Defining “Giant” Mediastinal Tumors: Proposal of a New Clinical–Radiological Classification and Case Report
Abstract
1. Introduction
2. Materials and Methods
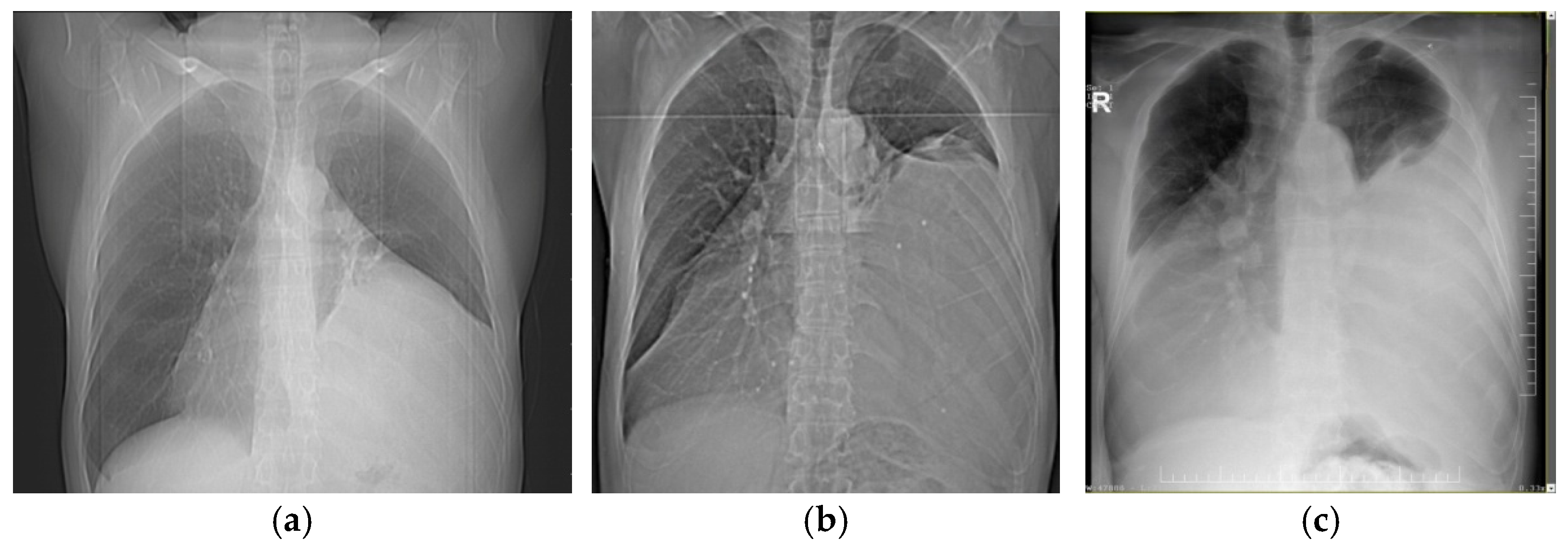
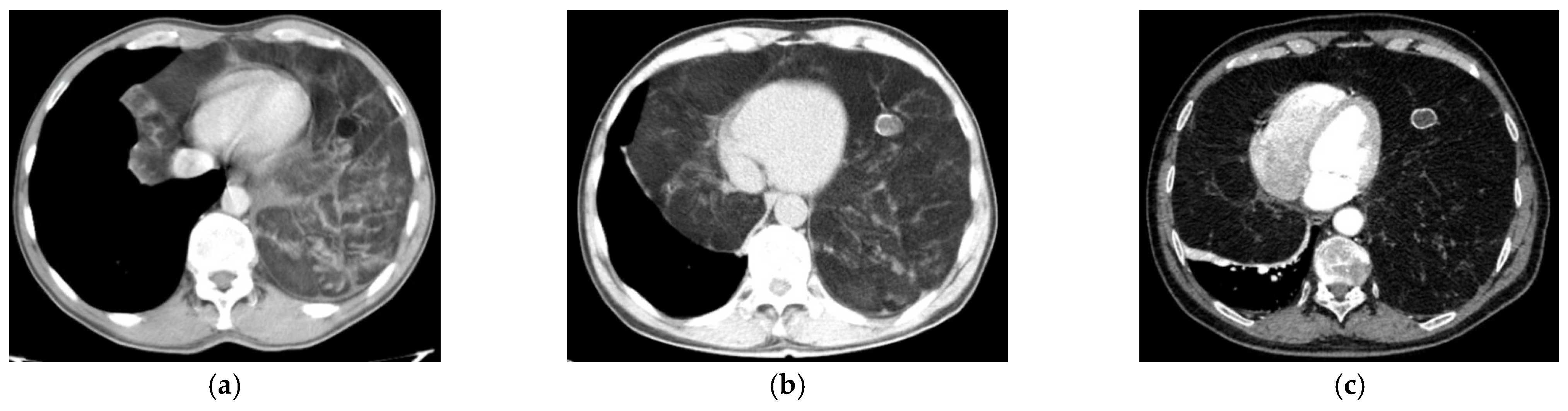
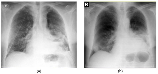
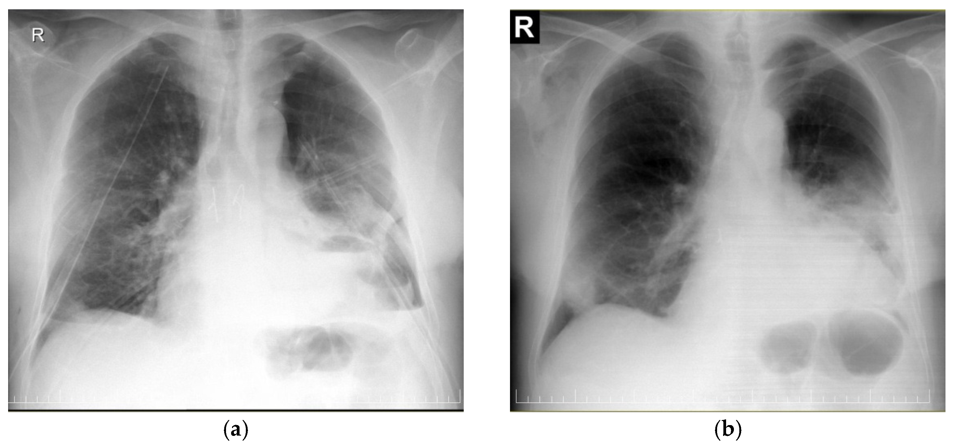
3. Results
4. Discussion
5. Conclusions
Author Contributions
Funding
Institutional Review Board Statement
Informed Consent Statement
Data Availability Statement
Conflicts of Interest
References
- Carter, B.W.; Benveniste, M.F.; Madan, R.; Godoy, M.C.; de Groot, P.M.; Truong, M.T.; Rosado-de-Christenson, M.L.; Marom, E.M. ITMIG Classification of Mediastinal Compartments and Multidisciplinary Approach to Mediastinal Masses. Radiographics 2017, 37, 413–436. [Google Scholar] [CrossRef] [PubMed]
- Brcic, L.; Roden, A.C. Histopathological features of giant mediastinal tumors-a literature review. Mediastinum 2023, 7, 37. [Google Scholar] [CrossRef] [PubMed] [PubMed Central]
- Ganesh, Y.; Yadala, V.; Nalini, Y.; Dal, A.; Raju, A.D. Huge mediastinal mass with minimal symptoms: Thymolipoma. BMJ Case Rep. 2011, 2011, bcr0520102984. [Google Scholar] [CrossRef] [PubMed] [PubMed Central]
- Ferrari, G.; Paci, M.; Sgarbi, G. Thymolipoma of the anterior mediastinum: Videothoracoscopic removal using a bilateral approach. Thorac. Cardiovasc. Surg. 2006, 54, 435–437. [Google Scholar] [CrossRef] [PubMed]
- Oliemy, A.; Butler, J. Huge thymolipoma compressing the heart in a 20-year-old patient. Asian Cardiovasc. Thorac. Ann. 2017, 25, 160–161. [Google Scholar] [CrossRef] [PubMed]
- Ghigna, M.R.; Thomas de Montpreville, V. Mediastinal tumours and pseudo-tumours: A comprehensive review with emphasis on multidisciplinary approach. Eur. Respir. Rev. 2021, 30, 200309. [Google Scholar] [CrossRef] [PubMed] [PubMed Central]
- Siddiqi, M.S.; Al Kindi, A.H.; Al Marhoon, M.; Salem, A. Giant Intrathoracic Lipoma. Sultan Qaboos Univ. Med. J. 2021, 21, 670–672. [Google Scholar] [CrossRef] [PubMed] [PubMed Central]
