The Anatomical Relationship Between the Hyoid Bone and the Carotid Arteries
Abstract
1. Introduction
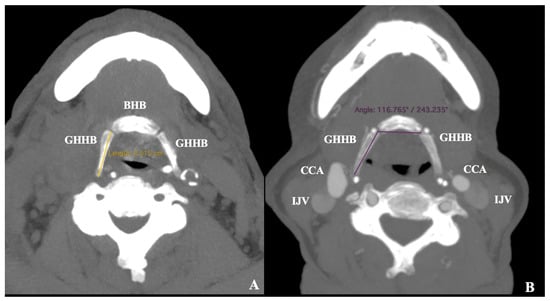
2. Materials and Methods
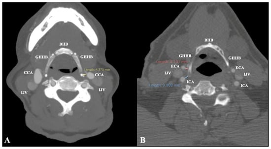
- In cases of suprahyoid CB, the minimum distance GH-CCA was measured (Figure 3)
- In cases of infrahyoid CB, the minimum distances GH-ICA and GH-ECA were measured (Figure 3)
3. Results
4. Discussion
5. Conclusions
Author Contributions
Funding
Institutional Review Board Statement
Informed Consent Statement
Data Availability Statement
Conflicts of Interest
References
- Standring, S.; Anand, N.; Birch, R.; Collins, P.; Crossman, A.; Gleeson, M.; Jawaheer, G.; Smith, A.; Spratt, J.; Stringer, M.; et al. Gray’s Anatomy: The Anatomical Basis of Clinical Practice, 41st ed.; Elsevier: London, UK, 2016. [Google Scholar]
- Paulsen, F.; Tillmann, B.; Christofides, C.; Richter, W.; Koebke, J. Curving and Looping of the Internal Carotid Artery in Relation to the Pharynx: Frequency, Embryology and Clinical Implications. J. Anat. 2000, 197 Pt 3, 373–381. [Google Scholar] [CrossRef] [PubMed]
- Karangeli, N.; Triantafyllou, G.; Duparc, F.; Vassiou, K.; Vlychou, M.; Tsakotos, G.; Piagkou, M. Retrostyloid and Retromandibular Courses of the External Carotid Artery. Surg. Radiol. Anat. 2024, 47, 23. [Google Scholar] [CrossRef] [PubMed]
- Triantafyllou, G.; Botis, G.; Vassiou, K.; Vlychou, M.; Tsakotos, G.; Kalamatianos, T.; Matsopoulos, G.; Piagkou, M. Τhe Styloid Process Length and the Stylohyoid Chain Ossification Affect Its Relationship with the Carotid Arteries. Ann. Anat.-Anat. Anz. 2025, 257, 152342. [Google Scholar] [CrossRef] [PubMed]
- Triantafyllou, G.; Papadopoulos-Manolarakis, P.; Vassiou, K.; Vlychou, M.; Karangeli, N.; Papanagiotou, P.; Tsakotos, G.; Piagkou, M. The Impact of the Styloid Process Angulation on the Carotid Arteries. Ann. Anat.-Anat. Anz. 2025, 258, 152378. [Google Scholar] [CrossRef]
- Calotǎ, R.N.; Rusu, M.C.; Vrapciu, A.D. The External Carotid Artery and the Styloid Process. Curr. Health Sci. J. 2024, 50, 232–236. [Google Scholar] [CrossRef]
- Rusu, M.C.; Tudose, R.C.; Vrapciu, A.D.; Popescu, Ş.A. Lowered Hyoid Bone Overlapping the Thyroid Cartilage in CT Angiograms. Surg. Radiol. Anat. 2024, 46, 333–339. [Google Scholar] [CrossRef]
- Dumitru, C.C.; Vrapciu, A.D.; Jianu, A.M.; Hostiuc, S.; Rusu, M.C. The Retromandibular Loop of the External Carotid Artery. Ann. Anat.-Anat. Anz. 2024, 253, 152226. [Google Scholar] [CrossRef]
- Triantafyllou, G.; Vassiou, K.; Duparc, F.; Vlychou, M.; Paschopoulos, I.; Tsakotos, G.; Tudose, R.C.; Rusu, M.C.; Piagkou, M. The Lingual and Facial Arteries’ Common Origin: A Systematic Review with Meta-Analysis and a Computed Tomography Angiography Study. Surg. Radiol. Anat. 2024, 46, 1937–1947. [Google Scholar] [CrossRef]
- Triantafyllou, G.; Paschopoulos, I.; Duparc, F.; Tsakotos, G.; Tsiouris, C.; Olewnik, Ł.; Georgiev, G.; Zielinska, N.; Piagkou, M. The Superior Thyroid Artery Origin Pattern: A Systematic Review with Meta-Analysis. Surg. Radiol. Anat. 2024, 46, 1549–1560. [Google Scholar] [CrossRef]
- Manta, M.D.; Rusu, M.C.; Hostiuc, S.; Vrapciu, A.D.; Manta, B.A.; Jianu, A.M. The Carotid–Hyoid Topography Is Variable. Medicina 2023, 59, 1494. [Google Scholar] [CrossRef]
