Mucin-Producing Lobular Breast Carcinoma Metastasis to an Ovarian Fibroma: Histopathological and Immunohistochemical Analysis of a Rare Case and Literature Review
Abstract
1. Introduction
2. Materials and Methods—Case Report
2.1. Presentation and Clinical Characteristics
2.2. Literature Data Investigation
3. Results
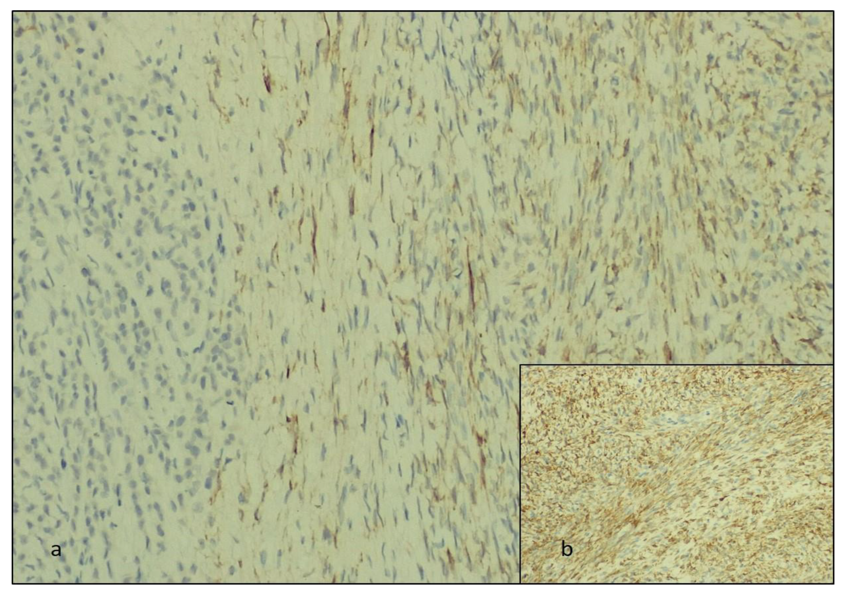
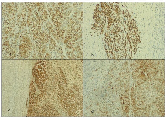
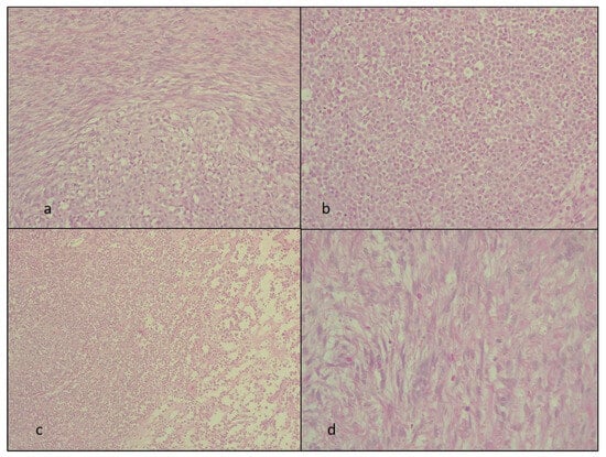
Gross and Microscopic Evaluation
4. Discussion
5. Conclusions
Supplementary Materials
Author Contributions
Funding
Institutional Review Board Statement
Informed Consent Statement
Data Availability Statement
Conflicts of Interest
References
- Bigorie, V.; Morice, P.; Duvillard, P.; Antoine, M.; Cortez, A.; Flejou, J.F.; Uzan, S.; Darai, E.; Barranger, E. Ovarian metastases from breast cancer: Report of 29 cases. Cancer 2010, 116, 799–804. [Google Scholar] [CrossRef] [PubMed]
- Akizawa, Y.; Kanno, T.; Horibe, Y.; Shimizu, Y.; Nouguchi, E.; Yamamoto, T.; Okamoto, T.; Nagashima, Y.; Tabata, T. Ovarian metastasis from breast cancer mimicking a primary ovarian neoplasm: A case report. Mol. Clin. Oncol. 2021, 15, 135. [Google Scholar] [CrossRef] [PubMed]
- Yamaguchi, T.; Kinoshita, J.; Saito, H.; Shimada, M.; Terai, S.; Moriyama, H.; Okamoto, K.; Nakamura, K.; Tajima, H.; Ninomiya, I.; et al. Gastrointestinal stromal tumor metastasis to the ovary: A case report. SAGE Open Med. Case Rep. 2021, 9, 2050313X211012511. [Google Scholar] [CrossRef] [PubMed]
- Makris, G.M.; Marinelis, A.; Battista, M.; Chrelias, C.; Papantoniu, N. An ovarian mass after breast cancer: Metachronous carcinoma or metastasis? A case report. Int. J. Surg. Case Rep. 2017, 31, 106–108. [Google Scholar] [CrossRef] [PubMed]
- Pimentelm, C.; Becquet, M.; Lavoue, V.; Henno, S.; Leveque, J.; Ouldamer, L. Ovarian Metastases from Breast Cancer: A Series of 28 Cases. Anticancer Res. 2016, 36, 4195–4200. [Google Scholar]
- Wong, Y.M.; Jagmohan, P.; Goh, Y.G.; Putti, T.C.; Ow, S.G.W.; Thian, Y.L.; Pillay, P. Infiltrative pattern of metastatic invasive lobular breast carcinoma in the abdomen: A pictorial review. Insights Imaging 2021, 12, 181. [Google Scholar] [CrossRef] [PubMed]
- Zhang, J.J.; Cao, D.Y.; Yang, J.X.; Shen, K. Ovarian metastasis from nongynecologic primary sites: A retrospective analysis of 177 cases and 13-year experience. J. Ovarian Res. 2020, 13, 128. [Google Scholar] [CrossRef]
- Kemps, P.G.; Bol, M.; Steller, E.J.A.; de Pont, L.M.H.; Holterhues, C.; van Gerven, L.; Kolkman, W. Colon carcinoma presenting as ovarian metastasis. Radiol. Case Rep. 2021, 16, 2799–2803. [Google Scholar] [CrossRef]
- Porfyris, O.; Alexandrou, P.; Masaoutis, C.; Nikolakakos, F. Ovarian metastasis of renal cell carcinoma: Clinical and pathological presentation of a case. Turk. J. Urol. 2019, 45, 150–153. [Google Scholar] [CrossRef]