- Daoud, D.; Darwish, B.; Zahra, S.; Qaddoura, M. Giant thymoma presenting as a large bilateral intrathoracic mass: A case report and a comparison between median sternotomy and hemiclamshell approach. Ann. Med. Surg. 2021, 70, 102859. [Google Scholar] [CrossRef] [PubMed] [PubMed Central]
- Gong, L.H.; Wang, W.X.; Zhou, Y.; Yang, D.S.; Zhang, B.H.; Wu, J. Surgical resection of a giant thymolipoma causing respiratory failure: A case report. World J. Clin. Cases 2023, 11, 1137–1143. [Google Scholar] [CrossRef] [PubMed] [PubMed Central]
- Collaud, S.; Stork, T.; Kaman, H.; Bauer, S.; Pöttgen, C.; Schildhaus, H.U.; Schmack, B.; Aigner, C. Giant middle mediastinal lesions: When tumor size correlates with mesenchymal origin-a retrospective single-center analysis. Mediastinum 2023, 7, 24. [Google Scholar] [CrossRef] [PubMed] [PubMed Central]
- Kaplan, T.; Han, S.; Han, U.; Atac, G.K.; Yanik, S. Thymoma type B1 arising in a giant supradiaphragmatic thymolipoma. Asian Cardiovasc. Thorac. Ann. 2014, 22, 1109–1111. [Google Scholar] [CrossRef] [PubMed]
- Pei, G.; Han, Y.; Zhou, S.; Liu, Z. Giant mediastinal thymolipoma in a patient with Gardner’s syndrome. Thorac. Cancer 2015, 6, 808–811. [Google Scholar] [CrossRef] [PubMed] [PubMed Central]
- Vaziri, M.; Rad, K. Progressive Dyspnea in a 40-Year-Old Man Caused by Giant Mediastinal Thymolipoma. Case Rep. Surg. 2016, 2016, 3469395. [Google Scholar] [CrossRef] [PubMed] [PubMed Central]
- Goswami, A.; Baruah, A.R. Giant thymolipoma: A rare case presentation. Asian Cardiovasc. Thorac. Ann. 2017, 25, 143–145. [Google Scholar] [CrossRef] [PubMed]
- Aghajanzadeh, M.; Asgary, M.R.; Mesbah, A.; Hemmati, H.; Delshad, M.S.E.; Samidoust, P.; Hemmati, G. Giant thymolipoma of mediastinum and neck—initially misdiagnosed as liposarcoma by core needle biopsy. J. Family Med. Prim. Care 2018, 7, 1079–1082. [Google Scholar] [CrossRef] [PubMed] [PubMed Central]
