Next Article in Journal
Multiparametric Quantitative Ultrasound as a Potential Imaging Biomarker for Noninvasive Detection of Nonalcoholic Steatohepatitis: A Clinical Feasibility Study
Next Article in Special Issue
Photon-Counting CT Enables Higher Image Quality at a Lower Radiation Dose Compared with a 256-Slice Energy-Integrating Detector CT in Pediatric Patients with Congenital Heart Disease
Previous Article in Journal
FracFusionNet: A Multi-Level Feature Fusion Convolutional Network for Bone Fracture Detection in Radiographic Images
 
 
Font Type:
Arial Georgia Verdana
Font Size:
Aa Aa Aa
Line Spacing:
Column Width:
Background:
Interesting Images

Aberrant ICA and Associated Skull Base Foramina Visualized on Photon Counting Detector CT: Interesting Images

Department of Radiology, Mayo Clinic, 200 First Street Southwest, Rochester, MN 55905, USA
*
Author to whom correspondence should be addressed.
Diagnostics 2025, 15(17), 2213; https://doi.org/10.3390/diagnostics15172213
Submission received: 14 July 2025 / Revised: 17 August 2025 / Accepted: 26 August 2025 / Published: 31 August 2025
(This article belongs to the Special Issue Photon-Counting CT in Clinical Application)

Abstract

Aberrant internal carotid arteries (ICA) are congenital vascular anomalies that occur from involution of the cervical portion of the ICA, which leads to enlargement of the normally small collateral inferior tympanic and caroticotympanic arteries. The inferior tympanic artery is a branch of the external carotid artery, usually the ascending pharyngeal artery, which extends through the inferior tympanic canaliculus (ITC), a small foramen located along the cochlea promontory. Aberrant ICAs can also be associated with a persistent stapedial artery (PSA), which is an abnormal vessel that arises from the petrous ICA and passes through the obturator foramen of the stapes. An aberrant ICA is a very important anomaly to recognize on imaging. Accurately describing its presence is important to help prevent iatrogenic injury during intervention. It is also important to distinguish an aberrant ICA from a lateralized ICA. The improvement of spatial resolution with photon counting detector (PCD)-CT has been proven to provide higher performance in detection of sub-centimeter vascular lesions compared to conventional energy-integrated detector (EID)-CT. PCD-CT also provides superior visualization of small skull-based foramina such as the inferior tympanic canaliculus, which can aid in more accurately characterizing an aberrant ICA (variant course without ITC involvement).