- Li, Z.; Zhou, X.; Zhao, B.; Zheng, Z.; Qiun, C.; Liu, X.; Xue, H.; Wang, W. Pancreatic cancer with ovarian metastasis: Cases report and literature review. J. Pancreatol. 2023, 6, 34–39. [Google Scholar] [CrossRef]
- Wang, S.D.; Zhu, L.; Wu, H.W.; Dai, M.H.; Zhao, Y.P. Pancreatic cancer with ovarian metastases: A case report and review of the literature. World J. Clin. Cases 2020, 8, 5380–5388. [Google Scholar] [CrossRef] [PubMed]
- Hackethal, A.; Brueggmann, D.; Bohlmann, M.K.; Franke, F.E.; Tinneberg, H.R.; Münstedt, K. Squamous-cell carcinoma in mature cystic teratoma of the ovary: Systematic review and analysis of published data. Lancet Oncol. 2008, 9, 1173–1180. [Google Scholar] [CrossRef] [PubMed]
- Kirova, Y.M.; Feuilhade, F.; de Baecque-Fontaine, C.; Le Bourgeois, J.P. Metastasis of a breast carcinoma in a mature teratoma of the ovary. Eur. J. Gynaecol. Oncol. 1999, 20, 223–225. [Google Scholar]
- Yano, M.; Katoh, T.; Hamaguchi, T.; Kozawa, E.; Hamada, M.; Nagata, K.; Yasuda, M. Tumor-to-tumor metastasis from appendiceal adenocarcinoma to an ovarian mature teratoma, mimicking malignant transformation of a teratoma: A case report. Diagn. Pathol. 2019, 14, 88. [Google Scholar] [CrossRef]
- Santos, F.; Oliveira, C.; Caldeira, J.P.; Coelho, A.; Félix, A. Metastatic Endocervical Adenocarcinoma in a Mature Cystic Teratoma: A Case of a Tumor-to-Tumor Metastasis. Int. J. Gynecol. Pathol. 2018, 37, 559–563. [Google Scholar] [CrossRef]
- Hutspardol, S.; Li, Y.; Dube, V.; Delabie, J. Concurrent Primary Follicular Lymphoma and a Mature Cystic Teratoma of the Ovary: A Case Report and Review of Literature. Case Rep. Pathol. 2022, 2022, 5896696. [Google Scholar] [CrossRef]
- Tandon, N.; Sultana, S.; Sun, H.; Zhang, S. Follicular Lymphoma Arising in a Mature Cystic Teratoma in a 26-year-Old Female. Ann. Clin. Lab. Sci. 2016, 46, 298–301. [Google Scholar]
- Hadžisejdić, I.; Babarović, E.; Vranić, L.; Duletić Načinović, A.; Lučin, K.; Krašević, M.; Jonjić, N. Unusual presentation of plasmablastic lymphoma involving ovarian mature cystic teratoma: A case report. Diagn. Pathol. 2017, 12, 83. [Google Scholar] [CrossRef] [PubMed]
- Strobel, S.L.; Jenison, E.L.; Van Kooten, J.M.; Kitts, A.N.; Britton, A.J. Triple negative lobular breast carcinoma metastatic to an ovarian fibrothecoma. J. Histotechnol. 2020, 43, 200–203. [Google Scholar] [CrossRef]
- Guo, Y.; Arciero, C.A.; Jiang, R.; Behera, M.; Peng, L.; Li, X. Different Breast Cancer Subtypes Show Different Metastatic Patterns: A Study from A Large Public Database. Asian Pac. J. Cancer Prev. 2020, 21, 3587–3593. [Google Scholar] [CrossRef]
- Kennecke, H.; Yerushalmi, R.; Woods, R.; Cheang, M.C.; Voduc, D.; Speers, C.H.; Nielsen, T.O.; Gelmon, K. Metastatic behavior of breast cancer subtypes. J. Clin. Oncol. 2010, 28, 3271–3277. [Google Scholar] [CrossRef] [PubMed]