- Yang, Y.S.; Bai, C.Y.; Li, Z.C.; Li, W.J.; Li, Y. Giant primary liposarcoma of the anterior mediastinum: A case report. Medicine 2018, 97, e12873. [Google Scholar] [CrossRef] [PubMed] [PubMed Central]
- Chen, C.; Chen, M.; Liu, W.; Yuan, Y.; Yu, F. Successful removal of giant mediastinal lipoma and liposarcoma involving both chest cavities: Two case reports. Medicine 2018, 97, e11806. [Google Scholar] [CrossRef] [PubMed] [PubMed Central]
- Nguyen, D.C.; Olatubosun, O.; Yu, W.; Loor, G.; Burt, B.M. Giant Mediastinal Liposarcoma: A Rare Yet Distinct Clinical Entity. Ann. Thorac. Surg. 2018, 106, e117–e119. [Google Scholar] [CrossRef] [PubMed]
- Sharma, K.C.; Bhakuni, Y.S.; Darlong, L.M.; Pasricha, S.; Dewan, A.K.; Chand, R.; Goswami, P.; Rajappa, S.K. A giant mediastinal thymolipoma: A rare pathological entity. Indian J. Thorac. Cardiovasc. Surg. 2019, 35, 115–117. [Google Scholar] [CrossRef] [PubMed] [PubMed Central]
- Rahman, S.M.T.; Islam, M.F.; Rasha, S.M.Z.; Rahim, A.; Elora, T.B.G.; Razzaque, A.K.M. Successful removal of the largest reported intrathoracic lipoma with bilateral extension: A case report. J. Cardiothorac. Surg. 2022, 17, 192. [Google Scholar] [CrossRef] [PubMed] [PubMed Central]
- Daniel, V.C.; Shilo, K. Two Thymomas of Different Histological Subtypes Arising in a Giant Thymolipoma: Case Report and Review of the Literature. Int. J. Surg. Pathol. 2023, 31, 813–818. [Google Scholar] [CrossRef] [PubMed] [PubMed Central]
- Soleimani, H.; Aminzadeh, B.; Hassannejad, E.; Payandeh, A.; Oudi, B.; Karimabadi, N. A rare case of giant mediastinal thymolipoma in an 18-year man. Clin. Case Rep. 2024, 12, e8530. [Google Scholar] [CrossRef] [PubMed] [PubMed Central]
- Webb, A.J.; Yassin, A.S.; Saeed, A.; Yadav, H.; Utz, J.P. Mediastinal Solitary Fibrous Tumor Diagnosed by Endobronchial Ultrasound-Directed Biopsy. Am. J. Case Rep. 2017, 18, 549–552. [Google Scholar] [CrossRef] [PubMed] [PubMed Central]
