Right or Left: Which Is the Right Radial Access for Liver Transarterial Chemoembolization?
Abstract
1. Introduction
2. Materials and Methods
2.1. Study Design
2.2. Pre-Procedural Clinical Evaluation
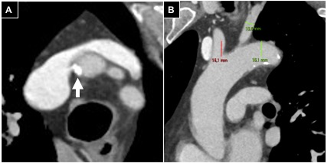
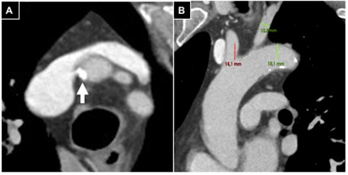
2.3. Pre-Procedural Vascular Evaluation
2.4. Procedures
2.5. Radiation Dose Evaluation
2.6. Outcome Monitoring
2.7. Follow-Up
2.8. Statistical Analysis
3. Results
4. Discussion
5. Conclusions
Author Contributions
Funding
Institutional Review Board Statement
Informed Consent Statement
Data Availability Statement
Conflicts of Interest
References
- Guimaraes, M.; Fischman, A.; Yu, H.; Tasse, J.; Stewart, J.; Pereira, K.; RAVI Registry Investigators. The RAVI registry: Prospective, multicenter study of radial access in embolization procedures—30 days follow up. CVIR Endovasc. 2024, 7, 15. [Google Scholar] [CrossRef]
- Posham, R.; Biederman, D.M.; Patel, R.S.; Kim, E.; Tabori, N.E.; Nowakowski, F.S.; Lookstein, R.A.; Fischman, A.M. Transradial Approach for Noncoronary Interventions: A Single-Center Review of Safety and Feasibility in the First 1500 Cases. J. Vasc. Interv. Radiol. 2016, 27, 159–166. [Google Scholar] [CrossRef]
- Kis, B.; Mills, M.; Hoffe, S.E. Hepatic radioembolization from transradial access: Initial experience and comparison to transfemoral access. Diagn. Interv. Radiol. 2016, 22, 444–449. [Google Scholar] [CrossRef]
- Bishay, V.L.; Biederman, D.M.; Ward, T.J.; van der Bom, I.M.; Patel, R.S.; Kim, E.; Nowakowski, F.S.; Lookstein, R.A.; Fischman, A.M. Transradial approach for hepatic Radioembolization: Initial results and technique. AJR Am. J. Roentgenol. 2016, 207, 1112–1121. [Google Scholar] [CrossRef]
- Pryor, W.; Bourgeois, A.; Sanders, K.; Gilbert, P.; Egbert, R.; Yamada, R.; Guimaraes, M. Radial access for liver-directed therapy: A single center prospective study. J. Vasc. Interv. Radiol. 2016, 27, S196. [Google Scholar] [CrossRef]
- Iezzi, R.; Posa, A.; Bilhim, T.; Guimaraes, M. Most common misconceptions about transradial approach in interventional radiology: Results from an international survey. Diagn. Interv. Radiol. 2021, 27, 649–653. [Google Scholar] [CrossRef] [PubMed]
- Campeau, L. Percutaneous radial artery approach for coronary angiography. Cathet. Cardiovasc. Diagn. 1989, 16, 3–7. [Google Scholar] [CrossRef] [PubMed]
- Roffi, M.; Patrono, C.; Collet, J.-P.; Mueller, C.; Valgimigli, M.; Andreotti, F.; Bax, J.J.; Borger, M.A.; Brotons, C.; Chew, D.P.; et al. 2015 ESC guidelines for the management of acute coronary syndromes in patients presenting without persistent ST-segment elevation: Task force for the Management of Acute Coronary Syndromes in patients presenting without persistent STsegment elevation of the European Society of Cardiology (ESC). Eur. Heart J. 2016, 37, 267–315. [Google Scholar] [PubMed]
- Writing Committee Members; Lawton, J.S.; Tamis-Holland, J.E.; Bangalore, S.; Bates, E.R.; Beckie, T.M.; Bischoff, J.M.; Bittl, J.A.; Cohen, M.G.; DiMaio, J.M.; et al. 2021 ACC/AHA/SCAI guideline for coronary artery revascularization: A report of the American College of Cardiology/American Heart Association joint committee on clinical practice guidelines. J. Am. Coll. Cardiol. 2022, 79, e21–e129. [Google Scholar]
- Romano, D.G.; Frauenfelder, G.; Tartaglione, S.; Diana, F.; Saponiero, R. Trans-radial approach: Technical and clinical outcomes in neurovascular procedures. CVIR Endovasc. 2020, 3, 58. [Google Scholar] [CrossRef]
