Shoulder Physiological Offset Parameters in Asian Populations—A Magnetic Resonance Imaging Study
Abstract
1. Introduction
2. Materials and Methods
2.1. Patients
2.2. Inclusion Criteria
2.3. Exclusion Criteria
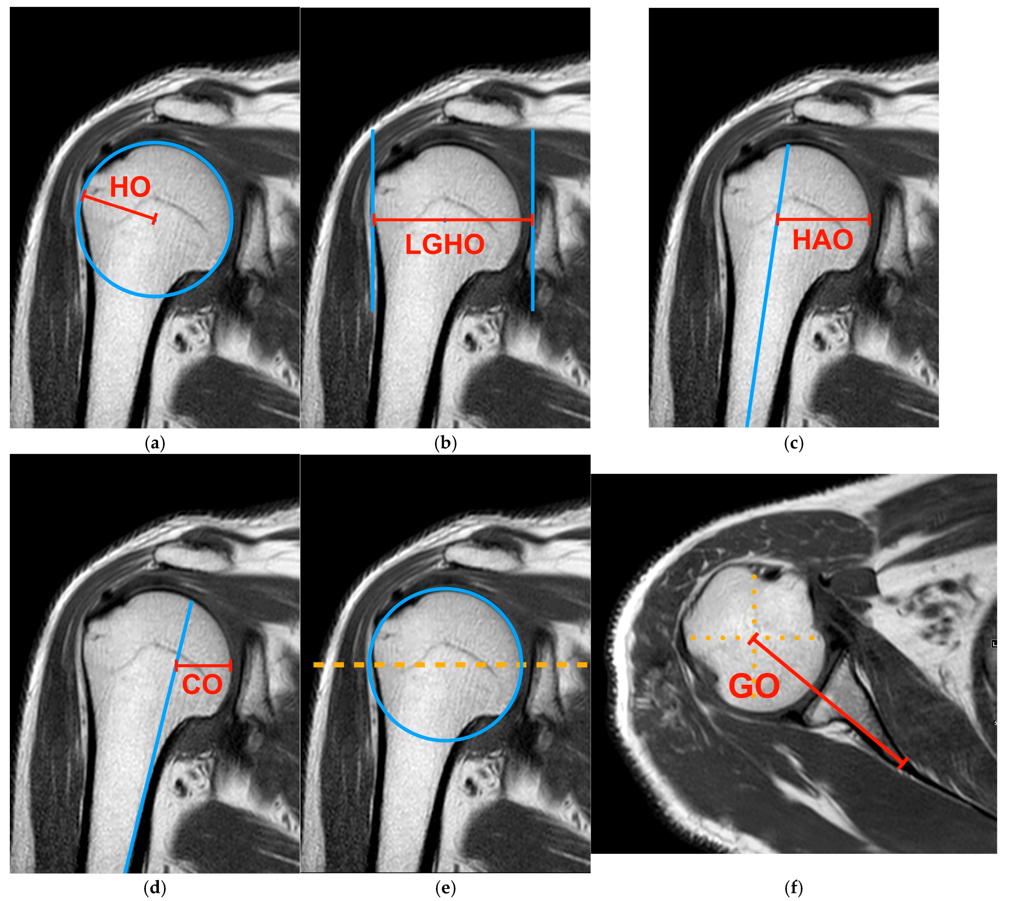
2.4. MRI Analysis, Parameters, and Methods of Measurement
2.5. Statistics
3. Results
3.1. Characteristics of Patient Groups
3.2. Analysis of the Shoulder Offset Parameters
3.2.1. Humeral Offset
3.2.2. Glenoidal Offset
3.2.3. Lateral Glenoidal Humeral Offset
3.2.4. Humeral Shaft Axis Offset
3.2.5. Cortical Offset
3.3. Subgroup Analysis
3.3.1. Analysis Stratified by Side-Specific Differences for SOPs
3.3.2. Analysis Stratified by Age-Specific Differences and Correlation Analysis of Age for SOPs
3.3.3. Analysis Stratified by Gender-Specific Differences for SOPs
3.3.4. Analysis Stratified by Grade of Osteoarthritis for SOPs
3.4. The Reliability of Measurement
4. Discussion
5. Conclusions
Supplementary Materials
Author Contributions
Funding
Institutional Review Board Statement
Informed Consent Statement
Data Availability Statement
Conflicts of Interest
References
- Carrazana-Suarez, L.F.; Panico, L.C.; Smolinski, M.P.; Blake, R.J.; McCroskey, M.A.; Sykes, J.B.; Lin, A. Humeral offset as a predictor of outcomes after reverse shoulder arthroplasty. J. Shoulder Elbow Surg. 2022, 31, S158–S165. [Google Scholar] [CrossRef]
- Kadum, B.; Wahlström, P.; Khoschnau, S.; Sjödén, G.; Sayed-Noor, A. Association of lateral humeral offset with functional outcome and geometric restoration in stemless total shoulder arthroplasty. J. Shoulder Elbow Surg. 2016, 25, e285–e294. [Google Scholar] [CrossRef] [PubMed]
- Wright, M.A.; Murthi, A.M. Offset in reverse shoulder arthroplasty: Where, when, and how much. J. Am. Acad. Orthop. Surg. 2021, 29, 89–99. [Google Scholar] [CrossRef]
- Karademir, G.; Aslan, Ö. Glenoid morphology and related parameters in Turkish society. Cureus 2022, 14, e27959. [Google Scholar] [CrossRef]
- Polascik, B.A.; Chopra, A.; Hurley, E.T.; Levin, J.M.; Rodriguez, K.; Stauffer, T.P.; Lassiter, T.E.; Anakwenze, O.; Klifto, C.S. Outcomes after bilateral shoulder arthroplasty: A systematic review. J. Shoulder Elbow Surg. 2023, 32, 861–871. [Google Scholar] [CrossRef] [PubMed]
- Puzzitiello, R.N.; Nwachukwu, B.U.; Agarwalla, A.; Cvetanovich, G.L.; Chahla, J.; Romeo, A.A.; Verma, N.N.; Forsythe, B. Patient satisfaction after total shoulder arthroplasty. Orthopedics 2020, 43, e492–e497. [Google Scholar] [CrossRef]
- Heilmann, L.F.; Katthagen, J.C.; Raschke, M.J.; Schliemann, B.; Lill, H.; El Bajjati, H.; Jensen, G.; Dey Hazra, R.-O. Promising mid-term outcomes after humeral head preserving surgery of posterior fracture dislocations of the proximal humerus. J. Clin. Med. 2021, 10, 3841. [Google Scholar] [CrossRef] [PubMed]
