Hair Evaluation in Orthodontic Patients with Oligodontia
Abstract
1. Introduction
2. Materials and Methods
- -
- Age: >6 years old;
- -
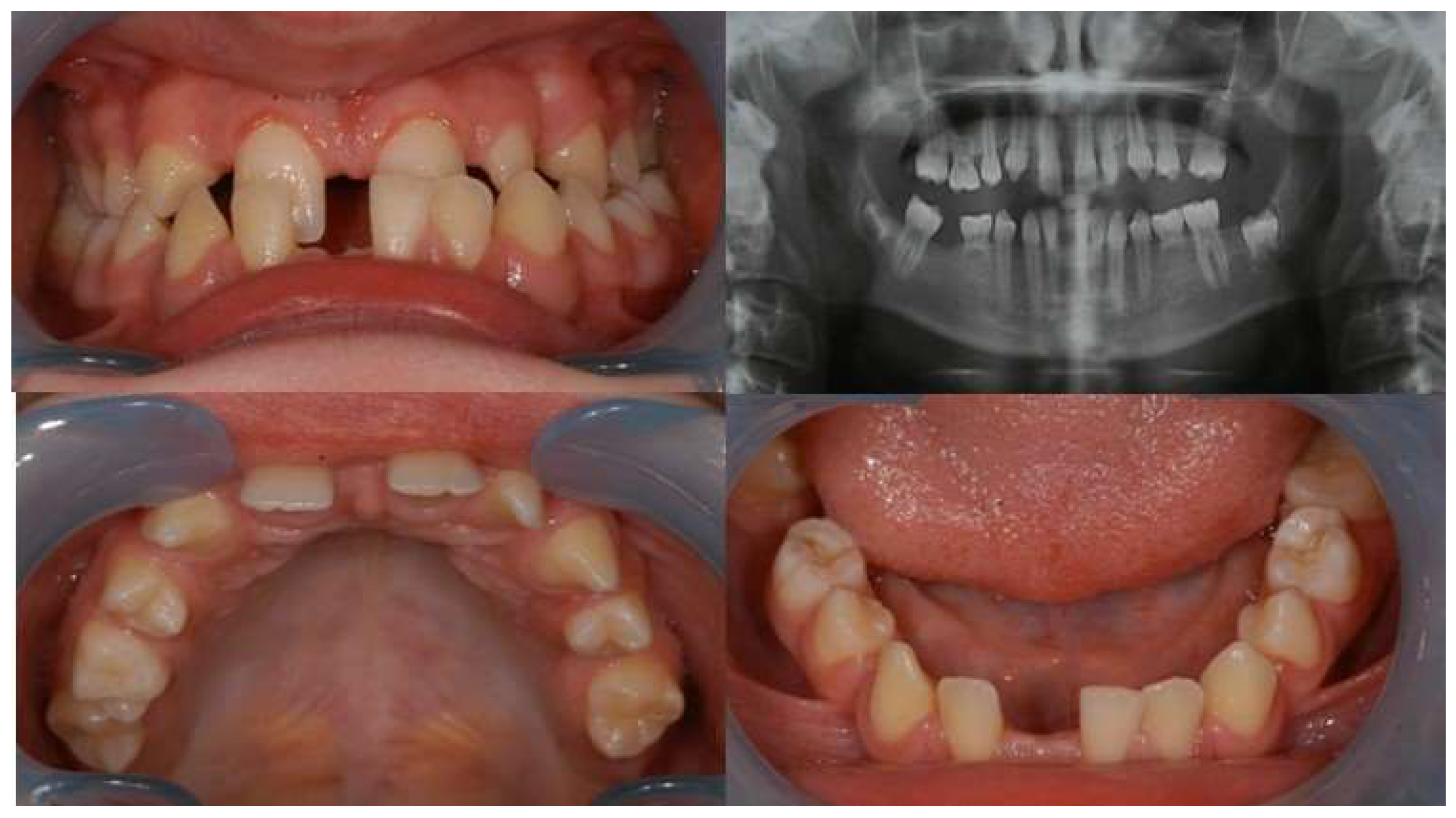
- Congenital absence of at least 6 permanent teeth or tooth buds;
- -
- No clinical symptoms of onychodysplasia,
- -
- No clinical symptoms of dyshidrosis;
- -
- No other congenital dentofacial deformities, e.g., cleft lip or palate;
- -
- Absence of other anomalies accompanying ectodermal syndromes, such as polydactyly, syndactyly or ectrodactyly.