- Shah, R.M.; Patel, D.; Abbate, A.; Cowley, M.J.; Jovin, I.S. Comparison of transradial coronary procedures via right radial versus left radial artery approach: A meta-analysis. Catheter Cardiovasc. Interv. 2016, 88, 1027–1033. [Google Scholar] [CrossRef]
- Biondi-Zoccai, G.; Sciahbasi, A.; Bodí, V.; Fernández-Portales, J.; Kanei, Y.; Romagnoli, E.; Agostoni, P.; Sangiorgi, G.; Lotrionte, M.; Modena, M.G. Right versus left radial artery access for coronary procedures: An international collaborative systematic review and meta-analysis including 5 randomized trials and 3210 patients. Int. J. Cardiol. 2013, 166, 621–626. [Google Scholar] [CrossRef]
- Patel, I.J.; Davidson, J.C.; Nikolic, B.; Salazar, G.M.; Schwartzberg, M.S.; Walker, T.G.; Saad, W.A.; Standards of Practice Committee, with Cardiovascular and Interventional Radiological Society of Europe (CIRSE) Endorsement. Consensus guidelines for periprocedural management of coagulation status and hemostasis risk in percutaneous image-guided interventions. J. Vasc. Interv. Radiol. 2012, 23, 727–736. [Google Scholar] [CrossRef]
- Giurazza, F.; Vizzuso, A.; Capussela, T.; De Martino, F.; Palmese, V.P.; Giorgetti, G.; Corvino, F.; Ierardi, A.M.; Biondetti, P.; Lucatelli, P.; et al. Left radial vs right femoral: Comparison between arterial accesses in c-TACE procedures in terms of operator radiations exposure and patient comfort. Radiol. Med. 2024, 129, 1936–1943. [Google Scholar] [CrossRef]
- Jiang, H.; Chen, Y.; Liao, H.; Gu, Y.; Meng, X.; Dong, W. Operator radiation dose during trans-hepatic arterial chemoembolization: Different patients’ positions via transradial or transfemoral access. Diagn. Interv. Radiol. 2022, 28, 376–382. [Google Scholar] [CrossRef]
- Dauer, L.T.; Thornton, R.H.; Miller, D.L.; Damilakis, J.; Dixon, R.G.; Marx, M.V.; Schueler, B.A.; Vañó, E.; Venkatesan, A.; Bartal, G.; et al. Radiation management for interventions using fluoroscopic or computed tomographic guidance during pregnancy: A joint guideline of the Society of Interventional Radiology and the Cardiovascular and Interventional Radiological Society of Europe with endorsement by the Canadian Interventional Radiology Association. J. Vasc. Interv. Radiol. 2012, 23, 19–32. [Google Scholar] [CrossRef]
- von Boetticher, H.; Lachmund, J.; Hoffmann, W. An analytic approach to double dosimetry algorithms in occupational dosimetry using energy dependent organ dose conversion coefficients. Health Phys. 2010, 99, 800–805. [Google Scholar] [CrossRef]
- Filippiadis, D.K.; Binkert, C.; Pellerin, O.; Hoffmann, R.T.; Krajina, A.; Pereira, P.L. Cirse quality assurance document and standards for classification of complications: The Cirse classification system. Cardiovasc. Interv. Radiol. 2017, 40, 1141–1146. [Google Scholar] [CrossRef] [PubMed]
- Aldin, Z.; Weaver, J.; Khan, M.; Sadik, T.; Manolas, V.; Tsampoukas, G.; Khatri, T.; Rebek, M.; Gharib, A.; Diss, J. A modified technique for radial artery access: How interventional radiologists can optimise the cardiologists’ technique to suite their procedures. CVIR Endovasc. 2025, 8, 1. [Google Scholar] [CrossRef] [PubMed]
- Yamada, R.; Bracewell, S.; Bassaco, B.; Camacho, J.; Anderson, M.B.; Conrad, A.; Lynn, C.; Burns, P.; Collins, H.; Guimaraes, M. Transradial versus transfemoral arterial access in liver cancer embolization: Randomized trial to assess patient satisfaction. J. Vasc. Interv. Radiol. 2018, 29, 38–43. [Google Scholar] [CrossRef] [PubMed]