- Smid, M.; Wang, Y.; Zhang, Y.; Sieuwerts, A.M.; Yu, J.; Klijn, J.G.M.; Foekens, J.A.; Martens, J.W.M. Subtypes of Brest Cancer ShowPreferencial Site of Relapse. Cancer 2008, 68, 3108–3114. [Google Scholar] [CrossRef] [PubMed]
- Groisman, G.M. Lobular carcinoma of the breast metastatic to the spleenand accessory spleen: Report of a case. Case Rep. Pathol. 2016, 2016, 5160180. [Google Scholar] [PubMed]
- Yoneyama, K.; Nakagawa, M.; Hara, A. Bladder metastasis from primary breast cancer: A case report. Surg. Case Rep. 2018, 4, 73. [Google Scholar] [CrossRef] [PubMed]
- Lokadasan, R.; Ratheesan, K.; Sukumaran, R.; Nair, S.P. Metastatic lobular carcinoma of breast mimics primary cervix carcinoma: Two case reports and a review of the literature. Ecancermedicalscience 2015, 9, 571. [Google Scholar] [CrossRef] [PubMed][Green Version]
- Kong, D.; Dong, X.; Qin, P.; Sun, D.; Zhang, Z.; Zhang, Y.; Hao, F.; Wang, M. Asymptomatic uterine metastasis of breast cancer: Case report and literature review. Medicine 2022, 101, e31061. [Google Scholar] [CrossRef]
- Franco-Márquez, R.; Torres-Gaytán, A.G.; Narro-Martinez, M.A.; Carrasco-Chapa, A.; Núñez, B.G.; Boland-Rodriguez, E. Metastasis of Breast Lobular Carcinoma to Endometrium Presenting as Recurrent Abnormal Uterine Bleeding: A Case Report and Review of Literature. Case Rep. Pathol. 2019, 2019, 5357194. [Google Scholar] [CrossRef]
- Saranovic, D.; Kovac, J.D.; Knezevic, S.; Susnjar, S.; Stefanovic, A.D.; Saranovic, D.S.; Artiko, V.; Obradovic, V.; Masulovic, D.; Micev, M.; et al. Invasive lobular breast cancer presenting an unusual metastatic pattern in the form of peritoneal and rectal metastases: A case report. J. Breast Cancer 2011, 14, 247–250. [Google Scholar] [CrossRef]
- Abdallah, H.; Elwy, A.; Alsayed, A.; Rabea, A.; Magdy, N. Metastatic Breast Lobular Carcinoma to Unusual Sites: A Report of Three Cases and Review of Literature. J. Med. Cases 2020, 11, 292–295. [Google Scholar] [CrossRef]
- Koufopoulos, N.; Pateras, I.S.; Gouloumis, A.R.; Ieronimaki, A.I.; Zacharatou, A.; Spathis, A.; Leventakou, D.; Economopoulou, P.; Psyrri, A.; Arkadopoulos, N.; et al. Diagnostically Challenging Subtypes of Invasive Lobular Carcinomas: How to Avoid Potential Diagnostic Pitfalls. Diagnostics 2022, 12, 2658. [Google Scholar] [CrossRef]
- Soong, T.R.; Dillon, D.A.; Rice-Stitt, T.L.; Wieczorek, T.J.; Baker, G.M.; Darvishian, F.; Collins, L.C.; Lester, S.C.; Schnitt, S.J.; Harrison, B.T. Invasive lobular carcinoma with extracellular mucin (ILCEM): Clinicopathologic and molecular characterization of a rare entity. Mod. Pathol. 2022, 35, 1370–1382. [Google Scholar] [CrossRef] [PubMed]
- Haltas, H.; Bayrak, R.; Yenidunya, S.; Kosehan, D.; Sen, M.; Akin, K. Invasive lobular carcinoma with extracellular mucin as a distinct variant of lobular carcinoma: A case report. Diagn. Pathol. 2012, 7, 91. [Google Scholar] [CrossRef] [PubMed]
