Preliminary Evidence for a Western Blot Diagnosis of Satoyoshi Syndrome Using SH-SY5Y Neuroblastoma Cell Lysate as the Antigen Source
Abstract
1. Introduction
2. Participants and Methods
2.1. Patient Samples
2.1.1. Case 1 [14]
2.1.2. Case 2 [15]
2.1.3. Case 3 [16]
2.2. Control Groups
2.3. Laboratory Methods
2.3.1. Preparation of SH-SY5Y Cell Lysates
2.3.2. Western Blot
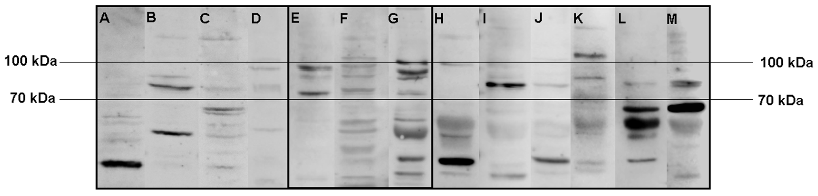
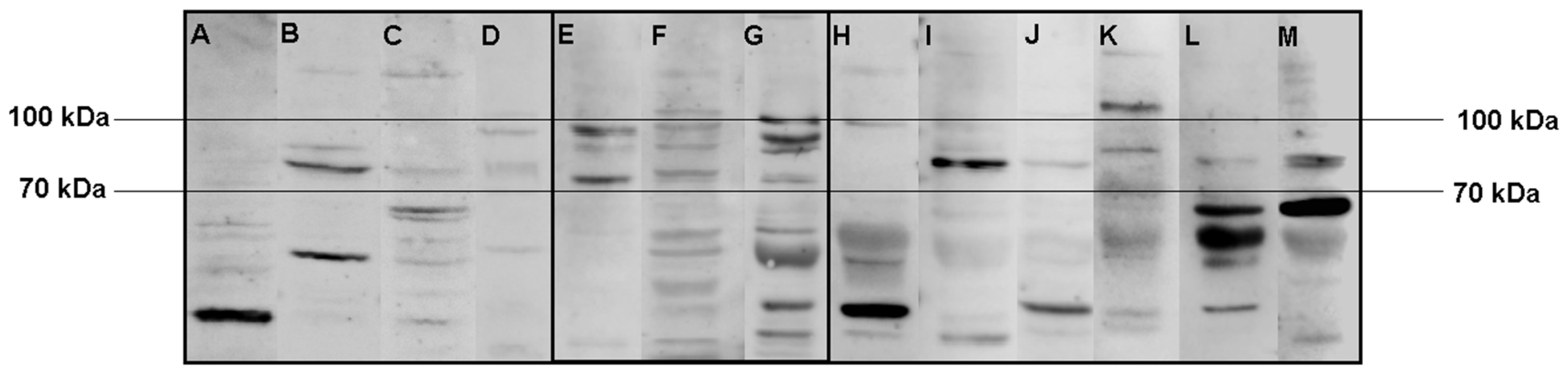
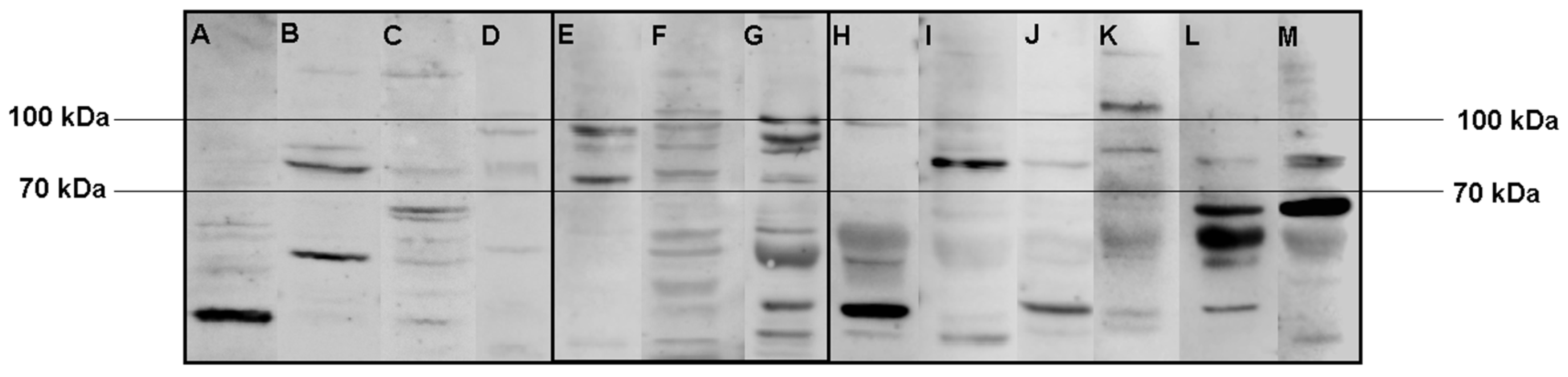
3. Results
4. Discussion
5. Conclusions
Author Contributions
Funding
Institutional Review Board Statement
Informed Consent Statement
Data Availability Statement
Acknowledgments
Conflicts of Interest
Abbreviations
| SH-SY5Y | Human-derived neuroblastoma cell line used extensively in scientific research |
| ANAs | Antinuclear antibodies |
| AChR | Anti-acetylcholine receptor |
| SDS-PAGE | Sodium dodecyl sulfate–polyacrylamide gel electrophoresis |
References
- OMIM®—Online Mendelian Inheritance in Man. 600705 SATOYOSHI SYNDROME. Available online: https://omim.org/entry/600705?search=%22satoyoshi%20syndrome%22&highlight=%22satoyoshi%20%28syndromic%7Csyndrome%29%22 (accessed on 14 October 2024).
- Satoyoshi, E.; Yamada, K. Recurrent muscle spasms of central origin a report of two cases. Arch. Neurol. 1967, 16, 254–264. [Google Scholar] [CrossRef] [PubMed]
- Montanaro, V.V.A.; Solís-García del Pozo, J.; Hora, T.F.; León, B.H.; de Cabo, C.; Solera, J. Is Satoyoshi syndrome an autoimmune disease? A systematic review. Rheumatology 2023, 62, 2343–2351. [Google Scholar] [CrossRef] [PubMed]
- Ehlayel, M.S.; Lacassie, Y. Satoyoshi syndrome: An unusual postnatal multisystemic disorder. Am. J. Med. Genet. 1995, 57, 620–625. [Google Scholar] [CrossRef] [PubMed]
- Venegas-Vega, C.A.; Rivera-Vega, M.R.; Cuevas-Covarrubias, S.; Orozco, J.; Kofman-Alfaro, S. Satoyoshi syndrome with unusual skeletal abnormalities and parental consanguinity. Am. J. Med. Genet. Part A 2009, 149, 2448–2451. [Google Scholar] [CrossRef] [PubMed]
- Rudnicka, L.; Kwiatkowska, M.; Rakowska, A.; Czuwara, J.; Olszewska, M. Alopecia areata. How not to miss Satoyoshi syndrome? J. Dermatol. 2014, 41, 951–956. [Google Scholar] [CrossRef] [PubMed]