- Tubbs, R.S.; Shoja, M.M.; Loukas, M. Bergman’s Comprehensive Encyclopedia of Human Anatomic Variation; John Wiley & Sons: Hoboken, NJ, USA, 2016. [Google Scholar]
- Abdelkader, A.; Ali, S.A.; Abdeen, A.; Taher, E.S.; Hussein, A.Y.A.; Eldesoqui, M.; Abdo, M.; Fericean, L.; Ioan, B.-D.; Ibrahim, S.F.; et al. Hyoid Bone-Based Sex Discrimination among Egyptians Using a Multidetector Computed Tomography: Discriminant Function Analysis, Meta-Analysis, and Artificial Intelligence-Assisted Study. Sci. Rep. 2025, 15, 2680. [Google Scholar] [CrossRef] [PubMed]
- Torimitsu, S.; Makino, Y.; Saitoh, H.; Ishii, N.; Yajima, D.; Inokuchi, G.; Motomura, A.; Chiba, F.; Yamaguchi, R.; Hoshioka, Y.; et al. Determination of Sex on the Basis of Hyoid Bone Measurements in a Japanese Population Using Multidetector Computed Tomography. Int. J. Leg. Med. 2018, 132, 907–914. [Google Scholar] [CrossRef] [PubMed]
- Fakhry, N.; Puymerail, L.; Michel, J.; Santini, L.; Lebreton-Chakour, C.; Robert, D.; Giovanni, A.; Adalian, P.; Dessi, P. Analysis of Hyoid Bone Using 3D Geometric Morphometrics: An Anatomical Study and Discussion of Potential Clinical Implications. Dysphagia 2013, 28, 435–445. [Google Scholar] [CrossRef] [PubMed]
- Koebke, J.; Saternus, K.-S. Zur Morphologie Des Adulten Menschlichen Zungenbeins. Z. Rechtsmed. 1979, 84, 7–18. [Google Scholar] [CrossRef]
- Papadopoulos, N.; Lykaki-Anastopoulou, G.; Alvanidou, E. The Shape and Size of the Human Hyoid Bone and a Proposal for an Alternative Classification. J. Anat. 1989, 163, 249–260. [Google Scholar]
- Miller, K.W.; Walker, P.L.; O’Halloran, R.L. Age and Sex-Related Variation in Hyoid Bone Morphology. J. Forensic Sci. 1998, 43, 1138–1143. [Google Scholar] [CrossRef]
- Pollanen, M.S.; Chiasson, D.A. Fracture of the Hyoid Bone in Strangulation: Comparison of Fractured and Unfractured Hyoids from Victims of Strangulation. J. Forensic Sci. 1996, 41, 110–113. [Google Scholar] [CrossRef]
- Hernández, L.; Quiñones, S.; Konschake, M.; Tubbs, R.S.; Olewnik, L.; Slocker, A.; Sañudo, J.R.; Maranillo, E.M. Variations of the Human Hyoid Bone and Its Clinical Implications. Eur. J. Anat. 2024, 28, 447–453. [Google Scholar] [CrossRef]
- Triantafyllou, G.; Papadopoulos-Manolarakis, P.; Luzzi, S.; Olewnik, Ł.; Tsakotos, G.; Zielinska, N.; Galzio, R.; Tudose, R.C.; Rusu, M.C.; Piagkou, M. Foramen Ovale Morphology and Relationship with the Lateral Pterygoid Process Plate: Proposal for a New Classification System. Anat. Sci. Int. 2025, 100, 354–365. [Google Scholar] [CrossRef]
- Phan, T.G.; Beare, R.J.; Jolley, D.; Das, G.; Ren, M.; Wong, K.; Chong, W.; Sinnott, M.D.; Hilton, J.E.; Srikanth, V. Carotid Artery Anatomy and Geometry as Risk Factors for Carotid Atherosclerotic Disease. Stroke 2012, 43, 1596–1601. [Google Scholar] [CrossRef] [PubMed]
- Bernardes, M.N.D.; Cascudo, N.C.M.; El Cheikh, M.R.; Gonçalves, V.F.; Lamounier, P.; Ramos, H.V.L.; Costa, C.C. Aberrant Common and Internal Carotid Arteries and Their Surgical Implications: A Case Report. Braz. J. Otorhinolaryngol. 2021, 87, 366–369. [Google Scholar] [CrossRef] [PubMed]
- Liu, S.; Nezami, N.; Dardik, A.; Nassiri, N. Hyoid Bone Impingement Contributing to Symptomatic Atherosclerosis of the Carotid Bifurcation. J. Vasc. Surg. Cases Innov. Tech. 2020, 6, 89–92. [Google Scholar] [CrossRef] [PubMed]