- Bari, V.B.; Bholay, S.U.; Sane, K.C. Invasive lobular carcinoma of the breast with extracellular mucin- a new rare variant. J. Clin. Diagn. Res. 2015, 9, ED05-6. [Google Scholar] [CrossRef] [PubMed]
- Abdelazim, I.A.; Abu-Faza, M.; Abdelrazek, K.; Amer, O.O.; Shikanova, S.; Zhurabekova, G. Ovarian Fibroma Commonly Misdiagnosed as Uterine Leiomyoma. Gynecol. Minim. Invasive Ther. 2019, 9, 36–38. [Google Scholar] [CrossRef] [PubMed]
- Tan, N.; Jin, K.Y.; Yang, X.R.; Li, C.F.; Yao, J.; Zheng, H. A case of death of patient with ovarian fibroma combined with Meigs Syndrome and literature review. Diagn. Pathol. 2022, 17, 83. [Google Scholar] [CrossRef] [PubMed]
- Parwate, N.S.; Patel, S.M.; Arora, R.; Gupta, M. Ovarian Fibroma: A Clinico-pathological Study of 23 Cases with Review of Literature. J. Obs. Gynaecol. India 2016, 66, 460–465. [Google Scholar] [CrossRef]
- Al-Agha, O.M.; Huwait, H.F.; Chow, C.; Yang, W.; Senz, J.; Kalloger, S.E.; Huntsman, D.G.; Young, R.H.; Gilks, C.B. FOXL2 is a sensitive and specific marker for sex cord-stromal tumors of the ovary. Am. J. Surg. Pathol. 2011, 35, 484–494. [Google Scholar] [CrossRef]
- Lanitis, S.; Sivakumar, S.; Behranwala, K.; Zacharakis, E.; Al Mufti, R.; Hadjiminas, D.J. A case of Meigs syndrome mimicking metastatic breast carcinoma. World J. Surg. Oncol. 2009, 7, 1–6. [Google Scholar] [CrossRef]
- Dochez, V.; Caillon, H.; Vaucel, E.; Dimet, J.; Winer, N.; Ducarme, G. Biomarkers and algorithms for diagnosis of ovarian cancer: CA125, HE4, RMI and ROMA, a review. J. Ovarian Res. 2019, 12, 28. [Google Scholar] [CrossRef]
- Moore, R.G.; Jabre-Raughley, M.; Brown, A.K.; Robison, K.M.; Miller, M.C.; Allard, W.J.; Kurman, R.J.; Bast, R.C.; Skates, S.J. Comparison of a novel multiple marker assay vs. the Risk of Malignancy Index for the prediction of epithelial ovarian cancer in patients with a pelvic mass. Am. J. Obstet. Gynecol. 2010, 203, 228.e1–228.e6. [Google Scholar] [CrossRef]
- Karlsen, M.A.; Sandhu, N.; Høgdall, C.; Christensen, I.J.; Nedergaard, L.; Lundvall, L.; Engelholm, S.A.; Pedersen, A.T.; Hartwell, D.; Lydolph, M.; et al. Evaluation of HE4, CA125, risk of ovarian malignancy algorithm (ROMA) and risk of malignancy index (RMI) as diagnostic tools of epithelial ovarian cancer in patients with a pelvic mass. Gynecol. Oncol. 2012, 127, 379–383. [Google Scholar] [CrossRef] [PubMed]
- Borukh, E.; Ilyaev, B.; Muminiy, S.N.; Muminiy, S.N.; Babayev, M.; Musheyev, Y.; Levada, M. Ovarian Fibroma Presents As Uterine Leiomyoma in a 61-Year-Old Female: A Case Study. Cureus 2023, 15, e36264. [Google Scholar] [CrossRef] [PubMed]
- Simpkins, F.; Zahurak, M.; Armstrong, D.; Grumbine, F.; Bristow, R. Ovarian malignancy in breast cancer patients with an adnexal mass. Obstet Gynecol. 2005, 105, 507–513. [Google Scholar] [CrossRef]