- Trikha, V.; Singh, V.; Choudhury, B.; Das, S. Retrospective analysis of proximal humeral fracture-dislocations managed with locked plates. J. Shoulder Elbow Surg. 2017, 26, e293–e299. [Google Scholar] [CrossRef] [PubMed]
- Bodrogi, A.; Athwal, G.S.; Howard, L.; Zhang, T.; Lapner, P. A reliable method of determining glenohumeral offset in anatomic total shoulder arthroplasty. J. Shoulder Elbow Surg. 2019, 28, 1609–1616. [Google Scholar] [CrossRef] [PubMed]
- Camus, D.; Galland, A.; Airaudi, S.; Mancini, J.; Gravier, R. Total shoulder prosthesis with humeral resurfacing: Impact on lateral offset and short-term clinical consequences. Orthop. Traumatol. Surg. Res. 2018, 104, 787–791. [Google Scholar] [CrossRef] [PubMed]
- Ahrend, M.-D.; Kühle, L.; Riedmann, S.; Bahrs, S.D.; Bahrs, C.; Ziegler, P. Radiographic parameter (s) influencing functional outcomes following angular stable plate fixation of proximal humeral fractures. Int. Orthop. 2021, 45, 1845–1852. [Google Scholar] [CrossRef]
- Tankshali, K.; Suh, D.-W.; Ji, J.-H.; Kim, C.-Y. Mid-term outcomes of bony increased offset-reverse total shoulder arthroplasty in the Asian population. Clin. Shoulder Elbow 2021, 24, 125. [Google Scholar] [CrossRef]
- Kirzner, N.; Paul, E.; Moaveni, A. Reverse shoulder arthroplasty vs BIO-RSA: Clinical and radiographic outcomes at short term follow-up. J. Orthop. Surg. Res. 2018, 13, 256. [Google Scholar] [CrossRef] [PubMed]
- Konopitski, A.; Roy, D.; Beck, M.; Malige, A.; Nwachuku, C. The value of lateral glenohumeral offset in predicting construct failure in proximal humerus fractures following internal fixation. J. Shoulder Elbow Surg. 2021, 30, 819–825. [Google Scholar] [CrossRef] [PubMed]
- Scalise, J.J.; Codsi, M.J.; Bryan, J.; Brems, J.J.; Iannotti, J.P. The influence of three-dimensional computed tomography images of the shoulder in preoperative planning for total shoulder arthroplasty. J. Bone Joint Surg. Am. 2008, 90, 2438–2445. [Google Scholar] [CrossRef]
- Werner, B.S.; Hudek, R.; Burkhart, K.J.; Gohlke, F. The influence of three-dimensional planning on decision-making in total shoulder arthroplasty. J. Shoulder Elbow Surg. 2017, 26, 1477–1483. [Google Scholar] [CrossRef]
- Chang, L.-R.; Anand, P.; Varacallo, M. Anatomy, shoulder and upper limb, glenohumeral joint. In StatPearls [Internet]; StatPearls Publishing: Treasure Island, FL, USA, 2023. [Google Scholar]
- Daniels, S.P.; Gyftopoulos, S. 3D MRI of the shoulder. Semin. Musculoskelet. Radiol. 2021, 25, 480–487. [Google Scholar] [CrossRef]
- Cabezas, A.F.; Krebes, K.; Hussey, M.M.; Santoni, B.G.; Kim, H.S.; Frankle, M.A. Morphologic variability of the shoulder between the populations of North American and East Asian. Clin. Orthop. Surg. 2016, 8, 280–287. [Google Scholar] [CrossRef] [PubMed]