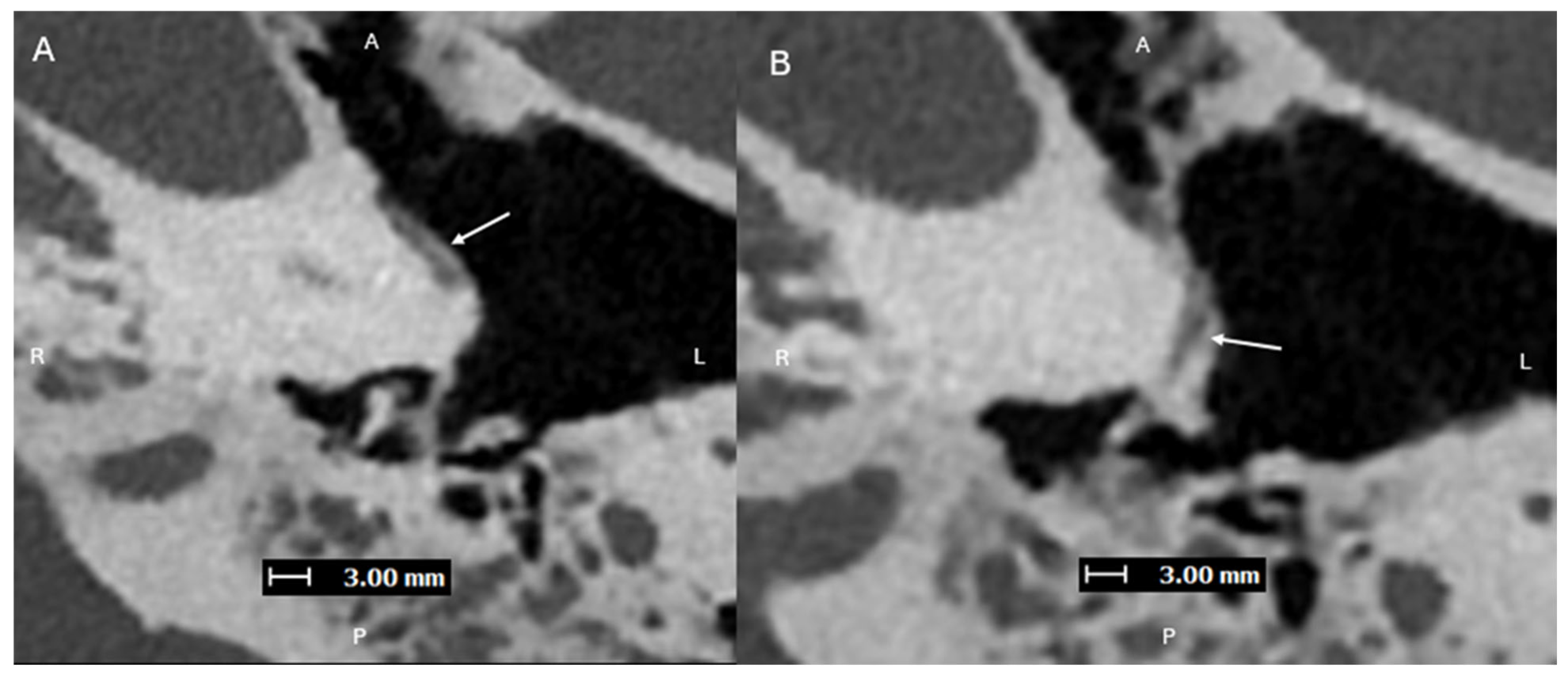
Figure 1. Axial images (superior to inferior (A,B), with A, P, L, R for orientation donating anterior, posterior, left, and right respectively) from a PCD-CT (Naeotom Alpha; Siemens Healthineers, Forchheim, Germany) temporal bone study—with UHR mode (Collimation 120 × 0.2 mm), Tube voltage (120 kVp), slice thickness/increment (0.2/0.1 mm), and sharp Kernel (Hr84) with Quantum Iterative Reconstruction (3)—demonstrating a normal left inferior tympanic canaliculus ITC (solid arrows) passing between the carotid canal and jugular foramen, traveling along the cochlear promontory. The normally small inferior tympanic artery extends through the ITC and is a branch of the external carotid artery, usually the ascending pharyngeal artery. Normally, the ITC, as in this case, is a thin corticated channel that transmits the tympanic branch of the glossopharyngeal nerve (Jacobson’s nerve) and the inferior tympanic artery. The latter is hard to visualize on EID-CT due to its small size. It can enlarge in case of congenital involution of the cervical portion of the internal carotid artery (ICA), forming the aberrant ICA [1,2].
Figure 1. Axial images (superior to inferior (A,B), with A, P, L, R for orientation donating anterior, posterior, left, and right respectively) from a PCD-CT (Naeotom Alpha; Siemens Healthineers, Forchheim, Germany) temporal bone study—with UHR mode (Collimation 120 × 0.2 mm), Tube voltage (120 kVp), slice thickness/increment (0.2/0.1 mm), and sharp Kernel (Hr84) with Quantum Iterative Reconstruction (3)—demonstrating a normal left inferior tympanic canaliculus ITC (solid arrows) passing between the carotid canal and jugular foramen, traveling along the cochlear promontory. The normally small inferior tympanic artery extends through the ITC and is a branch of the external carotid artery, usually the ascending pharyngeal artery. Normally, the ITC, as in this case, is a thin corticated channel that transmits the tympanic branch of the glossopharyngeal nerve (Jacobson’s nerve) and the inferior tympanic artery. The latter is hard to visualize on EID-CT due to its small size. It can enlarge in case of congenital involution of the cervical portion of the internal carotid artery (ICA), forming the aberrant ICA [1,2].
Diagnostics 15 02213 g001
Figure 2. Axial images (superior to inferior (AD), with A, P, L, R for orientation donating anterior, posterior, left, and right respectively) from a PCD-CTA study—with UHR mode (Collimation 120 × 0.2 mm), Tube voltage (120 kVp), slice thickness/increment (0.2/0.2 mm), and sharp Kernel (Hv56) with Quantum Iterative Reconstruction (3)—demonstrating an aberrant L ICA (solid arrows) within an enlarged ITC (dashed arrows). Aberrant ICA are congenital vascular anomalies