- Martinelli, O.; Fresilli, M.; Jabbour, J.; Di Girolamo, A.; Irace, L. Internal Carotid Stenosis Associated with Compression by Hyoid Bone. Ann. Vasc. Surg. 2019, 58, 379.e1–379.e3. [Google Scholar] [CrossRef] [PubMed]
- Tokunaga, K.; Uehara, T.; Kanamaru, H.; Kataoka, H.; Saito, K.; Ishibashi-Ueda, H.; Shobatake, R.; Yamamoto, Y.; Toyoda, K. Repetitive Artery-to-Artery Embolism Caused by Dynamic Movement of the Internal Carotid Artery and Mechanical Stimulation by the Hyoid Bone. Circulation 2015, 132, 217–219. [Google Scholar] [CrossRef]
- Salaun-Penquer, E.; Laurent-Chabalier, S.; Trandafir, C.; Cosma, C.; Parvu, T.; Wacongne, A.; Thouvenot, E.; Renard, D. Relationship between Hyoid-Carotid Distance, Hyoid Position and Morphology and Degree of Stenosis and Associated Stroke. J. Stroke Cerebrovasc. Dis. 2025, 34, 108106. [Google Scholar] [CrossRef]
- Lemaire, V.; Jacquemin, G.; Nelissen, X.; Heymans, O. Tip of the Greater Horn of the Hyoid Bone: A Landmark for Cervical Surgery. Surg. Radiol. Anat. 2005, 27, 33–36. [Google Scholar] [CrossRef]
- Abdelaziz, O.S.; Ogilvy, C.S.; Lev, M. Is There a Potential Role for Hyoid Bone Compression in Pathogenesis of Carotid Artery Stenosis? Surg. Neurol. 1999, 51, 650–653. [Google Scholar] [CrossRef]
- Kölbel, T.; Holst, J.; Lindh, M.; Mätzsch, T. Carotid Artery Entrapment by the Hyoid Bone. J. Vasc. Surg. 2008, 48, 1022–1024. [Google Scholar] [CrossRef]
- Plotkin, A.; Bartley, M.G.; Bowser, K.E.; Yi, J.A.; Magee, G.A. Carotid Artery Entrapment by the Hyoid Bone—A Rare Cause of Recurrent Strokes in a Young Patient. Ann. Vasc. Surg. 2019, 57, 48.e7–48.e11. [Google Scholar] [CrossRef]
- Kho, L.K.; Bates, T.R.; Thompson, A.; Dharsono, F.; Prentice, D. Cerebral Embolism and Carotid-Hyoid Impingement Syndrome. J. Clin. Neurosci. 2019, 64, 27–29. [Google Scholar] [CrossRef]
- Mori, M.; Yamamoto, H.; Koga, M.; Okatsu, H.; Shono, Y.; Toyoda, K.; Fukuda, K.; Iihara, K.; Yamada, N.; Minematsu, K. Hyoid Bone Compression–Induced Repetitive Occlusion and Recanalization of the Internal Carotid Artery in a Patient With Ipsilateral Brain and Retinal Ischemia. Arch. Neurol. 2011, 68, 258–259. [Google Scholar] [CrossRef] [PubMed]
- Renard, D.; Freitag, C. Hyoid-Related Internal Carotid Artery Dissection. J. Neurol. 2012, 259, 2501–2502. [Google Scholar] [CrossRef] [PubMed]
- Hong, J.M.; Kim, T.J.; Lee, J.S.; Lee, J.S. Repetitive Internal Carotid Artery Compression of the Hyoid: A New Mechanism of Golfer’s Stroke? J. Neurol. Neurosurg. Psychiatry 2011, 82, 233–234. [Google Scholar] [CrossRef] [PubMed]
- Renard, D.; Rougier, M.; Aichoun, I.; Labauge, P. Hyoid Bone-Related Focal Carotid Vasculopathy. J. Neurol. 2011, 258, 1540–1541. [Google Scholar] [CrossRef]
- Yukawa, S.; Yamamoto, S.; Hara, H. Carotid Artery Dissection Associated with an Elongated Hyoid Bone. J. Stroke Cerebrovasc. Dis. 2014, 23, e411–e412. [Google Scholar] [CrossRef]
- Liu, G.; Wang, Y.; Chu, C.; Ren, Y.; Hua, Y.; Ji, X.; Song, H. Hyoid Elongation May Be a Rare Cause of Recurrent Ischemic Stroke in Youth-A Case Report and Literature Review. Front. Neurol. 2021, 12, 653471. [Google Scholar] [CrossRef]
- Schneider, C.G.; Kortmann, H. Pseudoaneurysm of the Common Carotid Artery Due to Ongoing Trauma from the Hyoid Bone. J. Vasc. Surg. 2007, 45, 186–187. [Google Scholar] [CrossRef]