- Matsumura, N.; Oki, S.; Ogawa, K.; Iwamoto, T.; Ochi, K.; Sato, K. Three-dimensional anthropometric analysis of the glenohumeral joint in a normal Japanese population. J. Shoulder Elbow Surg. 2016, 25, 493–501. [Google Scholar] [CrossRef]
- Inyang, A.O.; Roche, S.; Sivarasu, S. An interpopulation comparison of 3-dimensional morphometric measurements of the proximal humerus. JSES Int. 2020, 4, 453–463. [Google Scholar] [CrossRef]
- Zhang, Q.; Shi, L.L.; Ravella, K.C.; Koh, J.L.; Wang, S.; Liu, C. Distinct proximal humeral geometry in Chinese population and clinical relevance. J. Bone Joint Surg. Am. 2016, 98, 2071–2081. [Google Scholar] [CrossRef] [PubMed]
- Meier, M.-P.; Brandt, L.E.; Saul, D.; Roch, P.J.; Klockner, F.S.; Hosseini, A.S.A.; Lehmann, W.; Hawellek, T. Physiological Offset Parameters of the Adult Shoulder Joint—A MRI Study of 800 Patients. Diagnostics 2022, 12, 2507. [Google Scholar] [CrossRef]
- Kellgren, J.H.; Lawrence, J. Radiological assessment of osteo-arthrosis. Ann. Rheum. Dis. 1957, 16, 494–502. [Google Scholar] [CrossRef]
- Werthel, J.-D.; Walch, G.; Vegehan, E.; Deransart, P.; Sanchez-Sotelo, J.; Valenti, P. Lateralization in reverse shoulder arthroplasty: A descriptive analysis of different implants in current practice. Int. Orthop. 2019, 43, 2349–2360. [Google Scholar] [CrossRef]
- Jacobson, S.R.; Mallon, W.J. The glenohumeral offset ratio: A radiographic study. J. Shoulder Elbow Surg. 1993, 2, 141–146. [Google Scholar] [CrossRef]
- Walker, D.R.; Kinney, A.L.; Wright, T.W.; Banks, S.A. How sensitive is the deltoid moment arm to humeral offset changes with reverse total shoulder arthroplasty? J. Shoulder Elbow Surg. 2016, 25, 998–1004. [Google Scholar] [CrossRef]
- Chen, X.; Liu, C.; Liang, T.; Ren, J.; Su, S.; Li, P.; Zhu, S.; Chen, Y.; Peng, Y.; He, W.; et al. In Vivo Anatomical Research by 3D CT Reconstruction Determines Minimum Acromiohumeral, Coracohumeral, and Glenohumeral Distances in the Human Shoulder: Evaluation of Age and Sex Association in a Sample of the Chinese Population. J. Pers. Med. 2022, 12, 1804. [Google Scholar] [CrossRef]
- Ogawa, K.; Yoshida, A.; Inokuchi, W.; Naniwa, T. Acromial spur: Relationship to aging and morphologic changes in the rotator cuff. J Shoulder Elbow Surg. 2005, 14, 591–598. [Google Scholar] [CrossRef]
- Faul, F.; Erdfelder, E.; Buchner, A.; Lang, A.-G. Statistical power analyses using G*Power 3.1: Tests for correlation and regression analyses. Behav. Res. Methods 2009, 41, 1149–1160. [Google Scholar] [CrossRef]
- Bland, J.M.; Altman, D.G. Statistical methods for assessing agreement between two methods of clinical measurement. Lancet 1986, 327, 307–310. [Google Scholar] [CrossRef]
- Maurer, A.; Fucentese, S.F.; Pfirrmann, C.W.; Wirth, S.H.; Djahangiri, A.; Jost, B.; Gerber, C. Assessment of glenoid inclination on routine clinical radiographs and computed tomography examinations of the shoulder. J. Shoulder Elbow Surg. 2012, 21, 1096–1103. [Google Scholar] [CrossRef]