that occur from the involution of the cervical portion of the ICA, which leads to enlargement of the normally small collateral inferior tympanic and caroticotympanic (hyoid) arteries [1]. The segment most noted as the aberrant ICA is the inferior tympanic artery [2]. The inferior tympanic artery is a branch of the external carotid artery, usually the ascending pharyngeal artery, which extends through the inferior tympanic canaliculus (ITC), and is enlarged in the setting of an aberrant ICA [3]. As this artery courses along the cochlear promontory (via the ITC), no carotid plate separates the vessel from the middle ear cavity, and the vessel appears as a vascular retrotympanic mass on exam. It is very important to recognize an aberrant ICA on imaging. Accurately describing the presence of this aberrant vessel is important to help prevent iatrogenic injury during intervention of the middle ear. While typically asymptomatic in some cases, it can present with hearing loss and sometimes pain [4,5]. An aberrant ICA is commonly included in the differential diagnosis for vascular middle ear masses with other entities such as lateralized ICA, dehiscent jugular bulb, aneurysm of the petrous ICA, glomus tympanicum tumors, and glomus jugulare tumors [6,7].
Figure 2. Axial images (superior to inferior (AD), with A, P, L, R for orientation donating anterior, posterior, left, and right respectively) from a PCD-CTA study—with UHR mode (Collimation 120 × 0.2 mm), Tube voltage (120 kVp), slice thickness/increment (0.2/0.2 mm), and sharp Kernel (Hv56) with Quantum Iterative Reconstruction (3)—demonstrating an aberrant L ICA (solid arrows) within an enlarged ITC (dashed arrows). Aberrant ICA are congenital vascular anomalies that occur from the involution of the cervical portion of the ICA, which leads to enlargement of the normally small collateral inferior tympanic and caroticotympanic (hyoid) arteries [1]. The segment most noted as the aberrant ICA is the inferior tympanic artery [2]. The inferior tympanic artery is a branch of the external carotid artery, usually the ascending pharyngeal artery, which extends through the inferior tympanic canaliculus (ITC), and is enlarged in the setting of an aberrant ICA [3]. As this artery courses along the cochlear promontory (via the ITC), no carotid plate separates the vessel from the middle ear cavity, and the vessel appears as a vascular retrotympanic mass on exam. It is very important to recognize an aberrant ICA on imaging. Accurately describing the presence of this aberrant vessel is important to help prevent iatrogenic injury during intervention of the middle ear. While typically asymptomatic in some cases, it can present with hearing loss and sometimes pain [4,5]. An aberrant ICA is commonly included in the differential diagnosis for vascular middle ear masses with other entities such as lateralized ICA, dehiscent jugular bulb, aneurysm of the petrous ICA, glomus tympanicum tumors, and glomus jugulare tumors [6,7].