- Trichoscopy, allowing examination of the hairy skin using a dermoscope with computer software and a digital camera; the optical system allows viewing of lesions at magnifications of 20–70 times and archiving of images, and the examination does not require hair plucking.
- Trichogram, which is the most widely used method in trichology, allows assessment of whether the proportions of hair in appropriate growth phases are maintained; the examination involves microscopic evaluation of about 100 hair shafts from the patient’s head taken from two or four areas and then examining the prepared hair specimens under a microscope. The microscopic examination assesses the hair growth phase based on its shape, shaft color, presence of the hair shaft sheath, and angle of hair bending in relation to the shaft. It enables evaluation of the number of hairs in different phases: anagen, catagen, and telogen, as well as the number of dystrophic/dysplastic hairs.
3. Results
4. Discussion
5. Conclusions
Author Contributions
Funding
Institutional Review Board Statement
Informed Consent Statement
Data Availability Statement
Conflicts of Interest
References
- Créton, M.; Cune, M.; Verhoeven, W.; Muradin, M.; Wismeijer, D.; Meijer, G. Implant treatment in patients with severe hypodontia: A retrospective evaluation. J. Oral Maxillofac. Surg. 2010, 68, 530–538. [Google Scholar] [CrossRef] [PubMed]
- Lexner, M.O.; Bardow, A.; Hertz, J.M.; Nielsen, L.A.; Kreiborg, S. Anomalies of tooth formation in hypohydrotic ectodermal dysplasia. Intern. J. Paediatr. Dent. 2007, 17, 10–18. [Google Scholar] [CrossRef] [PubMed]
- Rølling, S.; Poulsen, S. Oligodontia in Danish schoolchildren. Acta Odontol. Scand. 2001, 59, 111–112. [Google Scholar] [CrossRef] [PubMed]
- Bergendal, B.; Norderyd, J.; Bågesund, M.; Holst, A. Sings and symptoms from ectodermal organs in young Swedish individuals with oligodontia. Int. J. Paediatr. Dent. 2006, 16, 320–326. [Google Scholar] [CrossRef] [PubMed]
- Choi, S.J.; Lee, J.W.; Song, J.H. Dental anomaly patterns associated with tooth agenesis. Acta Odontol. Scand. 2017, 75, 161–165. [Google Scholar] [CrossRef] [PubMed]
- Souza-Silva, B.N.; Andrade Vieira, W.; Macedo Bernardino, I.; Batista, M.J.; Vieira Bittencourt, M.A.; Paranhos, L.R. Non-syndromic tooth agenesis patterns and their association with other dental anomalies: A retrospective study. Arch. Oral Biol. 2018, 96, 26–32. [Google Scholar] [CrossRef] [PubMed]
- Agarwal, P.; Vinuth, D.P.; Dube, G.; Dube, P. Nonsyndromic tooth agenesis patterns and associated developmental dental anomalies: A literature review with radiographic illustrations. Minerwa Stomatol. 2013, 62, 31–41. [Google Scholar]
- Uslenghi, S.; Liversidge, H.M.; Wong, F.S. A Radiographic Study of Tooth Development in Hypodontia. Arch. Oral Biol. 2006, 51, 129–133. [Google Scholar] [CrossRef] [PubMed]
- Hirano-Ali, S.A.; Reed, A.M.; Rowan, B.J.; Sorrells, T.; Williams, J.V.; Pariser, D.M.; Hood, A.F.; Salkey, K. Scanning Electron Microscopic Hair Shaft Analysis in Ectodermal Dysplasia Syndromes. Pediatr. Dermatol. 2015, 32, 836–844. [Google Scholar] [CrossRef]
- Freire-Maia, N.; Pinheiro, M. Ectodermal dysplasias: A clinical classification and a causal review. Am. J. Med. Genet. 1994, 53, 153–162. [Google Scholar]
- Priolo, M.; Lagana, C. Ectodermal dysplasias: A new clinical—Genetic classification. J. Med. Genet. 2001, 38, 579–585. [Google Scholar] [CrossRef] [PubMed]