- Papadatou-Pastou, M.; Ntolka, E.; Schmitz, J.; Martin, M.; Munafò, M.R.; Ocklenburg, S.; Paracchini, S. Human handedness: A meta-analysis. Psychol. Bull. 2020, 146, 481. [Google Scholar] [CrossRef] [PubMed]
- Conte, A.L.F.; Marques, A.P.; Casarotto, R.A.; Amado-João, S.M. Handedness influences passive shoulder range of motion in nonathlete adult women. J. Manip. Physiol. Ther. 2009, 32, 149–153. [Google Scholar] [CrossRef] [PubMed]
- Barnes, C.J.; Van Steyn, S.J.; Fischer, R.A. The effects of age, sex, and shoulder dominance on range of motion of the shoulder. J. Shoulder Elbow Surg. 2001, 10, 242–246. [Google Scholar] [CrossRef]
- Hasler, J.; Hoch, A.; Fürnstahl, P.; Ackermann, J.; Zingg, P.O.; Vlachopoulos, L. Is the contralateral lesser trochanter a reliable reference for planning of total hip arthroplasty–a 3-dimensional analysis. BMC Musculoskelet. Disord. 2021, 22, 268. [Google Scholar] [CrossRef] [PubMed]
- Dimitriou, D.; Tsai, T.-Y.; Yue, B.; Rubash, H.; Kwon, Y.-M.; Li, G. Side-to-side variation in normal femoral morphology: 3D CT analysis of 122 femurs. Orthop. Traumatol. Surg. Res. 2016, 102, 91–97. [Google Scholar] [CrossRef]
- Demontiero, O.; Vidal, C.; Duque, G. Aging and bone loss: New insights for the clinician. Ther. Adv. Musculoskelet. Dis. 2012, 4, 61–76. [Google Scholar] [CrossRef]
- Knowles, N.K.; Carroll, M.J.; Keener, J.D.; Ferreira, L.M.; Athwal, G.S. A comparison of normal and osteoarthritic humeral head size and morphology. J. Shoulder Elbow Surg. 2016, 25, 502–509. [Google Scholar] [CrossRef]
- Knapik, D.M.; Cumsky, J.; Tanenbaum, J.E.; Voos, J.E.; Gillespie, R.J. Differences in coracoid and glenoid dimensions based on sex, race, and age: Implications for use of the Latarjet technique in glenoid reconstruction. HSS J. 2018, 14, 238–244. [Google Scholar] [CrossRef]
- Suroto, H.; Licindo, D.; Wibowo, P.A.; Gultom, G.R.R.; Aprilya, D.; Setiawati, R.; Samijo, S. Morphology of Humeral Head and Glenoid in Normal Shoulder of Indonesian Population. Orthop. Res. Rev. 2022, 14, 459–469. [Google Scholar] [CrossRef]
- Takase, K.; Yamamoto, K.; Imakiire, A.; Burkhead, W.Z., Jr. The radiographic study in the relationship of the glenohumeral joint. J. Orthop. Res. 2004, 22, 298–305. [Google Scholar] [CrossRef] [PubMed]
- Bedeir, Y.H.; Grawe, B.M.; Eldakhakhny, M.M.; Waly, A.H. Lateralized versus nonlateralized reverse total shoulder arthroplasty. Shoulder Elbow 2021, 13, 358–370. [Google Scholar] [CrossRef] [PubMed]


| Total (n = 500) | Left (n = 200) | Right (n = 300) | p-Value | |
|---|---|---|---|---|
| HO (mm) | 22.9 ± 2.4 | 22.8 ± 2.6 | 23.0 ± 2.4 | 0.139 |
| GO (mm) | 62.3 ± 6.6 | 62.2 ± 6.6 | 62.3 ± 6.6 | 0.567 |
| LGHO (mm) | 48.9 ± 4.2 | 48.6 ± 4.2 | 49.1 ± 4.1 | 0.567 |
| HAO (mm) | 25.2 ± 2.8 | 24.7 ± 2.8 | 25.5 ± 2.8 | 0.011 * |
