.; et al. A systematic review of salivary gland hypofunction and xerostomia induced by cancer therapies: Management strategies and economic impact. Support. Care Cancer. 2010, 18, 1061–1079. [Google Scholar] [CrossRef]
- Hofauer, B.; Roth, A.; Heiser, C.; Schukraft, J.; Johnson, F.; Zhu, Z.; Knopf, A. Point Shear Wave Elastography in Diagnosis and Follow-Up of Salivary Gland Affection After Head and Neck Cancer Treatment. J. Clin. Med. 2022, 11, 6285. [Google Scholar] [CrossRef]
- Kałużny, J.; Kopeć, T.; Szczepanek-Parulska, E.; Stangierski, A.; Gurgul, E.; Ruchała, M.; Milecki, P.; Wierzbicka, M. Shear wave elastography: A new noninvasive tool to assess the intensity of fibrosis of irradiated salivary glands in head and neck cancer patients. Biomed. Res. Int. 2014, 2014, 157809. [Google Scholar] [CrossRef]
- Fang, K.M.; Wen, M.H.; Hsu, W.L.; Chang, C.M.; Hou, P.Y.; Liao, L.J. Ultrasonographic and elastographic biometry in adult major salivary glands: A preliminary case-control report. Sci. Rep. 2019, 9, 8885. [Google Scholar] [CrossRef] [PubMed]
- Rahatli, F.K.; Turnaoglu, H.; Iyidir, O.T.; Kirnap, N.G.; Haberal, K.M.; Aydın, E.; Uslu, N. Assessment of Parotid and Submandibular Glands with Shear Wave Elastography Following Radioactive Iodine Therapy for Papillary Thyroid Carcinoma. J. Ultrasound Med. 2019, 38, 357–362. [Google Scholar] [CrossRef]
- Reichel, C.A.; Vincek, T.; Gellrich, D.; Schrötzlmair, F.; Clevert, D.; Zengel, P. Ultrasound elastography in diagnosis and follow-up for patients with sialolithiasis. Dentomaxillofac Radiol. 2018, 47, 20170424. [Google Scholar] [CrossRef] [PubMed]
- Chang, C.F.; Wang, H.K. Ultrasound shear wave elastography for patients with sialolithiasis undergoing interventional sialendoscopy. Laryngoscope Investig. Otolaryngol. 2023, 8, 76–81. [Google Scholar] [CrossRef] [PubMed]
- Matsuda, E.; Fukuhara, T.; Donishi, R.; Taira, K.; Koyama, S.; Morisaki, T.; Fujiwara, K.; Takeuchi, H. Clinical Utility of Qualitative Elastography Using Acoustic Radiation Force Impulse for Differentiating Benign from Malignant Salivary Gland Tumors. Ultrasound Med. Biol. 2021, 47, 279–287. [Google Scholar] [CrossRef] [PubMed]
- Karaman, C.Z.; Başak, S.; Polat, Y.D.; Ünsal, A.; Taşkın, F.; Kaya, E.; Günel, C. The Role of Real-Time Elastography in the Differential Diagnosis of Salivary Gland Tumors. J. Ultrasound Med. 2019, 38, 1677–1683. [Google Scholar] [CrossRef] [PubMed]
- Altinbas, N.K.; Gundogdu Anamurluoglu, E.; Oz, I.I.; Yuce, C.; Yagci, C.; Ustuner, E.; Akyar, S. Real-Time Sonoelastography of Parotid Gland Tumors. J. Ultrasound Med. 2017, 36, 77–87. [Google Scholar] [CrossRef]
- Cortcu, S.; Elmali, M.; Tanrivermis Sayit, A.; Terzi, Y. The Role of Real-Time Sonoelastography in the Differentiation of Benign from Malignant Parotid Gland Tumors. Ultrasound Q. 2018, 34, 52–57. [Google Scholar] [CrossRef]
- Ghajarzadeh, M.; Mohammadifar, M.; Emami-Razavi, S.H. Role of sonoelastography in differentiating benign and malignant salivary gland tumors: A systematic review and meta analysis. Austin J. Radiol. 2016, 3, 1047. [Google Scholar]
- Wierzbicka, M.; Kaluzny, J.; Szczepanek-Parulska, E.; Stangierski, A.; Gurgul, E.; Kopeć, T.; Ruchała, M. Is sonoelastography a helpful method for evaluation of parotid tumors? Eur. Arch. Otorhinolaryngol. 2013, 270, 2101–2107. [Google Scholar] [CrossRef]
- Bhatia, K.S.; Cho, C.C.; Tong, C.S.; Lee, Y.Y.; Yuen, E.H.; Ahuja, A.T. Shear wave elastography of focal salivary gland lesions: Preliminary experience in a routine head and neck US clinic. Eur. Radiol. 2012, 22, 957–965. [Google Scholar] [CrossRef] [PubMed]