- Arrarás-Martínez, M.J.; Rieger-Reyes, C.; Panadero-Paz, C.; Landa-Oviedo, H.S.; García-Tirado, J. Giant primary mediastinal liposarcoma: A rare cause of atrial flutter. Asian Cardiovasc. Thorac. Ann. 2015, 23, 1121–1124. [Google Scholar] [CrossRef] [PubMed]
- Kandakure, P.R.; Kambhampati, S.; Katta, Y.; Timanwar, A.; Lakka, V.K. Giant bilateral posterior mediastinal liposarcoma excision. Indian. J. Thorac. Cardiovasc. Surg. 2019, 35, 91–93. [Google Scholar] [CrossRef] [PubMed] [PubMed Central]
- Savu, C.; Grigorie, V.; Melinte, A.; Diaconu, C.; Iliescu, L.; Dimitriu, M.; Balescu, I.; Bacalbasa, N. Giant Intrathoracic Schwannoma: A Case Report. In Vivo 2020, 34, 3527–3532. [Google Scholar] [CrossRef] [PubMed] [PubMed Central]
- Ataya, J.; Nahle, A.A.; Hamdar, H.; Sikaria, A.; Souleiman, Y. Mediastinal liposarcoma: A case report and review of the literature. J. Med. Case Rep. 2023, 17, 372. [Google Scholar] [CrossRef] [PubMed] [PubMed Central]
- Huang, H.Y.; Lo, C.M.; Lu, H.I.; Chang, J.P. Huge mediastinal ancient schwannoma causing acute respiratory failure: A case report. J. Cardiothorac. Surg. 2024, 19, 131. [Google Scholar] [CrossRef] [PubMed]






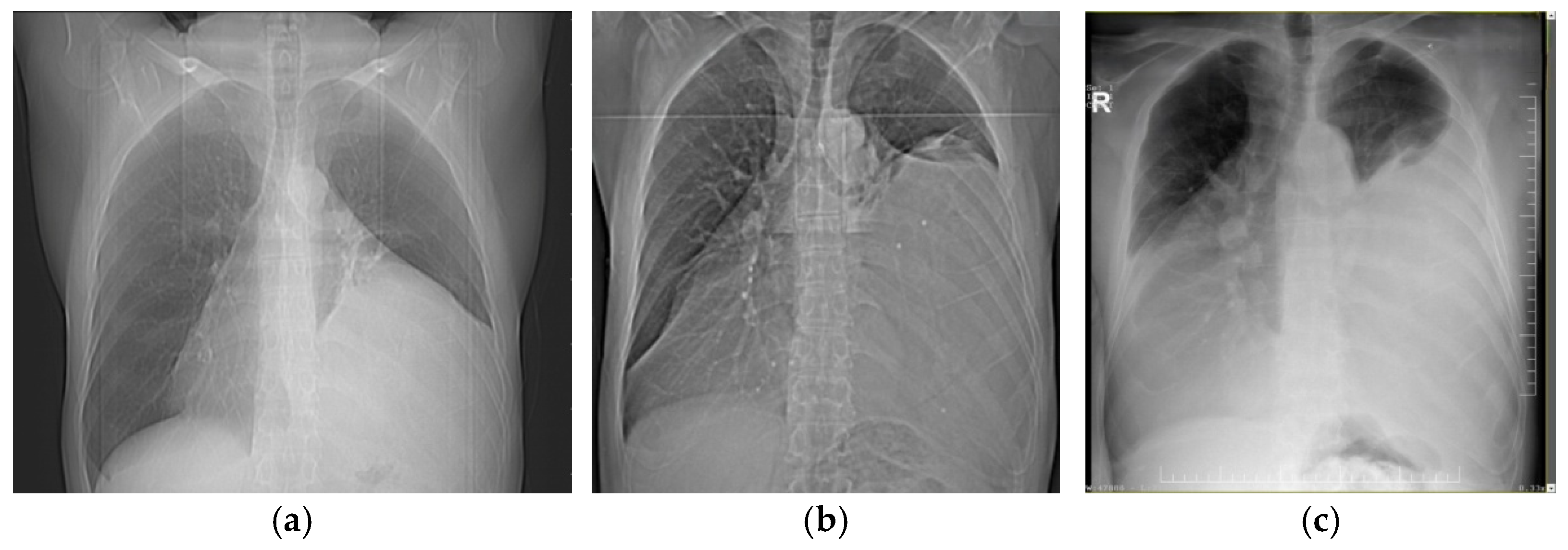
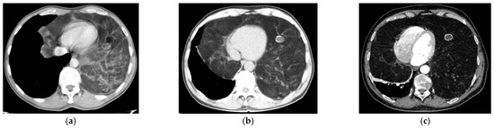
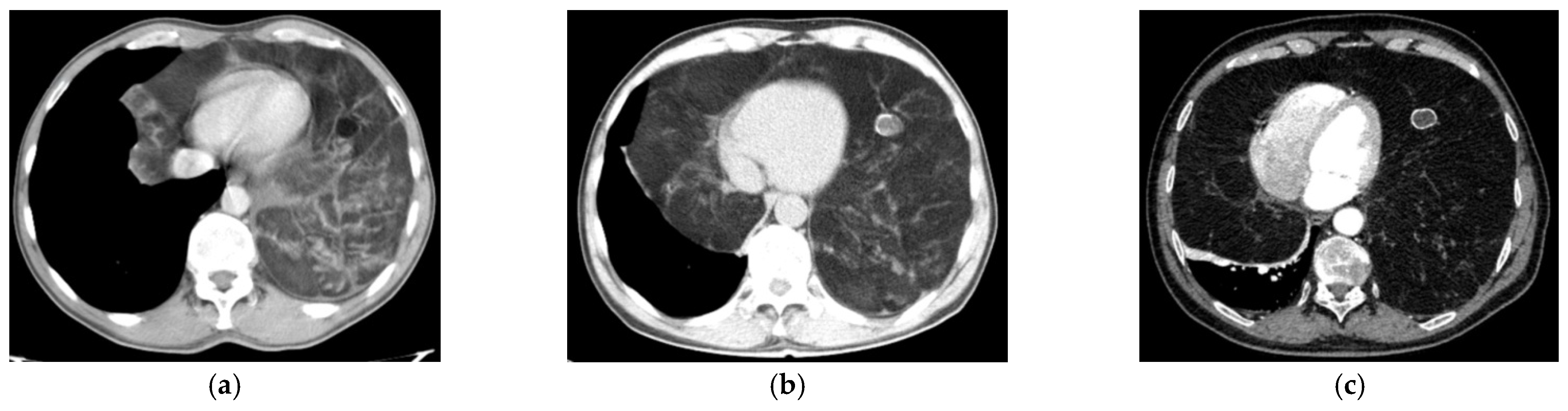
| CRC Stadium | Clinical-Radiological Findings |
|---|---|
| CRC 1 (minimal compression) |
|
| CRC 2 (moderate compression) |
|
| CRC 3 (“giant mediastinal tumor”) | |
| CRC 3A |
|
| CRC 3B |
|
| Study | Study Type | Tumor Localization (Mediastinal Compartment) | Sex | Age (y) | Symptoms | CRC Stadium * | Histology | Size (cm) | Weight (gr) | Volume (mL) # | Surgical Approach | Operative Complications |
|---|---|---|---|---|---|---|---|---|---|---|---|---|
| Kaplan, T. et al., 2014 [11] | case report | anterior | female | 23 | no symptoms | CRC 1 | thymolipoma and B1 thymoma | 20 × 15 × 3 cm | 1485 | 468 | right lateral thoracotomy enbloc resection | not mentioned |