- Lamartine, J. Towards a new classification of ectodermal dysplasia. Clin. Exp. Dermatol. 2003, 28, 351–355. [Google Scholar] [CrossRef] [PubMed]
- Nordgarden, H.; Jensen, J.L.; Storhaug, K. Oligodontia is associated with extra-oral ectodermal symptoms and low whole salivary flow rates. Oral Dis. 2001, 7, 226–232. [Google Scholar] [CrossRef] [PubMed]
- Dhamo, B.; Kuijpers, M.A.R.; Balk-Leurs, I.; Boxum, C.; Wolvius, E.B.; Ongkosuwito, E.M. Disturbances of dental development distinguish patients with oligodontia-ectodermal dysplasia from isolated oligodontia. Orthod. Craniofac. Res. 2018, 21, 48–56. [Google Scholar] [CrossRef]
- Rudnicka, L.; Olszewska, M.; Waśkiel, A.; Rakowska, A. Trichoscopy in Hair Shaft Disorders. Dermatol. Clin. 2018, 36, 421–430. [Google Scholar] [CrossRef] [PubMed]
- Lacarrubba, F.; Micali, G.; Tosti, A. Scalp dermoscopy or trichoscopy. Curr. Probl. Dermatol. 2015, 47, 21–32. [Google Scholar]
- Serrano-Falcón, C.; Fernández-Pugnaire, M.A.; Serrano-Ortega, S. Hair and scalp evaluation: The trichogram. Actas Dermosifiliogr. 2013, 104, 867–876. [Google Scholar] [CrossRef] [PubMed]
- Kowalska-Olędzka, E.; Rakowska, A.; Słowińska, M.; Czuwara, J.; Rudnicka, L. Zastosowanie badania trichoskopowego w diagnostyce chorób włosów. Dermatologica 2007, 2, 37–40. [Google Scholar]
- Olszewska, M.; Rudnicka, L.; Rakowska, A.; Kurzeja, M. Postępy w diagnostyce łysienia. Przeg. Dermatol. 2009, 96, 247–253. [Google Scholar]
- Rakowska, A. Trichoscopy (hair and scalp videodermoscopy) in the healthy female. Method standardization and norms for measurable parameters. J. Dermatol. Case Rep. 2009, 3, 14–19. [Google Scholar] [CrossRef]
- Rudnicka, L.; Olszewska, M.; Majsterek, M.; Czuwara, J.; Słowińska, M. Presence and future of dermoscopy. Expert Rev. Dermatol. 2006, 1, 769–772. [Google Scholar] [CrossRef]
- Faghri, S.; Tamura, D.; Kraemer, K.H.; Digiovanna, J.J. Trichothiodystrophy: A systematic review of 112 published cases characterises a wide spectrum of clinical manifestations. J. Med. Genet. 2008, 45, 609–621. [Google Scholar] [CrossRef] [PubMed]
- Zadurska, M. Oligodontics in the Aspect of Selected Symptoms of Ectodermal Dysplasia; Medical University of Warsaw: Warszawa, Poland, 2011; ISBN 978-83-7637-177-1. [Google Scholar]
- Schalk-van der Weide, Y.; Bosman, F. Tooth size in relatives of individuals with oligodontia. Arch. Oral Biol. 1996, 41, 469–472. [Google Scholar] [CrossRef]
- Guadalupe Peña-Romero, A.; Sáez-de-Ocariz, M.; Toussaint-Caire, S.; Morán-Villaseñor, E.; Orozco-Covarrubias, L.; Carola Durán-McKinster, C. Clinical, trichoscopy, and light microscopic findings in hypohidrotic ectodermal dysplasia: Report of 21 patients and a review of the literature. Pediatr. Dermatol. 2021, 38, 442–448. [Google Scholar] [CrossRef] [PubMed]
- Lambert, W.C.; Gagna, C.E.; Lambert, M.W. Trichothiodystrophy: Photosensitive, TTD-P, TTD, Tay syndrome. Adv. Exp. Med. Biol. 2010, 685, 106–110. [Google Scholar]
- Rakowska, A.; Górska, R.; Rudnicka, L.; Zadurska, M. Trichoscopic Hair Evaluation in Patients with Ectodermal Dysplasia. J. Pediatr. 2015, 167, 193–195. [Google Scholar] [CrossRef]
- Mostowska, A.; Zadurska, M.; Rakowska, A.; Lianeri, M.; Jagodziński, P.P. Novel PAX9 mutation associated with syndromic tooth agenesis. Eur. J. Oral Sci. 2013, 121, 403–411. [Google Scholar] [CrossRef] [PubMed]
- Doolan, B.J.; Onoufriadis, A.; Kantaputra, P.; McGrath, J.A. WNT10A, dermatology and dentistry. Br. J. Dermatol. 2021, 185, 1105–1111. [Google Scholar] [CrossRef]