Diagnostics 15 02213 g002
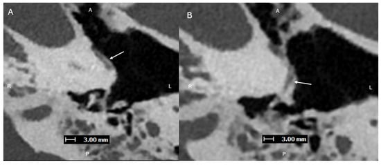
Figure 3. Axial oblique images (superior to inferior (AD), with A, P, L, R for orientation donating anterior, posterior, left, and right respectively) from a PCD-CT temporal bone study—with same acquisition and reconstruction parameters as Figure 1—demonstrating a lateralized R ICA (solid arrows). (B) shows the ICA lateral to the midportion of the basal turn of the cochlea (black arrowhead). (C,D) show the normal R ITC visualized laterally (dashed arrows), proving that this is a lateralized ICA and not an aberrant ICA. A lateralized ICA is defined as the genu of the vertical and horizontal segments of the petrous ICA positioned lateral to the midportion of the basal turn of the cochlea in the axial plane. Importantly, the ITC is not affected, which helps to distinguish a lateralized ICA from an aberrant ICA [8]. Skull base foramina, such as the inferior tympanic canaliculus, are much better seen on PCD-CT, which can greatly help when trying to differentiate between an aberrant ICA and a lateralized ICA, as shown in cases 2 and 3 [9]. On EID-CT, it can be difficult to differentiate between a lateralized ICA and an aberrant ICA.
Figure 3. Axial oblique images (superior to inferior (AD), with A, P, L, R for orientation donating anterior, posterior, left, and right respectively) from a PCD-CT temporal bone study—with same acquisition and reconstruction parameters as Figure 1—demonstrating a lateralized R ICA (solid arrows). (B) shows the ICA lateral to the midportion of the basal turn of the cochlea (black arrowhead). (C,D) show the normal R ITC visualized laterally (dashed arrows), proving that this is a lateralized ICA and not an aberrant ICA. A lateralized ICA is defined as the genu of the vertical and horizontal segments of the petrous ICA positioned lateral to the midportion of the basal turn of the cochlea in the axial plane. Importantly, the ITC is not affected, which helps to distinguish a lateralized ICA from an aberrant ICA [8]. Skull base foramina, such as the inferior tympanic canaliculus, are much better seen on PCD-CT, which can greatly help when trying to differentiate between an aberrant ICA and a lateralized ICA, as shown in cases 2 and 3 [9]. On EID-CT, it can be difficult to differentiate between a lateralized ICA and an aberrant ICA.
Diagnostics 15 02213 g003
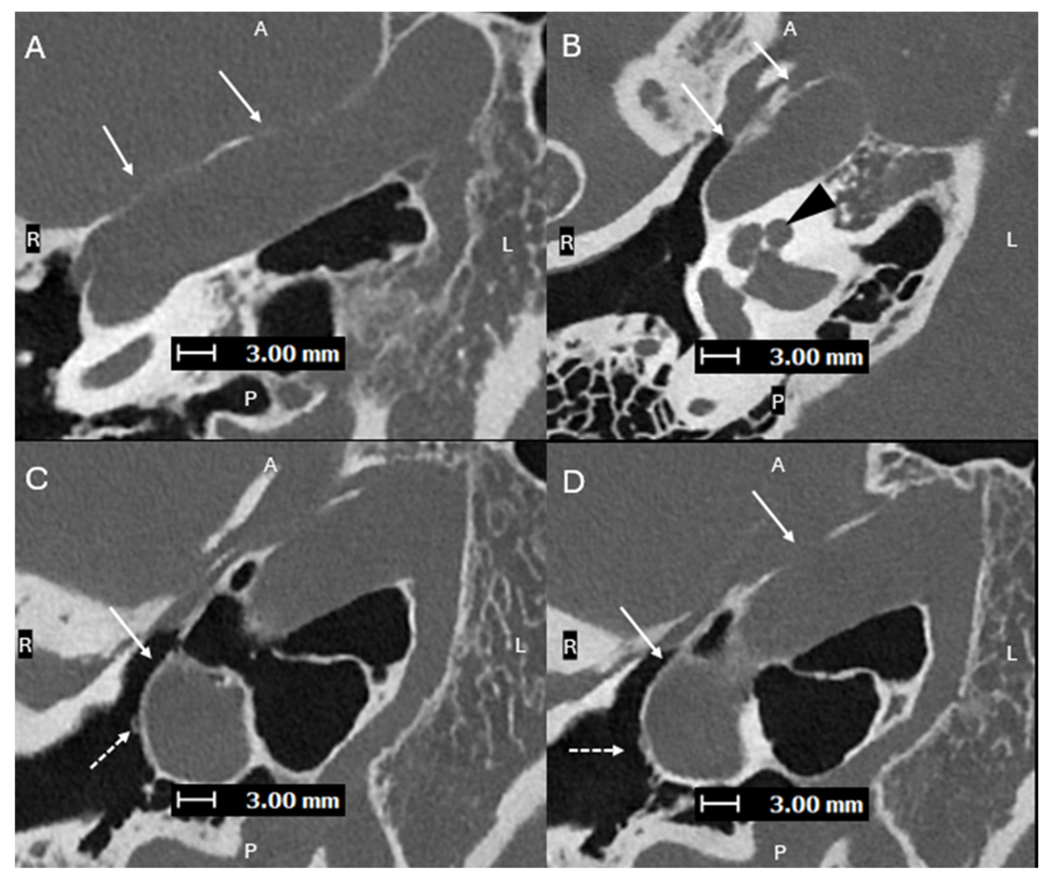