| Pei, G. et al., 2015 [12] | case report | anterior | female | 30 | shortness of breath for approximately 3 years, with exacerbation in the last 3 months | CRC 3B | thymolipoma | 1. 20 × 17 × 15 cm 2. 28 × 25 × 17 cm | 4150 | 8840 | double posterolateral thoracotomy tumor resected in two components | none |
| Vaziri, M. et al., 2016 [13] | case report | anterior | male | 40 | progressive dyspnea and cough over the past 10 months | CRC 3A | thymolipoma | 40 × 33 × 8 cm | 4000 | 5491 | left posterolateral thoracotomy piecemeal resection | none |
| Goswami, A. et al., 2017 [14] | case report | anterior | male | 68 | progressively increasing effort intolerance and fatigue for 4 months | CRC 3A | thymolipoma | 25 × 20 × 12 cm | 3200 | 3120 | median sternotomy enbloc resection | respiratory insufficiency (mechanical ventilation for 3 days) |
| Aghajanzadeh, M. et al., 2018 [15] | case report | anterior | male | 35 | progressive chest pain, cough, dyspnea, and a right-sided neck swelling for 2 years, aggravated in the last 2 months | CRC 3B | thymolipoma | 31 × 21 × 8 cm | 5000 | 2708 | right extensive posterolateral thoracotomy enbloc resection | none |
| Yang, Y.S. et al., 2018 [16] | case report | anterior | male | 63 | chronic cough and progressive dyspnea upon exertion | CRC 3A | liposarcoma | 22 × 16 × 11 cm | 1575 | 2013 | left thoracotomy enbloc resection | none |
| Chen, C. et al., 2018 [17] | case series (2 cases) | anterior | female | 22 | mild dyspnea upon exertion | CRC 3A | lipoma | 40 × 25 × 15 cm | 3780 | 7800 | median sternotomy enbloc resection | none |
| male | 43 | gradually progressive dyspnea over 4 months | CRC 3A | liposarcoma | 28 × 25 × 10 cm | 2850 | 3640 | median sternotomy enbloc resection | none | |||
| Nguyen et al., 2018 [18] | case report | anterior | female | 48 | shortness of breath, dyspnea upon exertion, progressive nonproductive cough, and weight loss | CRC 3B emergency presentation due to dyspnea | liposarcoma | 27 × 27 × 9 cm | 3500 | 3411 | clamshell thoracotomy enbloc resection | none |