- Ghenciu, L.A.; Faur, A.C.; Bolintineanu, S.L.; Salavat, M.C.; Maghiari, A.L. Recent Advances in Diagnosis and Treatment Approaches in Fungal Keratitis: A Narrative Review. Microorganisms 2024, 12, 161. [Google Scholar] [CrossRef]
- Buza, N.; Wong, S.; Hui, P. FOXL2 Mutation Analysis of Ovarian Sex Cord-Stromal Tumors: Genotype-Phenotype Correlation with Diagnostic Considerations. Int. J. Gynecol. Pathol. 2018, 37, 305–315. [Google Scholar] [CrossRef] [PubMed]
- Dănilă, A.-I.; Ghenciu, L.A.; Stoicescu, E.R.; Bolintineanu, S.L.; Iacob, R.; Săndesc, M.-A.; Faur, A.C. Aldose Reductase as a Key Target in the Prevention and Treatment of Diabetic Retinopathy: A Comprehensive Review. Biomedicines 2024, 12, 747. [Google Scholar] [CrossRef] [PubMed]
- Zhao, C.; Vinh, T.N.; McManus, K.; Dabbs, D.; Barner, R.; Vang, R. Identification of the most sensitive and robust immunohistochemical markers in different categories of ovarian sex cord-stromal tumors. Am. J. Surg. Pathol. 2009, 33, 354–366. [Google Scholar] [CrossRef] [PubMed]
- Deavers, M.; Malpica, A.; Liu, J.; Broaddus, R.; Silva, E.G. Ovarian Sex Cord-Stromal Tumors: An Immunohistochemical Study Including a Comparison of Calretinin and Inhibin. Mod. Pathol. 2003, 16, 584–590. [Google Scholar] [CrossRef] [PubMed]
- Cserni, G.; Floris, G.; Koufopoulos, N.; Kovács, A.; Nonni, A.; Regitnig, P.; Stahls, A.; Varga, Z. Invasive lobular carcinoma with extracellular mucin production-a novel pattern of lobular carcinomas of the breast. Clinico-pathological description of eight cases. Virchows Arch. 2017, 471, 3–12. [Google Scholar] [CrossRef]
- Sato, Y.; Yano, M.; Eto, S.; Takano, K.; Nasu, K. Metastasis from follicular lymphoma to an ovarian mature teratoma: A case report of tumor-to-tumor metastasis. J. Ovarian Res. 2023, 16, 106. [Google Scholar] [CrossRef]





| Marker | Results | Reference Value (Postmenopausal) [39,40,41] |
|---|---|---|
| CA-125 | 751 U/L | <46 U/L |
| HE-4 | 381 pmol/L | <140 pmol/L |
| ROMA Score | 95% | >2.99 (high risk for ovarian cancer) |
| References | Type of Study | Ovarian Metastases: Primary Sites (Histopathological Diagnosis of the Primary Tumor and/or Number of Cases) | CA-125 Levels | Number of Cases |
|---|---|---|---|---|
| Bigorie, V.; et al. [1] | Retrospective | Breast (16 cases with invasive ductal carcinoma (IDC), 12 ILC and 1 unknown) | NS | 29 |
| Akizava, Y.; et al. [2] | Case report | Breast (bilateral carcinoma ILC and IDC) | 692 U/mL | 1 |
| Yamaguchi, T.; et al. [3] | Case report | Gastrointestinal tract (gastrointestinal stromal tumor) | 818 U/L | 1 |
| Makris, G.M.; et al. [4] | Case report | Brest (ILC) | 78 UI/L | 1 |
| Pimentel, C.; et al. [5] | Retrospective | Breast cancer (17 ILC, 7 IDC, 2 mixed ILC and IDC), 2 different histology | 488 IU/L mean value (9 cases with >35) | 28 |