- Lévy, J.; Capri, Y.; Rahid, M.; Dupont, C.; Vermeesch, J.R.; Devriendt, K.; Verloes, A.; Tabet, A.C.; Bailleul-Forestier, I. LEF1 haploinsufficiency causes ectodermal dysplasia. Clin. Genet. 2020, 97, 595–600. [Google Scholar] [CrossRef]
- Bonczek, O.; Krejci, P.; Izakovicova-Holla, L.; Cernochova, P.; Kiss, I.; Vojtesek, B. Tooth agenesis: What do we know is there a connection to cancer? Clin. Genet. 2021, 99, 493–502. [Google Scholar] [CrossRef]
- Andreoni, F.; Sgattoni, C.; Bencardino, D.; Simonetti, O.; Forabosco, A.; Magnani, M. Missense mutations in EDA and EDAR genes cause dominant syndromic tooth agenesis. Mol. Genet. Genom. Med. 2021, 9, e1555. [Google Scholar] [CrossRef] [PubMed]
- Song, S.; Han, D.; Qu, H.; Gong, Y.; Wu, H.; Zhang, X.; Zhong, N.; Feng, H. EDA gene mutations underlie non-syndromic oligodontia. J. Dent. Res. 2009, 88, 126–131. [Google Scholar] [CrossRef] [PubMed]
- Reinhold, V.; Syrjänen, S.; Kankuri-Tammilehto, M. New observation of severe tooth malformation in a female patient with ectodermal dysplasia due to the EDA splice acceptor variant c.742-2A>G. Mol. Genet. Genom. Med. 2023, 11, e2275. [Google Scholar] [CrossRef] [PubMed]
- Wright, T.; Fete, M.; Schneider, H.; Zinser, M.; Koster, M.I.; Clarke, A.J.; Rabia, S.H.; Tadini, G.; Pagnan, N.; Visinoni, A.F.; et al. Ectodermal Dysplasias: Classification and Organization by Phenotype, Genotype, and Molecular Pathway. Am. J. Med. Genet. A 2019, 179, 442–447. [Google Scholar] [CrossRef]
- Dishop, M.K.; Bree, A.F.; Hicks, M.J. Pathologic changes of skin and hair in ankyloblepharon-ectodermal defects-cleft lip/palate (AEC) syndrome. Am. J. Med. Genet. A 2009, 149A, 1935–1941. [Google Scholar] [CrossRef]



| No | Gender | Number of Missing Teeth | Dental Anomalies | Hair Abnormalities |
|---|---|---|---|---|
| 1 | M | 22 | Microdontia of the maxillary right central incisor | Hypotrichosis |
| 2 | M | 21 | Diastema | Not present |
| 3 | M | 6 | Diastema | Shifting the hair cycle towards telogen |
| 4 | M | 6 | Diastema, ectopic position of the mandibular canines | Hypotrichosis, more than 10% of hair without dye. Trichoschisis, shifting the hair cycle towards telogen |
| 5 | F | 9 | Abnormal shape of the maxillary central incisors and conical shape of the canines | Not present |
| 6 | F | 7 | Ectopic position of the maxillary right canine | Hypotrichosis, shaft color heterogenity |
| 7 | M | 11 | Not present | More than 10% of hair without dye. Shaft color heterogenity |
| 8 | F | 10 | Microdontia of the maxillary left lateral incisor | More than 10% of hair without dye |
| 9 | M | 7 | Abnormal shape of the maxillary central incisors, microdontia of the maxillary lateral incisors and taurodontism of the first molars | More than 10% of hair without dye |
| 10 | M | 11 | Narrow clinical crowns of the maxillary incisors, taurodontism of the first molars and maxillary second molars | Not present |
| 11 | M | 15 | Microdontia of the maxillary left lateral incisor and upper canines | Hypotrichosis, more than 10% of hair without dye |
| 12 | M | 13 | Microdontia of the maxillary left lateral incisor and transposition of the right canine and first premolar in the mandible | Hypotrichosis, more than 10% of hair without dye. Shifting the hair cycle towards telogen |
| 13 | M | 17 | Abnormal shape of the maxillary central incisors | Hypotrichosis, more than 10% of hair without dye. Trichorrhexis nodosa |
| 14 | M | 14 | Microdontia of the maxillary incisors | Not present |