Figure 4. Axial oblique images (superior to inferior (AC), with A, P, L, R for orientation donating anterior, posterior, left, and right respectively) from a PCD-CT temporal bone study—with same acquisition and reconstruction parameters as Figure 1—demonstrating a persistent L stapedial artery traveling inferiorly and passing through the obturator foramen of the stapes (C). (D) shows a normal foramen ovale (dashed line) with absence of the foramen spinosum, which is consistent with a persistent stapedial artery. Aberrant ICAs can be associated with a persistent stapedial artery (PSA), which is an abnormal vessel that arises from the petrous ICA and passes through the obturator foramen of the stapes [10]. The posterior division of the upper stapedial artery branch becomes the middle meningeal artery (MMA). With the normal embryologic atrophy, the distal portion of the MMA is supplied by the internal maxillary artery through the foramen spinosum. If this fails to happen, the territory of the middle meningeal artery will be supplied by the collateral connection with the ophthalmic artery or by a PSA, and absence of the foramen spinosum is expected [11]. A PSA should be recognized prior to stapes surgery. The improvement of spatial resolution with photon counting detector (PCD)-CT has been proven to provide higher performance in detection of sub-centimeter vascular lesions compared to conventional energy-integrated detector (EID)-CT [12].
Figure 4. Axial oblique images (superior to inferior (AC), with A, P, L, R for orientation donating anterior, posterior, left, and right respectively) from a PCD-CT temporal bone study—with same acquisition and reconstruction parameters as Figure 1—demonstrating a persistent L stapedial artery traveling inferiorly and passing through the obturator foramen of the stapes (C). (D) shows a normal foramen ovale (dashed line) with absence of the foramen spinosum, which is consistent with a persistent stapedial artery. Aberrant ICAs can be associated with a persistent stapedial artery (PSA), which is an abnormal vessel that arises from the petrous ICA and passes through the obturator foramen of the stapes [10]. The posterior division of the upper stapedial artery branch becomes the middle meningeal artery (MMA). With the normal embryologic atrophy, the distal portion of the MMA is supplied by the internal maxillary artery through the foramen spinosum. If this fails to happen, the territory of the middle meningeal artery will be supplied by the collateral connection with the ophthalmic artery or by a PSA, and absence of the foramen spinosum is expected [11]. A PSA should be recognized prior to stapes surgery. The improvement of spatial resolution with photon counting detector (PCD)-CT has been proven to provide higher performance in detection of sub-centimeter vascular lesions compared to conventional energy-integrated detector (EID)-CT [12].
Diagnostics 15 02213 g004