| Wong, Y.M.; et al. [6] | Retrospective | Breast (ILC) | NS | NS |
| Zhang, J.J.; et al. [7] | Retrospective | Colorectal (68), stomach (61), appendix (12), biliary tract (7), pancreas (7), breast (6), small intestine (5), lung (3), bladder (2), unknown sites (6) | >35 U/L in 65% of the patients | 177 |
| Kemps, G.P.; et al. [8] | Case report | Colon (adenocarcinoma not otherwise specified) | 18 kU/L | 1 |
| Porfirys, O.; et al. [9] | Case report | Kidney (clear-cell renal cell carcinoma) | 103.3 U/mL | 1 |
| Li, Z.; et al. [10] | Retrospective | Pancreas (5 cases with pancreatic ductal adenocarcinoma, 2 cases with pancreatic cystadenocarcinoma) | 2 patients with elevated values -NS | 7 |
| Wang, S.D.; et al. [11] | Case report | Pancreas (pancreas mucinous adenocarcinoma) | 412 U/L | NS |
Disclaimer/Publisher’s Note: The statements, opinions and data contained in all publications are solely those of the individual author(s) and contributor(s) and not of MDPI and/or the editor(s). MDPI and/or the editor(s) disclaim responsibility for any injury to people or property resulting from any ideas, methods, instructions or products referred to in the content. |
© 2024 by the authors. Licensee MDPI, Basel, Switzerland. This article is an open access article distributed under the terms and conditions of the Creative Commons Attribution (CC BY) license (https://creativecommons.org/licenses/by/4.0/).
Share and Cite
Faur, A.C.; Gurban, C.V.; Dăescu, E.; Tîrziu, R.V.; Lazăr, D.C.; Ghenciu, L.A. Mucin-Producing Lobular Breast Carcinoma Metastasis to an Ovarian Fibroma: Histopathological and Immunohistochemical Analysis of a Rare Case and Literature Review. Diagnostics 2024, 14, 953. https://doi.org/10.3390/diagnostics14090953
Faur AC, Gurban CV, Dăescu E, Tîrziu RV, Lazăr DC, Ghenciu LA. Mucin-Producing Lobular Breast Carcinoma Metastasis to an Ovarian Fibroma: Histopathological and Immunohistochemical Analysis of a Rare Case and Literature Review. Diagnostics. 2024; 14(9):953. https://doi.org/10.3390/diagnostics14090953
Chicago/Turabian StyleFaur, Alexandra Corina, Camelia Vidiţa Gurban, Ecaterina Dăescu, Răzvan Vlad Tîrziu, Daniela Cornelia Lazăr, and Laura Andreea Ghenciu. 2024. "Mucin-Producing Lobular Breast Carcinoma Metastasis to an Ovarian Fibroma: Histopathological and Immunohistochemical Analysis of a Rare Case and Literature Review" Diagnostics 14, no. 9: 953. https://doi.org/10.3390/diagnostics14090953
APA StyleFaur, A. C., Gurban, C. V., Dăescu, E., Tîrziu, R. V., Lazăr, D. C., & Ghenciu, L. A. (2024). Mucin-Producing Lobular Breast Carcinoma Metastasis to an Ovarian Fibroma: Histopathological and Immunohistochemical Analysis of a Rare Case and Literature Review. Diagnostics, 14(9), 953. https://doi.org/10.3390/diagnostics14090953