| 15 | M | 26 | Conical shape of the maxillary lateral incisors | Hypotrichosis, shifting the hair cycle towards telogen. Trichoschisis |
| 16 | M | 13 | Microdontia of the maxillary left incisors and all premolars | Not present |
| 17 | M | 12 | Narrow crowns of the maxillary central incisors, elongated crowns of the mandibular first premolars, taurodontism of the first molars and mandibular second molars | Not present |
| 18 | F | 8 | Taurodontism of the mandibular first molars and ectopic position of the maxillary canines | Not present |
| 19 | F | 15 | Diastema, ectopic position of the mandibular canines | Hypotrichosis, shaft colour heterogenity |
| 20 | M | 24 | Tricuspid lower second molars | Hypotrichosis, androgenic alopecia |
| 21 | F | 9 | Diastema | Not present |
| 22 | M | 11 | Not present | Pseudomoniletrix, pili canaliculi |
| 23 | M | 10 | Narrow clinical crowns of the maxillary incisors, taurodontism of the first molars | Hypotrichosis, more than 10% of hair without dye. Shifting the hair cycle towards telogen |
| 24 | F | 9 | Microdontia of the maxillary lateral incisors, transposition of the mandibular canines and first premolars | Hypotrichosis, more than 10% of hair without dye |
| 25 | M | 6 | Microdontia of the maxillary lateral incisors | More than 10% of hair without dye |
| No | Hair Abnormalities | Number and Percentage of Patients (25 in Total) |
|---|---|---|
| 1 | Hypotrichosis | 11 (44%) |
| 2 | Trichoschisis | 2 (8%) |
| 3 | Pili canaliculi | 1 (4%) |
| 4 | Trichorrhexis nodosa | 1 (4%) |
| 5 | Pseudomoniletrix | 1 (4%) |
| 6 | Shifting the hair cycle towards telogen | 5 (20%) |
| 7 | Androgenic alopecia | 1 (4%) |
| 8 | Shaft color heterogeneity | 3 (12%) |
| 9 | More than 10% of hair without dye | 10 (20%) |
Disclaimer/Publisher’s Note: The statements, opinions and data contained in all publications are solely those of the individual author(s) and contributor(s) and not of MDPI and/or the editor(s). MDPI and/or the editor(s) disclaim responsibility for any injury to people or property resulting from any ideas, methods, instructions or products referred to in the content. |
© 2024 by the authors. Licensee MDPI, Basel, Switzerland. This article is an open access article distributed under the terms and conditions of the Creative Commons Attribution (CC BY) license (https://creativecommons.org/licenses/by/4.0/).
Share and Cite
Zadurska, M.; Rakowska, A.; Czochrowska, E.; Laskowska, M.; Perkowski, K.; Strużycka, I.; Rudnicka, L.; Jurek, A. Hair Evaluation in Orthodontic Patients with Oligodontia. Diagnostics 2024, 14, 945. https://doi.org/10.3390/diagnostics14090945
Zadurska M, Rakowska A, Czochrowska E, Laskowska M, Perkowski K, Strużycka I, Rudnicka L, Jurek A. Hair Evaluation in Orthodontic Patients with Oligodontia. Diagnostics. 2024; 14(9):945. https://doi.org/10.3390/diagnostics14090945
Chicago/Turabian StyleZadurska, Małgorzata, Adriana Rakowska, Ewa Czochrowska, Małgorzata Laskowska, Konrad Perkowski, Izabela Strużycka, Lidia Rudnicka, and Agnieszka Jurek. 2024. "Hair Evaluation in Orthodontic Patients with Oligodontia" Diagnostics 14, no. 9: 945. https://doi.org/10.3390/diagnostics14090945
APA StyleZadurska, M., Rakowska, A., Czochrowska, E., Laskowska, M., Perkowski, K., Strużycka, I., Rudnicka, L., & Jurek, A. (2024). Hair Evaluation in Orthodontic Patients with Oligodontia. Diagnostics, 14(9), 945. https://doi.org/10.3390/diagnostics14090945