- Zhang, X.; Luo, Y.; Tsauo, J.; Zhao, H.; Gong, T.; Li, J.; Li, Y.; Zeng, H.; Sun, W.; Li, X. Transradial versus transfemoral access without closure device for transarterial chemoembolization in patients with hepatocellular carcinoma: A randomized trial. Eur. Radiol. 2022, 32, 6812–6819. [Google Scholar] [CrossRef] [PubMed]
- Yakupoğlu, A.; Buturak, Ö.S.U. Transradial access for transarterial radioembolization (TARE) in patients with hepatocellular carcinoma: Comparison with transfemoral access. Cardiovasc. Interv. Radiol. 2023, 46, 1359–1364. [Google Scholar] [CrossRef] [PubMed]
- Khayrutdinov, E.; Vorontsov, I.; Arablinskiy, A.; Shcherbakov, D.; Gromov, D. A randomized comparison of transradial and transfemoral access in uterine artery embolization. Diagn. Interv. Radiol. 2021, 27, 59–64. [Google Scholar] [CrossRef]
- Liu, L.B.; Cedillo, M.A.; Bishay, V.; Ranade, M.; Patel, R.S.; Kim, E.; Nowakowski, S.F.; Lookstein, R.A.; Fischman, A.M. Patient experience and preference in transradial versus transfemoral access during transarterial radioembolization: A randomized single-center trial. J. Vasc. Interv. Radiol. 2019, 30, 414–420. [Google Scholar] [CrossRef]
- Grégory, J.; Ronot, M.; Laurent, V.; Chabrot, P.; de Baere, T.; Chevallier, P.; Vilgrain, V.; Aubé, C.; French Society of Abdominal and Gastrointestinal Imaging (SIAD) and French Society of Interventional and Cardiovascular Imaging (SFICV). French Society of Abdominal and Gastrointestinal Imaging (SIAD) and French Society of Interventional and Cardiovascular Imaging (SFICV). French interventional radiology centers’ uptake of transradial approach and outpatient hepatocellular carcinoma intra-arterial treatments. Cardiovasc. Interv. Radiol. 2024, 47, 432–440. [Google Scholar]
- Wang, Y.; Zhao, Y.; Xu, M.; Wang, Y.; Li, S.; Fang, Y.; Han, X.; Zhang, K. Efficacy of patient-controlled hydromorphone analgesia in those undergoing uterine fibroid artery embolization via the right radial artery. J. Interv. Med. 2023, 6, 20–23. [Google Scholar] [CrossRef]
- Roy, A.K.; Garot, P.; Louvard, Y.; Neylon, A.; Spaziano, M.; Sawaya, F.J.; Fernandez, L.; Roux, Y.; Blanc, R.; Piotin, M.; et al. Comparison of Transradial vs Transfemoral Access for Aortoiliac and Femoropopliteal Interventions: A Single-Center Experience. J. Endovasc. Ther. 2016, 23, 880–888. [Google Scholar] [CrossRef] [PubMed]
- Iezzi, R.; Posa, A.; Contegiacomo, A.; Maresca, A.; Rodolfino, E.; Merlino, B.; Bilhim, T.; Guimaraes, M. Application and Validation of a transRADial Access Score (RAD-Access) in Patient Selection for Safe Radial Access in Liver Cancer Intra-Arterial Procedures. Cancers 2025, 17, 1385. [Google Scholar] [CrossRef]
- Gayed, A.; Yamada, R.; Bhatia, S.; Fischman, A.; Heran, M.K.S.; Himes, E.A.; Klass, D.; Patel, S.; Schiro, B.J.; Walker, T.G.; et al. Society of interventional radiology quality improvement standards on radial artery access. J. Vasc. Interv. Radiol. 2021, 32, 761.e1–761.e21. [Google Scholar] [CrossRef]
- Rivera, K.; Fernández-Rodríguez, D.; Ferreiro, J.L. Distal radial access in interventional cardiology: Technique, pitfalls and recommendations. Cardiovasc. Diagn. Ther. 2025, 15, 665–683. [Google Scholar] [CrossRef]