Author Contributions

All authors contributed to the conception, drafting, and critical revision of the manuscript; A.O.E.S. and P.J.F. led the drafting and figure preparation, J.C.B., F.E.D. and J.I.L. provided critical revision, guidance and supervision. All authors have read and agreed to the published version of the manuscript.

Funding

This research received no external funding.

Institutional Review Board Statement

Our study was retrospective and approved by the institutional review board of Mayo clinic Rochester (IRB # 22-004203, approval date: 22 May 2022).

Informed Consent Statement

Written consent was waived by the institutional review board of Mayo clinic Rochester for our participants due to the retrospective nature of the data used.

Data Availability Statement

The original contributions presented in this study are included in the article. Further inquiries can be directed to the corresponding author.

Conflicts of Interest

The authors declare no conflict of interest.

References

  1. Roll, J.D.; Urban, M.A.; Larson, T.C.; Gailloud, P.; Jacob, P.; Harnsberger, H.R. Bilateral Aberrant Internal Carotid Arteries with Bilateral Persistent Stapedial Arteries and Bilateral Duplicated Internal Carotid Arteries. AJNR Am. J. Neuroradiol. 2003, 24, 762–765. [Google Scholar] [PubMed]
  2. Sullivan, A.M.; Curtin, H.D.; Moonis, G. Arterial Anomalies of the Middle Ear: A Pictorial Review with Clinical-Embryologic and Imaging Correlation. Neuroimaging Clin. N. Am. 2019, 29, 93–102. [Google Scholar] [CrossRef] [PubMed]
  3. Lo, W.W.; Solti-Bohman, L.G.; McElveen, J.T., Jr. Aberrant carotid artery: Radiologic diagnosis with emphasis on high-resolution computed tomography. RadioGraphics 1985, 5, 985–993. [Google Scholar] [CrossRef] [PubMed]
  4. Wardrop, P.; Kerr, A.I.; Moussa, S.A. Persistent stapedial artery preventing successful cochlear implantation: A case report. Ann. Otol. Rhinol. Laryngol. Suppl. 1995, 166, 443–445. [Google Scholar] [PubMed]
  5. Goderie, T.P.M.; Alkhateeb, W.H.F.; Smit, C.F.; Hensen, E.F. Surgical Management of a Persistent Stapedial Artery: A Review. Otol. Neurotol. 2017, 38, 788–791. [Google Scholar] [CrossRef] [PubMed]
  6. Sweeney, A.D.; Carlson, M.L.; Wanna, G.B.; Bennett, M.L. Glomus tympanicum tumors. Otolaryngol. Clin. N. Am. 2015, 48, 293–304. [Google Scholar] [CrossRef] [PubMed]
  7. Koo, Y.H.; Lee, J.Y.; Lee, J.D.; Hong, H.S. Dehiscent high-riding jugular bulb presenting as conductive hearing loss: A case report. Medicine 2018, 97, e11067. [Google Scholar] [CrossRef] [PubMed]
  8. Glastonbury, C.M.; Harnsberger, H.R.; Hudgins, P.A.; Salzman, K.L. Lateralized petrous internal carotid artery: Imaging features and distinction from the aberrant internal carotid artery. Neuroradiology 2012, 54, 1007–1013. [Google Scholar] [CrossRef] [PubMed]
  9. McDonald, J.P.; Farnsworth, P.J.; Campeau, N.G.; Leng, S.; Carlson, M.L.; Benson, J.C.; Mark, I.T.; Lane, J.I. Improved visualization of the inferior tympanic and mastoid canaliculi with photon counting detector CT. Am. J. Otolaryngol. 2025, 46, 104585. [Google Scholar] [CrossRef] [PubMed]
  10. Silbergleit, R.; Quint, D.J.; Mehta, B.A.; Patel, S.C.; Metes, J.J.; Noujaim, S.E. The persistent stapedial artery. AJNR Am. J. Neuroradiol. 2000, 21, 572–577. [Google Scholar] [PubMed]
  11. A Thiers, F.; Sakai, O.; Poe, D.S.; Curtin, H.D. Persistent stapedial artery: CT findings. AJNR Am. J. Neuroradiol. 2000, 21, 1551–1554. [Google Scholar] [PubMed]
  12. Madhavan, A.A.; Cutsforth-Gregory, J.K.; Brinjikji, W.; Bathla, G.; Benson, J.C.; Diehn, F.E.; Eckel, L.J.; Mark, I.T.; Morris, P.P.; Payne, M.A.; et al. Diagnostic Performance of Decubitus Photon-Counting Detector CT Myelography for the Detection of CSF-Venous Fistulas. Am. J. Neuroradiol. 2023, 44, 1445–1450. [Google Scholar] [CrossRef] [PubMed]
Disclaimer/Publisher’s Note: The statements, opinions and data contained in all publications are solely those of the individual author(s) and contributor(s) and not of MDPI and/or the editor(s). MDPI and/or the editor(s) disclaim responsibility for any injury to people or property resulting from any ideas, methods, instructions or products referred to in the content.

Share and Cite

MDPI and ACS Style

El Sadaney, A.O.; Benson, J.C.; Diehn, F.E.; Lane, J.I.; Farnsworth, P.J. Aberrant ICA and Associated Skull Base Foramina Visualized on Photon Counting Detector CT: Interesting Images. Diagnostics 2025, 15, 2213. https://doi.org/10.3390/diagnostics15172213

AMA Style

El Sadaney AO, Benson JC, Diehn FE, Lane JI, Farnsworth PJ. Aberrant ICA and Associated Skull Base Foramina Visualized on Photon Counting Detector CT: Interesting Images. Diagnostics. 2025; 15(17):2213. https://doi.org/10.3390/diagnostics15172213

Chicago/Turabian Style

El Sadaney, Ahmed O., John C. Benson, Felix E. Diehn, John I. Lane, and Paul J. Farnsworth. 2025. "Aberrant ICA and Associated Skull Base Foramina Visualized on Photon Counting Detector CT: Interesting Images" Diagnostics 15, no. 17: 2213. https://doi.org/10.3390/diagnostics15172213

APA Style

El Sadaney, A. O., Benson, J. C., Diehn, F. E., Lane, J. I., & Farnsworth, P. J. (2025). Aberrant ICA and Associated Skull Base Foramina Visualized on Photon Counting Detector CT: Interesting Images. Diagnostics, 15(17), 2213. https://doi.org/10.3390/diagnostics15172213

Note that from the first issue of 2016, this journal uses article numbers instead of page numbers. See further details here.

Article Metrics

Back to TopTop