| Sharma, KC. et al., 2019 [19] | case report | anterior | male | 23 | cough and dull ache pain for 4 weeks | CRC 3A | thymolipoma | 26 × 18 × 11 cm | 6000 | 2676 | anterolateral thoracotomy and sternotomy enbloc resection | none |
| Daoud, D. et al., 2021 [8] | case report | anterior | female | 18 | progressive exertional dyspnea, weight loss, and loss of appetite | CRC 3A | thymoma B1 | 36 × 29 × 10 cm | 4500 | 5428 | median sternotomy extended with right-sided hemiclamshell tumor resected in two components | intraoperative bleeding and transfusion of 3 units blood |
| Siddiqi, M.S. et al., 2021 [7] | case report | anterior | female | 27 | abdominal pain | CRC 3A | thymolipoma | 38 × 26 × 15 cm | 2320 | 7706 | median sternotomy enbloc resection | none |
| Rahman, S.M.T. et al., 2022 [20] | case report | anterior | male | 46 | dry cough, periodic shortness of breath, and chest heaviness | CRC 3A | lipoma | 24 × 16 × 17 cm | 5400 | 3394 | median sternotomy enbloc resection | none |
| Daniel, V.C. et al., 2023 [21] | case report | anterior | male | 74 | no symptoms | CRC 2 | thymolipoma and 2 thymomas | 23.2 × 19.2 × 6.7 cm | 1060 | 1551 | not mentioned enbloc resection | not mentioned |
| Gong, L.H. et al., 2023 [9] | case report | anterior | male | 23 | progressively worsening breathlessness over 6 months, with respiratory insufficiency | CRC 3B | thymolipoma | 26 × 20 × 30 cm | 7500 | 8112 | right posterolateral thoracotomy and part of 5th rib removed piecemeal resection |
|
| Soleimani, H. et al., 2024 [22] | case report | anterior | male | 18 | no symptoms | CRC 1 | thymolipoma | 13 × 23 × 15 cm | - | 2332 | right thoracotomy enbloc resection | not mentioned |
| Webb, A.J. et al., 2017 [23] | case report | middle | male | 32 | worsening intermittent chest pain (6 months), progressive dysphagia, cough, and dyspnea | CRC 3B emergency presentation due to chest pain | solitary fibrous tumor | 17.5 × 15 × 8 cm | 910 | 1092 | not mentioned | not mentioned |