- Su, H.Z.; Yang, J.J.; Li, Z.Y.; Hong, L.C.; Lin, W.J.; Chen, C.; Guo, J.; Fang, Z.Y.; Xue, E.S. A nomogram incorporating clinical, conventional ultrasound and shear wave elastography findings for distinguishing pleomorphic adenoma from Warthin’s tumor of the major salivary glands. Dentomaxillofac Radiol. 2023, 52, 20230051. [Google Scholar] [CrossRef]
- Abba, M.; Allon, I.; Markovich-Roth, T.; Abramson, A.; London, D. Efficacy of Ultrasound Shear Wave Elastography in the Diagnosis of Salivary Gland Tumors. J. Oral. Maxillofac. Surg. 2023, 81, 780–789. [Google Scholar] [CrossRef] [PubMed]
- Zhang, Y.F.; Li, H.; Wang, X.M.; Cai, Y.F. Sonoelastography for differential diagnosis between malignant and benign parotid lesions: A meta-analysis. Eur. Radiol. 2019, 29, 725–735. [Google Scholar] [CrossRef] [PubMed]
- Sugimoto, K.; Moriyasu, F.; Oshiro, H.; Takeuchi, H.; Yoshimasu, Y.; Kasai, Y.; Itoi, T. Clinical utilization of shear wave dispersion imaging in diffuse liver disease. Ultrasonography 2020, 39, 3–10. [Google Scholar] [CrossRef]
- Rus, G.; Faris, I.H.; Torres, J.; Callejas, A.; Melchor, J. Why Are Viscosity and Nonlinearity Bound to Make an Impact in Clinical Elastographic Diagnosis? Sensors 2020, 20, 2379. [Google Scholar] [CrossRef]
- Muntean, D.; Lenghel, M.; Ciurea, A.; Dudea, S. Viscosity Plane-wave UltraSound (ViPLUS) in the assessment of parotid and submandibular glands in healthy subjects—Preliminary results. Med. Ultrason. 2022, 24, 300–304. [Google Scholar] [CrossRef]
- Muntean, D.D.; Lenghel, M.L.; Petea-Balea, D.R.; Ciurea, A.I.; Solomon, C.; Dudea, S.M. Functional Evaluation of Major Salivary Glands Using Viscosity PLUS and 2D Shear-Wave PLUS Elastography Techniques in Healthy Subjects-A Pilot Study. Diagnostics 2022, 12, 1963. [Google Scholar] [CrossRef]





Disclaimer/Publisher’s Note: The statements, opinions and data contained in all publications are solely those of the individual author(s) and contributor(s) and not of MDPI and/or the editor(s). MDPI and/or the editor(s) disclaim responsibility for any injury to people or property resulting from any ideas, methods, instructions or products referred to in the content. |
© 2025 by the authors. Licensee MDPI, Basel, Switzerland. This article is an open access article distributed under the terms and conditions of the Creative Commons Attribution (CC BY) license (https://creativecommons.org/licenses/by/4.0/).
Share and Cite
Donci, D.D.; Lenghel, L.M.; Dinu, C.; Stoia, S.; Bădărînză, M.; Mocan, R.; Solomon, C.; Ciurea, A. Multimodal Elastography of the Main Salivary Glands—A Narrative Review. Diagnostics 2025, 15, 411. https://doi.org/10.3390/diagnostics15040411
Donci DD, Lenghel LM, Dinu C, Stoia S, Bădărînză M, Mocan R, Solomon C, Ciurea A. Multimodal Elastography of the Main Salivary Glands—A Narrative Review. Diagnostics. 2025; 15(4):411. https://doi.org/10.3390/diagnostics15040411
Chicago/Turabian StyleDonci, Delia Doris, Lavinia Manuela Lenghel, Cristian Dinu, Sebastian Stoia, Maria Bădărînză, Rareș Mocan, Carolina Solomon, and Anca Ciurea. 2025. "Multimodal Elastography of the Main Salivary Glands—A Narrative Review" Diagnostics 15, no. 4: 411. https://doi.org/10.3390/diagnostics15040411
APA StyleDonci, D. D., Lenghel, L. M., Dinu, C., Stoia, S., Bădărînză, M., Mocan, R., Solomon, C., & Ciurea, A. (2025). Multimodal Elastography of the Main Salivary Glands—A Narrative Review. Diagnostics, 15(4), 411. https://doi.org/10.3390/diagnostics15040411