- Plourde, G.; Pancholy, S.B.; Nolan, J.; Jolly, S.; Rao, S.V.; Amhed, I.; Bangalore, S.; Patel, T.; Dahm, J.B.; Bertrand, O.F. Radiation exposure in relation to the arterial access site used for diagnostic coronary angiography and percutaneous coronary intervention: A systematic review and meta-analysis. Lancet 2015, 386, 2192–2203. [Google Scholar] [CrossRef] [PubMed]








| Population | Right Radial (32) | Left Radial (29) |
|---|---|---|
| Procedure | 14 c-TACE 18 DSM-TACE | 16 c-TACE 13 DSM-TACE |
| Coagulation function | Preserved 7 antiplt/NOA tx 2 INR/PLT anomalies | Preserved 6 antiplt/NOA tx 1 INR/PLT anomalies |
| Technical success | 31/32 (96.8%) (1 conversion to femoral) | 29/29 (100%) |
| Complications | Major: 0 (0%) Minor: 4 (12.5%) | Major: 0 (0%) Minor: 3 (10.3%) |
| Patient discomfort at 24 h (VAS scale 1–10) | 1.3 (range: 0–4) | 1.7 (range: 0–5) |
| Intraprocedural operator comfort (VAS scale 1–10) | 2.1 (range: 1–4) | 5.3 (range: 2–7) |
| Right Radial | Left Radial | ||
|---|---|---|---|
| TLD Position | EquivalentDose Normalized for FT [μSv/min] | Equivalent Dose Normalized for FT [μSv/min] | p-Value |
| TLD left shoulder | 8.1 ± 6.4 (1.4–27.9) | 6.59 ± 4.9 (1.99–18.85) | 0.756 |
| TLD right shoulder | 4.2 ± 2.5 (1.4–10.9) | 4.67 ± 3.48 (1.99–14.38) | 0.868 |
| TLD left wrist | 12.5 ± 21.2 (0.7–98.9) | 13.54 ± 12.22 (0.59–49.21) | 0.696 |
| TLD right wrist | 2 ± 2.4 (0.5–11.4) | 4.35 ± 6.54 (0.63–28.9) | 0.542 |
| Left arm glasses | 4.2 ± 4.5 (0.74–18) | 3.86 ± 3.94 (0.59–15.13) | 0.964 |
| Right arm glasses | 1.1 ± 0.5 (0.5–2.3) | 3.27 ± 4.34 (0.59–18.15) | 0.078 |
Disclaimer/Publisher’s Note: The statements, opinions and data contained in all publications are solely those of the individual author(s) and contributor(s) and not of MDPI and/or the editor(s). MDPI and/or the editor(s) disclaim responsibility for any injury to people or property resulting from any ideas, methods, instructions or products referred to in the content. |
© 2025 by the authors. Licensee MDPI, Basel, Switzerland. This article is an open access article distributed under the terms and conditions of the Creative Commons Attribution (CC BY) license (https://creativecommons.org/licenses/by/4.0/).
Share and Cite
Giurazza, F.; Corvino, F.; D’Antuono, F.; Carrubba, C.; Roccatagliata, P.; De Martino, F.; Pirozzi Palmese, V.; Capussela, T.; Niola, R. Right or Left: Which Is the Right Radial Access for Liver Transarterial Chemoembolization? Diagnostics 2025, 15, 2796. https://doi.org/10.3390/diagnostics15212796
Giurazza F, Corvino F, D’Antuono F, Carrubba C, Roccatagliata P, De Martino F, Pirozzi Palmese V, Capussela T, Niola R. Right or Left: Which Is the Right Radial Access for Liver Transarterial Chemoembolization? Diagnostics. 2025; 15(21):2796. https://doi.org/10.3390/diagnostics15212796
Chicago/Turabian StyleGiurazza, Francesco, Fabio Corvino, Felice D’Antuono, Claudio Carrubba, Pietro Roccatagliata, Fortuna De Martino, Valentina Pirozzi Palmese, Tiziana Capussela, and Raffaella Niola. 2025. "Right or Left: Which Is the Right Radial Access for Liver Transarterial Chemoembolization?" Diagnostics 15, no. 21: 2796. https://doi.org/10.3390/diagnostics15212796
APA StyleGiurazza, F., Corvino, F., D’Antuono, F., Carrubba, C., Roccatagliata, P., De Martino, F., Pirozzi Palmese, V., Capussela, T., & Niola, R. (2025). Right or Left: Which Is the Right Radial Access for Liver Transarterial Chemoembolization? Diagnostics, 15(21), 2796. https://doi.org/10.3390/diagnostics15212796