| Collaud et al., 2023 [10] | case series (4 cases) | middle | male | 41 | no symptoms | CRC 1 | esophagus leiomyoma | 8.2 cm diameter | - | 287 | posterolateral thoracotomy enbloc resection | none |
| male | 33 | cough and sudden decline in exercise capacity | CRC 3A | synovial sarcoma | initially 8.4 cm in diameter, 2.5 × 4 × 4 cm after chemotherapy | - | 21 | posterolateral thoracotomy tumor debulking (hearth infiltration) | none | |||
| female | 70 | increasing dyspnea over the last 6 months | CRC 3A | leiomyosarcoma | 9 cm diameter | - | 379 | right posterolateral thoracotomy enbloc resection | none | |||
| male | 53 | chest pain, weight loss, and night sweats | CRC 3A | undifferentiated round cell sarcoma | 12 cm in diameter | - | 899 | median sternotomy and extended resection under cardiopulmonary bypass enbloc resection | none | |||
| Arras-Martinez et al., 2015 [24] | case report | posterior | male | 68 | atrial flutter, dyspnea, and dysphagia | CRC 3B emergency presentation (atrial flutter) | liposarcoma | 17.5 × 13 × 14 cm | 1009 | 1656 | right posterolateral thoracotomy enbloc resection tumor and right lower lobe and esophagus muscular outer layer | none |
| Kandakure, P.R. et al., 2018 [25] | case report | posterior | female | 50 | severe dyspnea and dysphagia | CRC 3B | liposarcoma | 42 × 25 × 10 cm | 6000 | 5460 | left posterolateral thoracotomy enbloc resection | none |
| Savu, C. et al., 2020 [26] | case report | posterior | male | 60 | diminished tolerance of physical activity and mild dyspnea | CRC 3A | schwannoma | 20.5 × 12.5 × 9 cm | 1830 | 1199 | right anterolateral thoracotomy enbloc resection | none |
| Ataya, J. et al., 2023 [27] | case report | posterior | male | 52 | dyspnea upon exertion, dry cough, lethargy, and weight loss | CRC 3A | liposarcoma | 25 × 10 × 8 cm | 2250 | 1040 | right thoracotomy enbloc resection | none |