- Castiglioni, C.; Díaz, A.; Moënne, K.; Mericq, V.; Salvador, F.; Hernández, C. Síndrome de Satoyoshi: Enfermedad multisistémica con respuesta exitosa a tratamiento esteroidal. Rev. Med. Chile 2009, 137, 542–546. [Google Scholar] [CrossRef] [PubMed]
- Endo, K.; Kumagai, T.; Nakahara, T.; Nakamura, K.; Shimizu, M.; Watanabe, A.; Homma, M.; Yamamoto, T. A novel autoantibody associated with Satoyoshi syndrome. Neuroimmunology 2001, 9, 102–103. [Google Scholar]
- Matsuura, E.; Matsuyama, W.; Sameshima, T.; Arimura, K. Satoyoshi syndrome has antibody against brain and gastrointestinal tissue. Muscle Nerve 2007, 36, 400–403. [Google Scholar] [CrossRef] [PubMed]
- Wang, H.; Boeren, S.; Bakker, W.; Rietjens, I.M.C.M.; Saccenti, E.; Zheng, L. An integrated proteomics and metabolomics analysis of methylglyoxal-induced neurotoxicity in a human neuroblastoma cell line. npj Sci. Food 2024, 8, 84. [Google Scholar] [CrossRef] [PubMed]
- Alaiya, A.; Alharbi, B.M.; Shinwari, Z.; Rashid, M.; Albinhassan, T.H.; Bouchama, A.; Alwesmi, M.B.; Mohammad, S.; Malik, S.S. Proteomics Analysis of Proteotoxic Stress Response in In-Vitro Human Neuronal Models. Int. J. Mol. Sci. 2024, 25, 6787. [Google Scholar] [CrossRef] [PubMed]
- Abyadeh, M.; Gupta, V.; Liu, X.; Rossio, V.; Mirzaei, M.; Cornish, J.; Paulo, J.A.; Haynes, P.A. Proteome-Wide Profiling Using Sample Multiplexing of a Human Cell Line Treated with Cannabidiol (CBD) and Tetrahydrocannabinol (THC). Proteomes 2023, 11, 36. [Google Scholar] [CrossRef] [PubMed]
- Alrashidi, H.; Eaton, S.; Heales, S. Biochemical characterization of proliferative and differentiated SH-SY5Y cell line as a model for Parkinson’s disease. Neurochem. Int. 2021, 145, 105009. [Google Scholar] [CrossRef] [PubMed]
- Solera, J.; Álvarez, S.; Botet, J.; de Cabo, C. A newly homozygous variant in ZNF808: A possible candidate gene for Satoyoshi Syndrome? J. Neurol. Sci. 2017, 379, 226–228. [Google Scholar] [CrossRef] [PubMed]
- Merino de Paz, N.; Rodriguez-Martin, M.; Contreras Ferrer, P.; Eliche, M.P.; Noda Cabrera, A. Satoyoshi Syndrome: A Cause of Alopecia Universalis in Association with Neurologic and Bony Abnormalities. Pediatr. Dermatol. 2013, 30, e22–e24. [Google Scholar] [CrossRef] [PubMed]