| CO (mm) | 15.7 ± 2.7 | 15.9 ± 2.7 | 15.6 ± 2.8 | 0.181 |
| Total (n = 500) | 18–50 y (n = 155) | >50 y (n = 345) | p-Value | |
|---|---|---|---|---|
| HO (mm) | 22.9 ± 2.4 | 23.8 ± 2.5 | 22.6 ± 2.3 | <0.001 * |
| GO (mm) | 62.3 ± 6.6 | 64.1 ± 6.3 | 61.5 ± 6.5 | <0.001 * |
| LGHO (mm) | 48.9 ± 4.2 | 50.1 ± 4.5 | 48.4 ± 3.9 | <0.001 * |
| HAO (mm) | 25.2 ± 2.8 | 26.1 ± 3.2 | 24.8 ± 2.5 | <0.001 * |
| CO (mm) | 15.7 ± 2.7 | 16.6 ± 2.9 | 15.5 ± 2.6 | 0.002 * |
| Total (n = 500) | Females (n = 289) | Males (n = 211) | p-Value | |
|---|---|---|---|---|
| HO (mm) | 22.9 ± 2.4 | 21.7 ± 2.0 | 24.6 ± 2.0 | <0.001 * |
| GO (mm) | 62.3 ± 6.6 | 60.1 ± 5.9 | 65.3 ± 6.2 | <0.001 * |
| LGHO (mm) | 48.9 ± 4.2 | 46.4 ± 2.8 | 52.4 ± 3.1 | <0.001 * |
| HAO (mm) | 25.2 ± 2.8 | 24.0 ± 2.3 | 26.9 ± 2.6 | <0.001 * |
| CO (mm) | 15.7 ± 2.7 | 15.2 ± 2.7 | 16.5 ± 2.6 | 0.002 * |
| Total (n = 500) | KL 0–2 (n = 467) | KL 3–4 (n = 33) | p-Value | |
|---|---|---|---|---|
| HO (mm) | 22.9 ± 2.4 | 23.0 ± 2.4 | 22.3 ± 2.6 | 0.259 |
| GO (mm) | 62.3 ± 6.6 | 62.4 ± 6.6 | 60.7 ± 6.5 | 0.226 |
| LGHO (mm) | 48.9 ± 4.2 | 48.9 ± 4.2 | 48.9 ± 4.0 | 0.864 |
| HAO (mm) | 25.2 ± 2.8 | 25.2 ± 2.8 | 25.4 ± 3.2 | 0.634 |
| CO (mm) | 15.7 ± 2.7 | 15.8 ± 2.7 | 15.7 ± 3.1 | 0.799 |
Disclaimer/Publisher’s Note: The statements, opinions and data contained in all publications are solely those of the individual author(s) and contributor(s) and not of MDPI and/or the editor(s). MDPI and/or the editor(s) disclaim responsibility for any injury to people or property resulting from any ideas, methods, instructions or products referred to in the content. |
© 2025 by the authors. Licensee MDPI, Basel, Switzerland. This article is an open access article distributed under the terms and conditions of the Creative Commons Attribution (CC BY) license (https://creativecommons.org/licenses/by/4.0/).
Share and Cite
Huang, H.-Y.; Lin, M.-H.; Hsu, C.-H.; Kuo, L.-T. Shoulder Physiological Offset Parameters in Asian Populations—A Magnetic Resonance Imaging Study. Diagnostics 2025, 15, 146. https://doi.org/10.3390/diagnostics15020146
Huang H-Y, Lin M-H, Hsu C-H, Kuo L-T. Shoulder Physiological Offset Parameters in Asian Populations—A Magnetic Resonance Imaging Study. Diagnostics. 2025; 15(2):146. https://doi.org/10.3390/diagnostics15020146
Chicago/Turabian StyleHuang, Hung-Yi, Meng-Hao Lin, Chu-Hsiang Hsu, and Liang-Tseng Kuo. 2025. "Shoulder Physiological Offset Parameters in Asian Populations—A Magnetic Resonance Imaging Study" Diagnostics 15, no. 2: 146. https://doi.org/10.3390/diagnostics15020146
APA StyleHuang, H.-Y., Lin, M.-H., Hsu, C.-H., & Kuo, L.-T. (2025). Shoulder Physiological Offset Parameters in Asian Populations—A Magnetic Resonance Imaging Study. Diagnostics, 15(2), 146. https://doi.org/10.3390/diagnostics15020146