| Huang, H.Y. et al., 2024 [28] | case report | posterior | female | 56 | exertion dyspnea, acute respiratory failure requiring intubation in the emergency department | CRC 3B emergency (acute respiratory failure) | schwannoma | 16.5 × 12.5 × 12.0 cm | 1359 | 1287 | posterolateral thoracotomy enbloc resection | pneumonia and recurrent respiratory failure requiring reintubation |
Disclaimer/Publisher’s Note: The statements, opinions and data contained in all publications are solely those of the individual author(s) and contributor(s) and not of MDPI and/or the editor(s). MDPI and/or the editor(s) disclaim responsibility for any injury to people or property resulting from any ideas, methods, instructions or products referred to in the content. |
© 2025 by the authors. Licensee MDPI, Basel, Switzerland. This article is an open access article distributed under the terms and conditions of the Creative Commons Attribution (CC BY) license (https://creativecommons.org/licenses/by/4.0/).
Share and Cite
Palade, E.; Delaca, G.B.; Titu, I.-M.; Ciulic, S.A.; Cismaru, G.; Stef, A.; Manole, S. Defining “Giant” Mediastinal Tumors: Proposal of a New Clinical–Radiological Classification and Case Report. Diagnostics 2025, 15, 159. https://doi.org/10.3390/diagnostics15020159
Palade E, Delaca GB, Titu I-M, Ciulic SA, Cismaru G, Stef A, Manole S. Defining “Giant” Mediastinal Tumors: Proposal of a New Clinical–Radiological Classification and Case Report. Diagnostics. 2025; 15(2):159. https://doi.org/10.3390/diagnostics15020159
Chicago/Turabian StylePalade, Emanuel, George Bucur Delaca, Ioana-Medeea Titu, Sergiu Adrian Ciulic, Gabriel Cismaru, Adrian Stef, and Simona Manole. 2025. "Defining “Giant” Mediastinal Tumors: Proposal of a New Clinical–Radiological Classification and Case Report" Diagnostics 15, no. 2: 159. https://doi.org/10.3390/diagnostics15020159
APA StylePalade, E., Delaca, G. B., Titu, I.-M., Ciulic, S. A., Cismaru, G., Stef, A., & Manole, S. (2025). Defining “Giant” Mediastinal Tumors: Proposal of a New Clinical–Radiological Classification and Case Report. Diagnostics, 15(2), 159. https://doi.org/10.3390/diagnostics15020159