- Heger, S.; Kuester, R.M.; Volk, R.; Stephani, U.; Sippell, W.G. Satoyoshi syndrome: A rare multisystemic disorder requiring systemic and symptomatic treatment. Brain Dev. 2006, 28, 300–304. [Google Scholar] [CrossRef] [PubMed]


Disclaimer/Publisher’s Note: The statements, opinions and data contained in all publications are solely those of the individual author(s) and contributor(s) and not of MDPI and/or the editor(s). MDPI and/or the editor(s) disclaim responsibility for any injury to people or property resulting from any ideas, methods, instructions or products referred to in the content. |
© 2025 by the authors. Licensee MDPI, Basel, Switzerland. This article is an open access article distributed under the terms and conditions of the Creative Commons Attribution (CC BY) license (https://creativecommons.org/licenses/by/4.0/).
Share and Cite
Sevilla Avendaño, J.M.; Garrido, C.; Rodríguez Clemente, I.; Solís-García del Pozo, J.; Stephani, U.; Martínez, R.; de Cabo, C.; Ceña, V.; Solera, J. Preliminary Evidence for a Western Blot Diagnosis of Satoyoshi Syndrome Using SH-SY5Y Neuroblastoma Cell Lysate as the Antigen Source. Diagnostics 2025, 15, 2797. https://doi.org/10.3390/diagnostics15212797
Sevilla Avendaño JM, Garrido C, Rodríguez Clemente I, Solís-García del Pozo J, Stephani U, Martínez R, de Cabo C, Ceña V, Solera J. Preliminary Evidence for a Western Blot Diagnosis of Satoyoshi Syndrome Using SH-SY5Y Neuroblastoma Cell Lysate as the Antigen Source. Diagnostics. 2025; 15(21):2797. https://doi.org/10.3390/diagnostics15212797
Chicago/Turabian StyleSevilla Avendaño, José María, Carlos Garrido, Irene Rodríguez Clemente, Julián Solís-García del Pozo, Ulrich Stephani, Ricardo Martínez, Carlos de Cabo, Valentín Ceña, and Javier Solera. 2025. "Preliminary Evidence for a Western Blot Diagnosis of Satoyoshi Syndrome Using SH-SY5Y Neuroblastoma Cell Lysate as the Antigen Source" Diagnostics 15, no. 21: 2797. https://doi.org/10.3390/diagnostics15212797
APA StyleSevilla Avendaño, J. M., Garrido, C., Rodríguez Clemente, I., Solís-García del Pozo, J., Stephani, U., Martínez, R., de Cabo, C., Ceña, V., & Solera, J. (2025). Preliminary Evidence for a Western Blot Diagnosis of Satoyoshi Syndrome Using SH-SY5Y Neuroblastoma Cell Lysate as the Antigen Source. Diagnostics, 15(21), 2797. https://doi.org/10.3390/diagnostics15212797