- Keshelava, G.; Robakidze, Z.; Tsiklauri, D. External Carotid Artery Entrapment by the Hyoid Bone Associated with an Atherosclerotic Stenosis of the Internal Carotid Artery. Diseases 2024, 12, 258. [Google Scholar] [CrossRef]
- Yamaguchi, T.; Morino, K. Perivascular Mechanical Environment: A Narrative Review of the Role of Externally Applied Mechanical Force in the Pathogenesis of Atherosclerosis. Front. Cardiovasc. Med. 2022, 9, 944356. [Google Scholar] [CrossRef]
- Kinoshita, N.; Saito, K.; Yamaguchi, Y.; Abe, S.; Wada, S.; Tanaka, T.; Kajimoto, K.; Yamagami, H.; Maruyama, H.; Toyoda, K.; et al. Flip-Flop Phenomenon: Swallowing-Induced Arterial Displacement as an Indicator of Carotid Artery Disease. Cerebrovasc. Dis. 2018, 45, 258–262. [Google Scholar] [CrossRef]




| Mean Values of Parameters | Total (n = 200) | Male (n = 100) | Female (n = 100) | p-Value | Left (n = 100) | Right (n = 100) | p-Value |
|---|---|---|---|---|---|---|---|
| GHL | 27.72 (3.91) | 29.56 (3.67) | 25.88 (3.24) | <0.001 * | 27.54 (3.85) | 27.90 (3.98) | 0.604 |
| GHA | 110.36 (6.06) | 109.62 (6.63) | 111.09 (5.37) | 0.134 | 111.07 (6.13) | 109.64 (5.94) | 0.116 |
| Parameters | R-Correlation | p-Value | B-Coefficients | p-Value | |
|---|---|---|---|---|---|
| GH Morphometry | Distances (−) | ||||
| GHL | GH-CCA | −0.171 | 0.129 | −0.077 | 0.336 |
| GHA | GH-CCA | −0.100 | 0.376 | −0.047 | 0.314 |
| GHL | GH-ECA | −0.240 | 0.007 * | −0.252 | <0.001 * |
| GHA | GH-ECA | +0.024 | 0.791 | +0.013 | 0.787 |
| GHL | GH-ICA | −0.233 | 0.008 * | −0.211 | 0.021 * |
| GHA | GH-ICA | +0.123 | 0.082 | +0.142 | 0.091 |
Disclaimer/Publisher’s Note: The statements, opinions and data contained in all publications are solely those of the individual author(s) and contributor(s) and not of MDPI and/or the editor(s). MDPI and/or the editor(s) disclaim responsibility for any injury to people or property resulting from any ideas, methods, instructions or products referred to in the content. |
© 2025 by the authors. Licensee MDPI, Basel, Switzerland. This article is an open access article distributed under the terms and conditions of the Creative Commons Attribution (CC BY) license (https://creativecommons.org/licenses/by/4.0/).
Share and Cite
Karangeli, N.; Triantafyllou, G.; Papadopoulos-Manolarakis, P.; Tsakotos, G.; Vassiou, K.; Vlychou, M.; Papanagiotou, P.; Piagkou, M. The Anatomical Relationship Between the Hyoid Bone and the Carotid Arteries. Diagnostics 2025, 15, 1485. https://doi.org/10.3390/diagnostics15121485
Karangeli N, Triantafyllou G, Papadopoulos-Manolarakis P, Tsakotos G, Vassiou K, Vlychou M, Papanagiotou P, Piagkou M. The Anatomical Relationship Between the Hyoid Bone and the Carotid Arteries. Diagnostics. 2025; 15(12):1485. https://doi.org/10.3390/diagnostics15121485
Chicago/Turabian StyleKarangeli, Nektaria, George Triantafyllou, Panagiotis Papadopoulos-Manolarakis, George Tsakotos, Katerina Vassiou, Marianna Vlychou, Panagiotis Papanagiotou, and Maria Piagkou. 2025. "The Anatomical Relationship Between the Hyoid Bone and the Carotid Arteries" Diagnostics 15, no. 12: 1485. https://doi.org/10.3390/diagnostics15121485
APA StyleKarangeli, N., Triantafyllou, G., Papadopoulos-Manolarakis, P., Tsakotos, G., Vassiou, K., Vlychou, M., Papanagiotou, P., & Piagkou, M. (2025). The Anatomical Relationship Between the Hyoid Bone and the Carotid Arteries. Diagnostics, 15(12), 1485. https://doi.org/10.3390/diagnostics15121485

